Managing Lower Limb Muscle Reinjuries in Athletes: From Risk Factors to Return-to-Play Strategies
Abstract
:1. Introduction
2. Methods
3. Epidemiology
4. Risk Factors
5. Clinical Management
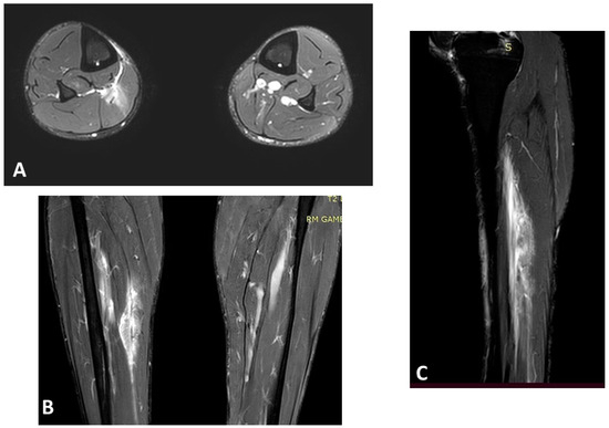
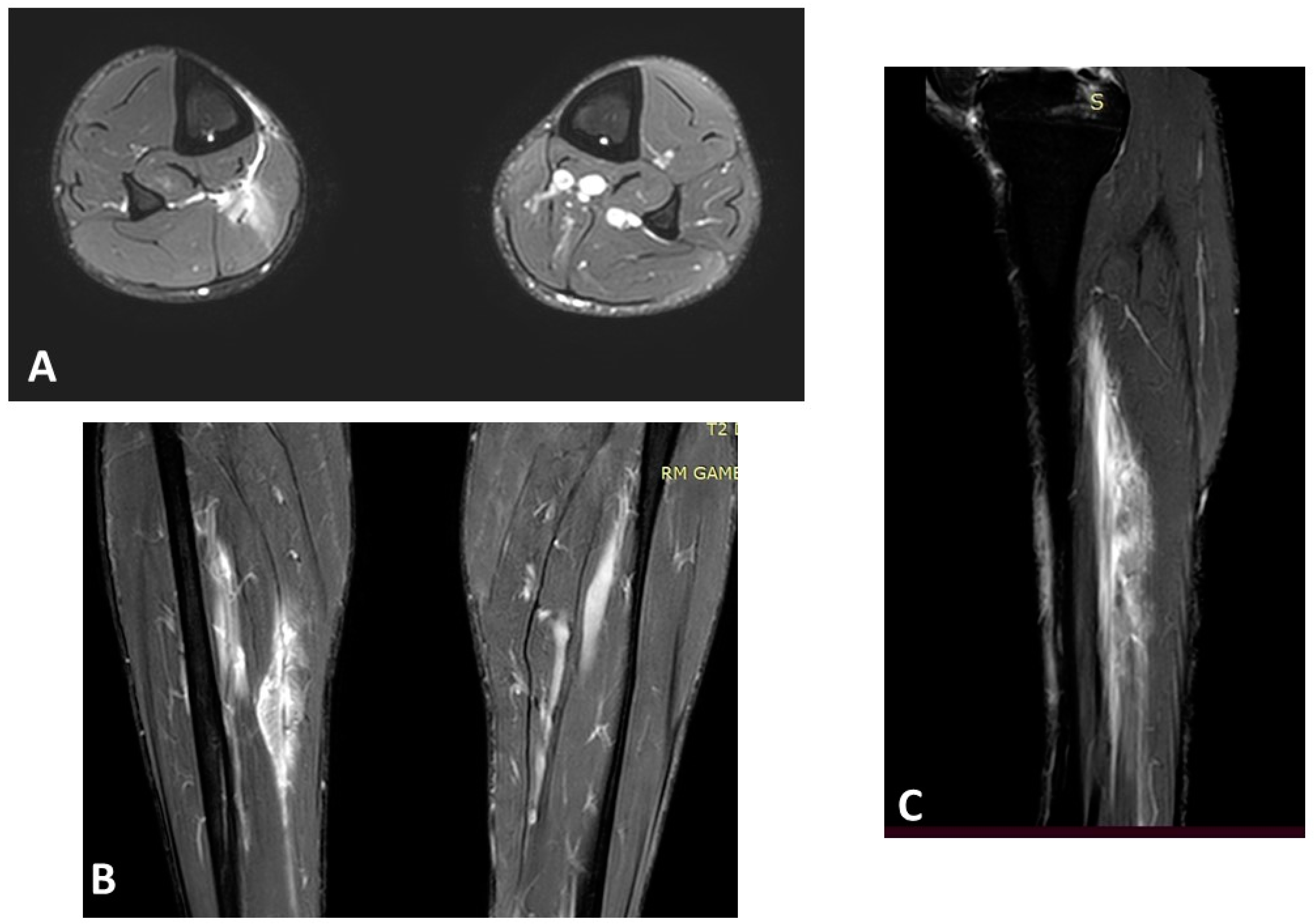
6. Imaging
7. The Potential Role of Artificial Intelligence
8. Prevention
9. Limitations
10. Practical Implications
11. Conclusions
Author Contributions
Funding
Institutional Review Board Statement
Informed Consent Statement
Data Availability Statement
Conflicts of Interest
References
- Valle, X.; Alentorn-Geli, E.; Tol, J.L.; Hamilton, B.; Garrett, W.E.J.; Pruna, R.; Til, L.; Gutierrez, J.A.; Alomar, X.; Balius, R.; et al. Muscle Injuries in Sports: A New Evidence-Informed and Expert Consensus-Based Classification with Clinical Application. Sports Med. 2017, 47, 1241–1253. [Google Scholar] [CrossRef] [PubMed]
- Hickey, J.; Shield, A.J.; Williams, M.D.; Opar, D.A. The Financial Cost of Hamstring Strain Injuries in the Australian Football League. Br. J. Sports Med. 2014, 48, 729–730. [Google Scholar] [CrossRef] [PubMed]
- Ekstrand, J.; Spreco, A.; Bengtsson, H.; Bahr, R. Injury Rates Decreased in Men’s Professional Football: An 18-Year Prospective Cohort Study of Almost 12,000 Injuries Sustained during 1.8 Million Hours of Play. Br. J. Sports Med. 2021, 55, 1084–1091. [Google Scholar] [CrossRef] [PubMed]
- Ekstrand, J.; Askling, C.; Magnusson, H.; Mithoefer, K. Return to Play after Thigh Muscle Injury in Elite Football Players: Implementation and Validation of the Munich Muscle Injury Classification. Br. J. Sports Med. 2013, 47, 769–774. [Google Scholar] [CrossRef] [PubMed]
- Tyler, T.F.; Schmitt, B.M.; Nicholas, S.J.; McHugh, M.P. Rehabilitation sfter Hamstring-Strain Injury Emphasizing Eccentric Strengthening at Long Muscle Lengths: Results of Long-Term Follow-Up. J. Sport. Rehabil. 2017, 26, 131–140. [Google Scholar] [CrossRef]
- Järvinen, T.A.; Järvinen, M.; Kalimo, H. Regeneration of Injured Skeletal Muscle after the Injury. Muscles Ligaments Tendons J. 2013, 3, 337–345. [Google Scholar] [CrossRef]
- Carling, C.; Le Gall, F.; Orhant, E. A Four-Season Prospective Study of Muscle Strain Reoccurrences in a Professional Football Club. Res. Sports Med. 2011, 19, 92–102. [Google Scholar] [CrossRef]
- McAleer, S.; Macdonald, B.; Lee, J.; Zhu, W.; Giakoumis, M.; Maric, T.; Kelly, S.; Brown, J.; Pollock, N. Time to Return to Full Training and Recurrence of Rectus Femoris Injuries in Elite Track and Field Athletes 2010–2019; a 9-Year Study Using the British Athletics Muscle Injury Classification. Scand. J. Med. Sci. Sports 2022, 32, 1109–1118. [Google Scholar] [CrossRef]
- Entwisle, T.; Ling, Y.; Splatt, A.; Brukner, P.; Connell, D. Distal Musculotendinous T Junction Injuries of the Biceps Femoris: An MRI Case Review. Orthop. J. Sports Med. 2017, 5, 2325967117714998. [Google Scholar] [CrossRef]
- Ekstrand, J.; Krutsch, W.; Spreco, A.; Van Zoest, W.; Roberts, C.; Meyer, T.; Bengtsson, H. Time before Return to Play for the Most Common Injuries in Professional Football: A 16-Year Follow-up of the UEFA Elite Club Injury Study. Br. J. Sports Med. 2020, 54, 421–426. [Google Scholar] [CrossRef]
- Maniar, N.; Carmichael, D.S.; Hickey, J.T.; Timmins, R.G.; San Jose, A.J.; Dickson, J.; Opar, D. Incidence and Prevalence of Hamstring Injuries in Field-Based Team Sports: A Systematic Review and Meta-Analysis of 5952 Injuries from over 7 Million Exposure Hours. Br. J. Sports Med. 2023, 57, 109–116. [Google Scholar] [CrossRef] [PubMed]
- Hägglund, M.; Waldén, M.; Ekstrand, J. Injury Recurrence Is Lower at the Highest Professional Football Level than at National and Amateur Levels: Does Sports Medicine and Sports Physiotherapy Deliver? Br. J. Sports Med. 2016, 50, 751–758. [Google Scholar] [CrossRef] [PubMed]
- Gudelis, M.; Pruna, R.; Trujillano, J.; Lundblad, M.; Khodaee, M. Epidemiology of Hamstring Injuries in 538 Cases from an FC Barcelona Multi Sports Club. Phys. Sportsmed. 2023, 1–8. [Google Scholar] [CrossRef] [PubMed]
- Matheson, G.O.; Shultz, R.; Bido, J.; Mitten, M.J.; Meeuwisse, W.H.; Shrier, I. Return-to-Play Decisions: Are They the Team Physician’s Responsibility? Clin. J. Sport. Med. 2011, 21, 25–30. [Google Scholar] [CrossRef]
- Wangensteen, A.; Tol, J.L.; Witvrouw, E.; Van Linschoten, R.; Almusa, E.; Hamilton, B.; Bahr, R. Hamstring Reinjuries Occur at the Same Location and Early After Return to Sport: A Descriptive Study of MRI-Confirmed Reinjuries. Am. J. Sports Med. 2016, 44, 2112–2121. [Google Scholar] [CrossRef]
- Pieters, D.; Wezenbeek, E.; Schuermans, J.; Witvrouw, E. Return to Play after a Hamstring Strain Injury: It Is Time to Consider Natural Healing. Sports Med. 2021, 51, 2067–2077. [Google Scholar] [CrossRef]
- Tidball, J.G. Mechanisms of Muscle Injury, Repair, and Regeneration. Compr. Physiol. 2011, 1, 2029–2062. [Google Scholar] [CrossRef]
- van der Horst, N.; van de Hoef, S.; Reurink, G.; Huisstede, B.; Backx, F. Return to Play after Hamstring Injuries: A Qualitative Systematic Review of Definitions and Criteria. Sports Med. 2016, 46, 899–912. [Google Scholar] [CrossRef]
- Mendiguchia, J.; Alentorn-Geli, E.; Brughelli, M. Hamstring Strain Injuries: Are We Heading in the Right Direction? Br. J. Sports Med. 2012, 46, 81–85. [Google Scholar] [CrossRef]
- Timmins, R.G.; Ruddy, J.D.; Presland, J.; Maniar, N.; Shield, A.J.; Williams, M.D.; Opar, D.A. Architectural Changes of the Biceps Femoris Long Head after Concentric or Eccentric Training. Med. Sci. Sports Exerc. 2016, 48, 499–508. [Google Scholar] [CrossRef]
- Hägglund, M.; Waldén, M.; Magnusson, H.; Kristenson, K.; Bengtsson, H.; Ekstrand, J. Injuries Affect Team Performance Negatively in Professional Football: An 11-Year Follow-up of the UEFA Champions League Injury Study. Br. J. Sports Med. 2013, 47, 738–742. [Google Scholar] [CrossRef]
- Green, B.; Lin, M.; McClelland, J.A.; Semciw, A.I.; Schache, A.G.; Rotstein, A.H.; Cook, J.; Pizzari, T. Return to Play and Recurrence after Calf Muscle Strain Injuries in Elite Australian Football Players. Am. J. Sports Med. 2020, 48, 3306–3315. [Google Scholar] [CrossRef]
- Green, B.; Pizzari, T. Calf Muscle Strain Injuries in Sport: A Systematic Review of Risk Factors for Injury. Br. J. Sports Med. 2017, 51, 1189–1194. [Google Scholar] [CrossRef] [PubMed]
- Orchard, J.W.; Jomaa, M.C.; Orchard, J.J.; Rae, K.; Hoffman, D.T.; Reddin, T.; Driscoll, T. Fifteen-Week Window for Recurrent Muscle Strains in Football: A Prospective Cohort of 3600 Muscle Strains over 23 Years in Professional Australian Rules Football. Br. J. Sports Med. 2020, 54, 1103–1107. [Google Scholar] [CrossRef] [PubMed]
- Green, B.; Bourne, M.N.; van Dyk, N.; Pizzari, T. Recalibrating the Risk of Hamstring Strain Injury (HSI): A 2020 Systematic Review and Meta-Analysis of Risk Factors for Index and Recurrent Hamstring Strain Injury in Sport. Br. J. Sports Med. 2020, 54, 1081–1088. [Google Scholar] [CrossRef] [PubMed]
- Corsini, A.; Bisciotti, A.; Canonico, R.; Causarano, A.; Del Vescovo, R.; Gatto, P.; Gola, P.; Iera, M.; Mazzoni, S.; Minafra, P.; et al. Are Football Players More Prone to Muscle Injury after COVID-19 Infection? The “Italian Injury Study” during the Serie a Championship. Int. J. Environ. Res. Public Health 2023, 20, 5182. [Google Scholar] [CrossRef]
- Petersen, J.; Thorborg, K.; Nielsen, M.B.; Budtz-Jørgensen, E.; Hölmich, P. Preventive Effect of Eccentric Training on Acute Hamstring Injuries in Men’s Soccer: A Cluster-Randomized Controlled Trial. Am. J. Sports Med. 2011, 39, 2296–2303. [Google Scholar] [CrossRef]
- Witvrouw, E.; Danneels, L.; Asselman, P.; D’Have, T.; Cambier, D. Muscle Flexibility as a Risk Factor for Developing Muscle Injuries in Male Professional Soccer Players. A Prospective Study. Am. J. Sports Med. 2003, 31, 41–46. [Google Scholar] [CrossRef]
- Hulin, B.T.; Gabbett, T.J.; Lawson, D.W.; Caputi, P.; Sampson, J.A. The Acute:Chronic Workload Ratio Predicts Injury: High Chronic Workload May Decrease Injury Risk in Elite Rugby League Players. Br. J. Sports Med. 2016, 50, 231–236. [Google Scholar] [CrossRef]
- Fyfe, J.J.; Opar, D.A.; Williams, M.D.; Shield, A.J. The Role of Neuromuscular Inhibition in Hamstring Strain Injury Recurrence. J. Electromyogr. Kinesiol. 2013, 23, 523–530. [Google Scholar] [CrossRef]
- Malliaropoulos, N.; Isinkaye, T.; Tsitas, K.; Maffulli, N. Reinjury after Acute Posterior Thigh Muscle Injuries in Elite Track and Field Athletes. Am. J. Sports Med. 2011, 39, 304–310. [Google Scholar] [CrossRef] [PubMed]
- Maffulli, N.; Oliva, F.; Frizziero, A.; Nanni, G.; Barazzuol, M.; Via, A.G.; Ramponi, C.; Brancaccio, P.; Lisitano, G.; Rizzo, D.; et al. ISMuLT Guidelines for Muscle Injuries. Muscles Ligaments Tendons J. 2013, 3, 241–249. [Google Scholar] [CrossRef] [PubMed]
- Palermi, S.; Massa, B.; Vecchiato, M.; Mazza, F.; De Blasiis, P.; Romano, A.M.; Di Salvatore, M.G.; Della Valle, E.; Tarantino, D.; Ruosi, C.; et al. Indirect Structural Muscle Injuries of Lower Limb: Rehabilitation and Therapeutic Exercise. J. Funct. Morphol. Kinesiol. 2021, 6, 75. [Google Scholar] [CrossRef] [PubMed]
- Ghrairi, M.; Loney, T.; Pruna, R.; Malliaropoulos, N.; Valle, X. Effect of Poor Cooperation between Coaching and Medical Staff on Muscle Re-Injury in Professional Football over 15 Seasons. Open Access J. Sports Med. 2019, 10, 107–113. [Google Scholar] [CrossRef] [PubMed]
- Järvinen, T.A.H.; Järvinen, T.L.N.; Kääriäinen, M.; Aärimaa, V.; Vaittinen, S.; Kalimo, H.; Järvinen, M. Muscle Injuries: Optimising Recovery. Best. Pract. Res. Clin. Rheumatol. 2007, 21, 317–331. [Google Scholar] [CrossRef]
- Whiteley, R.; van Dyk, N.; Wangensteen, A.; Hansen, C. Clinical Implications from Daily Physiotherapy Examination of 131 Acute Hamstring Injuries and Their Association with Running Speed and Rehabilitation Progression. Br. J. Sports Med. 2018, 52, 303–310. [Google Scholar] [CrossRef] [PubMed]
- Kunze, K.N.; Hannon, C.P.; Fialkoff, J.D.; Frank, R.M.; Cole, B.J. Platelet-Rich Plasma for Muscle Injuries: A Systematic Review of the Basic Science Literature. World J. Orthop. 2019, 10, 278–291. [Google Scholar] [CrossRef]
- Palermi, S.; Gnasso, R.; Belviso, I.; Iommazzo, I.; Vecchiato, M.; Marchini, A.; Corsini, A.; Vittadini, F.; Demeco, A.; De Luca, M.; et al. Stem Cell Therapy in Sports Medicine: Current Applications, Challenges and Future Perspectives. J. Basic. Clin. Physiol. Pharmacol. 2023. Available online: https://www.degruyter.com/document/doi/10.1515/jbcpp-2023-0200/html (accessed on 10 September 2023). [CrossRef]
- Dunlop, G.; Ardern, C.L.; Andersen, T.E.; Lewin, C.; Dupont, G.; Ashworth, B.; O’Driscoll, G.; Rolls, A.; Brown, S.; McCall, A. Return-to-Play Practices Following Hamstring Injury: A Worldwide Survey of 131 Premier League Football Teams. Sports Med. 2020, 50, 829–840. [Google Scholar] [CrossRef]
- Vittadini, F.; Vecchiato, M.; Corsini, A.; Frizziero, A.; Demeco, A.; Ascenzi, G.; Lempainen, L.; Palermi, S. Piriform muscle injury in a professional football player: A case report. Med. Dello Sport 2023, 76, 243–247. [Google Scholar] [CrossRef]
- Marotta, N.; Demeco, A.; de Scorpio, G.; Indino, A.; Iona, T.; Ammendolia, A. Late Activation of the Vastus Medialis in Determining the Risk of Anterior Cruciate Ligament Injury in Soccer Players. J. Sport. Rehabil. 2020, 29, 952–955. [Google Scholar] [CrossRef]
- Isern-Kebschull, J.; Mechó, S.; Pruna, R.; Kassarjian, A.; Valle, X.; Yanguas, X.; Alomar, X.; Martinez, J.; Pomés, J.; Rodas, G. Sports-Related Lower Limb Muscle Injuries: Pattern Recognition Approach and MRI Review. Insights Imaging 2020, 11, 108. [Google Scholar] [CrossRef]
- Paoletta, M.; Moretti, A.; Liguori, S.; Snichelotto, F.; Menditto, I.; Toro, G.; Gimigliano, F.; Iolascon, G. Ultrasound Imaging in Sport-Related Muscle Injuries: Pitfalls and Opportunities. Medicina 2021, 57, 1040. [Google Scholar] [CrossRef] [PubMed]
- Peetrons, P. Ultrasound of Muscles. Eur. Radiol. 2002, 12, 35–43. [Google Scholar] [CrossRef] [PubMed]
- Guermazi, A.; Roemer, F.W.; Robinson, P.; Tol, J.L.; Regatte, R.R.; Crema, M.D. Imaging of Muscle Injuries in Sports Medicine: Sports Imaging Series. Radiology 2017, 282, 646–663. [Google Scholar] [CrossRef] [PubMed]
- Slavotinek, J.P. Muscle Injury: The Role of Imaging in Prognostic Assignment and Monitoring of Muscle Repair. Semin. Musculoskelet. Radiol. 2010, 14, 194–200. [Google Scholar] [CrossRef]
- Mueller-Wohlfahrt, H.-W.; Haensel, L.; Mithoefer, K.; Ekstrand, J.; English, B.; McNally, S.; Orchard, J.; van Dijk, C.N.; Kerkhoffs, G.M.; Schamasch, P.; et al. Terminology and Classification of Muscle Injuries in Sport: The Munich Consensus Statement. Br. J. Sports Med. 2013, 47, 342–350. [Google Scholar] [CrossRef] [PubMed]
- Pollock, N.; James, S.L.J.; Lee, J.C.; Chakraverty, R. British Athletics Muscle Injury Classification: A New Grading System. Br. J. Sports Med. 2014, 48, 1347–1351. [Google Scholar] [CrossRef]
- Stępień, K.; Śmigielski, R.; Mouton, C.; Ciszek, B.; Engelhardt, M.; Seil, R. Anatomy of Proximal Attachment, Course, and Innervation of Hamstring Muscles: A Pictorial Essay. Knee Surg. Sports Traumatol. Arthrosc. 2019, 27, 673–684. [Google Scholar] [CrossRef] [PubMed]
- Tosovic, D.; Muirhead, J.C.; Brown, J.M.M.; Woodley, S.J. Anatomy of the Long Head of Biceps Femoris: An Ultrasound Study. Clin. Anat. 2016, 29, 738–745. [Google Scholar] [CrossRef]
- Balius, R.; Bossy, M.; Pedret, C.; Capdevila, L.; Alomar, X.; Heiderscheit, B.; Rodas, G. Semimembranosus Muscle Injuries in Sport. A Practical MRI use for Prognosis. Sports Med. Int. Open 2017, 1, E94–E100. [Google Scholar] [CrossRef] [PubMed]
- Balius, R.; Alomar, X.; Rodas, G.; Miguel-Pérez, M.; Pedret, C.; Dobado, M.C.; Blasi, J.; Koulouris, G. The Soleus Muscle: MRI, Anatomic and Histologic Findings in Cadavers with Clinical Correlation of Strain Injury Distribution. Skeletal Radiol. 2013, 42, 521–530. [Google Scholar] [CrossRef] [PubMed]
- Isern-Kebschull, J.; Pedret, C.; Mechó, S.; Pruna, R.; Alomar, X.; Yanguas, X.; Valle, X.; Kassarjian, A.; Martínez, J.; Tomas, X.; et al. MRI Findings Prior to Return to Play as Predictors of Reinjury in Professional Athletes: A Novel Decision-Making Tool. Insights Imaging 2022, 13, 203. [Google Scholar] [CrossRef] [PubMed]
- van Heumen, M.; Tol, J.L.; de Vos, R.-J.; Moen, M.H.; Weir, A.; Orchard, J.; Reurink, G. The Prognostic Value of MRI in Determining Reinjury Risk Following Acute Hamstring Injury: A Systematic Review. Br. J. Sports Med. 2017, 51, 1355–1363. [Google Scholar] [CrossRef]
- Reurink, G.; Whiteley, R.; Tol, J.L. Hamstring Injuries and Predicting Return to Play: “Bye-Bye MRI?”. Br. J. Sports Med. 2015, 49, 1162–1163. [Google Scholar] [CrossRef]
- Silder, A.; Sherry, M.A.; Sanfilippo, J.; Tuite, M.J.; Hetzel, S.J.; Heiderscheit, B.C. Clinical and Morphological Changes Following 2 Rehabilitation Programs for Acute Hamstring Strain Injuries: A Randomized Clinical Trial. J. Orthop. Sports Phys. Ther. 2013, 43, 284–299. [Google Scholar] [CrossRef]
- Connell, D.A.; Schneider-Kolsky, M.E.; Hoving, J.L.; Malara, F.; Buchbinder, R.; Koulouris, G.; Burke, F.; Bass, C. Longitudinal Study Comparing Sonographic and MRI Assessments of Acute and Healing Hamstring Injuries. AJR Am. J. Roentgenol. 2004, 183, 975–984. [Google Scholar] [CrossRef]
- van der Horst, R.A.; Tol, J.L.; Weir, A.; den Harder, J.M.; Moen, M.H.; Maas, M.; Reurink, G. The Value of MRI STIR Signal Intensity on Return to Play Prognosis and Reinjury Risk Estimation in Athletes with Acute Hamstring Injuries. J. Sci. Med. Sport. 2021, 24, 855–861. [Google Scholar] [CrossRef]
- Biglands, J.D.; Grainger, A.J.; Robinson, P.; Tanner, S.F.; Tan, A.L.; Feiweier, T.; Evans, R.; Emery, P.; O’Connor, P. MRI in Acute Muscle Tears in Athletes: Can Quantitative T2 and DTI Predict Return to Play Better than Visual Assessment? Eur. Radiol. 2020, 30, 6603–6613. [Google Scholar] [CrossRef]
- Rigamonti, L.; Estel, K.; Gehlen, T.; Wolfarth, B.; Lawrence, J.B.; Back, D.A. Use of Artificial Intelligence in Sports Medicine: A Report of 5 Fictional Cases. BMC Sports Sci. Med. Rehabil. 2021, 13, 13. [Google Scholar] [CrossRef]
- Nassis, G.P.; Verhagen, E.; Brito, J.; Figueiredo, P.; Krustrup, P. A Review of Machine Learning Applications in Soccer with an Emphasis on Injury Risk. Biol. Sport. 2023, 40, 233. [Google Scholar] [CrossRef]
- Lu, Y.; Pareek, A.; Lavoie-Gagne, O.Z.; Forlenza, E.M.; Patel, B.H.; Reinholz, A.K.; Forsythe, B.; Camp, C.L. Machine Learning for Predicting Lower Extremity Muscle Strain in National Basketball Association Athletes. Orthop. J. Sports Med. 2022, 10, 23259671221111742. [Google Scholar] [CrossRef]
- Ayala, F.; López-Valenciano, A.; Gámez Martín, J.A.; De Ste Croix, M.; Vera-Garcia, F.J.; García-Vaquero, M.D.P.; Ruiz-Pérez, I.; Myer, G.D. A Preventive Model for Hamstring Injuries in Professional Soccer: Learning Algorithms. Int. J. Sports Med. 2019, 40, 344–353. [Google Scholar] [CrossRef] [PubMed]
- Valle, X.; Mechó, S.; Alentorn-Geli, E.; Järvinen, T.A.H.; Lempainen, L.; Pruna, R.; Monllau, J.C.; Rodas, G.; Isern-Kebschull, J.; Ghrairi, M.; et al. Return to Play Prediction Accuracy of the MLG-R Classification System for Hamstring Injuries in Football Players: A Machine Learning Approach. Sports Med. 2022, 52, 2271–2282. [Google Scholar] [CrossRef] [PubMed]
- Qiao, Y.; Zhang, L.; Zhang, B. Rehabilitation Treatment of Muscle Strain in Athlete Training under Intelligent Intervention. Comput. Math. Methods Med. 2022, 2022, 5403681. [Google Scholar] [CrossRef] [PubMed]
- Chidambaram, S.; Maheswaran, Y.; Patel, K.; Sounderajah, V.; Hashimoto, D.A.; Seastedt, K.P.; McGregor, A.H.; Markar, S.R.; Darzi, A. Using Artificial Intelligence-Enhanced Sensing and Wearable Technology in Sports Medicine and Performance Optimisation. Sensors 2022, 22, 6920. [Google Scholar] [CrossRef]
- Skazalski, C.; Whiteley, R.; Hansen, C.; Bahr, R. A Valid and Reliable Method to Measure Jump-Specific Training and Competition Load in Elite Volleyball Players. Scand. J. Med. Sci. Sports 2018, 28, 1578–1585. [Google Scholar] [CrossRef]
- Claudino, J.G.; Capanema, D.d.O.; de Souza, T.V.; Serrão, J.C.; Machado Pereira, A.C.; Nassis, G.P. Current Approaches to the Use of Artificial Intelligence for Injury Risk Assessment and Performance Prediction in Team Sports: A Systematic Review. Sports Med. Open 2019, 5, 1–12. [Google Scholar] [CrossRef]
- McCall, A.; Pruna, R.; Van der Horst, N.; Dupont, G.; Buchheit, M.; Coutts, A.J.; Impellizzeri, F.M.; Fanchini, M.; Azzalin, A.; Beck, A.; et al. Exercise-Based Strategies to Prevent Muscle Injury in Male Elite Footballers: An Expert-Led Delphi Survey of 21 Practitioners Belonging to 18 Teams from the Big-5 European Leagues. Sports Med. 2020, 50, 1667–1681. [Google Scholar] [CrossRef]
- Harøy, J.; Clarsen, B.; Wiger, E.G.; Øyen, M.G.; Serner, A.; Thorborg, K.; Hölmich, P.; Andersen, T.E.; Bahr, R. The Adductor Strengthening Programme Prevents Groin Problems among Male Football Players: A Cluster-Randomised Controlled Trial. Br. J. Sports Med. 2019, 53, 150–157. [Google Scholar] [CrossRef]
- van Dyk, N.; Behan, F.P.; Whiteley, R. Including the Nordic Hamstring Exercise in Injury Prevention Programmes Halves the Rate of Hamstring Injuries: A Systematic Review and Meta-Analysis of 8459 Athletes. Br. J. Sports Med. 2019, 53, 1362–1370. [Google Scholar] [CrossRef] [PubMed]
- Whiteley, R.; Massey, A.; Gabbett, T.; Blanch, P.; Cameron, M.; Conlan, G.; Ford, M.; Williams, M. Match High-Speed Running Distances Are Often Suppressed After Return from Hamstring Strain Injury in Professional Footballers. Sports Health 2021, 13, 290–295. [Google Scholar] [CrossRef] [PubMed]
- Gabbett, T.J. The Training-Injury Prevention Paradox: Should Athletes Be Training Smarter and Harder? Br. J. Sports Med. 2016, 50, 273–280. [Google Scholar] [CrossRef] [PubMed]
- Ivarsson, A.; Johnson, U.; Andersen, M.B.; Tranaeus, U.; Stenling, A.; Lindwall, M. Psychosocial Factors and Sport Injuries: Meta-Analyses for Prediction and Prevention. Sports Med. 2017, 47, 353–365. [Google Scholar] [CrossRef] [PubMed]
- de Sire, A.; Demeco, A.; Marotta, N.; Moggio, L.; Palumbo, A.; Iona, T.; Ammendolia, A. Anterior Cruciate Ligament Injury Prevention Exercises: Could a Neuromuscular Warm-Up Improve Muscle Pre-Activation before a Soccer Game? A Proof-of-Principle Study on Professional Football Players. Appl. Sci. 2021, 11, 4958. [Google Scholar] [CrossRef]




| Injury | Mean Absence Days from Sport (95% CI) |
|---|---|
| Quadriceps muscle injury (structural) | 23.7 (20.2 to 27.2) |
| Hamstring muscle injury (structural) | 21.5 (18.9 to 24.1) |
| Calf muscle injury (structural) | 20.8 (17.0 to 24.5) |
| Hamstring muscle injury (functional) | 9.2 (7.1 to 11.3) |
| Calf muscle injury (functional) | 7.3 (4.1 to 10.6) |
| Quadriceps muscle injury (functional) | 6.4 (4.3 to 8.4) |
| High-grade recommendations | Higher risk of reinjury if history of previous muscle injuries |
| Always manage modifiable risk factors and complete the correct rehabilitation process | |
| Eccentric exercise should be a cornerstone of the rehabilitation process | |
| Low-grade recommendations | Higher risk of reinjury for high-grade muscle injuries |
| Myotendinous injuries are the more at-risk lesions | |
| Low risk of reinjury in professional athletes | |
| More than half of hamstring reinjuries occur within 4 weeks of RTP |
| Grade | Definition | Ultrasound Characteristic |
|---|---|---|
| I | Minimal elongations with less than 5% of muscle involved | These lesions can be quite long in the muscle axis being usually very small on cross-sectional diameter |
| II | Partial muscle ruptures | Lesions that involve from 5 to 50% of the muscle volume or cross-sectional diameter. Ultrasound demonstrates a hypo or even anechoic gap within the muscle fibers. Gentle pressure applied with the transducer will demonstrate torn muscle fragments floating in a serohematic fluid |
| III | Complete muscle tears with complete retraction | The muscle belly forms a real mass, and a gap can be palpated between the retracted ends of the muscle |
| Clinical information | Data on trauma Mechanism of injury Symptoms Sports discipline History of prior injuries in the same region | ||
| Evaluation of the MRI | Anatomical assessment of T1-weighted sequences (axial and coronal) | Individual muscular anatomy Anatomical variants Residual changes from previous lesions (scarring, atrophy) Vascular structure | |
| Assessment of lesions on T1- and T2-fluid-sensitive sequences (acute lesions on T2-weighted sequences and previous lesions on both T1- and T2-weighted sequences) | Location of the lesion | Proximal, middle, and distal | |
| Anatomical structures involved | Aponeurosis, fascia, tendon, and fibers | ||
| Pattern of edema and/or scar | |||
| Categorization of MRI lesions based on clinical and imaging criteria | Munich Consensus Statement [47] or British Athletics Muscle Injury Classification [48] or FC Barcelona—Aspetar–Duke classification [1] | ||
| Muscle | Injury Pattern | Approximately Expected RTP Time |
|---|---|---|
| Rectus femoris | Gap in the central septum | 6–7 weeks |
| Gap in the anterior aponeurosis | 6–7 weeks | |
| Discontinuity of the anterior fascia | 2–3 weeks | |
| Soleus | Rupture of posterior aponeurosis | 3–4 weeks |
| Rupture of the central septum | 5–6 weeks | |
| Rupture of the medial fascicle | 5–6 weeks | |
| Rupture of the lateral fascicle | 3–4 weeks | |
| Semimembranosus | Myotendinous injuries | 3–4 weeks |
| Biceps femoris | Deep zipper | 3–4 weeks |
Disclaimer/Publisher’s Note: The statements, opinions and data contained in all publications are solely those of the individual author(s) and contributor(s) and not of MDPI and/or the editor(s). MDPI and/or the editor(s) disclaim responsibility for any injury to people or property resulting from any ideas, methods, instructions or products referred to in the content. |
© 2023 by the authors. Licensee MDPI, Basel, Switzerland. This article is an open access article distributed under the terms and conditions of the Creative Commons Attribution (CC BY) license (https://creativecommons.org/licenses/by/4.0/).
Share and Cite
Palermi, S.; Vittadini, F.; Vecchiato, M.; Corsini, A.; Demeco, A.; Massa, B.; Pedret, C.; Dorigo, A.; Gallo, M.; Pasta, G.; et al. Managing Lower Limb Muscle Reinjuries in Athletes: From Risk Factors to Return-to-Play Strategies. J. Funct. Morphol. Kinesiol. 2023, 8, 155. https://doi.org/10.3390/jfmk8040155
Palermi S, Vittadini F, Vecchiato M, Corsini A, Demeco A, Massa B, Pedret C, Dorigo A, Gallo M, Pasta G, et al. Managing Lower Limb Muscle Reinjuries in Athletes: From Risk Factors to Return-to-Play Strategies. Journal of Functional Morphology and Kinesiology. 2023; 8(4):155. https://doi.org/10.3390/jfmk8040155
Chicago/Turabian StylePalermi, Stefano, Filippo Vittadini, Marco Vecchiato, Alessandro Corsini, Andrea Demeco, Bruno Massa, Carles Pedret, Alberto Dorigo, Mauro Gallo, Giulio Pasta, and et al. 2023. "Managing Lower Limb Muscle Reinjuries in Athletes: From Risk Factors to Return-to-Play Strategies" Journal of Functional Morphology and Kinesiology 8, no. 4: 155. https://doi.org/10.3390/jfmk8040155
APA StylePalermi, S., Vittadini, F., Vecchiato, M., Corsini, A., Demeco, A., Massa, B., Pedret, C., Dorigo, A., Gallo, M., Pasta, G., Nanni, G., Vascellari, A., Marchini, A., Lempainen, L., & Sirico, F. (2023). Managing Lower Limb Muscle Reinjuries in Athletes: From Risk Factors to Return-to-Play Strategies. Journal of Functional Morphology and Kinesiology, 8(4), 155. https://doi.org/10.3390/jfmk8040155

