Deer Horn Sign in Congestive Hepatopathy Due to Heart Failure
Abstract
1. Introduction and Clinical Significance
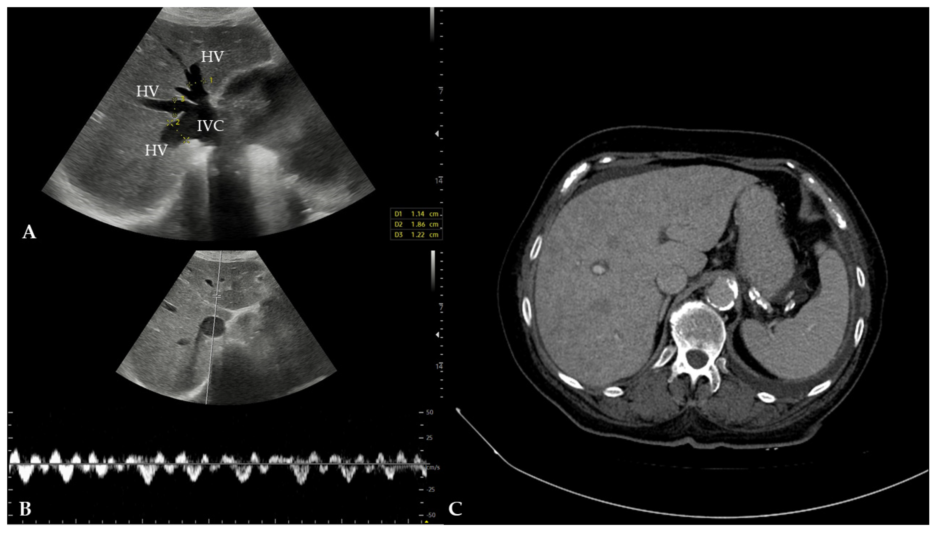
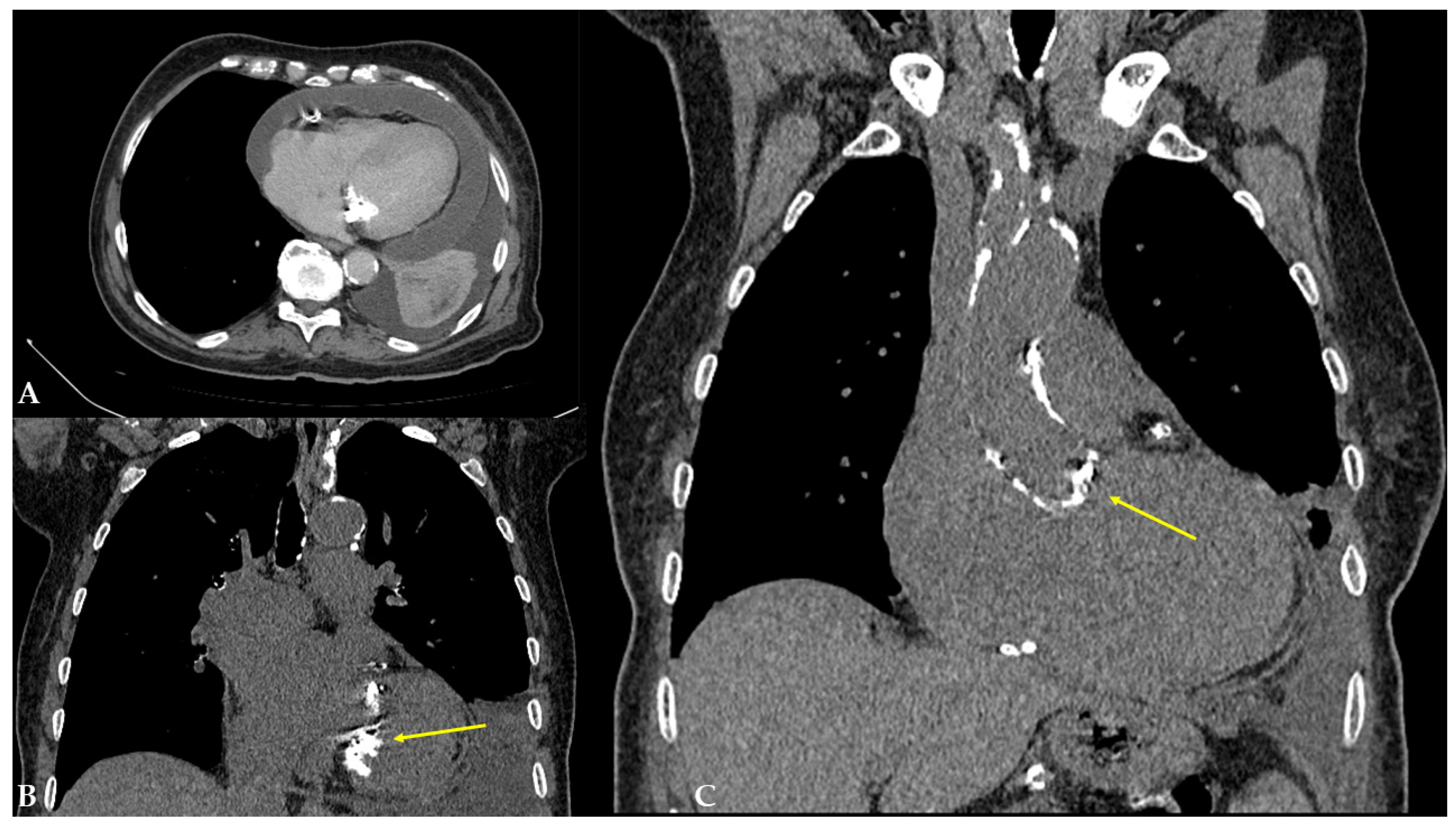
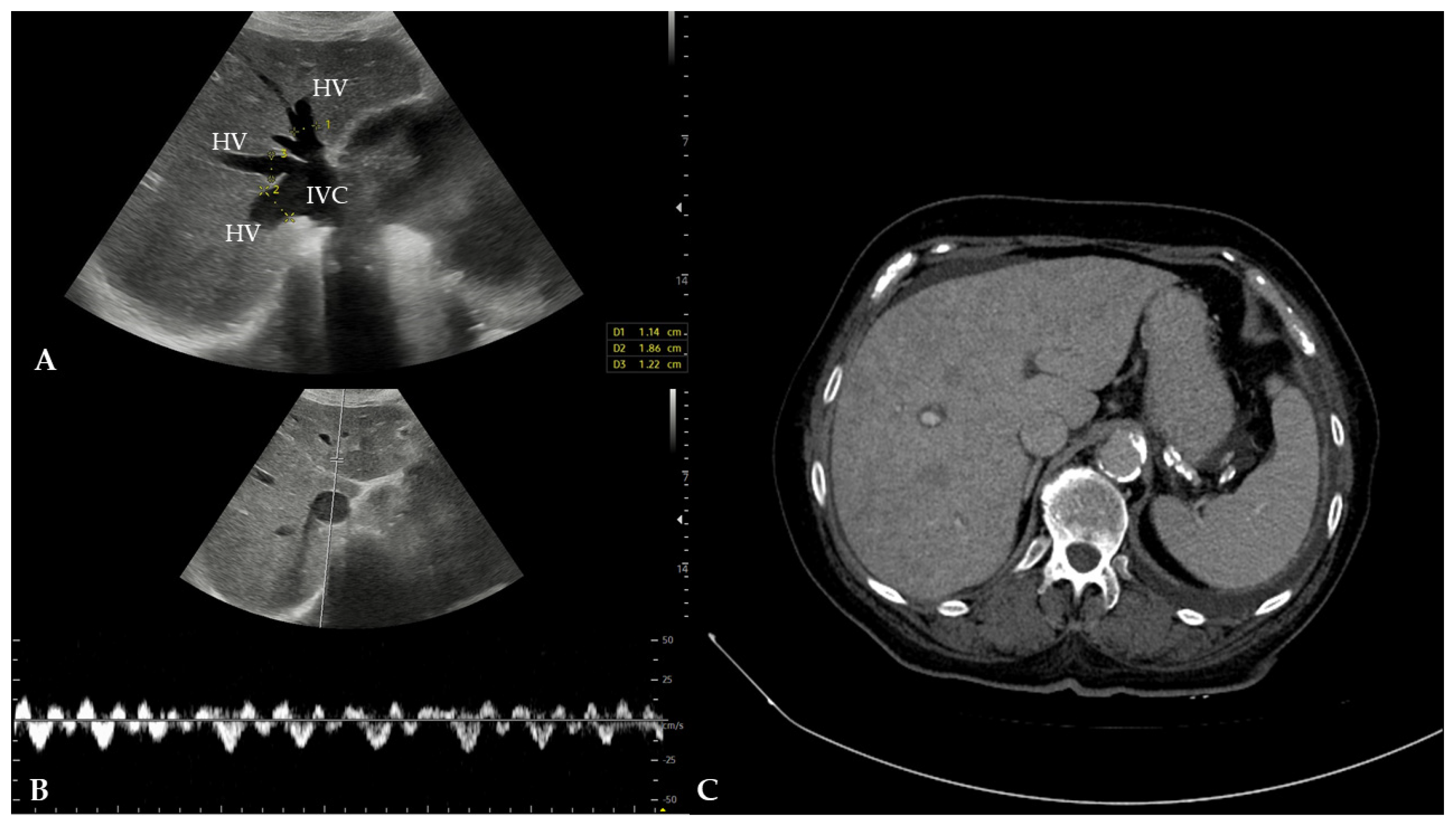
2. Case Presentation
3. Discussion
4. Conclusions
Author Contributions
Funding
Institutional Review Board Statement
Informed Consent Statement
Data Availability Statement
Conflicts of Interest
References
- Ramanathan, S.; Sheikh, A. Playboy Bunny Sign. Abdom. Radiol. 2019, 44, 1938–1939. [Google Scholar] [CrossRef] [PubMed]
- Xiang, H.; Han, J.; Ridley, W.E.; Ridley, L.J. Playboy Bunny and Moose Head Sign: Hepatic Veins in Congestive Heart Failure. J. Med. Imag. Rad. Onc. 2018, 62, 99–100. [Google Scholar] [CrossRef] [PubMed]
- Hokama, A.; Arakaki, S.; Shibata, D.; Maeshiro, T.; Kinjo, F.; Fujita, J. “Playboy Bunny” Sign of Congestive Heart Failure. WestJEM 2011, 12, 433–434. [Google Scholar] [CrossRef] [PubMed]
- Akdemir, R.; Yildiz, A.; Bulur, S.; Kaya, A.; Bilir, C.; Uyan, C. Deer Horn Image in the Liver Associated with Giant Right Atrium. Am. J. Geriatr. Cardiol. 2007, 16, 200–201. [Google Scholar] [CrossRef] [PubMed]
- Vijay, J.; Naganur, S. Bunny Image and Deer Horn Sign in Heart Failure; A Clue Not to Miss! Heart Fail. J. India 2023, 1, 67. [Google Scholar] [CrossRef]
- Wells, M.L.; Venkatesh, S.K. Congestive hepatopathy. Abdom. Radiol. 2018, 43, 2037–2051. [Google Scholar] [CrossRef] [PubMed]
- Li, J.; Wang, C.; Dong, H.W.; Qi, J.; Rao, C.; Li, Q.; He, K. Inferior vena cava diameter in patients with chronic heart failure and chronic kidney disease: A retrospective study. Eur. J. Med. Res. 2025, 30, 30. [Google Scholar] [CrossRef] [PubMed]
- Brancatelli, G.; Vilgrain, V.; Federle, M.P.; Hakime, A.; Lagalla, R.; Iannaccone, R.; Valla, D. Budd-Chiari syndrome: Spectrum of imaging findings. AJR Am. J. Roentgenol. 2007, 188, W168–W176. [Google Scholar] [CrossRef] [PubMed]
- Chan, S.S.; Colecchia, A.; Duarte, R.F.; Bonifazi, F.; Ravaioli, F.; Bourhis, J.H. Imaging in Hepatic Veno-Occlusive Disease/Sinusoidal Obstruction Syndrome. Biol. Blood Marrow Transplant. 2020, 26, 1770–1779. [Google Scholar] [CrossRef] [PubMed]



| Blood Test | Value | Reference Value |
|---|---|---|
| Glucose | 8.3 | 4.4–6.4 mmol/L |
| AST | 89 | 11–34 U/L |
| ALT | 73 | 8–41 U/L |
| GGT | 42 | 9–35 U/L |
| Total bilirubin | 41 | 3–20 μmol/L |
| Creatinine | 110 | 49–90 μmol/L |
| Alfa-amylase | 112 | 23–91 U/L |
| Lipase | 118 | 13–60 U/L |
| CRP | 99 | <5 mg/L |
| NT-proBNP | 14235.8 | <125 ng/L |
| High-sensitivity troponin I | 22.1 | 15.6 ng/L for those older than 20 years of age |
Disclaimer/Publisher’s Note: The statements, opinions and data contained in all publications are solely those of the individual author(s) and contributor(s) and not of MDPI and/or the editor(s). MDPI and/or the editor(s) disclaim responsibility for any injury to people or property resulting from any ideas, methods, instructions or products referred to in the content. |
© 2025 by the authors. Licensee MDPI, Basel, Switzerland. This article is an open access article distributed under the terms and conditions of the Creative Commons Attribution (CC BY) license (https://creativecommons.org/licenses/by/4.0/).
Share and Cite
Ferenc, T.; Matković, A.; Svetec, J.; Brkić, F.; Bratić, T.; Perić, V.; Vidjak, V. Deer Horn Sign in Congestive Hepatopathy Due to Heart Failure. Reports 2025, 8, 79. https://doi.org/10.3390/reports8020079
Ferenc T, Matković A, Svetec J, Brkić F, Bratić T, Perić V, Vidjak V. Deer Horn Sign in Congestive Hepatopathy Due to Heart Failure. Reports. 2025; 8(2):79. https://doi.org/10.3390/reports8020079
Chicago/Turabian StyleFerenc, Thomas, Andro Matković, Jelena Svetec, Filip Brkić, Tomica Bratić, Vitorio Perić, and Vinko Vidjak. 2025. "Deer Horn Sign in Congestive Hepatopathy Due to Heart Failure" Reports 8, no. 2: 79. https://doi.org/10.3390/reports8020079
APA StyleFerenc, T., Matković, A., Svetec, J., Brkić, F., Bratić, T., Perić, V., & Vidjak, V. (2025). Deer Horn Sign in Congestive Hepatopathy Due to Heart Failure. Reports, 8(2), 79. https://doi.org/10.3390/reports8020079

