Challenges in Assessing Aphasia in Congenital Blind Patients: A Case Report
Abstract
:1. Introduction
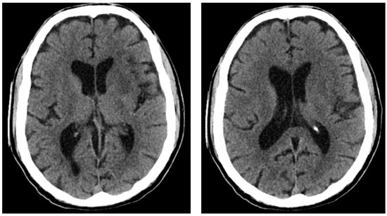
2. Detailed Case Description
2.1. Speech Therapist and Family’s Role in Patient Assessment
- Adapt existing assessment tools: modify the AAT by using tools designed explicitly for blind patients.
- Integrate technology: utilize accessible technology, such as Braille displays, to assist in assessment and intervention.
- Provide background information about the patient’s history and preferences.
- Identify patient-specific communication strategies: provide information on the patient’s pre-stroke communication abilities and compensatory strategies, such as reliance on auditory cues and tactile feedback.
- Offer emotional support: become involved and encourage the patient during the assessment process to help alleviate anxiety and create a supportive environment.
2.2. AAT Modification and Patient’s Assessment
2.3. Outcome
3. Discussion
Author Contributions
Funding
Institutional Review Board Statement
Informed Consent Statement
Data Availability Statement
Conflicts of Interest
References
- Basso, A.; Lecours, A.R.; Moraschini, S.; Vanier, M. Anatomoclinical Correlations of the Aphasias as Defined through Computerized Tomography: Exceptions. Brain Lang. 1985, 26, 201–229. [Google Scholar] [CrossRef] [PubMed]
- Halai, A.D.; Woollams, A.M.; Lambon Ralph, M.A. Predicting the Pattern and Severity of Chronic Post-Stroke Language Deficits from Functionally-Partitioned Structural Lesions. NeuroImage Clin. 2018, 19, 1–13. [Google Scholar] [CrossRef] [PubMed]
- Henseler, I.; Regenbrecht, F.; Obrig, H. Lesion Correlates of Patholinguistic Profiles in Chronic Aphasia: Comparisons of Syndrome-, Modality- and Symptom-Level Assessment. Brain 2014, 137, 918–930. [Google Scholar] [CrossRef] [PubMed]
- Ghoreyshi, Z.; Nilipour, R.; Bayat, N.; Nejad, S.S.; Mehrpour, M.; Azimi, T. The Incidence of Aphasia, Cognitive Deficits, Apraxia, Dysarthria, and Dysphagia in Acute Post Stroke Persian Speaking Adults. Indian J. Otolaryngol. Head Neck Surg. 2022, 74, 5685–5695. [Google Scholar] [CrossRef]
- Béjot, Y.; Bailly, H.; Durier, J.; Giroud, M. Epidemiology of Stroke in Europe and Trends for the 21st Century. La. Presse Méd. 2016, 45, e391–e398. [Google Scholar] [CrossRef]
- Sacco, S.; Stracci, F.; Cerone, D.; Ricci, S.; Carolei, A. Epidemiology of Stroke in Italy. Int. J. Stroke 2011, 6, 219–227. [Google Scholar] [CrossRef]
- Saini, V.; Guada, L.; Yavagal, D.R. Global Epidemiology of Stroke and Access to Acute Ischemic Stroke Interventions. Neurology 2021, 97, S6–S16. [Google Scholar] [CrossRef]
- Castro, N.; Hula, W.D.; Ashaie, S.A. Defining Aphasia: Content Analysis of Six Aphasia Diagnostic Batteries. Cortex 2023, 166, 19–32. [Google Scholar] [CrossRef]
- Hilari, K. The Impact of Stroke: Are People with Aphasia Different to Those Without? Disabil. Rehabil. 2011, 33, 211–218. [Google Scholar] [CrossRef]
- Bullier, B.; Cassoudesalle, H.; Villain, M.; Cogné, M.; Mollo, C.; De Gabory, I.; Dehail, P.; Joseph, P.-A.; Sibon, I.; Glize, B. New Factors That Affect Quality of Life in Patients with Aphasia. Ann. Phys. Rehabil. Med. 2020, 63, 33–37. [Google Scholar] [CrossRef]
- Feigin, V.L.; Stark, B.A.; Johnson, C.O.; Roth, G.A.; Bisignano, C.; Abady, G.G.; Abbasifard, M.; Abbasi-Kangevari, M.; Abd-Allah, F.; Abedi, V.; et al. Global, Regional, and National Burden of Stroke and Its Risk Factors, 1990–2019: A Systematic Analysis for the Global Burden of Disease Study 2019. Lancet Neurol. 2021, 20, 795–820. [Google Scholar] [CrossRef] [PubMed]
- Grönberg, A.; Henriksson, I.; Stenman, M.; Lindgren, A.G. Incidence of Aphasia in Ischemic Stroke. Neuroepidemiology 2022, 56, 174–182. [Google Scholar] [CrossRef] [PubMed]
- Engelter, S.T.; Gostynski, M.; Papa, S.; Frei, M.; Born, C.; Ajdacic-Gross, V.; Gutzwiller, F.; Lyrer, P.A. Epidemiology of Aphasia Attributable to First Ischemic Stroke Incidence, Severity, Fluency, Etiology, and Thrombolysis. Stroke 2006, 37, 1379–1384. [Google Scholar] [CrossRef]
- McNeil, M.R.; Pratt, S.R. Defining Aphasia: Some Theoretical and Clinical Implications of Operating from a Formal Definition. Aphasiology 2010, 15, 901–911. [Google Scholar] [CrossRef]
- Global Estimates of Vision Loss. Available online: https://www.iapb.org/learn/vision-atlas/magnitude-and-projections/global/ (accessed on 7 April 2023).
- Luzzatti, C.; De Bleser, R.; Scola, I.; Frustaci, M.; Willmes, K. Update on the Psychometric Properties for the Italian Version of the Aachen Aphasia Test (IT-AAT). Aphasiology 2023, 37, 658–695. [Google Scholar] [CrossRef]
- Smith, L.L. Visual Field Defects and Aphasia Testing: A Proposed Adaptation of the Boston Diagnostic Aphasia Examination; ScholarWorks at University of Montana: Missoula, MT, UAS, 1985. [Google Scholar]
- Birchmeier, A.K. Aphasic Dyslexia of Braille in a Congenitally Blind Man. Neuropsychologia 1985, 23, 177–193. [Google Scholar] [CrossRef] [PubMed]
- Parker, H.M. Case Report—A Remarkable Stroke Patient. J. Aust. Coll. Speech Ther. 1970, 20, 104–106. [Google Scholar] [CrossRef]
- Huber, W. The Aachen Aphasia Test. Adv. Neurol. 1984, 42, 291–303. Available online: https://pubmed.ncbi.nlm.nih.gov/6209953/ (accessed on 29 August 2023). [PubMed]
- Chee, M.W.; Caplan, D.; Soon, C.S.; Sriram, N.; Tan, E.W.; Thiel, T.; Weekes, B. Processing of Visually Presented Sentences in Mandarin and English Studied with fMRI. Neuron 1999, 23, 127–137. [Google Scholar] [CrossRef]
- MacSweeney, M.; Capek, C.M.; Campbell, R.; Woll, B. The Signing Brain: The Neurobiology of Sign Language. Trends Cogn. Sci. 2008, 12, 432–440. [Google Scholar] [CrossRef]
- Burton, H.; Snyder, A.Z.; Diamond, J.B.; Raichle, M.E. Adaptive Changes in Early and Late Blind: A FMRI Study of Verb Generation to Heard Nouns. J. Neurophysiol. 2002, 88, 3359–3371. [Google Scholar] [CrossRef] [PubMed]
- Sadato, N.; Pascual-Leone, A.; Grafman, J.; Ibañez, V.; Deiber, M.P.; Dold, G.; Hallett, M. Activation of the Primary Visual Cortex by Braille Reading in Blind Subjects. Nature 1996, 380, 526–528. [Google Scholar] [CrossRef] [PubMed]
- Haupt, M.; Graumann, M.; Teng, S.; Cichy, R. The Spatiotemporal Neural Dynamics of Braille Letter Representations in Individuals with Congenital Blindness. J. Vis. 2023, 23, 4710. [Google Scholar] [CrossRef]
- Lai, H.-H.; Chen, Y.-C. A Study on the Blind’s Sensory Ability. Int. J. Ind. Ergon. 2006, 36, 565–570. [Google Scholar] [CrossRef]
- Chebat, D.-R.; Schneider, F.C.; Ptito, M. Spatial Competence and Brain Plasticity in Congenital Blindness via Sensory Substitution Devices. Front. Neurosci. 2020, 14, 815. [Google Scholar] [CrossRef]
- Sorokowska, A.; Sorokowski, P.; Karwowski, M.; Larsson, M.; Hummel, T. Olfactory Perception and Blindness: A Systematic Review and Meta-Analysis. Psychol. Res. 2019, 83, 1595–1611. [Google Scholar] [CrossRef]




| Observation Levels | Description | Adaptation | Total Range by Subtest | |
|---|---|---|---|---|
| Token Test * | Assesses multiple aspects of language comprehension based on the ability to identify colors, shapes, and verbal commands. In the Token Test, the number of errors is counted. | n/a | 0–50 | |
| Repetition |
| Assesses the ability to repeat sounds, words, less common words, phrases, and sentences. | Standard administration | 0–150 |
| ||||
| ||||
| ||||
| ||||
| Written Language |
| Measures reading ability | The Braille display was provided to the patient to write in Braille during the test | 0–90 |
| Assesses the ability to write from dictation | |||
| Measures handwriting skills | |||
| Naming |
| Assesses the ability to name objects | Natural and manipulable objects have been used for simple and compound names; the assessment was not possible for “naming colors” | 0–120 |
| Assesses the ability to name colors | |||
| Measures the ability to name objects with compound words | |||
| Measures the ability to describe sentences | |||
| Comprehension * |
| Measures the ability to comprehend words and sentences | n/a | 0–120 |
| ||||
| ||||
|
| Spontaneous Language | Method of Administration | Range | |||||
|---|---|---|---|---|---|---|---|
| 0 | 1 | 2 | 3 | 4 | 5 | ||
| Communication | Standard | X | |||||
| Articulation and Prosody | Standard | X | |||||
| Automatic Speech | Standard | X | |||||
| Semantic Structure | Standard | X | |||||
| Phonematic Structure | Standard | X | |||||
| Syntactic Structure | Standard | X | |||||
| TEST | Modality of administration | RANGE | Score | ||||
| Token Test | n/a | 0–50 | |||||
| Repetition | 0–150 | ||||||
| Total score | 123 | ||||||
| Sounds | standard | 26 | |||||
| Words | standard | 30 | |||||
| Loans and foreign words | standard | 28 | |||||
| Compound words and syntagms | standard | 22 | |||||
| Sentences | standard | 17 | |||||
| Written Language | 0–90 | ||||||
| Total score | 22 | ||||||
| Reading | Braille | 22 | |||||
| Dictation by composition | Braille | 0 | |||||
| Dictation in handwriting | Braille | 0 | |||||
| Naming | 0–120 | ||||||
| Total score | 45 | ||||||
| Objects | Modified | 30 | |||||
| Colors | n/a | ||||||
| Compounds Names | Modified | 15 | |||||
| Figures Description | n/a | ||||||
| Comprehension | 0–120 | ||||||
| Listening Words | n/a | ||||||
| Listening Sentences | n/a | ||||||
| Writing Words | n/a | ||||||
| Writing Sentences | n/a | ||||||
Disclaimer/Publisher’s Note: The statements, opinions and data contained in all publications are solely those of the individual author(s) and contributor(s) and not of MDPI and/or the editor(s). MDPI and/or the editor(s) disclaim responsibility for any injury to people or property resulting from any ideas, methods, instructions or products referred to in the content. |
© 2023 by the authors. Licensee MDPI, Basel, Switzerland. This article is an open access article distributed under the terms and conditions of the Creative Commons Attribution (CC BY) license (https://creativecommons.org/licenses/by/4.0/).
Share and Cite
Nicoletta, M.G.; Riganello, F.; Lucca, L.F.; Cortese, M.D. Challenges in Assessing Aphasia in Congenital Blind Patients: A Case Report. Reports 2023, 6, 49. https://doi.org/10.3390/reports6040049
Nicoletta MG, Riganello F, Lucca LF, Cortese MD. Challenges in Assessing Aphasia in Congenital Blind Patients: A Case Report. Reports. 2023; 6(4):49. https://doi.org/10.3390/reports6040049
Chicago/Turabian StyleNicoletta, Maria Grazia, Francesco Riganello, Lucia Francesca Lucca, and Maria Daniela Cortese. 2023. "Challenges in Assessing Aphasia in Congenital Blind Patients: A Case Report" Reports 6, no. 4: 49. https://doi.org/10.3390/reports6040049
APA StyleNicoletta, M. G., Riganello, F., Lucca, L. F., & Cortese, M. D. (2023). Challenges in Assessing Aphasia in Congenital Blind Patients: A Case Report. Reports, 6(4), 49. https://doi.org/10.3390/reports6040049

