A Combined Surgical Approach for the Treatment of a Sino-Naso-Orbital Glomangiopericytoma
Abstract
1. Introduction
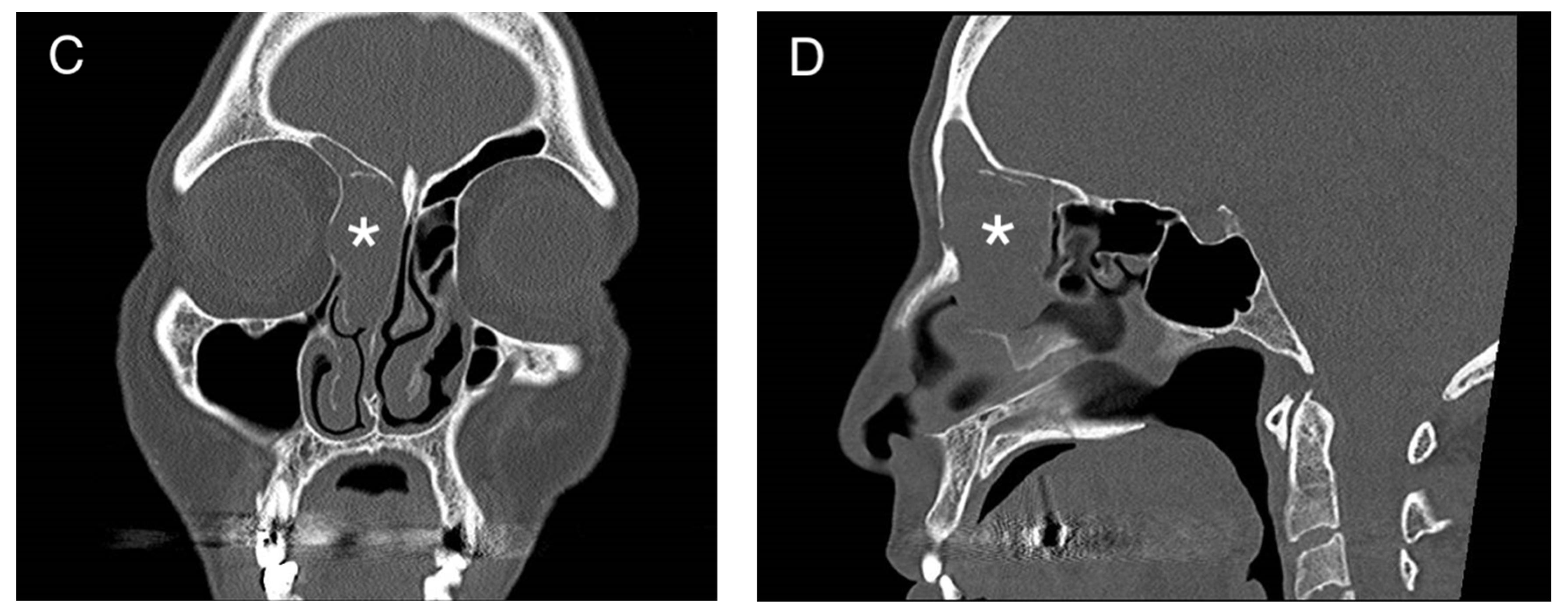
2. Presentation of Case
3. Discussion
4. Conclusions
Author Contributions
Funding
Institutional Review Board Statement
Informed Consent Statement
Data Availability Statement
Conflicts of Interest
References
- Kazi, A.A.; McDougal, E.M.; Howell, J.B.; Schuman, T.A.; Nord, R.S. Glomangiopericytoma: A case series with review of literature. Braz. J. Otorhinolaryngol. 2021, 88, 817–820. [Google Scholar] [CrossRef] [PubMed]
- Stout, A.P.; Murray, M.R. Hemangiopericytoma. Ann. Surg. 1942, 116, 26–33. [Google Scholar] [CrossRef]
- Zambo, I.; Veselý, K. WHO classification of tumours of soft tissue and bone 2013: The main changes compared to the 3rd edition. Ceskoslovenska Patol. 2014, 50, 64–70. [Google Scholar]
- Saito, Y.; Ohta, N.; Konosu-Fukaya, S.; Shoji, F.; Suzuki, T.; Noguchi, N.; Kakuta, R.; Ikeda, R.; Yamazaki, M.; Kusano, Y.; et al. Endoscopic Treatment of Sinonasal Glomangiopericytoma: A Case Report in Light of the Literature. Yonago Acta Med. 2019, 62, 236–239. [Google Scholar] [CrossRef] [PubMed]
- Jung, E.S.; Yang, S.-W.; Kim, J.-H.; Kim, S.W. A case of glomangiopericytoma involving the orbital wall. Ear Nose Throat J. 2013, 92, E13–E15. [Google Scholar] [CrossRef]
- Spitz, F.R.; Bouvet, M.; Pisters, P.W.T.; Pollock, R.E.; Feig, B.W. Hemangiopericytoma: A 20-year single-institution experience. Ann. Surg. Oncol. 1998, 5, 350–355. [Google Scholar] [CrossRef]
- Abou Al-Shaar, H.; Macdonald, K.I.; Labib, M.A. Glomangiopericytoma simulating an intracavernous meningioma. Surg. Neurol. Int. 2016, 7, S142–S147. [Google Scholar] [PubMed]
- Thompson, L.D.R.; Miettinen, M.; Wenig, B.M. Sinonasal-Type Hemangiopericytoma: A Clinicopathologic and Immunophenotypic Analysis of 104 Cases Showing Perivascular Myoid Differentiation. Am. J. Surg. Pathol. 2003, 27, 737–749. [Google Scholar] [CrossRef] [PubMed]
- Arpaci, R.B.; Kara, T.; Vayisoğlu, Y.; Ozgur, A.; Ozcan, C. Sinonasal glomangiopericytoma. J. Craniofac. Surg. 2012, 23, 1194–1196. [Google Scholar] [CrossRef] [PubMed]
- Obeidin, F.; Jennings, L.J.; Alexiev, B.A. Sinonasal glomangiopericytoma: A clinicopathologic study. Pathol. Res. Pract. 2019, 215, 983–987. [Google Scholar] [CrossRef] [PubMed]
- Verim, A.; Kalaycik Ertugay, C.; Karaca, C.T.; Gunes, P.; Sheidaei, S.; Oysu, C. A rare tumor of nasal cavity: Glomangiopericytoma. Case Rep. Otolaryngol. 2014, 2014, 282958. [Google Scholar] [CrossRef] [PubMed]
- Duval, M.; Hwang, E.; Kilty, S.J. Systematic review of treatment and prognosis of sinonasal hemangiopericytoma. Head Neck 2013, 35, 1205–1210. [Google Scholar] [CrossRef]
- Lin, I.H.; Kuo, F.Y.; Su, C.Y.; Lin, H.C. Sinonasal-type hemangiopericytoma of the sphenoid sinus. Otolaryngol. Neck Surg. 2006, 135, 977–979. [Google Scholar] [CrossRef] [PubMed]
- Oliveira, V.M.; Neto Almeida, G.; Silva, D.R.; Escada, P.A. Endoscopic resection of invasive glomangiopericytoma following preoperative embolisation. BMJ Case Rep. 2016, 2016, bcr2015213423. [Google Scholar] [PubMed]
- Zhou, B.; Milman, T.; Langer, P.D. Orbital glomangiopericytoma in a 5-year-old child. Orbit 2022, 1–5. [Google Scholar] [CrossRef] [PubMed]
- Kamath, P.M.; Vijendra Shenoy, S.; Nirupama, M.; Vinay Raj, T. Hemangiopericytoma: A rare sinonasal tumor. Egypt. J. Ear Nose Throat Allied Sci. 2013, 14, 151–154. [Google Scholar] [CrossRef]
- Gleizal, A.; Béra, J.C.; Lavandier, B.; Béziat, J.L. Craniofacial approach for orbital tumors and ultrasonic bone cutting. J. Fr. Ophtalmol. 2007, 30, 882–891. [Google Scholar] [CrossRef]
- Foletti, J.M.; Martinez, V.; Haen, P.; Godio-Raboutet, Y.; Guyot, L.; Thollon, L. Finite element analysis of the human orbit. Behavior of titanium mesh for orbital floor reconstruction in case of trauma recurrence. J. Stomatol. Oral Maxillofac. Surg. 2019, 120, 91–94. [Google Scholar] [CrossRef] [PubMed]







Disclaimer/Publisher’s Note: The statements, opinions and data contained in all publications are solely those of the individual author(s) and contributor(s) and not of MDPI and/or the editor(s). MDPI and/or the editor(s) disclaim responsibility for any injury to people or property resulting from any ideas, methods, instructions or products referred to in the content. |
© 2023 by the authors. Licensee MDPI, Basel, Switzerland. This article is an open access article distributed under the terms and conditions of the Creative Commons Attribution (CC BY) license (https://creativecommons.org/licenses/by/4.0/).
Share and Cite
Labouchère, A.; De Sandre, C.; Broome, M.; Reinhard, A.; Louvrier, A. A Combined Surgical Approach for the Treatment of a Sino-Naso-Orbital Glomangiopericytoma. Reports 2023, 6, 7. https://doi.org/10.3390/reports6010007
Labouchère A, De Sandre C, Broome M, Reinhard A, Louvrier A. A Combined Surgical Approach for the Treatment of a Sino-Naso-Orbital Glomangiopericytoma. Reports. 2023; 6(1):7. https://doi.org/10.3390/reports6010007
Chicago/Turabian StyleLabouchère, Ania, Cécile De Sandre, Martin Broome, Antoine Reinhard, and Aurélien Louvrier. 2023. "A Combined Surgical Approach for the Treatment of a Sino-Naso-Orbital Glomangiopericytoma" Reports 6, no. 1: 7. https://doi.org/10.3390/reports6010007
APA StyleLabouchère, A., De Sandre, C., Broome, M., Reinhard, A., & Louvrier, A. (2023). A Combined Surgical Approach for the Treatment of a Sino-Naso-Orbital Glomangiopericytoma. Reports, 6(1), 7. https://doi.org/10.3390/reports6010007

