Clinical Features, Pathology, and Surgical Management of Periocular Giant Basal Cell Carcinoma
Abstract
:Introduction
Materials and Methods
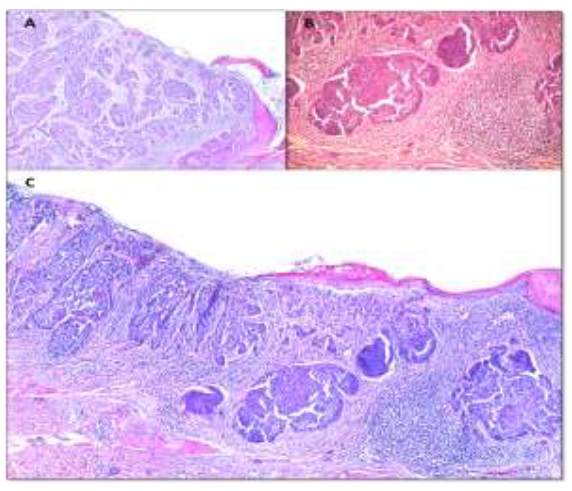
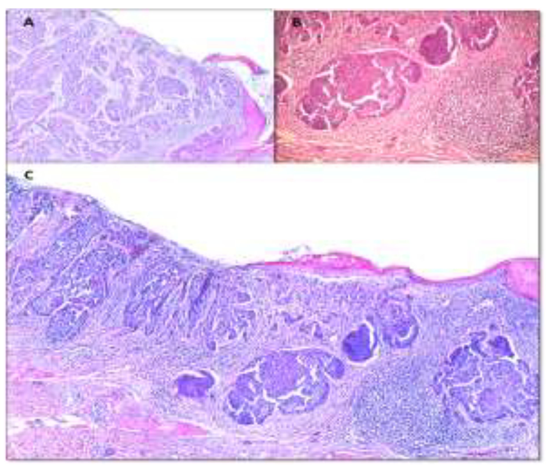
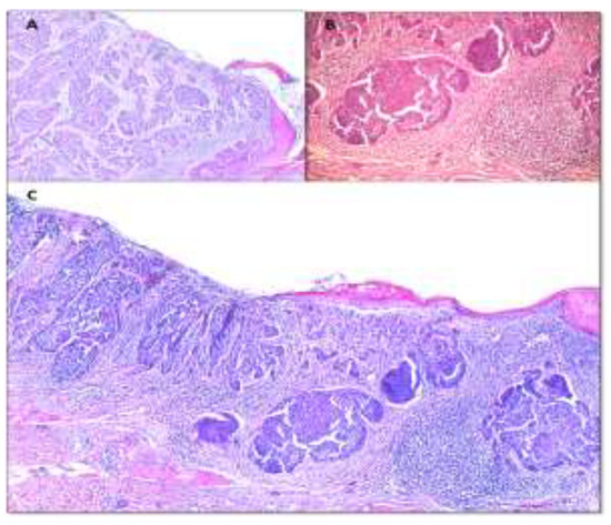
Results
Discussions
Conclusions
Conflict of interest disclosure
Compliance with ethical standards
Abbreviations
References
- Kleinstein, R.N.; Lehman, H.F. Incidence and prevalence of eye cancer. Am J Optom Physiol Opt. 1977, 54, 49–51. [Google Scholar] [CrossRef]
- Bath-Hextall, F.; Leonardi-Bee, J.; Smith, C.; Meal, A.; Hubbard, R. Trends in incidence of skin basal cell carcinoma. Additional evidence from a UK primary care database study. Int J Cancer. 2007, 121, 2105–2108. [Google Scholar] [CrossRef]
- Furdova, A.; Lukacko, P. Periocular Basal Cell Carcinoma Predictors for Recurrence and Infiltration of the Orbit. J Craniofac Surg. 2017, 28, e84–e87. [Google Scholar] [CrossRef]
- Bowyer, J.D.; Sullivan, T.J.; Whitehead, K.J.; Kelly, L.E.; Allison, R.W. The management of perineural spread of squamous cell carcinoma to the ocular adnexae. Ophthalmic Plast Reconstr Surg. 2003, 19, 275–281. [Google Scholar] [CrossRef] [PubMed]
- Page, D.L.; Fleming, I.D.; Fritz, A. AJCC Cancer Staging Manual, 6th ed.; New York, NY, USA, 2002. [Google Scholar]
- Archontaki, M.; Stavrianos, S.D.; Korkolis, D.P.; et al. Giant Basal cell carcinoma: Clinicopathological analysis of 51 cases and review of the literature. Anticancer Res. 2009, 29, 2655–2663. [Google Scholar] [PubMed]
- Zoccali, G.; Pajand, R.; Papa, P.; Orsini, G.; Lomartire, N.; Giuliani, M. Giant basal cell carcinoma of the skin: Literature review and personal experience. J Eur Acad Dermatol Venereol. 2012, 26, 942–952. [Google Scholar] [CrossRef]
- Rusiñol, J.S.; Llorca, V.; Mezzardi, N.A.; Casas, J.G.; Larralde, M. Carcinoma basocelulargigante: Comunicación de dos lesiones en un paciente. Dermatol Argent. 2011, 17, 67–69. [Google Scholar]
- Alexa, O.; Pertea, M.; Malancea, R.I.; Puha, B.; Veliceasa, B. Our experience in the surgical treatment of acetabular fractures using „spring plate” technique. Med Surg J. 2019, 123, 275–81. [Google Scholar]
- Wysong, A.; Aasi, S.Z.; Tang, J.Y. Update on metastatic basal cell carcinoma: A summary of published cases from 1981 through 2011. JAMA Dermatol. 2013, 149, 615–616. [Google Scholar] [PubMed]
- Snow, S.N.; Sahl, W.; Lo, J.S.; et al. Metastatic basal cell carcinoma. Report of five cases. Cancer 1994, 73, 328–335. [Google Scholar]
- Sahl, W.J., Jr.; Snow, S.N.; Levine, N.S. Giant basal cell carcinoma. Report of two cases and review of the literature. Report of two cases and review of the literature. J Am Acad Dermatol. 1994, 30 Pt 2, 856–859. [Google Scholar]
- Boulinguez, S.; Grison-Tabone, C.; Lamant, L.; et al. Histological evolution of recurrent basal cell carcinoma and therapeutic implications for incompletely excised lesions. Br J Dermatol. 2004, 151, 623–626. [Google Scholar] [CrossRef] [PubMed]
- Randle, H.W.; Roenigk, R.K.; Brodland, D.G. Giant basal cell carcinoma (T3). Who is at risk? Cancer 1993, 72, 1624–1630. [Google Scholar] [CrossRef] [PubMed]
- Maimaiti, A.; Mijiti, A.; Yarbag, A.; Moming, A. Giant basal cell carcinoma of the face: Surgical management and challenges for reconstruction. J Laryngol Otol. 2016, 130, 176–182. [Google Scholar] [CrossRef] [PubMed]
- Fang, S.; Yang, C.; Zhang, Y.; et al. The Use of Composite Flaps in the Management of Large Full-Thickness Defects of the Lower Eyelid. Medicine 2016, 95, e2505. [Google Scholar] [CrossRef]
- Robinson, J.K.; Dahiya, M. Basal cell carcinoma with pulmonary and lymph node metastasis causing death. Arch Dermatol. 2003, 139, 643–648. [Google Scholar] [CrossRef]
- Schwartz, R.A.; De Jager, R.L.; Janniger, C.K.; Lambert, W.C. Giant basal cell carcinoma with metastases and myelophthisic anemia. J Surg Oncol. 1986, 33, 223–226. [Google Scholar] [CrossRef]
- Pertea, M.; Poroch, V.; Grosu, O.M.; Manole, A.; Velenciuc, N.; Lunca, S. Use of WALLANT technique in hand surgery, safe and advantageous. Personal experience. J Clin Invest Surg. 2018, 3, 26–31. [Google Scholar] [CrossRef]
- Elshamma, N.A.; Al Qabbani, A.; Alkatan, H.M.; Al-Qattan, M.M. The use of forehead flaps in the management of large basal cell carcinomas of the medial canthus/medial lower eyelid in Saudi patients. Saudi J Ophthalmol. 2013, 27, 223–225. [Google Scholar] [CrossRef]
- Marchac, D.; Papadopoulos, O.; Duport, G. Curative and aesthetic results of surgical treatment of 138 basal-cell carcinomas. J Dermatol Surg Oncol. 1982, 8, 379–387. [Google Scholar] [CrossRef]
- Fogagnolo, P.; Colletti, G.; Valassina, D.; Allevi, F.; Rossetti, L. Partial and total lower lid reconstruction: Our experience with 41 cases. Ophthalmologica 2012, 228, 239–243. [Google Scholar] [CrossRef] [PubMed]
- Pertea, M.; Velenciuc, N.; Poroch, V.; et al. Efficacy of negative pressure therapy (NPWT) in the management of wounds of different etiologies. Rev Chim. 2018, 69, 1980–86. [Google Scholar] [CrossRef]
- Barnes, E.A.; Breen, D.; Culleton, S.; et al. Palliative radiotherapy for non-melanoma skin cancer. Clin Oncol (R Coll Radiol). 2010, 22, 844–849. [Google Scholar] [CrossRef]
- Pertea, M.; Grosu, O.M.; Veliceasa, B.; et al. Effectiveness and safety of wide awake local anesthesia no tourniquet (Walant) technique in hand surgery. Rev Chim. 2019, 70, 3587–91. [Google Scholar]
- Pertea, M.; Grosu, O.M.; Terinte, C.; Poroch, V.; Velenciuc, N.; Lunca, S. Nail bed solitary neurofibroma: A case report and literature review. Medicine 2019, 98, e14111. [Google Scholar] [CrossRef] [PubMed]
- Pertea, M.; Velenciuc, N.; Grosu, O.M.; Veliceasa, B.; et al. Reconstruction of heel soft tissue defects using sensate medial plantar flap. J Mind Med Sci. 2018, 5, 250–54. [Google Scholar] [CrossRef]
- Sekulic, A.; Migden, M.R.; Oro, A.E.; et al. Efficacy and safety of vismodegib in advanced basal-cell carcinoma. N Engl J Med. 2012, 366, 2171–2179. [Google Scholar] [CrossRef]





© 2020 by the author. 2020 Oxana Madalina Grosu, Vladimir Poroch, Natalia Velenciuc, Sorinel Lunca
Share and Cite
Grosu, O.M.; Poroch, V.; Velenciuc, N.; Lunca, S. Clinical Features, Pathology, and Surgical Management of Periocular Giant Basal Cell Carcinoma. J. Mind Med. Sci. 2020, 7, 227-232. https://doi.org/10.22543/7674.72.P227232
Grosu OM, Poroch V, Velenciuc N, Lunca S. Clinical Features, Pathology, and Surgical Management of Periocular Giant Basal Cell Carcinoma. Journal of Mind and Medical Sciences. 2020; 7(2):227-232. https://doi.org/10.22543/7674.72.P227232
Chicago/Turabian StyleGrosu, Oxana Madalina, Vladimir Poroch, Natalia Velenciuc, and Sorinel Lunca. 2020. "Clinical Features, Pathology, and Surgical Management of Periocular Giant Basal Cell Carcinoma" Journal of Mind and Medical Sciences 7, no. 2: 227-232. https://doi.org/10.22543/7674.72.P227232
APA StyleGrosu, O. M., Poroch, V., Velenciuc, N., & Lunca, S. (2020). Clinical Features, Pathology, and Surgical Management of Periocular Giant Basal Cell Carcinoma. Journal of Mind and Medical Sciences, 7(2), 227-232. https://doi.org/10.22543/7674.72.P227232