Chilaiditi’s Syndrome—What Every Endoscopist Should Know
Abstract
1. Introduction
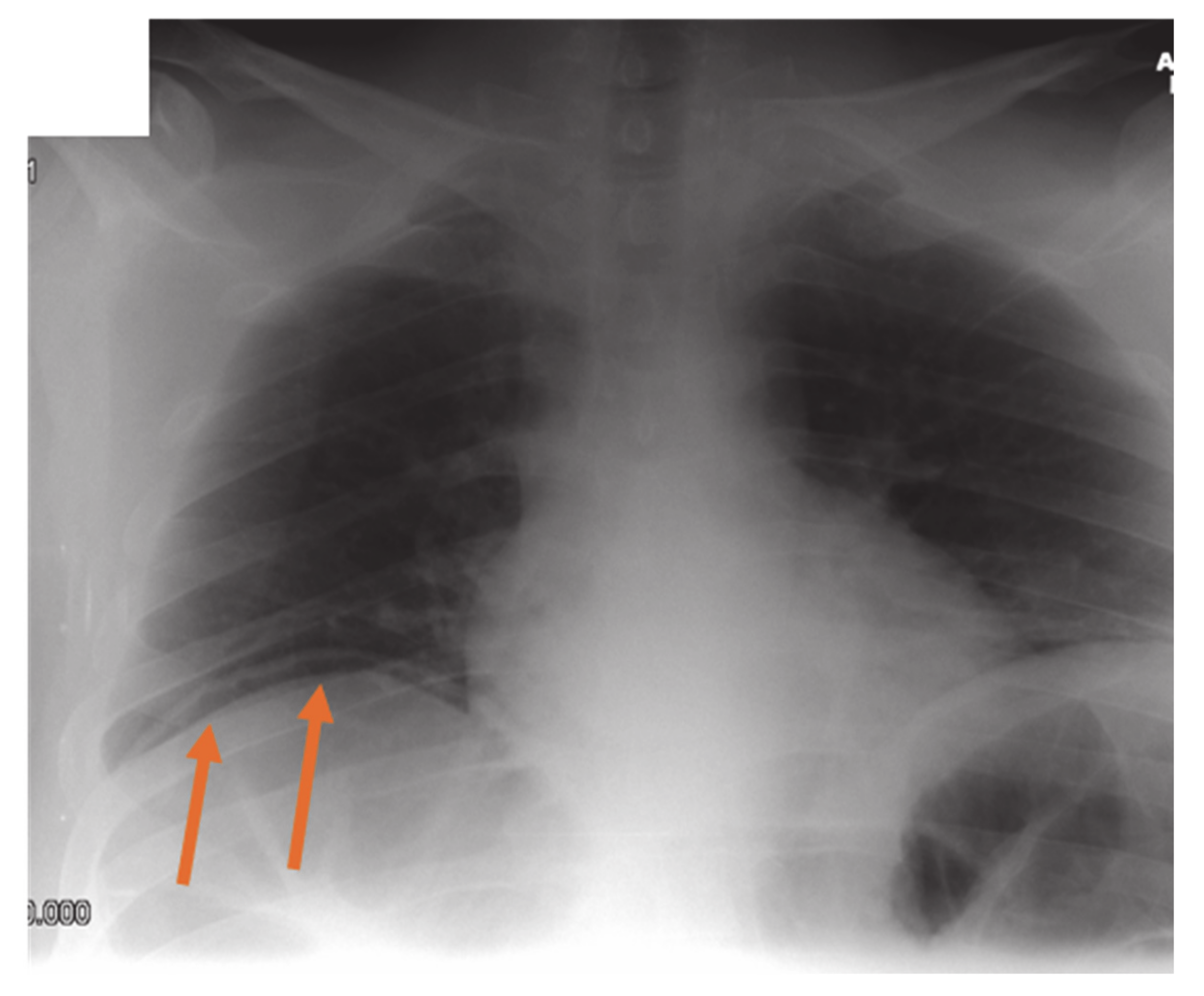
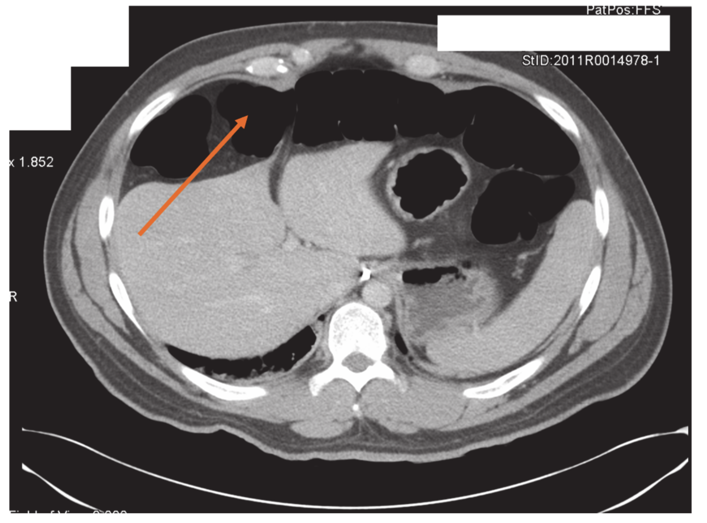
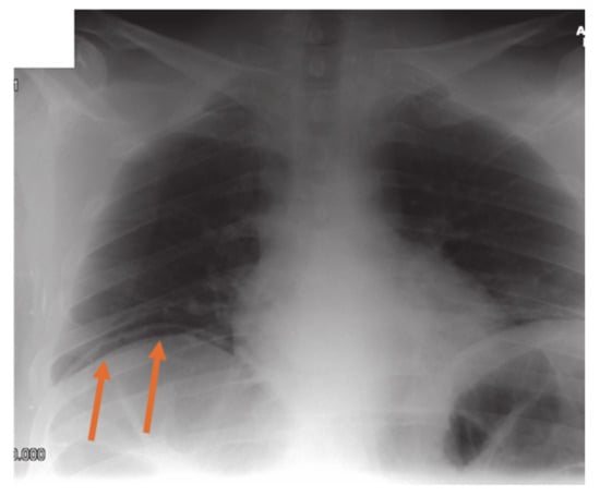
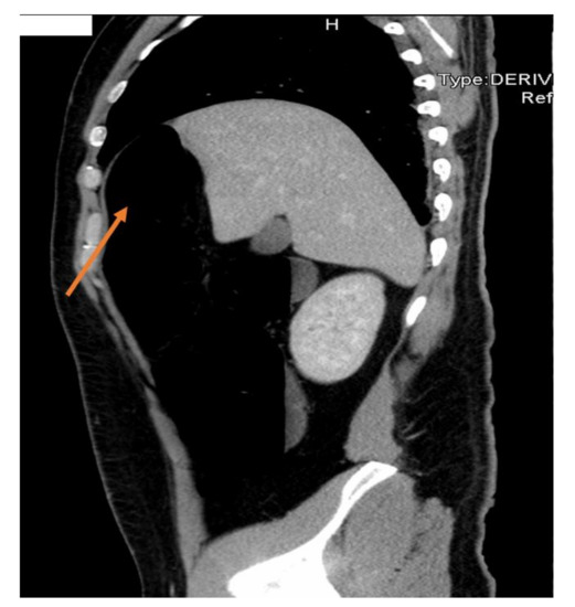
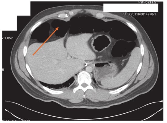
2. Case Presentation Section
3. Discussion
4. Conclusions
Author Contributions
Funding
Acknowledgments
Conflicts of Interest
References
- Chilaiditi, D. Zur frage der hepatoptose und ptose im allgemeinen im anschluss an drei fälle von temporärer, partieller leberverlagerung. Fortschr. Geb. Rontgenstr. 1910, 16, 173–208. [Google Scholar]
- Saber, A.A.; Boros, M.J. Chilaiditi’s syndrome: What should every surgeon know? Am. Surg. 2005, 71, 261–263. Available online: http://www.ncbi.nlm.nih.gov/pubmed/15869145 (accessed on 22 March 2020). [PubMed]
- Gurvits, G.E.; Lau, N.; Gualtieri, N.; Robilotti, J.G. Air under the right diaphragm: Colonoscopy in the setting of Chilaiditi syndrome. Gastrointest. Endosc. 2009, 69, 758–759. [Google Scholar] [CrossRef] [PubMed]
- Nair, N.; Takieddine, Z.; Tariq, H. Colonic Interposition between the Liver and Diaphragm: “The Chilaiditi Sign”. Can. J. Gastroenterol. Hepatol. 2016, 2016. [Google Scholar] [CrossRef] [PubMed]
- Uygungul, E.; Uygungul, D.; Ayrik, C.; Narcı, H.; Babuş, S.B.; Köse, A. Chilaiditi sign: Why are clinical findings more important in ED? Am. J. Emerg. Med. 2015, 33, 733.e1–733.e2. [Google Scholar] [CrossRef] [PubMed]
- Yin, A.X.; Park, G.H.; Garnett, G.M.; Balfour, J.F. Chilaiditi syndrome precipitated by colonoscopy: A case report and review of the literature. Hawaii J. Med. Public Health 2012, 71, 158–162. Available online: http://www.ncbi.nlm.nih.gov/pubmed/22787564 (accessed on 26 March 2020). [PubMed]
- Gravante, G.; Wong, C.; Kelly, M. ‘Air under the diaphragm’ during acute pancreatitis/cholangitis. ANZ J. Surg. 2011, 81, 302–303. [Google Scholar] [CrossRef] [PubMed]
- Farkas, R.; Moalem, J.; Hammond, J. Chilaiditi’s sign in a blunt trauma patient: A case report and review of the literature. J. Trauma Inj. Infect. Crit. Care 2008, 65, 1540–1542. [Google Scholar] [CrossRef] [PubMed]
- Messina, M.; Paolucci, E.; Casoni, G.L.; Gurioli, C.; Poletti, V. A case of severe dyspnea and an unusual bronchoscopy: The Chilaiditi syndrome. Respiration 2008, 76, 216–217. [Google Scholar] [CrossRef] [PubMed]
- Bhattacharya, P.C.; Bhattacharya, A.K.; Dutta, S.; Mahanta, N.; Talukdar, R. Chilaiditi syndrome with ascites. J. Assoc. Physicians India 2002, 50, 860–861. Available online: http://www.ncbi.nlm.nih.gov/pubmed/12240875 (accessed on 22 March 2020). [PubMed]
- Sorrentino, D.; Bazzocchi, M.; Badano, L.P.; Toso, F.; Giagu, P. Heart-touching Chilaiditi’s syndrome. World J. Gastroenterol. 2005, 11, 4607–4609. [Google Scholar] [CrossRef] [PubMed]
- Makhija, Z.; Shaygi, B.; Deshpande, R.; Marrinan, M. Delayed cardiac tamponade following posttraumatic diaphragmatic hernia without an intrapericardial component. Interact. Cardiovasc. Thorac. Surg. 2009, 9, 132–133. [Google Scholar] [CrossRef] [PubMed]
- Bassan, M.; Thomson, A. Gastrointestinal: Chilaiditi syndrome. J. Gastroenterol. Hepatol. 2008, 23, 499. [Google Scholar] [CrossRef] [PubMed]
- Jones, R. Recognition of pneumoperitoneum using bedside ultrasound in critically ill patients presenting with acute abdominal pain. Am. J. Emerg. Med. 2007, 25, 838–841. [Google Scholar] [CrossRef] [PubMed]



© 2020 by the authors. Licensee MDPI, Basel, Switzerland. This article is an open access article distributed under the terms and conditions of the Creative Commons Attribution (CC BY) license (http://creativecommons.org/licenses/by/4.0/).
Share and Cite
George, J.; Genever, A.V.; White, T.J. Chilaiditi’s Syndrome—What Every Endoscopist Should Know. Reports 2020, 3, 11. https://doi.org/10.3390/reports3020011
George J, Genever AV, White TJ. Chilaiditi’s Syndrome—What Every Endoscopist Should Know. Reports. 2020; 3(2):11. https://doi.org/10.3390/reports3020011
Chicago/Turabian StyleGeorge, Jayan, Ashleigh V Genever, and Timothy J White. 2020. "Chilaiditi’s Syndrome—What Every Endoscopist Should Know" Reports 3, no. 2: 11. https://doi.org/10.3390/reports3020011
APA StyleGeorge, J., Genever, A. V., & White, T. J. (2020). Chilaiditi’s Syndrome—What Every Endoscopist Should Know. Reports, 3(2), 11. https://doi.org/10.3390/reports3020011

