Abstract
Legumes contain variable amounts of bioactive substances, including protease inhibitors, which have a protective role against herbivorous insects and bacterial, fungal, and viral pathogens. However, their potential for application in agricultural and medicinal practices requires additional investigation. Bitter vetch (Vicia ervilia (L.) Willd.) is an ancient crop that is now underutilized, and its potential for various applications has recently been reevaluated. In this study, we report the purification, characterization, and bioactive properties of a protease inhibitor against trypsin/chymotrypsin-type proteases (vPI) from bitter vetch seeds. The inhibitor was purified by extraction under acidic conditions, ammonium sulfate fractionation, and size-exclusion chromatography. Its inhibitory specificity, thermostability, pH stability, and antioxidant and antimycotic activity against Alternaria alternata, Alternaria solani, Aspergillus fumigatus, Aspergillus niger, Candida albicans, Fusarium solani, Mucor michei, Penicillium griseofulvum, and Rhizopus oryzae were evaluated. Purified vPI presented superoxide anion scavenging power and antifungal activity in response to all tested strains except M. michei. It had the strongest effect on F.solani and A. solani, and a moderate effect on P. griseofulvum and C. albicans. The treatment of A. alternata, R. oryzae, A. fumigatus, and A. niger demonstrated high efficacy within the initial 24h but declined thereafter. The usefulness and limitations of the vPI application in practice are discussed.
1. Introduction
Legumes are the third-largest crop in the world after cereals and oilseeds, and are a complete functional food rich in high-quality proteins (200–450 mg/g) and carbohydrates (300–650 mg/g) [1,2,3]. In addition to their high nutritive value, legumes contain variable amounts of bioactive substances with a protective effect on the plant itself, such as phytates, saponins, tannins, protease inhibitors (PIs), and others [4], which is why some legumes are also used as herbs in folk medicine [5]. However, the potential of legumes as a source of certain useful substances, particularly PIs, remains insufficiently elucidated. Bitter vetch (Vicia ervilia (L.) Willd.) is a diploid (2n = 14), predominantly self-pollinating annual plant species of the genus Vicia, one of the oldest domesticated crops originating from the Mediterranean region, and one of the main cultures in the Middle East [6,7]. It was initially used for food, and later used for grain and grass feed, and as an energizer [8,9]. Nowadays, bitter vetch is considered to be a neglected and underutilized crop [10] but with good potential as an alternative to soybean for animal feed, and as a crop suitable to meet future climate challenges and the needs of organic farming and global food security, as this semi-desert climate-adapted crop tolerates shallow and low-fertility soils and grows well, with low water requirements [10,11,12]. Recently, increased attention has also been paid to the potential of bitter vetch for some medicinal applications. In traditional ethno-medicine, bitter vetch has long been used for the treatment of digestive system pathologies, allergies, and rheumatic pains [5]. Ethanol extracts of bitter vetch seeds possess antioxidative, anti-inflammatory, analgesic, anti-ulcerogenic, anti-hyperglycemic, antiviral, and tumor cell proliferation-inhibiting activities [8,9]. Bitter vetch seeds contain PIs mainly against serine-type proteases [13], but their properties and potential for use in medicine have yet to be evaluated and reported.
Plant PIs are low-molecular-weight proteins with putative functions such as fine regulation of intracellular proteases at certain developmental stages, such as seed germination, morphogenesis, aging, and programmed cell death; they also play a protective role against herbivorous insects; bacterial, fungal and viral pathogens (inhibition of proteases of foreign origin); and violation of the integrity of plant tissues [14,15,16,17]. Plants synthesize PIs against all known classes of proteases, mainly against serine-type proteases, followed by cysteine-type PIs and metalloproteases, and the least prevalent type are inhibitors of aspartate proteases [18,19]. PIs are present in all legume plant parts but are found in a particularly large amount in seeds, where they can reach 1–10% of water-soluble proteins, preventing both premature germination and seed predation [20,21]. In legumes, the predominant inhibitors against serine proteases are of the Kunitz type (18–24 kDa, KTI), which block trypsin-like proteases, and Bowman–Birk type (8–10 kDa, BBI), which independently block two protease molecules similar to trypsin, chymotrypsin and elastase [20,22]; inhibitors against subtilisin-type serine proteases have also been described [23]. PIs in plants are induced both by abiotic stress and phytopathogen attacks and belong to the PR-6 family of pathogenesis-related proteins [21,24]. A number of PIs have been isolated from plants, mainly from Leguminosae, Solanaceae, Cucurbitaceae, and Gramineae families, and their properties have been studied partially or in more detail [25].
Relatively little is known about the proteases targeted by PIs. Many microorganisms, including fungi, secrete a set of proteases necessary for the digestion of protein substrates and important for the growth and development of both saprophytic and pathogenic fungi [26,27,28]. Fungal proteases can cause damage to the host by destroying host cells and tissues during invasion and by degrading host defense molecules [29]. Extracellular proteases act as virulence factors for the host in plants, animals, and humans. A direct dependence has been observed between the activity of extracellular proteinases in microorganisms and the intensity of plant disease [26]. Many fungal allergens possess proteolytic activity and can also act as adjuvants, potentiating responses to other allergens [27]. Fungal proteases have high plasticity and act as a powerful virulence factor, which makes them potential targets for therapeutic intervention.
Along with the secretion of a serine-type protease, fungal pathogens enhance the production of reactive oxygen species (ROS) during host invasion [30]. ROS are byproducts of aerobic respiration and comprise mainly singlet oxygen, superoxide anion (•O2−), hydroxyl radical (OH•), and hydrogen peroxide (H2O2); both hosts and pathogens have developed efficient ROS-producing and scavenging systems that are under complex regulatory control to limit damage and use transient ROS imbalance in signaling [31,32]. ROS are a critical regulator of fungal vegetative and reproductive growth and development, being involved in the formation of conidia, sclerotia, conidial anastomosis tubes, and infectious structures [33,34,35]. Some studies have reported additional antioxidant properties of the isolated plant protease inhibitors [36,37,38].
Filamentous fungi cause increasing health and food sustainability problems. Some widely distributed fungi, such as Fusarium, Aspergillus, Candida spp., etc., cause opportunistic fungal infections and allergies in individuals with compromised immune systems [39,40]. Aspergillus, Fusarium, Penicillium, Alternaria, and Mucor spp. are the main producers of mycotoxins harmful to plant and human health [41]. A serious problem is the increasing antifungal drug resistance, which necessitates a constant search for new antifungal compounds [29]. In this respect, natural PIs, due to their specific mechanism of action, are an alternative to synthetic protease inhibitor drugs, which can have various side effects [29]. Plant protease inhibitors are promising tools that can be applied for medical use [42,43,44]. Most studies on serine PIs have focused on their antitumor activity, although anti-inflammatory and radioprotective effects have also been reported [45,46,47]. The isolation, purification, and characterization of PI from a medicinal plant such as bitter vetch, as well as its testing for possible bioactive properties, will provide valuable new information that is essential to the biotechnological potential of purified PI.
The aim of the present study was to purify and characterize a low-molecular serine protease inhibitor from bitter vetch seeds and to evaluate its antimycotic activity against several fungal pathogens, such as Alternaria alternata, Alternaria solani, Aspergillus fumigatus, Aspergillus niger, Candida albicans, Fusarium solani, Mucor michei, Penicillium griseofulvum, and Rhizopus oryzae. Additionally, the potential antioxidant activity of the purified protease inhibitor was tested.
2. Materials and Methods
2.1. Reagents and Chemicals
The following enzymes were used in the study: trypsin from bovine pancreas (type III, salt-free lyophilized 10,500 BAEE units/mg solid, Cat No T-8253, (Sigma-Aldrich, St. Louis, MO, USA); α-Chymotrypsin (3 × crystallized, salt-free, lyophilized, 45 units/mg, Serva Cat No17160); proteinase from Bacillus licheniformis Subtilisin A Type VIII (lyophilized powder, 7–15 units/mg solid, Cat No P5380, Merck, Darmstadt, Germany); papain from papaya latex (lyophilized powder, ≥10 units/mg protein, Cat No P4762, Sigma-Aldrich); collagenase from Clostridium histolyticum (Type I, ≥125 CDU/mg solid Cat No C0130, Sigma-Aldrich). The enzyme substrates used were Nα-Benzoyl-DL-arginine 4-nitroanilide hydrochloride (BAPNA, ≥98% purity, Cat. No. B4875, Sigma-Aldrich); N-Glutaryl-L-phenylalanine p-nitroanilide GLUPHEPA (Cat. No G2505, Sigma-Aldrich); and azocasein (Cat No A-2765, Sigma-Aldrich). Ammonium sulfate p.a. enzyme quality was obtained from Roth (Karlsruhe, Germany). Soybean trypsin–chymotrypsin inhibitor (T9777, Sigma-Aldrich) was used as a positive control. Ammonium sulfate p.a. enzyme quality for protein purification was obtained from Roth (Karlsruhe, Germany). The Mw SDS standards used were from Bio-Rad, (Hercules, CA, USA). To check bioactivities, 2,2-Diphenyl-1-picrylhydrazyl (DPPH, Cat No D9132, Sigma-Aldrich), 2,2′-Azino-bis(3-ethylbenzothiazoline-6-sulfonic acid) diammonium salt (ABTS, ≥98% (HPLC), chromogenic, powder, Cat No A1888, Sigma-Aldrich); L-Ascorbic acid (≥99.0%, crystalline, Cat. No. A5960, Sigma-Aldrich); p-Nitroblue Tetrazolium Chloride, ≥98% (TLC), crystalline solid, Cat No 484235, Sigma-Aldrich); Nystatin (powder, suitable for cell culture, Cat No N6261, Sigma-Aldrich); and Resazurin sodium salt (7-Hydroxy-3H-phenoxazin-3-one-10-oxide sodium salt) powder (Cat No R7017, Sigma-Aldrich) were used. All reagents were of analytical-grade purity and were mostly purchased from Sigma Chemical Co. (St. Louis, MO, USA).
2.2. Fungal Strains and Culture Conditions
Nine fungal strains were included in the study, most of them belonging to Ascomycota. Five of the species used are phytopathogens but can also cause health problems in humans. All these fungal species are widely distributed in nature (more information can be found in Supplementary Table S1). All used strains belonged to the Mycological collection of the Stephan Angeloff Institute of Microbiology, Bulgarian Academy of Sciences (SAIM, BAS), Sofia. Long-term preservation of these fungi was carried out in the Microbank system (Prolab Diagnostics, Richmond Hill, ON, Canada), which consists of sterile vials, each containing 25 porous, colored beads and a cryopreservative fluid at −80 °C. Before use, the conidiospores were grown on potato-dextrose agar (PDA) medium at 28 °C for 7 days.
2.3. Protein Quantification
Protein content in the fractions eluted in FPLC size-exclusion chromatography were monitored by changes in absorbance at 280 nm. The protein concentration during preparative gel filtration and in purified protein samples was measured by the method created by Bradford [48] using a standard curve with bovine serum albumin. The protein content in each fraction of the elution profile was tested in duplicate. Pure protein content was determined in triplicate.
2.4. Determination of Protease Inhibitory Activity
Trypsin inhibitory activity (TIA) and chymotrypsin inhibitory activity (CIA) were estimated with the respective substrates (BAPNA or GLUPHEPA) as described in [49,50]. Briefly, serial dilutions of the sample (250 µL) were pre-incubated for 15 min at 37 °C in a thermoshaker with fixed amount of trypsin (5 µg in 250 µL) or chymotrypsin (25 µg in 250 µL) and the residual activity was measured after 15 min incubation with the respective substrate (0.25 mg in 625 µL buffer) −50 mM Tris pH 8.2, 20 mM CaCl2 for trypsin, or 50 mM Tris pH 7.8 wih 20 mM CaCl2 for chymotrypsin. The reaction was stopped by adding 125 µL of 30% CH3COOH (v/v), and the absorbance was read at 410 nm. One unit of TIA/CIA was defined by the volume exhibiting 50% inhibition of trypsin or chymotrypsin.
Inhibitory activities against other protease types were studied with azocasein as a substrate in the appropriate conditions as follows: for subtilisin, 0.1 M Tris-HCl pH 8.5 containing 10 mM CaCl2; for collagenase, 0.1 M Tris-HCl pH 7.5 containing 10 mM CaCl2 and 0.1M EDTA; and for papain, 0.1 M Tris-phosphate buffer pH 6.5 containing 5 mM cysteine. Serial dilutions of the purified vPI starting from 25 µg per test (in 100 µL) were pre-incubated with the respective proteases (1 µg per test for subtilisin and papain, 5 µg per test for collagenase in 100 µL) for 15 min at 37 °C, followed by adding 500 µL of the respective buffer and starting the enzymatic reaction with 100 µL 2% w/v azocasein in distilled water. After incubation for 1 h at 37 °C, the reaction was stopped with 150 µL 50% w/v trichloroacetic acid in an ice bath; the precipitated protein was removed by centrifugation for 30 min, 14,000 rpm at 4 °C (Sigma-2-16 K); and the absorbance in the clear supernatant was read at 450 nm after mixing 1:1 with 1N NaOH.
Negative controls (blanks with buffer instead of external enzyme) and positive controls (only enzymes with distilled water instead of a sample presumably containing PI) were included in every evaluation of protease inhibitory activity.
2.5. Purification of a Protease Inhibitor from Vicia ervilia L.
Seeds of bitter vetch of the cultivar Rodopi were obtained from the Institute of Plant Genetic Resources in Sadovo, Bulgaria. Seed material, which was finely ground to a powder using a mill, was extracted with 100 mM sodium acetate buffer pH 4.0 at a ratio 1:5 w/v for 1 h at room temperature (RT) with a constant rotation. Polyclar AT (25 mg per g seed powder) and phenylmethanesulfonyl fluoride (PMSF, final concentration 2 mM from 0.1 M stock in dimethylsulfoxide) were added at the beginning of the extraction. The homogenate was centrifuged twice for 30 min, 8550 rpm (Sigma-2-16 K) at 4 °C. The pellet was re-extracted for 1 h at RT with the same buffer and centrifuged under the same conditions. The unified clear supernatants were subjected to ammonium sulfate (Roth, enzyme-grade reagent) fractionation in the range 30–70% w/v. The 70% ammonium sulfate pellet was dissolved in 0.1 M Tris-HCl pH 8.0 with 0.1 M NaCl and desalted in mini columns filled with Sephadex G-25 fine (Pharmacia, Uppsala, Sweden), equilibrated with the same buffer. The protein eluted in the void volume was collected and fractionated by preparative gel filtration on Sephadex G-75 superfine (Pharmacia) in an open column (bed height −30.6 cm, r −1.25 cm, fractionation range 3–70 kDa for globular proteins, sample volume 15–16% of the bed volume), and equilibrated with 0.1 M Tris-HCl pH 8.0 containing 0.1 M NaCl. Gel filtration was run at RT at a flow rate of 1 mL/min. Fractions were collected on ice and analyzed for protein content and for TIA. Active fractions were pooled, concentrated in vivaspin centrifuge tubes 5 kDa MWCO (Sartorius), and subjected to rechromatography on Sephadex G-75 under the same conditions. TIA active fractions from the rechromatography were concentrated in vivaspin centrifuge tubes 5 kDa MWCO; the buffer was replaced by distilled water; and the preparations were lyophilized after a purity check was performed by electrophoresis. Additionally, Fast Protein Liquid Chromatography (FPLC) Analysis was performed using a Bio-Rad system model NGS Quest 10 Plus with Size Exclusion Chromatography (SEC) column ENrich SEC 70 (Bio-Rad Laboratories, Inc., Hercules, CA, USA) calibrated with gel filtration standard (Bio-Rad, Laboratories Inc., Hercules, CA, USA, cat No 1511901–bovine thyreoglobulin 670 kDa, bovine gamma-globulin 158 kDa, chicken ovalbumin 44 kDa, horse myoglobin 17 kDa, and Vitamin B12 1.35 kDa), in 0.05 M potassium phosphate buffer pH 7.5 containing 0.1 M NaCl, at a sample loading volume of −0.8 mL and a flow rate of 1 mL/min. Collected fractions were concentrated and analyzed for TIA.
2.6. Electrophoretic Analysis
SDS-PAGE was performed on 12% PAGE in the presence of 2-mercaptoethanol in the sample buffer, using the Tris-Tricine buffer running system for low MW proteins as described by Schägger and Von Jagow [51]. Separated proteins were fixed in the gel slabs with 5% glutaraldehyde and stained with 0.1% Coomassie brilliant blue R-250 in 10% acetic acid. A broad range SDS MW standards (Bio-Rad, Hercules, CA, USA) containing myosin (200 kDa), phosphorylase-b (116 kDa), BSA (66 kDa), ovalbumin (45 kDa), carbonic anhydrase (31 kDa), soybean trypsin inhibitor (21.5 kDa), lysozyme (14.4 kDa), and aprotinin (6.5 kDa) were used.
2.7. Biochemical Characterization of the Purified Protease Inhibitor
For these tests, protease inhibitors were used with an initial concentration of 0.5 mg/mL in 50 mM Tris-HCl pH 8.0. Tests were performed as described in [52]. Thermostability was tested by heating the inhibitor solution (additionally diluted to 0.1 mg/mL in the same buffer) in a thermo-shaker at 60 °C, 70 °C, 80 °C, or 90 °C for 60 min, 250 rpm, cooled in ice, and the residual TIA was measured as described above in Section 2.3. The following buffers were used for pH stability studies: pH 2 and 3–glycine-HCl, pH 4, 5 and 6–sodium acetate, pH 7, 8, 9–Tris-HCl, pH 10 and 11–glycine-NaON. Incubation mixtures containing 25 μL of inhibitor and 100 µL buffer with the appropriate pH (20 mM final buffer concentration) were kept at 37 °C for 60 min in a thermo-shaker (250 rpm). Then, the pH was corrected with 375 μL of 50 mM Tris-HCl pH 8, and the residual TIA was measured as described above. For estimation of the effect of reducing agents, samples were incubated with DTT with final concentrations of 0.1; 1; and 10 mM for 120 min at RT, and the residual TIA was measured. To test vPI specificity with regard to additional protease types, aside from trypsin and chymotrypsin, the following proteases were used: subtilisin from Bacillus licheniformis (serine protease), papain from Carica papaya (cysteine protease), and collagenase from Clostridium hystolyticym (metalloprotease). Proteases were used from stock solutions of 2 mg/mL in the appropriate dilutions (described in Section 2.3), giving 90% of the maximal activity at plateau concentration. Papain was preliminarily activated by incubation for 2 h at 40 °C in a buffer containing 10 mM cysteine. To check the type of inhibition against trypsin and chymotrypsin, varying concentrations of vPI were incubated with a fixed amount of trypsin (2.5 μg per test) or chymotrypsin (50 µg per test), and the residual TIA or CIA were estimated with serial dilutions of the respective substrate, then Lineweaver–Burk plots were constructed.
2.8. Antifungal Activity Assay
Inoculum suspensions were prepared from 5- to 7-day-old cultures grown on PDA. The resultant spores were washed into a sterile solution of Triton X-100 and adjusted to a concentration of 2 × 106 spores/mL. The antifungal effects of the purified protease inhibitor from V. ervilia and commercial drug (Nystatin, Nys) against test fungal strains were determined using the broth microdilution method (BMD) with resazurin according to the protocol of the Department of Mycology at the SAIM, BAS, as previously reported [53]. In general, 96-well ELISA reader plates were prepared by adding 50 μL of potato dextrose broth (PDB) supplemented with 50 μL of the tested compounds in a final concentration of 1.4 mg/mL to each well. Subsequently, 10 μL of spore suspension and 30 μL of 0.02% resazurin were added, and the plates were incubated for 48h at 28 °C. The following control samples were used for each variant: negative control (medium + inoculum) and positive control (medium + inoculum + test compounds without resazurin). Culture plates were subjected to an incubation process at a temperature of 28 °C for a duration of 48 h. The inhibitory effect was evaluated at 24 h intervals through two distinct methods: (1) direct observation of growth and change in the dye color from blue to pink to purple and (2) measurement of the optical density at 600 nm (ELISA Reader BIOBASE-EL10A, Biobase Biodustry Ltd., Shangong, China). All of the experiments were performed in triplicate. For the MIC (minimum inhibitory concentration) analysis, a two-fold serial dilution was used across the entire column of wells in the microtiter plates. Controls were used as described above. The color change in each well was then observed visually. The MIC was defined as the concentration of the vPI that was able to disrupt the conversion of resazurin to resorufin. The minimum inhibitory concentration (MIC) was defined as the lowest vPI concentration in a well at which 100% reduction in optical density was observed compared to the no-drug control well. The MIC was determined using concentrations from 0.044 to 2.8 mg/mL.
2.9. Antioxidant Activity Assay
The ABTS (2,2-azinobis (3-ethylbenzothiazoline-6-sulfonate)) antioxidant activity test was prepared according to the method described in [54]. Next, 200 μL of purified protease inhibitor from V. ervilia at a concentration of 0.375 mg/mL was mixed with 1.8 mL of ABTS+• solution and allowed to stand in the dark for 10 min at room temperature. The absorbance was determined at 700 nm by UV–Vis Spectrophotometer (Shimatsu, Osaka, Japan) using a blank (ABTS solution without the extract) for comparison. All the measurements were carried out at least three times. The percentage of scavenging of ABTS radical was calculated using the following equation:
ABTS activity (%) = (ODControl − ODSample)/ODControl × 100
2.10. DPPH Radical Scavenging Activity
The DPPH assay was executed in accordance with the methodology outlined by Brand-Williams et al. [55]. In this assay, the interaction between DPPH and an antioxidant compound capable of donating hydrogen results in the reduction of DPPH. An aliquot of 0.5 mL of the purified protease inhibitor from V. ervilia at a final concentration of 1.25/mL was mixed with 1 mL of a 60 μM ethanolic DPPH solution. The resulting mixture was vortexed thoroughly and incubated for 30 min at room temperature. The absorbance was then recorded at 517 nm, using a blank (DPPH solution without the extract) for comparison. A decrease in absorbance reflected the free radical scavenging potential of the tested sample. The scavenging activity was estimated based on the percentage of DPPH radical scavenged according to the following formula:
DPPH activity (%) = (ODControl − ODSample)/ODControl × 100
The value of IC50 was defined as the concentration for 50% effect of scavenging superoxide-anion radical, DPPH, and ABTS radicals calculated by linear regression, and analyzed using Origin 8.5 professional software. All the diagrams were made using professional software (Origin 8.5).
2.11. Superoxide Anion-Scavenging Activity
Determination of superoxide anion scavenging activity was achieved by inhibition of nitro blue tetrazolium (NBT) reduction by photochemically generated •O2− [56]. Samples were prepared to contain increasing concentrations of the purified protease inhibitor from V. ervilia or ascorbic acid (vit. C) in a range from 3 to 200 mg/mL. The reaction mixture consisted of 56 μM NBT, 0.01 M methionine, 1.17 μM riboflavin, 20 μM NaCN, and 0.05 M phosphate buffer with a pH of 7.8. Superoxide presence was evaluated by the increase in absorbance at 560 nm at 30 °C after 6 min of incubation since illumination. The dose dependence of the superoxide anion-scavenging effect of the extract and vit. C (reference substance) was calculated against different concentrations. All values were the mean of three measurements and expressed as mean ± SD.
2.12. Statistical Evaluation of the Results
The obtained results were evaluated by at least three repeated experiments that use three parallel runs and reported mean values. The error bars indicate the standard deviation (SD) of the mean of triplicate experiments. The data were analyzed using one-way analysis of variance (ANOVA), followed by Tukey’s test. For the statistical processing of the data, the version of the ANOVA software built into the Origin program (OriginPro 2019b, 64-bit) was used.
3. Results
3.1. Purification and Characterization of a Protease Inhibitor from Bitter Vetch Seeds
3.1.1. Purification Procedure
We performed some preliminary experiments with varying extracting conditions (distilled water, acetate buffer pH 4, or Tris buffer pH 8), which resulted in similar total inhibitory activity per g seed flour but higher specific TIA per mg protein at pH 4, due to the lower total amount of extracted protein in acidic conditions. The addition of Polyclar AT (a water-insoluble polyvinylpyrrolidone used for binding phenols) was also indispensable during extraction to protect proteins. Ammonium sulfate fractionation resulted in a small loss of total TIA and little gain in specific activity; however, at this stage, most of the secondary metabolites were eliminated (Table 1).
Table 1.
Purification outcome with starting material of 60 g bitter vetch seed flour.
As shown in Figure 1, the preparative fractionation of the protein fraction on Sephadex G-75 (separation range 3–70 kDa for globular proteins) partitioned the low-MW fraction with TIA from the bulk of the proteins having MW above 30 kDA and without TIA, thus obtaining an 8-fold increase in specific TIA with only a 5.3% loss of total protease inhibitory activity.
Figure 1.
Gel filtration on Sephadex G 75-protein and activity profiles. Line in black with squares—protein content, line in red with circles—trypsin inhibiting activity.
Rechromatography on Sephadex G75 further separated active inhibitory fractions from other low-MW proteins. Figure 2a depicts the principal purification steps analyzed by SDS-PAGE in Tris-tricine buffer system, which has been proved suitable for separating proteins within a 1–100 kDa MW range. The purity of the protease inhibitor preparation was calculated to be 93.28 ± 4.35% (mean and sd, n = 8), based on an image analysis of PAGE overloaded with fractions that have TIA.
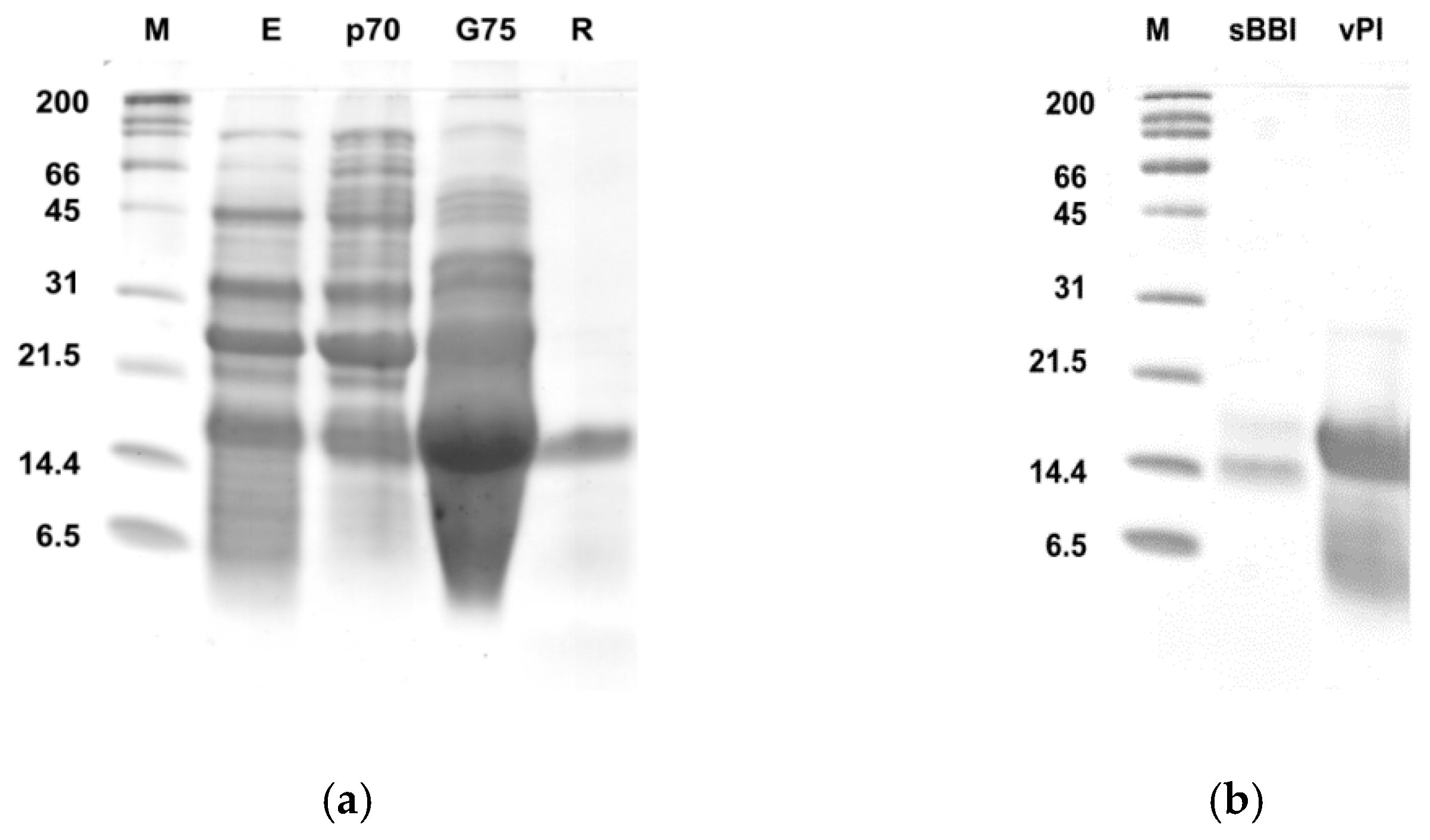
Figure 2.
SDS electrophoretic analysis: (a) purification steps: M-SDS broad-range molecular mass markers; E–extract (30 μg protein load), p70-dissolved and desalted pellet after 30–70% ammonium sulfate fractionation (35 μg protein), G75-concentrated fraction with TIA after preparative gel filtration on Sephadex G-75 (50 μg protein), R–TIA fraction (10 μL) after rechromatography on Sephadex G-75; (b) comparison of the purified vPI with soybean BBI (b): M-SDS broad-range molecular mass markers, sBBI–trypsin–chymotrypsin protease inhibitor from Glycine Max (Sigma)-2 µg/H2Od, vPI-purified protease inhibitor from Vicia ervilia (5 µg/H2Od).
The purified inhibitor (vPI) presented a single band on SDS electrophoresis with an apparent molecular weight of about 17 kDa (Figure 2a, line R). As seen in Figure 2b, the apparent molecular mass of vPI was similar to that of soybean BBI (apparent molecular mass by electrophoresis 14 kDa) and was distinct from that of Kunitz-type soybean PI (one of the proteins included in the broad-range MW markers: the band of 21.5 kDa).
The purification steps were repeated using the FPLC system (Supplementary Figure S1). All protein peaks were analyzed for TIA. The initial calibration of the column with suitable protein standards allowed estimation of the apparent molecular mass of TIA active fractions—one of 15.25 kDa in the first run; a major peak of 13–15 kDA and another one of 7 kDa in a rechromatography run.
Thus, with relatively few steps, we obtained a protease inhibitory preparation with yield and purity good enough to be tested for biochemical properties and various biological activities. Overall, 11-fold purification was achieved with ~14% recovery of TIA after analytical rechromatography.
3.1.2. Biochemical Characterization of the Purified vPI
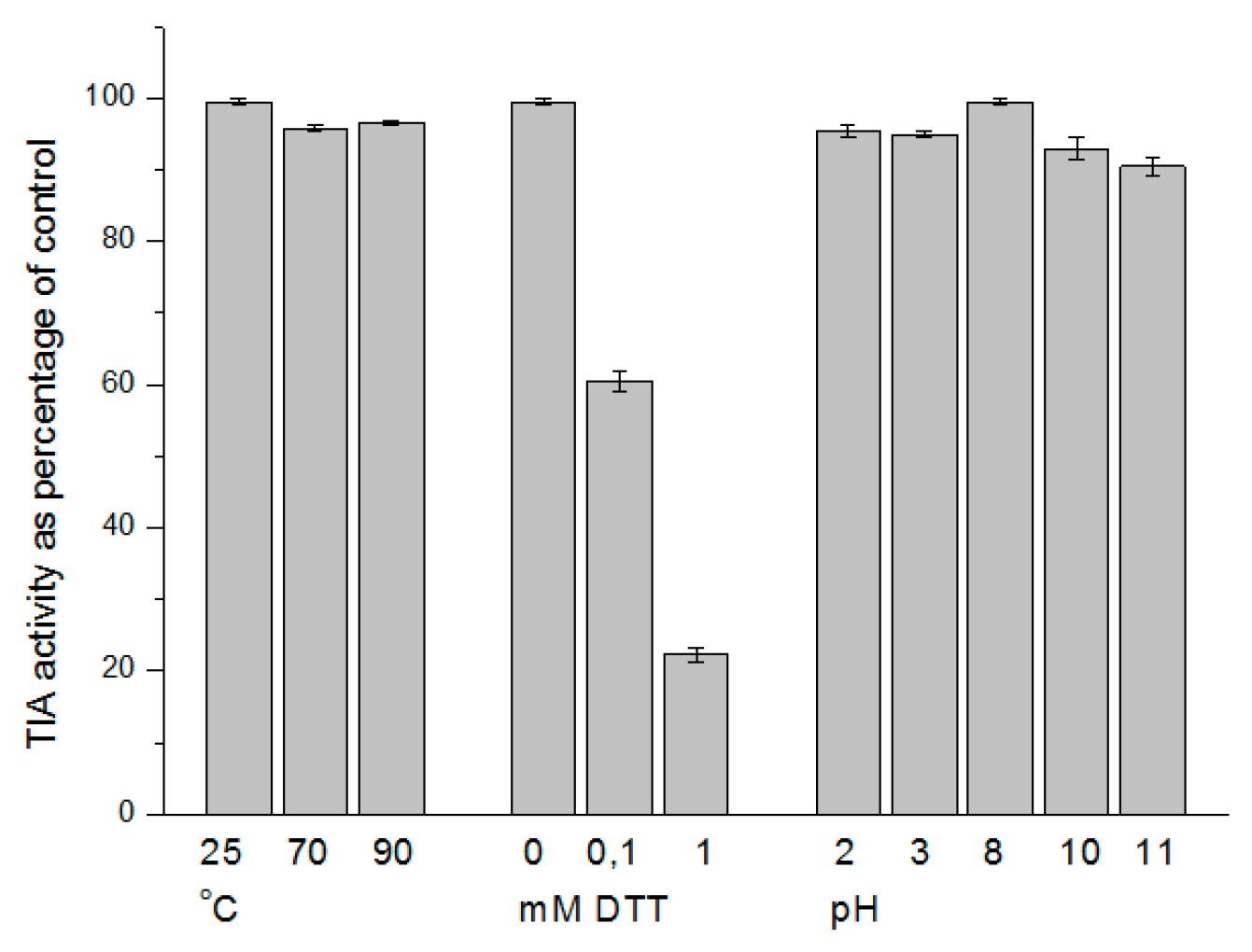
The purified vPI was active over a wide pH and temperature range but was susceptible to the reducing agent dithiotreitol (Figure 3). The temperature and pH stability of vPI as well as its susceptibility to reducing agents were comparable to those of a commercial preparation of soybean Bowman–Birk-type inhibitor tested under the same conditions (Supplementary Table S2). After one hour of incubation at 90 °C, vPI conserved 96.5% of its initial activity, and sBBI conserved 98.7%. After one hour of incubation at pH 2, vPI conserved 93.5% of its initial activity, and sBBI conserved 93.9%. After one hour of incubation at pH 11, vPI conserved 90.5% of its initial activity, and sBBI conserved 95.9%. DTT in a concentration of 1.0 mM diminished the TIA of vPI to 22.25% of the initial amount.
Figure 3.
Thermostability; DTT effect on TIA; pH stability of the purified vPI.
The inhibitory activity of vPI was checked against different classes of proteases: serine (trypsin, chymotrypsin, and bacterial subtilisin); cysteine (plant papain); and metalloproteases (bacterial collagenase). The purified inhibitor displayed high specificity for trypsin and chymotrypsin (serine-type S1A proteases), and some inhibition but about 100 times less effectiveness against the S8 family of serine proteases and no inhibition of cysteine and metalloproteases (Supplementary Table S3).
The Lineweaver–Burk plots for vPI inhibition of trypsin (TIA) and chymotrypsin (CIA) indicate typical non-competitive inhibition with an increased ordinate intercept and no effect on the abscissa intercept (Figure 4). The half-inhibitory amount of vPI per 1 µg tested protease, calculated from the Lineweaver–Burk plots, was 0.108 µg vPI for trypsin and 0.023 µg vPI for chymotrypsin.
Figure 4.
Lineweaver–Burk plots for vPI inhibition of (a) trypsin (TIA) and (b) chymotrypsin (CIA). The concentrations of the vPI used (μg per test) are written on the side of each line. 1/a—reciprocal of BAPNA (TIA) or GLUPHEPA (CIA) mM concentrations; 1/V—reciprocal of OD 410 for each condition.
According to these results, the purified vPI presents biochemical properties similar to those of the Bowman–Birk family of trypsin–chymotrypsin protease inhibitors. It also retains chymotrypsin inhibitory activity when preliminarily incubated with trypsin in a complete inhibitory concentration, which indicates that there are two independent binding sites for the two proteases. These characteristics prompted us to test the purified vPI for biological activities.
3.2. Bioactive Properties of the Purified vPI
3.2.1. Antifungal Activity
The purified protease inhibitor from V. ervilia was tested for antifungal activity against a set of potentially pathogenic fungal strains belonging to the most common genera (Table 2).
Table 2.
Antifungal inhibitory activity of the purified vPI using the broth microdilution method.
The data in Table 2 demonstrate the antifungal activity determined by the BMD. The vPI displayed a significant inhibitory effect on eight out of the nine strains examined, except for the strain M. michei, which exhibited no growth inhibition. The efficacy of vPI is influenced by both the specific strain and the duration of exposure. The most significant antifungal action was observed in the treatments of A. solani and F. solani, where the suppression of mycelial growth persisted for 48 h. Furthermore, fungal growth suppression was also noted for a duration of 48 h in both P. griseofulvum and C. albicans. Analogous results were achieved for R. oryzae, followed by A. niger, A. fumigatus, and A. alternata, though this was only observed within the initial 24 h period. An analysis of the findings indicates that the vPI is more effective than the commercial drug Nys against A. alternata, A. solani, A. fumigatus, P. griseofulvum, and R. oryzae. Conversely, Nys was more effective in treating C. albicans and F. solani. It should be noted that strains of M. michei and A. niger are entirely resistant to Nys.
The minimal inhibitory concentrations (MICs) were determined by registering fungal growth after 24 and 48h incubation with vPI (Table 3).
Table 3.
MIC values [mg/mL] of tested fungal strains recorded after 24 and 48 h of incubation with the purified vPI.
The results demonstrated that the degree of antifungal activity exhibited variability according to both the time of incubation and the type of strain used in the study. Following a 24 h period, most of the strains (P. griseofulvum, A. alternata, A. solani, and A. fumigatus) had the lowest MIC value of 0.175 mg/mL. The vPI was also very active against F. solani, R. oryzae, and A. niger with a MIC of 0.35 mg/mL, followed by C. albicans with 0.7 mg/mL. The only strain that was not affected by the vPI treatment was M. michei. A comparison of the MIC values reveals that, at 48 h, they were lower than those at 24 h. Furthermore, C. albicans exhibits a complete loss of sensitivity at the employed vPI concentrations.
3.2.2. Antioxidant Activity of the Protease Inhibitor Isolated from V. ervilia
The DPPH and ABTS methods were used to evaluate the antioxidant properties of purified vPI (Table 4). The DPPH radical scavenging assay allows DPPH free radical to remain stable at ambient temperature and it can accept either an electron or a hydrogen atom, resulting in the formation of yellow-colored diphenyl-picryl hydrazine. As demonstrated in Table 4, the impact of vPI on DPPH radical exhibited 4.5-fold lower scavenging activity compared to ascorbic acid (positive control), a conventional antioxidant. Thus, the pure compound tested in the present study has hydroxyl groups, which could serve as hydrogen donors. The antioxidant capacity of the isolated vPI was examined via the ABTS method, and the results obtained were found to be more pronounced than those obtained via the DPPH method. However, the antioxidant capacity of the isolated vPI was also found to be 2-fold lower than that of ascorbic acid. The IC50 values for DPPH and ABTS of the vPI were significantly higher than those of ascorbic acid, thus confirming the moderate radical scavenging activity of the purified plant inhibitor.
Table 4.
Radical scavenging activity of vPI of V. ervilia.
The antioxidant effect of the tested vPI was also evaluated in terms of its ability to suppress superoxide anion radicals (•O2−) generated in a photochemical system (Figure 5).
Figure 5.
Dose dependence of the superoxide anion-scavenging effect of the purified protease inhibitor from V. ervilia (red line) and ascorbic acid (blue line) as a positive control. Values are the means of three repeated experiments with 3 replicates in each trial; bars represent the standard deviation. The vPI exerted a statistically significant effect on superoxide anion-scavenging activity (Tukey, p > 0.05).
As is well known, •O2− plays a key role in the formation of several strong oxidizing agents. For this reason, it is crucial to evaluate the scavenging activity against this species. The reduction in absorbance at 560 nm in the presence of a protease inhibitor suggests the consumption of the superoxide anion within the reaction with NBT in a dose-dependent manner. The scavenging activity of vPI was very close to that of ascorbic acid (positive control). The IC50 values (concentrations required to scavenge 50% of the superoxide anion radicals) of the tested samples were calculated from the dose-dependent curves. The IC50 value of the vPI was found to be approximately twofold higher in comparison to that of ascorbic acid.
According to these results, the purified vPI displayed relatively low radical scavenging activity but higher superoxide anion-scavenging activity, comparable to that of the positive control ascorbic acid. The fungistatic effect of vPI depended on the fungal species: none was observed for M. michei, the strongest effect was observed for A. solani and F. solani, and an intermediate effect was observed for C.albicans and P. griseofulvum at 48 h of treatment. The antifungal effect against A. alternata, A. fumigatus, A. niger, and R.orizae was strong at 24h of treatment but negligible at 48 h of treatment. The nystatin control had a similar diminishing effect on A. alternata, C.albicans, and P. griseofulvum and did not influence M. michei and A. niger, which is indicative of the high plasticity/drug resistance among certain fungal strains.
4. Discussion
Purification of a protease inhibitor from V. ervilia seeds has not been previously reported. We followed a strategy similar to the steps described for the purification of PIs from other legume species: ammonium sulfate fractionation followed by gel chromatography suitable for low-MW proteins [50,57,58]. Our screening studies on TIA activity in different legume species showed that in the case of bitter vetch, TIA activity estimation in seed extracts was best under acidic conditions [59]. Usually, legume seeds contain both Kunitz-type and Bowman–Birk-type serine protease inhibitors in varying proportions depending on the species [13,20]. However, acidic extraction predominantly favors the isolation of the pH-stable Bowman–Birk type inhibitor. Similar acidic extraction conditions were used in the purification of trypsin/chymotrypsin inhibitors from broad beans [60] and from red kidney beans [61]. Stability in response to heat, extremal pH conditions, and susceptibility to reducing agents (Figure 3) are characteristic features of Bowman–Birk-type legume serine protease inhibitors [62,63,64,65]. The electrophoretic mobility of the purified vPI was very close to that of commercial purified soybean BBI (Sigma-Aldrich) and clearly distinct from that of soybean KTI (Figure 2b). A similar discrepancy between the electrophoretically observed MW and the MW obtained by mass spectrometry (8–10 kDA for most BBIs) has been reported for BBI isolated from Phaseolus vulgaris [61], Vicia faba [57], Vigna mungo [50], and other legumes. This could be explained by the unusual amino acid composition (high content of Cys, Ser, Asp, and Pro and low content of Gly, Ala, and aromatic amino acids, no Met, and no Trp) and the molecular structure of Bowman–Birk-type inhibitors (they have a tightly packed compact structure, supported by eight disulfhide bonds). Legume Bowman–Birk-type inhibitors have a tendency to self-associate, forming dimers or tetramers; the dimeric form is predominant even in the micromolar concentration range [50,58,61]. The purified vPI had some inhibitory activity against a serine protease of subtilisin type S8, Merops classification [63], although with 100 times less effectiveness. This could be explained by similarities in the active center of the S1 and S8 families of serine-type proteases (Table S3). The chymotrypsin/trypsin subfamily of serine proteases belongs to the Merops family S1A peptidases, which are found in animals as well as in some actinomycetes and fungi [63].
The efficacy of the vPI was demonstrated against fungal strains belonging to the genera Fusarium, which are known to be plant pathogens, as well as Aspergillus, Penicillium, Alternaria, and Rhizopus, which have the potential to produce mycotoxins (Table 2, Table 3 and Table S1) and are recognized as pathogens that affect both humans and animals. The genus Aspergillus comprises diverse ascomycetous fungi, which include human, animal and plant pathogens [66]. C. albicans is an opportunistic fungal pathogen switching between noninvasive yeast-like cells and a more virulent filamentous hyphal form [64,67]. Fungi of the genus Mucor are widely distributed as saprophytes in soil, organic matter, and herbivorous dung [68]. Some phytopathogenic fungi, such as Alternaria spp., cause spoilage of food crops in the field during postharvest decay and during transport and storage. Moreover, they are also related to the induction of respiratory allergic diseases [69]. Aspergillus species possess the ability to induce a wide array of clinical conditions. Among these, pulmonary aspergillosis is regarded as the most common form of invasive aspergillosis. Alternaria spp. are also responsible for a wide range of diseases that substantially impact the economy of numerous important agricultural crops. Fusarium species induce plant diseases that are challenging to prevent and manage, as the infection can spread through the roots in the soil or by air and by water to the aerial parts of the plant. Among the most prevalent fungal plant pathogens, Fusarium oxysporum ranks within the top 10, significantly impacting crop yield, quality, and shelf life. Similar findings have been documented for a range of protease inhibitors of plant origin [41,70,71]. The purified vPI exhibited promising fungistatic activity against a wide range of species, most probably targeting fungal-secreted proteases.
Secreted fungal hydrolases comprise different protease classes in various proportions, depending on the fungus species, the substrate to be digested, and the local conditions [66,68,72,73]. For example, in F. graminearum secretome, a number of proteases have been identified, including 26 serine, 21 metallo, 7 aspartate, 5 cysteine, and 12 threonine peptidases [73]. Fungi of the genus Rhizopus secreted both an aspartic protease active at acidic conditions and a serine protease active under alkaline conditions [72]. F. oxysporum and C. albicans virulence has been attributed mainly to the secretion of aspartate-type acid proteases [64,67,74,75], while that of F. solani was associated with serine-type protease secretion [65]. Alkaline and/or vacuolar serine proteases are major allergens of several Penicillium and Aspergillus species [76,77]. The serine protease Alp1 from A. fumigatus is highly homologous to serine proteases from a wide variety of other allergenic fungi, including Fusarium, Penicillium, and Candida [78]. The major allergens in A. alternata were associated with proteases in germinating spores, which included a trypsin-like protease [79]. F. solani virulence has been linked to serine protease secretion [65]. Synergism between different protease classes was established in the degradation of host chitinases in tomato infected by F. o. f. sp. lycopersici [80]. We can presume that this web of fungal-secreted proteases, which could interact with each other in a yet-to-be-elucidated manner, could be seriously disturbed in the first 24 h by the presence of a protease inhibitor. Due to the high fungal metabolic plasticity and possible cooperation, redundancy, and compensation among secreted fungal proteases [80], the fungistatic effect of vPI could be partially overcome over time. It is noteworthy that the vPI exhibited high antifungal activity against Nys-resistant A. niger and more effectively inhibited the growth of A. fumigatus compared to the Nys. The same trend was demonstrated for A. alternata, A. solani, P. griseofulvum, and R. oryzae.
The inhibitor described in this study demonstrated antifungal activity comparable to (and in some cases exceeding the effect of) nystatin. The prolonged inhibitory effect of vPI on A. solani and F. solani, both primarily phytopathogens, could be explained by the leading role of serine-type proteases in fungal virulence, at least in the case of F. solani [65]. Benken et al. [81] have demonstrated that bean inhibitors belonging to the BBI family suppress the growth of hyphae and conidium germination of the fungi F.solani, F. culmorum and Botrytis cinerea. In addition, proteases secreted by Alternaria sp. have been found to be mainly trypsin-like and subtilisin-like serine proteases [82]. It should be noted that the vPI presented certain effectiveness towards C. albicans, which can cause superficial dermal and mucosal infections. A similar tendency to inhibit the development of C. albicans was demonstrated by other protease inhibitors of plant origin, such as those from seeds of Capsicum chinense [83]; seeds of Albizia amara [84]; and tubers of Solanum tuberosum [85]. Our findings indicate promising potential for the implementation of vPI in the context of fungal strains that demonstrate resistance to commercial fungicides.
The present findings suggest that vPI effectively reduces the production of various activated oxygen radicals, indicating that it specifically targets certain types of ROS. The antioxidant potential of the purified protease inhibitor is mainly due to its high capacity to scavenge superoxide anions. This activity is closely linked to the powerful antioxidant effects of ascorbic acid, which is known as a strong antioxidant (Figure 5). The vPI also possesses some ABTS- and DPPH-scavenging properties (Table 4). However, the level of these activities was found to be lower than that of ascorbic acid. Compared to some reported inhibitors such as potato protease inhibitors [86], synthetic protease inhibitors [87], and soybean trypsin inhibitor [88], the vPI had moderate DPPH and ABTS potential and presented predominantly superoxide anion-scavenging power. It can be assumed that the removal of superoxide radicals, the first oxy-free radicals in the one- and two-electron reduction of oxygen, prevents the formation of the much more damaging ROS. Currently, it is important to identify effective and safe oxygen-free radical scavengers from natural sources to substitute chemically manufactured antioxidants. There are a few reports on plant protease inhibitors which exhibit antioxidant properties alongside antimicrobial, anticoagulant, and antitumor effects. These characteristics are crucial for their application in medicine as potent agents for neutralizing proteases implicated in various human diseases, including arthritis, pancreatitis, thrombosis, emphysema, hypertension, cardiovascular diseases, neurodegenerative disorders (such as Alzheimer’s disease), and muscular dystrophy [89].
It has been shown that the antioxidant potential of a number of PIs is comparable to that of extracts and fractions containing flavonoids. PIs from potatoes [90], from Salvia aegyptiaca [38], Gymnocladus chinensis [91], and from different food legumes [92] are promising for use in food and pharmaceutical industries. For example, the pretreatment of HepG2 cells and HUVEC with PI extracted from potatoes [90] demonstrated a significant reduction in the amount of oxidative damage triggered by H2O2, prevented morphological changes in cells, and upheld their integrity. In addition, PPIs exhibited selective anti-proliferative effects and successfully inhibited the growth, migration, and invasion of cancer cells. These results establish a scientific foundation for considering PPIs as potential candidates for functional foods aiming oxidative damage and cancer.
ROS play an important role in the development of diabetes, cancer, atherosclerosis, cardiovascular disease, neurological disease, and numerous other conditions [93,94,95]. The ROS scavenging ability of protease inhibitors could contribute to their anticancer activity, anti-apoptotic protection and the maintenance of a robust immune system exerted by protease inhibitors [38,90,96]. Protease inhibitors could be useful for the development of nutraceutical and drug compounds [90,97] and as effective antioxidants in various fields, including medicine, pharmacy, and agriculture.
5. Conclusions
The present study reports the purification and some biochemical properties of a serine protease inhibitor from bitter vetch seeds (vPI). The MW, temperature and pH stability of vPI, its sensitivity to reducing agents, and its independent inhibition of both trypsin and chymotrypsin indicate that vPI presents properties typical of the Bowman–Birk type; additional MS analysis is planned for unambiguous confirmation. The fungicidal and fungistatic activity against plant and human pathogens from genera such as Aspergillus, Penicillium, Alternaria, and Mucor were comparable to those of the commercial agent nystatin. The purified inhibitor possesses significant antioxidant capacity, mainly in the form of superoxide anion scavenging. This activity is comparable to the antioxidant properties of ascorbic acid, which is recognized as a robust antioxidant. Overall, the present data suggest that vPI has potential as a fungicidal agent and as an effective antioxidant in various fields, including medicine, pharmacy, and agriculture.
Supplementary Materials
The following supporting information can be downloaded at https://www.mdpi.com/article/10.3390/sci7030129/s1, Table S1: Fungal strains included in the experiments; Table S2: thermostability, DTT effect on TIA, pH stability—comparison of vPI with commercial preparation of soybean BBI; Table S3: inhibitor specificity of vPI against various proteases; Figure S1: FPLC chromatograms.
Author Contributions
Conceptualization, L.S.-S. and E.K.; methodology, R.A., L.S.-S. and E.K.; validation, R.A., M.A. and R.R.; investigation, R.A., E.K., J.M.-S., V.D., N.R., Z.S. and L.S.-S.; writing—original draft preparation, M.A., Z.S. and L.S.-S.; writing—review and editing, R.A., E.K., J.M.-S. and R.R.; funding acquisition, L.S.-S. and E.K. All authors have read and agreed to the published version of the manuscript.
Funding
This research was supported by the National Science Fund, Bulgaria, project KΠ-06-H36-2/2020, “Leguminous crops in Bulgaria—a source of useful additional proteinaceous substances”.
Institutional Review Board Statement
Not applicable.
Data Availability Statement
The original contributions presented in this study are included in the article/Supplementary Materials.
Acknowledgments
The authors are grateful for the technical support with FPLC analyses given by Project No BG16RFPR002-1.014-0017-C01 Center of Competence “Fundamental, Translational and Clinical Investigations on Infections and Immunity”, funded by “Scientific Research, Innovation, and Digitalization for Intelligent Transformation 2021–2027” Program.
Conflicts of Interest
The authors declare no conflicts of interest.
Abbreviations
The following common abbreviations are used in this manuscript:
| MWCO | Molecular weight cut-off |
| PAGE | Polyacrylamide gel electrophoresis |
| FPLC | Fast protein liquid chromatography |
References
- Latef, A.A.H.A.; Ahmad, P. Legumes and breeding under abiotic stress: An overview. In Legumes Under Environmental Stress: Yield, Improvement and Adaptations; Azooz, M.M., Ahmad, P., Eds.; John Wiley & Sons: Hoboken, NJ, USA, 2015; p. 315. [Google Scholar]
- Martín-Pedrosa, M.; Varela, A.; Guillamon, E.; Cabellos, B.; Burbano, C.; Gomez-Fernandez, J.; de Mercado, E.; Gomez-Izquierdo, E.; Cuadrado, C.; Muzquiz, M. Biochemical characterization of legume seeds as ingredients in animal feed. Span. J. Agric. Res. 2016, 14, 0901. [Google Scholar] [CrossRef]
- Margier, M.; Georgé, S.; Hafnaoui, N.; Remond, D.; Nowicki, M.; DuChaffaut, L.; Amiot, M.-J.; Reboul, E. Nutritional composition and bioactive content of legumes: Characterization of pulses frequently consumed in France and effect of the cooking method. Nutrients 2018, 10, 1668. [Google Scholar] [CrossRef]
- Champ, M.M.J. Non-nutrient bioactive substances of pulses. Br. J. Nutr. 2002, 88, 307–319. [Google Scholar] [CrossRef] [PubMed]
- Salehi, B.; Abu-Reidah, I.M.; Sharopov, F.; Karazhan, N.; Sharifi-Rad, J.; Akram, M.; Daniyal, M.; Khan, F.S.; Abbaass, W.; Zainab, R.; et al. Vicia plants—A comprehensive review on chemical composition and phytopharmacology. Phytother. Res. 2021, 35, 790–809. [Google Scholar] [CrossRef] [PubMed]
- Zohary, D.; Hopf, M.; Weiss, E. Domestication of Plants in the Old World; Oxford University Press: Oxford, UK, 2012; 264p, ISBN 9780199549061. [Google Scholar]
- Miller, N.F.; Enneking, D. Bitter Vetch (Vicia ervilia): Ancient Medicinal Crop and Farmers’ Favorite for Feeding Livestock. In New Lives for Ancient and Extinct Crops; University of Arizona Press: Tucson, AZ, USA, 2014; pp. 254–268. [Google Scholar]
- Okba, M.M.; Abdel Jaleel, G.A.; Yousif, M.F.; El Deeb, K.S.; Soliman, F.M. Vicia ervilia L. seeds newly explored biological activities. Cogent Biol. 2017, 3, 1299612. [Google Scholar] [CrossRef]
- Vioque, J.; Giron-Calle, J.; Torres-Salas, V.; Elamine, Y.; Alaiz, M. Characterizion of Vicia ervilia (bitter vetch) seed protein, free amino acids, and polyphenols. J. Food Biochem. 2020, 44, e13271. [Google Scholar] [CrossRef]
- López-Bellido, L. Neglected Crops: 1492 from a Different Perspective. In Plant Production and Protection; Hernándo Bermejo, J.E., León, J., Eds.; Series 26; FAO: Italy, Rome, 1994; pp. 273–288. [Google Scholar]
- Jaenicke, H.; Hoschle-Zeledon, I. Strategic Framework for Underutilized Plant Species Research and Development with Special Reference to Asia and the Pacific, and to Sub-Saharan Africa; International Centre for Underutilised Crops: Colombo, Sri Lanka; Global Facilitation Unit for Underutilized Species: Rome, Italy, 2006; p. 33. [Google Scholar]
- Russi, L.; Acuti, G.; Trabalza-Marinucci, M.; Porta, R.; Rubini, A.; Damiani, F.; Cristiani, S.; Dal Bosco, A.; Martuscelli, G.E.; Bellucci, M.; et al. Genetic characterisation and agronomic and nutritional value of bitter vetch (Vicia ervilia), an under-utilised species suitable for low-input farming systems. Crop Past. Sci. 2019, 70, 606–614. [Google Scholar] [CrossRef]
- Berger, J.D.; Robertson, L.D.; Cocks, P.S. Agricultural potential of Mediterranean grain and forage legumes: 2) Anti-nutritional factor concentrations in the genus Vicia. Genet. Res. Crop Evol. 2003, 50, 201–212. [Google Scholar] [CrossRef]
- Brown, W.E.; Takio, K.; Titani, K.; Ryan, C.A. Wound-Induced Trypsin Inhibitor in Alfalfa Leaves: Identity as a Member of the Bowman-Birk Inhibitor Family. Biochemistry 1985, 24, 2105–2108. [Google Scholar] [CrossRef]
- McManus, M.T.; Ryan, S.; Laing, W.A. The functions of proteinase inhibitors in seeds. Spec. Publ. Agron. Soc. N. Z. 2000, 12, 3–13. [Google Scholar]
- Chye, M.L.; Sin, S.F.; Xu, Z.F.; Yeung, E.C. Serine proteinase inhibitor proteins: Exogenous and endogenous functions. Vitr. Cell. Develop. Biol. Plant 2006, 42, 100–108. [Google Scholar] [CrossRef]
- Grosse-Holz, F.M.; van der Hoorn, R.A.L. Juggling jobs: Roles and mechanisms of multifunctional protease inhibitors in plants. New Phytol. 2016, 210, 794–807. [Google Scholar] [CrossRef]
- Kidrič, M.; Kos, J.; Sabotič, J. Proteases and their endogenous inhibitors in the plant response to abiotic stress. Bot. Serbica 2014, 38, 139–158. [Google Scholar]
- Vaseva, I.; Zehirov, G.; Kirova, E.; Simova-Stoilova, L. Transcript profiling of serine- and cysteine protease inhibitors in Triticum aestivum varieties with different drought tolerance. Cereal Res. Commun. 2016, 44, 79–88. [Google Scholar] [CrossRef]
- Guillamon, E.; Pedrosa, M.M.; Burbano, C.; Cuadrado, C.; de Cortes Sánchez, M.; Muzquiz, M. The trypsin inhibitors present in seed of different grain legume species and cultivar. Food Chem. 2008, 107, 68–74. [Google Scholar] [CrossRef]
- Vaseva, I.I.; Ivanova, K.; Simova-Stoilova, L. Bowman-Birk protease inhibitor gene expression in Phaseolus vulgaris L.—Organ specificity andinduction under abiotic stresses. Annu. Sofia Univ. “St. Kliment Ohridski” 2022, 4, 61–71. Available online: https://www.uni-sofia.bg/index.php/bul/universitet_t/fakulteti/biologicheski_fakultet2/oficialni_izdaniya/godishnik_na_sofijskiya_universitet_kniga_4_nauchni_sesii_na_biologicheskiya_fakultet/tom_107_2022_g_nauchna_konferenciya_klimentovi_dni_2021/irina_i_vaseva_et_al_bowman_birk_protease_inhibitor_gene_expression_in_phaseolus_vulgaris_organ_specificity_and_induction_under_abiotic_stresses (accessed on 1 September 2025).
- Ryan, C.A. Protease inhibitors in plants: Genes for improving defenses against insects and pathogens. Annu. Rev. Phytopathol. 1990, 28, 425–449. [Google Scholar] [CrossRef]
- Svendsen, I.B.; Hejgaard, J.; Chavan, J.K. Subtilisin inhibitor from seeds of broad bean (Vicia faba); purification, amino acid sequence and specificity of inhibition. Carlsberg Res. Commun. 1984, 49, 493–502. [Google Scholar] [CrossRef]
- Rodríguez-Sifuentes, L.; Marszalek, J.E.; Chuck-Hernández, C.; Serna-Saldívar, S.O. Legumes protease inhibitors as biopesticides and their defense mechanisms against biotic factors. Int. J. Mol. Sci. 2020, 21, 3322. [Google Scholar] [CrossRef]
- Cotabarren, J.; Lufrano, D.; Parisi, M.G.; Obregón, W.D. Biotechnological, biomedical, and agronomical applications of plant protease inhibitors with high stability: A systematic review. Plant Sci. 2020, 292, 110398. [Google Scholar] [CrossRef]
- Mosolov, V.V.; Valueva, T.A. Participation of proteolytic enzymes in the interaction of plants with phytopathogenic microorganisms. Biochemistry 2006, 71, 838–845. [Google Scholar] [CrossRef]
- Yike, I. Fungal proteases and their pathophysiological effects. Mycopathologia 2011, 171, 299–323. [Google Scholar] [CrossRef]
- Jashni, M.K.; Mehrabi, R.; Collemare, J.; Mesarich, C.H.; de Wit, P.J.G.M. The battle in the apoplast: Further insights into the roles of proteases and their inhibitors in plant-pathogen interactions. Front. Plant Sci. 2015, 6, 584. [Google Scholar] [CrossRef] [PubMed]
- Gutierrez-Gongora, D.; Geddes-McAlister, J. From naturally-sourced protease inhibitors to new treatments for fungal infections. J. Fungi 2021, 7, 1016. [Google Scholar] [CrossRef] [PubMed]
- Shin, S.H.; Ye, M.K.; Lee, D.W.; Che, M.H. Alternaria-induced barrier dysfunction of nasal epithelial cells: Role of serine protease and reactive oxygen species. Int. Forum Allergy Rhinol. 2019, 9, 514–521. [Google Scholar] [CrossRef] [PubMed]
- Hong, Y.; Boiti, A.; Vallone, D.; Foulkes, N.S. Reactive oxygen species signaling and oxidative stress: Transcriptional regulation and evolution. Antioxidants 2024, 13, 312. [Google Scholar] [CrossRef]
- Abrashev, R.; Miteva-Staleva, J.; Gocheva, Y.; Stoyancheva, G.; Dishliyska, V.; Spasova, B.; Krumova, E.; Angelova, M. Cell response to oxidative stress in Antarctic filamentous fungi. Appl. Sci. 2025, 15, 5149. [Google Scholar] [CrossRef]
- Segal, L.M.; Wilson, R.A. Reactive oxygen species metabolism and plant-fungal interactions. Fungal Genet. Biol. 2018, 110, 1–9. [Google Scholar] [CrossRef]
- Zhang, Z.; Chen, Y.; Li, B.; Chen, T.; Tian, S. Reactive oxygen species: A generalist in regulating development and pathogenicity of phytopathogenic fungi. Comput. Struct. Biotechnol. J. 2020, 18, 3344–3349. [Google Scholar] [CrossRef]
- Missall, T.A.; Lodge, J.K.; McEwen, J.E. Mechanisms of resistance to oxidative and nitrosative stress: Implications for fungal survival in mammalian hosts. Eukaryot. Cell 2004, 3, 835–846. [Google Scholar] [CrossRef]
- Lingaiah, P.M.S.; Srinivas, L. Potent antioxidant activity of a protease Inhibitor hayanin from the seed coats of Horse gram (Macrotylomauniflorum (lam.) Verdc.). Int. J. Pharma. Res. Health Sci. 2016, 4, 1305–1310. [Google Scholar] [CrossRef]
- Simamora, A.; Santoso, A.W.; Timotius, K.H.; Rahayu, I. Antioxidant activity, enzyme Inhibition potentials, and phytochemical profiling of Premna serratifolia L. leaf extracts. Internat. J. Food Sci. 2020, 3436940. [Google Scholar] [CrossRef] [PubMed]
- Hosseini, A.; Moein, M.; Sabahi, Z.; Moein, S.; Hafez Ghoran, S.; Naderian, M.; Zebarjad, Z. Antioxidant potentials, protease inhibitory, and cytotoxic activities of various Isolated extracts from Salvia aegyptiaca. Iran. Biomed. J. 2024, 29, 57–67. [Google Scholar] [CrossRef]
- Maschmeyer, G.; Haas, A.; Cornely, O.A. Invasive aspergillosis. Drugs 2007, 67, 1567–1601. [Google Scholar] [CrossRef] [PubMed]
- van Diepeningen, A.D.; Brankovics, B.; Iltes, J.; van der Lee, T.A.J.; Waalwijk, C. Diagnosis of fusarium infections: Approaches to identification by the clinical mycology laboratory. Curr. Fungal Infect. Rep. 2015, 9, 135–143. [Google Scholar] [CrossRef]
- Martínez-Culebras, P.V.; Gandía, M.; Garrigues, S.; Marcos, J.V.; Manzanares, P. Antifungal peptides and proteins to control toxigenic fungi and mycotoxin biosynthesis. Int. J. Mol. Sci. 2021, 22, 13261. [Google Scholar] [CrossRef]
- Shamsi, T.N.; Parveen, R.; Fatima, S. Characterization, biomedical and agricultural applications of protease inhibitors: A review. Int. J. Biol. Macromol. 2016, 91, 1120–1133. [Google Scholar] [CrossRef]
- Gitlin-Domagalska, A.; Maciejewska, A.; Dębowski, D. Bowman-Birk inhibitors: Insights into family of multifunctional proteins and peptides with potential therapeutical applications. Pharmaceuticals 2020, 13, 421. [Google Scholar] [CrossRef]
- Cid-Gallegos, M.S.; Corzo-Ríos, L.J.; Jiménez-Martínez, C.; Sánchez-Chino, X.M. Protease inhibitors from plants as therapeutic agents—A review. Plant Foods Hum. Nutr. 2022, 77, 20–29. [Google Scholar] [CrossRef]
- Gueven, N.; Dittmann, K.; Mayer, C.; Rodemann, H.P. The radioprotective potential of the Bowman–Birk protease inhibitor is independent of its secondary structure. Cancer Lett. 1998, 125, 77–82. [Google Scholar] [CrossRef]
- Dittmann, K.; Löffler, H.; Bamberg, M.; Rodemann, H.P. Bowman–Birk proteinase inhibitor (BBI) modulates radiosensitivity and radiation induced differentiation of human fibroblasts in culture. Radiother. Oncol. 1995, 34, 137–143. [Google Scholar] [CrossRef]
- Magee, P.J.; Owusu-Apenten, R.; McCann, M.J.; Gill, C.I.; Rowland, I.R. Chickpea (Cicer arietinum) and other plant-derived protease inhibitor concentrates inhibit breast and prostate cancer cell proliferation in vitro. Nutr. Cancer 2012, 64, 741–748. [Google Scholar] [CrossRef]
- Bradford, M.M. A rapid and sensitive method for the quantification of microgram quantities of protein utilizing the principle of protein-dye binding. Analyt. Biochem. 1976, 72, 248–254. [Google Scholar] [CrossRef]
- Kakade, M.L.; Rackis, J.J.; McGhee, J.E.; Puski, G. Determination of trypsin inhibitor activity of soy products: A collaborative analysis of an improved procedure. Cereal Chem. 1974, 51, 376–382. [Google Scholar]
- Prasad, E.R.; Dutta-Gupta, A.; Padmasree, K. Purification and characterization of a Bowman-Birk proteinase inhibitor from the seeds of black gram (Vigna mungo). Phytochemistry 2010, 71, 363–372. [Google Scholar] [CrossRef]
- Schägger, H.; Von Jagow, G. Tricine-sodium dodecyl sulfate-polyacrylamide gel electrophoresis for the separation of proteins in the range from 1 to 100 kDa. Analyt. Biochem. 1987, 166, 368–379. [Google Scholar] [CrossRef]
- Deshimaru, M.; Hanamoto, R.; Kusano, C.; Yoshimi, S.; Terada, S. Purification and characterization of proteinase inhibitors from wild soja (Glycine soja) seeds. Biosci. Biotechnol. Biochem. 2002, 66, 1897–1903. [Google Scholar] [CrossRef] [PubMed]
- Velkova, L.; Abrashev, R.; Miteva-Staleva, J.; Dishliyska, V.; Dolashki, A.; Spasova, B.; Dolashka, P.; Angelova, M.; Krumova, E. The Role of Oxidative Stress in the Antifungal Activity of Two Mollusk Fractions on Resistant Fungal Strains. Int. J. Mol. Sci. 2025, 26, 985. [Google Scholar] [CrossRef] [PubMed]
- Re, R.; Pellegrini, N.; Proteggente, A.; Pannala, A.; Yang, M.; Rice-Evans, C. Antioxidant activity applying an improved abts radical cation decolorization assay. Free Radic. Biol. Med. 1999, 26, 1231–1237. [Google Scholar] [CrossRef]
- Brand-Williams, W.; Cuvelier, M.E.; Berset, C. Use of a free radical method to evaluate antioxidant activity. LWT Food Sci. Technol. 1995, 28, 25–30. [Google Scholar] [CrossRef]
- Beauchamp, C.; Fridovich, I. Superoxide dismutase: Improved assays and an assay applicable to acrylamide gels. Analyt. Biochem. 1971, 44, 276–287. [Google Scholar] [CrossRef]
- Asao, T.; Imai, F.; Tsuji, I.; Tashiro, M.; Iwami, K.; Ibuki, F. Purification and characterization of a Bowman-birk type proteinase inhibitor from faba beans (Vicia faba L.). Agricult. Biol. Chem. 1991, 55, 707–713. [Google Scholar] [CrossRef]
- Dantzger, M.; Vasconcelos, I.M.; Scorsato, V.; Aparicio, R.; Marangoni, S.; Macedo, M.L.R. Bowman–Birk proteinase inhibitor from Clitoria fairchildiana seeds: Isolation, biochemical properties and insecticidal potential. Phytochemistry 2015, 118, 224–235. [Google Scholar] [CrossRef] [PubMed]
- Petrova, S.; Stoilova, T.; Velinov, V.; Vaseva, I.I.; Simova-Stoilova, L. Phenotypic Diversity and Abiotic Stress Tolerance Among Vicia ervilia (L.) Willd. Accessions. Plants 2025, 14, 1008. [Google Scholar] [CrossRef]
- Warsy, A.S.; Norton, G.; Stein, M. Protease inhibitors from broad bean isolation and purification. Phytochemistry 1974, 13, 2481–2486. [Google Scholar] [CrossRef]
- Wu, C.; Whitaker, J.R. Purification and partial characterization of four trypsin/chymotrypsin inhibitors from red kidney beans (Phaseolus vulgaris, var. Linden). J. Agricult. Food Chem. 1990, 38, 1523–1529. [Google Scholar] [CrossRef]
- Chan, Y.S.; Zhang, Y.; Ng, T.B. Brown kidney bean Bowman–Birk trypsin inhibitor is heat and pH stable and exhibits anti-proliferative activity. Appl. Biochem. Biotechnol. 2013, 169, 1306–1314. [Google Scholar] [CrossRef]
- Rawlings, N.D.; O’Brien, E.; Barrett, A. MEROPS: The protease database. J. Nucl. Acids Res. 2002, 30, 343–346. [Google Scholar] [CrossRef] [PubMed]
- Chua, W.; Poh, S.E.; Li, H. Secretory proteases of the human skin microbiome. Infect. Immun. 2022, 90, e00397-21. [Google Scholar] [CrossRef]
- Olivieri, F.; Godoy, A.V.; Escande, A.; Casalongué, C.A. Analysis of intercellular washing fluids of potato tubers and detection of increased proteolytic activity upon fungal infection. Physiol. Plant. 1998, 104, 232–238. [Google Scholar] [CrossRef]
- Budak, S.O.; Zhou, M.; Brouwer, C.; Wiebenga, A.; Benoit, I.; Di Falco, M.; Tsang, A.; de Vries, R.P. A genomic survey of proteases in Aspergilli. BMC Genom. 2014, 15, 523. [Google Scholar] [CrossRef]
- Zawrotniak, M.; Satala, D.; Juszczak, M.; Bras, G.; Rapala-Kozik, M. Candida albicans aspartyl protease (Sap6) inhibits neutrophil function via a “Trojan horse” mechanism. Sci. Rep. 2025, 15, 6946. [Google Scholar] [CrossRef]
- Alves, M.H.; de Campos-Takaki, G.M.; Okada, K.; Pessoa, I.H.F.; Milanez, A.I. Detection of extracellular protease in Mucor species. Rev. Iberoamer. Micol. 2005, 22, 114. [Google Scholar] [CrossRef]
- Fernandez, C.; Casadevall, A.; Gonçalves, T. Mechanisms of Alternaria pathogenesis in animals and plants. FEMS Microbiol. Rev. 2023, 47, fuad061. [Google Scholar] [CrossRef] [PubMed]
- Thery, T.; Lynch, K.M.; Arendt, E.K. Natural antifungal peptides/proteins as model for novel food preservatives. Compr. Rev. Food Sci. Food Saf. 2019, 18, 1327–1360. [Google Scholar] [CrossRef] [PubMed]
- Shwaiki, L.N.; Lynch, K.M.; Arendt, E.K. Future of antimicrobial peptides derived from plants in food application—A focus on synthetic peptides. Trends Food Sci. Technol. 2021, 112, 312–324. [Google Scholar] [CrossRef]
- Heskamp, M.L.; Barz, W. Characterization of proteases from Rhizopus species after growth on soybean protein. Z. Naturforsch. C 1997, 52, 595–604. [Google Scholar] [CrossRef]
- Lowe, R.G.; McCorkelle, O.; Bleackley, M.; Collins, C.; Faou, P.; Mathivanan, S.; Anderson, M. Extracellular peptidases of the cereal pathogen Fusarium graminearum. Front. Plant Sci. 2015, 6, 962. [Google Scholar] [CrossRef]
- Urbanek, H.; Yirdaw, G. Acid proteases produced by Fusarium species in cultures and in infected seedlings. Physiol. Plant Pathol. 1978, 13, 81–87. [Google Scholar] [CrossRef]
- Wang, C.; Zheng, Y.; Liu, Z.; Qian, Y.; Li, Y.; Yang, L.; Liu, S.; Liang, W.; Li, J. The secreted FolAsp aspartic protease facilitates the virulence of Fusarium oxysporum f. sp. lycopersici. Front. Microbiol. 2023, 14, 1103418. [Google Scholar] [CrossRef]
- Shen, H.D.; Tam, M.F.; Tang, R.B.; Chou, H. Aspergillus and Penicillium allergens: Focus on proteases. Curr. Allergy Asthma Rep. 2007, 7, 351–356. [Google Scholar] [CrossRef] [PubMed]
- Balenga, N.A.; Klichinsky, M.; Xie, Z.; Chan, E.C.; Zhao, M.; Jude, J.; Laviolette, M.; Panettieri, R.A., Jr.; Druey, K.M. A fungal protease allergen provokes airway hyper-responsiveness in asthma. Nat. Commun. 2015, 6, 6763. [Google Scholar] [CrossRef] [PubMed]
- Druey, K.M.; McCullough, M.; Krishnan, R. Aspergillus fumigatus protease alkaline protease 1 (Alp1): A new therapeutic target for fungal asthma. J. Fungi 2020, 6, 88. [Google Scholar] [CrossRef]
- Strader, M.B.; Saha, A.L.; Fernandes, C.; Sharma, K.; Hadiwinarta, C.; Calheiros, D.; Conde-de-Oliveira, G.; Gonçalves, T.; Slater, J.E. Distinct proteomes and allergen profiles appear across the life-cycle stages of Alternaria alternata. J. Allergy Clin. Immunol. 2024, 154, 424–434. [Google Scholar] [CrossRef]
- Jashni, M.K.; Dols, I.H.; Iida, Y.; Boeren, S.; Beenen, H.G.; Mehrabi, R.; Collemare, J.; de Wit, P.J. Synergistic action of a metalloprotease and a serine protease from Fusarium oxysporum f. sp. lycopersici cleaves chitin-binding tomato chitinases, reduces their antifungal activity, and enhances fungal virulence. Molec. Plant Microbe Interact. 2015, 28, 996–1008. [Google Scholar] [CrossRef]
- Benken, I.I.; Mosolov, V.V.; Fedurkina, N.V. Effects of an inhibitor of bean protease on plant pathogenic fungi. Mycol. Phytopathol. 1976, 10, 198–201. [Google Scholar]
- Valueva, T.A.; Kudryavtseva, N.N.; Sofyin, A.V.; Zaitchik, B.T.; Pobedinskaya, M.A.; Kokaeva, L.Y.; Elansky, S.N. Serine exoproteinases secreted by the pathogenic fungi of Alternaria genus. J. Plant Pathol. Microbiol. 2015, 6, 272. [Google Scholar] [CrossRef]
- Silva, M.; Taveira, G.; Gebara, R.; Santos, L.; Cherene, M.; Souza, T.; Moreira, F.; Rodrigues, P.; Vieira-da-Motta, O.; Seabra, S.; et al. Understanding the mechanism of action of protease inhibitors in controlling the growth of the Candida genus: Potential candidates for development of new antifungal molecules. Arch. Microbiol. 2024, 206, 257. [Google Scholar] [CrossRef]
- Dabhade, A.R.; Mokashe, N.U.; Patil, U.K. Purification, characterization, and antimicrobial activity of nontoxic trypsin inhibitor from Albizia amara Boiv. Process Biochem. 2016, 51, 659–674. [Google Scholar] [CrossRef]
- Kim, M.-H.; Park, S.-C.; Kim, J.-Y.; Lee, S.Y.; Lim, H.-T.; Cheong, H.; Hahm, K.-S.; Park, Y. Purification and characterization of a heat-stable serine protease inhibitor from the tubers of new potato variety “Golden Valley”. Biochem. Biophys. Res. Commun. 2006, 346, 81–686. [Google Scholar] [CrossRef] [PubMed]
- Liu, Y.T.; Hu, X.P.; Bai, Y.; Zhao, Q.Y.; Yu, S.Q.; Tian, Y.X.; Bian, Y.Y.; Li, J.; Li, S.H.; Li, T.P. Preparation and antioxidative stability of the potato protease inhibitors (PPIs) from potato starch waste-water. LWT 2020, 134, 109963. [Google Scholar] [CrossRef]
- Tamura, K.; Manabe, T.; Imanishi, K.; Nonaka, A.; Asano, N.; Yamaki, K.; Tobe, T. Effect of synthetic protease inhibitors on superoxide (O2−), hydrogen peroxide (H2O2) and hydroxyl radical production by human polymorphonuclear leukocytes. Hepato-Gastroenterol. 1992, 39, 59–61. [Google Scholar] [PubMed]
- Khan, S.; Arshad, S.; Arif, A.; Tanveer, R.; Amin, Z.S.; Abbas, S.; Maqsood, A.; Raza, M.; Munir, A.; Latif, A.; et al. Trypsin inhibitor isolated from Glycine max (soya bean) extraction, purification, and characterization. Dose-Response 2022, 20, 4. [Google Scholar] [CrossRef]
- Kanwar, S.S.; Gupta, S. Analysis plant protease inhibitors and their antiviral activities—Potent therapeutics for SARS CoV-2. J. Infec. Dis. Treat. 2020, 7, 5205. [Google Scholar]
- Liu, Y.; Bian, Y.; Bai, Y.; Yu, S.; Tian, Y.; Li, J.; Li, S.; Li, T. Potato protease inhibitors, a functional food material with antioxidant and anticancer potential. Food Sci. Human. Wellness 2023, 12, 1762–1771. [Google Scholar] [CrossRef]
- Zhu, M.J.; Zhang, G.Q.; Wang, H.X.; Ng, T.B. Isolation and characterization of a Kunitz-type trypsin inhibitor with antiproliferative activity from Gymnocladus chinensis (Yunnan bean) seeds. Protein J. 2011, 30, 240–246. [Google Scholar] [CrossRef]
- Lima, A.I.G.; Mota, J.; Monteiro, S.A.V.S.; Ferreira, R.M.S.B. Legume seeds and colorectal cancer revisited: Protease inhibitors reduce MMP-9 activity and colon cancer cell migration. Food Chem. 2016, 197, 30–38. [Google Scholar] [CrossRef]
- Pizzino, G.; Irrera, N.; Cucinotta, M.; Pallio, G.; Mannino, F.; Arcoraci, V.; Squadrito, F.; Altavilla, D.; Bitto, A. Oxidative stress: Harms and benefits for human health. Oxid. Med. Cell Longev. 2017, 8416763. [Google Scholar] [CrossRef] [PubMed]
- Reddy, V.P. Oxidative stress in health and disease. Biomedicines 2023, 11, 2925. [Google Scholar] [CrossRef]
- Dash, U.C.; Bhol, N.K.; Swain, S.K.; Samal, R.R.; Nayak, P.K.; Raina, V.; Panda, S.K.; Kerry, R.G.; Duttaroy, A.K.; Jena, A.B. Oxidative stress and inflammation in the pathogenesis of neurological disorders: Mechanisms and implications. Acta Pharm. Sin. B 2025, 15, 15–34. [Google Scholar] [CrossRef] [PubMed]
- García-Gasca, T.; García-Cruz, M.; Hernandez-Rivera, E.; López-Matínez, J.; Castaneda-Cuevas, A.L.; Yllescas-Gasca, L.; Rodríguez-Méndez, A.J.; Mendiola-Olaya, E.; Castro-Guillén, J.L.; Blanco-Labra, A. Effects of Tepary bean (Phaseolus acutifolius) protease inhibitor and semipure lectin fractions on cancer cells. Nutr. Cancer 2012, 64, 1269–1278. [Google Scholar] [CrossRef] [PubMed]
- Wei, Y.; Huang, M.; Jiang, L. Advancements in serine protease inhibitors: From mechanistic Insights to clinical applications. Catalysts 2024, 14, 787. [Google Scholar] [CrossRef]
Disclaimer/Publisher’s Note: The statements, opinions and data contained in all publications are solely those of the individual author(s) and contributor(s) and not of MDPI and/or the editor(s). MDPI and/or the editor(s) disclaim responsibility for any injury to people or property resulting from any ideas, methods, instructions or products referred to in the content. |
© 2025 by the authors. Licensee MDPI, Basel, Switzerland. This article is an open access article distributed under the terms and conditions of the Creative Commons Attribution (CC BY) license (https://creativecommons.org/licenses/by/4.0/).




