Concurrent Hip Pain and Skull Lump as the First Manifestations of a Silent Follicular Thyroid Carcinoma
Abstract
1. Introduction
2. Case Presentation Section
2.1. Patient
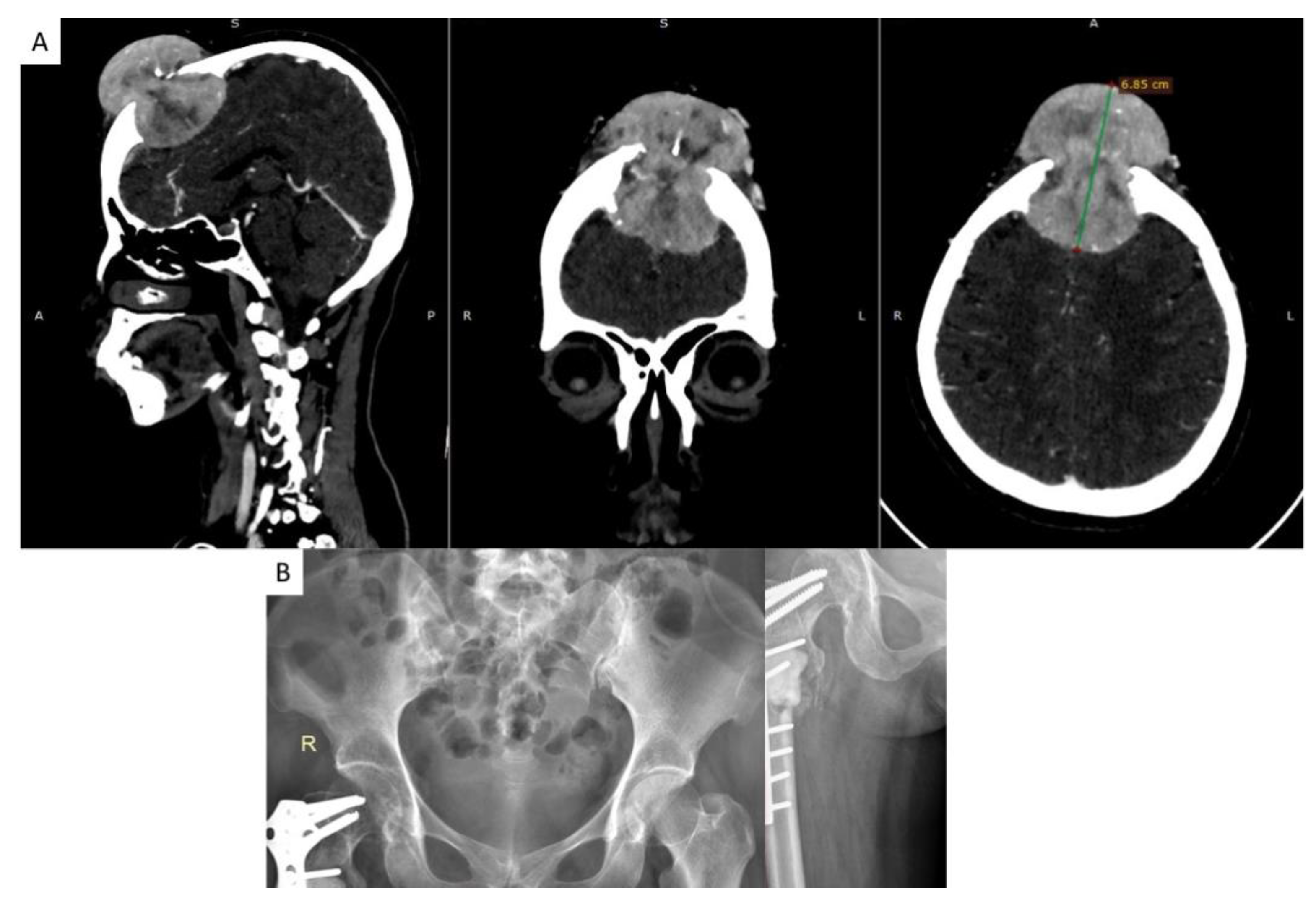
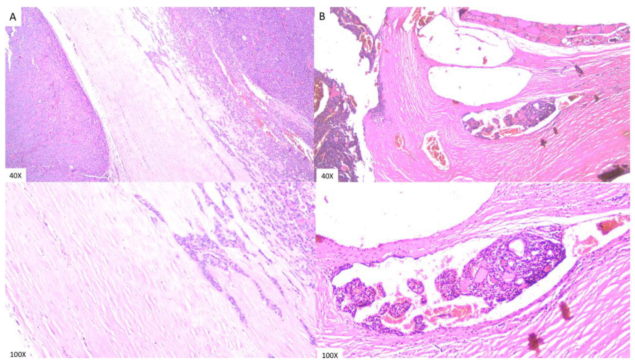
2.2. Diagnosis
2.3. Treatment
3. Discussion
4. Conclusions
Author Contributions
Funding
Conflicts of Interest
References
- Cabanillas, M.E.; McFadden, D.G.; Durante, C. Thyroid cancer. Lancet 2016. [Google Scholar] [CrossRef]
- Filetti, S.; Durante, C.; Hartl, D.; Leboulleux, S.; Locati, L.D.; Newbold, K.; Papotti, M.G.; Berruti, A. Thyroid cancer: ESMO Clinical Practice Guidelines for diagnosis, treatment and follow-up. Ann. Oncol. 2019. [Google Scholar] [CrossRef] [PubMed]
- Iñiguez-Ariza, N.M.; Bible, K.C.; Clarke, B.L. Bone metastases in thyroid cancer. J. Bone Oncol. 2020. [Google Scholar] [CrossRef] [PubMed]
- Huang, T.-C.; Cheng, Y.-K.; Chen, T.-W.; Hsu, Y.-C.; Liu, E.-W.; Chen, H.-H. A ‘silent’ skull metastatic follicular thyroid carcinoma mimicking as a benign scalp tumor in a pregnant woman. Endocrinol. Diabetes Metab. Case Rep. 2017. [Google Scholar] [CrossRef] [PubMed]
- Kim, J.; Gosnell, J.E.; Roman, S.A. Geographic influences in the global rise of thyroid cancer. Nat. Rev. Endocrinol. 2020. [Google Scholar] [CrossRef] [PubMed]
- Davies, L.; Welch, H.G. Current thyroid cancer trends in the United States. JAMA Otolaryngol. Head Neck Surg. 2014. [Google Scholar] [CrossRef] [PubMed]
- Durante, C.; Haddy, N.; Baudin, E.; Leboulleux, S.; Hartl, D.; Travagli, J.P.; Caillou, B.; Ricard, M.; Lumbroso, J.D.; De Vathaire, F.; et al. Long-term outcome of 444 patients with distant metastases from papillary and follicular thyroid carcinoma: Benefits and limits of radioiodine therapy. J. Clin. Endocrinol. Metab. 2006. [Google Scholar] [CrossRef] [PubMed]
- Matsuno, A.; Murakami, M.; Hoya, K.; Yamada, S.M.; Miyamoto, S.; Yamada, S.; Son, J.H.; Nishido, H.; Ide, F.; Nagashima, H.; et al. Clinicopathological and molecular histochemical review of skull base metastasis from differentiated thyroid carcinoma. Acta Histochem. Cytochem. 2013. [Google Scholar] [CrossRef] [PubMed]
- Nagamine, Y.; Suzuki, J.; Katakura, R.; Yoshimoto, T.; Matoba, N.; Takaya, K. Skull metastasis of thyroid carcinoma. Study of 12 cases. J. Neurosurg. 1985. [Google Scholar] [CrossRef] [PubMed]
- Ogawa, Y.; Sugawara, T.; Seki, H.; Sakuma, T. Thyroid follicular carcinoma metastasized to the lung, skull, and brain 12 years after initial treatment for thyroid gland: Case report. Neurol. Med. Chir. 2006. [Google Scholar] [CrossRef] [PubMed][Green Version]
- Muresan, M.M.; Olivier, P.; Leclere, J.; Sirveaux, F.; Brunaud, L.; Klein, M.; Zarnegar, R.; Weryha, G. Bone metastases from differentiated thyroid carcinoma. Endocr. Relat. Cancer 2008. [Google Scholar] [CrossRef] [PubMed]
- Wang, T.S.; Sosa, J.A. Thyroid surgery for differentiated thyroid cancer—Recent advances and future directions. Nat. Rev. Endocrinol. 2018. [Google Scholar] [CrossRef] [PubMed]
- Zettinig, G.; Fueger, B.J.; Passler, C.; Kaserer, K.; Pirich, C.; Dudczak, R.; Niederle, B. Long-term follow-up of patients with bone metastases from differentiated thyroid carcinoma—Surgery or conventional therapy? Clin. Endocrinol. 2002. [Google Scholar] [CrossRef] [PubMed]
- Li, X.; Zhao, G.; Zhang, Y.; Ding, K.; Cao, H.; Yang, D.; Zhang, J.; Duan, Z.; Xin, S. Skull metastasis revealing a papillary thyroid carcinoma. Chin. J. Cancer Res. 2013. [Google Scholar] [CrossRef]
- Jeon, M.J.; Kim, W.G.; Kwon, H.; Kim, M.; Park, S.; Oh, H.S.; Han, M.; Sung, T.Y.; Chung, K.W.; Hong, S.J.; et al. Clinical outcomes after delayed thyroid surgery in patients with papillary thyroid microcarcinoma. Eur. J. Endocrinol. 2017. [Google Scholar] [CrossRef] [PubMed]
- Ogbodo, E.; Kaliaperumal, C.; Keohane, C.; Bermingham, N.; Kaar, G. Sciatica as a presenting feature of thyroid follicular adenocarcinoma in a 79-year-old woman. BMJ Case Rep. 2011, 3, 1–5. [Google Scholar] [CrossRef] [PubMed]
- Naik, D.; Jebasingh, F.K.; Prabhu, K.; Thomas, N. Isolated solitary recurrent skull metastasis in papillary thyroid carcinoma. BMJ Case Rep. 2018, 2018. [Google Scholar] [CrossRef] [PubMed]



© 2020 by the authors. Licensee MDPI, Basel, Switzerland. This article is an open access article distributed under the terms and conditions of the Creative Commons Attribution (CC BY) license (http://creativecommons.org/licenses/by/4.0/).
Share and Cite
Setiaji, K.; Avanti, W.S.; Rinonce, H.T.; Anwar, S.L. Concurrent Hip Pain and Skull Lump as the First Manifestations of a Silent Follicular Thyroid Carcinoma. Reports 2020, 3, 27. https://doi.org/10.3390/reports3040027
Setiaji K, Avanti WS, Rinonce HT, Anwar SL. Concurrent Hip Pain and Skull Lump as the First Manifestations of a Silent Follicular Thyroid Carcinoma. Reports. 2020; 3(4):27. https://doi.org/10.3390/reports3040027
Chicago/Turabian StyleSetiaji, Kunta, Widya Surya Avanti, Hanggoro Tri Rinonce, and Sumadi Lukman Anwar. 2020. "Concurrent Hip Pain and Skull Lump as the First Manifestations of a Silent Follicular Thyroid Carcinoma" Reports 3, no. 4: 27. https://doi.org/10.3390/reports3040027
APA StyleSetiaji, K., Avanti, W. S., Rinonce, H. T., & Anwar, S. L. (2020). Concurrent Hip Pain and Skull Lump as the First Manifestations of a Silent Follicular Thyroid Carcinoma. Reports, 3(4), 27. https://doi.org/10.3390/reports3040027

