Intraoral Lipoma on the Palate of an 11-Year-Old Patient: A Case Report
Abstract
1. Introduction and Clinical Significance
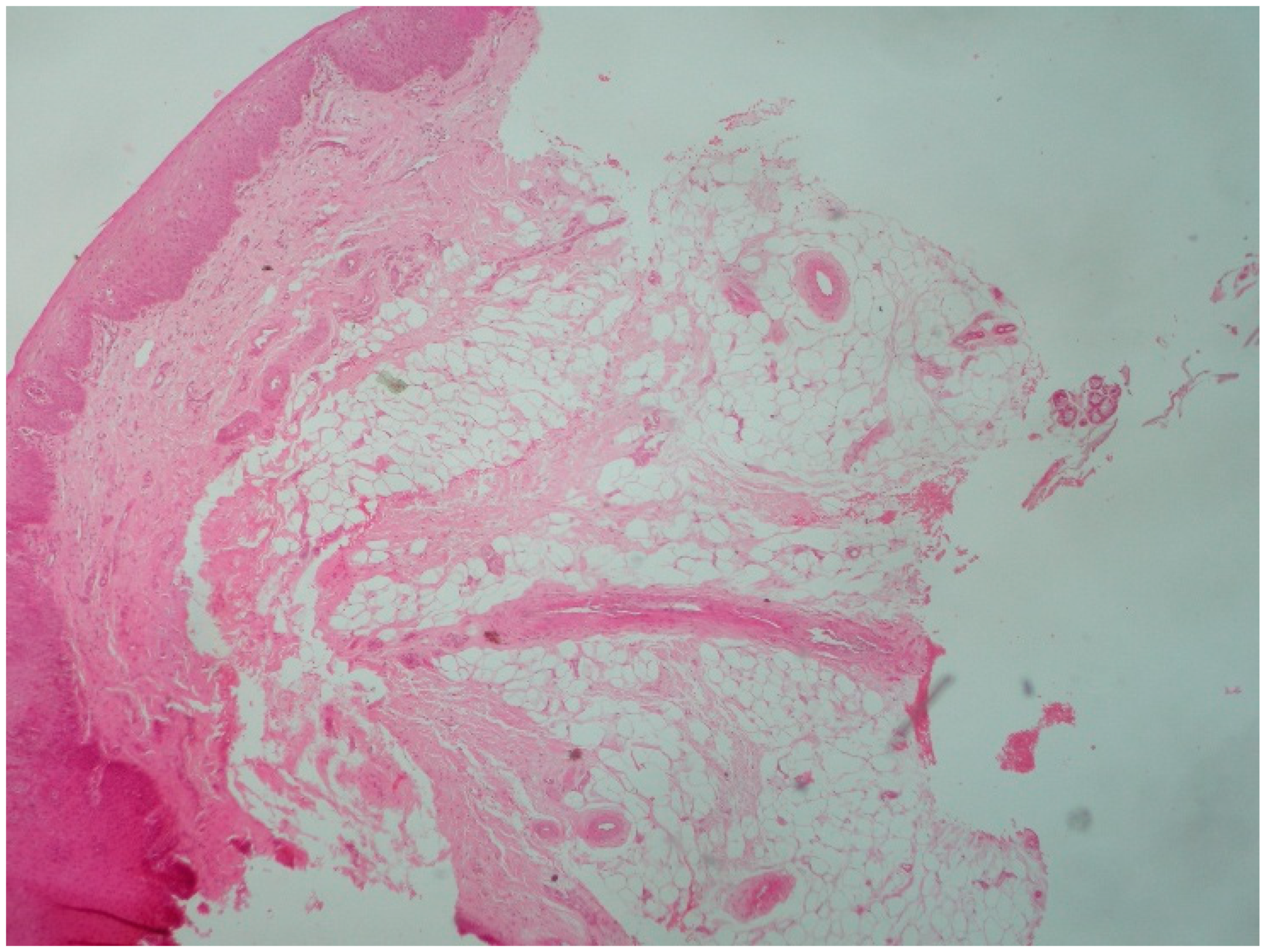
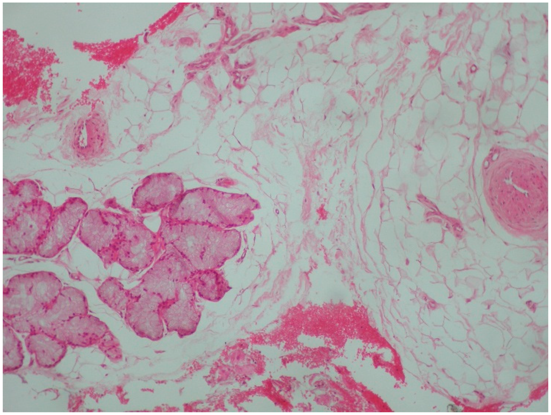
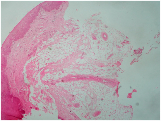
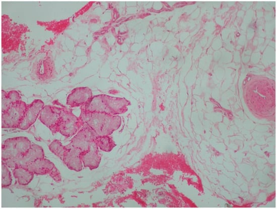
2. Case Presentation
3. Discussion
4. Conclusions
Author Contributions
Funding
Institutional Review Board Statement
Informed Consent Statement
Data Availability Statement
Conflicts of Interest
References
- Cardoen, L.; Nicolas, N.; Le Gaudu, V.; Gauthier, A.; Carton, M.; Berrebi, D.; Brisse, H.J. Fat-Containing Soft Tissue Tumors in Children, Adolescents, and Young Adults: Which Require Biopsy? Cancers 2023, 15, 3228. [Google Scholar] [CrossRef]
- Özşen, M.; Yalçinkaya, U.; Yazici, Z.; Sarisözen, M.B. Lipomatous Tumors in Pediatric Patients: A Retrospective Analysis of 50 cases. Turk. J. Pathol. 2020, 36, 1. [Google Scholar] [CrossRef]
- Cho, J.H.; Kim, J.K.; Lee, H.Y.; Yoon, J.H. Surgical anatomy of human soft palate. Laryngoscope 2013, 123, 2900–2904. [Google Scholar] [CrossRef]
- Yang, Y.; Zuo, H.; Ding, M.; Ma, F.; Zhao, L.; Zhang, J. A Rare Lipoma of Tongue in a 4-Year-Old Child: A Case Report with Literature Review. Ear Nose Throat J. 2024, 01455613241237083. [Google Scholar] [CrossRef] [PubMed]
- Venkateswarlu, M.; Geetha, P.; Srikanth, M. A rare case of intraoral lipoma in a six year-old child: A case report. Int. J. Oral. Sci. 2011, 3, 43–46. [Google Scholar] [CrossRef] [PubMed]
- Kumar, L.K.S.; Kurien, N.M.; Raghavan, V.B.; Menon, P.V.; Khalam, S.A. Intraoral Lipoma: A Case Report. Case Rep. Med. 2014, 2014, 480130. [Google Scholar] [CrossRef] [PubMed]
- Fregnani, E.R.; Pires, F.R.; Falzoni, R.; Lopes, M.A.; Vargas, P.A. Lipomas of the oral cavity: Clinical findings, histological classification and proliferative activity of 46 cases. Int. J. Oral. Maxillofac. Surg. 2003, 32, 49–53. [Google Scholar] [CrossRef] [PubMed]
- Medina-Morell, J.R.; Avilés-Fernández, K.; Hernandez-Sanchez, Z.K.; Ortiz-Justiniano, V. Perianal and gluteal lipomatosis in a child: A case report. J. Pediatr. Surg. Case Rep. 2024, 110, 102874. [Google Scholar] [CrossRef]
- Ameloot, E.; Cordier, F.; Van Dorpe, J.; Creytens, D. Update of Pediatric Lipomatous Lesions: A Clinicopathological, Immunohistochemical and Molecular Overview. J. Clin. Med. 2022, 11, 1938. [Google Scholar] [CrossRef]
- Torres-Parlange, A.; Martínez-Cárdenas, E.K.; Blancarte-Vidal, O.; Dueñez-Uriarte, Y.; González-Ortiz, A.M.; Torres-Salazar, Q.L. Sialolipoma of the parotid gland: A rare entity. Case report. Int. J. Surg. Case Rep. 2024, 115, 109264. [Google Scholar] [CrossRef]
- Morerio, C.; Nozza, P.; Tassano, E.; Rosanda, C.; Granata, C.; Conte, M.; Panarello, C. Differential diagnosis of lipoma-like lipoblastoma. Pediatr. Blood Cancer 2008, 52, 132–134. [Google Scholar] [CrossRef] [PubMed]
- Maree, G.; Gawrieh, B.; Omran, A.; Ali, W. A rare lipoma site in a 1-year-old boy. J. Surg. Case Rep. 2021, 2021, rjab447. [Google Scholar] [CrossRef] [PubMed]
- Dehghani, N.; Razmara, F.; Padeganeh, T.; Mahmoudi, X. Oral lipoma: Case report and review of literature. Clin. Case Rep. 2019, 7, 809–815. [Google Scholar] [CrossRef] [PubMed]
- Pattipati, S.; Kumar, M.N.; Ramadevi; Kumar, B.P. Palatal Lipoma: A Case Report. J. Clin. Diagn. Res. 2013, 7, 3105–3106. [Google Scholar] [CrossRef] [PubMed]
- Özkul, E.; Elçi, S.; Elçi, M.; Alemdar, C. Big and deep seated lipomatous tumours in children: Results of surgical treatment. Acta Orthop. Belg. 2021, 87, 197–200. [Google Scholar] [CrossRef] [PubMed]
- Bakshi, S.S.; Priya, M.; Coumare, V.N.; Vijayasundaram, S.; Karanam, L.; Number, H.B. A common tumor in an uncommon location: Lipoma of the palate. Ann. Maxillofac. Surg. 2015, 5, 237–239. [Google Scholar] [CrossRef] [PubMed]
- Spătaru, R.-I.; Cîrstoveanu, C.; Iozsa, D.-A.; Enculescu, A.; Tomescu, L.F.; Șerban, D. Lipoblastoma: Diagnosis and surgical considerations. Exp. Ther. Med. 2021, 22, 903. [Google Scholar] [CrossRef] [PubMed]
- Daza, L.D.P.; Villarreal, L.C.G.; Rodríguez, L.C.S.; Ramírez, I.D.M.; Canasto, E.M.Q. Diagnosis and treatment of benign adipocytic tumors in children. Pediatr. Surg. Int. 2022, 38, 2045–2051. [Google Scholar] [CrossRef] [PubMed]







Disclaimer/Publisher’s Note: The statements, opinions and data contained in all publications are solely those of the individual author(s) and contributor(s) and not of MDPI and/or the editor(s). MDPI and/or the editor(s) disclaim responsibility for any injury to people or property resulting from any ideas, methods, instructions or products referred to in the content. |
© 2025 by the authors. Licensee MDPI, Basel, Switzerland. This article is an open access article distributed under the terms and conditions of the Creative Commons Attribution (CC BY) license (https://creativecommons.org/licenses/by/4.0/).
Share and Cite
Zisis, V.; Charisi, C.; Poulopoulos, K.; Papadopoulos, P.; Poulopoulos, A. Intraoral Lipoma on the Palate of an 11-Year-Old Patient: A Case Report. Reports 2025, 8, 19. https://doi.org/10.3390/reports8010019
Zisis V, Charisi C, Poulopoulos K, Papadopoulos P, Poulopoulos A. Intraoral Lipoma on the Palate of an 11-Year-Old Patient: A Case Report. Reports. 2025; 8(1):19. https://doi.org/10.3390/reports8010019
Chicago/Turabian StyleZisis, Vasileios, Christina Charisi, Konstantinos Poulopoulos, Petros Papadopoulos, and Athanasios Poulopoulos. 2025. "Intraoral Lipoma on the Palate of an 11-Year-Old Patient: A Case Report" Reports 8, no. 1: 19. https://doi.org/10.3390/reports8010019
APA StyleZisis, V., Charisi, C., Poulopoulos, K., Papadopoulos, P., & Poulopoulos, A. (2025). Intraoral Lipoma on the Palate of an 11-Year-Old Patient: A Case Report. Reports, 8(1), 19. https://doi.org/10.3390/reports8010019

