In Vitro and In Vivo Effect of Amikacin and Imipenem Combinations against Multidrug-Resistant E. coli
Abstract
1. Introduction
2. Materials and Methods
2.1. Culture and Bacterial Identification
2.2. Antibiotic Susceptibility Tests
2.3. PCR Detection of Metallo-β-Lactamase Gene Imipenemase (bla-IMP) and Aminoglycoside 6′-N-acetyltransferase (aac (6′)-Ib) in Selected Resistant Bacteria
2.4. Checkerboard Assay
2.5. Time-Kill Analysis
2.6. In Vivo Study
2.7. Gene Expression of Metallo-β-Lactamase Gene Imipenemase (bla-IMP) and Aminoglycoside 6′-N-acetyltransferase (aac (6′)-Ib) Using Real-Time PCR
2.8. Scanning Electron Microscopy (SEM)
2.9. Statistical Analysis
3. Results
3.1. E. coli Isolation and Identification
3.2. Antibiotic Susceptibility Testing
3.3. Detection of MIC50 and MIC90 of Imipenem and Amikacin for E. coli Isolates
3.4. Molecular Identification of Metallo-β-Lactamase Gene Imipenemase (bla-IMP) and Aminoglycoside 6′-N-acetyltransferase (aac (6′)-Ib)-Resistant Genes Using Conventional PCR
3.5. The Combined Effect of Amikacin and Imipenem against Resistant E. coli Using the Checkerboard Dilution Technique
3.6. Time-Kill Studies
3.7. In Vivo Studies
3.8. Gene Expression (Real-Time PCR) Results
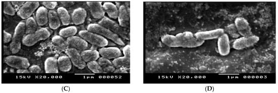
3.9. Scanning Electron Microscopy (SEM)
4. Discussion
5. Conclusions
Supplementary Materials
Author Contributions
Funding
Institutional Review Board Statement
Informed Consent Statement
Data Availability Statement
Conflicts of Interest
References
- Lee, C.-H.; Kang, J.-H.; Woo, H.-J.; Song, K.B. Inactivation of Listeria monocytogenes and Escherichia coli O157: H7 inoculated on fresh-cut romaine lettuce by peanut skin extract/benzethonium chloride emulsion washing. Food Control 2021, 119, 107479. [Google Scholar] [CrossRef]
- Sarowska, J.; Futoma-Koloch, B.; Jama-Kmiecik, A.; Frej-Madrzak, M.; Ksiazczyk, M.; Bugla-Ploskonska, G.; Choroszy-Krol, I. Virulence factors, prevalence and potential transmission of extraintestinal pathogenic Escherichia coli isolated from different sources: Recent reports. Gut Pathog. 2019, 11, 10. [Google Scholar] [CrossRef] [PubMed]
- Huang, T.D.; Bogaerts, P.; Berhin, C.; Hoebeke, M.; Bauraing, C.; Glupczynski, Y. A Multicentre Study Group. Increasing proportion of carbapenemase-producing Enterobacteriaceae and emergence of a MCR-1 producer through a multicentric study among hospital-based and private laboratories in Belgium from September to November 2015. Eurosurveillance 2017, 22, 30530. [Google Scholar] [CrossRef] [PubMed]
- MacKinnon, M.C.; McEwen, S.A.; Pearl, D.L.; Lyytikäinen, O.; Jacobsson, G.; Collignon, P.; Gregson, D.B.; Valiquette, L.; Laupland, K.B. Mortality in Escherichia coli bloodstream infections: A multinational population-based cohort study. BMC Infect. Dis. 2021, 21, 606. [Google Scholar] [CrossRef]
- Magiorakos, A.-P.; Srinivasan, A.; Carey, R.B.; Carmeli, Y.; Falagas, M.; Giske, C.; Harbarth, S.; Hindler, J.; Kahlmeter, G.; Olsson-Liljequist, B. Multidrug-resistant, extensively drug-resistant and pandrug-resistant bacteria: An international expert proposal for interim standard definitions for acquired resistance. Clin. Microbiol. Infect. 2012, 18, 268–281. [Google Scholar] [CrossRef] [PubMed]
- Blair, J.M.; Webber, M.A.; Baylay, A.J.; Ogbolu, D.O.; Piddock, L.J. Molecular mechanisms of antibiotic resistance. Nat. Rev. Microbiol. 2015, 13, 42–51. [Google Scholar] [CrossRef] [PubMed]
- Sheu, C.-C.; Chang, Y.-T.; Lin, S.-Y.; Chen, Y.-H.; Hsueh, P.-R. Infections Caused by Carbapenem-Resistant Enterobacteriaceae: An Update on Therapeutic Options. Front. Microbiol. 2019, 10, 80. [Google Scholar] [CrossRef]
- Krause, K.M.; Serio, A.W.; Kane, T.R.; Connolly, L.E. Aminoglycosides: An Overview. Cold Spring Harb. Perspect. Med. 2016, 6, a027029. [Google Scholar] [CrossRef]
- Lee, C.-S.; Doi, Y. Therapy of infections due to carbapenem-resistant gram-negative pathogens. Infect. Chemother. 2014, 46, 149. [Google Scholar] [CrossRef] [PubMed]
- Karah, N.; Dwibedi, C.K.; Sjostrom, K.; Edquist, P.; Johansson, A.; Wai, S.N.; Uhlin, B.E. Novel Aminoglycoside Resistance Transposons and Transposon-Derived Circular Forms Detected in Carbapenem-Resistant Acinetobacter baumannii Clinical Isolates. Antimicrob Agents Chemother 2016, 60, 1801–1818. [Google Scholar] [CrossRef] [PubMed]
- Munoz-Price, L.S.; Poirel, L.; Bonomo, R.A.; Schwaber, M.J.; Daikos, G.L.; Cormican, M.; Cornaglia, G.; Garau, J.; Gniadkowski, M.; Hayden, M.K.; et al. Clinical epidemiology of the global expansion of Klebsiella pneumoniae carbapenemases. Lancet Infect. Dis. 2013, 13, 785–796. [Google Scholar] [CrossRef]
- Ambler, R.P.; Coulson, A.F.; Frère, J.-M.; Ghuysen, J.-M.; Joris, B.; Forsman, M.; Levesque, R.C.; Tiraby, G.; Waley, S.G. A standard numbering scheme for the class A beta-lactamases. Biochem. J. 1991, 276, 269. [Google Scholar] [CrossRef]
- Marsik, F.J.; Nambiar, S. Review of carbapenemases and AmpC-beta lactamases. Pediatr. Infect. Dis. J. 2011, 30, 1094–1095. [Google Scholar] [CrossRef] [PubMed]
- Jones, F.; Hu, Y.; Coates, A. The Efficacy of Using Combination Therapy against Multi-Drug and Extensively Drug-Resistant Pseudomonas aeruginosa in Clinical Settings. Antibiotics 2022, 11, 323. [Google Scholar] [CrossRef]
- Mathe, A.; Szabo, D.; Anderlik, P.; Rozgonyi, F.; Nagy, K. The effect of amikacin and imipenem alone and in combination against an extended-spectrum beta-lactamase-producing Klebsiella pneumoniae strain. Diagn. Microbiol. Infect. Dis. 2007, 58, 105–110. [Google Scholar] [CrossRef]
- Bernabeu-Wittel, M.; Pichardo, C.; Garcia-Curiel, A.; Pachon-Ibanez, M.E.; Ibanez-Martinez, J.; Jimenez-Mejias, M.E.; Pachon, J. Pharmacokinetic/pharmacodynamic assessment of the in-vivo efficacy of imipenem alone or in combination with amikacin for the treatment of experimental multiresistant Acinetobacter baumannii pneumonia. Clin. Microbiol. Infect. 2005, 11, 319–325. [Google Scholar] [CrossRef] [PubMed]
- Al-Tamimi, M.; Abu-Raideh, J.; Albalawi, H.; Shalabi, M.; Saleh, S. Effective Oral Combination Treatment for Extended-Spectrum Beta-Lactamase-Producing Escherichia coli. Microb. Drug Resist. 2019, 25, 1132–1141. [Google Scholar] [CrossRef] [PubMed]
- Loho, T.; Sukartini, N.; Astrawinata, D.A.W.; Immanuel, S.; Aulia, D.; Priatni, I. In Vitro Antibacterial Interaction of Doripenem and Amikacin against Multidrug-Resistant Acinetobacter baumannii, Pseudomonas aeruginosa, and Klebsiella pneumoniae Isolates. Can. J. Infect. Dis. Med. Microbiol. 2018, 2018, 1047670. [Google Scholar] [CrossRef]
- Drago, L.; De Vecchi, E.; Nicola, L.; Legnani, D.; Lombardi, A.; Gismondo, M. In vitro synergy and selection of resistance by fluoroquinolones plus amikacin or β-lactams against extended-spectrum β-lactamase-producing Escherichia coli. J. Chemother. 2005, 17, 46–53. [Google Scholar] [CrossRef]
- Critchley, I.A.; Sahm, D.F.; Kelly, L.J.; Karlowsky, J.A. In vitro synergy studies using aztreonam and fluoroquinolone combinations against six species of Gram-negative bacilli. Chemotherapy 2003, 49, 44–48. [Google Scholar] [CrossRef] [PubMed]
- Munckhof, W.J.; Olden, D.; Turnidge, J.D. The postantibiotic effect of imipenem: Relationship with drug concentration, duration of exposure, and MIC. Antimicrob. Agents Chemother. 1997, 41, 1735–1737. [Google Scholar] [CrossRef][Green Version]
- Sasahara, T.; Satoh, Y.; Sekiguchi, T.; Suzuki, K.; Irinoda, K.; Kitasato, H.; Okamoto, R.; Inoue, M.; Takayama, Y.; Sakamoto, A. Pretreatment of Pseudomonas aeruginosa with a sub-MIC of imipenem enhances bactericidal activity of neutrophils. J. Infect. Chemother. 2003, 9, 297–303. [Google Scholar] [CrossRef] [PubMed]
- Knafl, D.; Thalhammer, F.; Vossen, M.G. In-vitro release pharmacokinetics of amikacin, teicoplanin and polyhexanide in a platelet rich fibrin—Layer (PRF)—A laboratory evaluation of a modern, autologous wound treatment. PLoS ONE 2017, 12, e0181090. [Google Scholar] [CrossRef]
- Giamarellos-Bourboulis, E.J.; Kentepozidis, N.; Antonopoulou, A.; Plachouras, D.; Tsaganos, T.; Giamarellou, H. Postantibiotic effect of antimicrobial combinations on multidrug-resistant Pseudomonas aeruginosa. Diagn. Microbiol. Infect. Dis. 2005, 51, 113–117. [Google Scholar] [CrossRef] [PubMed]
- Collee, J.G.; Mackie, T.J.; McCartney, J.E. Mackie & McCartney Practical Medical Microbiology; Harcourt Health Sciences: San Diego, CA, USA, 1996. [Google Scholar]
- Wayne, P. Clinical and Laboratory Standards Institute. Performance Standards for Antimicrobial Susceptibility Testing; CLSI document M100-28 edition; Clinical and Laboratory Standards Institute: Wayne, PA, USA, 2018. [Google Scholar]
- Abiri, R.; Mohammadi, P.; Shavani, N.; Rezaei, M. Detection and Genetic Characterization of Metallo-beta-Lactamase IMP-1 and VIM-2 in Pseudomonas aeruginosa Strains from Different Hospitals in Kermanshah, Iran. Jundishapur. J. Microbiol. 2015, 8, e22582. [Google Scholar] [CrossRef] [PubMed]
- Xia, Y.; Liang, Z.; Su, X.; Xiong, Y. Characterization of carbapenemase genes in Enterobacteriaceae species exhibiting decreased susceptibility to carbapenems in a university hospital in Chongqing, China. Ann. Lab. Med. 2012, 32, 270–275. [Google Scholar] [CrossRef] [PubMed]
- Kim, H.C.; Jang, J.-H.; Kim, H.; Kim, Y.-J.; Lee, K.-R.; Kim, Y.-T. Multiplex PCR for Simultaneous Detection of Aminoglycoside Resistance Genes in Escherichia coli and Klebsiella pneumoniae. Korean J. Clin. Lab. Sci. 2012, 44, 155–165. [Google Scholar]
- Tivendale, K.A.; Allen, J.L.; Ginns, C.A.; Crabb, B.S.; Browning, G.F. Association of iss and iucA, but not tsh, with plasmid-mediated virulence of avian pathogenic Escherichia coli. Infect. Immun. 2004, 72, 6554–6560. [Google Scholar] [CrossRef] [PubMed][Green Version]
- Zhong, Y.; Tang, L.; Deng, Q.; Jing, L.; Zhang, J.; Zhang, Y.; Yu, F.; Ou, Y.; Guo, S.; Huang, B. Unraveling the Novel Effect of Patchouli Alcohol Against the Antibiotic Resistance of Helicobacter pylori. Front. Microbiol. 2021, 12, 1169. [Google Scholar] [CrossRef] [PubMed]
- Tang, H.J.; Lai, C.C.; Chen, C.C.; Zhang, C.C.; Weng, T.C.; Chiu, Y.H.; Toh, H.S.; Chiang, S.R.; Yu, W.L.; Ko, W.C.; et al. Colistin-sparing regimens against Klebsiella pneumoniae carbapenemase-producing K. pneumoniae isolates: Combination of tigecycline or doxycycline and gentamicin or amikacin. J. Microbiol Immunol. Infect. 2019, 52, 273–281. [Google Scholar] [CrossRef]
- Yuan, J.S.; Reed, A.; Chen, F.; Stewart, C.N. Statistical analysis of real-time PCR data. BMC Bioinform. 2006, 7, 85. [Google Scholar] [CrossRef] [PubMed]
- Soboh, F.; Khoury, A.E.; Zamboni, A.C.; Davidson, D.; Mittelman, M.W. Effects of ciprofloxacin and protamine sulfate combinations against catheter-associated Pseudomonas aeruginosa biofilms. Antimicrob. Agents Chemother. 1995, 39, 1281–1286. [Google Scholar] [CrossRef] [PubMed]
- Willyard, C. The drug-resistant bacteria that pose the greatest health threats. Nat. News 2017, 543, 15. [Google Scholar] [CrossRef] [PubMed]
- Kim, S.; Woo, J.H.; Jun, S.H.; Moon, D.C.; Lim, S.-K.; Lee, J.C. Synergy between Florfenicol and Aminoglycosides against Multidrug-Resistant Escherichia coli Isolates from Livestock. Antibiotics 2020, 9, 185. [Google Scholar] [CrossRef]
- Zusman, O.; Avni, T.; Leibovici, L.; Adler, A.; Friberg, L.; Stergiopoulou, T.; Carmeli, Y.; Paul, M. Systematic review and meta-analysis of in vitro synergy of polymyxins and carbapenems. Antimicrob. Agents Chemother. 2013, 57, 5104–5111. [Google Scholar] [CrossRef]
- Tamma, P.D.; Cosgrove, S.E.; Maragakis, L.L. Combination therapy for treatment of infections with gram-negative bacteria. Clin. Microbiol. Rev. 2012, 25, 450–470. [Google Scholar] [CrossRef]
- Lim, T.P.; Lee, W.; Tan, T.Y.; Sasikala, S.; Teo, J.; Hsu, L.Y.; Tan, T.T.; Syahidah, N.; Kwa, A.L. Effective antibiotics in combination against extreme drug-resistant Pseudomonas aeruginosa with decreased susceptibility to polymyxin B. PLoS ONE 2011, 6, e28177. [Google Scholar] [CrossRef]
- Cai, B.; Cai, Y.; Liew, Y.X.; Chua, N.G.; Teo, J.Q.; Lim, T.P.; Kurup, A.; Ee, P.L.; Tan, T.T.; Lee, W.; et al. Clinical Efficacy of Polymyxin Monotherapy versus Nonvalidated Polymyxin Combination Therapy versus Validated Polymyxin Combination Therapy in Extensively Drug-Resistant Gram-Negative Bacillus Infections. Antimicrob. Agents Chemother. 2016, 60, 4013–4022. [Google Scholar] [CrossRef]
- ECDC. Antimicrobial Resistance in the EU/EEA (EARS-Net)—Annual Epidemiological Report for 2019; European Centre for Disease Prevention and Control: Stockholm, Sweden, 2020. [Google Scholar]
- Yousefi, A.; Torkan, S. Uropathogenic Escherichia coli in the urine samples of Iranian dogs: Antimicrobial resistance pattern and distribution of antibiotic resistance genes. BioMed Res. Int. 2017, 2017, 4180490. [Google Scholar] [CrossRef]
- Giacobbe, D.R.; Giani, T.; Bassetti, M.; Marchese, A.; Viscoli, C.; Rossolini, G.M. Rapid microbiological tests for bloodstream infections due to multidrug resistant Gram-negative bacteria: Therapeutic implications. Clin. Microbiol. Infect. 2020, 26, 713–722. [Google Scholar] [CrossRef]
- Bhatt, P.; Tandel, K.; Shete, V.; Rathi, K.R. Burden of extensively drug-resistant and pandrug-resistant Gram-negative bacteria at a tertiary-care centre. N. Microbes N. Infect. 2015, 8, 166–170. [Google Scholar] [CrossRef] [PubMed]
- Dokla, E.M.E.; Abutaleb, N.S.; Milik, S.N.; Li, D.; El-Baz, K.; Shalaby, M.W.; Al-Karaki, R.; Nasr, M.; Klein, C.D.; Abouzid, K.A.M.; et al. Development of benzimidazole-based derivatives as antimicrobial agents and their synergistic effect with colistin against gram-negative bacteria. Eur. J. Med. Chem. 2020, 186, 111850. [Google Scholar] [CrossRef]
- Vena, A.; Giacobbe, D.R.; Castaldo, N.; Cattelan, A.; Mussini, C.; Luzzati, R.; Rosa, F.G.; Del Puente, F.; Mastroianni, C.M.; Cascio, A.; et al. Clinical Experience with Ceftazidime-Avibactam for the Treatment of Infections due to Multidrug-Resistant Gram-Negative Bacteria Other than Carbapenem-Resistant Enterobacterales. Antibiotics 2020, 9, 71. [Google Scholar] [CrossRef] [PubMed]
- Elbadawi, H.S.; Elhag, K.M.; Mahgoub, E.; Altayb, H.N.; Ntoumi, F.; Elton, L.; McHugh, T.D.; Osman, M.; Tembo, J.; Ippolito, G. Detection and Characterization of Carbapenem resistant Gram-negative bacilli isolates recovered from hospitalized patients at Soba University Hospital, Sudan. BMC Microbiol. 2021, 21, 136. [Google Scholar] [CrossRef] [PubMed]
- Soliman, A.M.; Zarad, H.O.; Nariya, H.; Shimamoto, T.; Shimamoto, T. Genetic analysis of carbapenemase-producing Gram-negative bacteria isolated from a university teaching hospital in Egypt. Infect. Genet. Evol. 2020, 77, 104065. [Google Scholar] [CrossRef] [PubMed]
- Poole, K.; Gilmour, C.; Farha, M.A.; Parkins, M.D.; Klinoski, R.; Brown, E.D. Meropenem potentiation of aminoglycoside activity against Pseudomonas aeruginosa: Involvement of the MexXY-OprM multidrug efflux system. J. Antimicrob. Chemother. 2018, 73, 1247–1255. [Google Scholar] [CrossRef]
- Yadav, R.; Bulitta, J.B.; Schneider, E.K.; Shin, B.S.; Velkov, T.; Nation, R.L.; Landersdorfer, C.B. Aminoglycoside Concentrations Required for Synergy with Carbapenems against Pseudomonas aeruginosa Determined via Mechanistic Studies and Modeling. Antimicrob. Agents Chemother. 2017, 61, e00722-17. [Google Scholar] [CrossRef]
- Hayami, H.; Goto, T.; Kawahara, M.; Ohi, Y. Activities of β-lactams, fluoroquinolones, amikacin and fosfomycin alone and in combination against Pseudomonas aeruginosa isolated from complicated urinary tract infections. J. Infect. Chemother. 1999, 5, 130–138. [Google Scholar] [CrossRef]








| Gene | Primer Sequence (5′-3′) | Annealing Temperature | Product Size (bp) | Reference |
|---|---|---|---|---|
| Metallo-β-lactamase gene Imipenemase (bla-IMP) | F:CATGGTTTGGTGGTTCTTGT | 59 | 488 | [27] |
| R:ATAATTTGGCGGACTTTGGC | ||||
| Aminoglycoside 6′-N-acetyltransferase (aac(6′)-Ib) | F:AGTACTTGCCAAGCGTTTTAGCGC | 51 | 365 | [28] |
| R:CATGTACACGGCTGGACCAT | ||||
| 16S rRNA | F: GCTGACGAGTGGCGGACGGG | 55 | 253 | [29] |
| R:TAGGAGTCTGGACCGTGTCT |
| Source of Infection | No. of Isolates | Metallo-β-lactamase Gene Imipenemase (bla-IMP) Positive Isolates No. (%) *, ** | Aminoglycoside 6′-N-acetyltransferase (aac(6′)-Ib) Positive Isolates No. (%) *, ** |
|---|---|---|---|
| Wound | 27 | 23 (47.9%) | 19 (47.5%) |
| Ear infections | 3 | 2 (4.2%) | 2 (5%) |
| Burn infections | 5 | 3 (6.3%) | 4 (10%) |
| Chest infections | 7 | 6 (12.5%) | 6 (15%) |
| Urinary tract infections | 6 | 5 (10.4%) | 2 (5%) |
| Gastroenteritis infections | 6 | 4 (8.3%) | 2 (5%) |
| ICU | 6 | 5 (12.5%) | 5 (12.5%) |
| Total | 60 | 48 (80%) | 40 isolates (66.7%) |
| Name of Bacteria | MIC (µg/mL) | FICindex 0.5× MIC Amikacin + 0.25× MIC Imipenem | FICindex 0.25× MIC Amikacin + 0.5× MIC Imipenem | Outcome | |||
|---|---|---|---|---|---|---|---|
| Amikacin Alone | Imipenem Alone | Combination of 0.5× MIC Amikacin + 0.25× MIC Imipenem | Combination of 0.25× MIC Amikacin + 0.5× MICImipenem | ||||
| E. coli (No.3) | 1024 | 1024 | 32 | 32 | 0.06 | 0.06 | Synergistic |
| E. coli (No.7) | 1024 | 1024 | 32 | 32 | 0.06 | 0.06 | Synergistic |
| E. coli (No.10) | 1024 | 1024 | 32 | 32 | 0.06 | 0.06 | Synergistic |
| E. coli (No.12) | 1024 | 256 | 32 | 8 | 0.156 | 0.04 | Synergistic |
| E. coli (No.13) | 1024 | 256 | 32 | 8 | 0.156 | 0.04 | Synergistic |
| E. coli (No.17) | 1024 | 256 | 32 | 8 | 0.156 | 0.04 | Synergistic |
| E. coli (No.19) | 512 | 256 | 1 | 0.5 | 0.005 | 0.003 | Synergistic |
| E. coli (No.21) | 1024 | 256 | 32 | 8 | 0.156 | 0.26 | Synergistic |
| E. coli (No.23) | 1024 | 8 | 1 | 1 | 0.126 | 0.126 | Synergistic |
| E. coli (No.25) | 1024 | 8 | 1 | 1 | 0.126 | 0.126 | Synergistic |
| E. coli (No.27) | 512 | 256 | 1 | 0.5 | 0.0059 | 0.003 | Synergistic |
| E. coli (No.29) | 128 | 256 | 0.5 | 2 | 0.0059 | 0.023 | Synergistic |
| E. coli (No.32) | 128 | 256 | 0.5 | 2 | 0.0059 | 0.023 | Synergistic |
| E. coli (No.35) | 512 | 256 | 0.5 | 4 | 0.003 | 0.023 | Synergistic |
| E. coli (No.36) | 512 | 8 | 4 | 0.5 | 0.5 | 0.017 | Synergistic |
| E. coli (No.37) | 512 | 8 | 4 | 0.5 | 0.5 | 0.063 | Synergistic |
| E. coli (No.39) | 512 | 8 | 4 | 0.5 | 0.5 | 0.063 | Synergistic |
| E. coli (No.41) | 512 | 8 | 0.5 | 1 | 0.0634 | 0.13 | Synergistic |
| E. coli (No.47) | 1024 | 256 | 0.5 | 8 | 0.0024 | 0.04 | Synergistic |
| E. coli (No.51) | 512 | 256 | 8 | 4 | 0.047 | 0.023 | Synergistic |
| E. coli (No.56) | 1024 | 256 | 32 | 1 | 0.16 | 0.005 | Synergistic |
| E. coli (No.57) | 512 | 256 | 32 | 1 | 0.19 | 0.006 | Synergistic |
| E. coli (No.59) | 512 | 64 | 32 | 1 | 0.5 | 0.018 | Synergistic |
| E. coli (No.60) | 512 | 256 | 32 | 1 | 0.19 | 0.006 | Synergistic |
Publisher’s Note: MDPI stays neutral with regard to jurisdictional claims in published maps and institutional affiliations. |
© 2022 by the authors. Licensee MDPI, Basel, Switzerland. This article is an open access article distributed under the terms and conditions of the Creative Commons Attribution (CC BY) license (https://creativecommons.org/licenses/by/4.0/).
Share and Cite
Farhan, S.M.; El-Baky, R.M.A.; Abdalla, S.; EL-Gendy, A.O.; Ahmed, H.R.; Mohamed, D.S.; El Zawily, A.; Azmy, A.F. In Vitro and In Vivo Effect of Amikacin and Imipenem Combinations against Multidrug-Resistant E. coli. Trop. Med. Infect. Dis. 2022, 7, 281. https://doi.org/10.3390/tropicalmed7100281
Farhan SM, El-Baky RMA, Abdalla S, EL-Gendy AO, Ahmed HR, Mohamed DS, El Zawily A, Azmy AF. In Vitro and In Vivo Effect of Amikacin and Imipenem Combinations against Multidrug-Resistant E. coli. Tropical Medicine and Infectious Disease. 2022; 7(10):281. https://doi.org/10.3390/tropicalmed7100281
Chicago/Turabian StyleFarhan, Sara Mahmoud, Rehab Mahmoud Abd El-Baky, Salah Abdalla, Ahmed Osama EL-Gendy, Hala Rady Ahmed, Doaa Safwat Mohamed, Amr El Zawily, and Ahmed Farag Azmy. 2022. "In Vitro and In Vivo Effect of Amikacin and Imipenem Combinations against Multidrug-Resistant E. coli" Tropical Medicine and Infectious Disease 7, no. 10: 281. https://doi.org/10.3390/tropicalmed7100281
APA StyleFarhan, S. M., El-Baky, R. M. A., Abdalla, S., EL-Gendy, A. O., Ahmed, H. R., Mohamed, D. S., El Zawily, A., & Azmy, A. F. (2022). In Vitro and In Vivo Effect of Amikacin and Imipenem Combinations against Multidrug-Resistant E. coli. Tropical Medicine and Infectious Disease, 7(10), 281. https://doi.org/10.3390/tropicalmed7100281

