Laryngeal Paralysis Recovered Two Years after a Head Trauma by Growth Hormone Treatment and Neurorehabilitation
Abstract
1. Introduction
2. Case Report
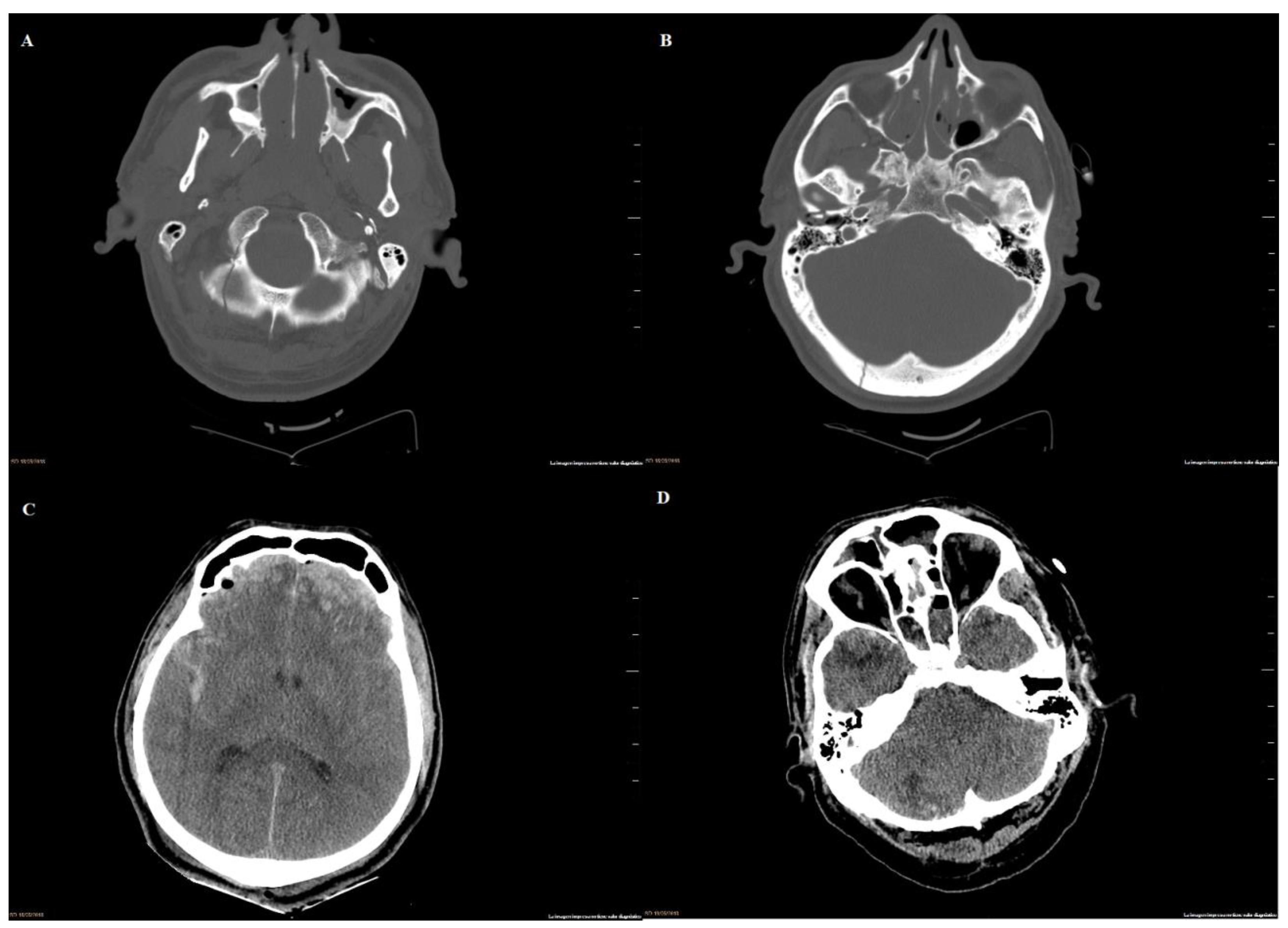
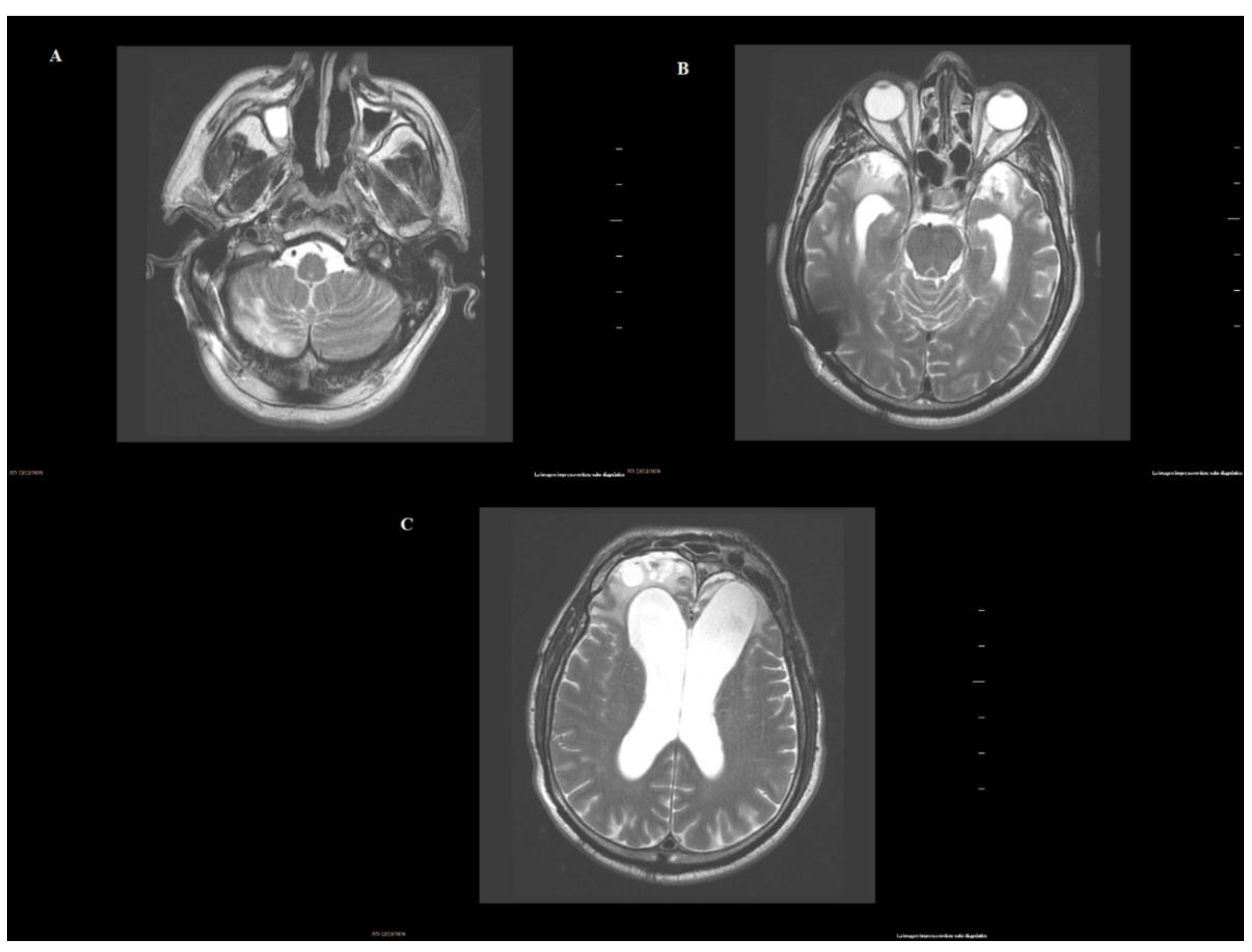
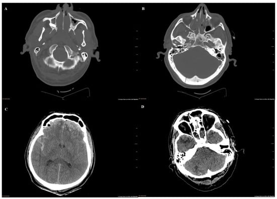
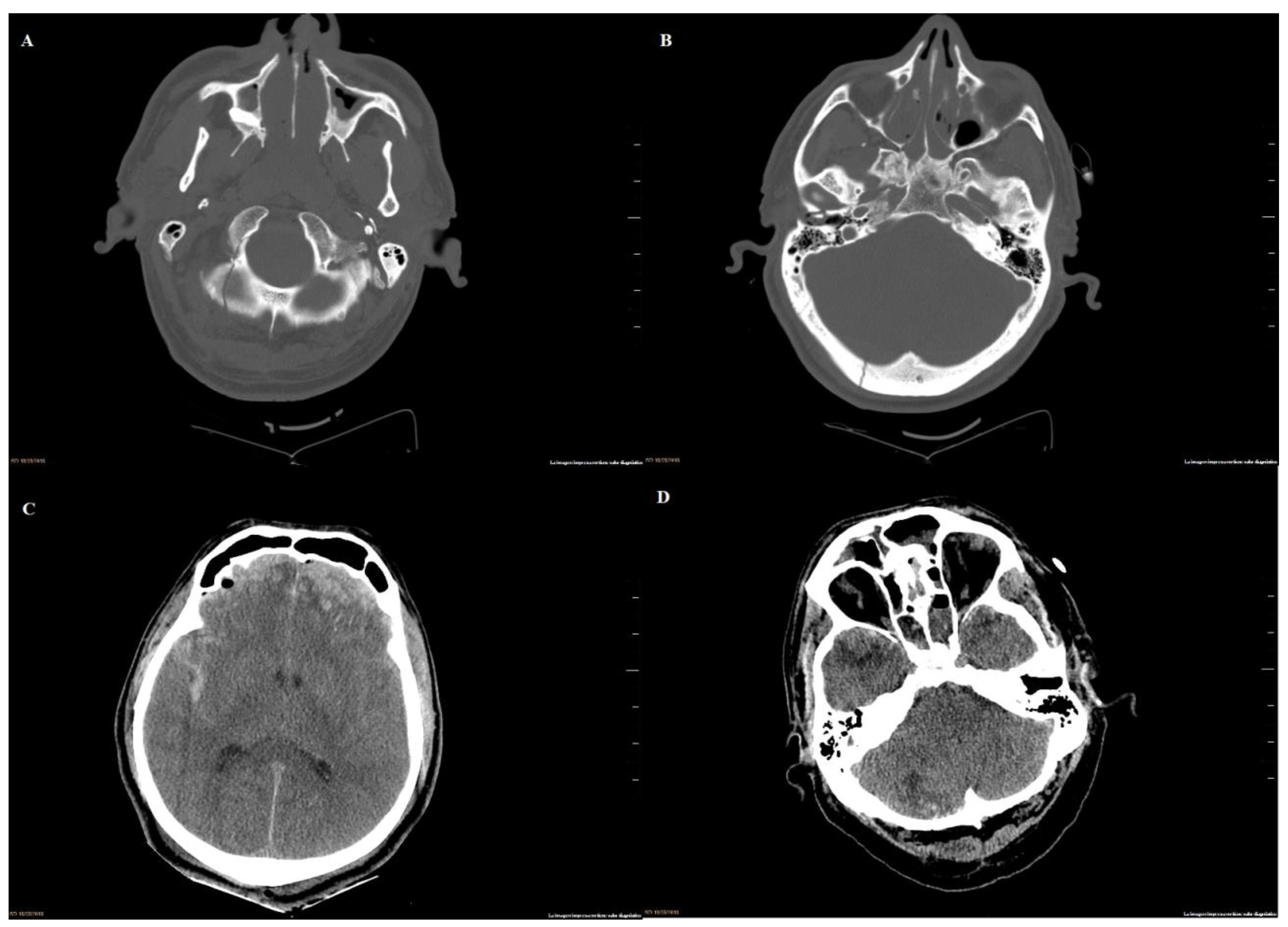
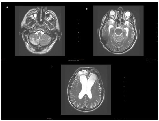
2.1. Medical Background
2.2. Medical Treatment
2.3. Neurorehabilitation
2.3.1. Speech Therapy
2.3.2. Neurostimulation
3. Discussion
4. Conclusions
Supplementary Materials
Author Contributions
Funding
Institutional Review Board Statement
Informed Consent Statement
Data Availability Statement
Acknowledgments
Conflicts of Interest
References
- Vachha, B.; Cunnane, M.B.; Mallur, P.; Moonis, G. Losing Your Voice: Etiologies and Imaging Features of Vocal Fold Paralysis. J. Clin. Imaging Sci. 2013, 3, 15. [Google Scholar] [CrossRef] [PubMed]
- Venketasubramanian, N.; Seshadri, R.; Chee, N. Vocal Cord Paresis in Acute Ischemic Stroke. Cerebrovasc. Dis. 1999, 9, 157–162. [Google Scholar] [CrossRef] [PubMed]
- Fang, T.-J.; Tam, Y.-Y.; Courey, M.S.; Li, H.-Y.; Chiang, H.-C. Unilateral high vagal paralysis: Relationship of the severity of swallowing disturbance and types of injuries. Laryngoscope 2011, 121, 245–249. [Google Scholar] [CrossRef] [PubMed]
- Finsterer, J.; Grisold, W. Disorders of the lower cranial nerves. J. Neurosci. Rural. Pr. 2015, 6, 377–391. [Google Scholar] [CrossRef] [PubMed]
- Otani, S.; Fujii, H.; Kurasako, N.; Ishizu, T.; Tanaka, T.; Kousogabe, Y.; Tokioka, H.; Namba, M. Recurrent nerve palsy after endotracheal intubation. Masui 1998, 47, 350–355. [Google Scholar]
- Hurtado Nazal, C.; Araneda Vilches, A.; Vergara Marín, C.; García Contreras, K.; Napolitano Valenzuela, C.; Badía Ventí, P. Vocal cord paralysis after endotracheal intubation: An uncommon complication of general anesthesia. Braz. J. Anesthesiol. 2018, 68, 637–640. [Google Scholar] [CrossRef]
- Chen, C.-T.; Liu, Z.-H.; Lee, S.-T.; Tu, P.-H. Delayed unilateral vocal cord paralysis caused by minor head trauma. Formos. J. Surg. 2016, 49, 230–232. [Google Scholar] [CrossRef]
- Garcia, M.D.M.; Magalhães, F.P.; Dadalto, G.B.; De Moura, M.V.T. Avaliação por imagem da paralisia de pregas vocais. Radiol. Bras. 2009, 42, 321–326. [Google Scholar] [CrossRef][Green Version]
- Urculo, E.; Arrazola, M.; Riu, I.; Moyua, A. Delayed glossopharyngeal and vagus nerve paralysis following occipital condyle fracture. J. Neurosurg. 1996, 84, 522–525. [Google Scholar] [CrossRef]
- Miyazaki, C.; Katsume, M.; Yamazaki, T.; Aoki, K.; Kuroki, T.; Takasu, N. Unusual occipital condyle fracture with multiple nerve palsies and Wallenberg syndrome. Clin. Neurol. Neurosurg. 2000, 102, 255–258. [Google Scholar] [CrossRef]
- Tomar, G.; Kumar, N.; Saxena, A.; Goyal, K. Head injury patient with bilateral vocal cord paralysis: A mistake and a lesson learnt. BMJ Case Rep. 2015, 2015, 9. [Google Scholar] [CrossRef] [PubMed]
- Cormier, P.J.; Long, E.R.; Russell, E.J. MR imaging of posterior fossa infarctions: Vascular territories and clinical correlates. Radiogr. 1992, 12, 1079–1096. [Google Scholar] [CrossRef]
- Devesa, J.; Reimunde, P.; Devesa, P.; Barberá, M.; Arce, V.M. Growth hormone (GH) and brain trauma. Horm. Behav. 2013, 63, 331–344. [Google Scholar] [CrossRef]
- Devesa, J.; Reimunde, P.; Devesa, A.; Souto, S.; Lopez-Amado, M.; Devesa, P.; Arce, V.M. Recovery from neurological sequelae secondary to oncological brain surgery in an adult growth hormone-deficient patient after growth hormone treatment. J. Rehabil. Med. 2009, 41, 775–777. [Google Scholar] [CrossRef] [PubMed]
- Bianchi, V.E.; Locatelli, V.; Rizzi, L. Neurotrophic and Neuroregenerative Effects of GH/IGF1. Int. J. Mol. Sci. 2017, 18, 2441. [Google Scholar] [CrossRef]
- Araki, K.; Suzuki, H.; Uno, K.; Tomifuji, M.; Shiotani, A. Gene Therapy for Recurrent Laryngeal Nerve Injury. Genes 2018, 9, 316. [Google Scholar] [CrossRef] [PubMed]
- Kupfer, R.A.; Old, M.O.; Oh, S.S.; Feldman, E.L.; Hogikyan, N.D. Spontaneous laryngeal reinnervation following chronic recurrent laryngeal nerve injury. Laryngoscope 2013, 123, 2216–2227. [Google Scholar] [CrossRef] [PubMed]
- Halum, S.L.; Bijangi-Vishehsaraei, K.; Saadatzadeh, M.R.; McRae, B.R. Differences in laryngeal neurotrophic factor gene expression after recurrent laryngeal nerve and vagus nerve injuries. Ann. Otol. Rhinol. Laryngol. 2013, 122, 653–663. [Google Scholar] [CrossRef]
- Dalgic, A.; Kandogan, T.; Koç, M.; Kulan, C.A.; Yagci, A.; Engin, O.; Aksoy, G.; Ozuer, M.Z. Short-term laryngeal electromyography and histopathological findings after primary reconstruction of the inferior laryngeal nerve in rabbits: Prospective study. J. Laryngol. Otol. 2012, 127, 48–53. [Google Scholar] [CrossRef]
- Chen, C.Z.; Neumann, B.; Förster, S.; Franklin, R.J.M. Schwann cell remyelination of the central nervous system: Why does it happen and what are the benefits? Open Biol. 2021, 11, 200352. [Google Scholar] [CrossRef]
- Waller, A. Experiments on the Section of the Glosso-Pharyngeal and Hypoglossal Nerves of the Frog, and Observations of the Alterations Produced Thereby in the Structure of Their Primitive Fibres. Edinb. Med Surg. J. 1851, 76, 369–376. [Google Scholar]
- Nocera, G.; Jacob, C. Mechanisms of Schwann cell plasticity involved in peripheral nerve repair after injury. Cell. Mol. Life Sci. 2020, 77, 3977–3989. [Google Scholar] [CrossRef]
- Hernandez-Morato, I.; Valderrama-Canales, F.J.; Berdugo, G.; Arias, G.; McHanwell, S.; Sañudo, J.; Vázquez, T.; Pascual-Font, A. Reorganization of laryngeal motoneurons after crush injury in the recurrent laryngeal nerve of the rat. J. Anat. 2013, 222, 451–461. [Google Scholar] [CrossRef]
- Wang, B.; Yuan, J.; Xu, J.; Xie, J.; Wang, G.; Dong, P. Neurotrophin expression and laryngeal muscle pathophysiology following recurrent laryngeal nerve transection. Mol. Med. Rep. 2016, 13, 1234–1242. [Google Scholar] [CrossRef] [PubMed][Green Version]
- Woodson, G. Spontaneous Laryngeal Reinnervation after Recurrent Laryngeal or Vagus Nerve Injury. Ann. Otol. Rhinol. Laryngol. 2007, 116, 57–65. [Google Scholar] [CrossRef]
- Daniero, J.; Garrett, C.G.; Francis, D.O. Framework Surgery for Treatment of Unilateral Vocal Fold Paralysis. Curr. Otorhinolaryngol. Rep. 2014, 2, 119–130. [Google Scholar] [CrossRef] [PubMed]
- Anthony, B.; Parker, N.; Patel, R.; Halum, S. Surgical Considerations for Laryngeal Reinnervation and Future Research Directions. Curr. Otorhinolaryngol. Rep. 2020, 8, 224–229. [Google Scholar] [CrossRef]
- Mattsson, P.; Frostell, Å.; Björck, G.; Persson, J.K.E.; Hakim, R.; Zedenius, J.; Svensson, M. Recovery of Voice After Reconstruction of the Recurrent Laryngeal Nerve and Adjuvant Nimodipine. World J. Surg. 2017, 42, 632–638. [Google Scholar] [CrossRef] [PubMed]
- Lin, R.J.; Klein-Fedyshin, M.; Rosen, C.A. Nimodipine improves vocal fold and facial motion recovery after injury: A systematic review and meta-analysis. Laryngoscope 2019, 129, 943–951. [Google Scholar] [CrossRef]
- Ichimura, H.; Ishikawa, S.; Yamamoto, T.; Onizuka, M.; Inadome, Y.; Noguchi, M.; Sakakibara, Y. Effectiveness of Steroid Treatment for Hoarseness Caused by Idiopathic Fibrosing Mediastinitis: Report of a Case. Surg. Today 2006, 36, 382–384. [Google Scholar] [CrossRef] [PubMed]
- Wang, B.; Yuan, J.; Chen, X.; Xu, J.; Li, Y.; Dong, P. Functional regeneration of the transected recurrent laryngeal nerve using a collagen scaffold loaded with laminin and laminin-binding BDNF and GDNF. Sci. Rep. 2016, 6, 32292. [Google Scholar] [CrossRef] [PubMed]
- Devesa, P.; Gelabert, M.; Gallego, R.; Relova, J.L.; Devesa, J.; Arce, V.M.; Gonźlez-Mosquera, T. Growth hormone treatment enhances the functional recovery of sciatic nerves after transection and repair. Muscle Nerve 2012, 45, 385–392. [Google Scholar] [CrossRef] [PubMed]
- Tuffaha, S.H.; Budihardjo, J.D.; Sarhane, K.A.; Khusheim, M.; Song, D.; Broyles, J.M.; Salvatori, R.; Means, K.; Higgins, J.P.; Shores, J.T.; et al. Growth Hormone Therapy Accelerates Axonal Regeneration, Promotes Motor Reinnervation, and Reduces Muscle Atrophy following Peripheral Nerve Injury. Plast. Reconstr. Surg. 2016, 137, 1771–1780. [Google Scholar] [CrossRef] [PubMed]
- Lopez, J.; Quan, A.; Budihardjo, J.; Xiang, S.; Wang, H.; Koshy, K.; Cashman, C.; Lee, W.P.A.; Hoke, A.; Tuffaha, S.; et al. Growth Hormone Improves Nerve Regeneration, Muscle Re-innervation, and Functional Outcomes After Chronic Denervation Injury. Sci. Rep. 2019, 9, 1–11. [Google Scholar] [CrossRef] [PubMed]
- Baudet, M.-L.; Rattray, D.; Martin, B.T.; Harvey, S. Growth Hormone Promotes Axon Growth in the Developing Nervous System. Endocrinology 2009, 150, 2758–2766. [Google Scholar] [CrossRef]
- Devesa, J.; Alonso, A.; López, N.; García, J.; Puell, C.I.; Pablos, T.; Devesa, P. Growth Hormone (GH) and Rehabilitation Promoted Distal Innervation in a Child Affected by Caudal Regression Syndrome. Int. J. Mol. Sci. 2017, 18, 230. [Google Scholar] [CrossRef]





Publisher’s Note: MDPI stays neutral with regard to jurisdictional claims in published maps and institutional affiliations. |
© 2021 by the authors. Licensee MDPI, Basel, Switzerland. This article is an open access article distributed under the terms and conditions of the Creative Commons Attribution (CC BY) license (https://creativecommons.org/licenses/by/4.0/).
Share and Cite
Guerra, J.; Lema, H.; Agra, C.; Martínez, P.; Devesa, J. Laryngeal Paralysis Recovered Two Years after a Head Trauma by Growth Hormone Treatment and Neurorehabilitation. Reports 2021, 4, 19. https://doi.org/10.3390/reports4030019
Guerra J, Lema H, Agra C, Martínez P, Devesa J. Laryngeal Paralysis Recovered Two Years after a Head Trauma by Growth Hormone Treatment and Neurorehabilitation. Reports. 2021; 4(3):19. https://doi.org/10.3390/reports4030019
Chicago/Turabian StyleGuerra, Joaquín, Hortensia Lema, Carlos Agra, Pedro Martínez, and Jesús Devesa. 2021. "Laryngeal Paralysis Recovered Two Years after a Head Trauma by Growth Hormone Treatment and Neurorehabilitation" Reports 4, no. 3: 19. https://doi.org/10.3390/reports4030019
APA StyleGuerra, J., Lema, H., Agra, C., Martínez, P., & Devesa, J. (2021). Laryngeal Paralysis Recovered Two Years after a Head Trauma by Growth Hormone Treatment and Neurorehabilitation. Reports, 4(3), 19. https://doi.org/10.3390/reports4030019

