Correlation of Sarcopenia with Coronary Artery Disease Severity and Pericoronary Adipose Tissue Attenuation: A Coronary CT Study
Abstract
1. Introduction
2. Materials and Methods
2.1. Study Design
2.2. CCTA Protocol
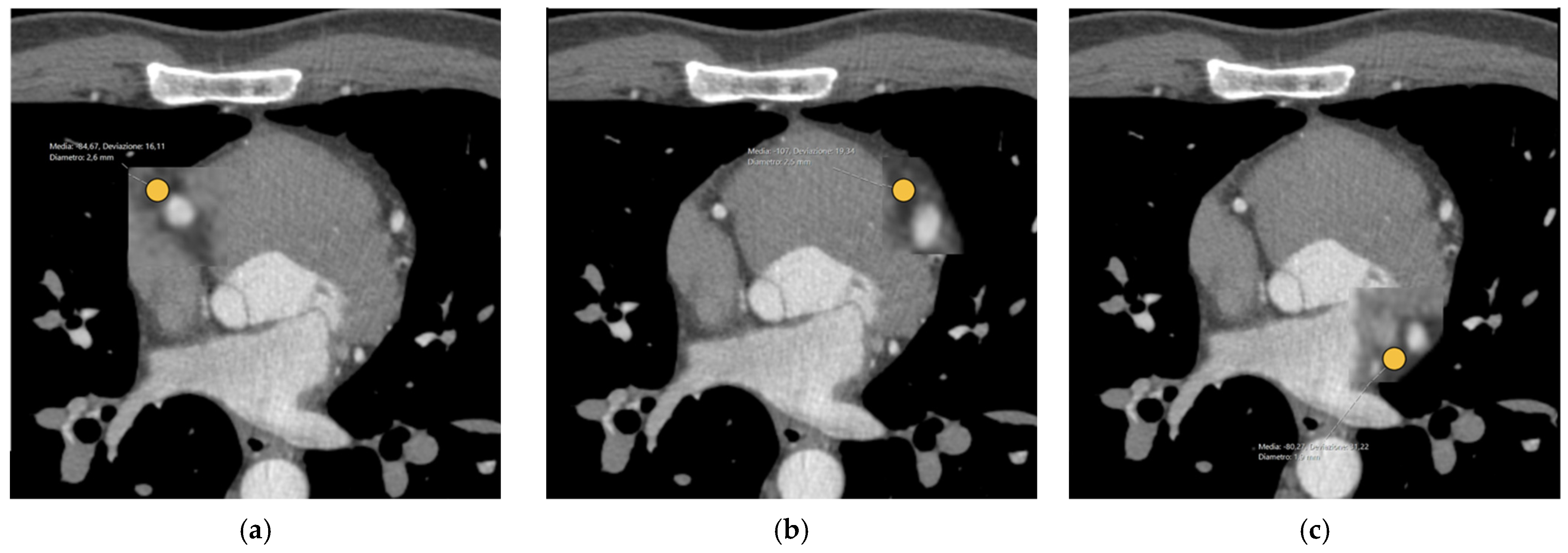
2.3. CCTA Image Evaluation
2.4. Statistical Analysis
3. Results
4. Discussion
5. Conclusions
Author Contributions
Funding
Institutional Review Board Statement
Informed Consent Statement
Data Availability Statement
Conflicts of Interest
References
- Cruz-Jentoft, A.J.; Landi, F.; Schneider, S.M.; Zúñiga, C.; Arai, H.; Boirie, Y.; Chen, L.-K.; Fielding, R.A.; Martin, F.C.; Michel, J.-P.; et al. Prevalence of and interventions for sarcopenia in ageing adults: A systematic review. Report of the International Sarcopenia Initiative (EWGSOP and IWGS). Age Ageing 2014, 43, 748–759. [Google Scholar] [CrossRef] [PubMed]
- Cruz-Jentoft, A.J.; Baeyens, J.P.; Bauer, J.M.; Boirie, Y.; Cederholm, T.; Landi, F.; Martin, F.C.; Michel, J.-P.; Rolland, Y.; Schneider, S.M.; et al. Sarcopenia: European consensus on definition and diagnosis. Age Ageing 2010, 39, 412–423. [Google Scholar] [CrossRef] [PubMed]
- Shachar, S.S.; Williams, G.R.; Muss, H.B.; Nishijima, T.F. Prognostic value of sarcopenia in adults with solid tumours: A meta-analysis and systematic review. Eur. J. Cancer 2016, 57, 58–67. [Google Scholar] [CrossRef] [PubMed]
- Chang, K.-V.; Chen, J.-D.; Wu, W.-T.; Huang, K.-C.; Hsu, C.-T.; Han, D.-S. Association between Loss of Skeletal Muscle Mass and Mortality and Tumor Recurrence in Hepatocellular Carcinoma: A Systematic Review and Meta-Analysis. Liver Cancer 2018, 7, 90–103. [Google Scholar] [CrossRef] [PubMed]
- Bokshan, S.L.; DePasse, J.M.; Daniels, A.H. Sarcopenia in Orthopedic Surgery. Orthopedics 2016, 39, e295–e300. [Google Scholar] [CrossRef]
- Boutin, R.D.; Bamrungchart, S.; Bateni, C.P.; Beavers, D.P.; Beavers, K.M.; Meehan, J.P.; Lenchik, L. CT of Patients with Hip Fracture: Muscle Size and Attenuation Help Predict Mortality. Am. J. Roentgenol. 2017, 208, W208–W215. [Google Scholar] [CrossRef]
- Friedman, J.; Lussiez, A.; Sullivan, J.; Wang, S.; Englesbe, M. Implications of Sarcopenia in Major Surgery. Nutr. Clin. Pract. 2015, 30, 175–179. [Google Scholar] [CrossRef]
- Dirks, R.C.; Edwards, B.L.; Tong, E.; Schaheen, B.; Turrentine, F.E.; Shada, A.; Smith, P.W. Sarcopenia in emergency abdominal surgery. J. Surg. Res. 2017, 207, 13–21. [Google Scholar] [CrossRef]
- Schiaffino, S.; Albano, D.; Cozzi, A.; Messina, C.; Arioli, R.; Bnà, C.; Bruno, A.; Carbonaro, L.A.; Carriero, A.; Carriero, S.; et al. CT-derived Chest Muscle Metrics for Outcome Prediction in Patients with COVID-19. Radiology 2021, 300, E328–E336. [Google Scholar] [CrossRef]
- Albano, D.; Messina, C.; Vitale, J.; Sconfienza, L.M. Imaging of sarcopenia: Old evidence and new insights. Eur. Radiol. 2020, 30, 2199–2208. [Google Scholar] [CrossRef]
- Messina, C.; Albano, D.; Gitto, S.; Tofanelli, L.; Bazzocchi, A.; Ulivieri, F.M.; Guglielmi, G.; Sconfienza, L.M. Body composition with dual energy X-ray absorptiometry: From basics to new tools. Quant. Imaging Med. Surg. 2020, 10, 1687–1698. [Google Scholar] [CrossRef] [PubMed]
- Chianca, V.; Albano, D.; Messina, C.; Gitto, S.; Ruffo, G.; Guarino, S.; Del Grande, F.; Sconfienza, L.M. Sarcopenia: Imaging assessment and clinical application. Abdom. Radiol. 2021, 47, 3205–3216. [Google Scholar] [CrossRef] [PubMed]
- Cruz-Jentoft, A.J.; Bahat, G.; Bauer, J.; Boirie, Y.; Bruyère, O.; Cederholm, T.; Cooper, C.; Landi, F.; Rolland, Y.; Sayer, A.A.; et al. Sarcopenia: Revised European consensus on definition and diagnosis. Age Ageing 2019, 48, 16–31. [Google Scholar] [CrossRef] [PubMed]
- Boutin, R.D.; Yao, L.; Canter, R.J.; Lenchik, L. Sarcopenia: Current Concepts and Imaging Implications. Am. J. Roentgenol. 2015, 205, W255–W266. [Google Scholar] [CrossRef]
- Shen, W.; Punyanitya, M.; Wang, Z.; Gallagher, D.; St.-Onge, M.-P.; Albu, J.; Heymsfield, S.B.; Heshka, S. Total body skeletal muscle and adipose tissue volumes: Estimation from a single abdominal cross-sectional image. J. Appl. Physiol. 2004, 97, 2333–2338. [Google Scholar] [CrossRef]
- Tuttle, C.S.; Thang, L.A.; Maier, A.B. Markers of inflammation and their association with muscle strength and mass: A systematic review and meta-analysis. Ageing Res. Rev. 2020, 64, 101185. [Google Scholar] [CrossRef]
- Zakynthinos, E.; Pappa, N. Inflammatory biomarkers in coronary artery disease. J. Cardiol. 2009, 53, 317–333. [Google Scholar] [CrossRef]
- Miceli, G.; Basso, M.G.; Rizzo, G.; Pintus, C.; Tuttolomondo, A. The Role of the Coagulation System in Peripheral Arterial Disease: Interactions with the Arterial Wall and Its Vascular Microenvironment and Implications for Rational Therapies. Int. J. Mol. Sci. 2022, 23, 14914. [Google Scholar] [CrossRef]
- Miceli, G.; Basso, M.G.; Pintus, C.; Pennacchio, A.R.; Cocciola, E.; Cuffaro, M.; Profita, M.; Rizzo, G.; Tuttolomondo, A. Molecular Pathways of Vulnerable Carotid Plaques at Risk of Ischemic Stroke: A Narrative Review. Int. J. Mol. Sci. 2024, 25, 4351. [Google Scholar] [CrossRef]
- Cury, R.C.; Leipsic, J.; Abbara, S.; Achenbach, S.; Berman, D.; Bittencourt, M.; Budoff, M.; Chinnaiyan, K.; Choi, A.D.; Ghoshhajra, B.; et al. CAD-RADS™ 2.0-2022 Coronary Artery Disease-Reporting and Data System. J. Cardiovasc. Comput. Tomogr. 2022, 16, 536–557. [Google Scholar] [CrossRef]
- Mergen, V.; Ried, E.; Allmendinger, T.; Sartoretti, T.; Higashigaito, K.; Manka, R.; Euler, A.; Alkadhi, H.; Eberhard, M. Epicardial Adipose Tissue Attenuation and Fat Attenuation Index: Phantom Study and In Vivo Measurements with Photon-Counting Detector CT. Am. J. Roentgenol. 2022, 218, 822–829. [Google Scholar] [CrossRef] [PubMed]
- La Grutta, L.; Toia, P.; Farruggia, A.; Albano, D.; Grassedonio, E.; Palmeri, A.; Maffei, E.; Galia, M.; Vitabile, S.; Cademartiri, F.; et al. Quantification of epicardial adipose tissue in coronary calcium score and CT coronary angiography image data sets: Comparison of attenuation values, thickness and volumes. Br. J. Radiol. 2016, 89, 20150773. [Google Scholar] [CrossRef] [PubMed]
- Antonopoulos, A.S.; Sanna, F.; Sabharwal, N.; Thomas, S.; Oikonomou, E.K.; Herdman, L.; Margaritis, M.; Shirodaria, C.; Kampoli, A.-M.; Akoumianakis, I.; et al. Detecting human coronary inflammation by imaging perivascular fat. Sci. Transl. Med. 2017, 9, eaal2658. [Google Scholar] [CrossRef] [PubMed]
- Oikonomou, E.; Marwan, M.; Desai, M.Y.; Mancio, J.; Alashi, A.; Centeno, E.H.; Thomas, S.; Herdman, L.; Kotanidis, C.; Thomas, K.E.; et al. Non-invasive detection of coronary inflammation using computed tomography and prediction of residual cardiovascular risk (the CRISP CT study): A post-hoc analysis of prospective outcome data. Lancet 2018, 392, 929–939. [Google Scholar] [CrossRef] [PubMed]
- Erkan, M.; Zengin, I.; Bekircavuşoğlu, S.; Topal, D.; Bulut, T.; Erkan, H. Effect of Sarcopenia on Coronary Atherosclerotic Burden, Lesion Complexity, and Major Cardiovascular Events in Elderly Patients With Acute Coronary Syndrome: A 1-year Follow-up Study. Angiology 2023, 75, 651–657. [Google Scholar] [CrossRef]
- Dvoretskiy, S.; Lieblein-Boff, J.C.; Jonnalagadda, S.; Atherton, P.J.; Phillips, B.E.; Pereira, S.L. Exploring the Association between Vascular Dysfunction and Skeletal Muscle Mass, Strength and Function in Healthy Adults: A Systematic Review. Nutrients 2020, 12, 715. [Google Scholar] [CrossRef]
- Amarasekera, A.T.; Chang, D.; Schwarz, P.; Tan, T.C. Does vascular endothelial dysfunction play a role in physical frailty and sarcopenia? A systematic review. Age and Ageing 2021, 50, 725–732. [Google Scholar] [CrossRef]
- Shin, J.Y.; Lim, J.S. Muscle mass and grip strength in relation to carotid intima-media thickness and plaque score in patients with type 2 diabetes. Nutr. Metab. Cardiovasc. Dis. 2021, 31, 2935–2944. [Google Scholar] [CrossRef]
- Lee, H.S.; Park, K.W.; Kang, J.; Ki, Y.-J.; Chang, M.; Han, J.-K.; Yang, H.-M.; Kang, H.-J.; Koo, B.-K.; Kim, H.-S. Sarcopenia Index as a Predictor of Clinical Outcomes in Older Patients with Coronary Artery Disease. J. Clin. Med. 2020, 9, 3121. [Google Scholar] [CrossRef]
- Jun, J.E.; Choi, M.S.; Park, S.W.; Kim, G.; Jin, S.-M.; Kim, K.; Hwang, Y.-C.; Ahn, K.J.; Chung, H.Y.; Jeong, I.-K.; et al. Low Skeletal Muscle Mass Is Associated With the Presence, Incidence, and Progression of Coronary Artery Calcification. Can. J. Cardiol. 2021, 37, 1480–1488. [Google Scholar] [CrossRef]
- Zannoni, S.; Albano, D.; Jannone, M.L.; Messina, C.; Sconfienza, L.M. Correlation between muscle mass and quality around the hip and of psoas muscles at L3 level using unenhanced CT scans. Skelet. Radiol. 2020, 49, 1649–1655. [Google Scholar] [CrossRef] [PubMed]
- Albano, D.; Gitto, S.; Vitale, J.; Bernareggi, S.; Aliprandi, A.; Sconfienza, L.M.; Messina, C. Comparison between magnetic resonance imaging and electrical impedance myography for evaluating lumbar skeletal muscle composition. BMC Musculoskelet. Disord. 2022, 23, 970. [Google Scholar] [CrossRef] [PubMed]
- Cury, R.C.; Leipsic, J.; Abbara, S.; Achenbach, S.; Berman, D.; Bittencourt, M.; Budoff, M.; Chinnaiyan, K.; Choi, A.D.; Ghoshhajra, B.; et al. CAD-RADS™ 2.0-2022 Coronary Artery Disease—Reporting and Data System An Expert Consensus Document of the Society of Cardiovascular Computed Tomography (SCCT), the American College of Cardiology (ACC), the American College of Radiology (ACR) and the North America Society of Cardiovascular Imaging (NASCI). Radiol. Cardiothorac. Imaging 2022, 4, e220183. [Google Scholar] [CrossRef] [PubMed]
- Di Leo, G.; Sardanelli, F. Statistical significance: P value, 0.05 threshold, and applications to radiomics—Reasons for a conservative approach. Eur. Radiol. Exp. 2020, 4, 18. [Google Scholar] [CrossRef]
- Lee, G.K.-Y.; Au, P.C.-M.; Li, G.H.-Y.; Chan, M.; Li, H.-L.; Cheung, B.M.-Y.; Wong, I.C.-K.; Lee, V.H.-F.; Mok, J.; Yip, B.H.-K.; et al. Sarcopenia and mortality in different clinical conditions: A meta-analysis. Osteoporos. Sarcopenia 2021, 7, S19–S27. [Google Scholar] [CrossRef]
- The DISCHARGE Trial Group CT or Invasive Coronary Angiography in Stable Chest Pain. N. Engl. J. Med. 2022, 386, 1591–1602. [CrossRef]
- Zhang, R.; Ju, Z.; Li, Y.; Gao, Y.; Gu, H.; Wang, X. Pericoronary fat attenuation index is associated with plaque parameters and stenosis severity in patients with acute coronary syndrome: A cross-sectional study. J. Thorac. Dis. 2022, 14, 4865–4876. [Google Scholar] [CrossRef]
- Monti, C.B.; Codari, M.; De Cecco, C.N.; Secchi, F.; Sardanelli, F.; Stillman, A.E. Novel imaging biomarkers: Epicardial adipose tissue evaluation. Br. J. Radiol. 2019, 93, 20190770. [Google Scholar] [CrossRef]
- Iacobellis, G. Aging Effects on Epicardial Adipose Tissue. Front. Aging 2021, 2, 666260. [Google Scholar] [CrossRef]
- Doukbi, E.; Soghomonian, A.; Sengenès, C.; Ahmed, S.; Ancel, P.; Dutour, A.; Gaborit, B. Browning Epicardial Adipose Tissue: Friend or Foe? Cells 2022, 11, 991. [Google Scholar] [CrossRef]
- Go, S.-I.; Park, M.J.; Song, H.-N.; Kim, H.-G.; Kang, M.H.; Kang, J.H.; Kim, H.R.; Lee, G.-W. A comparison of pectoralis versus lumbar skeletal muscle indices for defining sarcopenia in diffuse large B-cell lymphoma-two are better than one. Oncotarget 2017, 8, 47007–47019. [Google Scholar] [CrossRef] [PubMed]
- Wilson, P.W.F.; D’Agostino, R.B.; Levy, D.; Belanger, A.M.; Silbershatz, H.; Kannel, W.B. Prediction of Coronary Heart Disease Using Risk Factor Categories. Circulation 1998, 97, 1837–1847. [Google Scholar] [CrossRef] [PubMed]
- Rahimi, K.; Bidel, Z.; Nazarzadeh, M.; Copland, E.; Canoy, D.; Wamil, M.; Majert, J.; McManus, R.; Adler, A.; Agodoa, L.; et al. Age-stratified and blood-pressure-stratified effects of blood-pressure-lowering pharmacotherapy for the prevention of cardiovascular disease and death: An individual participant-level data meta-analysis. Lancet 2021, 398, 1053–1064. [Google Scholar] [CrossRef] [PubMed]
- Hathaway, Q.; Ibad, H.A.; Bluemke, D.A.; Pishgar, F.; Kasaiean, A.; Klein, J.G.; Cogswell, R.; Allison, M.; Budoff, M.J.; Barr, R.G.; et al. Predictive Value of Deep Learning–derived CT Pectoralis Muscle and Adipose Measurements for Incident Heart Failure: Multi-Ethnic Study of Atherosclerosis. Radiol. Cardiothorac. Imaging 2023, 5, e230146. [Google Scholar] [CrossRef]
- Teigen, L.M.; John, R.; Kuchnia, A.J.; Nagel, E.M.; Earthman, C.P.; Kealhofer, J.; Martin, C.; Cogswell, R. Preoperative Pectoralis Muscle Quantity and Attenuation by Computed Tomography Are Novel and Powerful Predictors of Mortality After Left Ventricular Assist Device Implantation. Circ. Heart Fail. 2017, 10, e004069. [Google Scholar] [CrossRef]
- Damluji, A.A.; Alfaraidhy, M.; AlHajri, N.; Rohant, N.N.; Kumar, M.; Al Malouf, C.; Bahrainy, S.; Kwak, M.J.; Batchelor, W.B.; Forman, D.E.; et al. Sarcopenia and Cardiovascular Diseases. Circulation 2023, 147, 1534–1553. [Google Scholar] [CrossRef]
- Gallone, G.; Depaoli, A.; D’Ascenzo, F.; Tore, D.; Allois, L.; Bruno, F.; Casale, M.; Atzeni, F.; De Lio, G.; Bocchino, P.P.; et al. Impact of computed-tomography defined sarcopenia on outcomes of older adults undergoing transcatheter aortic valve implantation. J. Cardiovasc. Comput. Tomogr. 2022, 16, 207–214. [Google Scholar] [CrossRef]
- Phan, E.N.; Thorpe, S.W.; Wong, F.S.; Saiz, A.M.; Taylor, S.L.; Canter, R.J.; Lenchik, L.; Randall, R.L.; Boutin, R.D. Opportunistic muscle measurements on staging chest CT for extremity and truncal soft tissue sarcoma are associated with survival. J. Surg. Oncol. 2020, 122, 869–876. [Google Scholar] [CrossRef]
- Yao, L.; Petrosyan, A.; Chaudhari, A.J.; Lenchik, L.; Boutin, R.D. Clinical, functional, and opportunistic CT metrics of sarcopenia at the point of imaging care: Analysis of all-cause mortality. Skelet. Radiol. 2024, 53, 515–524. [Google Scholar] [CrossRef]



| n = 220 | pCAD-RADS | pROI LAD | pROI CX | pROI CDX | |
|---|---|---|---|---|---|
| Age | 65 (58–72) | <0.001 * | 0.032 * | 0.880 | 0.312 |
| Males (n, %) | 132 (60) | <0.001 * | 0.499 | 0.482 | 0.704 |
| Height (cm) | 170 (163–174) | 0.866 | 0.764 | 0.250 | 0.743 |
| Weight (kg) | 75 (68–84) | 0.073 | 0.081 | 0.138 | 0.476 |
| Systolic pressure (mmHg) | 130 (120–140) | 0.737 | 0.362 | 0.171 | 0.916 |
| Diastolic pressure (mmHg) | 80 (75–80) | 0.970 | 0.649 | 0.402 | 0.689 |
| Dyslipidemia (n, %) | 48 (22) | 0.613 | 0.595 | 0.146 | 0.494 |
| Hypertension (n, %) | 42 (19) | 0.118 | 0.162 | 0.105 | 0.991 |
| Familiarity (n, %) | 22 (10) | 0.114 | 0.002 * | 0.018 * | 0.099 |
| Prior AMI (n, %) | 39 (18) | 0.183 | 0.882 | 0.741 | 0.252 |
| Smoking (n, %) | 16 (7) | 0.726 | 0.125 | 0.240 | 0.894 |
| Diabetes (n, %) | 9 (5) | 0.077 | 0.915 | 0.530 | 0.710 |
| PV density (HU) | 38 (26–48) | 0.954 | 0.900 | 0.337 | 0.768 |
| PV CSA (cm2) | 18.19 (13.87–22.77) | 0.976 | 0.884 | 0.534 | 0.894 |
| PV nCSA (cm) | 21.49 (16.34–26.84) | 0.842 | 0.632 | 0.335 | 0.974 |
| PM density (HU) | 46 (36–55) | 0.213 | 0.463 | 0.133 | 0.833 |
| PM CSA (cm2) | 13.07 (9.51–17.57) | 0.298 | 0.385 | 0.319 | 0.743 |
| PM nCSA (cm) | 4.62 (3.37–6.07) | 0.442 | 0.570 | 0.349 | 0.881 |
| pCAT LAD (HU) | pCAT CX (HU) | pCAT RCA (HU) | ||
|---|---|---|---|---|
| PV | Density (HU) | ρ = 0.235 p < 0.001 * | ρ = 0.015 p = 0.822 | ρ = −0.109 p = 0.871 |
| CSA (cm2) | ρ = 0.150 p = 0.026 ** | ρ = 0.147 p = 0.029 ** | ρ = 0.077 p = 0.257 | |
| nCSA (cm) | ρ = 0.140 p = 0.039 ** | ρ = 0.144 p = 0.032 ** | ρ = 0.070 p = 0.301 | |
| PM | Density (HU) | ρ = 0.220 p = 0.001 * | ρ = 0.095 p = 0.160 | ρ = 0.090 p = 0.186 |
| CSA (cm2) | ρ = 0.240 p < 0.001 * | ρ = 0.073 p = 0.280 | ρ = 0.122 p = 0.071 | |
| nCSA (cm) | ρ = 0.229 p < 0.001 * | ρ = 0.077 p = 0.258 | ρ = 0.126 p = 0.062 |
Disclaimer/Publisher’s Note: The statements, opinions and data contained in all publications are solely those of the individual author(s) and contributor(s) and not of MDPI and/or the editor(s). MDPI and/or the editor(s) disclaim responsibility for any injury to people or property resulting from any ideas, methods, instructions or products referred to in the content. |
© 2024 by the authors. Licensee MDPI, Basel, Switzerland. This article is an open access article distributed under the terms and conditions of the Creative Commons Attribution (CC BY) license (https://creativecommons.org/licenses/by/4.0/).
Share and Cite
Albano, D.; Monti, C.B.; Risoleo, G.A.; Vignati, G.; Rossi, S.; Conte, E.; Andreini, D.; Secchi, F.; Fusco, S.; Galia, M.; et al. Correlation of Sarcopenia with Coronary Artery Disease Severity and Pericoronary Adipose Tissue Attenuation: A Coronary CT Study. Tomography 2024, 10, 1744-1753. https://doi.org/10.3390/tomography10110128
Albano D, Monti CB, Risoleo GA, Vignati G, Rossi S, Conte E, Andreini D, Secchi F, Fusco S, Galia M, et al. Correlation of Sarcopenia with Coronary Artery Disease Severity and Pericoronary Adipose Tissue Attenuation: A Coronary CT Study. Tomography. 2024; 10(11):1744-1753. https://doi.org/10.3390/tomography10110128
Chicago/Turabian StyleAlbano, Domenico, Caterina Beatrice Monti, Giovanni Antonio Risoleo, Giacomo Vignati, Silvia Rossi, Edoardo Conte, Daniele Andreini, Francesco Secchi, Stefano Fusco, Massimo Galia, and et al. 2024. "Correlation of Sarcopenia with Coronary Artery Disease Severity and Pericoronary Adipose Tissue Attenuation: A Coronary CT Study" Tomography 10, no. 11: 1744-1753. https://doi.org/10.3390/tomography10110128
APA StyleAlbano, D., Monti, C. B., Risoleo, G. A., Vignati, G., Rossi, S., Conte, E., Andreini, D., Secchi, F., Fusco, S., Galia, M., Vitali, P., Gitto, S., Messina, C., & Sconfienza, L. M. (2024). Correlation of Sarcopenia with Coronary Artery Disease Severity and Pericoronary Adipose Tissue Attenuation: A Coronary CT Study. Tomography, 10(11), 1744-1753. https://doi.org/10.3390/tomography10110128

