Recombinant Expression and Purification of the Cyanobacterial Chaperone HtpG from Synechococcus elongatus PCC 7942
Abstract
1. Introduction
2. Materials and Methods
2.1. Sequence Alignments
2.2. Protein Expression
2.3. Protein Purification
2.4. Analytical Ultracentrifugation
2.5. Steady-State Enzymatic Coupled ATPase Assay
3. Results and Discussion
3.1. Sequence Analysis
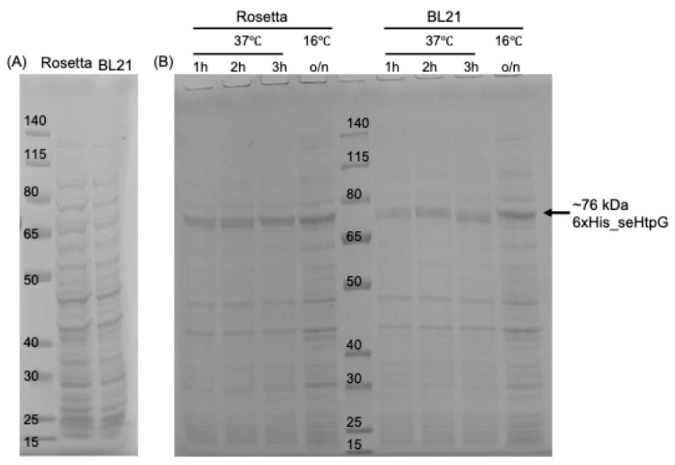
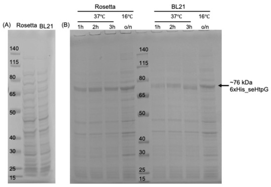
3.2. Recombinant Overexpression of seHtpG in E. coli
3.3. Purification of Recombinant seHtpG
3.4. seHtpG Forms a Dimer
3.5. ATPase Activity of Recombinant seHtpG
4. Discussion
Supplementary Materials
Author Contributions
Funding
Data Availability Statement
Acknowledgments
Conflicts of Interest
References
- Schopf, F.H.; Biebl, M.M.; Buchner, J. The HSP90 chaperone machinery. Nat. Rev. Mol. Cell Biol. 2017, 18, 345–360. [Google Scholar] [CrossRef] [PubMed]
- Echeverría, P.C.; Bernthaler, A.; Dupuis, P.; Mayer, B.; Picard, D. An interaction network predicted from public data as a discovery tool: Application to the Hsp90 molecular chaperone machine. PLoS ONE 2011, 6, e26044. [Google Scholar] [CrossRef] [PubMed]
- Jackson, S.E. Hsp90: Structure and function. Mol. Chaperones 2013, 328, 155–240. [Google Scholar]
- Honoré, F.A.; Méjean, V.; Genest, O. Hsp90 is essential under heat stress in the bacterium Shewanella oneidensis. Cell Rep. 2017, 19, 680–687. [Google Scholar] [CrossRef]
- Wickramaratne, A.C.; Wickner, S.; Kravats, A.N. Hsp90, a team player in protein quality control and the stress response in bacteria. Microbiol. Mol. Biol. Rev. 2024, 88, e00176-22. [Google Scholar] [CrossRef]
- Whitesell, L.; Lindquist, S.L. HSP90 and the chaperoning of cancer. Nat. Rev. Cancer 2005, 5, 761–772. [Google Scholar] [CrossRef]
- Tanaka, N.; Nakamoto, H. HtpG is essential for the thermal stress management in cyanobacteria. FEBS Lett. 1999, 458, 117–123. [Google Scholar] [CrossRef]
- Sato, T.; Minagawa, S.; Kojima, E.; Okamoto, N.; Nakamoto, H. HtpG, the prokaryotic homologue of Hsp90, stabilizes a phycobilisome protein in the cyanobacterium Synechococcus elongatus PCC 7942. Mol. Microbiol. 2010, 76, 576–589. [Google Scholar] [CrossRef] [PubMed]
- Cordeiro, R.; Luz, R.; Vasconcelos, V.; Fonseca, A.; Gonçalves, V. A critical review of cyanobacteria distribution and cyanotoxins occurrence in Atlantic Ocean islands. Cryptogam. Algol. 2020, 41, 73–89. [Google Scholar] [CrossRef]
- Sánchez-Baracaldo, P.; Bianchini, G.; Wilson, J.D.; Knoll, A.H. Cyanobacteria and biogeochemical cycles through Earth history. Trends Microbiol. 2022, 30, 143–157. [Google Scholar] [CrossRef] [PubMed]
- Jiang, L.; Sun, J.; Nie, C.; Li, Y.; Jenkins, J.; Pei, H. Filamentous cyanobacteria triples oil production in seawater-based medium supplemented with industrial waste: Monosodium glutamate residue. Biotechnol. Biofuels 2019, 12, 53. [Google Scholar] [CrossRef]
- Żymańczyk-Duda, E.; Samson, S.O.; Brzezińska-Rodak, M.; Klimek-Ochab, M. Versatile applications of cyanobacteria in biotechnology. Microorganisms 2022, 10, 2318. [Google Scholar] [CrossRef] [PubMed]
- Hossain, M.M.; Nakamoto, H. HtpG plays a role in cold acclimation in cyanobacteria. Curr. Microbiol. 2002, 44, 291–296. [Google Scholar] [CrossRef] [PubMed]
- Watanabe, S.; Kobayashi, T.; Saito, M.; Sato, M.; Nimura-Matsune, K.; Chibazakura, T.; Taketani, S.; Nakamoto, H.; Yoshikawa, H. Studies on the role of HtpG in the tetrapyrrole biosynthesis pathway of the cyanobacterium Synechococcus elongatus PCC 7942. Biochem. Biophys. Res. Commun. 2007, 352, 36–41. [Google Scholar] [CrossRef]
- Sarnaik, A.; Pandit, R.; Lali, A. Growth engineering of Synechococcus elongatus PCC 7942 for mixotrophy under natural light conditions for improved feedstock production. Biotechnol. Prog. 2017, 33, 1182–1192. [Google Scholar] [CrossRef]
- Adomako, M.; Ernst, D.; Simkovsky, R.; Chao, Y.Y.; Wang, J.; Fang, M.; Bouchier, C.; Lopez-Igual, R.; Mazel, D.; Gugger, M.; et al. Comparative genomics of Synechococcus elongatus explains the phenotypic diversity of the strains. Mbio 2022, 13, e00862-22. [Google Scholar] [CrossRef]
- Shiau, A.K.; Harris, S.F.; Southworth, D.R.; Agard, D.A. Structural analysis of E. Coli Hsp90 reveals dramatic nucleotide-dependent conformational rearrangements. Cell 2006, 127, 329–340. [Google Scholar] [CrossRef] [PubMed]
- Ali, M.M.U.; Roe, S.M.; Vaughan, C.K.; Meyer, P.; Panaretou, B.; Piper, P.W.; Prodromou, C.; Pearl, L.H. Crystal structure of an Hsp90–nucleotide–P23/Sba1 closed chaperone complex. Nature 2006, 440, 1013–1017. [Google Scholar] [CrossRef]
- Leskovar, A.; Wegele, H.; Werbeck, N.D.; Buchner, J.; Reinstein, J. The ATPase cycle of the mitochondrial Hsp90 analog Trap1. J. Biol. Chem. 2008, 283, 11677–11688. [Google Scholar] [CrossRef]
- Saitou, N.; Nei, M. The Neighbor-Joining method: A new method for reconstructing phylogenetic trees. Mol. Biol. Evol. 1987, 4, 406–425. [Google Scholar] [CrossRef]
- Ali, J.A.; Jackson, A.P.; Howells, A.J.; Maxwell, A. The 43-Kilodalton N-Terminal fragment of the DNA gyrase B protein hydrolyzes ATP and binds Coumarin drugs. Biochemistry 1993, 32, 2717–2724. [Google Scholar] [CrossRef]
- Pederson, K.; Chalmers, G.R.; Gao, Q.; Elnatan, D.; Ramelot, T.A.; Ma, L.-C.; Montelione, G.T.; Kennedy, M.A.; Agard, D.A.; Prestegard, J.H. NMR characterization of HtpG, the E. Coli Hsp90, using sparse labeling with 13C-methyl alanine. J. Biomol. NMR 2017, 68, 225–236. [Google Scholar] [CrossRef] [PubMed]
- Whitton, B.A.; Potts, M. Introduction to the cyanobacteria. In Ecology of Cyanobacteria II: Their Diversity in Space and Time; Springer: Dordrecht, The Netherlands, 2012; pp. 1–13. [Google Scholar]
- Gray, M.W.; Burger, G.; Lang, B.F. The origin and early evolution of mitochondria. Genome Biol. 2001, 2, reviews1018.1. [Google Scholar] [CrossRef]
- Roger, A.J.; Muñoz-Gómez, S.A.; Kamikawa, R. The origin and diversification of mitochondria. Curr. Biol. 2017, 27, R1177–R1192. [Google Scholar] [CrossRef] [PubMed]
- Schumacher, R.J.; Hansen, W.J.; Freeman, B.C.; Alnemri, E.; Litwack, G.; Toft, D.O. Cooperative action of Hsp70, Hsp90, and DnaJ proteins in protein renaturation. Biochemistry 1996, 35, 14889–14898. [Google Scholar] [CrossRef] [PubMed]
- Aluksanasuwan, S.; Peerapen, P.; Plumworasawat, S.; Manissorn, J.; Thongboonkerd, V. Highly effective methods for expression/purification of recombinant human HSP90 and its four distinct (N-LR-M-C) domains. Anal. Biochem. 2020, 590, 113518. [Google Scholar] [CrossRef]
- Silva, K.P.; Seraphim, T.V.; Borges, J.C. Structural and functional studies of Leishmania braziliensis Hsp90. Biochim. Biophys. Acta (BBA) Proteins Proteom. 2013, 1834, 351–361. [Google Scholar] [CrossRef]
- Garnier, C.; Barbier, P.; Devred, F.; Rivas, G.; Peyrot, V. Hydrodynamic properties and quaternary structure of the 90 kDa heat-shock protein: Effects of divalent cations. Biochemistry 2002, 41, 11770–11778. [Google Scholar] [CrossRef]
- Spence, J.; Georgopoulos, C. Purification and properties of the Escherichia coli heat shock protein, HtpG. J. Biol. Chem. 1989, 264, 4398–4403. [Google Scholar] [CrossRef]
- Riedl, S.; Bilgen, E.; Agam, G.; Hirvonen, V.; Jussupow, A.; Tippl, F.; Riedl, M.; Maier, A.; Becker, C.F.; Kaila, V.R.; et al. Evolution of the conformational dynamics of the molecular chaperone Hsp90. Nat. Commun. 2024, 15, 8627. [Google Scholar] [CrossRef]
- Panaretou, B.; Prodromou, C.; Roe, S.M.; O’Brien, R.; Ladbury, J.E.; Piper, P.W.; Pearl, L.H. ATP binding and hydrolysis are essential to the function of the Hsp90 molecular chaperone in vivo. EMBO J. 1998, 17, 4829–4836. [Google Scholar] [CrossRef] [PubMed]
- Mangla, N.; Singh, R.; Agarwal, N. HtpG is a metal-dependent chaperone which assists the DnaK/DnaJ/GrpE chaperone system of Mycobacterium tuberculosis via direct association with DnaJ2. Microbiol. Spectr. 2023, 11, e00312-23. [Google Scholar] [CrossRef] [PubMed]
- Ślesak, I.; Ślesak, H. From cyanobacteria and cyanophages to chloroplasts: The fate of the genomes of oxyphototrophs and the genes encoding photosystem II proteins. New Phytol. 2024, 242, 1055–1067. [Google Scholar] [CrossRef] [PubMed]





Disclaimer/Publisher’s Note: The statements, opinions and data contained in all publications are solely those of the individual author(s) and contributor(s) and not of MDPI and/or the editor(s). MDPI and/or the editor(s) disclaim responsibility for any injury to people or property resulting from any ideas, methods, instructions or products referred to in the content. |
© 2025 by the authors. Licensee MDPI, Basel, Switzerland. This article is an open access article distributed under the terms and conditions of the Creative Commons Attribution (CC BY) license (https://creativecommons.org/licenses/by/4.0/).
Share and Cite
Jiang, L.; Boyenle, I.D.; Delaeter, N.; Liu, Y. Recombinant Expression and Purification of the Cyanobacterial Chaperone HtpG from Synechococcus elongatus PCC 7942. Methods Protoc. 2025, 8, 103. https://doi.org/10.3390/mps8050103
Jiang L, Boyenle ID, Delaeter N, Liu Y. Recombinant Expression and Purification of the Cyanobacterial Chaperone HtpG from Synechococcus elongatus PCC 7942. Methods and Protocols. 2025; 8(5):103. https://doi.org/10.3390/mps8050103
Chicago/Turabian StyleJiang, Liqun, Ibrahim D. Boyenle, Nicolas Delaeter, and Yanxin Liu. 2025. "Recombinant Expression and Purification of the Cyanobacterial Chaperone HtpG from Synechococcus elongatus PCC 7942" Methods and Protocols 8, no. 5: 103. https://doi.org/10.3390/mps8050103
APA StyleJiang, L., Boyenle, I. D., Delaeter, N., & Liu, Y. (2025). Recombinant Expression and Purification of the Cyanobacterial Chaperone HtpG from Synechococcus elongatus PCC 7942. Methods and Protocols, 8(5), 103. https://doi.org/10.3390/mps8050103

