Multiple Cold Abscesses of a Chest Wall with Ribs Destruction in a Hemodialysis Patient
Abstract
1. Introduction
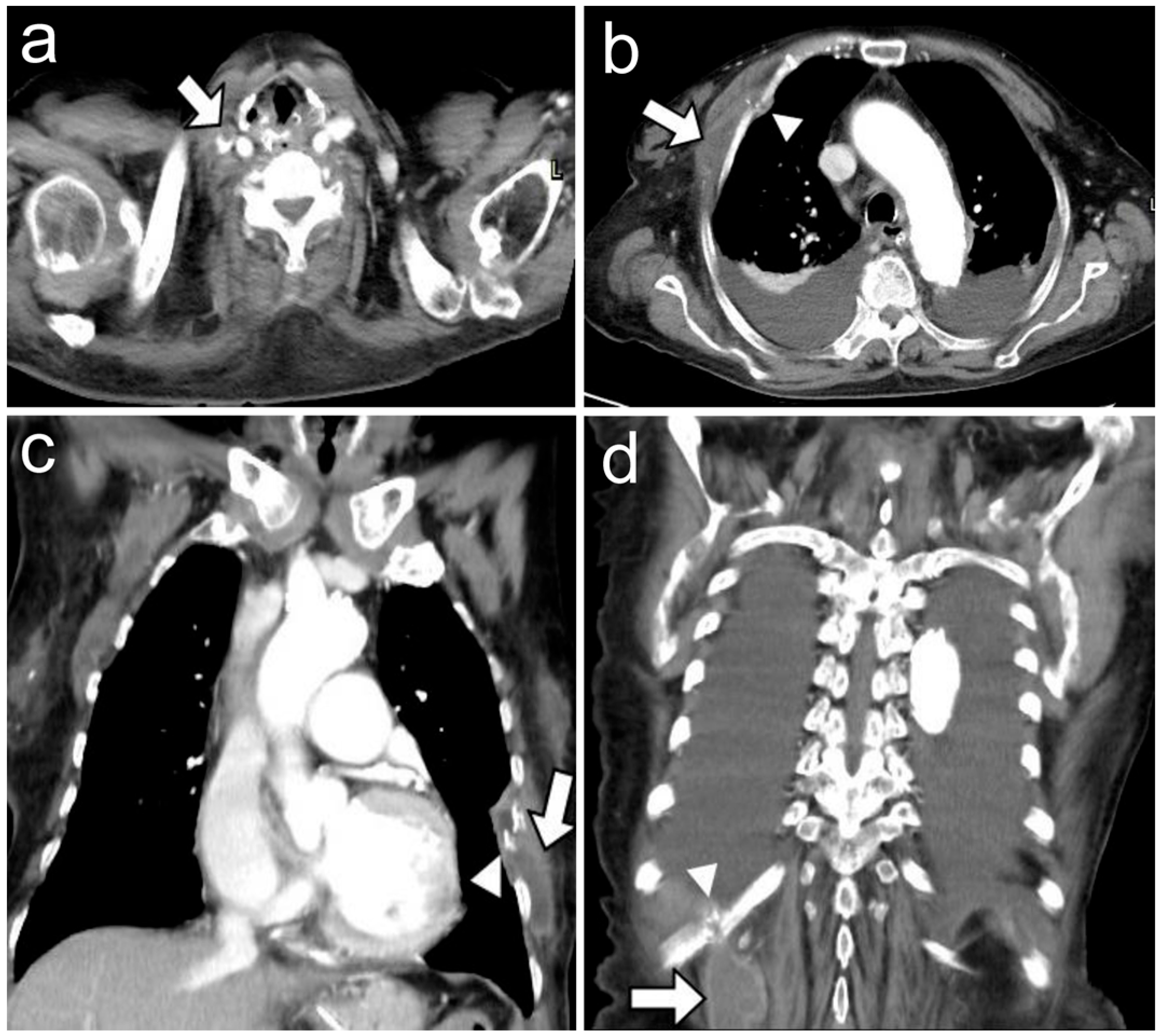
2. Detailed Case Description
3. Discussion
4. Conclusions
Author Contributions
Funding
Institutional Review Board Statement
Informed Consent Statement
Data Availability Statement
Conflicts of Interest
References
- Mermel, L.A.; Allon, M.; Bouza, E.; Craven, D.E.; Flynn, P.; O’Grady, N.P.; Raad, I.I.; Rijnders, B.J.; Sherertz, R.J.; Warren, D.K. Clinical practice guidelines for the diagnosis and management of intravascular catheter-related infection: 2009 Update by the Infectious Diseases Society of America. Clin. Infect. Dis. 2009, 49, 1–45. [Google Scholar] [CrossRef] [PubMed]
- Farrington, C.A.; Allon, M. Complications of Hemodialysis Catheter Bloodstream Infections: Impact of Infecting Organism. Am. J. Nephrol. 2019, 50, 126–132. [Google Scholar] [CrossRef]
- Wong, S.S.; Daka, S.; Pastewski, A.; Kyaw, W.; Chapnick, E.; Sepkowitz, D. Spinal epidural abscess in hemodialysis patients: A case series and review. Clin. J. Am. Soc. Nephrol. 2011, 6, 1495–1500. [Google Scholar] [CrossRef]
- Bergeron, E.J.; Meguid, R.A.; Mitchell, J.D. Chronic Infections of the Chest Wall. Thorac. Surg. Clin. 2017, 27, 87–97. [Google Scholar] [CrossRef]
- Muramatsu, K.I.; Nagasawa, H.; Murai, Y.; Sakurada, M.; Jitsuiki, K.; Yanagawa, Y. Non-tuberculosis cold abscess. Am. J. Emerg. Med. 2020, 38, 1972.e1–1972.e3. [Google Scholar] [CrossRef]
- Major, K.M.; Bulic, S.; Rowe, V.L.; Patel, K.; Weaver, F.A. Internal jugular, subclavian, and axillary deep venous thrombosis and the risk of pulmonary embolism. Vascular 2008, 16, 73–79. [Google Scholar] [CrossRef]
- Hennigan, A.; Collinge, N.; Halker, R.; Agraharkar, M. Cuffed-catheter-related Lemierre syndrome. Hemodial. Int. 2004, 8, 400–403. [Google Scholar] [CrossRef]
- Johannesen, K.M.; Bodtger, U. Lemierre’s syndrome: Current perspectives on diagnosis and management. Infect. Drug Resist. 2016, 9, 221–227. [Google Scholar] [CrossRef]
- Van Hoecke, F.; Lamont, B.; Van Leemput, A.; Vervaeke, S. A Lemierre-like syndrome caused by Staphylococcus aureus: An emerging disease. Infect. Dis. 2020, 52, 143–151. [Google Scholar] [CrossRef]
- Jackson, R.; Stephens, L.; Kelly, A.P. Cold subcutaneous abscesses. J. Natl. Med. Assoc. 1990, 82, 733–736. [Google Scholar]
- Kundangar, R.S.; Bhat, S.N.; Mohanty, S.P. Melioidosis mimicking tubercular cold abscess. BMJ Case Rep. 2017, 2017, bcr-2017. [Google Scholar] [CrossRef] [PubMed]
- Das, S.K.; Das, A.; Dey, S. A rare case of staphylococcal cold abscess of anterior chest wall in an immunocompetent adult. Ann. Trop. Med. Public Health 2012, 5, 142–144. [Google Scholar] [CrossRef]
- Bergerson, J.R.E.; Freeman, A.F. An Update on Syndromes with a Hyper-IgE Phenotype. Immunol. Allergy Clin. N. Am. 2019, 39, 49–61. [Google Scholar] [CrossRef] [PubMed]
- Al-Solaiman, Y.; Estrada, E.; Allon, M. The spectrum of infections in catheter-dependent hemodialysis patients. Clin. J. Am. Soc. Nephrol. 2011, 6, 2247–2252. [Google Scholar] [CrossRef]
- Allon, M. Dialysis catheter-related bacteremia: Treatment and prophylaxis. Am. J. Kidney Dis. 2004, 44, 779–791. [Google Scholar] [CrossRef]
- Pichon, N.; Nallatamby, A.; Blondel, M.; Pichon-Lefievre, F. Rib destruction with Staphylococcus contiguous abscess after septic pulmonary embolism and tricuspid endocarditis. Intensive Care Med. 2018, 44, 1324–1325. [Google Scholar] [CrossRef]
- Alder, K.D.; Lee, I.; Munger, A.M.; Kwon, H.K.; Morris, M.T.; Cahill, S.V.; Back, J.; Yu, K.E.; Lee, F.Y. Intracellular Staphylococcus aureus in bone and joint infections: A mechanism of disease recurrence, inflammation, and bone and cartilage destruction. Bone 2020, 141, 115568. [Google Scholar] [CrossRef]
- Blasberg, J.D.; Donington, J.S. Infections and radiation injuries involving the chest wall. Thorac. Surg. Clin. 2010, 20, 487–494. [Google Scholar] [CrossRef]
- Chelli Bouaziz, M.; Jelassi, H.; Chaabane, S.; Ladeb, M.F.; Ben Miled-Mrad, K. Imaging of chest wall infections. Skelet. Radiol. 2009, 38, 1127–1135. [Google Scholar] [CrossRef]
- Denny, K.J.; Kumar, A.; Timsit, J.F.; Laupland, K.B. Extra-cardiac endovascular infections in the critically ill. Intensive Care Med. 2020, 46, 173–181. [Google Scholar] [CrossRef]
- Kim, Y.T.; Han, K.N.; Kang, C.H.; Sung, S.W.; Kim, J.H. Complete resection is mandatory for tubercular cold abscess of the chest wall. Ann. Thorac. Surg. 2008, 85, 273–277. [Google Scholar] [CrossRef] [PubMed]
- Schipper, P.; Tieu, B.H. Acute Chest Wall Infections: Surgical Site Infections, Necrotizing Soft Tissue Infections, and Sternoclavicular Joint Infection. Thorac. Surg. Clin. 2017, 27, 73–86. [Google Scholar] [CrossRef] [PubMed]
- Parsons, J.B.; Westgeest, A.C.; Conlon, B.P.; Fowler, V.G., Jr. Persistent Methicillin-Resistant Staphylococcus aureus Bacteremia: Host, Pathogen, and Treatment. Antibiotics 2023, 12, 455. [Google Scholar] [CrossRef]


| Tests | Normal Range | Patient’s Values |
|---|---|---|
| White cell count | 4500–11,000/mm3 | 17,740 |
| Hemoglobin | 12–16 g/dL | 10.9 |
| Platelets | 130,000–400,000/mm3 | 204,000 |
| Blood urea nitrogen | 6–24 mg/dL | 68.3 |
| Creatinine | 0.5–1.4 mg/dL | 7.11 |
| Aspartate aminotransferase | 10–30 U/L | 29 |
| Alanine aminotransferase | 2–32 U/L | 28 |
| Sodium | 137–145 mmol/L | 141 |
| Potassium | 3.1–5.3 mmol/L | 4.1 |
| Calcium | 8.8–10.6 mg/dL | 7.4 |
| Phosphate | 2.6–4.4 mg/dL | 4.2 |
| C-reactive protein | <0.5 mg/dL | 36.1 |
| Albumin | 3.1–4.8 g/dL | 2.71 |
| pH | 7.35–7.45 | 7.433 |
| PaO2 | 75–100 mmHg | 104.1 |
| PaCO2 | 35–45 mmHg | 31.5 |
| HCO3− | 22–26 mmol/L | 21.3 |
| O2 saturation | 92–98.5% | 99.8 |
Disclaimer/Publisher’s Note: The statements, opinions and data contained in all publications are solely those of the individual author(s) and contributor(s) and not of MDPI and/or the editor(s). MDPI and/or the editor(s) disclaim responsibility for any injury to people or property resulting from any ideas, methods, instructions or products referred to in the content. |
© 2024 by the authors. Licensee MDPI, Basel, Switzerland. This article is an open access article distributed under the terms and conditions of the Creative Commons Attribution (CC BY) license (https://creativecommons.org/licenses/by/4.0/).
Share and Cite
Kuo, C.-C.; Hsiao, P.-J.; Kuo, T.-Y.; Chiang, W.-F. Multiple Cold Abscesses of a Chest Wall with Ribs Destruction in a Hemodialysis Patient. Reports 2024, 7, 9. https://doi.org/10.3390/reports7010009
Kuo C-C, Hsiao P-J, Kuo T-Y, Chiang W-F. Multiple Cold Abscesses of a Chest Wall with Ribs Destruction in a Hemodialysis Patient. Reports. 2024; 7(1):9. https://doi.org/10.3390/reports7010009
Chicago/Turabian StyleKuo, Chih-Chun, Po-Jen Hsiao, Tai-You Kuo, and Wen-Fang Chiang. 2024. "Multiple Cold Abscesses of a Chest Wall with Ribs Destruction in a Hemodialysis Patient" Reports 7, no. 1: 9. https://doi.org/10.3390/reports7010009
APA StyleKuo, C.-C., Hsiao, P.-J., Kuo, T.-Y., & Chiang, W.-F. (2024). Multiple Cold Abscesses of a Chest Wall with Ribs Destruction in a Hemodialysis Patient. Reports, 7(1), 9. https://doi.org/10.3390/reports7010009

