Development of Loop-Mediated Isothermal Amplification Method for Rapid and Sensitive Identification of Hermetia illucens (Diptera: Stratiomyidae)
Abstract
1. Introduction
2. Materials and Methods
2.1. Insect Samples
2.2. DNA Extraction and Template Preparation
2.3. Design of LAMP Assay Primers
2.4. Primer Design
2.5. LAMP Reaction and Amplification
2.6. PCR Reaction and Amplification
2.7. Limit of Detection of LAMP Assays
3. Results
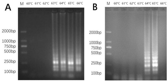
3.1. Optimization of LAMP Reaction Conditions
3.2. Specificity of LAMP Assay
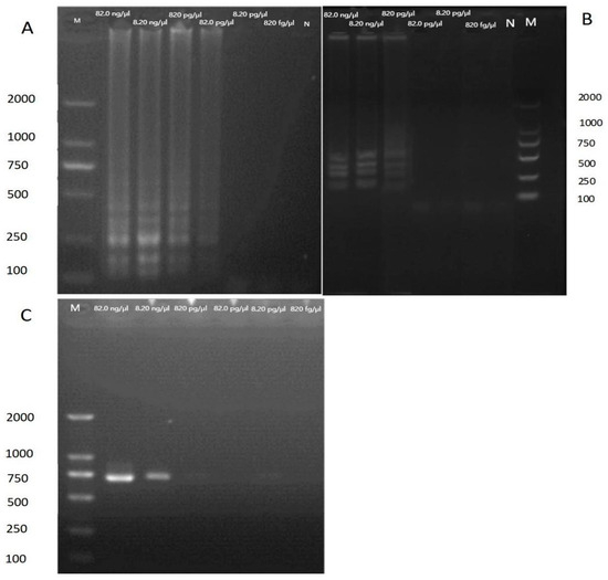
3.3. Analytical Sensitivity of LAMP Assay
3.4. LAMP Technique Application for Identifying Commercial BSF
4. Discussion
Author Contributions
Funding
Institutional Review Board Statement
Informed Consent Statement
Data Availability Statement
Conflicts of Interest
References
- Sheppard, D.C.; Newton, G.L.; Thompson, S.A.; Savage, S. A value added manure management system using the black soldier fly. Bioresour. Technol. 1994, 50, 275–279. [Google Scholar] [CrossRef]
- Spranghers, T.; Noyez, A.; Schildermans, K.; De Clercq, P. Cold hardiness of the black soldier fly (Diptera: Stratiomyidae). J. Econ. Entomol. 2017, 110, 1501–1507. [Google Scholar] [CrossRef]
- James, M.T. The genus Hermetia in the United States (Diptera: Stratiomyidae). Bull. Brooklyn Entomol. Soc. 1935, 30, 165–170. [Google Scholar]
- Callan, E. Hermetia illucens (L.) (Diptera, Stratiomyidae), a cosmopolitan American species long established in Australia and New Zealand. Entomol. Mon. Mag. 1974, 109, 232–234. [Google Scholar]
- Leclercq, M. Transporte y dispersion de insectos daninos: Hermetia illucens (L.)(Dipt., Stratiomyidae). Graellsia Rev. Entomol. Iber. 1979. [Google Scholar]
- Martínez-Sánchez, A.; Magana, C.; Salona, M.; Rojo, S. First record of Hermetia illucens (Diptera: Stratiomyidae) on human corpses in Iberian Peninsula. Forensic Sci. Int. 2011, 206, e76–e78. [Google Scholar] [CrossRef]
- Sheppard, D.C.; Tomberlin, J.K.; Joyce, J.A.; Kiser, B.C.; Sumner, S.M. Rearing methods for the black soldier fly (Diptera: Stratiomyidae). J. Med. Entomol. 2002, 39, 695–698. [Google Scholar] [CrossRef] [PubMed]
- Sheppard, C. House fly and lesser fly control utilizing the black soldier fly in manure management systems for caged laying hens. Environ. Entomol. 1983, 12, 1439–1442. [Google Scholar] [CrossRef]
- Lalander, C.; Diener, S.; Magri, M.E.; Zurbrügg, C.; Lindström, A.; Vinnerås, B. Faecal sludge management with the larvae of the black soldier fly (Hermetia illucens)—From a hygiene aspect. Sci. Total Environ. 2013, 458, 312–318. [Google Scholar] [CrossRef]
- St-Hilaire, S.; Sheppard, C.; Tomberlin, J.K.; Irving, S.; Newton, L.; McGuire, M.A.; Mosley, E.E.; Hardy, R.W.; Sealey, W. Fly prepupae as a feedstuff for rainbow trout, Oncorhynchus mykiss. J. World Aquac. Soc. 2007, 38, 59–67. [Google Scholar] [CrossRef]
- Hale, O. Dried Hermetia illucens larvae (Diptera: Stratiomyidae) as a feed additive for poultry. Ga Entomol. Soc. J. 1973. [Google Scholar]
- Newton, G.; Booram, C.; Barker, R.; Hale, O. Dried Hermetia illucens larvae meal as a supplement for swine. J. Anim. Sci. 1977, 44, 395–400. [Google Scholar] [CrossRef]
- Liu, Q.; Tomberlin, J.K.; Brady, J.A.; Sanford, M.R.; Yu, Z. Black soldier fly (Diptera: Stratiomyidae) larvae reduce Escherichia coli in dairy manure. Environ. Entomol. 2008, 37, 1525–1530. [Google Scholar] [CrossRef] [PubMed]
- An, X.; Li, J.; Lv, X. Development of manure management system with Hermetia illucens. Environ. Sci. Technol. 2010, 33, 113–116. [Google Scholar]
- Driemeyer, H. Evaluation of Black Soldier Fly (Hermetia illucens) Larvae as an Alternative Protein Source in Pig Creep Diets in Relation to Production, Blood and Manure Microbiology Parameters. Ph.D. Thesis, Stellenbosch University, Stellenbosch, South Africa, 2016. [Google Scholar]
- Nguyen, T.T.; Tomberlin, J.K.; Vanlaerhoven, S. Ability of black soldier fly (Diptera: Stratiomyidae) larvae to recycle food waste. Environ. Entomol. 2015, 44, 406–410. [Google Scholar] [CrossRef]
- Li, Q.; Zheng, L.; Cai, H.; Garza, E.; Yu, Z.; Zhou, S. From organic waste to biodiesel: Black soldier fly, Hermetia illucens, makes it feasible. Fuel 2011, 90, 1545–1548. [Google Scholar] [CrossRef]
- Mori, Y.; Kanda, H.; Notomi, T. Loop-mediated isothermal amplification (LAMP): Recent progress in research and development. J. Infect. Chemother. 2013, 19, 404–411. [Google Scholar] [CrossRef]
- Notomi, T.; Okayama, H.; Masubuchi, H.; Yonekawa, T.; Watanabe, K.; Amino, N.; Hase, T. Loop-mediated isothermal amplification of DNA. Nucleic Acids Res. 2000, 28, e63. [Google Scholar] [CrossRef]
- Tomita, N.; Mori, Y.; Kanda, H.; Notomi, T. Loop-mediated isothermal amplification (LAMP) of gene sequences and simple visual detection of products. Nat. Protoc. 2008, 3, 877–882. [Google Scholar] [CrossRef]
- Etchebarne, B.E.; Li, Z.; Stedtfeld, R.D.; Nicholas, M.C.; Williams, M.R.; Johnson, T.A.; Stedtfeld, T.M.; Kostic, T.; Khalife, W.T.; Tiedje, J.M. Evaluation of nucleic acid isothermal amplification methods for human clinical microbial infection detection. Front. Microbiol. 2017, 8, 2211. [Google Scholar] [CrossRef]
- Huang, Q.; Li, Z.; Ma, Z.; Li, H.; Mao, R. Specific and rapid identification of the Pheretima aspergillum by loop-mediated isothermal amplification. Biosci. Rep. 2019, 39, BSR20181943. [Google Scholar] [CrossRef] [PubMed]
- Jiang, T.; Liu, J.; Deng, Y.-Q.; Xu, L.-J.; Li, X.-F.; Han, J.-F.; Cao, R.-Y.; Qin, E.-D.; Qin, C.-F. Development and evaluation of a reverse transcription-loop-mediated isothermal amplification assay for rapid detection of enterovirus 71. J. Clin. Microbiol. 2011, 49, 870–874. [Google Scholar] [CrossRef] [PubMed][Green Version]
- Lai, G.-H.; Chao, J.; Lin, M.-K.; Chang, W.-T.; Peng, W.-H.; Sun, F.-C.; Lee, M.-S.; Lee, M.-S. Rapid and sensitive identification of the herbal tea ingredient Taraxacum formosanum using loop-mediated isothermal amplification. Int. J. Mol. Sci. 2015, 16, 1562–1575. [Google Scholar] [CrossRef]
- Mori, Y.; Notomi, T. Loop-mediated isothermal amplification (LAMP): A rapid, accurate, and cost-effective diagnostic method for infectious diseases. J. Infect. Chemother. 2009, 15, 62–69. [Google Scholar] [CrossRef] [PubMed]
- Hebert, P.D.; Ratnasingham, S.; De Waard, J.R. Barcoding animal life: Cytochrome c oxidase subunit 1 divergences among closely related species. Proc. R. Soc. London. Ser. B Biol. Sci. 2003, 270, S96–S99. [Google Scholar] [CrossRef]
- Kher, C.P.; Doerder, F.P.; Cooper, J.; Ikonomi, P.; Achilles-Day, U.; Küpper, F.C.; Lynn, D.H. Barcoding Tetrahymena: Discriminating species and identifying unknowns using the cytochrome c oxidase subunit I (cox-1) barcode. Protist 2011, 162, 2–13. [Google Scholar] [CrossRef]
- Fontanillas, P.; Depraz, A.; Giorgi, M.S.; Perrin, N. Nonshivering thermogenesis capacity associated to mitochondrial DNA haplotypes and gender in the greater white-toothed shrew, Crocidura russula. Mol. Ecol. 2005, 14, 661–670. [Google Scholar] [CrossRef] [PubMed]
- Tieleman, B.I.; Versteegh, M.A.; Fries, A.; Helm, B.; Dingemanse, N.J.; Gibbs, H.L.; Williams, J.B. Genetic modulation of energy metabolism in birds through mitochondrial function. Proc. R. Soc. B Biol. Sci. 2009, 276, 1685–1693. [Google Scholar] [CrossRef]
- Vrijenhoek, R. DNA primers for amplification of mitochondrial cytochrome c oxidase subunit I from diverse metazoan invertebrates. Mol. Mar. Biol. Biotechnol. 1994, 3, 294–299. [Google Scholar]
- Kuboki, N.; Inoue, N.; Sakurai, T.; Di Cello, F.; Grab, D.J.; Suzuki, H.; Sugimoto, C.; Igarashi, I. Loop-mediated isothermal amplification for detection of African trypanosomes. J. Clin. Microbiol. 2003, 41, 5517–5524. [Google Scholar] [CrossRef]
- Njiru, Z.K.; Mikosza, A.S.J.; Armstrong, T.; Enyaru, J.C.; Ndung’u, J.M.; Thompson, A.R.C. Loop-mediated isothermal amplification (LAMP) method for rapid detection of Trypanosoma brucei rhodesiense. PLoS Neglected Trop. Dis. 2008, 2, e147. [Google Scholar] [CrossRef]
- Poon, L.L.; Wong, B.W.; Ma, E.H.; Chan, K.H.; Chow, L.M.; Abeyewickreme, W.; Tangpukdee, N.; Yuen, K.Y.; Guan, Y.; Looareesuwan, S. Sensitive and inexpensive molecular test for falciparum malaria: Detecting Plasmodium falciparum DNA directly from heat-treated blood by loop-mediated isothermal amplification. Clin. Chem. 2006, 52, 303–306. [Google Scholar] [CrossRef]
- Alhamid, G.; Tombuloglu, H.; Al-Suhaimi, E. Development of loop-mediated isothermal amplification (LAMP) assays using five primers reduces the false-positive rate in COVID-19 diagnosis. Sci. Rep. 2023, 13, 5066. [Google Scholar] [CrossRef]
- Nam, D.; Kim, S.; Kim, J.H.; Lee, S.; Kim, D.; Son, J.; Kim, D.; Cha, B.S.; Lee, E.S.; Park, K.S. Low-Temperature Loop-Mediated Isothermal Amplification Operating at Physiological Temperature. Biosensors 2023, 13, 367. [Google Scholar] [CrossRef]
- Zhang, C.; Lv, J.; Cao, Y.; Yao, X.; Yin, M.; Li, S.; Zheng, J.; Liu, H. A triple-target reverse transcription loop-mediated isothermal amplification (RT-LAMP) for rapid and accurate detection of SARS-CoV-2 virus. Anal. Chim. Acta 2023, 1255, 341146. [Google Scholar] [CrossRef]
- Zhang, X.; Zhao, Y.; Zeng, Y.; Zhang, C. Evolution of the Probe-Based Loop-Mediated Isothermal Amplification (LAMP) Assays in Pathogen Detection. Diagnostics 2023, 13, 1530. [Google Scholar] [CrossRef]
- Garg, N.; Ahmad, F.J.; Kar, S. Recent advances in loop-mediated isothermal amplification (LAMP) for rapid and efficient detection of pathogens. Curr. Res. Microb. Sci. 2022, 3, 100120. [Google Scholar] [CrossRef]
- Soroka, M.; Wasowicz, B.; Rymaszewska, A. Loop-mediated isothermal amplification (LAMP): The better sibling of PCR? Cells 2021, 10, 1931. [Google Scholar] [CrossRef]
- Kokane, A.D.; Kokane, S.B.; Warghane, A.J.; Gubyad, M.G.; Sharma, A.K.; Reddy, M.K.; Ghosh, D.K. A rapid and sensitive reverse transcription–loop-mediated isothermal amplification (RT-LAMP) assay for the detection of Indian Citrus Ringspot Virus. Plant Dis. 2021, 105, 1346–1355. [Google Scholar] [CrossRef] [PubMed]
- Gordon, C.A.; Gray, D.J.; Gobert, G.N.; McManus, D.P. DNA amplification approaches for the diagnosis of key parasitic helminth infections of humans. Mol. Cell. Probes 2011, 25, 143–152. [Google Scholar] [CrossRef]
- Takagi, H.; Itoh, M.; Islam, M.Z.; Razzaque, A.; Saifuddin Ekram, A.; Hashighuchi, Y.; Noiri, E.; Kimura, E. Sensitive, specific, and rapid detection of Leishmania donovani DNA by loop-mediated isothermal amplification. Am. J. Trop. Med. Hyg. 2009, 81, 578. [Google Scholar] [CrossRef]
- Zhang, J.; Sun, X.; Ao, N.; Zou, H.; Shao, H.; Kageyama, K.; Feng, W. Host Range and Loop-Mediated Isothermal Amplification Detection of Globisporangium sylvaticum from Guizhou, China. J. Fungi 2023, 9, 752. [Google Scholar] [CrossRef]
- Nguyen, T.; Vinayaka, A.C.; Linh, Q.T.; Andreasen, S.Z.; Golabi, M.; Bang, D.D.; Møller, J.K.; Wolff, A. PATHPOD–A Loop-Mediated Isothermal Amplification (LAMP)-based Point-of-Care System for Rapid Clinical Detection of SARS-CoV-2 in Hospitals in Denmark. Sens. Actuators B Chem. 2023, 392, 134085. [Google Scholar] [CrossRef] [PubMed]
- Gomez-Gutierrez, S.V.; Goodwin, S.B. Loop-mediated isothermal amplification for detection of plant pathogens in wheat (Triticum aestivum). Front. Plant Sci. 2022, 13, 857673. [Google Scholar] [CrossRef] [PubMed]
- Zhou, Q.J.; Lu, J.F.; Su, X.R.; Jin, J.L.; Li, S.Y.; Zhou, Y.; Wang, L.; Shao, X.B.; Wang, Y.H.; Yan, M.C. Simultaneous detection of multiple bacterial and viral aquatic pathogens using a fluorogenic loop-mediated isothermal amplification-based dual-sample microfluidic chip. J. Fish Dis. 2021, 44, 401–413. [Google Scholar] [CrossRef]
- Hu, K.; Li, Y.; Wang, F.; Liu, J.; Li, Y.; Zhao, Q.; Zheng, X.; Zhu, N.; Yu, X.; Fang, S. A loop-mediated isothermal amplification-based microfluidic chip for triplex detection of shrimp pathogens. J. Fish Dis. 2023, 46, 137–146. [Google Scholar] [CrossRef] [PubMed]
- Du, J.; Ma, B.; Li, J.; Shuai, J.; Yu, X.; Zhang, X.; Zhang, M. Probe-based loop-mediated isothermal amplification assay for multi-target quantitative detection of three foodborne pathogens in seafood. Food Anal. Methods 2022, 15, 3479–3489. [Google Scholar] [CrossRef]
- Lee, J.; Noh, H.; Lee, C.-J.; Bae, J.-H.; Baek, M.-C.; Choi, M.; Nam, S.-W.; Cha, H.-H.; Chong, G.O.; Han, H.S. Diagnosis of pathogen infection via a multiple-wavelength colorimetric sensor platform with loop-mediated isothermal amplification. Sens. Actuators B Chem. 2022, 370, 132449. [Google Scholar] [CrossRef]
- Niessen, L.; Luo, J.; Denschlag, C.; Vogel, R.F. The application of loop-mediated isothermal amplification (LAMP) in food testing for bacterial pathogens and fungal contaminants. Food Microbiol. 2013, 36, 191–206. [Google Scholar] [CrossRef]







| Samples Number | Samples | Characteristics | Geographical Origin |
|---|---|---|---|
| 1 | BSF | Fresh | South and Central America, Australia, and Asian captive population |
| 2 | Tenebrio molitor | fresh | Native to Europe but spread around the world |
| 3 | Zophobas atratus | fresh | Tropical regions of Central and South America |
| 4 | BSF powder | processed | |
| 5 | Tenebrio molito powder | processed | |
| 6 | Zophobas atratus powder | processed | |
| 7 | BSF powder | processed | |
| 8 | BSF powder | processed | |
| 9 | BSF powder | processed | |
| 10 | BSF powder | processed |
| Amplification Method | Designation | Sequence (5′-3′) | Primer Length | Melting Temp. |
|---|---|---|---|---|
| LAMP | 35F3-Bsf | ACATAAGTTTCTGGTTACTTCC | 22 | 56.0 °C |
| 35B3-Bsf | ATCGCATATTGATTACTGTTGT | 22 | 56.2 °C | |
| 35FIP (Flc + F2)-Bsf | AGTTCAACCGGTTCCTGCTCCTCTCTCACTCTTTTATTAGCCT | 43 | 56.6 °C | |
| 109F3 | CCCGGGCTTATTTCACTT | 44 | 58.4 °C | |
| 109B3 | CAATTGATGAATTAGCAAGAACA | 47 | 64.6 °C | |
| 109FIP (Flc + F2) | ATGAAGGGTAGCTAATCAACTGAAACAGCTACAATAATTATTGCCGT | 44 | 64.2 °C | |
| 109BIP (Blc + B2) | CCTATTCACCCGCAATTATTTGAGCCTCCTGTTAATCCCCCTAC | 44 | 64.1 °C | |
| Conventional PCR | HCO2198 | TAAACTTCAGGGTGACCAAAAAATCA | 26 | 52.4 °C |
| LCO1490 | GGTCAACAAATCA AAAGATATTGG | 25 | 52.4 °C |
Disclaimer/Publisher’s Note: The statements, opinions and data contained in all publications are solely those of the individual author(s) and contributor(s) and not of MDPI and/or the editor(s). MDPI and/or the editor(s) disclaim responsibility for any injury to people or property resulting from any ideas, methods, instructions or products referred to in the content. |
© 2023 by the authors. Licensee MDPI, Basel, Switzerland. This article is an open access article distributed under the terms and conditions of the Creative Commons Attribution (CC BY) license (https://creativecommons.org/licenses/by/4.0/).
Share and Cite
Zhu, W.; Hussain, M.; Gao, J.; Mao, R.; An, X. Development of Loop-Mediated Isothermal Amplification Method for Rapid and Sensitive Identification of Hermetia illucens (Diptera: Stratiomyidae). Methods Protoc. 2023, 6, 81. https://doi.org/10.3390/mps6050081
Zhu W, Hussain M, Gao J, Mao R, An X. Development of Loop-Mediated Isothermal Amplification Method for Rapid and Sensitive Identification of Hermetia illucens (Diptera: Stratiomyidae). Methods and Protocols. 2023; 6(5):81. https://doi.org/10.3390/mps6050081
Chicago/Turabian StyleZhu, Wenchao, Mubasher Hussain, Jing Gao, Runqian Mao, and Xincheng An. 2023. "Development of Loop-Mediated Isothermal Amplification Method for Rapid and Sensitive Identification of Hermetia illucens (Diptera: Stratiomyidae)" Methods and Protocols 6, no. 5: 81. https://doi.org/10.3390/mps6050081
APA StyleZhu, W., Hussain, M., Gao, J., Mao, R., & An, X. (2023). Development of Loop-Mediated Isothermal Amplification Method for Rapid and Sensitive Identification of Hermetia illucens (Diptera: Stratiomyidae). Methods and Protocols, 6(5), 81. https://doi.org/10.3390/mps6050081

