Comparison between SARS-CoV-2-Associated Acute Disseminated Encephalomyelitis and Acute Stroke: A Case Report
Abstract
1. Introduction
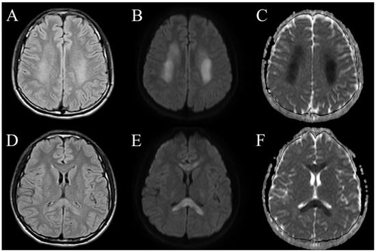
2. Detailed Case Description
3. Discussion
4. Conclusions
Author Contributions
Funding
Institutional Review Board Statement
Informed Consent Statement
Data Availability Statement
Acknowledgments
Conflicts of Interest
References
- Misra, S.; Misra, S.; Kolappa, K.; Kolappa, K.; Prasad, M.; Prasad, M.; Radhakrishnan, D.; Radhakrishnan, D.; Thakur, K.T.; Thakur, K.T.; et al. Frequency of Neurologic Manifestations in COVID-19: A Systematic Review and Meta-analysis. Neurology 2021, 97, e2269–e2281. [Google Scholar] [CrossRef] [PubMed]
- Gavriilaki, E.; Anyfanti, P.; Gavriilaki, M.; Lazaridis, A.; Douma, S.; Gkaliagkousi, E. Endothelial Dysfunction in COVID-19: Lessons Learned from Coronaviruses. Curr. Hypertens. Rep. 2020, 22, 63. [Google Scholar] [CrossRef]
- Dai, X.; Cao, X.; Jiang, Q.; Wu, B.; Lou, T.; Shao, Y.; Hu, Y.; Lan, Q. Neurological complications of COVID-19. Qjm Int. J. Med. 2023, 116, 161–180. [Google Scholar] [CrossRef] [PubMed]
- Stoian, A.; Bajko, Z.; Stoian, M.; Cioflinc, R.A.; Niculescu, R.; Arbănași, E.M.; Russu, E.; Botoncea, M.; Bălașa, R. The Occurrence of Acute Disseminated Encephalomyelitis in SARS-CoV-2 Infection/Vaccination: Our Experience and a Systematic Review of the Literature. Vaccines 2023, 11, 1225. [Google Scholar] [CrossRef] [PubMed]
- Feizi, P.; Sharma, K.; Pasham, S.R.; Nirwan, L.; Joseph, J.; Jaiswal, S.; Sriwastava, S. Central nervous system (CNS) inflammatory demyelinating diseases (IDDs) associated with COVID-19: A case series and review. J. Neuroimmunol. 2022, 371, 577939. [Google Scholar] [CrossRef]
- Zanin, L.; Saraceno, G.; Panciani, P.P.; Renisi, G.; Signorini, L.; Migliorati, K.; Fontanella, M.M. SARS-CoV-2 can induce brain and spine demyelinating lesions. Acta Neurochir. 2020, 162, 1491–1494. [Google Scholar] [CrossRef]
- Manzano, G.S.; McEntire, C.R.S.; Martinez-Lage, M.; Mateen, F.J.; Hutto, S.K. Acute Disseminated Encephalomyelitis and Acute Hemorrhagic Leukoencephalitis Following COVID-19: Systematic Review and Meta-synthesis. Neurol. Neuroimmunol. Neuroinflamm. 2021, 8, 1080. [Google Scholar] [CrossRef]
- Parsons, T.; Banks, S.; Bae, C.; Gelber, J.; Alahmadi, H.; Tichauer, M. COVID-19-associated acute disseminated encephalomyelitis (ADEM). J. Neurol. 2020, 267, 2799–2802. [Google Scholar] [CrossRef]
- Nabizadeh, F.; Noori, M.; Rahmani, S.; Hosseini, H. Acute disseminated encephalomyelitis (ADEM) following COVID-19 vaccination: A systematic review. J. Clin. Neurosci. 2023, 111, 57–70. [Google Scholar] [CrossRef]
- Kakovan, M.; Shirkouhi, S.G.; Zarei, M.; Andalib, S. Stroke Associated with COVID-19 Vaccines. J. Stroke Cerebrovasc. Dis. 2022, 31, 106440. [Google Scholar] [CrossRef]
- Wang, R.L.; Chiang, W.F.; Shyu, H.Y.; Chen, M.H.; Lin, C.I.; Wu, K.A.; Yang, C.C.; Huang, L.Y.; Hsiao, P.J. COVID-19 vaccine-associated acute cerebral venous thrombosis and pulmonary artery embolism. Qjm Int. J. Med. 2021, 114, 506–507. [Google Scholar] [CrossRef]
- Fan, H.T.; Lin, Y.Y.; Chiang, W.F.; Lin, C.Y.; Chen, M.H.; Wu, K.A.; Chan, J.S.; Kao, Y.H.; Shyu, H.Y.; Hsiao, P.J. COVID-19 vaccine-induced encephalitis and status epilepticus. Qjm Int. J. Med. 2022, 115, 91–93. [Google Scholar] [CrossRef]
- Chen, W.-P.; Chen, M.-H.; Shang, S.-T.; Kao, Y.-H.; Wu, K.-A.; Chiang, W.-F.; Chan, J.-S.; Shyu, H.-Y.; Hsiao, P.-J. Investigation of Neurological Complications after COVID-19 Vaccination: Report of the Clinical Scenarios and Review of the Literature. Vaccines 2023, 11, 425. [Google Scholar] [CrossRef] [PubMed]
- Pohl, D.; Alper, G.; Van Haren, K.; Kornberg, A.J.; Lucchinetti, C.F.; Tenembaum, S.; Belman, A.L. Acute disseminated encephalomyelitis: Updates on an inflammatory CNS syndrome. Neurology 2016, 87 (Suppl. S2), S38–S45. [Google Scholar] [CrossRef] [PubMed]
- Bhawna, S.; Rahul, H.; Kadam, N.; Swayam, P.; Gupta, P.K.; Agrawal, R.; Sisodiya, M.S. Transient splenial diffusion-weighted image restriction mimicking stroke. Am. J. Emerg. Med. 2014, 32, 1156.e1–1156.e2. [Google Scholar] [CrossRef] [PubMed]
- Balasubramanya, K.S.; Kovoor, J.M.E.; Jayakumar, P.N.; Ravishankar, S.; Kamble, R.B.; Panicker, J.; Nagaraja, D. Diffusion-weighted imaging and proton MR spectroscopy in the characterization of acute disseminated encephalomyelitis. Neuroradiology 2007, 49, 177–183. [Google Scholar] [CrossRef] [PubMed]
- Krupp, L.B.; Tardieu, M.; Amato, M.P.; Banwell, B.; Chitnis, T.; Dale, R.C.; Ghezzi, A.; Hintzen, R.; Kornberg, A.; Pohl, D.; et al. International Pediatric Multiple Sclerosis Study Group criteria for pediatric multiple sclerosis and immune-mediated central nervous system demyelinating disorders: Revisions to the 2007 definitions. Mult. Scler. J. 2013, 19, 1261–1267. [Google Scholar] [CrossRef] [PubMed]
- Koelman, D.L.; Chahin, S.; Mar, S.S.; Venkatesan, A.; Hoganson, G.M.; Yeshokumar, A.K.; Barreras, P.; Majmudar, B.; Klein, J.P.; Chitnis, T.; et al. Acute disseminated encephalomyelitis in 228 patients: A retrospective, multicenter US study. Neurology 2016, 86, 2085–2093. [Google Scholar] [CrossRef] [PubMed]
- Alexander, M.; Murthy, J.M.K. Acute disseminated encephalomyelitis: Treatment guidelines. Ann. Indian. Acad. Neurol. 2011, 14 (Suppl. S1), S60–S64. [Google Scholar] [CrossRef]
- Nannoni, S.; de Groot, R.; Bell, S.; Markus, H.S. Stroke in COVID-19: A systematic review and meta-analysis. Int. J. Stroke. 2021, 16, 137–149. [Google Scholar] [CrossRef]
- Kits, A.; Pantalone, M.R.; Illies, C.; Antovic, A.; Landtblom, A.-M.; Iacobaeus, E. Fatal Acute Hemorrhagic Encephalomyelitis and Antiphospholipid Antibodies following SARS-CoV-2 Vaccination: A Case Report. Vaccines 2022, 10, 2046. [Google Scholar] [CrossRef] [PubMed]
- Asakura, H.; Ogawa, H. COVID-19-associated coagulopathy and disseminated intravascular coagulation. Int. J. Hematol. 2021, 113, 45–57. [Google Scholar] [CrossRef] [PubMed]
- Oxley, T.J.; Mocco, J.; Majidi, S.; Kellner, C.P.; Shoirah, H.; Singh, I.P.; De Leacy, R.A.; Shigematsu, T.; Ladner, T.R.; Yaeger, K.A.; et al. Large-Vessel Stroke as a Presenting Feature of Covid-19 in the Young. N. Engl. J. Med. 2020, 382, e60. [Google Scholar] [CrossRef] [PubMed]



| Item | Result | Unit | Normal Range |
|---|---|---|---|
| White blood cells | 5280 | /μL | 4800–10,800 |
| C-reactive protein | 0.57 | mg/dL | <0.5 |
| Procalcitonin | <0.05 | ng/mL | <0.07 |
| Triglyceride | 72.3 | mg/dL | 21–175 |
| Total cholesterol | 131.3 | mg/dL | 110–200 |
| LDL cholesterol | 84.9 | mg/dL | <100 |
| Prothrombin time | 11.4 | s | 9.4–12 |
| Activated partial thromboplastin time | 31.2 | s | 25.3–32.3 |
| ESR | 21 | mm/1 h | <29 |
| ANA | Negative | ||
| Anti-ds DNA | Negative | ||
| Rheumatoid factor | <10 | IU/mL | <14 |
| cANCA | Negative | ||
| pANCA | Negative | ||
| C3 | 82.9 | mg/dL | 87–200 |
| C4 | 36.5 | mg/dL | 19–52 |
| Anti-cardiolipin IgM | Negative | ||
| Anti-cardiolipin IgG | Negative | ||
| Anti-phospholipid antibody IgG | Negative | ||
| Anti-β2 glycoprotein IgG | Negative | ||
| Protein C | 75.5 | % | 70–140 |
| Protein S | 81.8 | % | 63.5–149 |
| Antithrombin III | 94.7 | % | 83–128 |
| SARS-CoV-2 PCR | Positive, cycle threshold value 14 | ||
| Anti-HIV test | Nonreactive | ||
| RPR | Nonreactive | ||
| TPPA/TPHA test | Negative | ||
| Anti-HCV | Nonreactive | ||
| HBsAg | Nonreactive | ||
| Herpes simplex virus 1 IgM | Negative | ||
| Herpes simplex virus 2 IgM | Negative | ||
| Cytomegalovirus IgM | Negative | ||
| Epstein-Barr virus IgM | Negative |
| Item | Result | Unit | Normal Range |
|---|---|---|---|
| pH | 7.103 | ||
| White blood cells | <5 | /μL | |
| Red blood cells | 25 | /μL | |
| Total protein | 30.5 | mg/dL | 15–45 |
| Glucose | 57.39 | mg/dL | 40–70 |
| LDH | 25.5 | U/L | |
| Chloride | 127.9 | mmol/L | |
| IgG index | 0.62 | 0–0.7 | |
| Gram stain | No bacteria | ||
| CSF culture | No bacteria | ||
| Indian ink | Not found | ||
| Acid-fast stain | Not found | ||
| TB PCR DNA | Negative | ||
| TB culture | Negative | ||
| VDRL | Non-Reactive | ||
| Cytomegalovirus PCR | Not detected | ||
| Herpes simplex virus 1 PCR | Not detected | ||
| Herpes simplex virus 2 PCR | Not detected | ||
| Human herpesvirus 6 PCR | Not detected | ||
| Human parechovirus PCR | Not detected | ||
| Enterovirus PCR | Not detected | ||
| Varicella zoster virus PCR | Not detected | ||
| Cryptococcus neoformans/gattii PCR | Not detected | ||
| Neisseria meningitidis | Not detected | ||
| Listeria monocytogenes | Not detected | ||
| Streptococcus agalactiae | Not detected | ||
| Streptococcus pneumoniae | Not detected | ||
| Escherichia coli K1 | Not detected | ||
| Haemophilus influenzae | Not detected |
| Clinical Characteristics | COVID-19-Associated ADEM [6] | COVID-19-Associated Stroke [20] |
|---|---|---|
| Incidence | The incidence of classic ADEM is approximately 2–5 per million per year in children. | Pooled incidence of 1.4% |
| However, the incidence of COVID-19-associated ADEM and ADEM in adults is not clear due to the lack of standardized reporting of cases. | ||
| Age | Advanced age (nearly half are >50 years old) | Median 65.3 years |
| In contrast to classic ADEM, COVID-19-associated ADEM occurs more in adults than children. | In comparison to stroke patients without COVID-19, people with COVID-19 and stroke were younger. | |
| Duration since COVID-19 symptom onset | Usually occurring within 15–30 days | Median 8.8 days |
| Neurologic signs | Encephalopathy Focal motor deficits (paraparesis, quadriparesis) Cranial nerve deficits (oculomotor deficits, dysarthria) Focal sensory deficits Seizure Aphasia | Unilateral numbness or weakness of the face, arm or leg Aphasia Dysarthria Disorientation Ataxia Median NIHSS † 15 |
| Radiological features | T2 FLAIR: diffuse, multifocal hyperintensities in the supratentorial and infratentorial white matter, but may also involve gray matter and/or the spinal cord. DWI: increased diffusivity ADC: decreased values in the acute stage; increased values in the subacute stage [16]. Some patients (42%) had evidence for hemorrhage on brain MRI, significantly higher than classic ADEM (2% in prior studies) [6]. | Large vessel occlusion Multiple vascular territory infarction |
| Treatment | IV methylprednisolone IV immunoglobulin Plasmapheresis COVID-19-directed therapies | Antiplatelet therapy IV thrombolysis Endovascular thrombectomy |
| Prognosis | mRS ‡ score 6 (mortality): 20% mRS score 4–5 (severe disability): 20% mRS score 0–1 (no disability): 11% | In-hospital death: 31.5% Discharged to rehabilitation facilities: 25.7% Discharged home: 19.1% |
| Acute Disseminated Encephalomyelitis | Multiple Sclerosis | Myelin Oligodendrocyte Glycoprotein Antibody-Associated Disease | Neuromyelitis Optica Spectrum Disorder | |
|---|---|---|---|---|
| Clinical features | Acute and fulminant encephalopathy with multifocal neurologic findings; monophase; typically follows a prodromal viral illness | Chronic inflammation and demyelination; relapsing–remitting course; the multiphase; may not follow a prodromal viral illness | Central nervous system demyelination including ADEM, ON, TM; the most common is ON; monophasic or relapsing | ON, TM, area postrema syndrome; typically relapsing |
| Radiographic features | Poorly marginated lesions with larger bilateral but asymmetric white matter abnormalities in MRI | Ovoid plaques MRI lesions; hypointense T1-weighted lesions (black holes); Dawson fingers on sagittal views | ADEM-like MRI; enhancement of optic nerve MRI | Enhancement of optic nerve MRI |
| CSF analysis | Variable; nonspecific | Presence of oligoclonal bands; elevated proteins | Oligoclonal bands are typically absent; MOG-IgG autoantibody (+) in CSF | Variable; nonspecific |
| Serum autoantibodies | No specific biomarkers | No specific biomarkers | MOG-IgG autoantibody (+) | Anti-AQP4-IgG antibody (+) |
Disclaimer/Publisher’s Note: The statements, opinions and data contained in all publications are solely those of the individual author(s) and contributor(s) and not of MDPI and/or the editor(s). MDPI and/or the editor(s) disclaim responsibility for any injury to people or property resulting from any ideas, methods, instructions or products referred to in the content. |
© 2024 by the authors. Licensee MDPI, Basel, Switzerland. This article is an open access article distributed under the terms and conditions of the Creative Commons Attribution (CC BY) license (https://creativecommons.org/licenses/by/4.0/).
Share and Cite
Jiang, Y.-X.; Chen, M.-H.; Lin, Y.-Y.; Kao, Y.-H.; Liao, T.-W.; Chiu, C.-C.; Hsiao, P.-J. Comparison between SARS-CoV-2-Associated Acute Disseminated Encephalomyelitis and Acute Stroke: A Case Report. Reports 2024, 7, 18. https://doi.org/10.3390/reports7010018
Jiang Y-X, Chen M-H, Lin Y-Y, Kao Y-H, Liao T-W, Chiu C-C, Hsiao P-J. Comparison between SARS-CoV-2-Associated Acute Disseminated Encephalomyelitis and Acute Stroke: A Case Report. Reports. 2024; 7(1):18. https://doi.org/10.3390/reports7010018
Chicago/Turabian StyleJiang, Yu-Xuan, Ming-Hua Chen, Yen-Yue Lin, Yung-Hsi Kao, Ting-Wei Liao, Chih-Chien Chiu, and Po-Jen Hsiao. 2024. "Comparison between SARS-CoV-2-Associated Acute Disseminated Encephalomyelitis and Acute Stroke: A Case Report" Reports 7, no. 1: 18. https://doi.org/10.3390/reports7010018
APA StyleJiang, Y.-X., Chen, M.-H., Lin, Y.-Y., Kao, Y.-H., Liao, T.-W., Chiu, C.-C., & Hsiao, P.-J. (2024). Comparison between SARS-CoV-2-Associated Acute Disseminated Encephalomyelitis and Acute Stroke: A Case Report. Reports, 7(1), 18. https://doi.org/10.3390/reports7010018

