Aggressive Vaccine-Induced Immune Thrombocytopenia and Thrombosis in a Young Woman with a Past Mild SARS-CoV-2 Infection
Abstract
1. Introduction
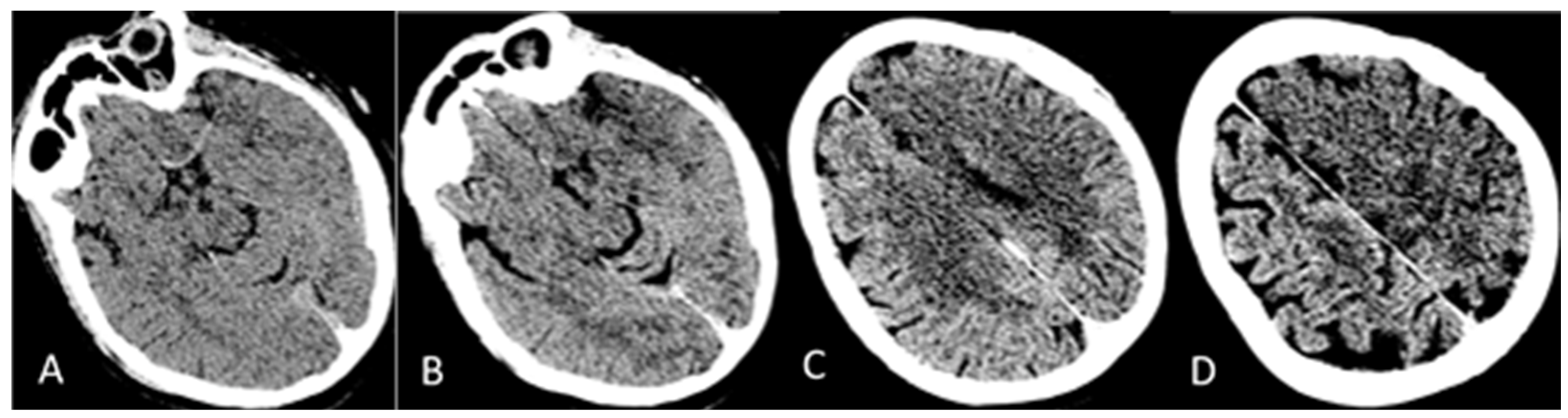
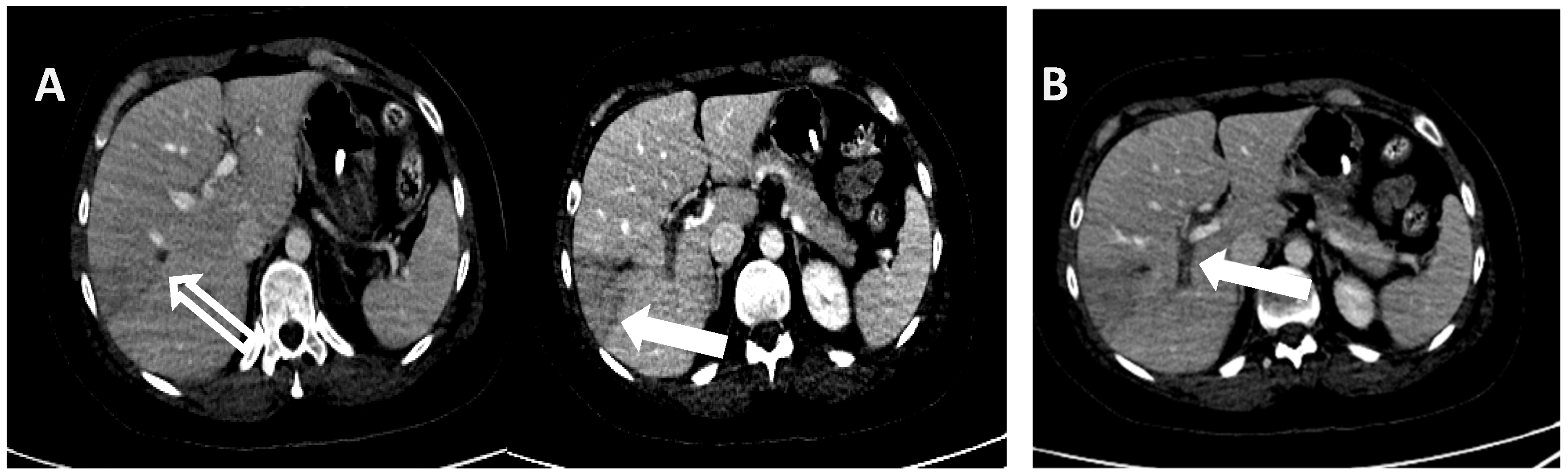
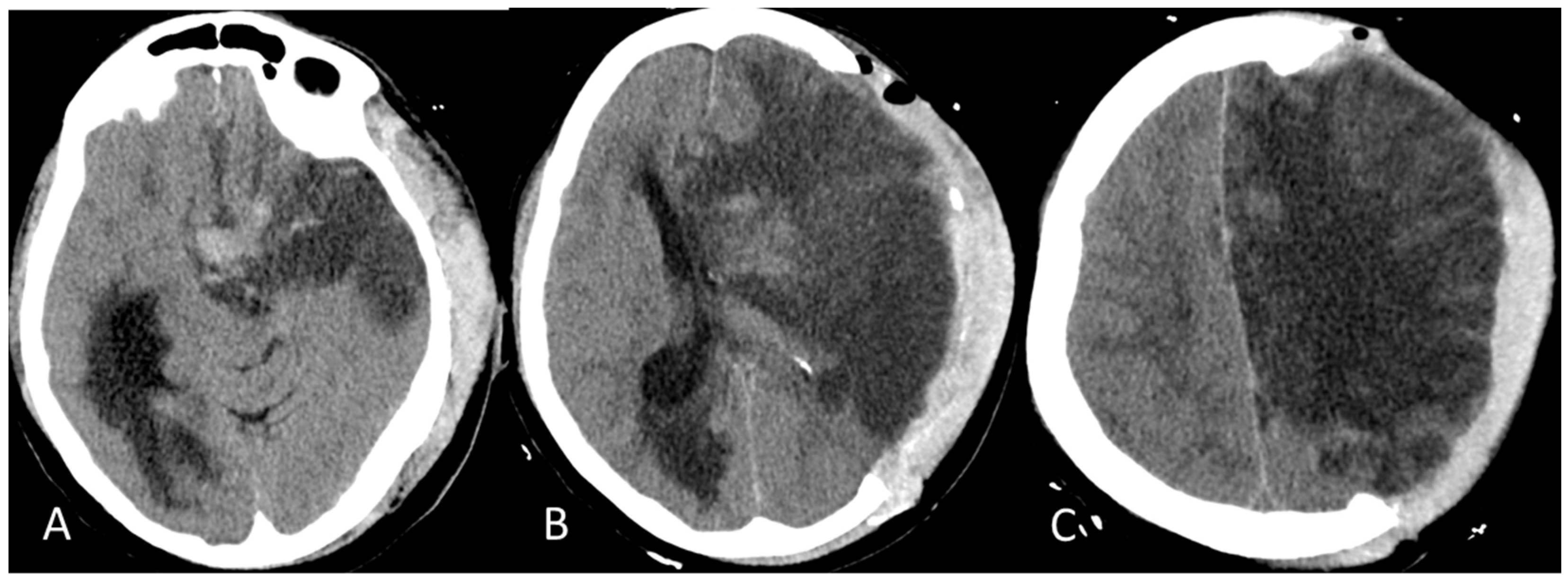
2. Detailed Case Description
3. Discussion
4. Conclusions
Author Contributions
Funding
Institutional Review Board Statement
Informed Consent Statement
Data Availability Statement
Conflicts of Interest
References
- Cines, D.B.; Greinacher, A. Vaccine-induced immune thrombotic thrombocytopenia. Blood 2023, 141, 1659–1665. [Google Scholar] [CrossRef]
- Pishko, A.M.; Cuker, A. Thrombosis after vaccination with messenger RNA-1273: Is this vaccine- induced thrombosis and thrombocytopenia or thrombosis with thrombocytopenia syndrome? Ann. Intern. Med. 2021, 174, 1468–1469. [Google Scholar] [CrossRef]
- Pai, M. Epidemiology of VITT. Sem. Hematol. 2022, 59, 72–75. [Google Scholar] [CrossRef]
- Abrams, C.S.; Barnes, G.D. SARS-CoV-2 Vaccination-Induced Thrombotic Thrombocytopenia: A Rare but Serious Immunologic Complication. Annu. Rev. Med. 2023, 74, 65–74. [Google Scholar] [CrossRef] [PubMed]
- Scully, M.; Singh, D.; Lown, R.; Poles, A.; Solomon, T.; Levi, M.; Goldblatt, D.; Kotoucek, P.; Thomas, W.; Lester, W. Pathologic antibodies to platelet factor 4 after ChAdOx1 nCoV-19 vaccination. N. Engl. J. Med. 2021, 384, 2202–2211. [Google Scholar] [CrossRef]
- American Society of Hematology. Vaccine-Induced Immune Thrombotic Thrombocytopenia. Available online: https://www.hematology.org/covid-19/vaccine-induced-immune-thrombotic-thrombocytopenia (accessed on 2 January 2024).
- Klok, F.A.; Pai, M.; Huisman, M.V.; Makris, M. Vaccine-induced immune thrombotic thrombocytopenia. Lancet Haematol. 2022, 9, e73–e80. [Google Scholar] [CrossRef]
- Greinacher, A.; Selleng, K.; Palankar, R.; Wesche, J.; Handtke, S.; Wolff, M.; Aurich, K.; Lalk, M.; Methling, K.; Völker, U.; et al. Insights in ChAdOx1 nCoV-19 vaccine-induced immune thrombotic thrombocytopenia. Blood 2021, 138, 2256–2268. [Google Scholar] [CrossRef] [PubMed]
- Schultz, N.H.; Sorvoll, I.H.; Michelsen, A.E.; Munthe, L.A.; Lund-Johansen, F.; Ahlen, M.T.; Wiedmann, M.; Aamodt, A.H.; Skattør, T.H.; Tjønnfjord, G.E.; et al. Thrombosis and thrombocytopenia after ChAdOx1 nCoV-19 vaccination. N. Engl. J. Med. 2021, 384, 2124–2130. [Google Scholar] [CrossRef]
- Platton, S.; Bartlett, A.; MacCallum, P.; Makris, M.; McDonald, V.; Singh, D.; Scully, M.; Pavord, S. Evaluation of laboratory assays for anti-platelet factor 4 antibodies after ChAdOx1 nCOV-19 vaccination. J. Thromb. Haemost. 2021, 19, 2007–2013. [Google Scholar] [CrossRef] [PubMed]
- Paez-Alacron, M.E.; Greinacher, A. Vaccine-induced immune thrombotic thrombocytopenia (VITT)-Update on diagnosis and management considering different resources: Comment. J. Throm. Haemost. 2022, 20, 2707–2708. [Google Scholar] [CrossRef]
- Pavord, S.; Scully, M.; Hunt, B.J.; Lester, W.; Bagot, C.; Craven, B.; Rampotas, A.; Ambler, G.; Makris, M. Clinical features of vaccine-induced immune thrombocytopenia and thrombosis. N. Engl. J. Med. 2021, 385, 1680–1689. [Google Scholar] [CrossRef]
- Cascio Rizzo, A.; Giussani, G.; Agostoni, E.C. Ischemic Stroke and Vaccine-Induced Immune Thrombotic Thrombocytopenia following COVID-19 Vaccine: A Case Report with Systematic Review of the Literature. Cerebrovasc. Dis. 2022, 51, 722–734. [Google Scholar] [CrossRef]
- Jacob, C.; Rani, K.A.; Holton, P.J.; Boyce, S.R.; Weir, N.U.; Griffith, C.R.; Eynon, C.A. Malignant middle cerebral artery syndrome with thrombotic thrombocytopenia following vaccination against SARS-CoV-2. J. Intensive Care Soc. 2022, 23, 479–484. [Google Scholar] [CrossRef]
- Kolahchi, Z.; Khanmirzaei, M.; Mowla, A. Acute ischemic stroke and vaccine-induced immune thrombotic thrombocytopenia post COVID-19 vaccination; a systematic review. J. Neurol. Sci. 2022, 439, 120327. [Google Scholar] [CrossRef] [PubMed]
- Mancuso, M.; Lauretti, D.L.; Cecconi, N.; Santini, M.; Lami, V.; Orlandi, G.; Casagli, S.; Ghetta, A.; Liberti, G.; Elena, B.M.; et al. Arterial intracranial thrombosis as the first manifestation of vaccine-induced immune thrombotic thrombocytopenia (VITT): A case report. Neurol. Sci. 2022, 43, 2085–2089. [Google Scholar] [CrossRef] [PubMed]
- De Michele, M.; Iacobucci, M.; Chistolini, A.; Nicolini, E.; Pulcinelli, F.; Cerbelli, B.; Merenda, E.; Schiavo, O.G.; Sbardella, E.; Berto, I.; et al. Malignant cerebral infarction after ChAdOx1 nCov-19 vaccination: A catastrophic variant of vaccine-induced immune thrombotic thrombocytopenia. Nat. Commun. 2021, 12, 4663. [Google Scholar] [CrossRef] [PubMed]
- Liu, Q.; Miao, H.; Li, S.; Zhang, P.; Gerber, G.F.; Follmann, D.; Ji, H.; Zeger, S.L.; Chertow, D.S.; Quinn, T.C.; et al. Anti-PF4 antibodies associated with disease severity in COVID-19. Proc. Natl. Acad. Sci. USA 2022, 119, e2213361119. [Google Scholar] [CrossRef] [PubMed]
- Haffke, M.; Freitag, H.; Rudolf, G.; Seifert, M.; Doehner, W.; Scherbakov, N.; Hanitsch, L.; Wittke, K.; Bauer, S.; Konietschke, F.; et al. Endothelial dysfunction and altered endothelial biomarkers in patients with post-COVID-19 syndrome and chronic fatigue syndrome (ME/CFS). J. Transl. Med. 2022, 20, 138. [Google Scholar] [CrossRef] [PubMed]
- Ambrosino, P.; Calcaterra, I.; Molino, A.; Moretta, P.; Lupoli, R.; Spedicato, G.A.; Papa, A.; Motta, A.; Maniscalco, M.; Di Minno, M.N.D. Persistent Endothelial Dysfunction in Post-Acute COVID-19 Syndrome: A Case-Control Study. Biomedicines 2021, 9, 957. [Google Scholar] [CrossRef] [PubMed]
- Kozłowski, P.; Śmiarowski, M.; Przyborska, W.; Zemlik, K.; Małecka-Giełdowska, M.; Leszczyńska, A.; Garley, M.; Ciepiela, O. Mild-to-Moderate COVID-19 Convalescents May Present Pro-Longed Endothelium Injury. J. Clin. Med. 2022, 11, 6461. [Google Scholar] [CrossRef] [PubMed]
- Greinacher, A.; Langer, F.; Makris, M.; Pai, M.; Pavord, S.; Tran, H.; Warkentin, T.E. Vaccine-induced immune thrombotic thrombocytopenia (VITT): Update on diagnosis and management considering different resources. J. Thromb. Haemost. 2022, 20, 149–156. [Google Scholar] [CrossRef] [PubMed]
- Bourguignon, A.; Arnold, D.M.; Warkentin, T.E.; Smith, J.W.; Pannu, T.; Shrum, J.M.; Al Maqrashi, Z.A.A.; Shroff, A.; Lessard, M.-C.; Blais, C.; et al. Adjunct immune globulin for vaccine-induced immune thrombotic thrombocytopenia. N. Engl. J. Med. 2021, 385, 720–728. [Google Scholar] [CrossRef] [PubMed]
- Uzun, G.; Althaus, K.; Singh, A.; Möller, P.; Ziemann, U.; Mengel, A.; Rosenberger, P.; Guthoff, M.; Petzold, G.C.; Müller, J.; et al. The use of IV immunoglobulin in the treatment of vaccine induced immune thrombotic thrombocytopenia. Blood 2021, 138, 992–995. [Google Scholar] [CrossRef] [PubMed]
- Rock, G.; Weber, V.; Stegmayr, B. Therapeutic plasma exchange (TPE) as plausible rescue therapy in severe vaccine induced immune thrombotic thrombocytopenia. Transfus. Apher. Sci. 2021, 60, 1031174. [Google Scholar] [CrossRef]
- Patriquin, C.J.; Laroche, V.; Selby, R.; Pendergrast, J.; Barth, D.; Côté, B.; Gagnon, N.; Roberge, G.; Carrier, M.; Castellucci, L.A.; et al. Therapeutic plasma exchange in vaccine- induced immune thrombotic thrombocytopenia. N. Engl. J. Med. 2021, 385, 857–859. [Google Scholar] [CrossRef]




| June 2021 | ||||||
|---|---|---|---|---|---|---|
| Blood Count and Biochemical Parameters | 5th | 9th | 13th | 16th | 17th | Reference Value |
| Erythrocytes (109/mL) | 3.25 | 3.47 | 2.96 | 2.97 | 2.61 | 4–5.2 |
| Hemoglobin (g/dL) | 9.7 | 10.5 | 8.6 | 9.1 | 8 | 12–16 |
| Hematocrit (%) | 27.5 | 27.8 | 24.7 | 24.4 | 21.8 | 36–46 |
| Mean corpuscular volume (fl) | 84.6 | 80.1 | 83.4 | 82.2 | 83.5 | 80–100 |
| Mean corpuscular hemoglobin (pg/mL) | 29.8 | 30.3 | 29.1 | 30.6 | 30.7 | 27–32 |
| Mean corpuscular hemoglobin concentration (%) | 35.3 | 37.8 | 34.8 | 37.3 | 36.7 | 32–36 |
| Platelets (106/mL) | 25 | 23 | 14 | 37 | 27 | 150–450 |
| Platelets volume mean (fl) | - | - | 10.7 | 10.5 | 11.4 | 8–13 |
| Breadth of the erythrocyte distribution (%) | 14.2 | 13.6 | 14.4 | 13.9 | 14.6 | 2–15 |
| WBC (106/mL) | 17.7 | 8.9 | 11.6 | 9.6 | 12.5 | 4–11 |
| Neutrophils (%) | 85.1 | 93.9 | 84.5 | 79.6 | 87.5 | 40–80 |
| Lymphocytes (%) | 12.8 | 4.6 | 12.5 | 16.8 | 10.7 | 20–40 |
| Monocytes (%) | 1.7 | 1.5 | 2.8 | 2.5 | 1.4 | 2–8 |
| Eosinophils (%) | 0.3 | 0 | 0 | 0.6 | 0.2 | 1–4 |
| Basophils (%) | 0.1 | 0 | 0.2 | 0.5 | 0.2 | 0–1 |
| Neutrophils (106/mL) | 15 | 8.3 | 9.8 | 7.6 | 10.9 | 2–8 |
| Lymphocytes (106/mL) | 2.2 | 0.4 | 1.4 | 1.6 | 1.3 | 1.5–3.5 |
| Monocytes (106/mL) | 0.3 | 0.1 | 0.3 | 0.2 | 0.1 | 0.4–0.8 |
| Eosinophils (106/mL) | 0 | 0 | 0 | 0 | 0 | 0.1–0.4 |
| Basophils (106/mL) | 0 | 0 | 0 | 0 | 0 | 0.02–0.05 |
| Glycemia (mg/dL) | 90 | 76–106 | ||||
| D-dimer (mg/L) | 70.75 | 8.25 | 0–0.5 FEU | |||
| Fibrinogen (mg/dL) | 245 | 433 | 423 | 150–450 | ||
| Anti-PF4 (ELISA) # | 1.95 OD | |||||
| Haptoglobin (mg/dL) | 35 | 30–200 | ||||
| Total Bilirubin (mg/dL) | 1.05 | 0.4–1.2 | ||||
| Anti Thyroid peroxidase antibodies (UI/mL) | 51.43 | <35 | ||||
| Anti Tyreoglobulin antibodies (U/mL) | 192.2 | <116 | ||||
| Anti TSH receptor antibodies (UI/L) | 0.27 | 0.27–1.8 | ||||
| Anti b2 glicoprotein antibodies (IgM; U/mL) | 0.5 | <7 | ||||
| Anti b2 glicoprotein antibodies (IgG; U/mL) | 2.2 | <7 | ||||
| Anti cardiolipin antibodies (IgG; GPL-U/mL) | 1.2 | <10 | ||||
| Anti cardiolipin antibodies (IgM; MPL-U/mL) | 0.7 | <10 | ||||
Disclaimer/Publisher’s Note: The statements, opinions and data contained in all publications are solely those of the individual author(s) and contributor(s) and not of MDPI and/or the editor(s). MDPI and/or the editor(s) disclaim responsibility for any injury to people or property resulting from any ideas, methods, instructions or products referred to in the content. |
© 2024 by the authors. Licensee MDPI, Basel, Switzerland. This article is an open access article distributed under the terms and conditions of the Creative Commons Attribution (CC BY) license (https://creativecommons.org/licenses/by/4.0/).
Share and Cite
Luciani, F.; Caroleo, M.C.; Zanolini, A.; Taranto, L.; Pasqua, P.; Petrone, A.; Colosimo, M.; Cannataro, R.; Cione, E. Aggressive Vaccine-Induced Immune Thrombocytopenia and Thrombosis in a Young Woman with a Past Mild SARS-CoV-2 Infection. Reports 2024, 7, 17. https://doi.org/10.3390/reports7010017
Luciani F, Caroleo MC, Zanolini A, Taranto L, Pasqua P, Petrone A, Colosimo M, Cannataro R, Cione E. Aggressive Vaccine-Induced Immune Thrombocytopenia and Thrombosis in a Young Woman with a Past Mild SARS-CoV-2 Infection. Reports. 2024; 7(1):17. https://doi.org/10.3390/reports7010017
Chicago/Turabian StyleLuciani, Filippo, Maria Cristina Caroleo, Alfredo Zanolini, Lucio Taranto, Pino Pasqua, Alfredo Petrone, Manuela Colosimo, Roberto Cannataro, and Erika Cione. 2024. "Aggressive Vaccine-Induced Immune Thrombocytopenia and Thrombosis in a Young Woman with a Past Mild SARS-CoV-2 Infection" Reports 7, no. 1: 17. https://doi.org/10.3390/reports7010017
APA StyleLuciani, F., Caroleo, M. C., Zanolini, A., Taranto, L., Pasqua, P., Petrone, A., Colosimo, M., Cannataro, R., & Cione, E. (2024). Aggressive Vaccine-Induced Immune Thrombocytopenia and Thrombosis in a Young Woman with a Past Mild SARS-CoV-2 Infection. Reports, 7(1), 17. https://doi.org/10.3390/reports7010017

