A Challenging Case of Visceral Leishmaniasis
Abstract
1. Introduction
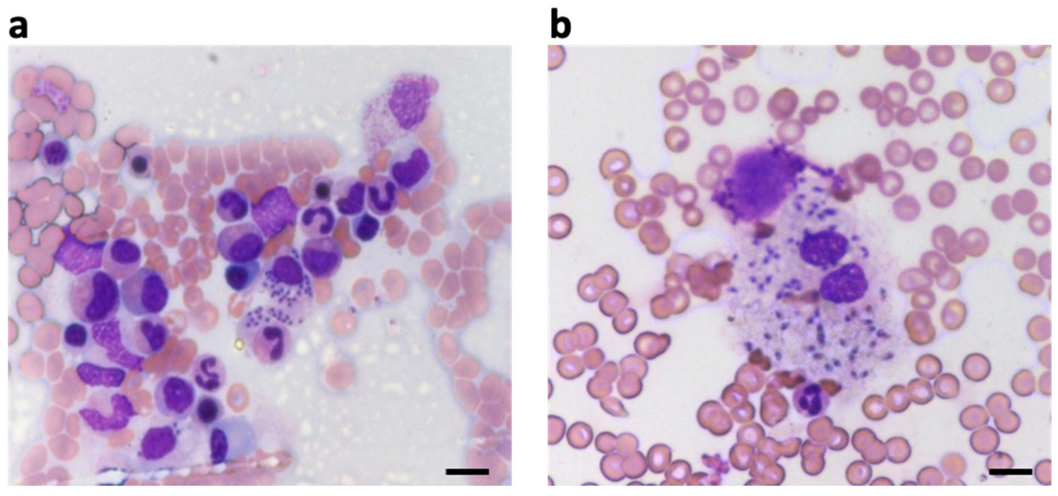
2. Case Presentation
3. Discussion
4. Conclusions
Author Contributions
Funding
Institutional Review Board Statement
Informed Consent Statement
Data Availability Statement
Acknowledgments
Conflicts of Interest
References
- Torres-Guerrero, E.; Quintanilla-Cedillo, M.R.; Ruiz-Esmenjaud, J.; Arenas, R. Leishmaniasis: A Review. F1000Research 2017, 6, 750. [Google Scholar] [CrossRef]
- van Griensven, J.; Carrillo, E.; López-Vélez, R.; Lynen, L.; Moreno, J. Leishmaniasis in Immunosuppressed Individuals. Clin. Microbiol. Infect. 2014, 20, 286–299. [Google Scholar] [CrossRef]
- Bavaro, D.F.; Fiordelisi, D.; Angarano, G.; Monno, L.; Saracino, A. Targeted Therapies for Autoimmune/Idiopathic Nonmalignant Diseases: Risk and Management of Opportunistic Infections. Expert Opin. Drug Saf. 2020, 19, 817–842. [Google Scholar] [CrossRef]
- Vacca, A.; Melaccio, A.; Sportelli, A.; Solimando, A.G.; Dammacco, F.; Ria, R. Subcutaneous Immunoglobulins in Patients with Multiple Myeloma and Secondary Hypogammaglobulinemia: A Randomized Trial. Clin. Immunol. 2018, 191, 110–115. [Google Scholar] [CrossRef]
- Akuffo, H.; Costa, C.; van Griensven, J.; Burza, S.; Moreno, J.; Herrero, M. New Insights into Leishmaniasis in the Immunosuppressed. PLoS Negl. Trop. Dis. 2018, 12, e0006375. [Google Scholar] [CrossRef]
- Loscocco, G.G.; Piccini, M. Visceral Leishmaniasis. N. Engl. J. Med. 2019, 380, 379. [Google Scholar] [CrossRef] [PubMed]
- Serra, I.; Marín, I.; Morillas, R.M.; Domènech, E. Visceral leishmaniasis in a patient with autoimmune hepatitis on combined immunosuppressant therapy. Med. Clin. (Barc.) 2010, 134, 234–235. [Google Scholar] [CrossRef]
- Padrón Romero, M.; Acevedo Ribó, M.M.; Ahijado Hormigos, F.J.; Díaz Crespo, F.; Cueto Bravo, L.; Herraiz Corredor, C.; Fernández Rojo, M.Á.; Díaz-Tejeiro Izquierdo, R. Membranoproliferative Glomerulonephritis and Mixed Cryoglobulinemia as a Form of Presentation of Visceral Leishmaniasis. Am. J. Case Rep. 2020, 21, e921445. [Google Scholar] [CrossRef]
- Tunccan, O.G.; Tufan, A.; Telli, G.; Akyürek, N.; Pamukçuoğlu, M.; Yılmaz, G.; Hızel, K. Visceral Leishmaniasis Mimicking Autoimmune Hepatitis, Primary Biliary Cirrhosis, and Systemic Lupus Erythematosus Overlap. Korean J. Parasitol. 2012, 50, 133–136. [Google Scholar] [CrossRef]
- Leone, P.; Cicco, S.; Prete, M.; Solimando, A.G.; Susca, N.; Crudele, L.; Buonavoglia, A.; Colonna, P.; Dammacco, F.; Vacca, A.; et al. Early Echocardiographic Detection of Left Ventricular Diastolic Dysfunction in Patients with Systemic Lupus Erythematosus Asymptomatic for Cardiovascular Disease. Clin. Exp. Med. 2020, 20, 11–19. [Google Scholar] [CrossRef]
- Makaritsis, K.P.; Gatselis, N.K.; Ioannou, M.; Petinaki, E.; Dalekos, G.N. Polyclonal Hypergammaglobulinemia and High Smooth-Muscle Autoantibody Titers with Specificity against Filamentous Actin: Consider Visceral Leishmaniasis, Not Just Autoimmune Hepatitis. Int. J. Infect. Dis. 2009, 13, e157–e160. [Google Scholar] [CrossRef][Green Version]
- Sotirakou, S.; Wozniak, G. Clinical Expression of Autoimmune Hepatitis in a Nine-Year-Old Girl with Visceral Leishmaniasis. Pol. J. Pathol. 2011, 62, 118–119. [Google Scholar]
- Fasano, R.; Malerba, E.; Prete, M.; Solimando, A.G.; Buonavoglia, A.; Silvestris, N.; Leone, P.; Racanelli, V. Impact of Antigen Presentation Mechanisms on Immune Response in Autoimmune Hepatitis. Front. Immunol. 2021, 12, 814155. [Google Scholar] [CrossRef]
- Dalgiç, B.; Dursun, I.; Akyol, G. A Case of Visceral Leishmaniasis Misdiagnosed as Autoimmune Hepatitis. Turk. J. Gastroenterol. 2005, 16, 52–53. [Google Scholar]
- Matzdorff, A.C.; Matthes, K.; Kemkes-Matthes, B.; Pralle, H. Viszerale Leishmaniose mit ungewöhnlich langer Inkubationszeit. Dtsch. Med. Wochenschr. 2008, 122, 890–894. [Google Scholar] [CrossRef]
- Bouyahia, O.; Khelifi, I.; Ben Mansour, F.; Khaldi, F. Visceral Leishmaniasis with Portal Hypertension Mimicking Auto Immune Hepatitis. Médecine Mal. Infect. 2007, 37, S268–S269. [Google Scholar] [CrossRef]
- Argentiero, A.; Solimando, A.G.; Brunetti, O.; Calabrese, A.; Pantano, F.; Iuliani, M.; Santini, D.; Silvestris, N.; Vacca, A. Skeletal Metastases of Unknown Primary: Biological Landscape and Clinical Overview. Cancers 2019, 11, 1270. [Google Scholar] [CrossRef]
- Leone, P.; Solimando, A.G.; Malerba, E.; Fasano, R.; Buonavoglia, A.; Pappagallo, F.; De Re, V.; Argentiero, A.; Silvestris, N.; Vacca, A.; et al. Actors on the Scene: Immune Cells in the Myeloma Niche. Front. Oncol. 2020, 10, 599098. [Google Scholar] [CrossRef]
- Gnoni, A.; Brunetti, O.; Longo, V.; Calabrese, A.; Argentiero, A.; Calbi, R.; Solimando Antonio, G.; Licchetta, A. Immune System and Bone Microenvironment: Rationale for Targeted Cancer Therapies. Oncotarget 2020, 11, 480–487. [Google Scholar] [CrossRef][Green Version]
- Santana, C.C.; Vassallo, J.; de Freitas, L.a.R.; Oliveira, G.G.S.; Pontes-de-Carvalho, L.C.; dos-Santos, W.L.C. Inflammation and Structural Changes of Splenic Lymphoid Tissue in Visceral Leishmaniasis: A Study on Naturally Infected Dogs. Parasite Immunol. 2008, 30, 515–524. [Google Scholar] [CrossRef]
- Aronson, N.; Herwaldt, B.L.; Libman, M.; Pearson, R.; Lopez-Velez, R.; Weina, P.; Carvalho, E.; Ephros, M.; Jeronimo, S.; Magill, A. Diagnosis and Treatment of Leishmaniasis: Clinical Practice Guidelines by the Infectious Diseases Society of America (IDSA) and the American Society of Tropical Medicine and Hygiene (ASTMH). Am. J. Trop. Med. Hyg. 2017, 96, 24–45. [Google Scholar] [CrossRef]
- Bartoletti, M.; Vandi, G.; Furii, F.; Bertuzzo, V.; Ambretti, S.; Tedeschi, S.; Pascale, R.; Cristini, F.; Campoli, C.; Morelli, M.C.; et al. Management of Immunosuppressive Therapy in Liver Transplant Recipients Who Develop Bloodstream Infection. Transpl. Infect. Dis. 2018, 20, e12930. [Google Scholar] [CrossRef]
- Kalil, A.C.; Syed, A.; Rupp, M.E.; Chambers, H.; Vargas, L.; Maskin, A.; Miles, C.D.; Langnas, A.; Florescu, D.F. Is Bacteremic Sepsis Associated with Higher Mortality in Transplant Recipients than in Nontransplant Patients? A Matched Case-Control Propensity-Adjusted Study. Clin. Infect. Dis. 2015, 60, 216–222. [Google Scholar] [CrossRef]
- Harris, P.N.A.; McNamara, J.F.; Lye, D.C.; Davis, J.S.; Bernard, L.; Cheng, A.C.; Doi, Y.; Fowler, V.G.; Kaye, K.S.; Leibovici, L.; et al. Proposed Primary Endpoints for Use in Clinical Trials That Compare Treatment Options for Bloodstream Infection in Adults: A Consensus Definition. Clin. Microbiol. Infect. 2017, 23, 533–541. [Google Scholar] [CrossRef]
- Malinis, M.F.; Mawhorter, S.D.; Jain, A.; Shrestha, N.K.; Avery, R.K.; van Duin, D. Staphylococcus Aureus Bacteremia in Solid Organ Transplant Recipients: Evidence for Improved Survival When Compared with Nontransplant Patients. Transplantation 2012, 93, 1045–1050. [Google Scholar] [CrossRef]
- Solimando, A.G.; Ribatti, D.; Vacca, A.; Einsele, H. Targeting B-Cell Non Hodgkin Lymphoma: New and Old Tricks. Leuk. Res. 2016, 42, 93–104. [Google Scholar] [CrossRef]
- Ria, R.; Reale, A.; Solimando, A.G.; Mangialardi, G.; Moschetta, M.; Gelao, L.; Iodice, G.; Vacca, A. Induction Therapy and Stem Cell Mobilization in Patients with Newly Diagnosed Multiple Myeloma. Stem Cells Int. 2012, 2012, 607260. [Google Scholar] [CrossRef]
- DiCarlo, J.V.; Alexander, S.R.; Agarwal, R.; Schiffman, J.D. Continuous Veno-Venous Hemofiltration May Improve Survival from Acute Respiratory Distress Syndrome after Bone Marrow Transplantation or Chemotherapy. J. Pediatr. Hematol. Oncol. 2003, 25, 801–805. [Google Scholar] [CrossRef]
- Hotchkiss, R.S.; Moldawer, L.L.; Opal, S.M.; Reinhart, K.; Turnbull, I.R.; Vincent, J.-L. Sepsis and Septic Shock. Nat. Rev. Dis. Primers 2016, 2, 16045. [Google Scholar] [CrossRef]
- Solimando, A.G.; Susca, N.; Borrelli, P.; Prete, M.; Lauletta, G.; Pappagallo, F.; Buono, R.; Inglese, G.; Forina, B.M.; Bochicchio, D.; et al. Short-Term Variations in Neutrophil-to-Lymphocyte and Urea-to-Creatinine Ratios Anticipate Intensive Care Unit Admission of COVID-19 Patients in the Emergency Department. Front. Med. (Lausanne) 2020, 7, 625176. [Google Scholar] [CrossRef]



| Episode of Care | Diagnostic Assessment | Therapy | Period |
|---|---|---|---|
| Admitted with autoimmune cholangitis | Liver biopsy | UDCA | 2003 |
| Admitted with autoimmune cholangitis | Clinical analysis | UDCA Prednisone (two weeks) | 2005 |
| Admitted with autoimmune cholangitis | Clinical analysis | UDCA Azathioprine | 2007 |
| Admitted with autoimmune cholangitis | Clinical analysis | UDCA Azathioprine | 2010 |
| Type 1 autoimmune hepatitis and recurrent prostatitis | Liver biopsy | UDCA Methylprednisolone | 2011 |
| Follow-up | Colonoscopy | UDCA Methylprednisolone | 2013 |
| Follow-up | Thyroid needle aspiration | UDCA Methylprednisolone | 2014 |
| Follow-up | Liver biopsy; cholang MRI; EGD; | UDCA Methylprednisolone | 2016 |
| Admitted with fever F.U.O. and autoimmune hepatitis | Clinical and microbiological analysis | UDCA Methylprednisolone Azathioprine | 2017 |
| Characteristics | Values |
|---|---|
| Leukocytes | 10.6 × 103 cell/µL |
| Hemoglobin | 10.4 g/dL |
| Platelets | 264,000 cell/µL |
| C-reactive Protein | 82 mg/dl |
| Serum albumin | 2.6 g/dl |
| Procalcitonin | 1.45 ng/dL |
| ESR | 70 mm/h |
| Ferritin | 1261 ng/mL |
| AST | 109 U/L |
| ALT | 216 U/L |
| GGT | 231 U/L |
Publisher’s Note: MDPI stays neutral with regard to jurisdictional claims in published maps and institutional affiliations. |
© 2022 by the authors. Licensee MDPI, Basel, Switzerland. This article is an open access article distributed under the terms and conditions of the Creative Commons Attribution (CC BY) license (https://creativecommons.org/licenses/by/4.0/).
Share and Cite
Solimando, A.G.; Coniglio, G.; Desantis, V.; Lauletta, G.; Bavaro, D.F.; Diella, L.; Cirulli, A.; Iodice, G.; Santoro, P.; Cicco, S.; et al. A Challenging Case of Visceral Leishmaniasis. Reports 2022, 5, 23. https://doi.org/10.3390/reports5020023
Solimando AG, Coniglio G, Desantis V, Lauletta G, Bavaro DF, Diella L, Cirulli A, Iodice G, Santoro P, Cicco S, et al. A Challenging Case of Visceral Leishmaniasis. Reports. 2022; 5(2):23. https://doi.org/10.3390/reports5020023
Chicago/Turabian StyleSolimando, Antonio Giovanni, Giuseppe Coniglio, Vanessa Desantis, Gianfranco Lauletta, Davide Fiore Bavaro, Lucia Diella, Anna Cirulli, Giuseppe Iodice, Piero Santoro, Sebastiano Cicco, and et al. 2022. "A Challenging Case of Visceral Leishmaniasis" Reports 5, no. 2: 23. https://doi.org/10.3390/reports5020023
APA StyleSolimando, A. G., Coniglio, G., Desantis, V., Lauletta, G., Bavaro, D. F., Diella, L., Cirulli, A., Iodice, G., Santoro, P., Cicco, S., Ingravallo, G., Signorile, F., Ria, R., Montagnani, M., Saracino, A., & Vacca, A. (2022). A Challenging Case of Visceral Leishmaniasis. Reports, 5(2), 23. https://doi.org/10.3390/reports5020023

