Multiparametric Approach to Arrhythmogenic Cardiomyopathy: Clinical, Instrumental, and Lifestyle Indications
Abstract
1. Introduction
1.1. Italian Profile
1.2. Natural History
2. Diagnosis
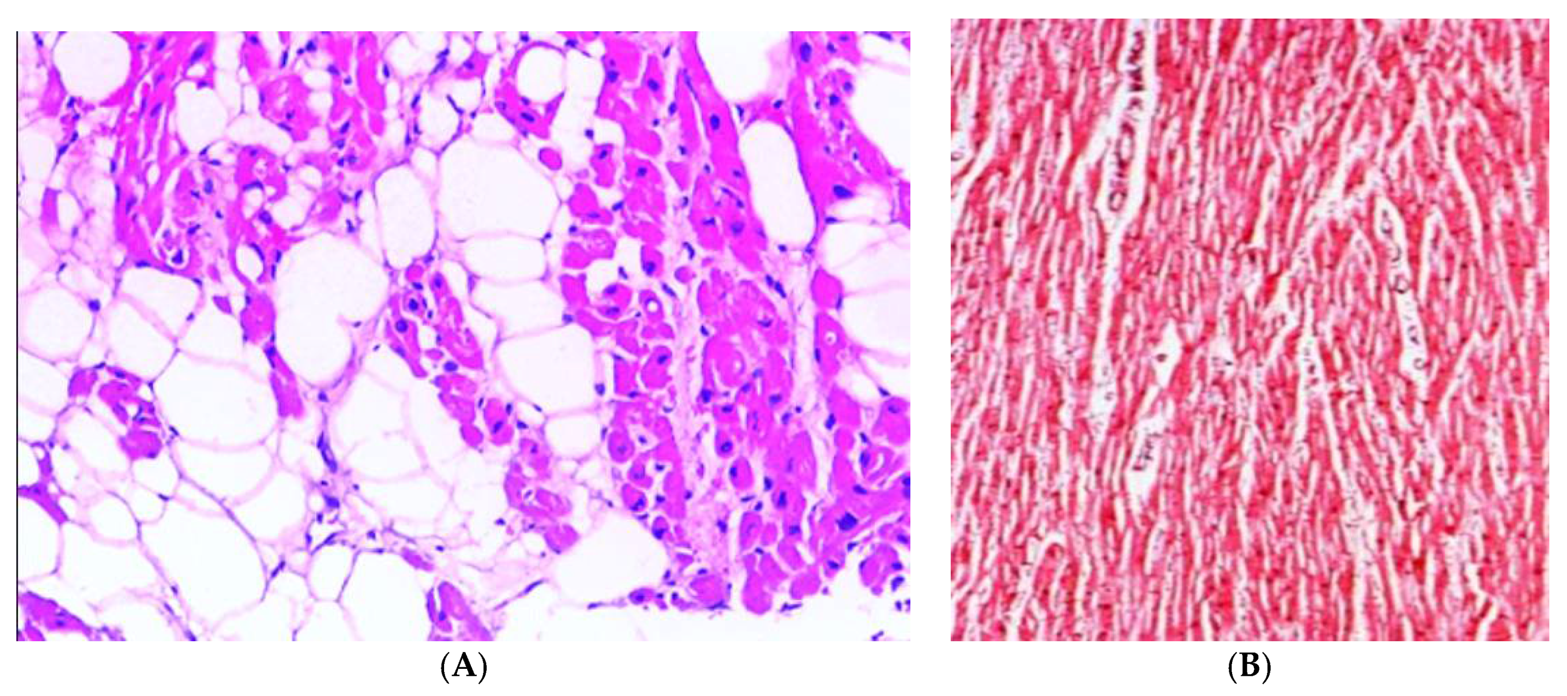
3. Classic Shape
4. ARVC Variant with Left Dominance
5. From Myocardial Cell Mechanisms to the ECG Pattern
6. ARVC General ECG Criteria
7. Echocardiographic Assessment
- RV outflow tract diameter (long axis) >32 mm, or
- RV outflow tract diameter (short axis) >36 mm, or
- RV shortening fraction <33%
8. Prognosis
9. Risk Stratification
10. Lifestyle Modification—Exercise Limitations
11. Therapy: Transcatheter Ablation
12. Pharmacological Therapy
13. Beta Blockers
14. Antiarrhythmic Drugs
15. Conclusions
Author Contributions
Conflicts of Interest
References
- Thiene, G.; Nava, A.; Corrado, D.; Rossi, L.; Pennelli, N. Right ventricular cardiomyopathy and sudden death in young people. N. Engl. J. Med. 1988, 318, 129–133. [Google Scholar] [CrossRef] [PubMed]
- Basso, C.; Corrado, D.; Marcus, F.; Nava, A.; Thiene, G. Arrhythmogenic right ventricular cardiomyopathy. Lancet 2009, 373, 1289–1300. [Google Scholar] [CrossRef]
- Maron, B.J.; Haas, T.S.; Ahluwalia, A.; Murphy, C.J.; Garberich, R.F. Demographics and Epidemiology of Sudden Deaths in Young Competitive Athletes: From the United States National Registry. Am. J. Med. 2016, 129, 1170–1177. [Google Scholar] [CrossRef] [PubMed]
- Wada, Y.; Ohno, S.; Aiba, T.; Horie, M. Unique genetic background and outcome of non-Caucasian Japanese probands with arrhythmogenic right ventricular dysplasia/cardiomyopathy. Mol. Genet. Genom. Med. 2017, 5, 639–651. [Google Scholar] [CrossRef] [PubMed]
- Maron, B.J.; Haas, T.S.; Doerer, J.J.; Thompson, P.D.; Hodges, J.S. Comparison of U.S. and Italian Experiences with Sudden Cardiac Deaths in Young Competitive Athletes and Implications for Preparticipation Screening Strategies. Am. J. Cardiol. 2009, 104, 276–280. [Google Scholar] [CrossRef] [PubMed]
- Finocchiaro, G.; Papadakis, M.; Robertus, J.L.; Dhutia, H.; Steriotis, A.K.; Tome, M.; Mellor, G.; Merghani, A.; Malhotra, A.; Behr, E.; et al. Etiology of Sudden Death in Sports: Insights from a United Kingdom Regional Registry. J. Am. Coll. Cardiol. 2016, 67, 2108–2115. [Google Scholar] [CrossRef] [PubMed]
- Corrado, D.; Thiene, G.; Nava, A.; Rossi, L.; Pennelli, N. Sudden death in young competitive athletes: Clinico-pathologic correlations in 22 cases. Am. J. Med. 1990, 89, 588–596. [Google Scholar] [CrossRef]
- Corrado, D.; Basso, C.; Schiavon, M.; Thiene, G. Screening for hypertrophic cardiomyopathy in young athletes. N. Engl. J. Med. 1998, 339, 364–369. [Google Scholar] [CrossRef] [PubMed]
- Corrado, D.; Basso, C.; Rizzoli, G.; Schiavon, M.; Thiene, G. Does sports activity enhance the risk of sudden death in adolescents and young adults? J. Am. Coll. Cardiol. 2003, 42, 1959–1963. [Google Scholar] [CrossRef] [PubMed]
- Lemola, K.; Brunckhorst, C.; Helfenstein, U.; Oechslin, E.; Jenni, R.; Duru, F. Predictors of adverse outcome in patients with arrhythmogenic right ventricular dysplasia/cardiomyopathy: Long term experience of a tertiary care centre. Heart 2005, 91, 1167–1172. [Google Scholar] [CrossRef] [PubMed]
- Cerrone, M.; Lin, X.; Zhang, M.; Agullo-Pascual, E.; Pfenniger, A.; Chkourko Gusky, H.; Novelli, V.; Kim, C.; Tirasawadichai, T.; Judge, D.P.; et al. Missense mutations in plakophilin-2 cause sodium current deficit and associate with a Brugada syndrome phenotype. Circulation 2014, 129, 1092–1103. [Google Scholar] [CrossRef] [PubMed]
- Migliore, F.; Zorzi, A.; Silvano, M.; Silvano, M.; Rigato, I.; Basso, C.; Thiene, G.; Corrado, D. Clinical management of arrhythmogenic right ventricular cardiomyopathy: An update. Curr. Pharm. Des. 2010, 16, 2918–2928. [Google Scholar] [CrossRef] [PubMed]
- McKenna, W.J.; Thiene, G.; Nava, A.; Fontaliran, F.; Blomstrom-Lundqvist, C.; Fontaine, G.; Camerini, F. Diagnosis of arrhythmogenic right ventricular dysplasia/cardiomyopathy. Task Force of the Working Group Myocardial and Pericardial Disease of the European Society of Cardiology and of the Scientific Council on Cardiomyopathies of the International Society and Federation of Cardiology. Br. Heart J. 1994, 71, 215–218. [Google Scholar] [PubMed]
- Hamid, M.S.; Norman, M.; Quraishi, A.; Firoozi, S.; Thaman, R.; Gimeno, J.R.; Sachdev, B.; Rowland, E.; Elliott, P.M.; McKenna, W.J. Prospective evaluation of relatives for familial arrhythmogenic right ventricular cardiomyopathy/dysplasia reveals a need to broaden diagnostic criteria. J. Am. Coll. Cardiol. 2002, 40, 1445–1450. [Google Scholar] [CrossRef]
- Marcus, F.I.; McKenna, W.J.; Sherrill, D.; Basso, C.; Bauce, B.; Bluemke, D.A.; Calkins, H.; Corrado, D.; Cox, M.G.; Daubert, J.P.; et al. Diagnosis of arrhythmogenic right ventricular cardiomyopathy/dysplasia: Proposed modification of the task force criteria. Circulation 2010, 121, 1533–1541. [Google Scholar] [CrossRef] [PubMed]
- Basso, C.; Ronco, F.; Marcus, F.; Abudureheman, A.; Rizzo, S.; Frigo, A.C.; Bauce, B.; Maddalena, F.; Nava, A.; Corrado, D.; et al. Quantitative assessment of endomyocardial biopsy in arrhythmogenic right ventricular cardiomyopathy/dysplasia: An in vitro validation of diagnostic criteria. Eur. Heart J. 2008, 29, 2760–2771. [Google Scholar] [CrossRef] [PubMed]
- Yoegher, D.M.; Marcus, F.; Sherrill, D.; Calkins, H.; Towbin, J.A.; Zareba, W.; Picard, M.H. Echocardiographic findings in patients meeting task force criteria for arrhythmogenic right ventricular dysplasia: New insights from the multidisciplinary study of right ventricular dysplasia. J. Am. Coll. Cardiol. 2005, 45, 860–865. [Google Scholar]
- Rizzo, S.; Pilichou, K.; Thiene, G.; Basso, C. The changing spectrum of arrhythmogenic (right ventricular) cardiomyopathy. Cell Tissue Res. 2012, 348, 319–323. [Google Scholar] [CrossRef] [PubMed]
- Ponsiglione, A.; Puglia, M.; Morisco, C.; Barbuto, L.; Rapacciuolo, A.; Santoro, M.; Spinelli, L.; Trimarco, B.; Cuocolo, A.; Imbriaco, M. A unique association of arrhythmogenic right ventricular dysplasia and acute myocarditis, as assessed by cardiac MRI: A case report. BMC Cardiovasc. Disord. 2016, 16, 230. [Google Scholar] [CrossRef] [PubMed]
- Pilichou, K.; Remme, C.A.; Basso, C.; Campian, M.E.; Rizzo, S.; Barnett, P.; Scicluna, B.P.; Bauce, B.; van den Hoff, M.J.; de Bakker, J.M.; et al. Myocyte necrosis underlies progressive myocardial dystrophy in mouse dsg2-related arrhythmogenic right ventricular cardiomyopathy. J. Exp. Med. 2009, 206, 1787–1802. [Google Scholar] [CrossRef] [PubMed]
- Rampazzo, A.; Nava, A.; Malacrida, S.; Beffagna, G.; Bauce, B.; Rossi, V.; Zimbello, R.; Simionati, B.; Basso, C.; Thiene, G.; et al. Mutation in human desmoplakin domain binding to plakoglobin causes a dominant form of arrhythmogenic right ventricular cardiomyopathy. Am. J. Hum. Genet. 2002, 71, 1200–1206. [Google Scholar] [CrossRef] [PubMed]
- Asimaki, A.; Syrris, P.; Wichter, T.; Matthias, P.; Saffitz, J.E.; McKenna, W.J. A novel dominant mutation in plakoglobin causes arrhythmogenic right ventricular cardiomyopathy. Am. J. Hum. Genet. 2007, 81, 964–973. [Google Scholar] [CrossRef] [PubMed]
- Rigato, I.; Bauce, B.; Rampazzo, A.; Zorzi, A.; Pilichou, K.; Mazzotti, E.; Migliore, F.; Marra, M.P.; Lorenzon, A.; De Bortoli, M.; et al. Compound and digenic heterozygosity predicts lifetime arrhythmic outcome and sudden cardiac death in desmosomal gene-relatedarrhythmogenic right ventricular cardiomyopathy. Circ. Cardiovasc. Genet. 2013, 6, 533–542. [Google Scholar] [CrossRef] [PubMed]
- Corrado, D.; Basso, C.; Pavei, A.; Michieli, P.; Schiavon, M.; Thiene, G. Trends in sudden cardiovascular death in young competitive athletes after implementation of a preparticipation screening program. JAMA 2006, 296, 1593–1601. [Google Scholar] [CrossRef] [PubMed]
- Corrado, D.; Schmied, C.; Basso, C.; Borjesson, M.; Schiavon, M.; Pelliccia, A.; Vanhees, L.; Thiene, G. Risk of sports: Do we need a pre-participation screening for competit,ive and leisure athletes? Eur. Heart J. 2011, 32, 934–944. [Google Scholar] [CrossRef] [PubMed]
- Kirchhof, P.; Fabritz, L.; Zwiener, M.; Witt, H.; Schäfers, M.; Zellerhoff, S.; Paul, M.; Athai, T.; Hiller, K.H.; Baba, H.A.; et al. Age- and training-dependent development of arrhythmogenic right ventricular cardiomyopathy in heterozygous plakoglobindeficient mice. Circulation 2006, 114, 1799–1806. [Google Scholar] [CrossRef] [PubMed]
- James, C.A.; Bhonsale, A.; Tichnell, C.; Murray, B.; Russell, S.D.; Tandri, H.; Tedford, R.J.; Judge, D.P.; Calkins, H. Exercise increases age-related penetrance and arrhythmic risk in arrhythmogenic right ventricular dysplasia/ cardiomyopathy-associated desmosomal mutation carriers. J. Am. Coll. Cardiol. 2013, 62, 1290. [Google Scholar] [CrossRef] [PubMed]
- Saberniak, J.; Hasselberg, N.E.; Borgquist, R.; Platonov, P.G.; Sarvari, S.I.; Smith, H.J.; Ribe, M.; Holst, A.G.; Edvardsen, T.; Haugaa, K.H. Vigorous physical activity impairs myocardialfunction in patients with arrhythmogenic right ventricular cardiomyopathy and in mutation positive family members. Eur. J. Heart Fail. 2014, 16, 1337–1344. [Google Scholar] [CrossRef] [PubMed]
- Heidbuchel, H.; Hoogsteen, J.; Fagard, R.; Vanhees, L.; Ector, H.; Willems, R.; Van Lierde, J. High prevalence of right ventricular involvement in endurance athletes with ventricular arrhythmias. Role of an electrophysiologic study in risk stratification. Eur. Heart J. 2003, 24, 1473–1480. [Google Scholar] [CrossRef]
- La Gerche, A. Defining the interaction between exercise and arrhythmogenic right ventricular Cardiomyopathy. Eur. J. Heart Fail. 2015, 17, 128–131. [Google Scholar] [CrossRef] [PubMed]
- Berruezo, A.; Fernandez-Armenta, J.; Mont, L.; Zeljko, H.; Andreu, D.; Herczku, C.; Boussy, T.; Tolosana, J.M.; Arbelo, E.; Brugada, J. Combined endocardial and epicardial catheter ablation in arrhythmogenic right ventricular dysplasia incorporating scar dechanneling technique. Circ. Arrhythm. Electrophysiol. 2012, 5, 111–121. [Google Scholar] [CrossRef] [PubMed]
- Garcia, F.C.; Bazan, V.; Zado, E.S.; Ren, J.F.; Marchlinski, F.E. Epicardial substrate and outcome with epicardial ablation of ventricular tachycardia in arrhythmogenic right ventricular cardiomyopathy/dysplasia. Circulation 2009, 120, 366–375. [Google Scholar] [CrossRef] [PubMed]
- Schuler, P.K.; Haegeli, L.M.; Saguner, A.M.; Wolber, T.; Tanner, F.C.; Jenni, R.; Corti, N.; Lüscher, T.F.; Brunckhorst, C.; Duru, F. Predictors of appropriate ICD therapy in patients with arrhythmogenic right ventricular cardiomyopathy: Long term experience of a tertiary care center. PLoS ONE 2012, 7, e39584. [Google Scholar] [CrossRef] [PubMed]
- Bhonsale, A.; James, C.A.; Tichnell, C.; Murray, B.; Gagarin, D.; Philips, B.; Dalal, D.; Tedford, R.; Russell, S.D.; Abraham, T.; et al. Incidence and predictors of implantable cardioverter-defibrillator therapy in patients with arrhythmogenic right ventricular dysplasia/cardiomyopathy undergoing implantable cardioverter-defibrillator implantation for primary prevention. J. Am. Coll. Cardiol. 2011, 58, 1485–1496. [Google Scholar] [CrossRef] [PubMed]
- Corrado, D.; Calkins, H.; Link, M.S.; Leoni, L.; Favale, S.; Bevilacqua, M.; Basso, C.; Ward, D.; Boriani, G.; Ricci, R.; et al. Prophylactic implantable defibrillator in patients with arrhythmogenic right ventricular cardiomyopathy/dysplasia and no prior ventricular fibrillation or sustained ventricular tachycardia. Circulation 2010, 122, 1144–1152. [Google Scholar] [CrossRef] [PubMed]
- Wichter, T.; Hindricks, G.; Lerch, H.; Bartenstein, P.; Borggrefe, M.; Schober, O.; Breithardt, G. Regional myocardial sympathetic dysinnervation in arrhythmogenic right ventricular cardiomyopathy. An analysis using 123Imeta- iodobenzylguanidine scintigraphy. Circulation 1994, 89, 667–683. [Google Scholar] [CrossRef] [PubMed]
- Zou, J.; Cao, K.; Yang, B.; Chen, M.; Shan, Q.; Chen, C.; Li, W.; Haines, D.E. Dynamic substrate mapping and ablation of ventricular tachycardias in right ventricular dysplasia. J. Int. Card. Electrophysiol. 2004, 11, 37–45. [Google Scholar] [CrossRef] [PubMed]
- Miljoen, H.; State, S.; De Chillou, C.; Magnin-Poull, I.; Dotto, P.; Andronache, M.; Abdelaal, A.; Aliot, E. Electroanatomic mapping characteristics of ventricular tachycardia in patients with arrhythmogenic right ventricular cardiomyopathy/dysplasia. Europace 2005, 7, 516–524. [Google Scholar] [CrossRef] [PubMed]






| AGE (Years) | <18 | 18–35 | >35 |
|---|---|---|---|
| SD prevalence | <6% | 14% | 18% |
| Disease Gene | Gene | Locus | Mode of Inheritance | Associated Phenotype |
|---|---|---|---|---|
| Desmosomal genes | ||||
| Plakoglobin | JUP | 17q21.2 | AD/AR | AR form: Naxos disease |
| Desmoplakin | DSP | 6p24.3 | AD/AR | AR form: cardiocutaneous syndrome |
| Plakophilin-2 | PKP-2 | 12p11.21 | AD/AR | |
| Desmoglein-2 | DSG2 | 18q12.1 | AD/AR | |
| Desmocollin-2 | DSC2 | 18q12.1 | AD/AR | |
| Non-desmosomal genes | ||||
| Transforming growth factor-β-3 | TGFB3 | 14q24.3 | AD | |
| Transmembrane protein 43 | TMEM43 | 3p25.1 | AD | |
| Ryanodine receptor | RYR2 | 1q42–q43 | AD? | |
| Desmin | DES | 2q35 | AD | Overlap syndrome (DC HC phenotype, early conduction disease) |
| Phospholamban | PLP | 6q22.31 | AD | |
| Titin | TNT | 2q31.2 | AD | Overlap syndrome (early conduction disease) |
| Lamin A/C | LMNA | 1q22 | AD | Overlap syndrome |
| α-T-catenin | CTNAA3 | 10q21.3 | AD | |
| Filamin-C | FLNC | 7q32.1 | AD | Overlap syndrome (HC and DC phenotype) |
| N-Cadherin | CDH2 | 18q12.1 | AD | |
| Major Criteria | Epsilon Wave/QRS >110 ms | V1–V3 |
|---|---|---|
| Repolarization abnormalities: Inverted T wave >14 years and in absence of RBB | V1–V3 | |
| Minor Criteria | Inverted T wave (>14 years) in presence of RBB | V1–V4 |
| Inverted T wave | V4–V6 | |
| Late activation time (S wave) >50 ms | V1–V3 | |
| Late potential at high amplification at Signal Averaged ECG (SAECG) exam | SAECG |
| Parameter | Pathological Values | Normal Range |
|---|---|---|
| RV Area Change | Fractional Area Change <33 | >40% |
| RVOT PLAX diameter | >33 mm | 20–30 mm |
| RVOT prox diameter | >36 mm | 21–35 mm |
© 2018 by the authors. Licensee MDPI, Basel, Switzerland. This article is an open access article distributed under the terms and conditions of the Creative Commons Attribution (CC BY) license (http://creativecommons.org/licenses/by/4.0/).
Share and Cite
Stefani, L.; Tosi, B.; Galanti, G. Multiparametric Approach to Arrhythmogenic Cardiomyopathy: Clinical, Instrumental, and Lifestyle Indications. J. Funct. Morphol. Kinesiol. 2018, 3, 35. https://doi.org/10.3390/jfmk3020035
Stefani L, Tosi B, Galanti G. Multiparametric Approach to Arrhythmogenic Cardiomyopathy: Clinical, Instrumental, and Lifestyle Indications. Journal of Functional Morphology and Kinesiology. 2018; 3(2):35. https://doi.org/10.3390/jfmk3020035
Chicago/Turabian StyleStefani, Laura, Benedetta Tosi, and Giorgio Galanti. 2018. "Multiparametric Approach to Arrhythmogenic Cardiomyopathy: Clinical, Instrumental, and Lifestyle Indications" Journal of Functional Morphology and Kinesiology 3, no. 2: 35. https://doi.org/10.3390/jfmk3020035
APA StyleStefani, L., Tosi, B., & Galanti, G. (2018). Multiparametric Approach to Arrhythmogenic Cardiomyopathy: Clinical, Instrumental, and Lifestyle Indications. Journal of Functional Morphology and Kinesiology, 3(2), 35. https://doi.org/10.3390/jfmk3020035

