Predictive Artificial Intelligence Model for Detecting Dental Age Using Panoramic Radiograph Images
Abstract
1. Introduction
- Developing a methodology to predict dental age using deep learning techniques to provide an automated method that helps dentists, who are end-users of the system, to apply the appropriate procedures.
- Using real data from Imam Abdulrahman Bin Faisal (IAU) university dental hospital to validate the model and assess its performance and effectiveness.
- Applying pre-processing techniques for the real data in order to achieve a low mean absolute error when applying the models.
- Reducing the dentist’s time and hospital resources’ consumption by using an automated method for predicting dental age.
2. Related Studies
3. Materials and Methods
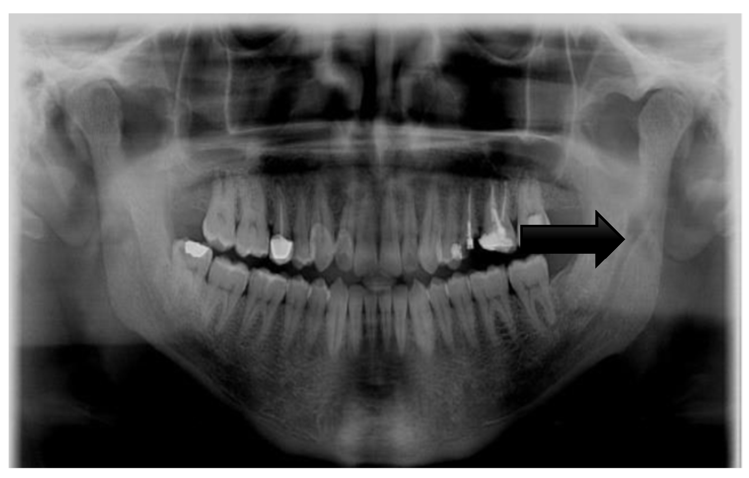
3.1. Dataset Description
3.2. Image Pre-Processing
3.3. Convolutional Neural Network Model
3.3.1. Xception
3.3.2. VGG16
3.3.3. DenseNet121
3.3.4. ResNet50
3.4. Evaluation Methodology
4. Results and Discussion
5. Conclusions
Author Contributions
Funding
Institutional Review Board Statement
Informed Consent Statement
Data Availability Statement
Conflicts of Interest
References
- Maia, M.C.G.; Martins, M.d.G.A.; Germano, F.A.; Neto, J.B.; Silva, C.A.B. da Demirjian’s System for Estimating the Dental Age of Northeastern Brazilian Children. Forensic. Sci. Int. 2010, 200, 177.e1. [Google Scholar] [CrossRef]
- Holzinger, A.; Langs, G.; Denk, H.; Zatloukal, K.; Müller, H. Causability and Explainability of Artificial Intelligence in Medicine. Wiley Interdiscip. Rev. Data Min. Knowl. Discov. 2019, 9, e1312. [Google Scholar] [CrossRef] [PubMed]
- Trocin, C.; Mikalef, P.; Papamitsiou, Z.; Conboy, K. Responsible AI for Digital Health: A Synthesis and a Research Agenda. Inf. Syst. Front. 2021, 1–19. [Google Scholar] [CrossRef]
- Aljabri, M.; Aljameel, S.S.; Min-Allah, N.; Alhuthayfi, J.; Alghamdi, L.; Alduhailan, N.; Alfehaid, R.; Alqarawi, R.; Alhareky, M.; Shahin, S.Y.; et al. Canine Impaction Classification from Panoramic Dental Radiographic Images Using Deep Learning Models. Inform. Med. Unlocked 2022, 30, 100918. [Google Scholar] [CrossRef]
- Thurzo, A.; Urbanová, W.; Novák, B.; Czako, L.; Siebert, T.; Stano, P.; Mareková, S.; Fountoulaki, G.; Kosnáčová, H.; Varga, I. Where Is the Artificial Intelligence Applied in Dentistry? Systematic Review and Literature Analysis. Healthcare 2022, 10, 1269. [Google Scholar] [CrossRef] [PubMed]
- Kim, S.; Lee, Y.H.; Noh, Y.K.; Park, F.C.; Auh, Q.S. Age-Group Determination of Living Individuals Using First Molar Images Based on Artificial Intelligence. Sci. Rep. 2021, 11, 1073. [Google Scholar] [CrossRef] [PubMed]
- Mualla, N.; Houssein, E.H.; Hassan, M.R. Dental Age Estimation Based on X-Ray Images. Comput. Mater. Contin. 2020, 62, 591–605. [Google Scholar] [CrossRef]
- Farhadian, M.; Salemi, F.; Saati, S.; Nafisi, N. Dental Age Estimation Using the Pulp-to-Tooth Ratio in Canines by Neural Networks. Imaging Sci. Dent. 2019, 49, 19–26. [Google Scholar] [CrossRef]
- Galibourg, A.; Cussat-Blanc, S.; Dumoncel, J.; Telmon, N.; Monsarrat, P.; Maret, D. Comparison of Different Machine Learning Approaches to Predict Dental Age Using Demirjian’s Staging Approach. Int. J. Leg. Med. 2021, 135, 665–675. [Google Scholar] [CrossRef]
- Tao, J.; Wang, J.; Wang, A.; Xie, Z.; Wang, Z.; Wu, S.; Hassanien, A.E.; Xiao, K. Dental Age Estimation: A Machine Learning Perspective. In International Conference on Advanced Machine Learning Technologies and Applications; Springer: Cham, Switzerland, 2020; pp. 722–733. [Google Scholar]
- Tao, J.; Chen, M.; Wang, J.; Liu, L.; Hassanien, A.E.; Xiao, K. Dental Age Estimation in East Asian Population with Least Squares Regression. In International Conference on Advanced Machine Learning Technologies and Applications; Springer: Cham, Switzerland, 2018; pp. 653–660. [Google Scholar]
- Saric, R.; Kevric, J.; Hadziabdic, N.; Osmanovic, A.; Kadic, M.; Saracevic, M.; Jokic, D.; Rajs, V. Dental Age Assessment Based on CBCT Images Using Machine Learning Algorithms. Forensic. Sci. Int. 2022, 334, 111245. [Google Scholar] [CrossRef]
- García, S.; Ramírez-Gallego, S.; Luengo, J.; Benítez, J.M.; Herrera, F. Big Data Preprocessing: Methods and Prospects. Big Data Anal. 2016, 1, 9. [Google Scholar] [CrossRef]
- Alzubaidi, L.; Zhang, J.; Humaidi, A.J.; Al-Dujaili, A.; Duan, Y.; Al-Shamma, O.; Santamaría, J.; Fadhel, M.A.; Al-Amidie, M.; Farhan, L. Review of Deep Learning: Concepts, CNN Architectures, Challenges, Applications, Future Directions. J. Big Data 2021, 8, 53. [Google Scholar] [CrossRef] [PubMed]
- Xie, W.; Li, Z.; Xu, Y.; Gardoni, P.; Li, W. Evaluation of Different Bearing Fault Classifiers in Utilizing CNN Feature Extraction Ability. Sensors 2022, 22, 3314. [Google Scholar] [CrossRef]
- Daradkeh, M.; Abualigah, L.; Atalla, S.; Mansoor, W. Scientometric Analysis and Classification of Research Using Convolutional Neural Networks: A Case Study in Data Science and Analytics. Electronics 2022, 11, 2066. [Google Scholar] [CrossRef]
- Kong, J.; Wang, H.; Yang, C.; Jin, X.; Zuo, M.; Zhang, X. A Spatial Feature-Enhanced Attention Neural Network with High-Order Pooling Representation for Application in Pest and Disease Recognition. Agriculture 2022, 12, 500. [Google Scholar] [CrossRef]
- Novac, O.-C.; Chirodea, M.C.; Novac, C.M.; Bizon, N.; Oproescu, M.; Stan, O.P.; Gordan, C.E. Analysis of the Application Efficiency of TensorFlow and PyTorch in Convolutional Neural Network. Sensors 2022, 22, 8872. [Google Scholar] [CrossRef] [PubMed]
- Piekarski, M.; Jaworek-Korjakowska, J.; Wawrzyniak, A.I.; Gorgon, M. Convolutional Neural Network Architecture for Beam Instabilities Identification in Synchrotron Radiation Systems as an Anomaly Detection Problem. Measurement 2020, 165, 108116. [Google Scholar] [CrossRef]
- Kaur, M.; Singh, D. Multi-Modality Medical Image Fusion Technique Using Multi-Objective Differential Evolution Based Deep Neural Networks. J. Ambient. Intell. Humaniz. Comput. 2021, 12, 2483–2493. [Google Scholar] [CrossRef] [PubMed]
- Rao, B.S. Accurate Leukocoria Predictor Based on Deep VGG-Net CNN Technique. IET Image Process. 2020, 14, 2241–2248. [Google Scholar] [CrossRef]
- Ewe, E.L.R.; Lee, C.P.; Kwek, L.C.; Lim, K.M. Hand Gesture Recognition via Lightweight VGG16 and Ensemble Classifier. Appl. Sci. 2022, 12, 7643. [Google Scholar] [CrossRef]
- Li, Z.; Zhu, J.; Xu, X.; Yao, Y. RDense: A Protein-RNA Binding Prediction Model Based on Bidirectional Recurrent Neural Network and Densely Connected Convolutional Networks. IEEE Access 2020, 8, 14588–14605. [Google Scholar] [CrossRef]
- Ogundokun, R.O.; Maskeliūnas, R.; Misra, S.; Damasevicius, R. A Novel Deep Transfer Learning Approach Based on Depth-Wise Separable CNN for Human Posture Detection. Information 2022, 13, 520. [Google Scholar] [CrossRef]
- Liu, T.; Chen, T.; Niu, R.; Plaza, A. Landslide Detection Mapping Employing CNN, ResNet, and DenseNet in the Three Gorges Reservoir, China. IEEE J. Sel. Top. Appl. Earth Obs. Remote Sens. 2021, 14, 11417–11428. [Google Scholar] [CrossRef]
- Roumpakias, E.; Stamatelos, T. Prediction of a Grid-Connected Photovoltaic Park’s Output with Artificial Neural Networks Trained by Actual Performance Data. Appl. Sci. 2022, 12, 6458. [Google Scholar] [CrossRef]








| Attribute | Data Type | Description |
|---|---|---|
| Input image | Panoramic Radiograph | 2D Panoramic Radiograph images |
| Age | Numerical | The DA of the patient |
| Gender | Categorical | The gender of the patient |
| Stages of teeth development | Categorical | Stages of the seven left lower mandibular teeth |
| Metric | Metric Name | Formula |
|---|---|---|
| MSE | Mean Square Error | |
| RMSE | Root Mean Square Error | |
| MAE | Mean Absolute Error |
| Experiment | Model | Loss | MAE | MSE | RMSE |
|---|---|---|---|---|---|
| 1 | ResNet50 | 3.9396 | 1.5633 | 3.9396 | 2.0281 |
| 2 | ResNet50 | 3.0127 | 1.4429 | 3.0127 | 1.6935 |
| 3 | Xception | 3.0384 | 1.4173 | 3.0384 | 1.7498 |
| 4 | VGG16 | 1.2400 | 0.6915 | 1.2400 | 1.0009 |
| 5 | VGG16 | 1.2703 | 0.9499 | 1.2703 | 1.1271 |
Disclaimer/Publisher’s Note: The statements, opinions and data contained in all publications are solely those of the individual author(s) and contributor(s) and not of MDPI and/or the editor(s). MDPI and/or the editor(s) disclaim responsibility for any injury to people or property resulting from any ideas, methods, instructions or products referred to in the content. |
© 2023 by the authors. Licensee MDPI, Basel, Switzerland. This article is an open access article distributed under the terms and conditions of the Creative Commons Attribution (CC BY) license (https://creativecommons.org/licenses/by/4.0/).
Share and Cite
Aljameel, S.S.; Althumairy, L.; Albassam, B.; Alsheikh, G.; Albluwi, L.; Althukair, R.; Alhareky, M.; Alamri, A.; Alabdan, A.; Shahin, S.Y. Predictive Artificial Intelligence Model for Detecting Dental Age Using Panoramic Radiograph Images. Big Data Cogn. Comput. 2023, 7, 8. https://doi.org/10.3390/bdcc7010008
Aljameel SS, Althumairy L, Albassam B, Alsheikh G, Albluwi L, Althukair R, Alhareky M, Alamri A, Alabdan A, Shahin SY. Predictive Artificial Intelligence Model for Detecting Dental Age Using Panoramic Radiograph Images. Big Data and Cognitive Computing. 2023; 7(1):8. https://doi.org/10.3390/bdcc7010008
Chicago/Turabian StyleAljameel, Sumayh S., Lujain Althumairy, Basmah Albassam, Ghoson Alsheikh, Lama Albluwi, Reem Althukair, Muhanad Alhareky, Abdulaziz Alamri, Afnan Alabdan, and Suliman Y. Shahin. 2023. "Predictive Artificial Intelligence Model for Detecting Dental Age Using Panoramic Radiograph Images" Big Data and Cognitive Computing 7, no. 1: 8. https://doi.org/10.3390/bdcc7010008
APA StyleAljameel, S. S., Althumairy, L., Albassam, B., Alsheikh, G., Albluwi, L., Althukair, R., Alhareky, M., Alamri, A., Alabdan, A., & Shahin, S. Y. (2023). Predictive Artificial Intelligence Model for Detecting Dental Age Using Panoramic Radiograph Images. Big Data and Cognitive Computing, 7(1), 8. https://doi.org/10.3390/bdcc7010008

