Effect of Diamond Phase Dispersion on the Properties of Diamond-SiC-Si Composites
Abstract
1. Introduction
2. Materials and Methods
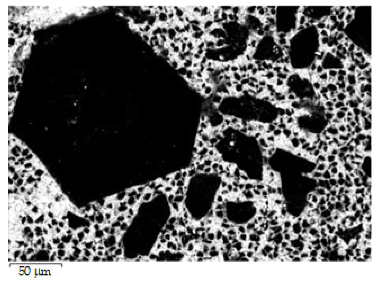
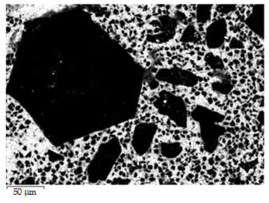
3. Results and Discussion
4. Conclusions
Author Contributions
Funding
Institutional Review Board Statement
Informed Consent Statement
Data Availability Statement
Acknowledgments
Conflicts of Interest
References
- Bruzhkin, A. High-Pressure synthesized materials: A chest of treasure andhints. High Press. Res. 2007, 27, 333–351. [Google Scholar] [CrossRef]
- Shul’zhenko, A.A.; Bakulya, V.N. (Eds.) Synthesis of Diamond and Similar Materials; Inst. Sverkhtverd. Mater. im. V. N. Bakulya: Kiev, Ukraine, 2003. [Google Scholar]
- Pantea, C.; Qian, J.; Voronin, G.A.; Zerda, T.W. High pressure study ofgraphitization of diamond crystals. J. Appl. Phys. 2002, 91, 1957–1962. [Google Scholar] [CrossRef]
- Seal, M. Graphitization of diamond. Nature 1960, 185, 522–523. [Google Scholar] [CrossRef]
- James, T.; James, A.P.F. Study of the transformation of diamond to graphite. Proc. R. Soc. Lond. Ser. A Math. 1964, 277, 260–269. [Google Scholar]
- Khmelnitsky, R.; Gippius, A. Transformation of diamond to graphite under heattreatment at low pressure. Phase Transit. 2014, 87, 175–192. [Google Scholar] [CrossRef]
- Ko, Y.S.; Tsurumi, T.; Fukunaga, O.; Yano, T. High pressure sintering of diamond-SiC composite. J. Mater. Sci. 2001, 36, 469–475. [Google Scholar] [CrossRef]
- Ekimov, E.A.; Gavriliuk, A.G.; Palosz, B.; Gierlotka, S.; Dluzewski, P.; Tatianin, E.; Kluev, Y.; Naletov, A.M.; Presz, A. High-pressure, high-temperature synthesis ofSiC-diamond nanocrystalline ceramics. Appl. Phys. Lett. 2000, 77, 954–956. [Google Scholar] [CrossRef]
- Herrmann, M.; Matthey, B.; Höhn, S.; Kinski, I.; Rafaja, D.; Michaelis, A. Diamond-ceramics composites—New materials for a wide range of challenging applications. J. Eur. Ceram. Soc. 2012, 32, 1915–1923. [Google Scholar] [CrossRef]
- Mlungwane, K.; Herrmann, M.; Sigalas, I. The low-pressure infiltration of diamond by silicon to form diamond–silicon carbide composites. J. Eur. Ceram. Soc. 2008, 28, 321–326. [Google Scholar] [CrossRef]
- Gordeev, S.; Zhukov, S.; Danchukova, L.; Ekström, T. Method of Manufacturing a Diamond–Silicon Carbide–Silicon Composite and a Composite Produced by This Method. U.S. Patent 709 747, 25 September 2002. [Google Scholar]
- He, Z.; Katsui, H.; Goto, T. High-Hardness Diamond Composite Consolidated by Spark Plasma Sintering. J. Am. Ceram. Soc. 2016, 99, 1862–1865. [Google Scholar] [CrossRef]
- Herrmann, M.; Kluge, E.; Rödel, C.; McKie, A.; van Staden, F. Corrosion behaviour of silicon carbide–diamond composite materials in aqueous solutions. J. Eur.Ceram. Soc. 2014, 10, 2143–2151. [Google Scholar] [CrossRef]
- Yang, Z.; He, X.; Wu, M.; Zhang, L.; Ma, A.; Liu, R.; Hu, H.; Zhang, Y.; Qu, X. Fabrication of diamond/SiC composites by Si-vapor vacuum reactive infiltration. Ceram. Int. 2013, 3, 3399–3403. [Google Scholar] [CrossRef]
- Yang, Z.; He, X.; Wu, M.; Zhang, L.; Ma, A.; Liu, R.; Hu, H.; Zhang, Y.; Qu, X. Infiltration mechanism of diamond/SiC composites fabricated by Si-vapor vacuum reactive infiltration process. J. Eur. Ceram. Soc. 2013, 4, 869–878. [Google Scholar] [CrossRef]
- Gordeev, S.K. Advanced diamond based composites for engineering applications. In Diamond Based Composites; Kluwer: Dordrecht, The Netherlands, 1997; pp. 1–11. [Google Scholar]
- Zhuk, A.E. Zakonomernosti obrazovaniya SiC v almazosoderzachey compozicei pri nizcich davleniyach (Patterns of SiC formation in a diamond-containing composition at low pressures). In Metalloobrabotka. Mashinostroenie (Vestnik BNTU Metallurgy. Metalworking. Mechanical Engineering); Vestnik BNTU Metallurgiya: Impopo, South Africa, 2007; Volume 4, pp. 27–31. [Google Scholar]
- Park, J.S.; Sinclair, R.; Rowcliffe, D.; Stern, M.; Davidson, H. Orientation relationship in diamond and silicon carbide composites. Diam. Relat. Mater. 2007, 16, 562–565. [Google Scholar] [CrossRef]
- Shevchenko, V.Y.; Perevislov, S.N. Reaction–diffusion mechanism of synthesis in the dia-mond–silicon carbide system. Russ. J. Inorg. Chem. 2021, 8, 1107–1114. [Google Scholar] [CrossRef]
- Gordeev, S.K.; Korchagina, S.B.; Zapevalov, V.E.; Parshin, V.V.; Serov, E.A. Diamond–Silicon Carbide Composite as a Promising Material for Microelectronics and High-Power Electronics. Radiophys. Quantum Electron. 2022, 65, 434–441. [Google Scholar] [CrossRef]
- Pittari, J.; Subhash, G.; Trachet, A.; Zheng, J.; Halls, V.; Karandikar, P. The Rate-Dependent Response of Pressureless-Sintered and Reaction-bonded Silicon Carbide-Based Ceramics. Int. J. Appl. Ceram. Technol. 2014, 12, E207–E216. [Google Scholar] [CrossRef]
- Matthey, B.; Höhn, S.; Wolfrum, A.-K.; Mühle, U.; Motylenko, M.; Rafaja, D.; Herrmann, M. Microstructural investigation of diamond-SiC composites produced by pressureless silicon infiltration. J. Eur. Ceram. Soc. 2017, 37, 1917–1928. [Google Scholar] [CrossRef]
- Voronin, G.A.; Zerda, T.W.; Gubicza, J.; Ungár, T.; Dub, S.N. Properties of nanostructured diamond-silicon carbide composites sintered by high pressure infiltration technique. J. Mater. Res. 2004, 19, 2703–2707. [Google Scholar] [CrossRef]
- Matthey, B.; Kunze, S.; Hörner, M.; Blug, B.; van Geldern, M.; Michaelis, A.; Herrmann, M. SiC-bonded diamond materials produced by pressureless silicon infiltration. J. Mater. Res. 2017, 32, 3362–3371. [Google Scholar] [CrossRef]
- Chen, C.; Liu, Y.; Wang, C.; Nan, B.; Zhao, Z.; Cheng, L.; Zhang, L. Microstructure and properties of diamond/SiC composites via hot molding forming and CVI densifying. Adv. Eng. Mater. 2019, 21, 1800640. [Google Scholar] [CrossRef]
- Shaboldo, O.P.; Gordeev, S.K.; Vikhman, V.B.; Trubin, D.A. Materials and Technologies of New Generation for Perspective Products of Aviation and Space Equipment. In Proceedings of the 5th Russian Science and Technology Conference, Moscow, Russia, 19 July 2021; pp. 8–22. [Google Scholar]
- Dolmatov, V.Y. Detonation synthesis ultradispersed diamonds: Properties and applications. Russ. Chem. Rev. 2001, 70, 607–626. [Google Scholar] [CrossRef]
- Madhan, M.; Prabhakaran, G. Microwave versus conventional sintering: Microstructure and mechanical properties of Al2O3–SiC ceramic composites. Boletín Soc. Española Cerámica Vidr. 2018, 58, 125–134. [Google Scholar] [CrossRef]










| Material | Compound | Density, g/cm3 | Young’s Modulus, GPa | Speed of Sound, m/s | Flexural Strength, MPa | Fracture Toughness, MPa·m−0.5 | Hardness, GPa | Source | |
|---|---|---|---|---|---|---|---|---|---|
| «Ideal» | Diamond (20–28 µm)/(225–250 µm) = 1/2 | 3.40 | 720 | 15,000 | 420 | 4.7 | 63 | [19] | |
| «Skeleton»® | Diamond—72 vol% | 3.38 | 785 | - | - | - | - | [20] | |
| Diamond—70 vol% | 3.40 | 800 | - | - | - | - | |||
| Diamond—63 vol% | 3.34 | 700 | - | - | - | - | |||
| Diamond—61 vol% | 3.34 | 700 | - | - | - | - | |||
| Diamond—40 vol% | 3.25 | 600 | - | - | - | - | |||
| RBSC-D | SiC—85 vol%, residual Si—1 vol%, diamond—14 vol% | 3.22 | 507 | 12,548 | - | - | - | [21] | |
| DSc A10 | Diamond grain size10 µm | Residual Si—3.2 vol% | 3.25 | 525 | - | - | - | 49.6 * | [22] |
| DSc A50 | Diamond grain size 50 µm | Residual Si—11.3 vol% | 3.15 | 518 | - | - | - | >35 * | |
| Diamond-silicon carbide composites | Diamond grain size 1–2 µm | Diamond—76 vol%, SiC—24 vol% | 3.34 | - | - | - | 12 | 42 * | [23] |
| Diamond grain size 10–14 µm | Diamond—83 vol%, SiC—17 vol% | 3.44 | - | - | - | 11 | 50 * | ||
| Diamond grain size 40–60 µm | Diamond—86 vol%, SiC—14 vol% | 3.46 | - | - | - | 10 | 52 * | ||
| Diamond composite | SiC-coated diamond | - | - | - | - | - | 36 | [12] | |
| D10-1 | Diamond grain size 10 µm | 3.29 | - | - | - | 4.8 | 48.6 | [24] | |
| D10-2 | Diamond grain size 10 µm | 3.29 | - | - | 390 | - | - | ||
| D50-1 | Diamond grain size 50 µm | 3.14 | - | - | - | - | - | ||
| D50-2 | Diamond grain size 50 µm | 3.18 | - | - | - | 3.5 | - | ||
| B50/5-1 | 70% Diamond grain size 50 µm 30% Diamond grain size 2 µm | 3.31 | - | - | 370 | - | - | ||
| B50/5-2 | 70% Diamond grain size 50 µm 30% Diamond grain size 2 µm | 3.25 | - | - | - | 4.9 | - | ||
| T100-1 | 65% Diamond grain size 100 µm 30% Diamond grain size 20 µm 5% Diamond grain size 2 µm | 3.32 | - | - | - | - | - | ||
| FD50 | Size and weight of large diamond particle [g] 50 µm. 16 | Diamond—54.74 vol%, SiC—32.56 vol% | 3.00 | - | - | 248.33 | 4.65 | - | [25] |
| FD100 | Size and weight of large diamond particle [g] 100 µm. 16 | Diamond—54.21 vol%, SiC—36.59 vol% | 3.07 | - | - | 212.00 | 4.46 | - | |
| FD250 | Size and weight of large diamond particle [g] 250 µm. 20 | Diamond—59.84 vol%, SiC—31.21 vol% | 3.09 | - | - | 92.50 | 3.71 | - | |
| FD350 | Size and weight of large diamond diamond particle [g] 250 µm. 20 | Diamond—60.21 vol%, SiC—32.37 vol% | 3.14 | - | - | 78.00 | 3.60 | - | |
| FD500 | Size and weight of large diamond particle [g] 500 µm. 25 | Diamond—60.23 vol%, SiC—33.72 vol% | 3.16 | - | - | 63.00 | 3.32 | - | |
| Sample No. | Diamond Matrix Composition | Size Ratio between Diamond Grains of Different Dispersion | Weight Ratios between Diamond Grains of Different Dispersion |
|---|---|---|---|
| 1 | ASM 3/2 | ||
| 2 | ASM 7/5 | ||
| 3 | ASM 10/7 | ||
| 4 | ASM 14/10 | ||
| 5 | ASM 28/20 | ||
| 6 | ASM 50/40 | ||
| 7 | AS6 100/80 | ||
| 8 | AS160 250/200 | ||
| 9 | AS6 100/80 + ASM 10/7 | 10/1 | 60/40 |
| 10 | AS160 250/200 + ASM 28/20 | 10/1 | 50/50 |
| 11 | AS160 250/200 + ASM 28/20 | 10/1 | 60/40 |
| 12 | AS160 250/200 + ASM 28/20 | 10/1 | 70/30 |
| 13 | AS6 100/80 + ASM 3/2 | 33/1 | 75/25 |
| 14 | AS160 250/200 + ASM 10/7 | 25/1 | 75/25 |
| 15 | AS160 250/200 + ASM 28/20 + ASM 10/7 | 25/3/1 | 65/25/10 |
| 16 | AS160 250/200 + ASM 28/20 + ASM 10/7 | 25/3/1 | 61/12/27 |
| 17 | AS160 250/200 + AS6 100/80 + ASM 10/7 | 25/10/1 | 30/40/30 |
| 18 | AS160 250/200 + AS6 50/40 + ASM 10/7 | 25/5/1 | 50/20/30 |
| 19 | AS160 250/200 + ASM 28/20 + ASM 3/2 | 100/10/1 | 60/20/20 |
| 20 | AS160 250/200 + ASM 28/20 + DND | 100/10/1 | 54/36/10 |
| Sample No * | Open Porosity, % | Density, g/cm3 | Volume Fraction, % | Speed of Sound, m/s | Young’s Modulus, GPa | |||||
|---|---|---|---|---|---|---|---|---|---|---|
| Pycnometer | X-Ray | Pores | Diamond | SiC | Si | Graphite | ||||
| 1 top | 3.87 | 3.00 | 3.30 | 9.0 | 31.9 | 55.1 | 4.0 | 0.0 | 9700 | 255 |
| 1 bottom | 3.31 | 9.3 | 34.2 | 52.5 | 4.0 | 0.0 | ||||
| 2 top | 5.63 | 3.03 | - | - | - | - | - | - | 12,200 | 245 |
| 2 bottom | 3.34 | 9.2 | 38.9 | 50.1 | 1.8 | 0.0 | ||||
| 3 top | 5.91 | 3.05 | - | - | - | - | - | - | 13,100 | 421 |
| 3 bottom | 3.21 | 4.9 | 19.9 | 64.5 | 10.6 | 0.0 | ||||
| 4 top | 0.32 | 3.22 | 3.30 | 2.4 | 41.8 | 47.2 | 8.6 | 0.0 | 12,600 | 507 |
| 4 bottom | 3.30 | 2.3 | 36.3 | 56.1 | 2.2 | 3.2 | ||||
| 5 top | 0.34 | 3.25 | 3.30 | 1.5 | 42.2 | 47.7 | 8.7 | 0.0 | 12,900 | 532 |
| 5 bottom | 3.28 | 0.7 | 35.6 | 55.4 | 8.3 | 0.0 | ||||
| 6 top | 0.36 | 3.23 | 3.32 | 2.7 | 53.1 | 33.6 | 10.7 | 0.0 | 12,100 | 462 |
| 6 bottom | 3.31 | 2.5 | 46.1 | 43.5 | 7.8 | 0.0 | ||||
| 7 top | 0.47 | 3.18 | 3.41 | 6.8 | 68.0 | 21.0 | 4.2 | 0.0 | 12,300 | 473 |
| 7 bottom | 3.45 | 7.9 | 77.1 | 12.3 | 2.7 | 0.0 | ||||
| 8 top | 9.74 | 2.85 | 3.13 | 9.1 | 21.6 | 47.5 | 21.8 | 0.0 | 11,100 | 307 |
| 8 bottom | 3.29 | 13.3 | 28.9 | 52.8 | 5.0 | 0.0 | ||||
| 9 top | 0.29 | 3.24 | 3.39 | 4.5 | 61.0 | 31.7 | 3.0 | 0.0 | 13,300 | 572 |
| 9 bottom | 3.38 | 4.2 | 55.8 | 38.1 | 1.9 | 0.0 | ||||
| 10 top | 0.04 | 3.32 | 3.39 | 1.9 | 61.0 | 33.5 | 3.5 | 0.0 | 14,700 | 698 |
| 10 bottom | 3.49 | 5.0 | 88.5 | 6.2 | 0.3 | 0.0 | ||||
| 11 top | 0.08 | 3.37 | 3.45 | 2.3 | 86.4 | 6.5 | 4.8 | 0.0 | 14,900 | 746 |
| 11 bottom | 3.43 | 1.7 | 65.5 | 28.6 | 4.2 | 0.0 | ||||
| 12 top | 0.09 | 3.29 | 3.43 | 4.1 | 76.5 | 14.9 | 4.4 | 0.0 | 14,600 | 703 |
| 12 bottom | 3.37 | 2.5 | 56.6 | 37.5 | 3.5 | 0.0 | ||||
| 13 top | 0.37 | 3.25 | 3.42 | 5.0 | 72.2 | 18.9 | 3.9 | 0.0 | 13,200 | 564 |
| 13 bottom | - | - | - | - | - | - | ||||
| 14 top | 1.04 | 3.33 | 3.43 | 3,0 | 74.7 | 19.8 | 2.4 | 0.0 | 14,300 | 661 |
| 14 bottom | - | - | - | - | - | - | ||||
| 15 top | 0.30 | 3.24 | 3.34 | 2.9 | 48.8 | 42.6 | 5.6 | 0.0 | 14,900 | 725 |
| 15 bottom | 3.31 | 2.1 | 30.4 | 66.5 | 1.1 | 0.0 | ||||
| 16 top | 0.37 | 3.19 | 3.30 | 3.5 | 33.1 | 60.5 | 3.0 | 0.0 | 14,900 | 713 |
| 16 bottom | 3.29 | 3.2 | 27.1 | 68.3 | 1.5 | 0.0 | ||||
| 17 top | 0.34 | 3.15 | 3.24 | 2.7 | 27.0 | 59.9 | 10.4 | 0.0 | 14,100 | 631 |
| 17 bottom | 3.35 | 5.9 | 43.1 | 49.5 | 1.5 | 0.0 | ||||
| 18 top | 0.25 | 3.35 | 3.40 | 1.4 | 62.2 | 34.7 | 1.7 | 0.0 | 14,800 | 735 |
| 18 bottom | 3.45 | 2.9 | 78.7 | 17.4 | 1.0 | 0.0 | ||||
| 19 top | 2.34 | 3.26 | 3.27 | 0.2 | 21.7 | 75.0 | 3.1 | 0.0 | 12,700 | 519 |
| 19 bottom | 3.37 | 3.2 | 51.2 | 45.2 | 0.6 | 0.0 | ||||
| 20 | 2.34 | 3.26 | 3.46 | 5.7 | 82.7 | 9.1 | 2.5 | 0.0 | 13,200 | 552 |
Disclaimer/Publisher’s Note: The statements, opinions and data contained in all publications are solely those of the individual author(s) and contributor(s) and not of MDPI and/or the editor(s). MDPI and/or the editor(s) disclaim responsibility for any injury to people or property resulting from any ideas, methods, instructions or products referred to in the content. |
© 2023 by the authors. Licensee MDPI, Basel, Switzerland. This article is an open access article distributed under the terms and conditions of the Creative Commons Attribution (CC BY) license (https://creativecommons.org/licenses/by/4.0/).
Share and Cite
Bogdanov, S.P.; Dolgin, A.S.; Perevislov, S.N.; Khristyuk, N.A.; Sychov, M.M. Effect of Diamond Phase Dispersion on the Properties of Diamond-SiC-Si Composites. Ceramics 2023, 6, 1632-1645. https://doi.org/10.3390/ceramics6030100
Bogdanov SP, Dolgin AS, Perevislov SN, Khristyuk NA, Sychov MM. Effect of Diamond Phase Dispersion on the Properties of Diamond-SiC-Si Composites. Ceramics. 2023; 6(3):1632-1645. https://doi.org/10.3390/ceramics6030100
Chicago/Turabian StyleBogdanov, Sergey P., Andrey S. Dolgin, Sergey N. Perevislov, Nikolay A. Khristyuk, and Maxim M. Sychov. 2023. "Effect of Diamond Phase Dispersion on the Properties of Diamond-SiC-Si Composites" Ceramics 6, no. 3: 1632-1645. https://doi.org/10.3390/ceramics6030100
APA StyleBogdanov, S. P., Dolgin, A. S., Perevislov, S. N., Khristyuk, N. A., & Sychov, M. M. (2023). Effect of Diamond Phase Dispersion on the Properties of Diamond-SiC-Si Composites. Ceramics, 6(3), 1632-1645. https://doi.org/10.3390/ceramics6030100

