Enhanced Detection of Residual Breast Cancer Post-Excisional Biopsy: Comparative Analysis of Contrast-Enhanced MRI with and Without Diffusion-Weighted Imaging
Abstract
1. Introduction
2. Materials and Methods
2.1. Study Population
2.2. Clinical and Histopathology Review
2.3. MRI Protocols
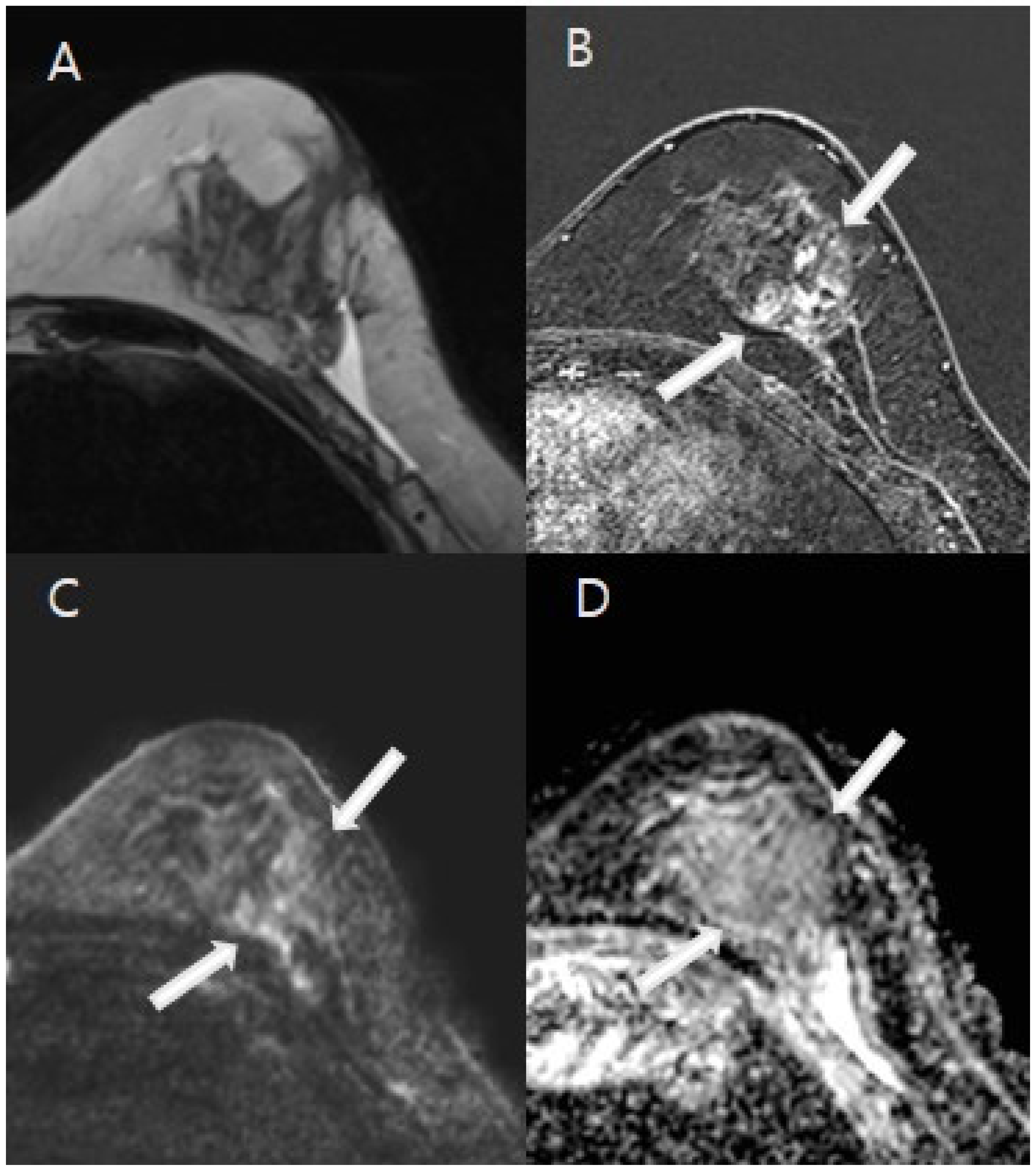
2.4. MRI Analysis
2.5. Mammography/Ultrasound Interpretation
2.6. Statistical Analysis
3. Results
3.1. Clinical and Pathologic Characteristics, Along with Final Treatment Results
3.2. Image Analysis Results
3.3. The Diagnostic Performance of the Imaging Modalities
4. Discussion
Supplementary Materials
Author Contributions
Funding
Institutional Review Board Statement
Informed Consent Statement
Data Availability Statement
Acknowledgments
Conflicts of Interest
References
- Teifke, A.; Hlawatsch, A.; Beier, T.; Werner Vomweg, T.; Schadmand, S.; Schmidt, M.; Lehr, H.-A.; Thelen, M. Undetected malignancies of the breast: Dynamic contrast-enhanced MR imaging at 10, T. Radiology 2002, 224, 881–888. [Google Scholar] [CrossRef] [PubMed]
- Berg, W.A.; Gutierrez, L.; NessAiver, M.S.; Carter, W.B.; Bhargavan, M.; Lewis, R.S.; Ioffe, O.B. Diagnostic accuracy of mammography, clinical examination, US, and MR imaging in preoperative assessment of breast cancer. Radiology 2004, 233, 830–849. [Google Scholar] [CrossRef] [PubMed]
- Harms, S.E. Technical report of the international working group on breast MRI. J. Magn. Reson. Imaging 1999, 10, 979. [Google Scholar] [CrossRef]
- Gilles, R.; Guinebretière, J.M.; Lucidarme, O.; Cluzel, P.; Janaud, G.; Finet, J.F.; Tardivon, A.; Masselot, J.; Vanel, D. Nonpalpable breast tumors: Diagnosis with contrast-enhanced subtraction dynamic MR imaging. Radiology 1994, 191, 625–631. [Google Scholar] [CrossRef] [PubMed]
- Jardines, L.; Fowble, B.; Schultz, D.; Mackie, J.; Buzby, G.; Torosian, M.; Daly, J.; Weiss, M.; Orel, S.; Rosato, E. Factors associated with a positive reexcision after excisional biopsy for invasive breast cancer. Surgery 1995, 118, 803–809. [Google Scholar] [CrossRef]
- Gwin, J.L.; Eisenberg, B.L.; Hoffman, J.P.; Ottery, F.D.; Boraas, M.; Solin, L.J. Incidence of gross and microscopic carcinoma in specimens from patients with breast cancer after re-excision lumpectomy. Ann. Surg. 1993, 218, 729–734. [Google Scholar] [CrossRef]
- Wazer, D.E.; Schmidt-Ullrich, R.K.; Schmid, C.H.; Ruthazer, R.; Kramer, B.; Safaii, H.; Graham, R. The value of breast lumpectomy margin assessment as a predictor of residual tumor burden. Int. J. Radiat. Oncol. Biol. Phys. 1997, 38, 291–299. [Google Scholar] [CrossRef]
- Tartter, P.I.; Kaplan, J.; Bleiweiss, I.; Gajdos, C.; Kong, A.; Ahmed, S.; Zapetti, D. Lumpectomy margins, reexcision, and local recurrence of breast cancer. Am. J. Surg. 2000, 179, 81–85. [Google Scholar] [CrossRef]
- Smitt, M.C.; Nowels, K.; Carlson, R.W.; Jeffrey, S.S. Predictors of reexcision findings and recurrence after breast conservation. Int. J. Radiat. Oncol. Biol. Phys. 2003, 57, 979–985. [Google Scholar] [CrossRef]
- Solin, L.J.; Fowble, B.L.; Schultz, D.J.; Goodman, R.L. The significance of the pathology margins of the tumor excision on the outcome of patients treated with definitive irradiation for early stage breast cancer. Int. J. Radiat. Oncol. Biol. Phys. 1991, 21, 279–287. [Google Scholar] [CrossRef]
- Fisher, B.; Redmond, C.; Poisson, R.; Margolese, R.; Wolmark, N.; Wickerham, L.; Fisher, E.; Deutsch, M.; Caplan, R.; Pilch, Y.; et al. Eight-year results of a randomized clinical trial comparing total mastectomy and lumpectomy with or without irradiation in the treatment of breast cancer. N. Engl. J. Med. 1989, 320, 822–828. [Google Scholar] [CrossRef] [PubMed]
- Park, G.; Bae, K.; Hwang, I.Y.; Kim, J.S.; Kwon, W.J.; Bang, M. Prediction of Residual Malignancy After Excisional Biopsy for Breast Cancer with Suspicious Microcalcifications: Comparison of Mammography and Magnetic Resonance Imaging. Clin. Breast Cancer 2019, 19, e753–e758. [Google Scholar] [CrossRef] [PubMed]
- Chae, E.Y.; Cha, J.H.; Kim, H.H.; Shin, H.J.; Kim, H.; Lee, J.; Cheung, J.Y. Evaluation of residual disease using breast MRI after excisional biopsy for breast cancer. AJR Am. J. Roentgenol. 2013, 200, 1167–1173. [Google Scholar] [CrossRef] [PubMed]
- Kawashima, H.; Tawara, M.; Suzuki, M.; Matsui, O.; Kadoya, M. Effectiveness of dynamic MRI for diagnosing pericicatricial minimal residual breast cancer following excisional biopsy. Eur. J. Radiol. 2001, 40, 2–9. [Google Scholar] [CrossRef]
- Yang, H.; Liu, H.; Peng, W.; Hua, Y. Magnetic resonance imaging of the breast in evaluating residual diseases at lumpectomy site soon after excisional biopsy. J. Comput. Assist. Tomogr. 2012, 36, 196–199. [Google Scholar] [CrossRef]
- Orel, S.G.; Reynolds, C.; Schnall, M.D.; Solin, L.J.; Fraker, D.L.; Sullivan, D.C. Breast carcinoma: MR imaging before re-excisional biopsy. Radiology 1997, 205, 429–436. [Google Scholar] [CrossRef]
- Zheng, S.; Qi, L.; Guang-Qiang, Z.; Ming-Ming, S.; Chun-Hong, X. Role of Magnetic Resonance Imaging in Predicting Residual Breast Cancer After Vacuum-Assisted Breast Biopsy. Am. Surg. 2021, 87, 885–891. [Google Scholar] [CrossRef]
- Schmidt, G.; Findeklee, S.; Del Sol Martinez, G.; Georgescu, M.T.; Gerlinger, C.; Nemat, S.; Klamminger, G.G.; Nigdelis, M.P.; Solomayer, E.-F.; Hamoud, B.H. Accuracy of Breast Ultrasonography and Mammography in Comparison with Postoperative Histopathology in Breast Cancer Patients after Neoadjuvant Chemotherapy. Diagnostics 2023, 13, 2811. [Google Scholar] [CrossRef]
- Yamaguchi, A.; Honda, M.; Ishiguro, H.; Kataoka, M.; Kataoka, T.R.; Shimizu, H.; Torii, M.; Mori, Y.; Kawaguchi-Sakita, N.; Ueno, K.; et al. Kinetic information from dynamic contrast-enhanced MRI enables prediction of residual cancer burden and prognosis in triple-negative breast cancer: A retrospective study. Sci. Rep. 2021, 11, 10112. [Google Scholar] [CrossRef]
- Mori, N.; Abe, H.; Mugikura, S.; Takasawa, C.; Sato, S.; Miyashita, M.; Mori, Y.; Pineda, F.D.; Karczmar, G.S.; Tamura, H.; et al. Ultrafast Dynamic Contrast-Enhanced Breast MRI: Kinetic Curve Assessment Using Empirical Mathematical Model Validated with Histological Microvessel Density. Acad. Radiol. 2019, 26, e141–e149. [Google Scholar] [CrossRef]
- Dijkstra, H.; Dorrius, M.D.; Wielema, M.; Pijnappel, R.M.; Oudkerk, M.; Sijens, P.E. Quantitative DWI implemented after DCE-MRI yields increased specificity for BI-RADS 3 and 4 breast lesions. J. Magn. Reson. Imaging 2016, 44, 1642–1649. [Google Scholar] [CrossRef] [PubMed]
- Ei Khouli, R.H.; Jacobs, M.A.; Mezban, S.D.; Huang, P.; Kamel, I.R.; Macura, K.J.; Bluemke, D.A. Diffusion-weighted imaging improves the diagnostic accuracy of conventional 3.0-T breast MR imaging. Radiology 2010, 256, 64–73. [Google Scholar] [CrossRef] [PubMed]
- Parsian, S.; Rahbar, H.; Allison, K.H.; Demartini, W.B.; Olson, M.L.; Lehman, C.D.; Partridge, S.C. Nonmalignant breast lesions: ADCs of benign and high-risk subtypes assessed as false-positive at dynamic enhanced MR imaging. Radiology 2012, 265, 696–706. [Google Scholar] [CrossRef] [PubMed]
- Zhang, L.; Tang, M.; Min, Z.; Lu, J.; Lei, X.; Zhang, X. Accuracy of combined dynamic contrast-enhanced magnetic resonance imaging and diffusion-weighted imaging for breast cancer detection: A meta-analysis. Acta Radiol. 2016, 57, 651–660. [Google Scholar] [CrossRef]
- Orel, S.G.; Schnall, M.D.; Powell, C.M.; Hochman, M.G.; Solin, L.J.; Fowble, B.L.; Torosian, M.H.; Rosato, E.F. Staging of suspected breast cancer: Effect of MR imaging and MR-guided biopsy. Radiology 1995, 196, 115–122. [Google Scholar] [CrossRef]
- Park, J.H.; Ahn, S.E.; Kim, S.; Kwon, M.J.; Suh, Y.J.; Kim, D. Complete Surgical Excision Is Necessary following Vacuum-Assisted Biopsy for Breast Cancer. Curr. Oncol. 2022, 29, 9357–9364. [Google Scholar] [CrossRef]
- Morris, E.A. Breast MR imaging lexicon updated. Magn. Reson. Imaging Clin. N. Am. 2006, 14, 293–303. [Google Scholar] [CrossRef]
- Kuhl, C.K.; Mielcareck, P.; Klaschik, S.; Leutner, C.; Wardelmann, E.; Gieseke, J.; Schild, H.H. Dynamic breast MR imaging: Are signal intensity time course data useful for differential diagnosis of enhancing lesions? Radiology 1999, 211, 101–110. [Google Scholar] [CrossRef]
- Buadu, L.D.; Murakami, J.; Murayama, S.; Hashiguchi, N.; Sakai, S.; Masuda, K.; Toyoshima, S.; Kuroki, S.; Ohno, S. Breast lesions: Correlation of contrast medium enhancement patterns on MR images with histopathologic findings and tumor angiogenesis. Radiology 1996, 200, 639–649. [Google Scholar] [CrossRef]
- Szabó, B.K.; Aspelin, P.; Wiberg, M.K.; Boné, B. Dynamic MR imaging of the breast. Analysis of kinetic and morphologic diagnostic criteria. Acta Radiol. 2003, 44, 379–386. [Google Scholar]
- Schnall, M.D.; Blume, J.; Bluemke, D.A.; DeAngelis, G.A.; DeBruhl, N.; Harms, S.; Heywang-Köbrunner, S.H.; Hylton, N.; Kuhl, C.K.; Pisano, E.D.; et al. Diagnostic architectural and dynamic features at breast MR imaging: Multicenter study. Radiology 2006, 238, 42–53. [Google Scholar] [CrossRef] [PubMed]
- Wang, L.C.; DeMartini, W.B.; Partridge, S.C.; Peacock, S.; Lehman, C.D. MRI-detected suspicious breast lesions: Predictive values of kinetic features measured by computer-aided evaluation. AJR Am. J. Roentgenol. 2009, 193, 826–831. [Google Scholar] [CrossRef] [PubMed]
- Baltzer, P.; Mann, R.M.; Iima, M.; Sigmund, E.E.; Clauser, P.; Gilbert, F.J.; Martincich, L.; Partridge, S.C.; Patterson, A.; Pinker, K.; et al. Diffusion-weighted imaging of the breast-a consensus and mission statement from the EUSOBI International Breast Diffusion-Weighted Imaging working group. Eur. Radiol. 2020, 30, 1436–1450. [Google Scholar] [CrossRef]
- Kim, J.A.; Son, E.J.; Kim, E.K.; Kim, M.J.; Kwak, J.Y.; Jeong, J. Postexcisional breast magnetic resonance imaging in patients with breast cancer: Predictable findings of residual cancer. J. Comput. Assist. Tomogr. 2009, 33, 940–945. [Google Scholar] [CrossRef]
- Lee, J.M.; Orel, S.G.; Czerniecki, B.J.; Solin, L.J.; Schnall, M.D. MRI before reexcision surgery in patients with breast cancer. AJR Am. J. Roentgenol. 2004, 182, 473–480. [Google Scholar] [CrossRef]
- Hwang, E.S.; Kinkel, K.; Esserman, L.J.; Lu, Y.; Weidner, N.; Hylton, N.M. Magnetic resonance imaging in patients diagnosed with ductal carcinoma-in-situ: Value in the diagnosis of residual disease, occult invasion, and multicentricity. Ann. Surg. Oncol. 2003, 10, 381–388. [Google Scholar] [CrossRef]
- Orel, S.G.; Mendonca, M.H.; Reynolds, C.; Schnall, M.D.; Solin, L.J.; Sullivan, D.C. MR imaging of ductal carcinoma in situ. Radiology 1997, 202, 413–420. [Google Scholar] [CrossRef] [PubMed]
- Frei, K.A.; Kinkel, K.; Bonel, H.M.; Lu, Y.; Esserman, L.J.; Hylton, N.M. MR imaging of the breast in patients with positive margins after lumpectomy: Influence of the time interval between lumpectomy and MR imaging. AJR Am. J. Roentgenol. 2000, 175, 1577–1584. [Google Scholar] [CrossRef]
- Stucky, C.C.; McLaughlin, S.A.; Dueck, A.C.; Gray, R.J.; Giurescu, M.E.; Carpenter, S.G.; Grimsby, G.M.; Apsey, H.A.; Pockaj, B.A. Does magnetic resonance imaging accurately predict residual disease in breast cancer? Am. J. Surg. 2009, 198, 547–552. [Google Scholar] [CrossRef]





| Total | |
|---|---|
| n = 152 | |
| Age (years) | |
| Mean ± SD | 51 ± 11 |
| Median (IQR) | 49 (44, 57) |
| Excisional biopsy pathology | |
| Non-invasive | 97 (63.8) |
| Invasive | 55 (36.2) |
| Excisional biopsy to MRI time interval (days) | |
| Mean ± SD | 15.9 ± 9.4 |
| Median (IQR) | 14 (9, 20) |
| Treatment options | |
| Surgery (n = 99, 65.1%) | |
| Breast-conserving surgery | 36 (36.4) |
| Breast-conserving surgery with SLNB | 34 (34.3) |
| Mastectomy only | 1 (1) |
| Mastectomy with SLNB | 16 (16.2) |
| SLNB only | 12 (12.1) |
| Non-surgical management (n = 53, 34.9%) | |
| Radiation therapy | 45 (84.9) |
| Surveillance with follow-up MRI | 8 (15.1) |
| MRI to surgery time interval (days) | |
| Mean ± SD | 14.7 ± 12.1 |
| Median (IQR) | 11 (6, 19) |
| Final results for presence of residual lesion | |
| Absent | 97 (63.8) |
| Present | 55 (36.2) |
| Final residual lesion size (cm) | |
| Mean ± SD | 2.6 ± 3 |
| Median (IQR) | 1.2 (0.4, 4.2) |
| Final diagnosis of lymph node metastasis | |
| Absent | 146 (96.1) |
| Present | 6 (4) |
| Total | Absent | Present | ||
|---|---|---|---|---|
| n = 152 | n = 97 | n = 55 | p-Value | |
| Fibroglandular tissue | 0.435 | |||
| Non-dense | 27 (17.8) | 19 (19.6) | 8 (14.6) | |
| Dense | 125 (82.2) | 78 (80.4) | 47 (85.5) | |
| BPE | 0.764 | |||
| Minimal to mild | 86 (56.6) | 54 (55.7) | 32 (58.2) | |
| Moderate to marked | 66 (43.4) | 43 (44.3) | 23 (41.8) | |
| Morphology of enhancement | <0.001 | |||
| No or minimal | 11 (7.2) | 8 (8.3) | 3 (5.5) | |
| Linear and thin (<2 mm) | 59 (38.8) | 58 (59.8) | 1 (1.8) | |
| Thick or irregular | 36 (23.7) | 19 (19.6) | 17 (30.9) | |
| Nodular or non-mass | 46 (30.3) | 12 (12.4) | 34 (61.8) | |
| Predicted residual size (cm) | <0.001 | |||
| Mean ± SD | 1.5 ± 2.2 | 0.6 ± 1.4 | 2.9 ± 2.7 | |
| Median (IQR) | 0.6 (0, 1.6) | 0 (0, 0.8) | 1.5 (0.8, 5.1) | |
| Categorized into groups | <0.001 | |||
| ≤1 cm | 99 (65.1) | 78 (80.4) | 21 (38.2) | |
| >1 cm | 53 (34.9) | 19 (19.6) | 34 (61.8) | |
| Kinetics | <0.001 | |||
| Unassessable | 7 (4.6) | 3 (3.1) | 4 (7.3) | |
| Delayed persistent/plateau | 130 (85.5) | 93 (95.9) | 37 (67.3) | |
| Delayed washout | 15 (9.9) | 1 (1) | 14 (25.5) | |
| ADC value (mm2/s) | <0.001 | |||
| ≥1.5 × 10−3 or unassessable | 120 (79) | 95 (97.9) | 25 (45.5) | |
| 1.0 to <1.5 × 10−3 | 23 (15.1) | 2 (2.1) | 21 (38.2) | |
| <1.0 × 10−3 | 9 (5.9) | - | 9 (16.4) | |
| CE- MRI diagnosis | <0.001 | |||
| Absent | 77 (50.7) | 71 (73.2) | 6 (10.9) | |
| Present | 75 (49.3) | 26 (26.8) | 49 (89.1) | |
| CE-MRI with DWI diagnosis | <0.001 | |||
| Absent | 78 (51.3) | 73 (75.3) | 5 (9.1) | |
| Present | 74 (48.7) | 24 (24.7) | 50 (90.9) | |
| MRI for LN metastasis | 0.069 | |||
| Absent | 134 (88.2) | 89 (91.8) | 45 (81.8) | |
| Present | 18 (11.8) | 8 (8.3) | 10 (18.2) |
| Sensitivity | Specificity | PPV | NPV | Accuracy | |
|---|---|---|---|---|---|
| (95% CI) | (95% CI) | (95% CI) | (95% CI) | (95% CI) | |
| MG | 57.1 | 62.9 | 55.2 | 64.7 | 60.3 |
| (37.2–75.5) | (44.9–78.5) | (35.7–73.6) | (46.5–80.3) | (47.2–72.4) | |
| US | 38.7 | 77.8 | 60.0 | 59.6 | 59.7 |
| (21.9–57.8) | (60.9–89.9) | (36.1–80.9) | (44.3–73.6) | (47.0–71.5) | |
| CE-MRI | 89.1 | 73.2 | 65.3 | 92.2 | 79.0 |
| (77.8–95.9) | (63.2–81.7) | (53.5–76.0) | (83.8–97.1) | (71.6–85.1) | |
| CE-MRI with DWI | 90.9 | 75.3 | 67.6 | 93.6 | 80.9 |
| (80.1–97.0) | (65.5–83.5) | (55.7–78.0) | (85.7–97.9) | (73.8–86.8) | |
| ≤14 days | |||||
| CE-MRI | 82.8 | 81.0 | 75.0 | 87.2 | 81.7 |
| (64.2–94.2) | (65.9–91.4) | (56.6–88.5) | (72.6–95.7) | (70.7–89.9) | |
| CE-MRI with DWI | 86.2 | 83.3 | 78.1 | 89.7 | 84.5 |
| (68.3–96.1) | (68.6–93.0) | (60.0–90.7) | (75.8–97.1) | (74.0–92.0) | |
| >14 days | |||||
| CE-MRI | 100 | 66.7 | 52.8 | 100 | 75.7 |
| (82.4–100) | (52.1–79.2) | (35.5–69.6) | (89.7–100) | (64.0–85.2) | |
| CE-MRI with DWI | 100 | 68.6 | 54.3 | 100 | 77.1 |
| (82.4–100) | (54.1–80.9) | (36.7–71.2) | (90.0–100) | (65.7–86.3) | |
| ≤1 cm | |||||
| CE-MRI | 71.4 | 88.5 | 62.5 | 92.0 | 84.9 |
| (47.8–88.7) | (79.2–94.6) | (40.6–81.2) | (83.4–97.0) | (76.2–91.3) | |
| CE-MRI with DWI | 76.2 | 88.5 | 64.0 | 93.2 | 85.9 |
| (52.8–91.8) | (79.2–94.6) | (42.5–82.0) | (84.9–97.8) | (77.4–92.1) | |
| >1cm | |||||
| CE-MRI | 100 | 10.5 | 66.7 | 100 | 67.9 |
| (89.7–100) | (1.3–33.1) | (52.1–79.2) | (15.8–100) | (53.7–80.1) | |
| CE-MRI with DWI | 100 | 21.1 | 69.4 | 100 | 71.7 |
| (89.7–100) | (6.1–45.6) | (54.6–81.8) | (39.8–100) | (57.7–83.2) |
Disclaimer/Publisher’s Note: The statements, opinions and data contained in all publications are solely those of the individual author(s) and contributor(s) and not of MDPI and/or the editor(s). MDPI and/or the editor(s) disclaim responsibility for any injury to people or property resulting from any ideas, methods, instructions or products referred to in the content. |
© 2025 by the authors. Licensee MDPI, Basel, Switzerland. This article is an open access article distributed under the terms and conditions of the Creative Commons Attribution (CC BY) license (https://creativecommons.org/licenses/by/4.0/).
Share and Cite
Mun, H.S.; Kang, B.J.; Kim, S.H.; Park, G.E. Enhanced Detection of Residual Breast Cancer Post-Excisional Biopsy: Comparative Analysis of Contrast-Enhanced MRI with and Without Diffusion-Weighted Imaging. Tomography 2025, 11, 10. https://doi.org/10.3390/tomography11010010
Mun HS, Kang BJ, Kim SH, Park GE. Enhanced Detection of Residual Breast Cancer Post-Excisional Biopsy: Comparative Analysis of Contrast-Enhanced MRI with and Without Diffusion-Weighted Imaging. Tomography. 2025; 11(1):10. https://doi.org/10.3390/tomography11010010
Chicago/Turabian StyleMun, Han Song, Bong Joo Kang, Sung Hun Kim, and Ga Eun Park. 2025. "Enhanced Detection of Residual Breast Cancer Post-Excisional Biopsy: Comparative Analysis of Contrast-Enhanced MRI with and Without Diffusion-Weighted Imaging" Tomography 11, no. 1: 10. https://doi.org/10.3390/tomography11010010
APA StyleMun, H. S., Kang, B. J., Kim, S. H., & Park, G. E. (2025). Enhanced Detection of Residual Breast Cancer Post-Excisional Biopsy: Comparative Analysis of Contrast-Enhanced MRI with and Without Diffusion-Weighted Imaging. Tomography, 11(1), 10. https://doi.org/10.3390/tomography11010010

