Next Issue
Volume 70, June
Previous Issue
Volume 69, December
 
 
Due to scheduled maintenance work on our servers, there may be short service disruptions on this website between 11:00 and 12:00 CEST on March 28th.
Journal of Gerontology and Geriatrics is published by MDPI from Volume 74 Issue 1 (2026). Previous articles were published by another publisher in Open Access under a CC-BY (or CC-BY-NC-ND) licence, and they are hosted by MDPI on mdpi.com as a courtesy and upon agreement with Pacini Editore.

J. Gerontol. Geriatr., Volume 70, Issue 1 (March 2022) – 12 articles , Pages 1-98

  • Issues are regarded as officially published after their release is announced to the table of contents alert mailing list.
  • You may sign up for e-mail alerts to receive table of contents of newly released issues.
  • PDF is the official format for papers published in both, html and pdf forms. To view the papers in pdf format, click on the "PDF Full-text" link, and use the free Adobe Reader to open them.
Order results
Result details
Section
Select all
Export citation of selected articles as:
135 KB  
Commentary
Disentangling the impact of COVID-19 infection on clinical outcomes and preventive strategies in older persons: an Italian perspective
by Angela Marie Abbatecola, Raffaele Antonelli Incalzi, Alba Malara, Annapina Palmieri, Anna Di Lonardo, Gilda Borselli, Marcello Russo, Marianna Noale, Stefano Fumagalli, Pietro Gareri, Enrico Mossello, Caterina Trevisan, Stefano Volpato, Fabio Monzani, Alessandra Coin, Giuseppe Bellelli, Chukwuma Okoye, Susanna Del Signore, Gianluca Zia, Elisa Bottoni, Carmine Cafariello, Graziano Onder, GeroCovid Observational and GeroCovid Vax Groupadd Show full author list remove Hide full author list
J. Gerontol. Geriatr. 2022, 70(1), 88-98; https://doi.org/10.36150/2499-6564-N440 - 30 Nov 2021
Cited by 10 | Viewed by 81
Abstract
Italy was one of the first western countries to embrace the first wave of COVID-19 and undergo detrimental outcomes in older adults in different clinical settings, especially in those with comorbidity and frailty. In addition, older nursing home (NH) residents had significantly higher [...] Read more.
Italy was one of the first western countries to embrace the first wave of COVID-19 and undergo detrimental outcomes in older adults in different clinical settings, especially in those with comorbidity and frailty. In addition, older nursing home (NH) residents had significantly higher mortality rates most likely due to the increased susceptibility of infection due to combined physical vulnerability and risks linked to the NH living environment itself. Full article
61 KB  
Editorial
“I am the hotel doctor”
by Nicola Acampora, Roberto Bernabei and Christian Barillaro
J. Gerontol. Geriatr. 2022, 70(1), 86-87; https://doi.org/10.36150/2499-6564-N366 - 31 Oct 2021
Viewed by 24
Abstract
The COVID-19 pandemic has forced us to define new care models in order to ensure continuity of care, facing new individual and public health needs. Medicalized Hotel Facility for self-sufficient COVID patients (COVID Hotel) is a new care model introduced in many countries [...] Read more.
The COVID-19 pandemic has forced us to define new care models in order to ensure continuity of care, facing new individual and public health needs. Medicalized Hotel Facility for self-sufficient COVID patients (COVID Hotel) is a new care model introduced in many countries to face the spread of contagions and the consequent need to implement effective isolation strategies. In our experience the Hotel has given hospitality to people from the most disparate territorial settings and with a great variety of health care needs (physical, psychological, social and spiritual). Although COVID is in most cases a self-limiting acute viral disease, in a pandemic context, comprehensive geriatric assessment has proven to be particularly appropriate for the management of the COVID Hotel, also in the approach to younger patients. Full article
283 KB  
Review
Age discrimination in delivery of health services to old people during COVID-19 pandemic: a scoping review study
by Seyede Shahrbanoo Daniali, Majid Rahimi and Shahin Salarvand
J. Gerontol. Geriatr. 2022, 70(1), 68-82; https://doi.org/10.36150/2499-6564-N415 - 31 Oct 2021
Cited by 10 | Viewed by 56
Abstract
Age discrimination causes many consequences and complications in old people as a high-risk group. With the outbreak of the COVID-19 pandemic, delivery of care and treatment services to old people has become a major challenge. The present study aimed to synthesize and summarize [...] Read more.
Age discrimination causes many consequences and complications in old people as a high-risk group. With the outbreak of the COVID-19 pandemic, delivery of care and treatment services to old people has become a major challenge. The present study aimed to synthesize and summarize the conditions of discrimination in the delivery of health services to old people during the COVID-19 pandemic. A scoping review was performed using Arkesy and O’Malley’s framework. PUBMED, Scopus, Web of Science, Embase, ProQuest, Science direct, SPRINGER, and Wiley databases were searched using the related keywords. Out of 246 retrieved studies, 21 published studies related to ageism toward old people in the delivery of healthcare services to old people during the COVID-19 pandemic were examined. Most of the published reports were from European countries and the United States. Although they indicated a growing trend of anti-aging attitudes, there were some positive behaviors toward them. Promotion of anti-aging culture, discriminatory guidelines and decisions and feeling of insignificance by the old people themselves may be associated with the condition of discrimination against them. The articles were related to limited countries. Owing to discriminatory behaviors in the delivery of health services to old people, it is necessary for health policy-makers to develop protocols on the delivery of healthcare services to this group transparently to minimize harm, enhance positive behaviors toward this group, and train healthcare providers and old people. Full article
Show Figures

Figure 1

127 KB  
Review
Geriatric rehabilitation during COVID-19: a lesson learned
by Irma Ruslina Defi, Ertania Nirmala and Yustia Annisaa Thaharoh
J. Gerontol. Geriatr. 2022, 70(1), 58-67; https://doi.org/10.36150/2499-6564-N355 - 31 Oct 2021
Cited by 2 | Viewed by 32
Abstract
Severe acute respiratory syndrome coronavirus 2 (SARS-CoV-2) is a new strain of coronavirus that causes coronavirus disease 2019 (COVID-19) infection and is responsible for a deadly pandemic. The elderly population have a high risk to be infected by COVID-19 and tend to have [...] Read more.
Severe acute respiratory syndrome coronavirus 2 (SARS-CoV-2) is a new strain of coronavirus that causes coronavirus disease 2019 (COVID-19) infection and is responsible for a deadly pandemic. The elderly population have a high risk to be infected by COVID-19 and tend to have worse outcomes compared to adult population. Elderly patients also have higher comorbidity than the whole population. Therefore, management of COVID-19 in the elderly needs special attention in terms of regarding drug doses, drug interactions, and side effects of the drugs given. Approach from Physical Medicine and Rehabilitation (PM&R) in elderly population known as Geriatric Rehabilitation is required for COVID-19 because PM&R will go through all phases of treatment during the acute, sub-acute, and long-term care phases. The targets are relieving symptoms, assisting in the mechanical ventilation weaning process, preventing decondition of the airway and other organ systems, and managing psychosocial aspects, especially in the vulnerable and high-risk elderly population. The geriatric rehabilitation approach to COVID-19 patients resulted in improved functional prognosis, optimized role of function, and improved Quality of Life. Full article
124 KB  
Article
The personhood in patients with dementia assessed in Italian healthcare professionals: an explorative study
by Maicol Carvello, Elsa Vitale, Melissa Babini, Luana Conte, Roberto Lupo and Ivan Rubbi
J. Gerontol. Geriatr. 2022, 70(1), 50-57; https://doi.org/10.36150/2499-6564-N400 - 31 Oct 2021
Cited by 2 | Viewed by 34
Abstract
The present study aimed to evaluate the differences in the assessment of Personhood in patients with dementia according to professional profiles and years of work experience among Italian healthcare professionals directly involved in the care of patients with dementia. In addition, the correlation [...] Read more.
The present study aimed to evaluate the differences in the assessment of Personhood in patients with dementia according to professional profiles and years of work experience among Italian healthcare professionals directly involved in the care of patients with dementia. In addition, the correlation between the conferral of personhood and the fundamental determinants of the Montessori method applied to Dementia was also investigated. The study was observational, cross-sectional, and multicenter. Data were collected through the online administration of the Personhood in Dementia Questionnaire, between July and September 2020, in residential facilities for the elderly in two Italian regions: Emilia-Romagna and Puglia. 98 participants were recruited. Of these, 73(74.5%) were social health workers (SHW) and 25(25.5%) were nurses; 40.8% of the participants have worked with people with dementia for less than 5 years, while 59.2% worked for more than 6 years. No statistically significant differences in the domains between both professions and years of service were registered. Moreover, significance calculations on the domains, found no significant differences between both professionals and the years of experience. However, the Socialization/Montessori method domain showed the highest grading of agreement at 58.8% (n = 346), followed by Self-awareness in the person with dementia at 50.6% (n = 258) and Concept of person and community at < 50%. Finally, the PDQ correlation to the three organizational panel questions were also performed by also considering other three questions. Patients with dementia might be considered a resource for the healthcare professions. Our results evidence the need for structure training courses in permanent residential facilities, with the goal of increasing the level of knowledge about the subject of personhood, dementia and the benefits of applying Montessori models. Full article
352 KB  
Article
Verification of the causes of and countermeasures for falls using fall assessment score sheets in a municipal hospital
by Mana Shibata, Akihiro Isoda, Tomoko Ogasawara, Kaneko Satio and Yutaka Inoue
J. Gerontol. Geriatr. 2022, 70(1), 40-49; https://doi.org/10.36150/2499-6564-N398 - 31 Oct 2021
Cited by 2 | Viewed by 29
Abstract
This study aimed to examine the causes and countermeasures concerning falls through evaluating patient falls assessment score sheets at admission and retrospectively examining medication use and biochemical evaluation results. The medical records of patients hospitalized for 11 months from April 2018 to March [...] Read more.
This study aimed to examine the causes and countermeasures concerning falls through evaluating patient falls assessment score sheets at admission and retrospectively examining medication use and biochemical evaluation results. The medical records of patients hospitalized for 11 months from April 2018 to March 2019 were reviewed anonymously on the basis of medical safety and the safety of medical supplies, and the number of falls was determined. Moreover, the cause and number of falls were reviewed retrospectively based on patient falls assessment score sheets. On assessment of the causes of falls during hospitalization, activity restrictions were noted and physical restraints had been implemented to assist with activities of daily living due to suspected frailty syndrome. As a result of the evaluation of the fall assessment score sheet, 256 patients (90.5%) were aged 65 years or older, and most of the hospitalized patients were elderly. Regarding the history of falls, the number of males aged 65 years or older (136 patients) with a history of falls was approximately 2.7 times that of those without a history (99 patients), and the number of female patients (120 patients) with a history of falls was twice that of those without a history of falls (80 patients). As fall assessment items, it was confirmed that needing assistance for elimination, patient use of accessories, IVs, gastric tubes, drains, and use of wheelchair toilets contributed to the cause of falls. Biochemical evaluations indicated that patients categorized as underweight, based on their body mass index, had lower total protein, albumin, and hemoglobin levels than obese patients. To reduce the occurrence of falls, a patient’s nutritional status and muscle mass should be considered using a falls assessment score sheet at admission. Furthermore, falls may be prevented through evaluating a patient’s nutritional status from a biochemical perspective. Full article
Show Figures

Figure 1

186 KB  
Article
Pain management, activities of daily living and the assessment of the WHOQOL-OLD module: results of a cross-sectional analysis of a cohort of older men with oncological diagnoses
by Diego Chambergo-Michilot, Rodrigo Corcuera-Ciudad, Fernando M. Runzer-Colmenares, Ana Patricia Navarrete-Reyes and José F. Parodi
J. Gerontol. Geriatr. 2022, 70(1), 31-39; https://doi.org/10.36150/2499-6564-N395 - 31 Oct 2021
Cited by 1 | Viewed by 30
Abstract
Cancer represents a major public health problem worldwide, especially in the older adult population which is increasing rapidly. Previous studies show that the majority of older adults with cancer report poor health-related quality of life (QoL) and that up to 90% of patients [...] Read more.
Cancer represents a major public health problem worldwide, especially in the older adult population which is increasing rapidly. Previous studies show that the majority of older adults with cancer report poor health-related quality of life (QoL) and that up to 90% of patients with metastases or terminal stage disease complain of pain at some point. Nevertheless, the impact of pain and disability on highly important aspects of older adults’ health, such as intimacy or the perception of autonomy, has been scarcely studied. Full article
Show Figures

Figure 1

144 KB  
Article
Examining the Area Agencies on Aging nutrition program in response to the COVID-19
by Fang Fang
J. Gerontol. Geriatr. 2022, 70(1), 25-30; https://doi.org/10.36150/2499-6564-N383 - 31 Oct 2021
Cited by 1 | Viewed by 25
Abstract
Background & aims. During the COVID-19 pandemic in the U.S., Area Agencies on Aging (AAA) became an essential source for older adults to maintain a healthy life after social isolation. It has developed different programs in response to the COVID-19 outbreak, such as [...] Read more.
Background & aims. During the COVID-19 pandemic in the U.S., Area Agencies on Aging (AAA) became an essential source for older adults to maintain a healthy life after social isolation. It has developed different programs in response to the COVID-19 outbreak, such as home delivered meals to support older adults’ nutrition supply. The purpose of this study was to examine how well AAA has managed such important nutrition plans facing the COVID-19 changes. Methods. We integrated three databases, including 49 weeks (6 April 2020-14 March 2021) 33 Planning and Service Area (PSA) meal data, PSAs’ key characteristics from the California Department of Aging, and the COVID-19 cases from the California Department of Public Health. We examined the association between the number of meals and people served and the COVID-19 cases and PSA features, using the univariate analysis and the random effect model. Results. We observed a positive relationship between the number of meals served and the number of the COVID-19 cases, however, not the number of people served. We found a negative relationship between the number of rural older adults with both the number of meals served and people served. Additionally, non-English-speaking and minority played a positive and negative role respectively as to the number of meals served. Conclusions. These results indicated that the AAA should cover a wider population, especially in rural areas experiencing a shortage of volunteers in the pandemic, urging the collaboration with high-tech and third-party companies to improve delivery efficiency. Full article
Show Figures

Figure 1

358 KB  
Case Report
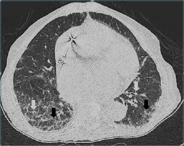
Radiographic pulmonary description of bilateral multifocal patchy with ground-glass opacifications needs careful evaluation in the Era of SARS-CoV-2
by Sara Gabriele, Sergio Minervini, Roberto Schepisi, Mariana Peroni, Marlene Dall’alda, Daniela Broch, Domenico Recchi, Daniele Longo, Marco Camin and Renzo Girardello
J. Gerontol. Geriatr. 2022, 70(1), 83-85; https://doi.org/10.36150/2499-6564-N324 - 28 Sep 2021
Cited by 1 | Viewed by 22
Abstract
In the COVID-19 Era, multilobe ground-glass opacities (GGOs) and septal thickening on chest Computed Tomography (CT) have been recognized as a radiological finding highly suggestive for SARS-CoV-2 pneumonia. However, these findings can be misleading. Here, we report about an 81-year-old woman, evaluated in [...] Read more.
In the COVID-19 Era, multilobe ground-glass opacities (GGOs) and septal thickening on chest Computed Tomography (CT) have been recognized as a radiological finding highly suggestive for SARS-CoV-2 pneumonia. However, these findings can be misleading. Here, we report about an 81-year-old woman, evaluated in the Emergency Room (ER) for a traumatic hip fracture, who, despite negative molecular testing on the nasopharyngeal sample for SARS-CoV-2, was admitted to a COVID-Unit because of flu-like symptoms with GGOs and interlobular septal thickening on the chest CT. During the hospital stay, focusing on the patient’s medical history, the interstitial lung disease was defined to be a chronic complication of long-term use of Amiodarone and rheumatoid arthritis. Therefore, especially during SARS global pandemic, CT pathological findings suggestive for interstitial pneumopathy should be critically analyzed considering patient history. They can reflect, in fact, other pathological conditions different from SARS-CoV-2 infection as other viral and non-viral infections or chronic inflammatory diseases. Full article
Show Figures

Figure 1

229 KB  
Article
Evaluation of the relationship between lower urinary tract symptoms and fall risks in male patients over 65 years old
by Saliha Buşra Aksu, Güzin Zeren Öztürk, Memet Taşkın Egici and Cüneyt Ardıç
J. Gerontol. Geriatr. 2022, 70(1), 17-24; https://doi.org/10.36150/2499-6564-N359 - 28 Sep 2021
Viewed by 39
Abstract
Objective. In our study, we aimed to evaluate the relationship between LUTS and fall risk in patients over 65 years old. Methods. 183 people over 65 years old who attended to Health Sciences University Şişli Hamidiye Etfal Training and Research Hospital Family Medicine [...] Read more.
Objective. In our study, we aimed to evaluate the relationship between LUTS and fall risk in patients over 65 years old. Methods. 183 people over 65 years old who attended to Health Sciences University Şişli Hamidiye Etfal Training and Research Hospital Family Medicine Polyclinics and Recep Tayyip Erdoğan University Family Medicine Polyclinics between February 2017-May 2017 were included in the study and ‘Individual Presentation Form’ prepared by the researcher questioning socio-demographic characteristics was applied to the participants by face-to-face questioning method, International Prostate Symptom Score (IPSS) and Morse Fall Scale (MFS) were completed afterwards and ROC analysis of IPSS was performed for those who have high risk in terms of MFS. Results. When evaluating the relationship between MFS and IPSS, we observed that as all subscores and total score of IPSS increased, the MFS score increased. The MFS scores of the participants whose IPSS classification was evaluated as severe were found to be significantly higher. ROC analysis of IPSS was performed for those who have high risk in terms of MFS. It was found that area under curve is 78.4%, and those with an IPSS of 13.5 and above show a high fall risk with 71.4% sensitivity and 70% specificity. Conclusions. In our study, we found that as the IPSS of the participants increased, the risk of falling increased. Moreover, we found that age, occupation type, type and number of chronic diseases were effective in both fall and IPSS. In addition to LUTS screening in males, evaluation should be done for the risk of falling. Full article
Show Figures

Figure 1

135 KB  
Article
Determinants of physical function in community dwelling old people
by Olöf G. Geirsdottir, Milan Chang, Kristin Briem, Pálmi V. Jonsson, Inga Thorsdottir and Alfonso Ramel
J. Gerontol. Geriatr. 2022, 70(1), 9-16; https://doi.org/10.36150/2499-6564-N261 - 28 Sep 2021
Cited by 1 | Viewed by 28
Abstract
Background. Poor physical function is associated with disability and mortality in old people. Objectives. The aim was to find determinants of physical function in old people. Design. Secondary, cross-sectional analysis. Setting. Community in the Reykjavik, Iceland. Participants. 236 old people (73.7 ± 5.7 [...] Read more.
Background. Poor physical function is associated with disability and mortality in old people. Objectives. The aim was to find determinants of physical function in old people. Design. Secondary, cross-sectional analysis. Setting. Community in the Reykjavik, Iceland. Participants. 236 old people (73.7 ± 5.7 years, 58.2% female). Measurements. Timed-up-and-go (TUG), six-minute-walk-for-distance (6MWD), anthropometrics, quadriceps strength, dietary intake, mini-mental-state-examination (MMSE), leisure-time physical activity (LTPA) and blood variables were assessed. Descriptive, bivariate and multivariate statistical analyses were used. Results. There were differences between men and women in energy intake, body composition and muscular strength, but physical function did not differ between men and women. In bivariate analysis, most of the assessed variables correlated with 6MWD and TUG. Stepwise linear models showed that age, body composition, strength, medication, LTPA and MMSE were predictors of physical function but not hematological variables. The association between MMSE and function disappeared when corrected for strength/body weight. Results were similar for both 6MWD and TUG and the strongest predictors in the final models were age and quadriceps strength/body weight. Conclusions. In community dwelling old people, physical function decreases with age. However, it is of clinical relevance that there are modifiable determinants of physical function, in particular strength for a given body weight, LTPA and number of medications, which represent potential targets to maintain physical function in this age group. Our results also indicate that neither cognitive function, nor dietary intake nor blood chemical variables were independently associated with physical function. Full article
193 KB  
Article
Functional mobility in older women with and without motoric cognitive risk syndrome: a quantitative assessment using wearable inertial sensors
by Massimiliano Pau, Ilaria Mulas, Valeria Putzu, Gesuina Asoni, Daniela Viale, Irene Mameli and Gilles Allali
J. Gerontol. Geriatr. 2022, 70(1), 1-8; https://doi.org/10.36150/2499-6564-N259 - 28 Sep 2021
Cited by 5 | Viewed by 37
Abstract
Background. The Motoric Cognitive Risk (MCR) syndrome is defined in non-demented older adults by cognitive complaints and slow gait. Individuals with MCR are at higher risk of dementia and other poor clinical outcomes, such as falls. However, no data are available as regards [...] Read more.
Background. The Motoric Cognitive Risk (MCR) syndrome is defined in non-demented older adults by cognitive complaints and slow gait. Individuals with MCR are at higher risk of dementia and other poor clinical outcomes, such as falls. However, no data are available as regards functional mobility alterations associated with MCR. The main purpose of the present study is to quantitatively investigate such an aspect using the instrumented Timed-Up-and-Go (iTUG) test carried out using a wearable inertial measurement unit (IMU). Methods. Fifty-one women aged over 65 years underwent a geriatric and neuropsychologic assessment (which included the Mini Mental State Examination, MMSE and Addenbrooke’s Cognitive Examination Revised, ACE-R), instrumented gait analysis and iTUG performed using an IMU located on the lower back. Based on subjective cognitive complaints and slow gait, they were assigned either to the MCR (n = 24) or non-MCR (n = 27) group. IMU data allowed calculation of overall and sub-phases iTUG times. Results. Women with MCR were characterized by a significantly higher body mass and body mass index, lower normalized handgrip strength, and similar values of MMSE compared to non-MCRs. A trend was observed in terms of lower overall and sub-domain ACE-R score. They also performed iTUG at a significantly slower speed (22.4 s vs 14.1 of the non-MCR group, p < 0.001) and exhibited increased sub-phase times (29 to 31% higher with respect to non-MCRs). Conclusions. The findings of the present study suggest that the MCR syndrome impairs functional mobility, probably due reduced muscular strength and coordination, fear of falling and increased instability. The instrumental evaluation of functional mobility appears useful in the management of women with MCR, particularly in monitoring the progression of the motor impairments, verifying the effectiveness of interventions targeted in alleviating the impact on daily life of mobility limitations associated with MCR and in defining tailored rehabilitation programs. Full article
Show Figures

Previous Issue
Next Issue
Back to TopTop