Vestibular Testing Results in a World-Famous Tightrope Walker
Abstract
1. Introduction
2. Methods
2.1. Experimental Setup
2.2. Otolith Testing
2.3. Semicircular Canal Testing
2.4. Quantitative Video-Oculography
2.5. Postural Stability
2.6. Assessment of the Subjective Visual Vertical and Fundus Photography
2.7. MR-Imaging
3. Results
3.1. Assessment of Semicircular Canal Function
3.2. Assessment of Otolith Function
3.3. Assessment of Spatial Orientation and Postural Stability
3.4. Assessment for Central Eye Movement Disorders
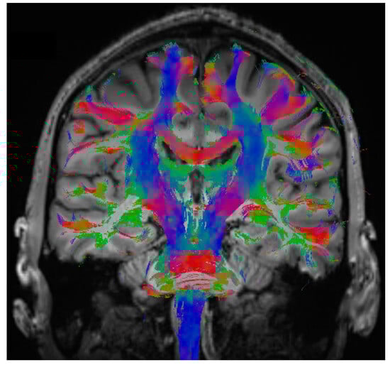
3.5. Analysis of MR-Imaging
4. Discussion
Author Contributions
Funding
Institutional Review Board Statement
Informed Consent Statement
Data Availability Statement
Acknowledgments
Conflicts of Interest
References
- Fetsch, C.R.; DeAngelis, G.C.; Angelaki, D.E. Bridging the gap between theories of sensory cue integration and the physiology of multisensory neurons. Nat. Rev. Neurosci. 2013, 14, 429–442. [Google Scholar] [CrossRef] [PubMed]
- Halmagyi, G.M.; Weber, K.P.; Curthoys, I.S. Vestibular function after acute vestibular neuritis. Restor. Neurol. Neurosci. 2010, 28, 37–46. [Google Scholar] [CrossRef] [PubMed]
- Nock, F. 2013. Available online: https://www.youtube.com/watch?v=_rYkeWMOnkw (accessed on 21 December 2024).
- Curthoys, I.S.; McGarvie, L.A.; MacDougall, H.G.; Burgess, A.M.; Halmagyi, G.M.; Rey-Martinez, J.; Dlugaiczyk, J. A review of the geometrical basis and the principles underlying the use and interpretation of the video head impulse test (vHIT) in clinical vestibular testing. Front. Neurol. 2023, 14, 1147253. [Google Scholar] [CrossRef]
- Rosengren, S.M.; Colebatch, J.G.; Young, A.S.; Govender, S.; Welgampola, M.S. Vestibular evoked myogenic potentials in practice: Methods, pitfalls and clinical applications. Clin. Neurophysiol. Pract. 2019, 4, 47–68. [Google Scholar] [CrossRef]
- Evangelista, V.R.P.; Mermelstein, S.A.; da Silva, M.M.; Kaski, D. Bedside video-ophthalmoscopy as an aid in the diagnosis of central vestibular syndromes. J. Neurol. 2022, 269, 217–220. [Google Scholar] [CrossRef]
- Visser, J.E.; Carpenter, M.G.; van der Kooij, H.; Bloem, B.R. The clinical utility of posturography. Clin. Neurophysiol. 2008, 119, 2424–2436. [Google Scholar] [CrossRef] [PubMed]
- Dieterich, M.; Brandt, T. Perception of Verticality and Vestibular Disorders of Balance and Falls. Front. Neurol. 2019, 10, 172. [Google Scholar] [CrossRef] [PubMed]
- Chen, G.; Zhang, J.; Qiao, Q.; Zhou, L.; Li, Y.; Yang, J.; Wu, J.; Huangfu, H. Advances in dynamic visual acuity test research. Front. Neurol. 2022, 13, 1047876. [Google Scholar] [CrossRef] [PubMed]
- Curthoys, I.S. A critical review of the neurophysiological evidence underlying clinical vestibular testing using sound, vibration and galvanic stimuli. Clin. Neurophysiol. 2010, 121, 132–144. [Google Scholar] [CrossRef]
- Weber, K.P.; Rosengren, S.M.; Michels, R.; Sturm, V.; Straumann, D.; Landau, K. Single motor unit activity in human extraocular muscles during the vestibulo-ocular reflex. J. Physiol. 2012, 590, 3091–3101. [Google Scholar] [CrossRef] [PubMed]
- Blanquet, M.; Petersen, J.A.; Palla, A.; Veraguth, D.; Weber, K.P.; Straumann, D.; Tarnutzer, A.A.; Jung, H.H. Vestibulo-cochlear function in inflammatory neuropathies. Clin. Neurophysiol. 2018, 129, 863–873. [Google Scholar] [CrossRef] [PubMed]
- Rosengren, S.M.; Welgampola, M.S.; Colebatch, J.G. Vestibular evoked myogenic potentials: Past, present and future. Clin. Neurophysiol. 2010, 121, 636–651. [Google Scholar] [CrossRef]
- Weber, K.P.; Rosengren, S.M. Clinical utility of ocular vestibular-evoked myogenic potentials (oVEMPs). Curr. Neurol. Neurosci. Rep. 2015, 15, 22. [Google Scholar] [CrossRef] [PubMed]
- McGarvie, L.A.; MacDougall, H.G.; Halmagyi, G.M.; Burgess, A.M.; Weber, K.P.; Curthoys, I.S. The Video Head Impulse Test (vHIT) of Semicircular Canal Function—Age-Dependent Normative Values of VOR Gain in Healthy Subjects. Front. Neurol. 2015, 6, 154. [Google Scholar] [CrossRef] [PubMed]
- Fitzgerald, G.; Hallpike, C.S. Studies in human vestibular function. I. Observations on the directional preponderance of caloric nystagmus resulting from cerebral lesions. Brain 1942, 65, 115–137. [Google Scholar] [CrossRef]
- Jongkees, L.B. The caloric test and its value in evaluation of the patient with vertigo. Otolaryngol. Clin. N. Am. 1973, 6, 73–93. [Google Scholar] [CrossRef]
- Halmagyi, G.M.; Yavor, R.A.; McGarvie, L.A. Testing the vestibulo-ocular reflex. In Electrophysiologic Evaluation in Otolaryngology; Alford, B.R., Jerger, J., Jenkins, H.A., Eds.; Karger: Basel, Switzerland, 1997; pp. 132–154. [Google Scholar]
- Shepard, N.T.; Jacobson, G.P. The caloric irrigation test. Handb. Clin. Neurol. 2016, 137, 119–131. [Google Scholar] [CrossRef] [PubMed]
- Schoene, H. On the role of gravity in human spatial orientation. Aerosp. Med. 1964, 35, 764–772. [Google Scholar] [PubMed]
- Brandt, T.; Dieterich, M.; Danek, A. Vestibular cortex lesions affect the perception of verticality. Ann. Neurol. 1994, 35, 403–412. [Google Scholar] [CrossRef] [PubMed]
- Pérennou, D.A.; Mazibrada, G.; Chauvineau, V.; Greenwood, R.; Rothwell, J.; Gresty, M.A.; Bronstein, A.M. Lateropulsion, pushing and verticality perception in hemisphere stroke: A causal relationship? Brain 2008, 131, 2401–2413. [Google Scholar] [CrossRef]
- Olivares-Moreno, R.; Rodriguez-Moreno, P.; Lopez-Virgen, V.; Macias, M.; Altamira-Camacho, M.; Rojas-Piloni, G. Corticospinal vs Rubrospinal Revisited: An Evolutionary Perspective for Sensorimotor Integration. Front. Neurosci. 2021, 15, 686481. [Google Scholar] [CrossRef]
- Porter, D.A.; Heidemann, R.M. High resolution diffusion-weighted imaging using readout-segmented echo-planar imaging, parallel imaging and a two-dimensional navigator-based reacquisition. Magn. Reson. Med. 2009, 62, 468–475. [Google Scholar] [CrossRef] [PubMed]
- Tarnutzer, A.A.; Bockisch, C.J.; Buffone, E.; Weiler, S.; Bachmann, L.M.; Weber, K.P. Disease-specific sparing of the anterior semicircular canals in bilateral vestibulopathy. Clin. Neurophysiol. 2016, 127, 2791–2801. [Google Scholar] [CrossRef] [PubMed]
- Curthoys, I.S. The new vestibular stimuli: Sound and vibration-anatomical, physiological and clinical evidence. Exp. Brain Res. 2017, 235, 957–972. [Google Scholar] [CrossRef]
- Curthoys, I.S.; Kim, J.; McPhedran, S.K.; Camp, A.J. Bone conducted vibration selectively activates irregular primary otolithic vestibular neurons in the guinea pig. Exp. Brain Res. 2006, 175, 256–267. [Google Scholar] [CrossRef] [PubMed]




| Parameter | Normal Values | Results | Interpretation | |
|---|---|---|---|---|
| Semicircular Canal Testing | ||||
| Video head impulse testing | Gains (L/R) | HSCs ≥ 0.8, ASCs/PSCs ≥ 0.7 | HSCs: 0.80/0.89; ASCs: 0.93/1.07; PSCs: 1.16/0.96 | Within normal range |
| Catch-up Saccades | Saccades < 0.73°/trial * | None (all six SCCs) | Within normal range | |
| Dynamic visual acuity | Loss of visual acuity [logMAR] (L/R) | ≤0.58 logMAR | 0.50/0.34 logMAR | Within normal range |
| Bithermal caloric irrigation (30 °C and 44 °C) | Canal paresis [%] | ≤25% (vel L/R (°/s) | 26% to the right (16.0/9.5°/s) † | Borderline for right-sided hypofunction |
| Directional preponderance [%] | ≤50% | 2% to the right | ||
| Rotatory chair testing (yaw axis rotations) | Perrotary gains [vel: ±60°/s; acc: 60°/s2] (L/R) Perrotary Tc [s] (L/R) | Gains: 0.22–0.74/0.18–0.91 Tc: 7.9–20.3/8.3–23.9 s | 0.17/0.55 16.0/13.1 | Reduced gain for perrotary stimulation to the L |
| Postrotary [vel = ±60°/s, acc = −60°/s2] gains (L/R) Postrotary Tc [s] (L/R) | Gains: 0.21–0.81/0.30–0.80 Tc: 6.9–24.7/9.3–25.5 s | 0.35/0.53 16.4/12.9 | Within normal range | |
| Hor oscillation gains [44°/s, 0.35 Hz] (sine/L/R) | Gains: 0.67–1.07/0.69–1.10/0.65–1.15 | 0.19/0.23/0.28 | Reduced oscillation gains | |
| Hor smooth pursuit [44°/s, 0.35 Hz] (sine fit/L/R) | Gains: 0.60–1.09/0.59–1.12/0.65–1.03 | 0.84/0.80/0.89 | Within normal range | |
| Hor optokinetic gains [50°/s] (L/R) | Gains: 0.53–1.01/0.51–1.06 | 0.10/0.01 | Reduced optokinetic gains | |
| Hor VOR suppression gains [44°/s, 0.35 Hz] (L/R) | Gains: −0.02–0.20/−0.03–0.20 | 0.03/0.03 | Within normal range | |
| Parameter | Normal Values | Results | Notes | |
| Otolith Testing | ||||
| oVEMPs (Nicolet)—bone-conducted (90 dB nHL) | n10 latency; p15 latency [ms] (L/R) | <13.8/<18.7 ms | 13.2/13.1; 17.5/17.2 | Hypofunction of left utricle confirmed on two different devices |
| peak-to-peak amplitude [μV] (L/R) | >5.8 μV | 4.4/9.5 | ||
| amplitude asymmetry [%] | ≤30% | 37% (weaker response on left side) | ||
| oVEMPs (Eclipse)—bone-conducted (100 dB nHL) | n10 latency; p15 latency [ms] (L/R) | NA † | 8.2/8.3; 12.7/12.8 | |
| peak-to-peak amplitude [μV] (L/R) | NA † | 1.6/5.2 | ||
| amplitude asymmetry [%] | ≤30% | 53% (weaker response on left side) | ||
| cVEMPs (Eclipse)—air-conducted (100 dB nHL) | p13/n23 latency [ms] (L/R) | <17.3/<30.3 ms | 12.5/NR; 21.2/NR | No response on the right side on air-conducted cVEMPs |
| peak-to-peak amplitude [unitless] (L/R) | >0.8 | 0.7/NR | ||
| amplitude asymmetry [%] | ≤30% | 100% (no response on the right side) | ||
| cVEMPs (Eclipse)—bone-conducted (100 dB nHL) | p13/n23 latency [ms] (L/R) | <17.3/<30.3 ms | 12.4/11.9; 23.9/23.9 | Normal bone-conducted cVEMPs except for slightly reduced amplitudes on both sides. |
| peak-to-peak amplitude [unitless] (L/R) | >0.8 | 0.6/0.7 | ||
| amplitude asymmetry [%] | ≤30% | 10% (weaker response on left side) | ||
| Subjective visual vertical | Upright, 45° LED, 45° RED | Upright: ≤±2.5°, 45° roll-tilted: NA ‡ | 0.0 ± 0.4° (0°), 7.0 ± 2.7° (45°LED), −6.9 ± 2.5 (45°RED) | Within normal range |
| Fundus photography | Cyclorotation [°] (L/R) | Range (each eye): −1.0 to 11.5° Side difference: ≤±1.9° | 1.5°/5.2° 1.8° | Within normal range |
| Parameter | Normal Values | Results | Notes | |
| Others | ||||
| Accelerometer-assisted Romberg testing | Area of contour (central 95% of data) for sway/surge plane for acceleration (eyes open/closed, firm/foam) | acceleration (95th percentile): Open firm: 0.172 Open foam: 0.237 Closed firm: 0.218 Closed foam: 2.737 | acceleration (mean values): Open firm: 0.053 Open foam: 0.051 Closed firm: 0.088 Closed foam: 0.498 | Within normal range |
| Area of contour (central 95% of data) for pitch/roll plane for rotational velocity (eyes open/closed, firm/foam) | velocity (95th percentile): Open firm: 13.373 Open foam: 26.173 Closed firm: 21.534 Closed foam: 380.729 | velocity (mean values): Open firm: 2.612 Open foam: 4.196 Closed firm: 2.944 Closed foam: 28.434 | ||
| Dynamic posturography (Equitest) | Composite SOT equilibrium score | SOT ≥ 0.70 | SOT = 0.79 | All within normal range |
| HS-SOT equilibrium score ratio (HS/head fixed) | HS-SOT ≥ 0.75 (ground firm/moving) | HS-SOT: 0.91/0.76 | ||
| LOS (RT/MVL) | RT < 0.97 s, MVL > 2.5°/s | RT: 0.70, MVL: 4.6 | ||
| LOS (EPE/MXE/DCL) | EPE > 71%, MXE > 89%, DCL > 65% | EPE: 83, MXE: 105, DCL: 76 | ||
| ADT (toes up/toes down) sway energy score | ADT toes up < 76, ADT toes down < 50 | ADT toes up: 56; ADT toes down: 46 | ||
| MCT (avg. WS backward/forward translations) | WS back: 84–119%; WS for: 82–121% | WS backward: 93, WS forward: 93 | ||
| MCT (composite latency) | latency < 192 ms | latency; 138 | ||
| Video-oculography | Nystagmus (primary pos., head-shaking, pos.-dependent) | No nystagmus | No primary pos./head-shaking/pos.-dep. nystagmus | All within normal range |
| Gaze-holding [eye drift velocity] | Stable gaze holding | No gaze-evoked nystagmus | ||
| Smooth pursuit eye movements [gain] (10–30°/s, 30–60°/s) | Smooth pursuit gain > 0.80 | Smooth pursuit gain: 0.85–0.95 (hor/vert) | ||
| Horizontal saccades [latency, vel., precision] (10/15/30°) | Normal saccade latency, vel, precision | Precise horizontal saccades of normal vel and latency | ||
| Vertical saccades [latency, vel., precision] (10/15/20°) | Normal saccade latency, vel, precision | Precise vertical saccades of normal vel and latency |
Disclaimer/Publisher’s Note: The statements, opinions and data contained in all publications are solely those of the individual author(s) and contributor(s) and not of MDPI and/or the editor(s). MDPI and/or the editor(s) disclaim responsibility for any injury to people or property resulting from any ideas, methods, instructions or products referred to in the content. |
© 2025 by the authors. Published by MDPI on behalf of the Swiss Federation of Clinical Neuro-Societies. Licensee MDPI, Basel, Switzerland. This article is an open access article distributed under the terms and conditions of the Creative Commons Attribution (CC BY) license (https://creativecommons.org/licenses/by/4.0/).
Share and Cite
Tarnutzer, A.A.; Romano, F.; Feddermann-Demont, N.; Scheifele, U.; Piccirelli, M.; Bertolini, G.; Kesselring, J.; Straumann, D. Vestibular Testing Results in a World-Famous Tightrope Walker. Clin. Transl. Neurosci. 2025, 9, 9. https://doi.org/10.3390/ctn9010009
Tarnutzer AA, Romano F, Feddermann-Demont N, Scheifele U, Piccirelli M, Bertolini G, Kesselring J, Straumann D. Vestibular Testing Results in a World-Famous Tightrope Walker. Clinical and Translational Neuroscience. 2025; 9(1):9. https://doi.org/10.3390/ctn9010009
Chicago/Turabian StyleTarnutzer, Alexander A., Fausto Romano, Nina Feddermann-Demont, Urs Scheifele, Marco Piccirelli, Giovanni Bertolini, Jürg Kesselring, and Dominik Straumann. 2025. "Vestibular Testing Results in a World-Famous Tightrope Walker" Clinical and Translational Neuroscience 9, no. 1: 9. https://doi.org/10.3390/ctn9010009
APA StyleTarnutzer, A. A., Romano, F., Feddermann-Demont, N., Scheifele, U., Piccirelli, M., Bertolini, G., Kesselring, J., & Straumann, D. (2025). Vestibular Testing Results in a World-Famous Tightrope Walker. Clinical and Translational Neuroscience, 9(1), 9. https://doi.org/10.3390/ctn9010009

