Multifaceted Primary Ciliary Dyskinesia—A Case Report
Abstract
1. Introduction
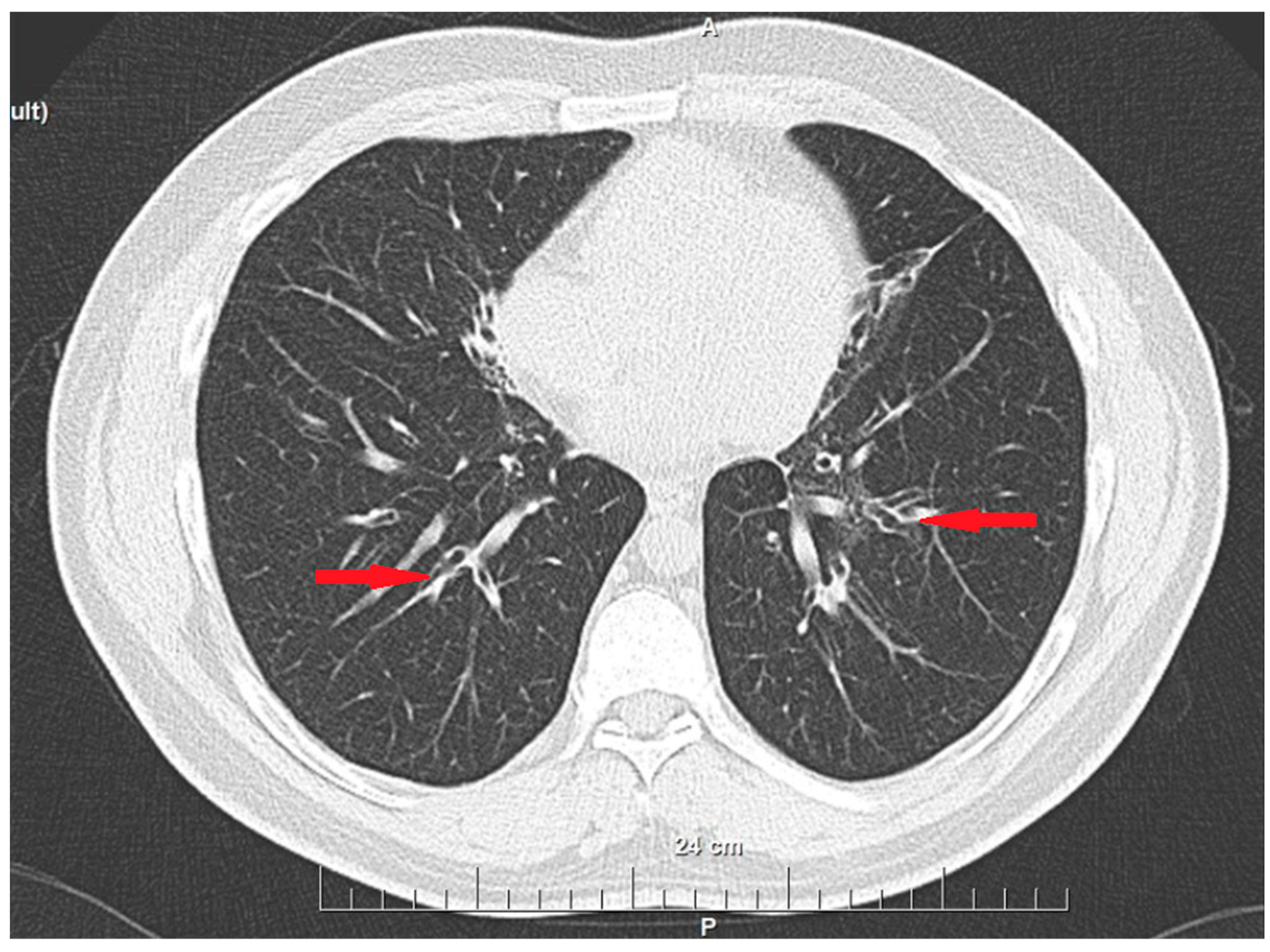
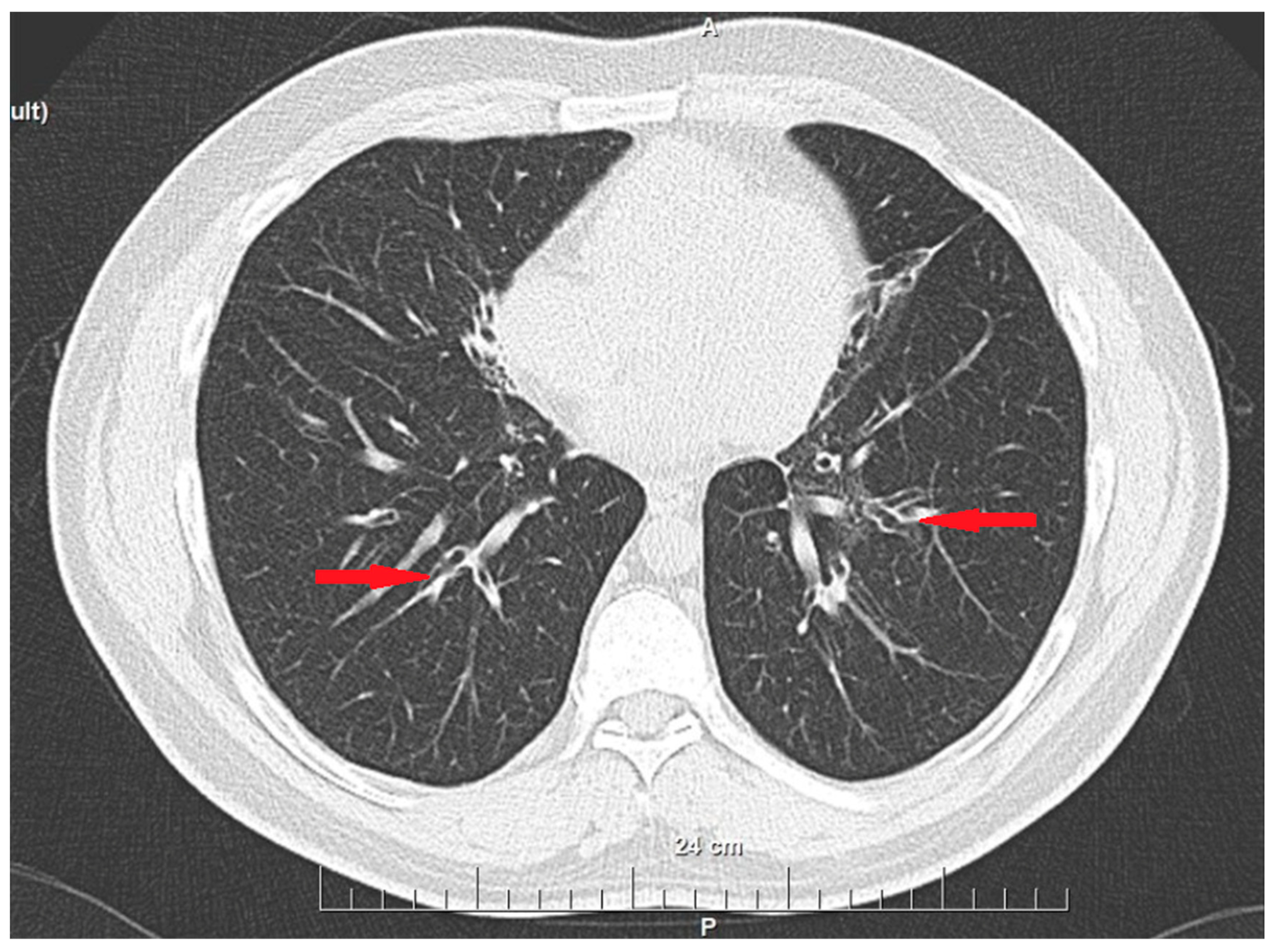
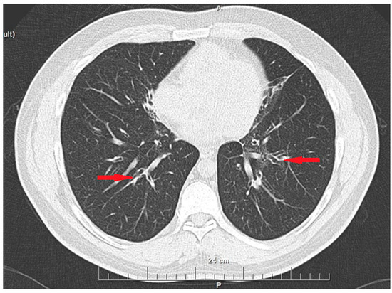
2. Case History
3. Discussion
4. Conclusions
Author Contributions
Funding
Institutional Review Board Statement
Informed Consent Statement
Data Availability Statement
Conflicts of Interest
Abbreviations
| PCD | Primary ciliary dyskinesia |
| WES | Whole exome sequencing |
References
- Zariwala, M.A.; Knowles, M.R.; Leigh, M.W. Primary Ciliary Dyskinesia. In GeneReviews® [Internet]; Adam, M.P., Feldman, J., Mirzaa, G.M., Eds.; University of Washington: Seattle, WA, USA, 2019. [Google Scholar]
- Failly, M.; Bartoloni, L.; Letourneau, A.; Munoz, A.; Falconnet, E.; Rossier, C.; De Santi, M.M.; Santamaria, F.; Sacco, O.; DeLozier-Blanchet, C.D.; et al. Mutations in DNAH5 account for only 15% of a non-preselected cohort of patients with primary ciliary dyskinesia. J. Med. Genet. 2009, 46, 281–286. [Google Scholar] [CrossRef]
- Badano, J.L.; Mitsuma, N.; Beales, P.L.; Katsanis, N. The Ciliopathies: An Emerging Class of Human Genetic Disorders. Annu. Rev. Genomics Hum. Genet. 2006, 7, 125–148. [Google Scholar] [CrossRef] [PubMed]
- Braun, D.A.; Hildebrandt, F. Ciliopathies. Cold Spring Harb. Perspect. Biol. 2017, 9, a028191. [Google Scholar] [CrossRef]
- Goh, G.; Choi, M. Application of Whole Exome Sequencing to Identify Disease-Causing Variants in Inherited Human Diseases. Genom. Inform. 2012, 10, 214. [Google Scholar] [CrossRef]
- Jeanson, L.; Copin, B.; Papon, J.F.; Dastot-Le Moal, F.; Duquesnoy, P.; Montantin, G.; Cadranel, J.; Corvol, H.; Coste, A.; Désir, J.; et al. RSPH3 Mutations Cause Primary Ciliary Dyskinesia with Central-Complex Defects and a Near Absence of Radial Spokes. Am. J. Hum. Genet. 2015, 97, 153–162. [Google Scholar] [CrossRef]
- Jivan, A.; Earnest, S.; Juang, Y.C.; Cobb, M.H. Radial Spoke Protein 3 Is a Mammalian Protein Kinase A-anchoring Protein that Binds ERK1/2. J. Biol. Chem. 2009, 284, 29437–29445. [Google Scholar] [CrossRef]
- Mirra, V.; Werner, C.; Santamaria, F. Primary Ciliary Dyskinesia: An Update on Clinical Aspects, Genetics, Diagnosis, and Future Treatment Strategies. Front. Pediatr. 2017, 9, 5. [Google Scholar] [CrossRef]
- Gileles-Hillel, A.; Mor-Shaked, H.; Shoseyov, D.; Reiter, J.; Tsabari, R.; Hevroni, A.; Cohen-Cymberknoh, M.; Amirav, I.; Brammli-Greenberg, S.; Horani, A.; et al. Whole-exome sequencing accuracy in the diagnosis of primary ciliary dyskinesia. ERJ Open Res. 2020, 6, 00213–02020. [Google Scholar] [CrossRef] [PubMed]
- Al Alawi, I.; Al Riyami, M.; Barroso-Gil, M.; Powell, L.; Olinger, E.; Al Salmi, I.; Sayer, J.A. The diagnostic yield of whole exome sequencing as a first approach in consanguineous Omani renal ciliopathy syndrome patients. F1000Research 2021, 7, 207. [Google Scholar] [CrossRef] [PubMed]
- Modarage, K.; Malik, S.A.; Goggolidou, P. Molecular Diagnostics of Ciliopathies and Insights into Novel Developments in Diagnosing Rare Diseases. Br. J. Biomed. Sci. 2022, 10, 79. [Google Scholar] [CrossRef] [PubMed]
- Waters, A.M.; Beales, P.L. Ciliopathies: An expanding disease spectrum. Pediatr. Nephrol. 2011, 26, 1039–1056. [Google Scholar] [CrossRef] [PubMed]
- Oud, M.S.; Houston, B.J.; Volozonoka, L.; Mastrorosa, F.K.; Holt, G.S.; Alobaidi, B.K.S.; deVries, P.F.; Astuti, G.; Ramos, L.; Mclachlan, R.I. Exome sequencing reveals variants in known and novel candidate genes for severe sperm motility disorders. Hum. Reprod. 2021, 36, 2597–2611. [Google Scholar] [CrossRef]


Disclaimer/Publisher’s Note: The statements, opinions and data contained in all publications are solely those of the individual author(s) and contributor(s) and not of MDPI and/or the editor(s). MDPI and/or the editor(s) disclaim responsibility for any injury to people or property resulting from any ideas, methods, instructions or products referred to in the content. |
© 2025 by the authors. Licensee MDPI, Basel, Switzerland. This article is an open access article distributed under the terms and conditions of the Creative Commons Attribution (CC BY) license (https://creativecommons.org/licenses/by/4.0/).
Share and Cite
Yahya, D.; Benkova-Petrova, M.; Petrov, A.; Hachmeriyan, M. Multifaceted Primary Ciliary Dyskinesia—A Case Report. Reports 2025, 8, 20. https://doi.org/10.3390/reports8010020
Yahya D, Benkova-Petrova M, Petrov A, Hachmeriyan M. Multifaceted Primary Ciliary Dyskinesia—A Case Report. Reports. 2025; 8(1):20. https://doi.org/10.3390/reports8010020
Chicago/Turabian StyleYahya, Dinnar, Miroslava Benkova-Petrova, Aleksandar Petrov, and Mari Hachmeriyan. 2025. "Multifaceted Primary Ciliary Dyskinesia—A Case Report" Reports 8, no. 1: 20. https://doi.org/10.3390/reports8010020
APA StyleYahya, D., Benkova-Petrova, M., Petrov, A., & Hachmeriyan, M. (2025). Multifaceted Primary Ciliary Dyskinesia—A Case Report. Reports, 8(1), 20. https://doi.org/10.3390/reports8010020

