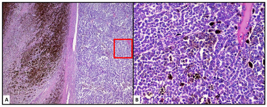
“Black Ovaries”: An Uncommon Case of First Systemic Recurrence of Melanoma
Abstract
Author Contributions
Funding
Institutional Review Board Statement
Informed Consent Statement
Data Availability Statement
Conflicts of Interest
References
- Sbitti, Y.; Fadoukhair, Z.; Kadiri, H.; Oukabli, M.; Essaidi, I.; Kharmoum, S.; M’rabti, H.; Albouzidi, A.; Ichou, M.; Errihani, H. Diagnostic challenge for ovarian malignant melanoma in premenopausal women: Primary or metastatic? World J. Surg. Oncol. 2011, 9, 65. [Google Scholar] [CrossRef] [PubMed]
- Boscaino, A.; D’Antonio, A.; Orabona, P.; Tornillo, L.; Staibano, S.; De Rosa, G. Primary malignant melanoma of the ovary. Pathologica 1995, 87, 685–688. [Google Scholar] [PubMed]
- Mendel, A.; Terzibachian, J.J.; Aubin, F.; Malicenco, L.; Ramanah, R.; Riethmuller, D. Ovarian metastasis of a malignant melanoma: A case report. J. Gynecol. Obstet. Hum. Reprod. 2017, 46, 461–462. [Google Scholar] [CrossRef]
- Oliver, R.; Dasgupta, C.; Coker, A.; Al-Okati, D.; Weekes, A.R. Ovarian malignant melanoma: Unusual presentation of a solitary metastasis. Gynecol. Oncol. 2005, 99, 412–414. [Google Scholar] [CrossRef] [PubMed]
- Gupta, D.; Deavers, M.T.; Silva, E.G.; Malpica, A. Malignant melanoma involving the ovary: A clinicopathologic and immunohistochemical study of 23 cases. Am. J. Surg. Pathol. 2004, 28, 771–780. [Google Scholar] [CrossRef] [PubMed]
- Lengyel, K.; Young, F.; Kucukmetin, A.; Cresti, N.; Plummer, R.; Ralte, A.; O’Donnell, R.L. BRAF Wild-type, PTEN Mutant Malignant Uveal Melanoma Arising Within a Mature Ovarian Teratoma: A Case Report and Review of the Literature. Int. J. Gynecol. Pathol. 2020, 39, 321–326. [Google Scholar] [CrossRef] [PubMed]
- Boespflug, A.; Combemale, P.; de la Fouchardiere, A.; Neidhardt, E.M. Metastatic melanoma of the ovary and circulating S100B. Eur. J. Dermatol. 2013, 23, 719–720. [Google Scholar] [CrossRef] [PubMed]
- Karateke, A.; Tuğ, N.; Sahin, D. Metastatic ovarian malignant melanoma with no obvious primary. J. Turk Ger. Gynecol. Assoc. 2011, 12, 181–182. [Google Scholar] [CrossRef]
- Fitzgibbons, P.L.; Martin, S.E.; Simmons, T.J. Malignant melanoma metastatic to the ovary. Am. J. Surg. Pathol. 1987, 11, 959–964. [Google Scholar] [CrossRef] [PubMed]
- Gök, N.D.; Yildiz, K.; Corakçi, A. Primary malignant melanoma of the ovary: Case report and review of the literature. Turk Patol. Derg. 2011, 27, 169–172. [Google Scholar]
- Zikry, J.; Korta, D.Z.; Chapman, L.W.; Linden, K.G. Melanoma arising in an ovarian cystic teratoma: A systematic review of presentation, treatment, and outcomes. Arch. Gynecol. Obstet. 2017, 296, 397–404. [Google Scholar] [CrossRef] [PubMed]


Publisher’s Note: MDPI stays neutral with regard to jurisdictional claims in published maps and institutional affiliations. |
© 2021 by the authors. Licensee MDPI, Basel, Switzerland. This article is an open access article distributed under the terms and conditions of the Creative Commons Attribution (CC BY) license (https://creativecommons.org/licenses/by/4.0/).
Share and Cite
Cazzato, G.; Colagrande, A.; Arezzo, F.; Resta, L.; Ingravallo, G. “Black Ovaries”: An Uncommon Case of First Systemic Recurrence of Melanoma. Reports 2021, 4, 13. https://doi.org/10.3390/reports4020013
Cazzato G, Colagrande A, Arezzo F, Resta L, Ingravallo G. “Black Ovaries”: An Uncommon Case of First Systemic Recurrence of Melanoma. Reports. 2021; 4(2):13. https://doi.org/10.3390/reports4020013
Chicago/Turabian StyleCazzato, Gerardo, Anna Colagrande, Francesca Arezzo, Leonardo Resta, and Giuseppe Ingravallo. 2021. "“Black Ovaries”: An Uncommon Case of First Systemic Recurrence of Melanoma" Reports 4, no. 2: 13. https://doi.org/10.3390/reports4020013
APA StyleCazzato, G., Colagrande, A., Arezzo, F., Resta, L., & Ingravallo, G. (2021). “Black Ovaries”: An Uncommon Case of First Systemic Recurrence of Melanoma. Reports, 4(2), 13. https://doi.org/10.3390/reports4020013

