The Autophagy Creates Balance Mechanism between Apoptosis and Necroptosis: A Scorpion (Mesobuthus Nigrocinctus) Envenomation-Anti-Venom Administration Modelling in Mice †
Abstract
1. Introduction
2. Materials and Methods
3. Results
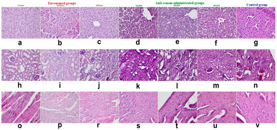
3.1. Histopathological Findings
3.2. Immunohistochemical Findings
4. Discussion and Conclusions
Author Contributions
Acknowledgments
Conflicts of Interest
References
- Walsh, C.M. Grand challenge since death and survival: Apoptosis vs. necroptosis. Front. Cell Dev. Biol. 2014, 2, 1–4. [Google Scholar]
- Lalaoui, N.; Lindqvist, L.M.; Sandow, J.J.; Ekert, P.G. The Molecular Relationships between Apoptosis, Autophagy and Necroptosis. Semin. Cell Dev. Biol. 2015. [Google Scholar] [CrossRef] [PubMed]
- Goodall, M.G.; Filtwalter, B.; Zahedi, S.; Wu, M.; Rodriguez, D.; Mulcahy-Levy, J.M.; Green, D.R.; Morgan, M.; Cramer, S.D.; Thorburn, A. The Autophagy Machinery Controls Cell Death Switching between Apoptosis and Necroptosis. Dev. Cell. 2016, 37, 337–349. [Google Scholar] [CrossRef] [PubMed]
- Béchohra, L.; Laraba-Djebari, F.; Hammoudi-Triki, D. Cytotoxic activity of Androctonus australis hector Venom and Its Toxic Fractions on Human Lung Cancer Cell Line. J. Venom. Anim. Toxins Incl. Trop. Dis. 2016, 22, 29. [Google Scholar] [CrossRef] [PubMed][Green Version]
- Naserzadeh, P.; Mehr, S.N.; Sadabadi, Z.; Seydi, E.; Salimi, A.; Pourahmad, J. Curcumin Protects Mitochondria and Cardiomyocytes from Oxidative Damage and Apoptosis Induced by Hemiscorpius Lepturus Venom. Drug Res. 2018, 68, 113–120. [Google Scholar] [CrossRef] [PubMed]
- Benjamin, D.; Colombi, M.; Moroni, C.; Hall, M.N. Rapamycin Passes the Torch: A New Generation of mTOR Inhibitors. Nat. Rev. Drug Discov. 2011, 10, 868–880. [Google Scholar] [CrossRef] [PubMed]
- Hu, X.; Han, W.; Li, L. Targeting the weak point of cancer by induction of necroptosis. Autophagy 2007, 3, 490–492. [Google Scholar] [CrossRef] [PubMed][Green Version]
- Horita, H.; Frankel, A.E.; Thorburn, A. Acute Myeloid Leukemia-Targeted Toxin Activates Both Apoptotic and Necroptotic Death Mechanisms. PLoS ONE 2008, 3, e3909. [Google Scholar] [CrossRef] [PubMed]
- Sun, L.; Wang, H.; Wang, Z.; He, S.; Chen, S.; Liao, D.; Wang, L.; Yan, J.; Liu, W.; Lei, X. Mixed Lineage Kinase Domain-Like Protein Mediates Necrosis Signaling Downstream of RIP3 Kinase. Cell 2012, 148, 213–227. [Google Scholar] [CrossRef] [PubMed]
- Allan, L.A.; Clarke, P.R. Apoptosis and Autophagy: Regulation of Caspase-9 by Phosphorylation. FEBS J. 2009, 276, 6063–6073. [Google Scholar] [CrossRef] [PubMed]
- Parrish, A.B.; Freel, C.D.; Kornbluth, S. Cellular Mechanism Controlling Caspase Activation and Function. Cold Spring Harb. Perspect. Biol. 2013, 5, a008672. [Google Scholar] [CrossRef] [PubMed]
- Ozkan, O.; Ciftci, G.; Pekmezci, G.Z.; Kar, S.; Uysal, H.; Karaer, K.Z. Proteins, lethality and in vivo effects of Iurus dufoureius asiaticus scorpion venom. Toxicon 2007, 50, 394–399. [Google Scholar] [CrossRef] [PubMed]


Publisher’s Note: MDPI stays neutral with regard to jurisdictional claims in published maps and institutional affiliations. |
© 2018 by the authors. Licensee MDPI, Basel, Switzerland. This article is an open access article distributed under the terms and conditions of the Creative Commons Attribution (CC BY) license (https://creativecommons.org/licenses/by/4.0/).
Share and Cite
Alçığır, M.E.; Özkan, Ö. The Autophagy Creates Balance Mechanism between Apoptosis and Necroptosis: A Scorpion (Mesobuthus Nigrocinctus) Envenomation-Anti-Venom Administration Modelling in Mice. Proceedings 2018, 2, 1523. https://doi.org/10.3390/proceedings2251523
Alçığır ME, Özkan Ö. The Autophagy Creates Balance Mechanism between Apoptosis and Necroptosis: A Scorpion (Mesobuthus Nigrocinctus) Envenomation-Anti-Venom Administration Modelling in Mice. Proceedings. 2018; 2(25):1523. https://doi.org/10.3390/proceedings2251523
Chicago/Turabian StyleAlçığır, Mehmet Eray, and Özcan Özkan. 2018. "The Autophagy Creates Balance Mechanism between Apoptosis and Necroptosis: A Scorpion (Mesobuthus Nigrocinctus) Envenomation-Anti-Venom Administration Modelling in Mice" Proceedings 2, no. 25: 1523. https://doi.org/10.3390/proceedings2251523
APA StyleAlçığır, M. E., & Özkan, Ö. (2018). The Autophagy Creates Balance Mechanism between Apoptosis and Necroptosis: A Scorpion (Mesobuthus Nigrocinctus) Envenomation-Anti-Venom Administration Modelling in Mice. Proceedings, 2(25), 1523. https://doi.org/10.3390/proceedings2251523

