Abstract
Background Pelvic fracture urethral injuries (PFUI) in females are very rare. The available literature on the management of this condition is scarce and not clear, mainly because of limited experience among reconstructive surgeons. We present our experience of management of these complex urethral injuries in female patients. Materials and Methods We collected data, retrospectively and prospectively for 22 female patients referred to our center for PFUI repair between 1995 and 2021. During the clinical assessment of these complex injuries, following our internal institutional protocol, all patients underwent pelvic MRI (bladder and urethra are filled with saline solution and jelly to enhance the urethral lumen and the level of the distraction) before anastomotic urethroplasty. Results PFUI compromised the mid urethra in 10 patients (45.5%). A transabdominal approach was used in 8 patients (80%), and urethra-vaginal fistula repair was undertaken in 6 patients (60%). After a median follow-up of 36 months, only 1 patient with proximal PFUI required a surgical revision without compromising urinary continence. Conclusions The most common site of urethral involvement in pelvic fracture is mid urethral, which is owing to avulsion. Urethra-vaginal fistula should be suspected. Treatment consists in anastomotic urethroplasty, mainly through the abdominal approach.
1. Introduction
Urethral injury in females with pelvic fractures is very rare [1,2,3,4,5,6,7,8]. The literature on the management of female urethral injuries is sparse and not consistent, largely because of limited experience worldwide. Further, patients include a wide spectrum from young girls to adult women, and so the referral may be to a pediatric urologist, a gynecologist, or a urologist.
The earliest report of such injures was by Perry and Hussmann in 1992 [5]. Injuries reported before this were longitudinal injuries, which may go unnoticed. The injuries we see in practice are usually avulsion injuries.
The Kulkarni Reconstructive Urology Center is a unique center with referrals from all over the world. Over last 2 decades we have treated 22 patients with pelvic fracture urethral injury (PFUI) and have acquired substantial experience. We believe these injuries should be classified differently in terms of age, with different management algorithms for prepubertal girls compared with adult females.
We present our experience of management of female pelvic fracture urethral injuries, and we note that many of our findings have been published in reports on complex urethral injuries [9,10,11].
2. Materials and Methods
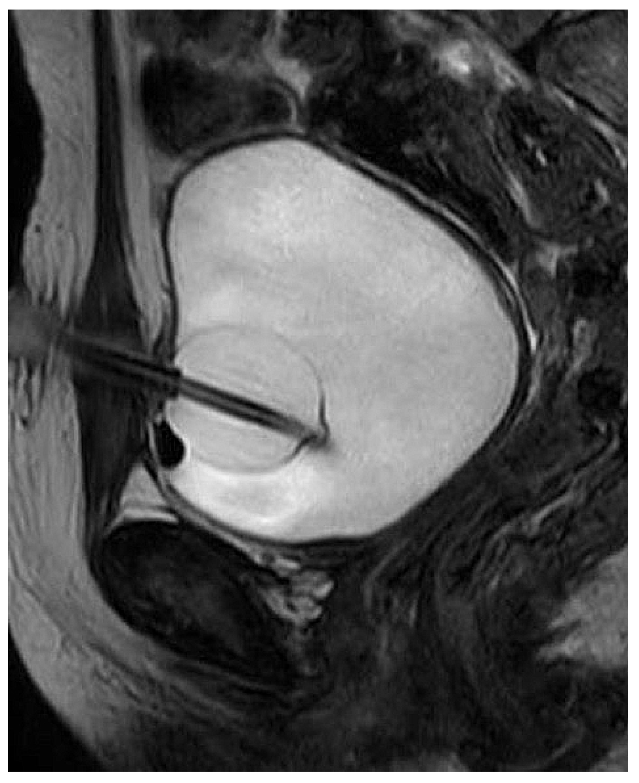
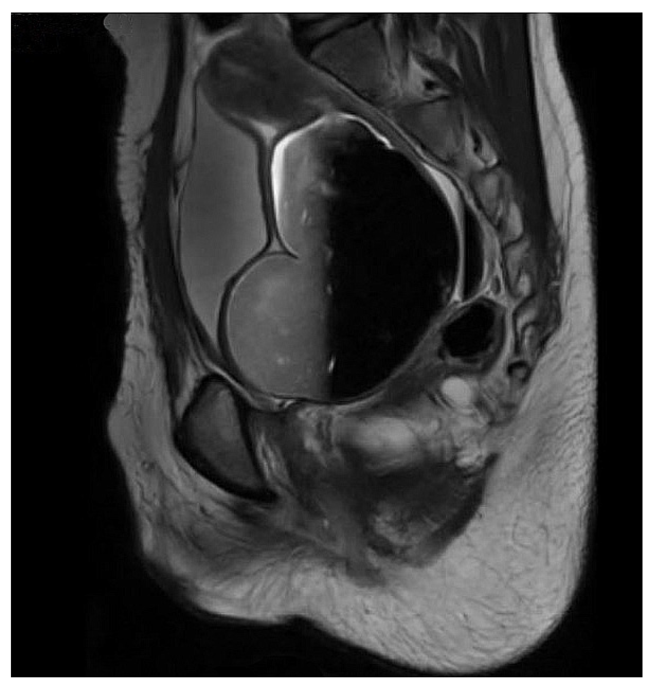
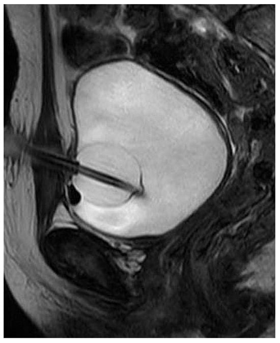
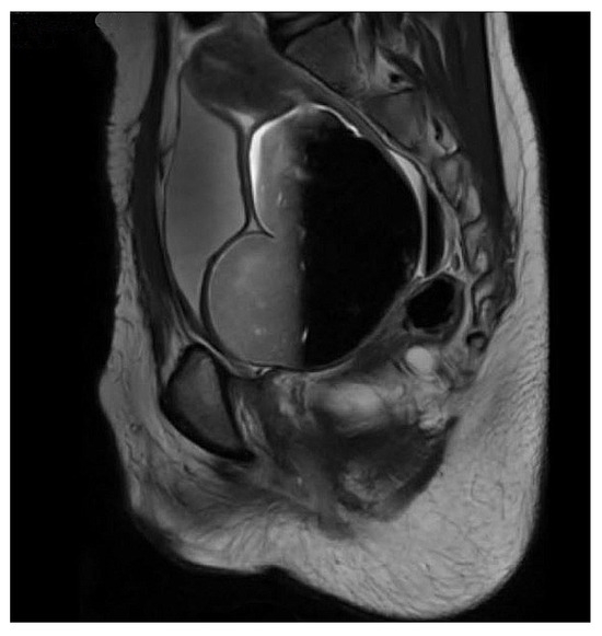
We retrospectively and prospectively collected data on girls and women referred to our center for PFUI repair between 1995 and 2021. A detailed history was obtained, and patients were examined in the outpatient clinic. We obtained an ultrasound of the abdomen. Additionally, we annotated the position of suprapubic catheter and any previous scars on the abdomen, and we performed a local examination of the vulva. The female urethra is about 4 cm in length, and even smaller in young women and girls. Retrograde urethrogram and voiding cystourethrogram were considered critical for assessment of the urethral injury, and all patients received pelvic MRI, in which the bladder and urethra were filled with saline solution and jelly to enhance the lumen and the level of the urethral distraction (Figure 1 and Figure 2) [12].
Figure 1.
MRI in female patient with pelvic fracture urethral injury.
Figure 2.
MRI showing grossly dilated vagina and hematocolpos in a patient with prior repair of pelvic fracture urethral injury.
All patients proceeded to surgery within 1 day of coming to the hospital. Patients were admitted and received a single dose of preoperative antibiotics. Intraoperatively, we used the dorsal lithotomy position. Preoperative endoscopy was a critical part of evaluation, and the urethra was best visualized with a 0-degree endoscope. The best instrument for this proved to be the 7 Fr mini nephroscope or a 4.5 Fr ureteroscope, which was passed retrograde from the meatus to assess the distal urethra.
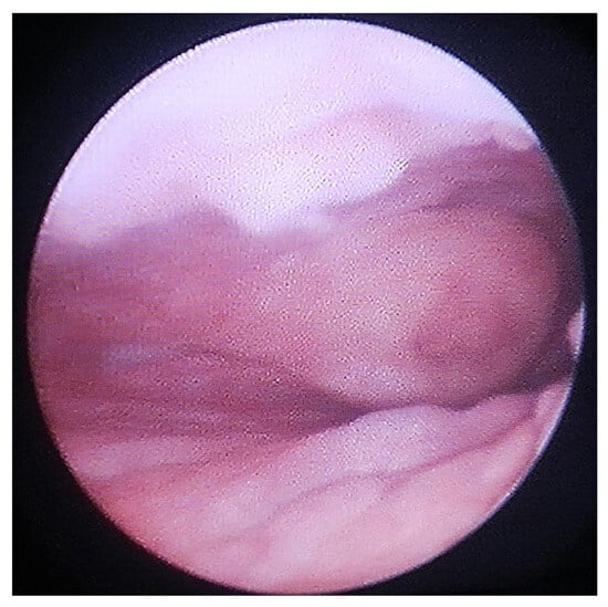
Urethrovaginal fistula should be suspected in every female patient with PFUI, and we found a urethrovaginal fistula in most of our patients. If possible, a guide wire was passed through the urethra into the bladder with the outside end brought out through the introitus. Subsequently, we performed a vaginoscopy, which usually showed a normal vagina with visualization of the cervix (Figure 3), a post-traumatic transverse vaginal septum preventing visualization of the cervix, or stenosis of the vagina at the site of trauma.
Figure 3.
Vaginoscopy demonstrating cervix.
The next step was to perform endoscopy from the suprapubic catheter tract to visualize the bladder, the bladder neck, and the urethra proximal to the site of injury.
We typically saw urethral avulsion at the bladder neck, in the proximal urethra, or in the mid urethra. Some patients also exhibited meatal stenosis and/or accompanying urethrovaginal fistula and/or vaginal stenosis.
2.1. Approach
The approach in prepubertal girls was always abdominal (Figure 4). In adult women, a vaginal approach was possible in some cases.
Figure 4.
Clinical picture of a girl after surgical revision of a pelvic fracture urethral injury.
2.2. Transection at Bladder Neck
Injury at the bladder neck can result in transection of the bladder neck. When suprapubic endoscopy was performed in these cases, we could usually see a dimple that suggested the position of the bladder neck. Identification of the ureteric orifices and trigone also helped to locate the position of transected bladder neck.
Surgical repair was performed through a lower abdominal incision. The extraperitoneal space was entered and the bladder was released from its anterior attachments. A posterior and superior pubectomy was then performed (Figure 5). Scar tissue at the site of injury was excised. The urethra distal to the injury was incised over a dilator passed through the urethra from the meatus (Figure 6).
Figure 5.
Abdominal approach with posterior and superior pubectomy.
Figure 6.
Abdominal approach with posterior and superior pubectomy.
A 12 Fr mini nephroscope was passed through the suprapubic catheter site to guide the incision of the bladder. The anastomosis between the bladder neck and the urethra was performed with six 5-0 polydiaxone sutures. The posterior sutures were tied down (Figure 7) before passing a 14Fr silicon catheter across the anastomosis and tying down the anterior sutures. The omentum was mobilized and transposed onto the anastomosis. A drain was not usually required.
Figure 7.
Anastomosis.
2.3. Transection at Proximal Urethra
In cases with a proximal urethral injury a short length of intact urethra remained attached to the bladder. The surgical steps were the same as for a bladder neck injury, except that the anastomosis was performed between the 2 urethral ends. This was more challenging than bladder neck repair, as there is very narrow space to work in the female pelvis.
2.4. Transection at Mid Urethra
The mid urethra was the commonest site of female PFUI. This type of injury is almost always associated with a urethrovaginal fistula, which can be missed (Figure 8). In these cases, transection of the mid urethra allows the distal urethra to connect to the anterior vaginal wall to form a fistula.
Figure 8.
Urethrovaginal fistula seen on CT.
Intraoperative endoscopy, preferably with a 7 Fr or 12 Fr mini nephroscope, depending on the age of the patient, was more important in these cases. Endoscopy through the meatus into the distal urethra showed the urethrovaginal fistula. A guide wire was passed through the fistula and back through the vagina. A confirmatory vaginoscopy was performed.
The surgical steps were similar to the previously described procedure but more challenging. A more extensive posterior and superior pubectomy was necessary to expose healthy edges of the proximal and distal urethra. The distal urethra was opened, and the previously inserted guide wire was pulled through the abdominal wound. The vaginal fistula was then clearly visible. The edges were freshened, and the fistula closed with interrupted polydiaxone sutures. A long stay suture was placed and used to tuck the omentum between the urethral anastomosis and the anterior vaginal wall to create an intervening layer.
2.5. Transection at Meatus
Rarely, the injury was observed at the level of meatus (Figure 9), and this was usually associated with a vaginal injury. The meatus became hypospadic. The vaginal injury healed with scarring leading to vaginal outlet stenosis. These patients voided through the vagina, where urine accumulated, and the patients presented with intermittent incontinence. The diagnosis was confirmed by vaginoscopy with small caliber endoscope. These patients needed to be treated with vaginotomy.
Figure 9.
Distal urethral injury.
Vaginal examination (which was difficult in pediatric patients because of narrow introitus) often revealed an almost bone-like scar on the posterior vaginal wall. Older patients sometimes needed a vaginal pull-through surgery, involving mobilization of the healthy edge of vagina down to be sutured to the introitus.
2.6. Urethral Lengthening
In cases of meatal injury where treatment with meatotomy would result in a hypospadiac urethra and intravaginal voiding, we usually recommend a urethral lengthening procedure. This can be done with a pedicled inner labial skin flap which is sutured to the urethra. We performed this in 1 patient, who was satisfied with the result.
2.7. Vaginal Injury
As stated earlier, urethrovaginal fistula was commonly seen in mid-urethral injuries.
Occasionally, the vagina was also transected. Resultant scarring sometimes led to the formation of a vaginal septum. As a result, the proximal vagina and uterus could become compartmentalized and separated from the distal vagina. Affected patients presented with amenorrhea and hematocolpos. Diagnosis was made by demonstrating these findings on ultrasound. Intraoperative vaginoscopy was very important in such cases. Inability to visualize the cervix during intraoperative vaginoscopy confirmed the presence of a vaginal septum. These cases were treated with either laser incision of the septum or vaginal pull-through.
2.8. Complete Urethral Loss
This is the rarest type of injury and requires a vascularized flap for repair. This is most easily accomplished by making a bladder wall flap and tubularizing it to form a neo-urethra. There remains a high risk of incontinence. We carried out this procedure in only 1 patient.
Uroflow was performed after surgery to assess the success of the operation. Urinary continence was also assessed after surgery using a voiding diary.
3. Results
We retrieved the data of 22 patients: 10 girls (median age 9 years) and 12 women (median age 25 years). Median time from injury to surgery was 10 months. Urethral injury was in the proximal urethra in 5 cases (22.7%, 4 prepubertal girls and 1 adult woman), in the mid urethra in 10 cases (45.5%, 4 prepubertal girls and 6 adult women), and in the distal urethra in 6 cases (27.3%, 2 prepubertal girls and 4 adult women). One case presented with complete urethral loss (Table 1).
Table 1.
Summary of treatments and outcome.
Of the 10 patients presenting with mid PFUI, 8 were approached transabdominally and 6 (2 girls and 4 adults) underwent urethrovaginal fistula repair. The approach was transvaginal in all 6 distal patients with PFUI. Two prepubertal girls with distal injury had vaginal introital stenosis and required vaginotomy. We observed a transverse vaginal septum that was attributed to trauma in 2 patients who both required vaginal pull-through. The patient with complete urethral loss needed a bladder wall flap. One child needed a complex reconstruction with use of a Martius flap along with the overlying labial skin to reconstruct the vaginal wall.
Overall, 17 patients (77.3%) were continent at night and during the day. Of those with proximal PFUI, 3/5 patients (60%) were continent at night and during the day. The patient with bladder wall flap was continent but voided with low pressure. This patient’s urethra was patent on urethroscopy, and there was no obstruction. The median postoperative Qmax was 18 mL/s. After a median follow-up of 36 months, 1 patient with proximal PFUI required a surgical revision but was continent thereafter.
4. Discussion
Management of female PFUI is evolving slowly, and only a few reports are available in the literature. Ours is one of the largest reported series of such patients to date.
Usually, the injury goes unnoticed in the acute post trauma evaluation. It is recognized by the inability to catheterize the patient or the presence of acute urinary retention. Examination of the vulva needs the lithotomy position, which is challenging in the acute setting of trauma. In the series by Perry and Husmann [5], the patients presented with extravasation and persistent incontinence, which suggests that the urethral injuries were overlooked on initial evaluation.
The favored management strategy for PFUI is to place a suprapubic catheter in the acute setting, stabilize the patient, and perform a definitive repair after 3 months. Rarely, if there is an acute transection that is accessible, and no other injuries, a primary repair can be attempted in an adult female.
The true incidence of female urethral injuries is unknown. Pelvic fracture urethral injuries are generally less common in females [8]. Factors likely include the flexibility provided by the vagina, as well as the inherent elasticity of female urethra in adults. Podestá et al. reported a concurrent vaginal laceration in 75% to 87% of cases [13], which is consistent with the experience of Venn et al. [8]. Singh et al. described a case of urethral distraction defect causing complete urethrovaginal avulsion [14].
Venn et al. reported 12 female patients, aged 7 to 51, with urethral injuries [8]. Four had concomitant rectal injuries. In 5 cases urethral continuity was preserved because the urethral injury was longitudinal. Two of these 12 patients presented in follow-up with stress urinary incontinence. Although the cause of incontinence is unclear, the authors suggested a mixed etiology including direct urethral damage and damage to innervation.
In our study, the majority of patients were continent after urethroplasty, although 5 had nocturnal incontinence. The fear of incontinence should not deter the urologist from performing anastomotic urethroplasty in women with PFUI. An artificial urinary sphincter can even be considered [8], although this was not needed in our patients.
Over the last 2 decades, we have gained the greatest experience of male PFUI [10], and our experience with female PFUI has simultaneously grown. Female PFUI is particularly challenging to manage because of the diversity of urethral injuries observed. Venn et. suggested that it was difficult to produce recommendations on treatment of these injuries based on their patients. After operating on 22 such patients we are able to provide a clear algorithm to assist reconstructive urologists in the management of these injuries (Figure 10 and Figure 11). We suggest categorizing patients in 2 groups: young females and adult females.
Figure 10.
Algorithm for management of female pelvic fracture urethral injury.
Figure 11.
Algorithm for management of female pelvic fracture urethral injury.
Always suspect a urethrovaginal fistula in urethral injuries, especially in prepubertal girls. Anastomotic urethroplasty through an abdominal approach is the favored procedure. The urethra can be accessed with posterior and superior pubectomy keeping the rim of pubic bone intact. Incontinence is rare in such patients. Few patients need a tailored approach to either lengthen the urethra if short or a full reconstruction in case of complete urethral loss. For these cases bladder or vaginal flaps are harvested for reconstruction. A bladder pubovaginal stenosis should be suspected in distal injuries. Such patients can present with amenorrhea and hematocolpos in the adolescent age. Scar excision, good tension-free anastomosis, and omental interposition are key steps in performing the anastomotic urethroplasty.
5. Conclusions
Female pelvic fracture urethral injuries are uncommon. When they occur, the commonest PFUI is the mid urethral avulsion. Urethrovaginal fistula should be suspected. The injury is best repaired with anastomotic urethroplasty, mostly through the abdominal approach, which we show leads to excellent outcomes. This surgery requires specialized expertise. We present here our experience of management of these injuries with an operative algorithm.
Conflicts of Interest
None declared. Patient Consent: Obtained for clinical images.
References
- Simpson-Smith, A. Traumatic rupture of the urethra: Eight personal cases with a review of 381 recorded ruptures. Br. J. Surg. 1936, 24, 309–332. [Google Scholar] [CrossRef]
- Antoci, J.P.; Schic, M.R., Jr. Bladder and urethral injuries in patients with pelvic fractures. J. Urol. 1982, 128, 25–26. [Google Scholar] [CrossRef] [PubMed]
- Bredael, J.J.; Kramer, S.A.; Cleeve, L.K.; Webster, G.D. Traumatic rupture of the female urethra. J. Urol. 1979, 122, 560–561. [Google Scholar] [CrossRef] [PubMed]
- Patil, U.; Nesbitt, R.; Meyer, R. Genitourinary tract injuries due to fracture of the pelvis in females: Sequelae and their management. Br. J. Urol. 1982, 54, 32–38. [Google Scholar] [CrossRef] [PubMed]
- Perry, M.O.; Husmann, D.A. Urethral injuries in female subjects following pelvic fractures. J. Urol. 1992, 147, 139–143. [Google Scholar] [CrossRef] [PubMed]
- Barach, E.; Martin, G.; Tomlanovich, M.; Nowak, R.; Littleton, R. Blunt pelvic trauma with urethral injury in the female: A case report and review of the literature. J. Emerg. Med. 1984, 2, 101–105. [Google Scholar] [CrossRef] [PubMed]
- Carter, C.T.; Schafer, N. Incidence of urethral disruption in females with traumatic pelvic fractures. Am. J. Emerg. Med. 1993, 11, 218–220. [Google Scholar] [CrossRef] [PubMed]
- Venn, S.N.; Greenwell, T.J.; Mundy, A.R. Pelvic fracture injuries of the female urethra. BJU Int. 1991, 83, 626–630. [Google Scholar] [CrossRef] [PubMed]
- Kulkarni, S.B.; Surana, S.; Desai, D.J.; Orabi, H.; Iyer, S.; Kulkarni, J.; et al. Management of complex and redo cases of pelvic fracture urethral injuries. Asian J. Urol. 2018, 5, 107–117. [Google Scholar] [CrossRef] [PubMed]
- Joshi, P.M.; Kulkarni, S.B. Management of pelvic fracture urethral injuries in the developing world. World J. Urol. 2020, 38, 3027–3034. [Google Scholar] [CrossRef] [PubMed]
- Kulkarni, S.B.; Joshi, P.M.; Hunter, C.; Surana, S.; Shahrour, W.; Alhajeri, F. Complex posterior urethral injury. Arab J. Urol. 2015, 13, 43–52. [Google Scholar] [CrossRef] [PubMed]
- Joshi, P.M.; Desai, D.J.; Shah, D.; Joshi, D.P.; Kulkarni, S.B. Magnetic resonance imaging procedure for pelvic fracture urethral injuries and recto urethral fistulas: A simplified protocol. Turk. J. Urol. 2021, 47, 35–42. [Google Scholar] [CrossRef] [PubMed]
- Podestá, M.L.; Jordan, G.H. Pelvic fracture urethral injuries in girls. J. Urol. 2001, 165, 1660–1665. [Google Scholar] [CrossRef] [PubMed]
- Singh, R.K.; Kaushal, D.; Khattar, N.; Nayyar, R.; Manasa, T.; Sood, R. Pediatric pelvic fracture urethral distraction defect causing complete urethrovaginal avulsion. Indian J. Urol. 2018, 34, 76–78. [Google Scholar] [CrossRef] [PubMed]
This is an open access article under the terms of a license that permits non-commercial use, provided the original work is properly cited. © 2022 The Authors. Société Internationale d'Urologie Journal, published by the Société Internationale d'Urologie, Canada.










