Abstract
Background/Objectives: Prostate cancer (PCa) is one of the most prevalent cancers in men. While PSA testing aids in early detection, it often identifies clinically insignificant PCa (ciPCa), which may not necessitate treatment. Prostate-specific membrane antigen (PSMA) PET scans have emerged as a promising tool to evaluate of localised PCa. This review aims to assess the current evidence of using PSMA PET scans for localised PCa. Methods: Peer-reviewed publications on PSMA PET scans in localised PCa, from inception to May 2024, were retrieved from PubMed. The outcomes evaluated included diagnostic performance in identifying intraprostatic lesions, detecting csPCa (ISUP GG ≥ 2), and role peri-treatment. Results: The addition of PSMA PET/CT to MRI improved the sensitivity (from 83% to 97%) and NPV (72% to 91%) of detecting csPCa. PSMA PET helped improve risk stratification in active surveillance by identifying MRI-occult lesions in up to 29% of patients, of which up to 10% may harbour underlying unfavourable pathology. In local staging, PSMA PET/MRI outperforms MRI in identifying extra-prostatic extension (77% vs. 73%) and seminal vesicle invasion (90% vs. 87%). PSMA PET scans are also superior to MRI in nodal staging and bone scans in identifying bony metastasis. PSMA PET scans appear useful in guiding treatment of localised PCa and aiding follow-up. Conclusions: PSMA PET scans are valuable for evaluating localised PCa by improving the detection of csPCa and enhancing local staging. However, most available studies are retrospective, and long-term oncological outcomes remain underreported due to the relative novelty of PSMA PET scans.
1. Introduction
The rising incidence of prostate cancer (PCa) can be attributed to factors such as an aging population and the widespread uptake of prostate-specific antigen (PSA) testing [1]. One criticism that PSA screening has faced is the risk of increased detection of clinically insignificant PCa (ciPCa) [2]. The European Association of Urology (EAU) Guidelines define ciPCa as PCa that does not cause harm, while clinically significant PCa (csPCa) is defined as PCa that may result in morbidity or mortality [3]. This distinction is crucial to avoid unnecessary side effects associated with the overtreatment of ciPCa.
The diagnosis of PCa often involves prostate biopsies, preferably with imaging guidance. The current imaging modality of choice is magnetic resonance imaging (MRI). The PRECISION trial [4] compared MRI-guided biopsy against ultrasound-guided biopsy and demonstrated that the addition of MRI increased the detection rate of csPCa from 26% to 38%, while reducing the detection of ciPCa from 22% to 9%. However, the use of MRI is not without limitations. MRI may still result in unnecessary biopsies and potentially miss some csPCa [5]. There is further room to improve the detection of csPCa while reducing the detection of ciPCa. Therefore, newer imaging modalities such as PSMA positron emission tomography (PET) scans are being explored.
Prostate-specific membrane antigen (PSMA) is a transmembrane protein that is upregulated in PCa cells, making it an ideal target for molecular imaging due to its limited expression in benign prostatic tissue [6]. The introduction of PSMA PET scans has undoubtedly changed our diagnosis and management of PCa (Figure 1). Following the ProPSMA trial, PSMA PET scans have replaced conventional imaging modalities (abdomen and pelvis computed tomography (CT) and whole-body bone scan (WBBS)) for staging [7]. The EAU guidelines recommend PSMA PET scans only for selected PCa patients with concerns of recurrence or staging of the International Society of Urologic Pathologists grade group (ISUP GG) ≥ 3 [3]. While PSMA PET scans have limited utility in staging ISUP GG 2 PCa, they may play a role in assessing localised intraprostatic disease. There is emerging evidence for the use of PSMA PET scans to improve the detection of csPCa [8]. For example, in the PRIMARY trial [9], the addition of PSMA PET scans to MRI improved the sensitivity and reduced the false negative for detecting csPCa. Therefore, PSMA PET scans could potentially help further reduce the number of unnecessary biopsies. This review aims to provide an overview of the current clinical applications and performance of PSMA PET scans in localised PCa.
Figure 1.
Change in the diagnostic pathway of prostate cancer over time. Abbreviations: Digital rectal exam (DRE), prostate-specific antigen (PSA), transrectal ultrasound (TRUS), active surveillance (AS), multiparametric magnetic resonance imaging (MRI), computed tomography (CT), prostate-specific membrane antigen positron emission tomography (PSMA PET).
2. Materials and Methods
A literature review was performed on PubMed using variations of keywords, which included “PSMA PET” and “prostate neoplasm”. The population included all patients with localised PCa, which was defined as cancer confined within the prostate or prostatic bed/fossa. Studies which evaluated extra-prostatic extension (EPE) were also included. EPE was defined as the presence of PCa in tissue beyond the confines of the prostate gland, such as the neurovascular bundle or peri-prostatic adipose tissue [10]. Post-prostatectomy, the histological evidence of PCa extending beyond the prostate is described as pT3a and above in the tumour, lymph node, and metastasis (TNM) staging system [11]. The intervention in question was the utilisation of PSMA PET scans, such as PSMA PET/CT and PSMA PET/MRI. PET scans using non-PSMA-based tracers were excluded. The comparator might include prostate MRI or conventional imaging modality. Outcomes of interest included methods of reporting PSMA PET scans for localised PCa, evaluation of intraprostatic cancer, detection of csPCa, local tumour staging, utility of PSMA PET scans peri-treatment, and the prognostic value of PSMA PET scans in localised PCa. csPCa was defined as ISUP GG 2 and above. All English-language, peer-reviewed publications from inception to May 2024 were considered. Case reports, case series, letters to editors, commentaries, conference abstracts, and unpublished studies were excluded.
3. Results
3.1. Methods of Reporting Localised Prostate Cancer on PSMA PET Scans
Standardised reporting of PSMA PET scans is crucial for PCa diagnosis. Standardisation ensures the quality and reproducibility of reports for clinical decision-making and research. PSMA PET scans distinguish between malignant and benign lesions using semiquantitative measurements and qualitative analyses. Semiquantitative measurements include standardised uptake values (SUV) and tumour-to-background ratios (TBR) [12]. SUV is a measurement of the relative concentrations of PSMA uptake, with maximum SUV (SUVmax) representing the highest uptake in a region of interest. Qualitative analyses include visual interpretation of images and lesion morphology.
The PRIMARY Score is a 5-category scale developed based on the 68Ga PSMA tracer to evaluate intraprostatic lesions. The aim is to standardise reporting and identify csPCa by combining anatomical patterns and SUVmax [13]. The criteria of the PRIMARY score are detailed in Table 1. A high PRIMARY score of 3 to 5 demonstrates 88% sensitivity, 64% specificity, 76% positive predicting value (PPV), and 81% negative predicting value (NPV) in detecting csPCa. A validation study showed that the PRIMARY score had higher interrater reproducibility compared to the MRI-based Prostate Imaging–Reporting and Data System (PIRADS) score [14]. However, both reporting systems had similar diagnostic performance.
Table 1.
PRIMARY Score classification.
3.2. PSMA PET Scans for Primary Diagnosis of Localised Prostate Cancer
Previous meta-analysis demonstrated that PSMA PET/CT can detect localised PCa with a sensitivity between 0.71 and 0.84 and specificity of up to 0.92 [15]. Given the moderate sensitivity, PSMA PET/CT may miss some intraprostatic lesions. There appears to be no significant difference in terms of the sensitivity and specificity of detecting localised PCa when comparing PSMA PET/CT to multiparametric MRI (mpMRI) (Table 2) [8]. However, PSMA PET/MRI appear to have a higher diagnostic accuracy of detecting localised PCa when compared to PSMA PET/CT (97% vs. 86%) [16].
Table 2.
Estimated diagnostic performance of various imaging modalities at detecting localised prostate cancer.
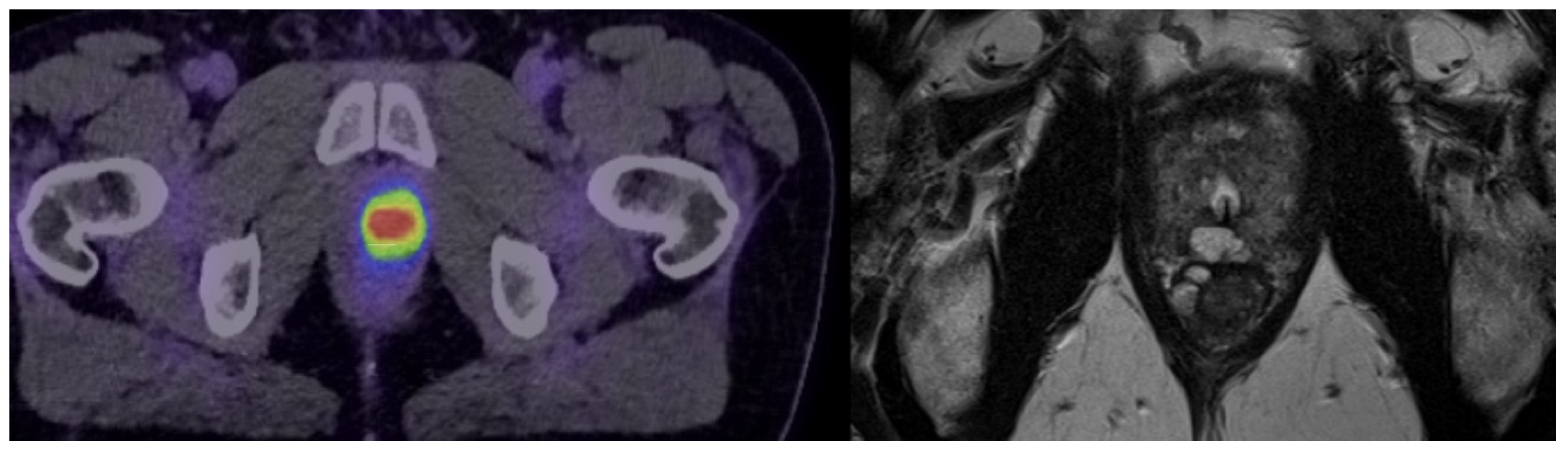
In low- to intermediate-risk PCa, PSMA PET scans identified MRI occult lesions in 12.3–29% of patients, of which up to 10% may harbour underlying unfavourable pathology that may not be suitable for active surveillance [17]. MRI-occult lesions (Figure 2) are defined as areas of concern that are not visible or detectable on MRI but are identified on alternative imaging modalities such as PSMA PET scans. PSMA PET scans can potentially improve patient selection during active surveillance by identifying aggressive disease, which may be better managed with active treatment. This improves risk stratification and prevents patient misclassification. However, these findings are limited by the fact that most existing studies are retrospective in nature with small sample sizes. Therefore, further prospective trials are needed.
Figure 2.
Example of an MRI-occult lesion (transverse imaging), which was not visible on mpMRI and classified as PI-RADS 2 (image on the right). However, the lesion was detected as a PSMA-avid lesion on 18F PSMA PET/CT (image on the left). MRI-occult lesions are those that do not show up clearly on MRI scans but are detected using alternative imaging techniques, such as PSMA PET. Abbreviations: Prostate Imaging–Reporting and Data System (PIRADS), prostate-specific membrane antigen positron emission tomography (PSMA PET), multiparametric magnetic resonance imaging (mpMRI).
It is also worth noting that some studies use prostatectomy histopathology as a reference point instead of prostate biopsies. Since prostate biopsies represent only a small proportion of PCa being sampled, it is not uncommon to observe histopathological upgrading during the examination of prostatectomy specimens [18]. Additionally, PSMA PET scans may miss up to 5–10% of PCa, which are PSMA-negative [19].
3.3. Identifying Clinically Significant Prostate Cancer
The identification of csPCa may be more clinically relevant, as it is crucial for distinguishing between patients who are suitable for active surveillance and those who require active treatment. Higher-grade PCa has been shown to have higher PSMA expression, which correlates to higher SUV on PSMA PET scans [20]. Although there is no consensus on the optimal SUVmax to differentiate csPCa from ciPCa, previous studies have proposed cutoffs between 5.4 and 8 [21].
The PRIMARY trial was a landmark multi-centre prospective study that explored the use of PSMA PET/CT in MRI-naïve patients [9]. The inclusion criteria were clinical suspicion of PCa, indicated by abnormal PSA levels or digital rectal examination (DRE) findings. The PRIMARY trial demonstrated that the addition of PSMA PET/CT to MRI compared to MRI alone improves the NPV (91% vs. 72%) and sensitivity (97% vs. 83%) of detecting csPCa (ISUP GG ≥ 2). Independent of the MRI findings, an SUVmax of 12 was also found to have 100% specificity and 100% PPV in detecting csPCa. In the presence of a PIRADS 4 or 5 lesion on MRI, an SUVmax of 8.7 showed 100% specificity and 100% PPV for csPCa. PSMA PET/CT appears to be a useful adjunct in the MRI-triaged population. These findings raise the question whether prostate biopsies could be safely avoided in patients without any imaging evidence of csPCa. The additive value of PSMA PET scans to MRI for detection of csPCa was validated in a subsequent meta-analysis with performance described in Table 3 [22,23]. It is worth noting that out of the 19 studies included in the meta-analysis, only seven were prospective, and only three had a sample size larger than 100.
Table 3.
Estimated diagnostic performance of various imaging modalities at detecting clinically significant prostate cancer (defined as International Society of Urologic Pathologists grade group greater or equal to two).
3.4. Local Staging
Accurate pre-operative detection of EPE on imaging is critical for treatment planning and informed consent. The presence of EPE usually contraindicates ipsilateral nerve-sparing during prostatectomy and necessitates a wider excision margin. The presence of EPE also indicates a worse oncological prognosis such as the risk of biochemical recurrence (BCR) [24]. The existence of seminal vesicle invasion (SVI) has also been linked to increased rates of BCR and reduced overall survival (OS) [25].
In a meta-analysis by Wang et al. [8], there appeared to be no statistically significant difference in sensitivity and specificity between PSMA PET/CT and mpMRI in detecting EPE and SVI (Table 4). In a subsequent meta-analysis by Gossili et al. [16], PSMA PET/MRI demonstrated higher diagnostic accuracy compared to PSMA PET/CT in the detection of EPE (77% vs. 73%) and SVI (90% vs. 87%). In a separate meta-anlaysis by Chow et al. [26], PSMA PET/MRI showed higher sensitivity than mpMRI in detecting EPE (78.7% vs. 52.9%) and SVI (66.7% vs. 51.0%) during initial staging of intermediate to high-risk PCa. It is worth noting that in the meta-analysis by Gossili et al. [16], 18 of the 23 included studies utilised gallium-based PSMA tracers. Additionally, of the 23 studies, only one was multicentre and only one had a sample size of ≥ 100 participants.
Table 4.
Estimated diagnostic performance of various imaging modalities at local tumour staging.
3.5. PSMA PET Scans Peri-Prostatectomy
Active treatment is typically reserved for localised PCa; therefore, accurate staging excluding metastatic PCa is essential during pre-operative selection. Chow et al. [26] performed a meta-analysis of 31 studies comparing PSMA PET to conventional imaging for the primary staging of intermediate to high-risk PCa (Table 5). Compared to mpMRI, PSMA PET demonstrated higher sensitivity (38.9% vs. 73.7%) and higher specificity (82.6% vs. 97.5%) in nodal staging. Compared to WBBS for detection of bony metastasis, PMSA PET showed higher sensitivity (73% vs. 98%) and higher specificity (79.1% vs. 96.2%).
Table 5.
Estimated diagnostic performance of various imaging modalities at nodal and bony metastasis staging.
A meta-analysis found that the increased diagnostic accuracy of PSMA PET/CT over conventional imaging during primary staging resulted in a change in clinical management in up to 28% of patients [15]. The improved detection of lymph node involvement and metastatic disease leads to a “stage migration” among patients who would have traditionally undergone prostatectomy in the era of conventional imaging. While long-term follow-up data are lacking, early results have shown that PSMA PET scans improve post-prostatectomy oncology outcomes by decreasing the risk of BCR by up to 42% [27].
Prior to prostatectomy, patients undergo prostate biopsies for diagnosis, which may delay time to surgery. Prostate biopsies may occasionally result in complications such as urinary retention, haematuria, rectal bleeding, or sepsis [28]. Additionally, patients who undergo multiple prostate biopsies may have worse functional outcomes post-prostatectomy, possibly due to scar tissues limiting nerve sparring intra-operatively [29]. Some recent studies have suggested a biopsy-free method for identifying candidates for prostatectomy, utilising pre-operative risk stratification through the combination of elevated PSA, abnormal DRE, and clinically concerning imaging (PSMA PET/CT and mpMRI) [30]. Given the relatively low morbidity associated with prostate biopsies and the lack of large prospective randomised controlled trials, PSMA PET scans should not replace pre-prostatectomy biopsies at this stage.
During post-prostatectomy follow-up, PSMA PET/CT can detect residual PCa in patients experiencing persistently elevated PSA levels [31]. In BCR, PSMA PET/CT can help identify local recurrence within the prostatic fossa, especially when combined with MRI [32]. In a prospective study by Ghezzo et al. [33], PSMA PET/MRI had higher sensitivity in detecting recurrence during BCR. It is worth noting that detection rates are dependent on the patient’s PSA level. According to the EAU guidelines, PSMA PET/CT is recommended as a staging tool when PSA levels rise above or persistently remain above 0.2 ng/mL, particularly if the results are anticipated to influence treatment decisions [3].
3.6. PSMA PET Scans in Radiotherapy
Gross tumour volume (GTV) is measured on imaging to ascertain the extent and size of PCa. In both radiotherapy and focal therapy, GTV influences treatment delivery and guides treatment intensity. PSMA PET scans outperform mpMRI in estimating GTV, demonstrating higher sensitivity (75.7% vs. 64.7%), specificity (87.1% vs. 86.4%), and area under the receiver operating characteristic curve (AUROC) (0.889 vs. 0.852) [34].
Higher-grade PCa are known to be more resistant to radiotherapy and linked to higher rates of local recurrence [35]. An appropriate increase in radiation dose has been previously shown to improve oncological outcomes [36]. PSMA PET scan’s ability to predict higher-grade PCa appears promising in guiding radiotherapy dose escalation. A study by Eade et al. [37] showcased the effectiveness of PSMA PET/MRI-guided focal boost within stereotactic body radiation therapy (SBRT).
In post-radiotherapy follow-up, MRI serves to identify local recurrences, assist in target biopsy, and guide local salvage therapy [38]. However, it may underestimate the extent of local recurrence [39]. PSMA PET/CT appears to be comparable to MRI in detecting local recurrences post-radiotherapy but offers the added benefit of lymph node and distal metastasis detection [40,41]. Concordant findings on both PSMA PET/CT and MRI are strong indicators of local PCa recurrence. Currently, the EAU guidelines recommend PSMA PET/CT as a staging tool in patients with PSA recurrence after radiotherapy only if they are suitable for curative salvage therapy [3].
After prostatectomy or focal therapy, salvage radiotherapy (SRT) to the prostatic fossa is a viable option for selected patients experiencing PSA-only recurrence (i.e., BCR without distant metastasis) [3]. PSMA PET/CT enables accurate staging to rule out distal metastasis before initiating SRT. PSMA PET scans may also help identify the site of local recurrence and tailor radiation dosimetry [42]. Additionally, PSMA PET scans may be predictive of responsiveness to SRT [43]. Previous studies have shown that PSMA PET/CT influences treatment decisions in patients with BCR; however, there is a lack of data regarding its impact on long-term outcomes [42].
3.7. PSMA PET Scans in Focal Therapy
Focal therapy aims to target small foci of low- and selected intermediate-grade PCa while preserving surrounding healthy tissue. MRI is often performed prior to identifying the size and location of PCa. The addition of PSMA PET scans may help improve patient selection for focal therapy by excluding csPCa and identifying MRI-occult lesions [17].
Post-focal therapy follow-up involves repeat MRIs and prostate biopsies. However, MRI may be confounded by post-focal therapy artifacts. Theoretically, PSMA PET scans should be able to detect recurrent PCa without being hindered by treatment artifacts and could be a valuable tool for post-focal therapy follow-up [44]. However, there is a lack of studies evaluating the use of PSMA PET scans in focal therapy [45].
3.8. PSMA PET Scans in Theranostics
Theranostics is a field of medicine that combines diagnostic techniques with therapeutic interventions. Given PSMA tracers’ affinity to PCa, there is growing interest in modifying the tracers into therapeutic isotopes for treatment. After the identification of metastatic deposit with PSMA PET scans, therapeutic radiopharmaceuticals labelled with β (lutetium-177 or yttrium-90) or α (actinium-225)-emitting isotopes can be given. In metastatic castration-resistant PCa, Lutetium-177 [177Lu]Lu-PSMA-617 has been shown to result in more than 50% decrease in PSA and improvement in OS [46]. Given the high rates of BCR after prostatectomy in high-risk PCa, the LuTectomy trial explored the use of [177Lu]Lu-PSMA-617 in localised PCa [47]. It demonstrated that in men with high-risk features (e.g., PSA > 20 ng/mL, or ISUP GG 3–5) with high PSMA expression on PSMA PET/CT, two cycles of [177Lu]Lu-PSMA-617 prior to prostatectomy were well tolerated with minimal side effects, did not compromise surgical safety, while delivering targeted doses of radiation to tumour-affected tissues. However, this study only 20 patients. Further studies in this area will be interesting to determine whether theranostics can reduce the long-term risk of BCR in localised PCa.
3.9. PSMA PET Scans for Prognostication
Increased uptake of PSMA tracer in PCa has been linked to traditional prognostic indicators, such as higher Gleason scores, higher ISUP GG disease, and lower BCR free survival after prostatectomy [48]. As described above, PSMA PET scans are effective for local staging, particularly in the detection of adverse surgical pathology such as EPE and SVI, which also serve as unfavourable prognostic indicators [49]. PSMA PET/MRI have been shown to be comparable to Memorial Sloan Kettering Cancer Centre (MSKCC) and Partin nomograms for prediction of ECE and SVI [50]. The ability to estimate GTV is also important, as it has been previously shown to be an independent predictor of mortality from PCa and OS [51].
4. Discussion
This review found that PSMA PET scans are useful for identifying csPCa in localised PCa (Figure 3). In resource-limited settings, accessibility to PSMA PET scans may be challenging. In these situations, PSMA PET scans should be prioritised for pre-treatment staging to exclude distant metastasis. If PSMA PET scans are unavailable, prostate MRI remains essential for guiding biopsies, and conventional imaging for staging.
Figure 3.
Graphical abstract summarising key utility of PSMA PET scan in localised prostate cancer.
The incorporation of new imaging modalities in diagnostic pathways leading to “stage migration” has implications for the way PCa is risk-stratified. There is a need for more prospective studies to provide data regarding long-term oncological outcomes of patients whose management decisions are influenced by PSMA PET scans.
Due to the low risk of developing metastatic disease, there is no role for PSMA PET scans as a staging modality in low-risk and intermediate-risk PCa [3]. However, there are ongoing studies evaluating the role of PSMA PET scans in active surveillance. The CONFIRM trial is an ongoing study assessing the utility of PSMA PET scans prior to confirmatory biopsy [52]. Early results of the CONFIRM trial have demonstrated the potential of PSMA PET scans to improve risk stratification for active surveillance patients by increasing the detection of csPCa [53]. Another area of interest being explored is how PSMA PET scans could potentially help patients avoid unnecessary biopsies. The PRIMARY II trial is an ongoing multi-centre study that involves patients with clinical suspicion of csPCa with PIRADS 2 or 3 on mpMRI [54]. Participants are then randomised into either an experimental arm where they undergo pelvic PSMA PET/CT or a control arm where they undergo template prostate biopsy. Targeted prostate biopsies are performed in the experimental arm if the pelvic PSMA PET/CT is avid; otherwise, participants undergo PSA monitoring only. The goal is to determine whether the addition of PSMA PET/CT will help some men exclude csPCa and avoid prostate biopsy.
In conclusion, current guidelines limit PSMA PET scans for pre-treatment staging or detection of recurrent PCa. However, emerging evidence suggests that PSMA PET scans may also be beneficial as a tool for the primary diagnosis and local staging of PCa, particularly when combined with mpMRI.
Author Contributions
Conceptualization, J.L., K.A.T., M.P. and N.L.; methodology, J.L., J.D., K.A.T., M.P. and N.L.; data curation, J.L., J.D., K.A.T., M.P. and N.L.; writing—original draft preparation, J.L. and J.D.; writing—review and editing, K.A.T., M.P. and N.L.; supervision, K.A.T., M.P. and N.L. All authors have read and agreed to the published version of the manuscript.
Funding
This research received no external funding.
Institutional Review Board Statement
Not applicable.
Data Availability Statement
No new data were created for this research. Existing data are available on PubMed.
Acknowledgments
The first author is a recipient of the E.J. Whitten Postgraduate Research Scholarship and Epworth Prostate Cancer Research Grant, which was made possible thanks to the generosity of the donors of the Epworth Medical Foundation.
Conflicts of Interest
The authors declare no conflicts of interest.
References
- Plata Bello, A.; Concepcion Masip, T. Prostate cancer epidemiology. Arch. Esp. Urol. 2014, 67, 373–382. [Google Scholar] [PubMed]
- Park, B.; Jeon, S.S.; Ju, S.H.; Jeong, B.C.; Seo, S.I.; Lee, H.M.; Choi, H.Y. Detection rate of clinically insignificant prostate cancer increases with repeat prostate biopsies. Asian J. Androl. 2013, 15, 236–240. [Google Scholar] [CrossRef] [PubMed]
- Mottet, N.; van den Bergh, R.C.N.; Briers, E.; Van den Broeck, T.; Cumberbatch, M.G.; De Santis, M.; Fanti, S.; Fossati, N.; Gandaglia, G.; Gillessen, S.; et al. EAU-EANM-ESTRO-ESUR-SIOG Guidelines on Prostate Cancer-2020 Update. Part 1: Screening, Diagnosis, and Local Treatment with Curative Intent. Eur. Urol. 2021, 79, 243–262. [Google Scholar] [CrossRef] [PubMed]
- Kasivisvanathan, V.; Rannikko, A.S.; Borghi, M.; Panebianco, V.; Mynderse, L.A.; Vaarala, M.H.; Briganti, A.; Budäus, L.; Hellawell, G.; Hindley, R.G.; et al. MRI-Targeted or Standard Biopsy for Prostate-Cancer Diagnosis. N. Engl. J. Med. 2018, 378, 1767–1777. [Google Scholar] [CrossRef] [PubMed]
- Thompson, J.E.; van Leeuwen, P.J.; Moses, D.; Shnier, R.; Brenner, P.; Delprado, W.; Pulbrook, M.; Böhm, M.; Haynes, A.M.; Hayen, A.; et al. The Diagnostic Performance of Multiparametric Magnetic Resonance Imaging to Detect Significant Prostate Cancer. J. Urol. 2016, 195, 1428–1435. [Google Scholar] [CrossRef]
- Silver, D.A.; Pellicer, I.; Fair, W.R.; Heston, W.D.; Cordon-Cardo, C. Prostate-specific membrane antigen expression in normal and malignant human tissues. Clin. Cancer Res. 1997, 3, 81–85. [Google Scholar]
- Hofman, M.S.; Lawrentschuk, N.; Francis, R.J.; Tang, C.; Vela, I.; Thomas, P.; Rutherford, N.; Martin, J.M.; Frydenberg, M.; Shakher, R.; et al. Prostate-specific membrane antigen PET-CT in patients with high-risk prostate cancer before curative-intent surgery or radiotherapy (proPSMA): A prospective, randomised, multicentre study. Lancet 2020, 395, 1208–1216. [Google Scholar] [CrossRef]
- Wang, Y.F.; Lo, C.Y.; Chen, L.Y.; Chang, C.W.; Huang, Y.T.; Huang, Y.Y.; Huang, Y.H. Comparing the Detection Performance between Multiparametric Magnetic Resonance Imaging and Prostate-Specific Membrane Antigen PET/CT in Patients with Localized Prostate Cancer: A Systematic Review and Meta-analysis. Clin. Nucl. Med. 2023, 48, E321–E331. [Google Scholar] [CrossRef]
- Emmett, L.; Buteau, J.; Papa, N.; Moon, D.; Thompson, J.; Roberts, M.J.; Rasiah, K.; Pattison, D.A.; Yaxley, J.; Thomas, P.; et al. The Additive Diagnostic Value of Prostate-specific Membrane Antigen Positron Emission Tomography Computed Tomography to Multiparametric Magnetic Resonance Imaging Triage in the Diagnosis of Prostate Cancer (PRIMARY): A Prospective Multicentre Study. Eur. Urol. 2021, 80, 682–689. [Google Scholar] [CrossRef]
- Magi-Galluzzi, C.; Evans, A.J.; Delahunt, B.; Epstein, J.I.; Griffiths, D.F.; van der Kwast, T.H.; Montironi, R.; Wheeler, T.M.; Srigley, J.R.; Egevad, L.L.; et al. International Society of Urological Pathology (ISUP) Consensus Conference on Handling and Staging of Radical Prostatectomy Specimens. Working group 3: Extraprostatic extension, lymphovascular invasion and locally advanced disease. Mod. Pathol. 2011, 24, 26–38. [Google Scholar] [CrossRef]
- Paner, G.P.; Stadler, W.M.; Hansel, D.E.; Montironi, R.; Lin, D.W.; Amin, M.B. Updates in the Eighth Edition of the Tumor-Node-Metastasis Staging Classification for Urologic Cancers. Eur. Urol. 2018, 73, 560–569. [Google Scholar] [CrossRef] [PubMed]
- Thie, J.A. Understanding the Standardized Uptake Value, Its Methods, and Implications for Usage. J. Nucl. Med. 2004, 45, 1431. [Google Scholar] [PubMed]
- Emmett, L.; Papa, N.; Buteau, J.; Ho, B.; Liu, V.; Roberts, M.; Thompson, J.; Moon, D.; Sheehan-Dare, G.; Alghazo, O.; et al. The PRIMARY Score: Using Intraprostatic (68)Ga-PSMA PET/CT Patterns to Optimize Prostate Cancer Diagnosis. J. Nucl. Med. 2022, 63, 1644–1650. [Google Scholar] [CrossRef]
- Emmett, L.; Papa, N.; Counter, W.; Calais, J.; Barbato, F.; Burger, I.; Eiber, M.; Roberts, M.J.; Agrawal, S.; Franklin, A.; et al. Reproducibility and Accuracy of the PRIMARY Score on PSMA PET and of PI-RADS on Multiparametric MRI for Prostate Cancer Diagnosis Within a Real-World Database. J. Nucl. Med. 2024, 65, 94–99. [Google Scholar] [CrossRef]
- Jeet, V.; Parkinson, B.; Song, R.; Sharma, R.; Hoyle, M. Histopathologically Validated Diagnostic Accuracy of PSMA-PET/CT in the Primary and Secondary Staging of Prostate Cancer and the Impact of PSMA-PET/CT on Clinical Management: A Systematic Review and Meta-analysis. Semin. Nucl. Med. 2023, 53, 706–718. [Google Scholar] [CrossRef] [PubMed]
- Gossili, F.; Mogensen, A.W.; Konnerup, T.C.; Bouchelouche, K.; Alberts, I.; Afshar-Oromieh, A.; Zacho, H.D. The diagnostic accuracy of radiolabeled PSMA-ligand PET for tumour staging in newly diagnosed prostate cancer patients compared to histopathology: A systematic review and meta-analysis. Eur. J. Nucl. Med. Mol. Imaging 2023, 51, 281–294. [Google Scholar] [CrossRef] [PubMed]
- Liu, J.; Santucci, J.; Woon, D.T.S.; Catterwell, R.; Perera, M.; Murphy, D.G.; Lawrentschuk, N. A Systematic Review on Prostate-Specific Membrane Antigen Positron Emission Tomography (PSMA PET) Evaluating Localized Low- to Intermediate-Risk Prostate Cancer: A Tool to Improve Risk Stratification for Active Surveillance? Life 2024, 14, 76. [Google Scholar] [CrossRef]
- Erdem, S.; Verep, S.; Bagbudar, S.; Ozluk, Y.; Sanli, O.; Ozcan, F. The clinical predictive factors and postoperative histopathological parameters associated with upgrading after radical prostatectomy: A contemporary analysis with grade groups. Prostate 2020, 80, 225–234. [Google Scholar] [CrossRef]
- Budaus, L.; Leyh-Bannurah, S.R.; Salomon, G.; Michl, U.; Heinzer, H.; Huland, H.; Graefen, M.; Steuber, T.; Rosenbaum, C. Initial Experience of (68)Ga-PSMA PET/CT Imaging in High-risk Prostate Cancer Patients Prior to Radical Prostatectomy. Eur. Urol. 2016, 69, 393–396. [Google Scholar] [CrossRef]
- Minner, S.; Wittmer, C.; Graefen, M.; Salomon, G.; Steuber, T.; Haese, A.; Huland, H.; Bokemeyer, C.; Yekebas, E.; Dierlamm, J.; et al. High level PSMA expression is associated with early PSA recurrence in surgically treated prostate cancer. Prostate 2011, 71, 281–288. [Google Scholar] [CrossRef]
- Caracciolo, M.; Castello, A.; Lopci, E. PSMA PET/CT Versus mpMRI for the Detection of Clinically Significant Prostate Cancer: An Updated Overview. Semin. Nucl. Med. 2024, 54, 30–38. [Google Scholar] [CrossRef] [PubMed]
- Brondani Torri, G.; Antune Pereira, P.; Piovesan Wiethan, C.; Mesquita, Y.; Mirshahvalad, S.A.; Veit-Haibach, P.; Ghai, S.; Metser, U.; Altmayer, S.; Dias, A.B. Comparison of Multiparametric MRI and the Combination of PSMA Plus MRI for the Intraprostatic Diagnosis of Prostate Cancer: A Systematic Review and Meta-Analysis. Clin. Nucl. Med. 2024, 49, e375–e382. [Google Scholar] [CrossRef] [PubMed]
- Kawada, T.; Yanagisawa, T.; Rajwa, P.; Sari Motlagh, R.; Mostafaei, H.; Quhal, F.; Laukhtina, E.; Aydh, A.; König, F.; Pallauf, M.; et al. Diagnostic Performance of Prostate-specific Membrane Antigen Positron Emission Tomography–targeted biopsy for Detection of Clinically Significant Prostate Cancer: A Systematic Review and Meta-analysis. Eur. Urol. Oncol. 2022, 5, 390–400. [Google Scholar] [CrossRef] [PubMed]
- Jeong, B.C.; Chalfin, H.J.; Lee, S.B.; Feng, Z.; Epstein, J.I.; Trock, B.J.; Partin, A.W.; Humphreys, E.; Walsh, P.C.; Han, M. The relationship between the extent of extraprostatic extension and survival following radical prostatectomy. Eur. Urol. 2015, 67, 342–346. [Google Scholar] [CrossRef] [PubMed]
- Swanson, G.P.; Goldman, B.; Tangen, C.M.; Chin, J.; Messing, E.; Canby-Hagino, E.; Forman, J.D.; Thompson, I.M.; Crawford, E.D. The prognostic impact of seminal vesicle involvement found at prostatectomy and the effects of adjuvant radiation: Data from Southwest Oncology Group 8794. J. Urol. 2008, 180, 2453–2457; discussion 8. [Google Scholar] [CrossRef]
- Chow, K.M.; So, W.Z.; Lee, H.J.; Lee, A.; Yap, D.W.T.; Takwoingi, Y.; Tay, K.J.; Tuan, J.; Thang, S.P.; Lam, W.; et al. Head-to-head Comparison of the Diagnostic Accuracy of Prostate-specific Membrane Antigen Positron Emission Tomography and Conventional Imaging Modalities for Initial Staging of Intermediate- to High-risk Prostate Cancer: A Systematic Review and Meta-analysis. Eur. Urol. 2023, 84, 36–48. [Google Scholar] [CrossRef]
- Klingenberg, S.; Fredsøe, J.; Sørensen, K.D.; Ulhøi, B.P.; Borre, M.; Jochumsen, M.R.; Bouchelouche, K. Recurrence rate after radical prostatectomy following primary staging of high-risk prostate cancer with (68)Ga-PSMA PET/CT. Acta Oncol. 2022, 61, 1289–1294. [Google Scholar] [CrossRef]
- Madej, A.; Wilkosz, J.; Różański, W.; Lipiński, M. Complication rates after prostate biopsy according to the number of sampled cores. Cent. Eur. J. Urol. 2012, 65, 116–118. [Google Scholar] [CrossRef]
- Sooriakumaran, P.; Calaway, A.; Sagalovich, D.; Roy, S.; Srivastava, A.; Joneja, J.; Shevchuk, M.; Tewari, A.K. The impact of multiple biopsies on outcomes of nerve-sparing robotic-assisted radical prostatectomy. Int. J. Impot. Res. 2012, 24, 161–164. [Google Scholar] [CrossRef]
- Meissner, V.H.; Rauscher, I.; Schwamborn, K.; Neumann, J.; Miller, G.; Weber, W.; Gschwend, J.E.; Eiber, M.; Heck, M.M. Radical Prostatectomy Without Prior Biopsy Following Multiparametric Magnetic Resonance Imaging and Prostate-specific Membrane Antigen Positron Emission Tomography. Eur. Urol. 2022, 82, 156–160. [Google Scholar] [CrossRef]
- Farolfi, A.; Ceci, F.; Castellucci, P.; Graziani, T.; Siepe, G.; Lambertini, A.; Schiavina, R.; Lodi, F.; Morganti, A.G.; Fanti, S. (68)Ga-PSMA-11 PET/CT in prostate cancer patients with biochemical recurrence after radical prostatectomy and PSA < 0.5 ng/ml. Efficacy and impact on treatment strategy. Eur. J. Nucl. Med. Mol. Imaging 2019, 46, 11–19. [Google Scholar] [CrossRef] [PubMed]
- Metser, U.; Chua, S.; Ho, B.; Punwani, S.; Johnston, E.; Pouliot, F.; Tau, N.; Hawsawy, A.; Anconina, R.; Bauman, G.; et al. The Contribution of Multiparametric Pelvic and Whole-Body MRI to Interpretation of (18)F-Fluoromethylcholine or (68)Ga-HBED-CC PSMA-11 PET/CT in Patients with Biochemical Failure After Radical Prostatectomy. J. Nucl. Med. 2019, 60, 1253–1258. [Google Scholar] [CrossRef] [PubMed]
- Ghezzo, S.; Mapelli, P.; Samanes Gajate, A.M.; Palmisano, A.; Cucchiara, V.; Brembilla, G.; Bezzi, C.; Suardi, N.; Scifo, P.; Briganti, A.; et al. Diagnostic accuracy of fully hybrid [(68)Ga]Ga-PSMA-11 PET/MRI and [(68)Ga]Ga-RM2 PET/MRI in patients with biochemically recurrent prostate cancer: A prospective single-center phase II clinical trial. Eur. J. Nucl. Med. Mol. Imaging 2024, 51, 907–918. [Google Scholar] [CrossRef] [PubMed]
- Dhar, A.; Cendejas-Gomez, J.J.; Castro Mendez, L.; Boldt, G.; McArthur, E.; Zamboglou, C.; Bauman, G. Using multiparametric Magnetic Resonance Imaging and Prostate Specific Membrane Antigen Positron Emission Tomography to detect and delineate the gross tumour volume of intraprostatic lesions—A systematic review and meta-analysis. Radiother. Oncol. 2024, 192, 110070. [Google Scholar] [CrossRef]
- King, L.; Bernaitis, N.; Christie, D.; Chess-Williams, R.; Sellers, D.; McDermott, C.; Dare, W.; Anoopkumar-Dukie, S. Drivers of Radioresistance in Prostate Cancer. J. Clin. Med. 2022, 11, 5637. [Google Scholar] [CrossRef]
- Kerkmeijer, L.G.W.; Groen, V.H.; Pos, F.J.; Haustermans, K.; Monninkhof, E.M.; Smeenk, R.J.; Kunze-Busch, M.; de Boer, J.C.J.; van der Voort van Zijp, J.; van Vulpen, M.; et al. Focal Boost to the Intraprostatic Tumor in External Beam Radiotherapy for Patients With Localized Prostate Cancer: Results From the FLAME Randomized Phase III Trial. J. Clin. Oncol. 2021, 39, 787–796. [Google Scholar] [CrossRef]
- Eade, T.; Kneebone, A.; Hruby, G.; Booth, J.; Hsiao, E.; Le, A.; Kwong, C.; Atyeo, J.; Brown, C.; Hunter, J.; et al. Early Outcomes and Decision Regret Using PSMA/MRI-Guided Focal Boost for Prostate Cancer SBRT. Pract. Radiat. Oncol. 2022, 12, e201–e206. [Google Scholar] [CrossRef]
- Alonzo, F.; Melodelima, C.; Bratan, F.; Vitry, T.; Crouzet, S.; Gelet, A.; Rouvière, O. Detection of locally radio-recurrent prostate cancer at multiparametric MRI: Can dynamic contrast-enhanced imaging be omitted? Diagn. Interv. Imaging 2016, 97, 433–441. [Google Scholar] [CrossRef]
- Dinis Fernandes, C.; Ghobadi, G.; van der Poel, H.G.; de Jong, J.; Heijmink, S.; Schoots, I.; Walraven, I.; van Houdt, P.J.; Smolic, M.; Pos, F.J.; et al. Quantitative 3-T multi-parametric MRI and step-section pathology of recurrent prostate cancer patients after radiation therapy. Eur. Radiol. 2019, 29, 4160–4168. [Google Scholar] [CrossRef]
- Rasing, M.; van Son, M.; Moerland, M.; de Keizer, B.; Wessels, F.; Jonges, T.; van de Pol, S.; Eppinga, W.; Noteboom, J.; Lagendijk, J.; et al. Value of Targeted Biopsies and Combined PSMA PET/CT and mp-MRI Imaging in Locally Recurrent Prostate Cancer after Primary Radiotherapy. Cancers 2022, 14, 781. [Google Scholar] [CrossRef]
- Awiwi, M.O.; Gjoni, M.; Vikram, R.; Altinmakas, E.; Dogan, H.; Bathala, T.K.; Naik, S.; Ravizzini, G.; Kandemirli, S.G.; Elsayes, K.M.; et al. MRI and PSMA PET/CT of Biochemical Recurrence of Prostate Cancer. Radiographics 2023, 43, e230112. [Google Scholar] [CrossRef] [PubMed]
- Ekmekcioglu, Ö.; Busstra, M.; Klass, N.D.; Verzijlbergen, F. Bridging the Imaging Gap: PSMA PET/CT Has a High Impact on Treatment Planning in Prostate Cancer Patients with Biochemical Recurrence-A Narrative Review of the Literature. J. Nucl. Med. 2019, 60, 1394–1398. [Google Scholar] [CrossRef] [PubMed]
- Emmett, L.; van Leeuwen, P.J.; Nandurkar, R.; Scheltema, M.J.; Cusick, T.; Hruby, G.; Kneebone, A.; Eade, T.; Fogarty, G.; Jagavkar, R.; et al. Treatment Outcomes from (68)Ga-PSMA PET/CT-Informed Salvage Radiation Treatment in Men with Rising PSA After Radical Prostatectomy: Prognostic Value of a Negative PSMA PET. J. Nucl. Med. 2017, 58, 1972–1976. [Google Scholar] [CrossRef]
- Bianchi, L.; Ceci, F.; Costa, F.; Balestrazzi, E.; Droghetti, M.; Piazza, P.; Pissavini, A.; Mei, R.; Farolfi, A.; Castellucci, P.; et al. The Impact of PSMA-PET on Oncologic Control in Prostate Cancer Patients Who Experienced PSA Persistence or Recurrence. Cancers 2022, 15, 247. [Google Scholar] [CrossRef]
- Ong, S.; Chen, K.; Grummet, J.; Yaxley, J.; Scheltema, M.J.; Stricker, P.; Tay, K.J.; Lawrentschuk, N. Guidelines of guidelines: Focal therapy for prostate cancer, is it time for consensus? BJU Int. 2023, 131, 20–31. [Google Scholar] [CrossRef]
- Sadaghiani, M.S.; Sheikhbahaei, S.; Werner, R.A.; Pienta, K.J.; Pomper, M.G.; Gorin, M.A.; Solnes, L.B.; Rowe, S.P. (177)Lu-PSMA radioligand therapy effectiveness in metastatic castration-resistant prostate cancer: An updated systematic review and meta-analysis. Prostate 2022, 82, 826–835. [Google Scholar] [CrossRef]
- Eapen, R.S.; Buteau, J.P.; Jackson, P.; Mitchell, C.; Oon, S.F.; Alghazo, O.; McIntosh, L.; Dhiantravan, N.; Scalzo, M.J.; O’Brien, J.; et al. Administering [(177)Lu]Lu-PSMA-617 Prior to Radical Prostatectomy in Men with High-risk Localised Prostate Cancer (LuTectomy): A Single-centre, Single-arm, Phase 1/2 Study. Eur. Urol. 2024, 85, 217–226. [Google Scholar] [CrossRef]
- Roberts, M.J.; Maurer, T.; Perera, M.; Eiber, M.; Hope, T.A.; Ost, P.; Siva, S.; Hofman, M.S.; Murphy, D.G.; Emmett, L.; et al. Using PSMA imaging for prognostication in localized and advanced prostate cancer. Nat. Rev. Urol. 2023, 20, 23–47. [Google Scholar] [CrossRef]
- Bostwick, D.G.; Qian, J.; Bergstralh, E.; Dundore, P.; Dugan, J.; Myers, R.P.; Oesterling, J.E. Prediction of capsular perforation and seminal vesicle invasion in prostate cancer. J. Urol. 1996, 155, 1361–1367. [Google Scholar] [CrossRef]
- Thalgott, M.; Düwel, C.; Rauscher, I.; Heck, M.M.; Haller, B.; Gafita, A.; Gschwend, J.E.; Schwaiger, M.; Maurer, T.; Eiber, M. One-Stop-Shop Whole-Body (68)Ga-PSMA-11 PET/MRI Compared with Clinical Nomograms for Preoperative T and N Staging of High-Risk Prostate Cancer. J. Nucl. Med. 2018, 59, 1850–1856. [Google Scholar] [CrossRef]
- Knoedler, J.J.; Karnes, R.J.; Thompson, R.H.; Rangel, L.J.; Bergstralh, E.J.; Boorjian, S.A. The association of tumor volume with mortality following radical prostatectomy. Prostate Cancer Prostatic Dis. 2014, 17, 144–148. [Google Scholar] [CrossRef] [PubMed]
- Bagguley, D.; Harewood, L.; McKenzie, D.; Ptasznik, G.; Ong, S.; Chengodu, T.; Woon, D.; Sim, K.; Sheldon, J.; Lawrentschuk, N. The CONFIRM trial protocol: The utility of prostate-specific membrane antigen positron emission tomography/computed tomography in active surveillance for prostate cancer. BJU Int. 2023, 133 (Suppl. 4), 27–36. [Google Scholar] [CrossRef] [PubMed]
- Liu, J.; Harewood, L.; Lawrentschuk, N. P300—Preliminary results of the CONFIRM trial: Role of PSMA PET/CT in newly diagnosed prostate cancer in active surveillance prior to confirmatory biopsy. Eur. Urol. 2024, 85, S416. [Google Scholar] [CrossRef]
- Buteau, J.P.; Moon, D.; Fahey, M.T.; Roberts, M.J.; Thompson, J.; Murphy, D.G.; Papa, N.; Mitchell, C.; De Abreu Lourenco, R.; Dhillon, H.M.; et al. Clinical Trial Protocol for PRIMARY2: A Multicentre, Phase 3, Randomised Controlled Trial Investigating the Additive Diagnostic Value of [(68)Ga]Ga-PSMA-11 Positron Emission Tomography/Computed Tomography in Men with Negative or Equivocal Multiparametric Magnetic Resonance Imaging for the Diagnosis of Clinically Significant Prostate Cancer. Eur. Urol. Oncol. 2023, 7, 544–552. [Google Scholar] [CrossRef] [PubMed]
Disclaimer/Publisher’s Note: The statements, opinions and data contained in all publications are solely those of the individual author(s) and contributor(s) and not of MDPI and/or the editor(s). MDPI and/or the editor(s) disclaim responsibility for any injury to people or property resulting from any ideas, methods, instructions or products referred to in the content. |
© 2025 by the authors. Published by MDPI on behalf of the Société Internationale d’Urologie. Licensee MDPI, Basel, Switzerland. This article is an open access article distributed under the terms and conditions of the Creative Commons Attribution (CC BY) license (https://creativecommons.org/licenses/by/4.0/).


