Hidden in Plain Sight: Peritoneal Tuberculosis Mimicking Ovarian Neoplasm—A Case Report
Abstract
1. Introduction
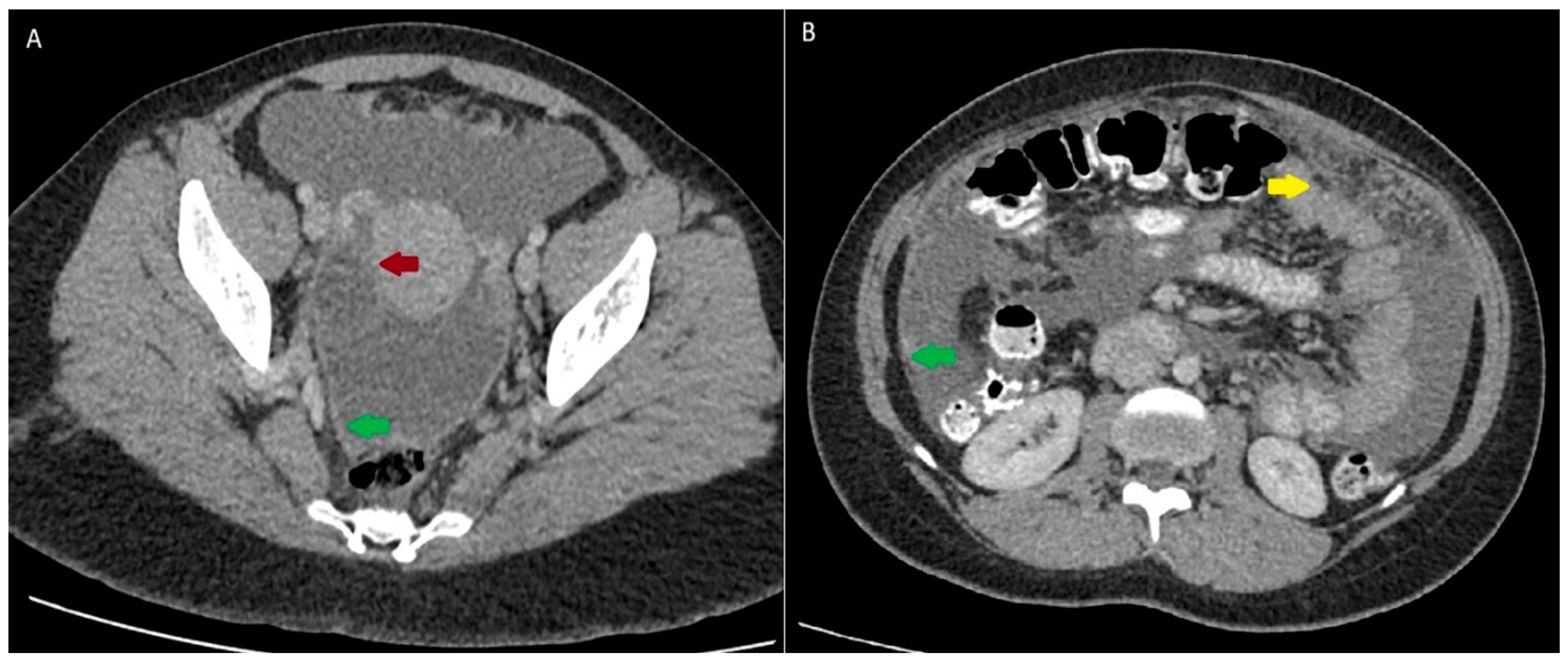
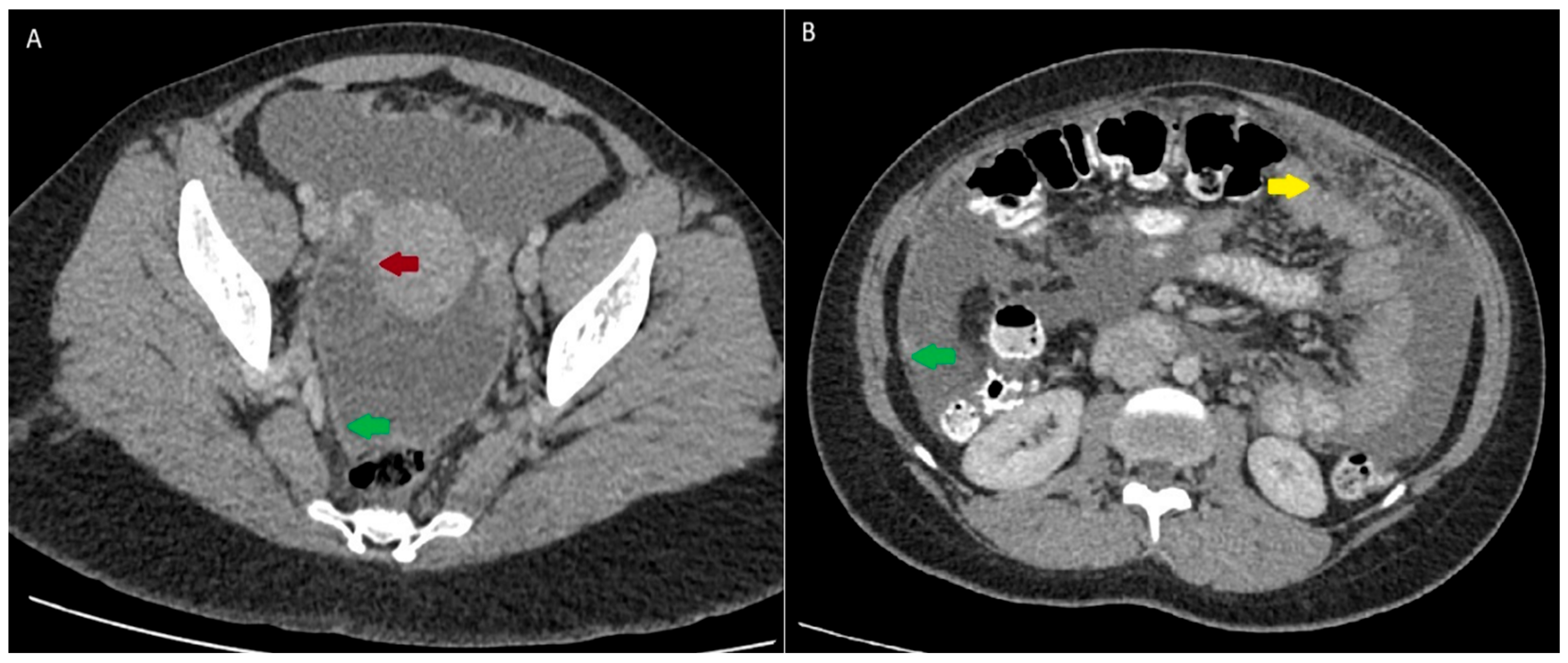
2. Case Presentation
3. Discussion
4. Conclusions
Author Contributions
Funding
Institutional Review Board Statement
Informed Consent Statement
Data Availability Statement
Conflicts of Interest
References
- World Health Organization. Global Tuberculosis Report 2024; World Health Organization: Geneva, Switzerland, 2024. [Google Scholar]
- Litvinjenko, S.; Magwood, O.; Wu, S.; Wei, X. Burden of tuberculosis among vulnerable populations worldwide: An overview of systematic reviews. Lancet Infect. Dis. 2023, 23, 1395–1407. [Google Scholar] [CrossRef] [PubMed]
- Ramírez-Lapausa, M.; Menéndez-Saldaña, A.; Noguerado-Asensio, A. Extrapulmonary tuberculosis: An overview. Rev. Esp. Sanid. Penit. 2015, 17, 3–11. [Google Scholar] [CrossRef]
- VidyaRaj, C.K.; Vadakunnel, M.J.; Mani, B.R.; Anbazhagi, M.; Pradhabane, G.; Venkateswari, R.; Palavesam, S.; Venkatesh, K.; Usharani, B.; Sriramkumar, S.R.; et al. Prevalence of extrapulmonary tuberculosis and factors influencing successful treatment outcomes among notified cases in South India. Sci. Rep. 2025, 15, 8290. [Google Scholar] [CrossRef]
- Tanrikulu, A.C.; Aldemir, M.; Gurkan, F.; Suner, A.; Dagli, C.E.; Ece, A. Clinical review of tuberculous peritonitis in 39 patients in Diyarbakir, Turkey. J. Gastroenterol. Hepatol. 2005, 20, 906–909. [Google Scholar] [CrossRef]
- Akgün, Y.; Maral, I.; Baştürk, Ö.; Şimşek, Y.; Karaoğlu, A.; Gözel, B. Intestinal and peritoneal tuberculosis: Changing trends over 10 years and a review of 80 patients. Can. J. Surg. 2005, 48, 131–136. [Google Scholar]
- Poyrazoglu, O.K.; Timurkaan, M.; Yalniz, M.; Ataseven, H.; Dogukan, M.; Bahcecioglu, I.H. Clinical review of 23 patients with tuberculous peritonitis: Presenting features and diagnosis. J. Dig. Dis. 2008, 9, 170–174. [Google Scholar] [CrossRef]
- Sanai, F.M.; Bzeizi, K.I. Systematic review: Tuberculous peritonitis—Presenting features, diagnostic strategies and treatment. Aliment. Pharmacol. Ther. 2005, 22, 685–700. [Google Scholar] [CrossRef]
- Guirat, A.; Koubaa, M.; Mzali, R.; Abid, B.; Ellouz, S.; Affes, N.; Jemaa, M.B.; Frikha, F.; Amar, M.B.; Beyrouti, M.I. Peritoneal tuberculosis. Clin. Res. Hepatol. Gastroenterol. 2011, 35, 60–69. [Google Scholar] [CrossRef]
- Sohail, A.H.; Khan, M.S.; Sajan, A.; Williams, C.E.; Amodu, L.; Hakmi, H.; Hadi, Y.B.; Ismail, S.; Sohail, S.; Ahmad, M.N. Diagnostic accuracy of computed tomography in differentiating peritoneal tuberculosis from peritoneal carcinomatosis. Clin. Imaging 2022, 82, 198–203. [Google Scholar] [CrossRef] [PubMed]
- Flores, R.M.; Dopp, M.; Bhatt, V.V.; Theodory, B.; Robb, P.M. A rare case of peritoneal tuberculosis mimicking peritoneal carcinomatosis: The ongoing challenge. BMC Infect. Dis. 2024, 24, 1140. [Google Scholar] [CrossRef] [PubMed]
- Trajman, A.; Campbell, J.R.; Kunor, T.; Ruslami, R.; Amanullah, F.; Behr, M.A.; Menzies, D. Tuberculosis. Lancet 2025, 405, 850–866. [Google Scholar] [CrossRef]
- Koff, A.; Azar, M.M. Diagnosing peritoneal tuberculosis. BMJ Case Rep. 2020, 13, e233131. [Google Scholar] [CrossRef]
- Putra, A.D.; Purwoto, G.; Sachi, Y.; Suhendar, C.W.; Nugroho, I.; Saidah, I.; Wirasugianto, J.; Amelia; Syariatin, L.; Lukas, G.A. Ultrasonography and Biomarkers in the Diagnostic Evaluation of Peritoneal Tuberculosis: A Case Series Analysis. Diagnostics 2025, 15, 2008. [Google Scholar] [CrossRef]
- Sampath, A.; Mani, S. Diagnostic evaluation and management of abdominal tuberculosis. Indian J. Tuberc. 2025, 72, S7–S11. [Google Scholar] [CrossRef]
- Koc, S.; Beydilli, G.; Tulunay, G.; Ocalan, R.; Boran, N.; Ozgul, N.; Kose, M.F.; Erdogan, Z. Peritoneal tuberculosis mimicking advanced ovarian cancer: A retrospective review of 22 cases. Gynecol. Oncol. 2006, 103, 565–569. [Google Scholar] [CrossRef]
- Gonultas, F.; Akbulut, S.; Sarici, K.B.; Toprak, S.; Kilci, B.; Bilgic, Y.; Kose, A.; Yakupogullari, Y.; Garzali, I.U.; Yilmaz, S. Management of wet ascitic type of peritoneal tuberculosis: Single center experience. Eur. Rev. Med. Pharmacol. Sci. 2023, 27, 980–987. [Google Scholar]
- Hodille, E.; Genestet, C.; Delque, T.; Ruffel, L.; Benito, Y.; Fredenucci, I.; Rasigade, J.-P.; Lina, G.; Dumitrescu, O. The MTB/MDR ELITe MGB® Kit: Performance Assessment for Pulmonary, Extra-Pulmonary, and Resistant Tuberculosis Diagnosis, and Integration in the Laboratory Workflowof a French Center. Pathogens 2021, 10, 176. [Google Scholar] [CrossRef] [PubMed]
- Bisognin, F.; Lombardi, G.; Finelli, C.; Re, M.C.; Dal Monte, P. Simultaneous detection of Mycobacterium tuberculosis complex and resistance to Rifampicin and Isoniazid by MDR/MTB ELITe MGB® Kit for the diagnosis of tuberculosis. PLoS ONE 2020, 15, e0232632. [Google Scholar] [CrossRef] [PubMed]
- Ramanan, R.V.; Venu, V. Differentiation of peritoneal tuberculosis from peritoneal carcinomatosis by the Omental Rim sign. A new sign on contrast enhanced multidetector computed tomography. Eur. J. Radiol. 2019, 113, 124–134. [Google Scholar] [CrossRef]
- Echeverri-Fernandez, E.; Amezquita, M.A.; Moncada, P.A.; Escobar, J.; Fernandez-Trujillo, L. Peritoneal tuberculosis in an immunocompetent patient: A case report. IDCases 2023, 32, e01785. [Google Scholar] [CrossRef] [PubMed]
- Shrivas, A.; Singh, S. Tuberculosis diagnosis and management: Recent advances. J. Glob. Infect. Dis. 2025, 17, 3–9. [Google Scholar] [CrossRef]



Disclaimer/Publisher’s Note: The statements, opinions and data contained in all publications are solely those of the individual author(s) and contributor(s) and not of MDPI and/or the editor(s). MDPI and/or the editor(s) disclaim responsibility for any injury to people or property resulting from any ideas, methods, instructions or products referred to in the content. |
© 2025 by the authors. Licensee MDPI, Basel, Switzerland. This article is an open access article distributed under the terms and conditions of the Creative Commons Attribution (CC BY) license (https://creativecommons.org/licenses/by/4.0/).
Share and Cite
Romero-Rojas, D.S.; Rojas-Torres, A.; Amell-Barón, B.; Serna, D.; Vasquez-Pinto, L.; Barrera-Herrera, L.E.; Lasso-Apraez, J.I. Hidden in Plain Sight: Peritoneal Tuberculosis Mimicking Ovarian Neoplasm—A Case Report. Trop. Med. Infect. Dis. 2025, 10, 346. https://doi.org/10.3390/tropicalmed10120346
Romero-Rojas DS, Rojas-Torres A, Amell-Barón B, Serna D, Vasquez-Pinto L, Barrera-Herrera LE, Lasso-Apraez JI. Hidden in Plain Sight: Peritoneal Tuberculosis Mimicking Ovarian Neoplasm—A Case Report. Tropical Medicine and Infectious Disease. 2025; 10(12):346. https://doi.org/10.3390/tropicalmed10120346
Chicago/Turabian StyleRomero-Rojas, Dolfus Santiago, Andrés Rojas-Torres, Brenda Amell-Barón, David Serna, Luis Vasquez-Pinto, Luis Eduardo Barrera-Herrera, and Javier Iván Lasso-Apraez. 2025. "Hidden in Plain Sight: Peritoneal Tuberculosis Mimicking Ovarian Neoplasm—A Case Report" Tropical Medicine and Infectious Disease 10, no. 12: 346. https://doi.org/10.3390/tropicalmed10120346
APA StyleRomero-Rojas, D. S., Rojas-Torres, A., Amell-Barón, B., Serna, D., Vasquez-Pinto, L., Barrera-Herrera, L. E., & Lasso-Apraez, J. I. (2025). Hidden in Plain Sight: Peritoneal Tuberculosis Mimicking Ovarian Neoplasm—A Case Report. Tropical Medicine and Infectious Disease, 10(12), 346. https://doi.org/10.3390/tropicalmed10120346

