Reclassification of Seronegative Rheumatoid Arthritis as Anti-PL-12 Antisynthetase Syndrome with Interstitial Lung Disease and Joint Involvement–Case Report
Abstract
1. Introduction and Clinical Significance
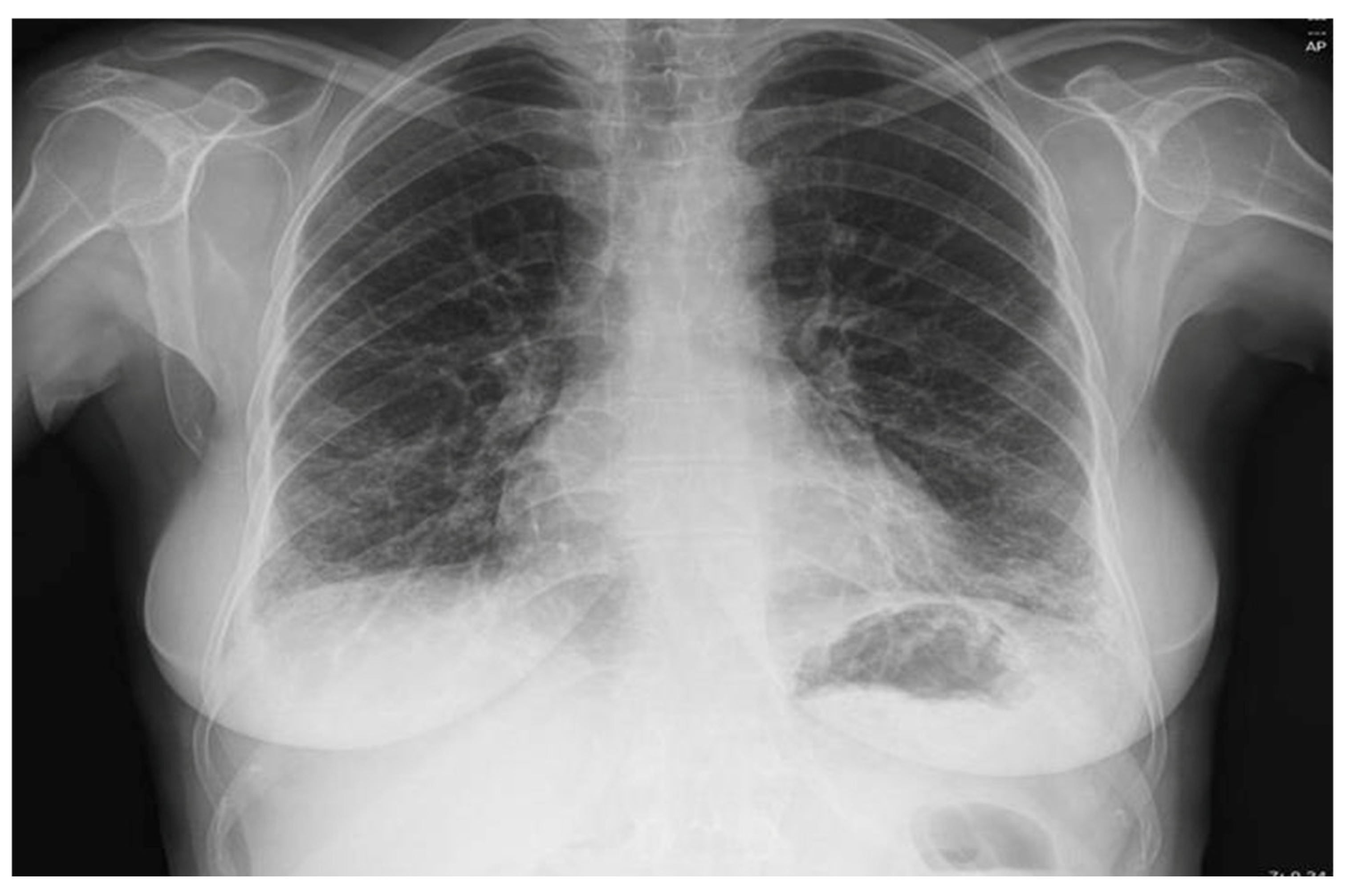
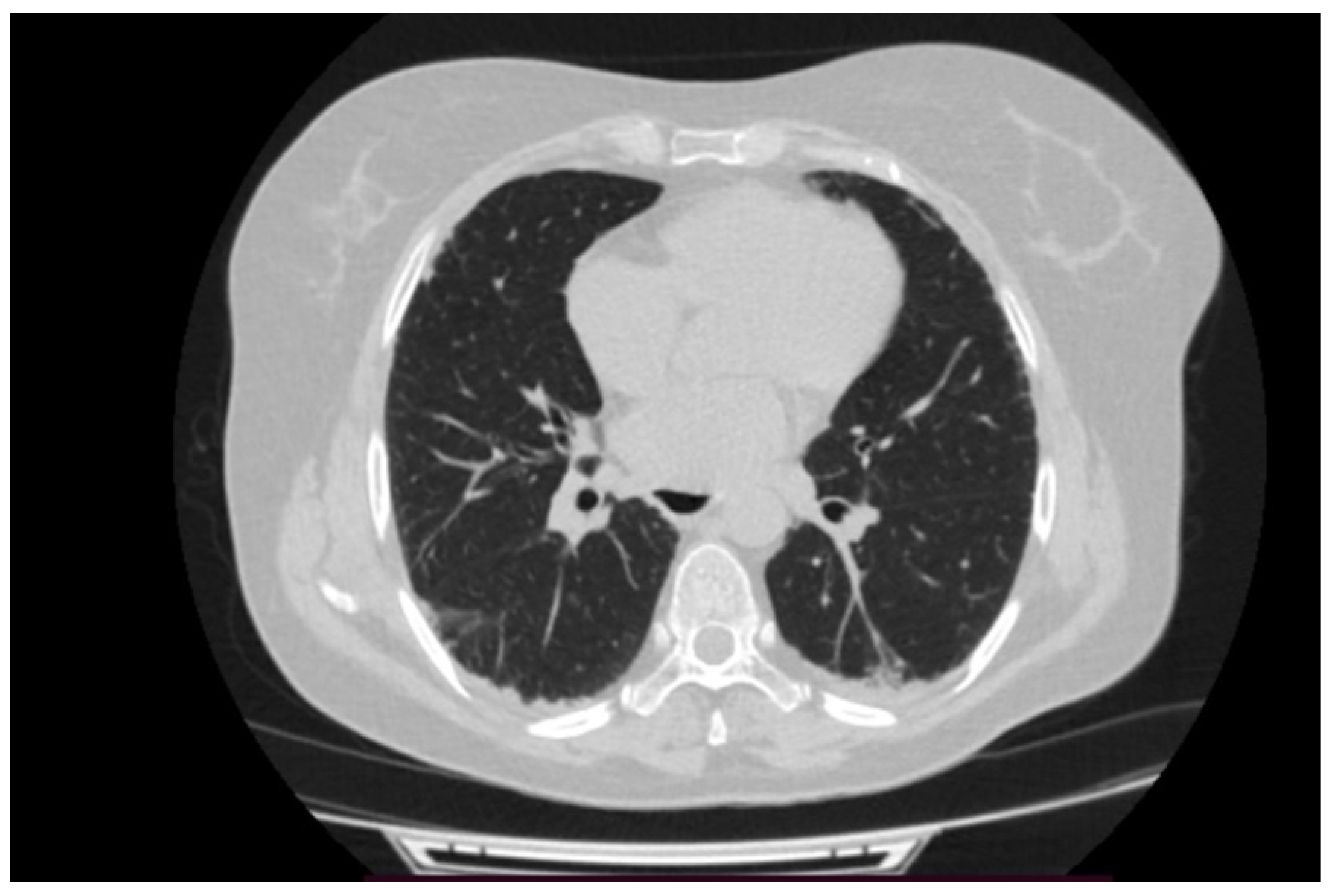
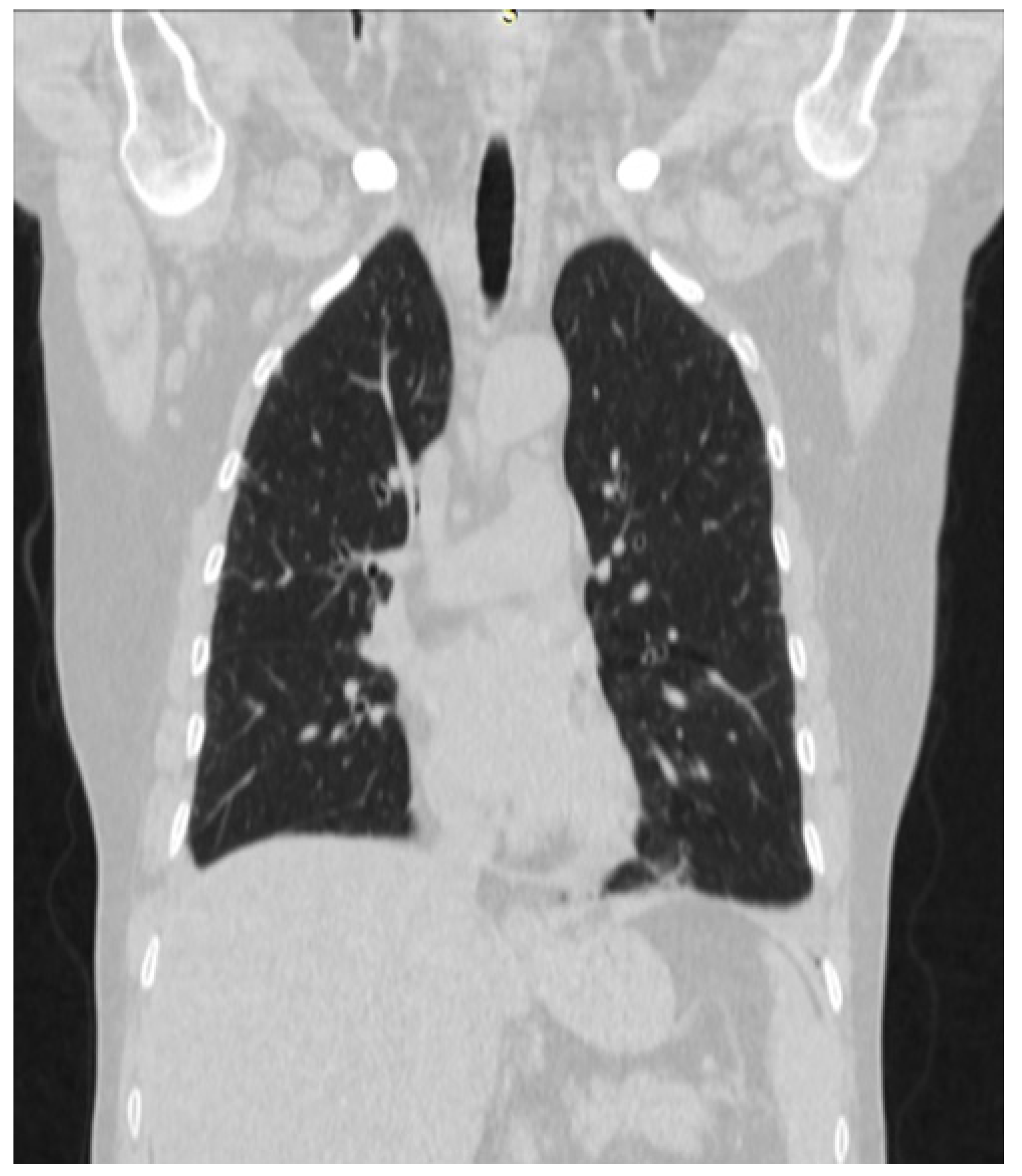
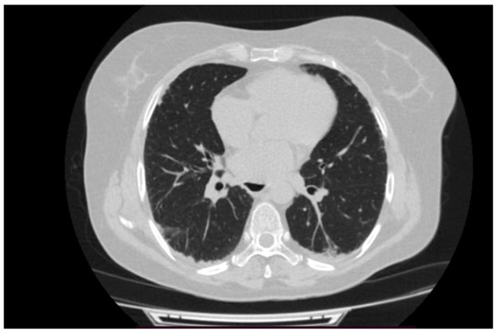
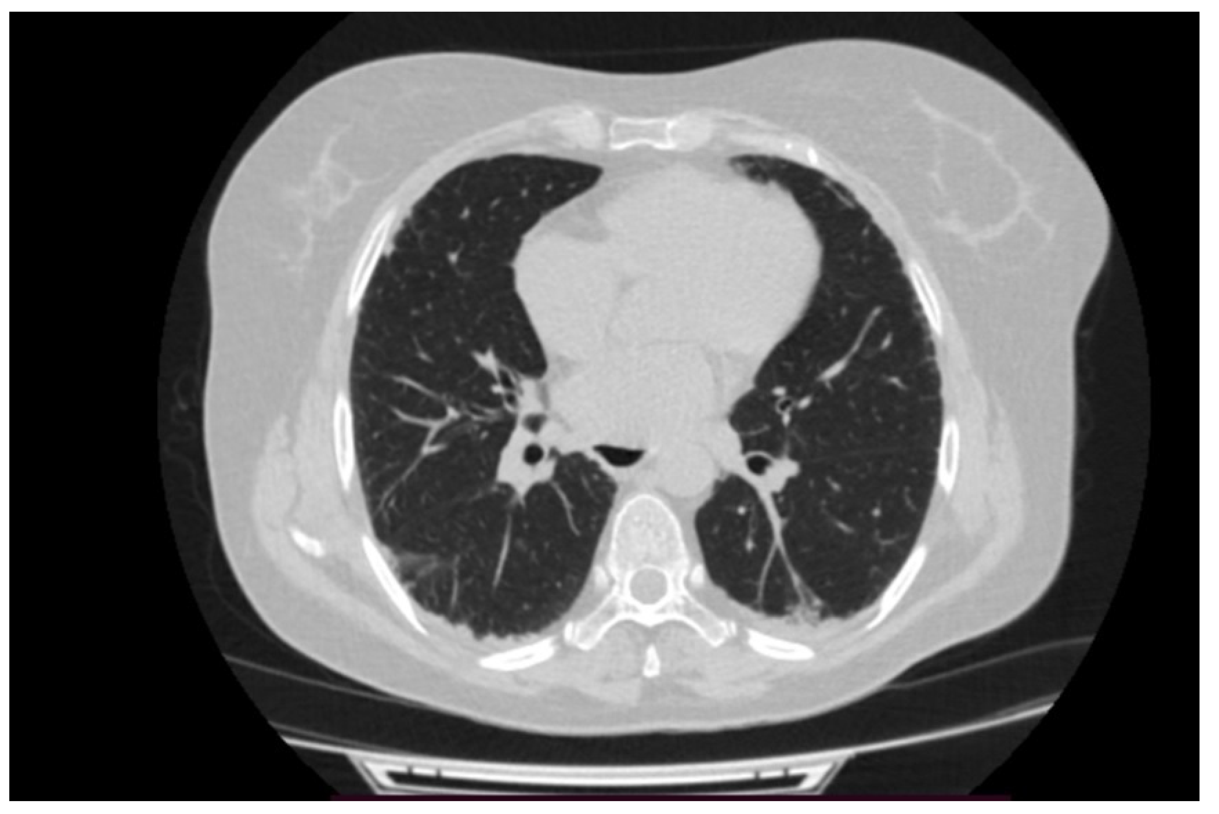
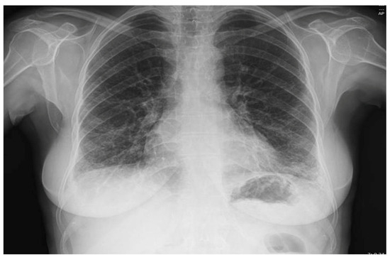
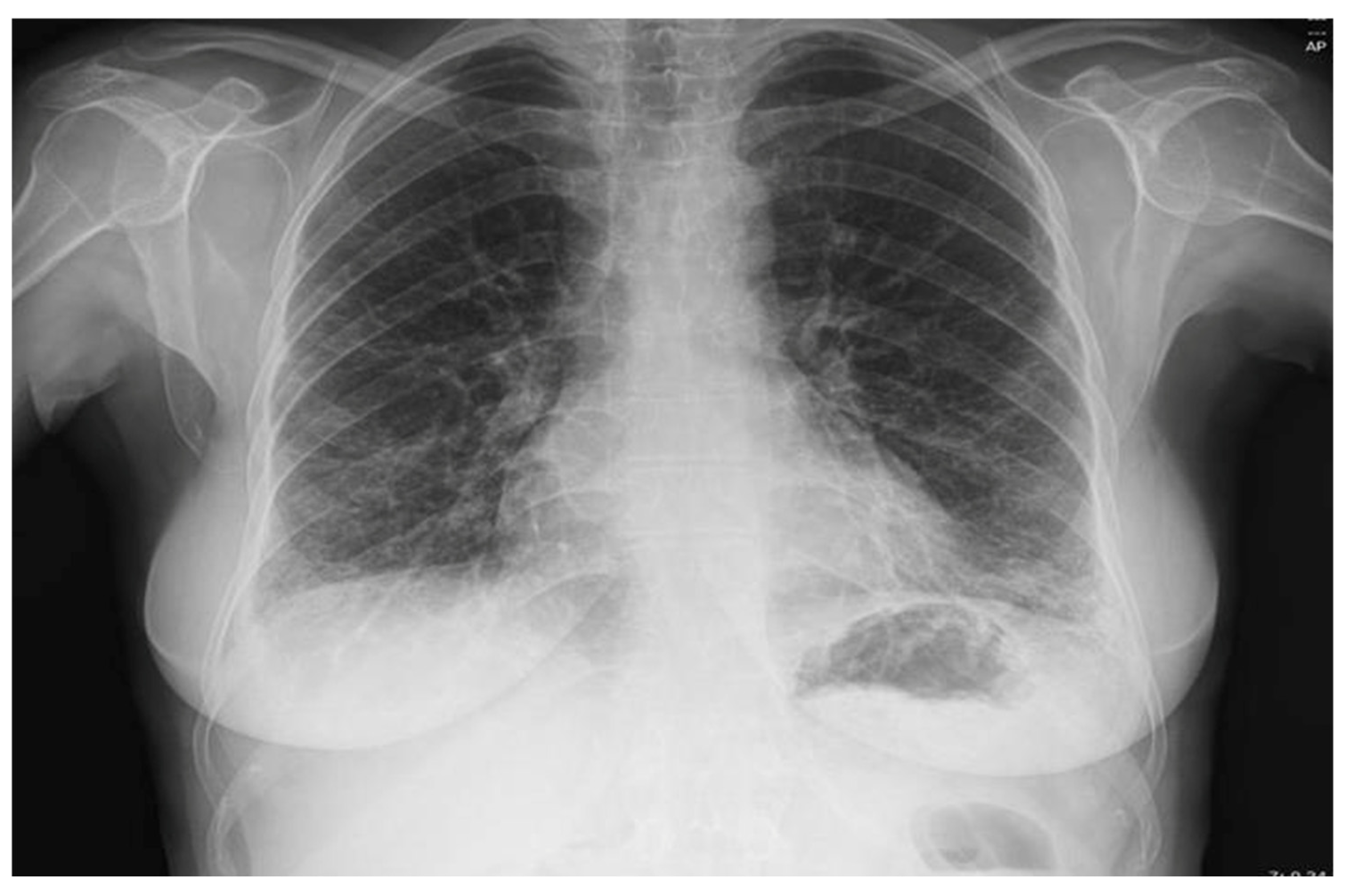
2. Case Presentation
3. Treatment and Outcome
4. Discussion
4.1. Differential Diagnosis
4.2. Early Pulmonary Involvement in Antisynthetase Syndrome—Diagnostic and Prognostic Value
5. Conclusions
Author Contributions
Funding
Institutional Review Board Statement
Informed Consent Statement
Data Availability Statement
Conflicts of Interest
Abbreviations
| ACPA | Anti-citrullinated protein antibodies |
| ANA | Antinuclear antibodies |
| ANCA | Anti-neutrophil cytoplasmic antibodies |
| ANTI-SSA (Ro/52) | Anti-Sjögren’s-syndrome-related antigen A antibodies |
| ANTI-SSB (La) | Anti-Sjögren’s-syndrome-related antigen B antibodies |
| ASyS | Antisynthetase syndrome |
| BID | Bis in die |
| CK | Creatine Kinase |
| CT | Computed tomography |
| DAS28 | Disease Activity Score 28 |
| DLCO DMARDs | Diffusing capacity of the lung for carbon monoxide Disease-modifying antirheumatic drugs |
| DNA | Deoxyribonucleic acid |
| DNA-dc | Anti-double-stranded DNA antibodies |
| ECG | Electrocardiogram |
| ESR | Erythrocyte sedimentation rate |
| FEV1 | Forced expiratory volume in 1 s |
| FVC | Forced vital capacity |
| HBsAb | Hepatitis B surface antibody |
| HBsAg | Hepatitis B surface antigen |
| HRCT | High-resolution computed tomography |
| IgG | Immunoglobulin G |
| IIM | Idiopathic inflammatory myopathy |
| ILD | Interstitial lung disease |
| LDH | Lactate dehydrogenase |
| MCTD | Mixed connective tissue disease |
| mMRC | Modified Medical Research Council (dyspnea scale) |
| NSIP | Nonspecific interstitial pneumonia |
| PAPS PCR | Pulmonary artery systolic pressure C-Reactive protein |
| PFT | Pulmonary Function Testing |
| PL-7 | threonyl |
| PL-12 | Anti-alanyl-tRNA synthetase |
| PM-Scl 70 | Polymyositis/Scleroderma 70 |
| RA | Rheumatoid arthritis |
| RF | Rheumatoid factor |
| RNA | Ribonucleic acid |
| Sm | Smith antigen (antibody) |
| SpO2 | Peripheral oxygen saturation |
| SSc | Systemic sclerosis |
| TB | Tuberculosis |
| Tid | Ter in die |
| U1-RNP | U1 small nuclear ribonucleoprotein particle |
| UIP | Usual interstitial pneumonia |
References
- Witt, L.J.; Curran, J.J.; Strek, M.E. The Diagnosis and Treatment of Antisynthetase Syndrome. Clin. Pulm. Med. 2016, 23, 218–226. [Google Scholar] [CrossRef]
- Stone, K.B.; Oddis, C.V.; Fertig, N.; Katsumata, Y.; Lucas, M.; Vogt, M.; Domsic, R.; Ascherman, D.P. Anti-Jo-1 antibody levels correlate with disease activity in idiopathic inflammatory myopathy. Arthritis Rheum. 2007, 56, 3125–3131. [Google Scholar] [CrossRef]
- Solomon, J.; Swigris, J.J.; Brown, K.K. Myositis-related interstitial lung disease and antisynthetase syndrome. J. Bras. Pneumol. 2011, 37, 100–109. [Google Scholar] [CrossRef]
- Connors, G.R.; Christopher-Stine, L.; Oddis, C.V.; Danoff, S.K. Interstitial lung disease associated with the idiopathic inflammatory myopathies: What progress has been made in the past 35 years. Chest 2010, 138, 1464–1474. [Google Scholar] [CrossRef]
- Tranah, E.; MacBrayne, A.; Bhadauria, N.; Mukerjee, D. A case of antisynthetase syndrome presenting solely with life-threatening interstitial lung disease. Clin. Med. 2023, 23, 85–87. [Google Scholar] [CrossRef]
- Chai, D.; Sun, D.; Wang, Y.; Song, Y.; Wu, N.; Ye, Q. Progression of radiographic fibrosis in rheumatoid arthritis-associated interstitial lung disease. Front. Med. 2023, 10, 1265355. [Google Scholar] [CrossRef]
- Bernstein, E.J.; Huggins, J.T.; Hummers, L.K.; Owens, G.M. Systemic sclerosis with associated interstitial lung disease: Management considerations and future directions. Am. J. Manag. Care 2021, 27, S138–S146. [Google Scholar] [CrossRef]
- Fava, A.; Petri, M. Systemic lupus erythematosus: Diagnosis and clinical management. J. Autoimmun. 2019, 96, 1–13. [Google Scholar] [CrossRef]
- Elhani, I.; Khoy, K.; Mariotte, D.; Comby, E.; Marcelli, C.; Le Mauff, B.; Audemard-Verger, A.; Boutemy, J.; Maigné, G.; Martin Silva, N.; et al. The diagnostic challenge of patients with anti-U1-RNP antibodies. Rheumatol. Int. 2023, 43, 509–521. [Google Scholar] [CrossRef]
- Mb, I.; Deepak, D.; Bhatta, A.; Lalwani, G.; Sharma, B.; Somayya, V.; Chhabra, M.; Duggal, N. Prevalence of Anti-Synthetase Syndrome in Patients of Interstitial Lung Disease with Connective Tissue Diseases and Autoimmune Features: A Cross-Sectional Study. Mediterr. J. Rheumatol. 2025, 36, 107–115. [Google Scholar] [CrossRef]
- Maddison, P.J. Overlap syndromes and mixed connective tissue disease. Curr. Opin. Rheumatol. 1991, 3, 995–1000. [Google Scholar] [CrossRef]
- Mumm, G.E.; McKown, K.M.; Bell, C.L. Antisynthetase syndrome presenting as rheumatoid-like polyarthritis. J. Clin. Rheumatol. 2010, 16, 307–312. [Google Scholar] [CrossRef]
- Cano-Jiménez, E.; Vázquez Rodríguez, T.; Martín-Robles, I.; Castillo Villegas, D.; Juan García, J.; Bollo de Miguel, E.; Robles-Pérez, A.; Ferrer Galván, M.; Mouronte Roibas, C.; Herrera Lara, S.; et al. Diagnostic delay of associated interstitial lung disease increases mortality in rheumatoid arthritis. Sci. Rep. 2021, 11, 9184. [Google Scholar] [CrossRef]
- Bahmer, T.; Romagnoli, M.; Girelli, F.; Claussen, M.; Rabe, K.F. The use of auto-antibody testing in the evaluation of interstitial lung disease (ILD)—A practical approach for the pulmonologist. Respir. Med. 2016, 113, 80–92. [Google Scholar] [CrossRef]
- Bassu, S.; Zinellu, A.; Sotgia, S.; Mangoni, A.A.; Floris, A.; Farina, G.; Passiu, G.; Carru, C.; Erre, G.L. Oxidative Stress Biomarkers and Peripheral Endothelial Dysfunction in Rheumatoid Arthritis: A Monocentric Cross-Sectional Case-Control Study. Molecules 2020, 25, 3855. [Google Scholar] [CrossRef]
- Freund, O.; Eviatar, T.; Meidan, R.; Shalmon, T.; Stav, D.; Hershko, T.; Perluk, T.M.; Wand, O.; Schneer, S.; Adir, Y.; et al. Dynamics of interstitial lung disease following immunosuppressive treatment differ between antisynthetase syndrome and systemic sclerosis. Ther. Adv. Respir. Dis. 2025, 19, 17534666251336896. [Google Scholar] [CrossRef]
- Zhao, N.; Jiang, W.; Wu, H.; Wang, P.; Wang, X.; Bai, Y.; Li, Y.; Tang, Y.; Liu, Y. Clinical features, prognostic factors, and survival of patients with antisynthetase syndrome and interstitial lung disease. Front. Immunol. 2022, 13, 872615. [Google Scholar] [CrossRef]





| Antibody Type | Serology | Results |
|---|---|---|
| Anti-PL17 | Negative | |
| Anti-PL12 | Positive | |
| Anty-synthetase | Anti-JO1 | Negative |
| Anti-EJ | Negative | |
| Anti-SRP | Negative | |
| Myositis-specific | Anti-Mi-2 | Negative |
| Anti-MDA-5 | Negative | |
| ANA | Positive | |
| Anti-RO/SSA | Positive | |
| Myositis-associated | Anti-LA/SSB | Negative |
| Anti-Ku | Negative | |
| Anti-U1 RNP | Negative | |
| Anti-PM-SCL | Negative |
| Connors et al. (2010) | Solomon et al. (2011) |
|---|---|
| Required: Presence of an anti-aminoacyl tRNA synthetase antibody PLUS the presence of one or more specific clinical features, including:
| Required: Presence of anti-aminoacyl tRNA synthetase antibody PLUS the presence of either two major criteria or one major criterion and two minor criteria; Major:
|
| 1. RA-ILD | -ACPA Negative |
|---|---|
| 2. SSc sine scleroderma | -No cutaneous signs -No esophageal dysmotility (dysphagia absent) -Negative serology (anti-Scl70, anti-centromere, PM-SCL) |
| 3. Systemic scleroderma | -Absent skin sclerosis (no sclerodactyly or digital ulcers) -Anti SCL-70 negative -Anti-centromere negative -PM-Scl negative |
| 4. Mixed connective tissue disease | -Anti U1-RNP negative |
| 5. Systemic lupus erythematosus | -Anti-DNAdc negative -Ac anti Sm negative -C3, C4 normal (no complement consumption) -no cytopenia |
Disclaimer/Publisher’s Note: The statements, opinions and data contained in all publications are solely those of the individual author(s) and contributor(s) and not of MDPI and/or the editor(s). MDPI and/or the editor(s) disclaim responsibility for any injury to people or property resulting from any ideas, methods, instructions or products referred to in the content. |
© 2025 by the authors. Licensee MDPI, Basel, Switzerland. This article is an open access article distributed under the terms and conditions of the Creative Commons Attribution (CC BY) license (https://creativecommons.org/licenses/by/4.0/).
Share and Cite
Cosău, D.E.; Costache, A.D.; Costache Enache, I.I.; Șerban, I.L.; Petrariu, L.A.; Pomîrleanu, C.; Russu, M.; Lăpuște, V.; Ancuța, C. Reclassification of Seronegative Rheumatoid Arthritis as Anti-PL-12 Antisynthetase Syndrome with Interstitial Lung Disease and Joint Involvement–Case Report. Reports 2025, 8, 123. https://doi.org/10.3390/reports8030123
Cosău DE, Costache AD, Costache Enache II, Șerban IL, Petrariu LA, Pomîrleanu C, Russu M, Lăpuște V, Ancuța C. Reclassification of Seronegative Rheumatoid Arthritis as Anti-PL-12 Antisynthetase Syndrome with Interstitial Lung Disease and Joint Involvement–Case Report. Reports. 2025; 8(3):123. https://doi.org/10.3390/reports8030123
Chicago/Turabian StyleCosău, Diana Elena, Alexandru Dan Costache, Irina Iuliana Costache Enache, Ionela Lăcrămioara Șerban, Luiza Andreea Petrariu, Cristina Pomîrleanu, Mara Russu, Vladia Lăpuște, and Codrina Ancuța. 2025. "Reclassification of Seronegative Rheumatoid Arthritis as Anti-PL-12 Antisynthetase Syndrome with Interstitial Lung Disease and Joint Involvement–Case Report" Reports 8, no. 3: 123. https://doi.org/10.3390/reports8030123
APA StyleCosău, D. E., Costache, A. D., Costache Enache, I. I., Șerban, I. L., Petrariu, L. A., Pomîrleanu, C., Russu, M., Lăpuște, V., & Ancuța, C. (2025). Reclassification of Seronegative Rheumatoid Arthritis as Anti-PL-12 Antisynthetase Syndrome with Interstitial Lung Disease and Joint Involvement–Case Report. Reports, 8(3), 123. https://doi.org/10.3390/reports8030123

