A Rare Case of Imported Cutaneous Leishmaniasis Caused by Leishmania infantum in the Republic of Korea, 2021
Abstract
1. Introduction
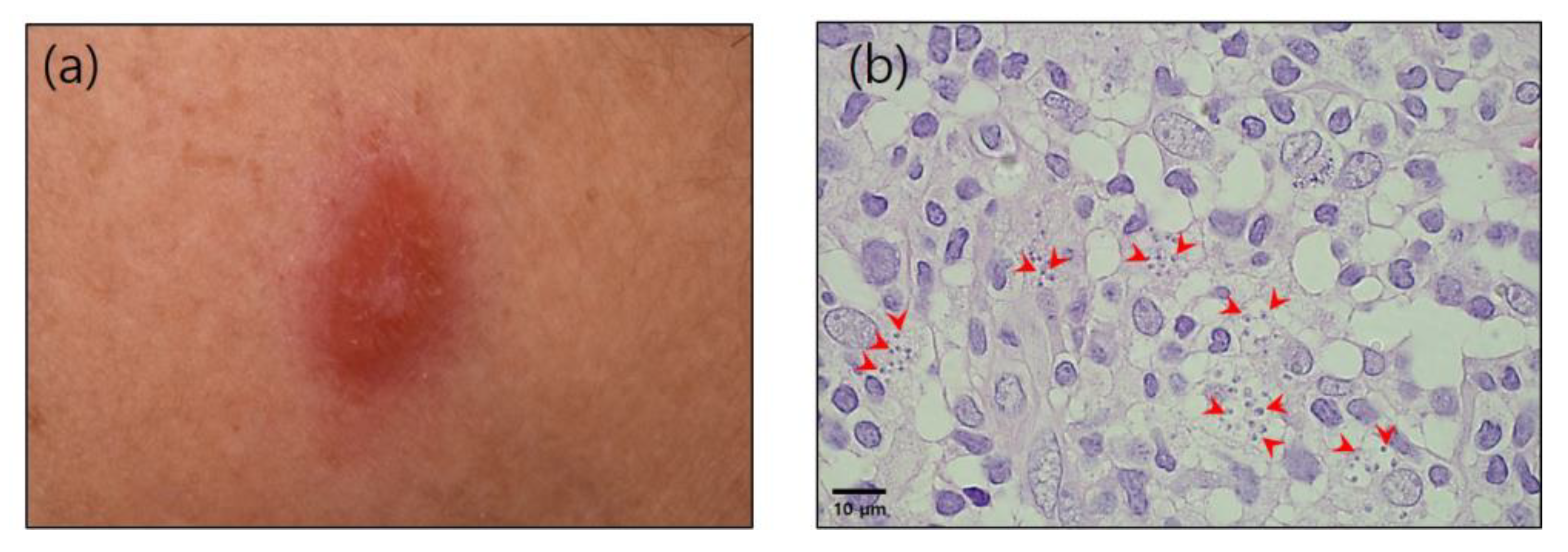
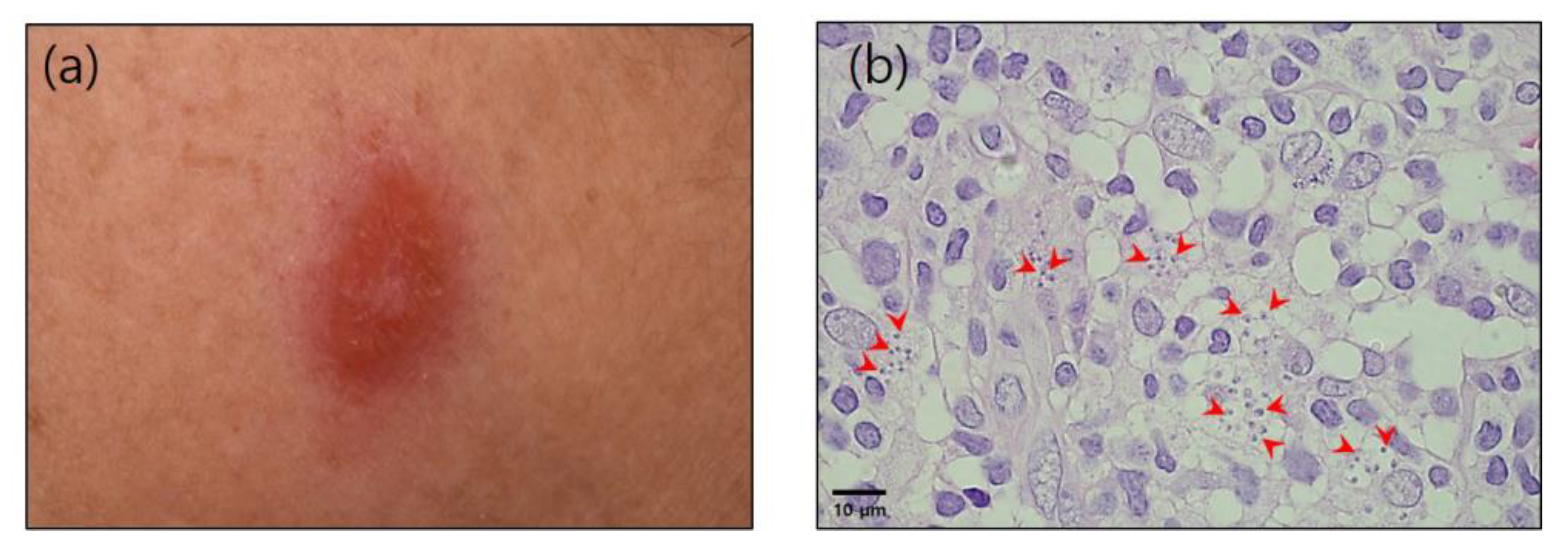
2. Case Presentation
3. Discussion
4. Conclusions
Author Contributions
Funding
Institutional Review Board Statement
Informed Consent Statement
Data Availability Statement
Conflicts of Interest
References
- Global Leishmaniasis Surveillance. A Baseline for the 2030 Road Map. Available online: https://www.who.int/publications/i/item/who-wer9635-401-419 (accessed on 3 September 2021).
- Nazzaro, G.; Rovaris, M.; Veraldi, S. Leishmaniasis: A disease with many names. JAMA Dermatol. 2014, 150, 1204. [Google Scholar] [CrossRef]
- Torres-Guerrero, E.; Quintanilla-Cedillo, M.R.; Ruiz-Esmenjaud, J.; Arenas, R. Leishmaniasis: A review. F1000Research 2017, 6, 750. [Google Scholar] [CrossRef]
- del Giudice, P.; Marty, P.; Lacour, J.P.; Perrin, C.; Pratlong, F.; Haas, H.; Dellamonica, P.; Le Fichoux, Y. Cutaneous leishmaniasis due to Leishmania infantum. Case reports and literature review. Arch. Dermatol. 1998, 134, 193–198. [Google Scholar] [CrossRef]
- Campino, L.; Pratlong, F.; Abranches, P.; Rioux, J.A.; Santos-Gomes, G.; Alves-Pires, C.; Cortes, S.; Ramada, J.; Cristovão, J.M.; Afonso, M.O.; et al. Leishmaniasis in Portugal: Enzyme polymorphism of Leishmania infantum based on the identification of 213 strains. Trop. Med. Int. Health 2006, 11, 1708–1714. [Google Scholar] [CrossRef] [PubMed]
- Pace, D.; Williams, T.N.; Grochowska, A.; Betts, A.; Attard-Montalto, S.; Boffa, M.J.; Vella, C. Manifestations of paediatric Leishmania infantum infections in Malta. Travel Med. Infect. Dis. 2011, 9, 37–46. [Google Scholar] [CrossRef] [PubMed][Green Version]
- Heu, I.M. Three Cases of Kala-Azar, Especially on the Various Serologic Reaction. Korean J. Intern. Med. 1952, 1, 118–121. [Google Scholar]
- Yoo, T.Y.; Chang, B.K.; Lee, S.H. Two Cases of Cutaneous Leishmaniasis. Korean J. Dermatol. 1978, 16, 447–486. [Google Scholar]
- Kim, H.J.; Shin, D.H.; Kim, Y.W. Five Cases of Cutaneous Leishmaniasis. Korean J. Dermatol. 1984, 22, 60–67. [Google Scholar]
- Yun, T.Y.; Eun, H.C.; Lee, Y.S.; Chi, J.G.; Ham, E.K.; Hong, S.T.; Lee, S.H. Two Cases of Imported Cutaneous Leishmaniasis in Korea. Kisaengchunghak Chapchi 1985, 23, 327–330. [Google Scholar] [CrossRef]
- Park, J.S.; Lee, D.K.; Hong, S.J.; Son, S.J.; Cho, M.K. A Case of Cutaneous Leishmaniasis. Korean J. Dermatol. 2001, 39, 725–727. [Google Scholar]
- Kim, D.Y.; Cho, S.B.; Chung, K.Y. A Case of Cutaneous Leishmaniasis Treated with Intralesional Injection of Meglumine Antimoniate. Korean J. Dermatol. 2006, 44, 113–116. [Google Scholar]
- Chi, J.G.; Shong, Y.K.; Hong, S.T.; Lee, S.H.; Seo, B.S.; Choe, K.W. An Imported Case of Kala-Azar in Korea. Kisaengchunghak Chapchi 1983, 21, 87–94. [Google Scholar] [CrossRef]
- Kim, H.Y.; Jung, S.E.; Park, K.W.; Kim, W.K. Visceral Leishmaniasis in a Child. J. Korean Assoc. Pediatr. Surg. 2004, 10, 35–38. [Google Scholar] [CrossRef]
- Shin, J.Y.; Lee, Y.B.; Cho, B.K.; Park, H.J. New World Cutaneous Leishmaniasis Treated with Intralesional Injection of Pentavalent Antimony. Ann. Dermatol. 2013, 25, 80–83. [Google Scholar] [CrossRef][Green Version]
- Schönian, G.; Nasereddin, A.; Dinse, N.; Schweynoch, C.; Schallig, H.D.; Presber, W.; Jaffe, C.L. PCR Diagnosis and Characterization of Leishmania in Local and Imported Clinical Samples. Diagn. Microbiol. Infect. Dis. 2003, 47, 349–358. [Google Scholar] [CrossRef]
- Mhaidi, I.; El Kacem, S.; Ait Kbaich, M.; El Hamouchi, A.; Sarih, M.; Akarid, K.; Lemrani, M. Molecular Identification of Leishmania Infection in the Most Relevant Sand Fly Species and in Patient Skin Samples from a Cutaneous Leishmaniasis Focus, in Morocco. PLoS Negl. Trop. Dis. 2018, 12, e0006315. [Google Scholar] [CrossRef] [PubMed]
- Cecílio, P.; Cordeiro-da-Silva, A.; Oliveira, F. Sand flies: Basic information on the vectors of leishmaniasis and their interactions with Leishmania parasites. Commun. Biol. 2022, 5, 305. [Google Scholar] [CrossRef]
- Sharma, U.; Singh, S. Insect Vectors of Leishmania: Distribution, Physiology and Their Control. J. Vector Borne Dis. 2008, 45, 255–272. [Google Scholar]
- González, C.; Wang, O.; Strutz, S.E.; González-Salazar, C.; Sánchez-Cordero, V.; Sarkar, S. Climate Change and Risk of Leishmaniasis in North America: Predictions from Ecological Niche Models of Vector and Reservoir Species. PLoS Negl. Trop. Dis. 2010, 4, e585. [Google Scholar] [CrossRef]
- Cunze, S.; Kochmann, J.; Koch, L.K.; Hasselmann, K.J.Q.; Klimpel, S. Leishmaniasis in Eurasia and Africa: Geographical Distribution of Vector Species and Pathogens. R. Soc. Open Sci. 2019, 6, 190334. [Google Scholar] [CrossRef]
- Díaz-Sáez, V.; Corpas-López, V.; Merino-Espinosa, G.; Morillas-Mancilla, M.J.; Abattouy, N.; Martín-Sánchez, J. Seasonal Dynamics of Phlebotomine Sand Flies and Autochthonous Transmission of Leishmania infantum in High-Altitude Ecosystems in Southern Spain. Acta Trop. 2021, 213, 105749. [Google Scholar] [CrossRef] [PubMed]
- Maroli, M.; Rossi, L.; Baldelli, R.; Capelli, G.; Ferroglio, E.; Genchi, C.; Gramiccia, M.; Mortarino, M.; Pietrobelli, M.; Gradoni, L. The Northward Spread of Leishmaniasis in Italy: Evidence from Retrospective and Ongoing Studies on the Canine Reservoir and Phlebotomine Vectors. Trop. Med. Int. Health 2008, 13, 256–264. [Google Scholar] [CrossRef]
- Barón, S.D.; Morillas-Márquez, F.; Morales-Yuste, M.; Díaz-Sáez, V.; Irigaray, C.; Martín-Sánchez, J. Risk Maps for the Presence and Absence of Phlebotomus Perniciosus in an Endemic Area of Leishmaniasis in Southern Spain: Implications for the Control of the Disease. Parasitology 2011, 138, 1234–1244. [Google Scholar] [CrossRef]
- Pavli, A.; Maltezou, H.C. Leishmaniasis, an Emerging Infection in Travelers. Int. J. Infect. Dis. 2010, 14, e1032–e1039. [Google Scholar] [CrossRef] [PubMed]
- Berriatua, E.; Maia, C.; Conceição, C.; Özbel, Y.; Töz, S.; Baneth, G.; Pérez-Cutillas, P.; Ortuño, M.; Muñoz, C.; Jumakanova, Z.; et al. Leishmaniases in the European Union and Neighboring Countries. Emerg. Infect. Dis. 2021, 27, 1723–1727. [Google Scholar] [CrossRef]
- Rocha, R.; Pereira, A.; Maia, C. Non-Endemic Leishmaniases Reported Globally in Humans between 2000 and 2021-A Comprehensive Review. Pathogens. 2022, 11, 921. [Google Scholar] [CrossRef]
- Lederman, E.R.; Weld, L.H.; Elyazar, I.R.; von Sonnenburg, F.; Loutan, L.; Schwartz, E.; Keystone, J.S. Dermatologic conditions of the ill returned traveler: An analysis from the GeoSentinel Surveillance Network. Int. J. Infect. Dis. 2008, 12, 593–602. [Google Scholar] [CrossRef] [PubMed]
- Van der Auwera, G.; Davidsson, L.; Buffet, P.; Ruf, M.T.; Gramiccia, M.; Varani, S.; Chicharro, C.; Bart, A.; Harms, G.; Chiodini, P.L.; et al. LeishMan Surveillance Network members who contributed to this article (in addition to authors above). Surveillance of Leishmaniasis Cases from 15 European Centres, 2014 to 2019: A Retrospective Analysis. Eurosurveillance 2022, 27, 2002028. [Google Scholar] [CrossRef] [PubMed]
- Malik, A.N.; John, L.; Bruceson, A.D.; Lockwood, D.N. Changing pattern of visceral leishmaniasis, United Kingdom, 1985–2004. Emerg. Infect. Dis. 2006, 12, 1257–1259. [Google Scholar] [CrossRef] [PubMed]
- Aissaoui, N.; Hamane, S.; Gits-Muselli, M.; Petit, A.; Benderdouche, M.; Denis, B.; Alanio, A.; Dellière, S.; Bagot, M.; Bretagne, S. Imported Leishmaniasis in Travelers: A 7-Year Retrospective from a Parisian Hospital in France. BMC Infect. Dis. 2021, 21, 953. [Google Scholar] [CrossRef] [PubMed]
- Kitano, H.; Sanjoba, C.; Goto, Y.; Iwamoto, K.; Kitagawa, H.; Nomura, T.; Omori, K.; Shigemoto, N.; Hide, M.; Matsumoto, Y.; et al. Complicated Cutaneous Leishmaniasis Caused by an Imported Case of Leishmania tropica in Japan: A Case Report. Trop. Med. Health 2021, 49, 20. [Google Scholar] [CrossRef] [PubMed]
- Hockmeyer, W.T.; Kager, P.A.; Rees, P.H.; Hendricks, L.D. The culture of Leishmania donovani in Schneider’s insect medium: Its value in the diagnosis and management of patients with visceral leishmaniasis. Trans. R. Soc. Trop. Med. Hyg. 1981, 75, 861–863. [Google Scholar] [CrossRef]
- Markle, W.H.; Makhoul, K. Cutaneous leishmaniasis: Recognition and treatment. Am. Fam. Physician 2004, 69, 1455–1460. [Google Scholar]
- Aviles, H.; Belli, A.; Armijos, R.; Monroy, F.P.; Harris, E. PCR detection and identification of Leishmania parasites in clinical specimens in Ecuador: A comparison with classical diagnostic methods. J. Parasitol. 1999, 85, 181–187. [Google Scholar] [CrossRef]
- Goto, H.; Lindoso, J.A. Current diagnosis and treatment of cutaneous and mucocutaneous leishmaniasis. Expert Rev. Anti-Infect. Ther. 2010, 8, 419–433. [Google Scholar] [CrossRef]
- Maia, C.; Campino, L. Methods for Diagnosis of Canine Leishmaniasis and Immune Response to Infection. Vet. Parasitol. 2008, 158, 274–287. [Google Scholar] [CrossRef] [PubMed]
- Reimão, J.Q.; Coser, E.M.; Lee, M.R.; Coelho, A.C. Laboratory Diagnosis of Cutaneous and Visceral Leishmaniasis: Current and Future Methods. Microorganisms 2020, 8, 1632. [Google Scholar] [CrossRef] [PubMed]
- Gow, I.; Smith, N.C.; Stark, D. Laboratory diagnostics for human Leishmania infections: A polymerase chain reaction-focussed review of detection and identification methods. Parasit. Vectors 2022, 15, 412. [Google Scholar] [CrossRef] [PubMed]
- De Ruiter, C.M.; Van Der Veer, C.; Leeflang, M.M.G.; Deborggraeve, S.; Lucas, C.; Adams, E.R. Molecular tools for diagnosis of visceral leishmaniasis: Systematic review and meta-analysis of diagnostic test accuracy. J. Clin. Microbiol. 2014, 52, 3147–3155. [Google Scholar] [CrossRef] [PubMed]
- Castelli, G.; Bruno, F.; Reale, S.; Catanzaro, S.; Valenza, V.; Vitale, F. Molecular Diagnosis of Leishmaniasis: Quantification of Parasite Load by a Real-Time PCR Assay with High Sensitivity. Pathogens 2021, 10, 865. [Google Scholar] [CrossRef] [PubMed]
- Williams, E.; Isles, N.S.; Seemann, T. Case Report: Confirmation by Metagenomic Sequencing of Visceral Leishmaniasis in an Immunosuppressed Returned Traveler. Am. J. Trop. Med. Hyg. 2020, 103, 1930–1933. [Google Scholar] [CrossRef]
- Domagalska, M.A.; Imamura, H.; Sanders, M.; Van den Broeck, F.; Bhattarai, N.R.; Vanaerschot, M.; Maes, I.; D’Haenens, E.; Rai, K.; Rijal, S. Genomes of Leishmania parasites directly sequenced from patients with visceral leishmaniasis in the Indian subcontinent. PLoS Negl. Trop. Dis. 2019, 13, e0007900. [Google Scholar] [CrossRef]
- Mann, S.; Frasca, K.; Scherrer, S.; Henao-Martínez, A.F.; Newman, S.; Ramanan, P.; Suarez, J.A. A Review of Leishmaniasis: Current Knowledge and Future Directions. Curr. Trop. Med. Rep. 2021, 8, 121–132. [Google Scholar] [CrossRef] [PubMed]
- Yadav, P.; Azam, M.; Ramesh, V.; Singh, R. Unusual Observations in Leishmaniasis—An Overview. Pathogens 2023, 12, 297. [Google Scholar] [CrossRef]
- Rioux, J.A.; Lanotte, G.; Maazoun, R.; Perello, R.; Pratlong, F. Leishmania infantum Nicolle, 1908, agent du bouton d’Orient autochtone. A propos de l’identification biochimique de deus souches isolées dans les Pyrénées-Orientales [Leishmania infantum Nicolle, 1908, the agent of the autochthonous oriental sore. Apropos of the biochemical identification of 2 strains isolated in the eastern Pyrenees]. C. R. Seances Acad. Sci. D. 1980, 291, 701–703. [Google Scholar] [PubMed]
- Elmazini, S.; Ejghal, R.; Bekhti, K.; Lemrani, M. The Sporadic cutaneous leishmaniasis due to Leishmania infantum in Morocco: A presumably trend towards endemicity. Acta Trop. 2021, 227, 106288. [Google Scholar] [CrossRef] [PubMed]
- Thakur, L.; Singh, K.K.; Shanker, V.; Negi, A.; Jain, A.; Matlashewski, G.; Jain, M. Atypical leishmaniasis: A global perspective with emphasis on the Indian subcontinent. PLoS Negl. Trop. Dis. 2018, 12, e0006659. [Google Scholar] [CrossRef]
- Adamczick, C.; Dierig, A.; Welzel, T.; Schifferli, A.; Blum, I.; Ritz, N. Double trouble: Visceral leishmaniasis in twins after traveling to Tuscany—A case report. BMC Infect. Dis. 2018, 18, 495. [Google Scholar] [CrossRef]
- Crowe, A.; Slavin, J.; Sark, D.; Aboltins, C. A case of imported Leishmania infantum cutaneous leishmaniasis; an unusual presentation occurring 19 years after travel. BMC Infect. Dis. 2014, 14, 597. [Google Scholar] [CrossRef]
- Veraldi, S.; Gianotti, R.; Sala, F.; Coggi, A.; Venegoni, L.; Persico, M.C.; Berti, E. Latency time in cutaneous leishmaniasis. G Ital. Dermatol. Venereol. 2011, 146, 159–161. [Google Scholar]


Disclaimer/Publisher’s Note: The statements, opinions and data contained in all publications are solely those of the individual author(s) and contributor(s) and not of MDPI and/or the editor(s). MDPI and/or the editor(s) disclaim responsibility for any injury to people or property resulting from any ideas, methods, instructions or products referred to in the content. |
© 2023 by the authors. Licensee MDPI, Basel, Switzerland. This article is an open access article distributed under the terms and conditions of the Creative Commons Attribution (CC BY) license (https://creativecommons.org/licenses/by/4.0/).
Share and Cite
Kim, H.J.; Kim, E.J.; Choi, J.W.; Kim, Y.C.; Lee, H.-I.; Shin, H.-I. A Rare Case of Imported Cutaneous Leishmaniasis Caused by Leishmania infantum in the Republic of Korea, 2021. Trop. Med. Infect. Dis. 2023, 8, 223. https://doi.org/10.3390/tropicalmed8040223
Kim HJ, Kim EJ, Choi JW, Kim YC, Lee H-I, Shin H-I. A Rare Case of Imported Cutaneous Leishmaniasis Caused by Leishmania infantum in the Republic of Korea, 2021. Tropical Medicine and Infectious Disease. 2023; 8(4):223. https://doi.org/10.3390/tropicalmed8040223
Chicago/Turabian StyleKim, Hyun Jung, Eun Jin Kim, Jee Woong Choi, You Chan Kim, Hee-Il Lee, and Hyun-Il Shin. 2023. "A Rare Case of Imported Cutaneous Leishmaniasis Caused by Leishmania infantum in the Republic of Korea, 2021" Tropical Medicine and Infectious Disease 8, no. 4: 223. https://doi.org/10.3390/tropicalmed8040223
APA StyleKim, H. J., Kim, E. J., Choi, J. W., Kim, Y. C., Lee, H.-I., & Shin, H.-I. (2023). A Rare Case of Imported Cutaneous Leishmaniasis Caused by Leishmania infantum in the Republic of Korea, 2021. Tropical Medicine and Infectious Disease, 8(4), 223. https://doi.org/10.3390/tropicalmed8040223

