Chronic Macular Oedema as a Late MIRAgel-Related Complication
Abstract
:1. Introduction
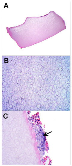
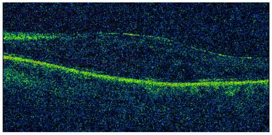
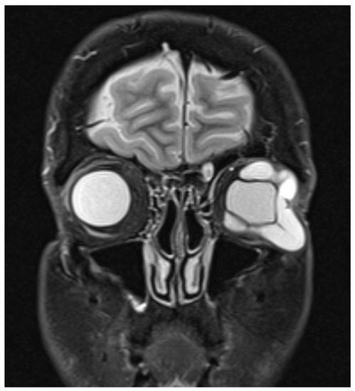
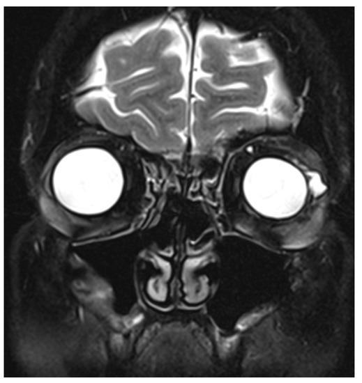
2. Case Report
3. Discussion
Author Contributions
Funding
Institutional Review Board Statement
Informed Consent Statement
Data Availability Statement
Conflicts of Interest
References
- Ho, P.C.; Chan, I.M.; Refojo, M.F.; Tolentino, F.I. The MAI hydrophilic implant for scleral buckling: A review. Ophthalmic Surg. 1984, 15, 511–515. [Google Scholar] [PubMed]
- Crama, N.; Klevering, B.J. The removal of hydrogel explants: An analysis of 467 consecutive cases. Ophthalmology 2016, 123, 32–38. [Google Scholar] [CrossRef] [Green Version]
- Clauss, K.D.; Patel, N.; Dubovy, S.R.; Rong, A.J. Scleral erosion secondary to MIRAgel scleral buckle. Ophthalmic Plast. Reconstr. Surg. 2021, 37, e152. [Google Scholar] [CrossRef] [PubMed]
- Marin, J.F.; Tolentino, F.I.; Refojo, M.F.; Schepens, C.L. Long-term complications of the MAI hydrogel intrascleral buckling implant. Arch. Ophthalmol. 1992, 110, 86–88. [Google Scholar] [CrossRef]
- Kearney, J.J.; Lahey, J.M.; Borirakchanyavat, S.; Schwartz, D.M.; Wilson, D.; Robins, D. Complications of hydrogel explants used in scleral buckling surgery. Am. J. Ophthalmol. 2004, 137, 96–100. [Google Scholar] [CrossRef]
- Hwang, K.I.; Lim, J.I. Hydrogel exoplant fragmentation 10 years after scleral buckling surgery. Arch. Ophthalmol. 1997, 115, 1205–1206. [Google Scholar] [CrossRef] [PubMed]
- Hida, T.; Oshitari, K. Long-term complications of MIRAgel exoplants in scleral buckling surgery. Nippon Ganka Gakkai Zasshi 2003, 107, 71–75. [Google Scholar]
- Bernardino, C.R.; Mihora, L.D.; Fay, A.M.; Rubin, P.A. Orbital complications of hydrogel scleral buckles. Ophthalmic Plast. Reconstr. Surg. 2006, 22, 206–208. [Google Scholar] [CrossRef]
- D’Hermies, F.; Korobelnik, J.F. Histological evidence of hydrogel fragmentation. Arch. Ophthalmol. 1999, 117, 1449. [Google Scholar]
- Oshitari, K.; Hida, T.; Okada, A.A.; Hirakata, A. Long-term complications of hydrogel buckles. Retina 2003, 23, 257–261. [Google Scholar] [CrossRef]
- Roldán-Pallarés, M.; del Castillo Sanz, J.L.; Awad-El Susi, S.; Refojo, M.F. Long-term complications of silicone and hydrogel explants in retinal reattachment surgery. Arch. Ophthalmol. 1999, 117, 197–201. [Google Scholar] [CrossRef] [PubMed] [Green Version]
- Rubinstein, T.J.; Choudhary, M.M.; Modi, Y.S.; Ehlers, J.P.; Perry, J.D. Globe loss from intraocular invasion of MIRAgel scleral buckle components. Ophthalmic Plast. Reconstr. Surg. 2016, 32, 329–332. [Google Scholar] [CrossRef] [Green Version]
- Richards, A.L.; Meyer, D.R. Late complications of hydrogel scleral buckle implants and a technique for effective removal. Ophthalmic Plast. Reconstr. Surg. 2012, 28, 455–458. [Google Scholar] [CrossRef] [PubMed]
- Thompson, J.T.; Chambers, W.A. Good ideas gone bad: The MIRAgel saga. Ophthalmology 2016, 123, 5–6. [Google Scholar] [CrossRef] [PubMed] [Green Version]
- Mears, K.A.; Sobel, R.K.; Shriver, E.M.; Sohn, E.H. Endophthalmitis secondary to globe penetration from hydrogel scleral buckle. Int. J. Ophthalmol. 2014, 7, 585–586. [Google Scholar] [CrossRef]
- Roldán-Pallarés, M.; Hernández-Montero, J.; Llanes, F.; Fernández-Rubio, J.E.; Ortega, F. MIRAgel: Hydrolytic degradation and long-term observations. Arch. Ophthalmol. 2007, 125, 511–514. [Google Scholar] [CrossRef] [PubMed] [Green Version]
- Shields, C.L.; Demirci, H.; Marr, B.P.; Mashayekhi, A.; Materin, M.A.; Shields, J.A. Expanding MIRAgel scleral buckle simulating an orbital tumor in four cases. Ophthalmic Plast. Reconstr. Surg. 2005, 21, 32–38. [Google Scholar] [CrossRef] [PubMed]
- Le Rouic, J.F.; Bejjani, R.A.; Azan, F.; Bettembourg, O.; Renard, G.; Chauvaud, D. Cryoextraction of episcleral miragel buckle elements: A new technique to reduce fragmentation. Ophthalmic Surg. Lasers. 2002, 33, 237–239. [Google Scholar] [CrossRef] [PubMed]
- Chalioulias, K.; Nachiketa, A.; Scott, R. A simple way to remove miragel explants after long-term inflammation and extrusion. Retin. Cases Brief Rep. 2009, 3, 74–76. [Google Scholar] [CrossRef]
- Roldan-Pallares, M.; Avila, M.I.A.; Refojo, M.F. The use of boric acid solution to help in the removal of biodegraded miragel episcleral buckles. Retina 2005, 25, 90–93. [Google Scholar] [CrossRef] [PubMed]
- Santorum, P.; De Vitto, A.M.L.; Bertelli, E. Removal of MIRAgel scleral buckle implants: The direct aspiration technique. Retina 2019. Online ahead of print. [Google Scholar] [CrossRef] [PubMed]




Publisher’s Note: MDPI stays neutral with regard to jurisdictional claims in published maps and institutional affiliations. |
© 2021 by the authors. Licensee MDPI, Basel, Switzerland. This article is an open access article distributed under the terms and conditions of the Creative Commons Attribution (CC BY) license (https://creativecommons.org/licenses/by/4.0/).
Share and Cite
Chean, C.S.; Lim, C.S.; Mudhar, H.-S.; Lokovitis, E.; Sampath, R. Chronic Macular Oedema as a Late MIRAgel-Related Complication. Vision 2021, 5, 55. https://doi.org/10.3390/vision5040055
Chean CS, Lim CS, Mudhar H-S, Lokovitis E, Sampath R. Chronic Macular Oedema as a Late MIRAgel-Related Complication. Vision. 2021; 5(4):55. https://doi.org/10.3390/vision5040055
Chicago/Turabian StyleChean, Chung Shen, Christina S. Lim, Hardeep-Singh Mudhar, Evangelos Lokovitis, and Raghavan Sampath. 2021. "Chronic Macular Oedema as a Late MIRAgel-Related Complication" Vision 5, no. 4: 55. https://doi.org/10.3390/vision5040055
APA StyleChean, C. S., Lim, C. S., Mudhar, H.-S., Lokovitis, E., & Sampath, R. (2021). Chronic Macular Oedema as a Late MIRAgel-Related Complication. Vision, 5(4), 55. https://doi.org/10.3390/vision5040055

