Rare Cause of Lower Gastrointestinal Bleeding—Case Presentation and Literature Review
Abstract
1. Introduction and Clinical Significance
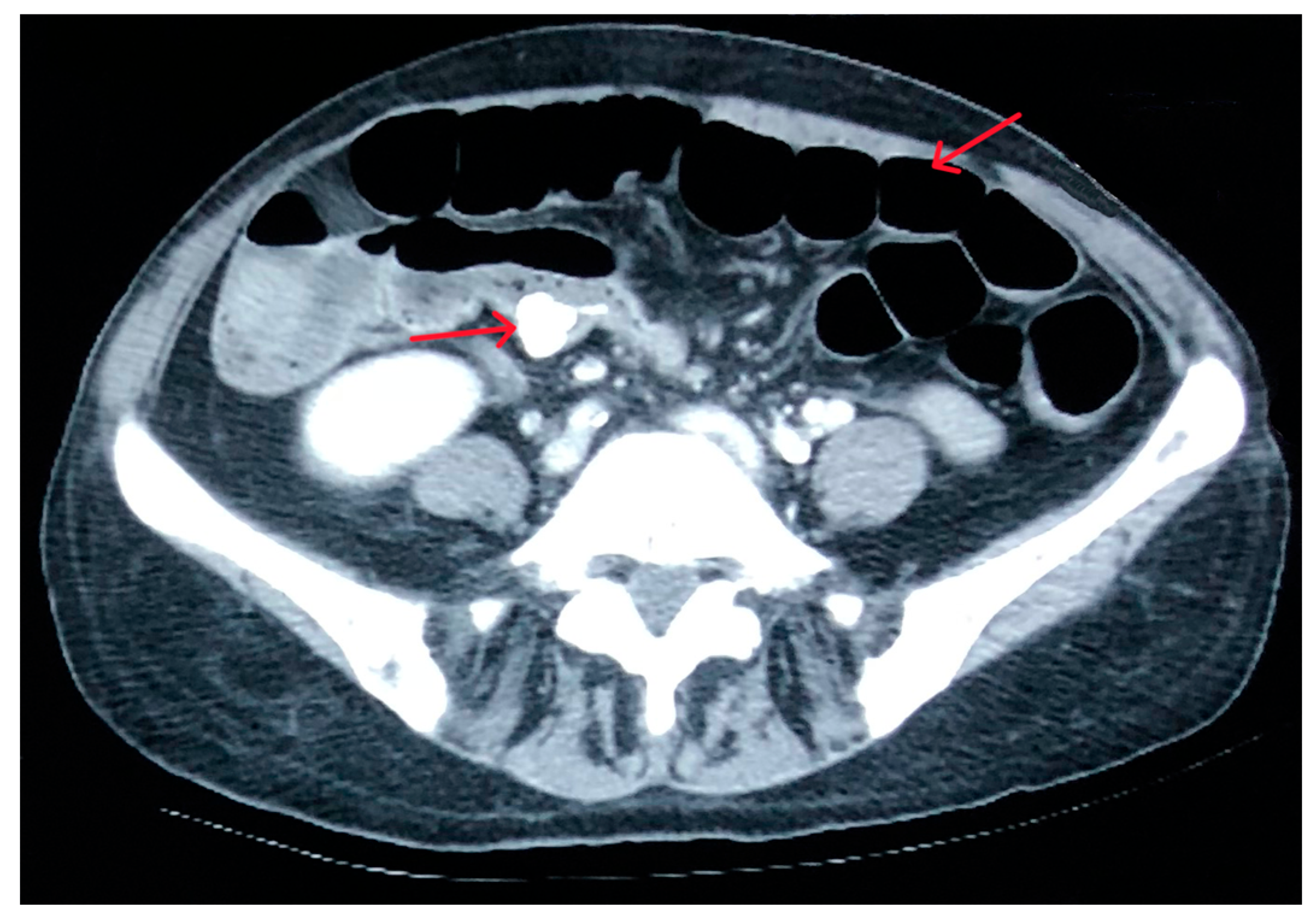
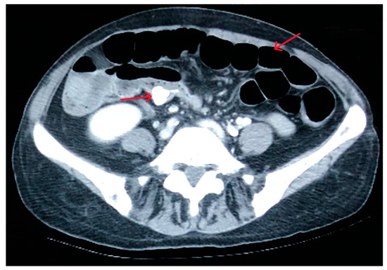
2. Case Presentation
3. Literature Review
4. Discussion
5. Conclusions
Author Contributions
Funding
Institutional Review Board Statement
Informed Consent Statement
Data Availability Statement
Acknowledgments
Conflicts of Interest
Abbreviations
| CT | Computed tomography. |
| ICU | Intensive Care Unit. |
| GI | Gastrointestinal. |
| LGIB | Lower gastrointestinal bleeding. |
References
- Peery, A.F.; Crockett, S.D.; Barritt, A.S.; Dellon, E.S.; Eluri, S.; Gangarosa, L.M.; Jensen, E.T.; Lund, J.L.; Pasricha, S.; Runge, T.; et al. Burden of Gastrointestinal, Liver, and Pancreatic Diseases in the United States. Gastroenterology 2015, 149, 1731–1741.e3. [Google Scholar] [CrossRef] [PubMed] [PubMed Central]
- Laine, L.; Yang, H.; Chang, S.C.; Datto, C. Trends for incidence of hospitalization and death due to GI complications in the United States from 2001 to 2009. Am. J. Gastroenterol. 2012, 107, 1190–1195. [Google Scholar] [CrossRef] [PubMed]
- Frost, J.; Sheldon, F.; Kurup, A.; Disney, B.R.; Latif, S.; Ishaq, S. An approach to acute lower gastrointestinal bleeding. Frontline Gastroenterol. 2017, 8, 174–182. [Google Scholar] [CrossRef] [PubMed] [PubMed Central]
- Strate, L.L.; Ayanian, J.Z.; Kotler, G.; Syngal, S. Risk factors for mortality in lower intestinal bleeding. Clin. Gastroenterol. Hepatol. 2008, 6, 1004–1010. [Google Scholar] [CrossRef] [PubMed] [PubMed Central]
- Serur, A.; Rhee, R.; Ramjist, J. Current Nonoperative Therapeutic Interventions for Lower Gastrointestinal Hemorrhage. Clin. Colon. Rectal Surg. 2020, 33, 22–27. [Google Scholar] [CrossRef] [PubMed] [PubMed Central]
- Judd, E.S.; Pollock, L.W. DIVERTICULITIS OF THE COLON. Ann. Surg. 1924, 80, 425–438. [Google Scholar] [CrossRef] [PubMed] [PubMed Central]
- Smith, W.R.; Berne, C.J. SEVERE COLONIC BLEEDING. Calif. Med. 1964, 101, 235–239. [Google Scholar] [PubMed] [PubMed Central]
- Whitlow, C.B. Endoscopic treatment for lower gastrointestinal bleeding. Clin. Colon. Rectal Surg. 2010, 23, 31–36. [Google Scholar] [CrossRef] [PubMed] [PubMed Central]
- Adegboyega, T.; Rivadeneira, D. Lower GI Bleeding: An Update on Incidences and Causes. Clin. Colon. Rectal Surg. 2020, 33, 28–34. [Google Scholar] [CrossRef] [PubMed] [PubMed Central]
- Cerruti, T.; Maillard, M.H.; Hugli, O. Acute Lower Gastrointestinal Bleeding in an Emergency Department and Performance of the SHA2PE Score: A Retrospective Observational Study. J. Clin. Med. 2021, 10, 5476. [Google Scholar] [CrossRef] [PubMed] [PubMed Central]
- Fernandes, A.; Ferreira, A.M.; Serra, P.; Carvalho, L. Intestinal ganglioneuromatosis: An unusual aetiology for occult gastrointestinal bleeding. BMJ Case Rep. 2015, 2015, bcr2015211764. [Google Scholar] [CrossRef] [PubMed] [PubMed Central]
- Pyakurel, S.; Bohara, S.; Bhattarai, S.; Regmi, S.; Karki, S.; Adhikari, M.; Gurung, B.; Shrestha, U. Osler-Weber-Rendu syndrome: A case report on a rare vascular malformation presented with lower gastrointestinal bleeding. Clin. Case Rep. 2023, 11, e6965. [Google Scholar] [CrossRef] [PubMed] [PubMed Central]
- Murakami, D.; Harada, H.; Amano, Y. An unexpected cause of lower gastrointestinal bleeding. Clin. Case Rep. 2020, 9, 586–587. [Google Scholar] [CrossRef] [PubMed] [PubMed Central]
- Waleed, M.; Ali, A.M.; Saraj, O.; Babu, S.; Morgan, R. A rare cause of lower GI bleeding. BMJ Case Rep. 2012, 2012, bcr0320126086. [Google Scholar] [CrossRef] [PubMed] [PubMed Central]
- Pospisilova, B.; Frydrych, J.; Krajina, A.; Örhalmi, J.; Kajzrlikova, I.M.; Vitek, P. Anorectal hemangioma, a rare cause of lower gastrointestinal bleeding, treated with selective embolization: A case report. World J. Gastrointest. Surg. 2024, 16, 2735–2741. [Google Scholar] [CrossRef] [PubMed] [PubMed Central]
- Kitagawa, S.; Sato, T.; Hirayama, A. Colonic Varices Due to Chronic Pancreatitis: A Rare Cause of Lower Gastrointestinal Bleeding. ACG Case Rep. J. 2015, 2, 168–170. [Google Scholar] [CrossRef] [PubMed] [PubMed Central]
- Khan, F.; Lu, S.; Parajuli, D. A Rare Cause of Massive Hematochezia: Arteriovenous Malformation of the Appendix. ACG Case Rep. J. 2021, 8, e00679. [Google Scholar] [CrossRef] [PubMed] [PubMed Central]
- Vesa, T.S.; Hosseini-Carroll, P.; Manas, K. Diverticular hemorrhage of the appendix. Gastroenterol. Hepatol. 2014, 10, 394–395. [Google Scholar] [PubMed] [PubMed Central]
- Kecmanovic, D.M.; Bulajic, M.M.; Pavlov, M.J.; Micev, M.T.; Sepetkovski, A.V.; Ceranic, M.S.; Petrovic, M.N.; Stamenkovic, A.B. Recurrent rectal bleeding from an appendiceal stump granuloma: A rare late complication of appendectomy. Endoscopy. 2005, 37, 1161. [Google Scholar] [CrossRef] [PubMed][Green Version]
- Pérez, J.S.; Cintrón, D.; Deyá-Quinquilla, A.; Molina, J.; Pagán, V.B.; Vargas-Otero, P.; Rivera, E.; Tirado-Gómez, M.; Pacheco, E.; Costas, P. Lower Gastrointestinal Bleeding Because of Kasabach-Merritt Syndrome Showing an Impressive Response to Sirolimus. ACG Case Rep. J. 2022, 9, e00688. [Google Scholar] [CrossRef] [PubMed] [PubMed Central]
- Abdulghaffar, S.; AlMulla, M.; AlNuaimi, D.; AlKetbi, R.; Khairi, T.E. A rectosigmoid haemangioma: A rare etiology of rectal bleeding. BJR Case Rep. 2022, 8, 20220084. [Google Scholar] [CrossRef] [PubMed] [PubMed Central]
- Papanikolaou, I.S.; Gkolfakis, P.; Tziatzios, G.; Grammatikos, K.; Panayiotides, I.G.; Tsakiraki, Z.; Zinovieva, I.; Dimitriadis, G.D.; Triantafyllou, K. An unusual cause of acute lower gastrointestinal bleeding: Lung adenocarcinoma metastasis to the descending colon. Clin. Case Rep. 2017, 5, 1411–1413. [Google Scholar] [CrossRef] [PubMed] [PubMed Central]
- El Eulj, O.; Koulali, H.; El Mqaddem, O.; Ismaili, Z.; Kharrasse, G. A rare cause of rectal bleeding in a 48-year-old lupus patient. Radiol. Case Rep. 2023, 19, 315–318. [Google Scholar] [CrossRef] [PubMed] [PubMed Central]
- Cheng, H.H.; Chen, T.W.; Chou, J.W. A rare cause of rectal bleeding. Turk. J. Gastroenterol. 2019, 30, 984–985. [Google Scholar] [CrossRef] [PubMed] [PubMed Central]
- Kóder, G.; Dinya, T.; Tóth, D.; Damjanovich, L.; Ágoston, L.; Tanyi, M. Rare case of successfully operated idiopathic colonic varicosity. Int. J. Surg. Case Rep. 2024, 123, 110196. [Google Scholar] [CrossRef] [PubMed] [PubMed Central]
- Martinez-Mier, G.; Ortiz-Bayliss, A.B.; Alvarado-Arenas, R.; Carrasco-Arroniz, M.A. Caecum lipoma: A rare cause of lower gastrointestinal bleeding. BMJ Case Rep. 2014, 2014, bcr2014206526. [Google Scholar] [CrossRef] [PubMed] [PubMed Central]
- Chiang, T.H.; Lee, Y.W.; Tan, J.H.; Kao, C.C.; Chang, C.C.; Fang, K.C. Mucormycosis causing massive lower gastrointestinal bleeding: A case report. BMC Gastroenterol. 2021, 21, 272. [Google Scholar] [CrossRef] [PubMed] [PubMed Central]
- Khalid, A.; Abdelrahman, H.; Ali, S.M.; Latif, E.A.; Al-Thani, H.; El-Menyar, A. Dieulafoy’s Lesion of the Anal Canal: A Rare Cause of Lower Gastrointestinal Bleeding. Am. J. Case Rep. 2017, 18, 677–681. [Google Scholar] [CrossRef] [PubMed] [PubMed Central]
- Hui, Y.Y.; Zhu, L.P.; Yang, B.; Zhang, Z.Y.; Zhang, Y.J.; Chen, X.; Wang, B.M. Gastrointestinal bleeding caused by jejunal angiosarcoma: A case report. World J. Clin. Cases. 2020, 8, 4565–4571. [Google Scholar] [CrossRef] [PubMed] [PubMed Central]
- Zhou, S.Y.; Guo, M.D.; Ye, X.H. Appendiceal bleeding: A case report. World J. Clin. Cases. 2022, 10, 6314–6318. [Google Scholar] [CrossRef] [PubMed] [PubMed Central]
- Chung, K.S.; Gao, J.P. Massive lower gastrointestinal bleeding from the appendix. Gut Liver. 2011, 5, 234–237. [Google Scholar] [CrossRef] [PubMed] [PubMed Central]
- Ma, Q.; Du, J.J. Appendiceal bleeding caused by vascular malformation: A case report. World J. Clin. Cases. 2024, 12, 2457–2462. [Google Scholar] [CrossRef] [PubMed] [PubMed Central]
- Baek, S.K.; Kim, Y.H.; Kim, S.P. Acute lower gastrointestinal bleeding due to appendiceal mucosal erosion. Surg. Laparosc. Endosc. Percutan Tech. 2010, 20, e110–e113. [Google Scholar] [CrossRef] [PubMed]
- de Santana Neto, W.B.; Neto, G.T.; da Cunhaa, C.M.Q.; Brasil, A.C.; Feitosa, J.N.P. Anorectal hemangioma—differential diagnosis of anal bleeding. J. Coloproctol. 2017, 37, 44–46. [Google Scholar] [CrossRef][Green Version]


Disclaimer/Publisher’s Note: The statements, opinions and data contained in all publications are solely those of the individual author(s) and contributor(s) and not of MDPI and/or the editor(s). MDPI and/or the editor(s) disclaim responsibility for any injury to people or property resulting from any ideas, methods, instructions or products referred to in the content. |
© 2025 by the authors. Licensee MDPI, Basel, Switzerland. This article is an open access article distributed under the terms and conditions of the Creative Commons Attribution (CC BY) license (https://creativecommons.org/licenses/by/4.0/).
Share and Cite
Iorga, C.; Iorga, C.R. Rare Cause of Lower Gastrointestinal Bleeding—Case Presentation and Literature Review. Reports 2025, 8, 82. https://doi.org/10.3390/reports8020082
Iorga C, Iorga CR. Rare Cause of Lower Gastrointestinal Bleeding—Case Presentation and Literature Review. Reports. 2025; 8(2):82. https://doi.org/10.3390/reports8020082
Chicago/Turabian StyleIorga, Cristian, and Cristina Raluca Iorga. 2025. "Rare Cause of Lower Gastrointestinal Bleeding—Case Presentation and Literature Review" Reports 8, no. 2: 82. https://doi.org/10.3390/reports8020082
APA StyleIorga, C., & Iorga, C. R. (2025). Rare Cause of Lower Gastrointestinal Bleeding—Case Presentation and Literature Review. Reports, 8(2), 82. https://doi.org/10.3390/reports8020082

