Generating Synthetic Radiological Images with PySynthMRI: An Open-Source Cross-Platform Tool
Abstract
:1. Introduction
2. Method
2.1. Synthetic Image Generation
2.2. Data Formats
2.3. Configuration File
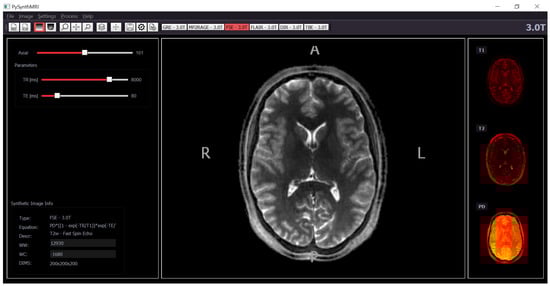
2.4. Graphical Interface Interaction
2.5. Batch Synthesization
2.6. Testing
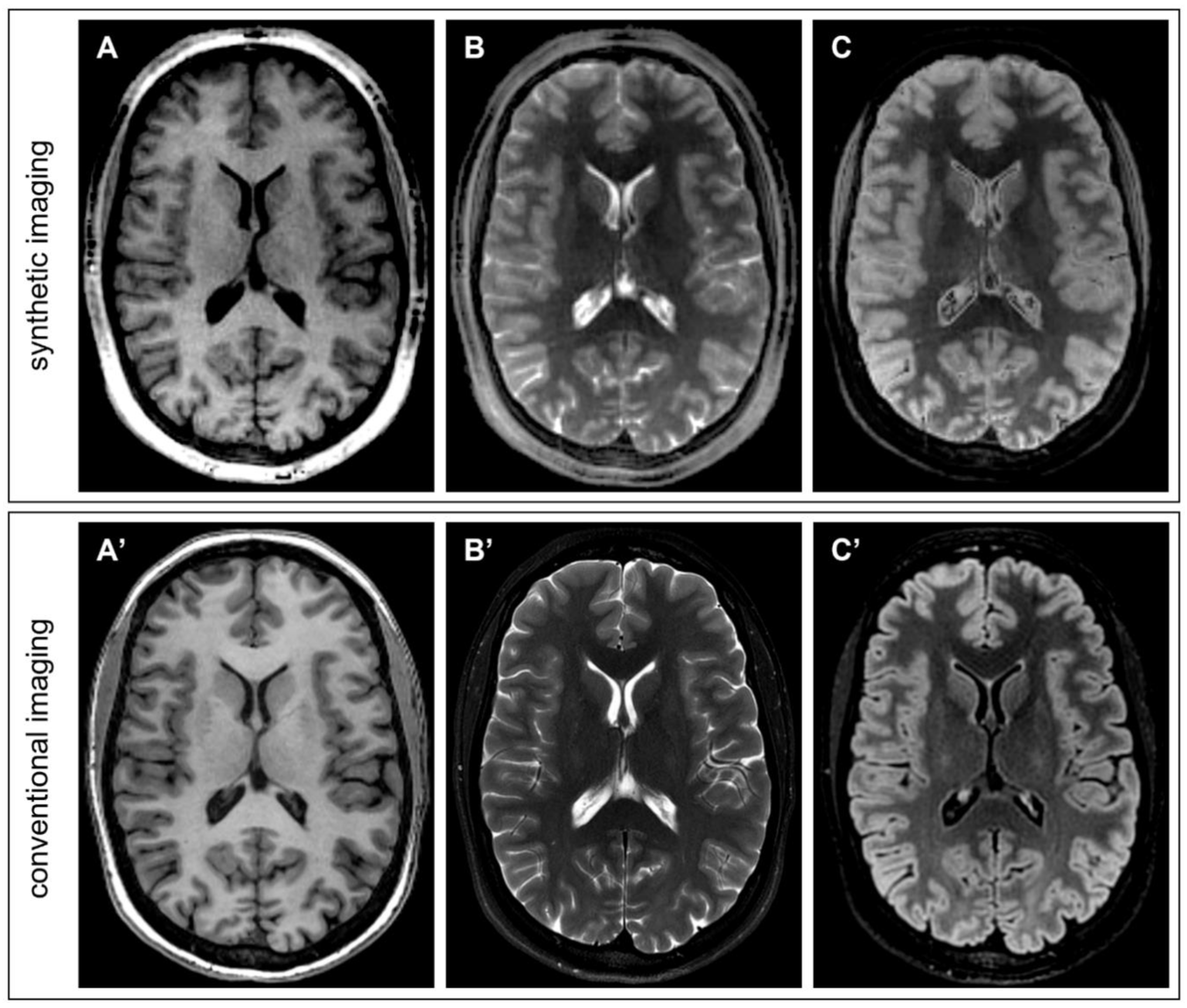
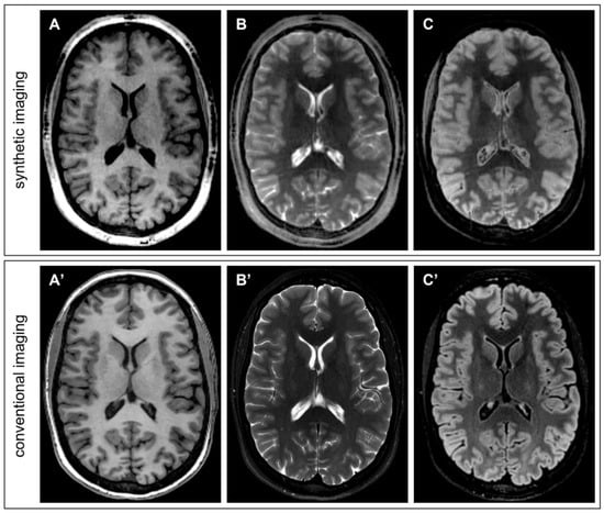
3. Results and Discussion
- Synthetic T1-weighted images simulating GRE (Gradient-recalled Echo) were synthesized with the following equation, incorporating the input maps of PD and T1 and setting the simulated acquisition parameter TR:
- Bias-free T1-weighted MPRAGE was synthesized by taking into consideration that B1 bias in QTI is incorporated in the PD map, which can be excluded from the formula, achieving a similar appearance to MP2RAGE uniform imaging [15]:
- Synthetic T2-weighted images simulating a SE (Spin Echo) acquisition were obtained as follows:
- Synthetic T2-FLAIR was obtained with a user-modified formula incorporating a coefficient TSAT, which enables the introduction of T1-weighting, which better mimics the one in conventional imaging:
- Synthetic TBE acquisitions were obtained from the generic signal model, with the appropriate parameters TI, TR, TE:
Author Contributions
Funding
Institutional Review Board Statement
Informed Consent Statement
Data Availability Statement
Conflicts of Interest
References
- Hagiwara, A.; Hori, M.; Yokoyama, K.; Takemura, M.Y.; Andica, C.; Tabata, T.; Kamagata, K.; Suzuki, M.; Kumamaru, K.K.; Nakazawa, M.; et al. Synthetic MRI in the Detection of Multiple Sclerosis Plaques. Am. J. Neuroradiol. 2017, 38, 257–263. [Google Scholar] [CrossRef] [PubMed]
- Andica, C.; Hagiwara, A.; Hori, M.; Kamagata, K.; Koshino, S.; Maekawa, T.; Suzuki, M.; Fujiwara, H.; Ikeno, M.; Shimizu, T.; et al. Review of synthetic MRI in pediatric brains: Basic principle of MR quantification, its features, clinical applications, and limitations. J. Neuroradiol. 2019, 46, 268–275. [Google Scholar] [CrossRef] [PubMed]
- Ji, S.; Yang, D.; Lee, J.; Choi, S.H.; Kim, H.; Kang, K.M. Synthetic MRI: Technologies and Applications in Neuroradiology. J. Magn. Reson. Imaging 2022, 55, 1013–1025. [Google Scholar] [CrossRef] [PubMed]
- Blystad, I.; Warntjes, J.B.M.; Smedby, O.; Landtblom, A.-M.; Lundberg, P.; Larsson, E.-M. Synthetic Mri of the Brain in a Clinical Setting. Acta Radiol. 2012, 53, 1158–1163. [Google Scholar] [CrossRef]
- Tanenbaum, L.N.; Tsiouris, A.J.; Johnson, A.N.; Naidich, T.P.; DeLano, M.C.; Melhem, E.R.; Quarterman, P.; Parameswaran, S.X.; Shankaranarayanan, A.; Goyen, M.; et al. Synthetic MRI for Clinical Neuroimaging: Results of the Magnetic Resonance Image Compilation (MAGiC) Prospective, Multicenter, Multireader Trial. Am. J. Neuroradiol. 2017, 38, 1103–1110. [Google Scholar] [CrossRef]
- Ryu, K.H.; Baek, H.J.; Moon, J.I.; Choi, B.H.; Park, S.E.; Ha, J.Y.; Jeon, K.N.; Bae, K.; Choi, D.S.; Cho, S.B.; et al. Initial clinical experience of synthetic MRI as a routine neuroimaging protocol in daily practice: A single-center study. J. Neuroradiol. 2020, 47, 151–160. [Google Scholar] [CrossRef]
- Ma, D.; Gulani, V.; Seiberlich, N.; Liu, K.; Sunshine, J.L.; Duerk, J.L.; Griswold, M.A. Magnetic resonance fingerprinting. Nature 2013, 495, 187–192. [Google Scholar] [CrossRef]
- Sbrizzi, A.; van der Heide, O.; Cloos, M.; van der Toorn, A.; Hoogduin, H.; Luijten, P.R.; Berg, C.A.T. van den Fast quantitative MRI as a nonlinear tomography problem. Magn. Reson. Imaging 2018, 46, 56–63. [Google Scholar] [CrossRef]
- Kvernby, S.; Warntjes, M.J.B.; Haraldsson, H.; Carlhäll, C.-J.; Engvall, J.; Ebbers, T. Simultaneous three-dimensional myocardial T1 and T2 mapping in one breath hold with 3D-QALAS. J. Cardiovasc. Magn. Reson. 2014, 16, 102. [Google Scholar] [CrossRef]
- Gómez, P.A.; Cencini, M.; Golbabaee, M.; Schulte, R.F.; Pirkl, C.; Horvath, I.; Fallo, G.; Peretti, L.; Tosetti, M.; Menze, B.H.; et al. Rapid three-dimensional multiparametric MRI with quantitative transient-state imaging. Sci. Rep. 2020, 10, 13769. [Google Scholar] [CrossRef]
- Donatelli, G.; Migaleddu, G.; Cencini, M.; Cecchi, P.; Peretti, L.; D’Amelio, C.; Buonincontri, G.; Tosetti, M.; Cosottini, M.; Costagli, M. Postcontrast 3D MRF-derived synthetic T1-weighted images capture pathological contrast enhancement in brain diseases. In Proceedings of the XIII Annual Meeting of the Italian Association of Magnetic Resonance in Medicine (AIRMM), Pisa, Italy, 23–25 November 2022. [Google Scholar]
- Donatelli, G.; Migaleddu, G.; Cencini, M.; Cecchi, P.; Peretti, L.; D’Amelio, C.; Buonincontri, G.; Tosetti, M.; Cosottini, M.; Costagli, M. Pathological contrast enhancement in different brain diseases in synthetic T1-weigthed images derived from 3D quantitative transient-state imaging (QTI). In Proceedings of the Annual Meeting of the International Society of Magnetic Resonance in Medicine (ISMRM), Toronto, ON, Canda, 3–8 June 2023. [Google Scholar]
- Krasner, G.E.; Pope, S.T. A description of the model-view-controller user interface paradigm in the smalltalk-80 system. J. Object Oriented Program. 1988, 1, 26–49. [Google Scholar]
- Mugler, J.P.; Brookeman, J.R. Three-dimensional magnetization-prepared rapid gradient-echo imaging (3D MP RAGE). Magn. Reson. Med. 1990, 15, 152–157. [Google Scholar] [CrossRef] [PubMed]
- Marques, J.P.; Kober, T.; Krueger, G.; van der Zwaag, W.; Van de Moortele, P.-F.; Gruetter, R. MP2RAGE, a self bias-field corrected sequence for improved segmentation and T1-mapping at high field. NeuroImage 2010, 49, 1271–1281. [Google Scholar] [CrossRef] [PubMed]
- Hajnal, J.V.; Bryant, D.J.; Kasuboski, L.; Pattany, P.M.; Coene, B.D.; Lewis, P.D.; Pennock, J.M.; Oatridge, A.; Young, I.R.; Bydder, G.M. Use of Fluid Attenuated Inversion Recovery (FLAIR) Pulse Sequences in MRI of the Brain. J. Comput. Assist. Tomogr. 1992, 16, 841–844. [Google Scholar] [CrossRef]
- Costagli, M.; Kelley, D.A.C.; Symms, M.R.; Biagi, L.; Stara, R.; Maggioni, E.; Tiberi, G.; Barba, C.; Guerrini, R.; Cosottini, M.; et al. Tissue Border Enhancement by inversion recovery MRI at 7.0 Tesla. Neuroradiology 2014, 56, 517–523. [Google Scholar] [CrossRef]
- Saranathan, M.; Worters, P.W.; Rettmann, D.W.; Winegar, B.; Becker, J. Physics for clinicians: Fluid-attenuated inversion recovery (FLAIR) and double inversion recovery (DIR) Imaging: FLAIR and DIR Imaging. J. Magn. Reson. Imaging 2017, 46, 1590–1600. [Google Scholar] [CrossRef] [PubMed]
- Mildenberger, P.; Eichelberg, M.; Martin, E. Introduction to the DICOM standard. Eur. Radiol. 2002, 12, 920–927. [Google Scholar] [CrossRef] [PubMed]
- Kurzawski, J.W.; Cencini, M.; Peretti, L.; Gómez, P.A.; Schulte, R.F.; Donatelli, G.; Cosottini, M.; Cecchi, P.; Costagli, M.; Retico, A.; et al. Retrospective rigid motion correction of three-dimensional magnetic resonance fingerprinting of the human brain. Magn. Reson. Med. 2020, 84, 2606–2615. [Google Scholar] [CrossRef]
- Pirkl, C.M.; Cencini, M.; Kurzawski, J.W.; Waldmannstetter, D.; Li, H.; Sekuboyina, A.; Endt, S.; Peretti, L.; Donatelli, G.; Pasquariello, R.; et al. Learning residual motion correction for fast and robust 3D multiparametric MRI. Med. Image Anal. 2022, 77, 102387. [Google Scholar] [CrossRef]
- Redpath, T.W.; Smith, F.W. Use of a double inversion recovery pulse sequence to image selectively grey or white brain matter. Br. J. Radiol. 1994, 67, 1258–1263. [Google Scholar] [CrossRef] [PubMed]
- Hagiwara, A.; Warntjes, M.; Hori, M.; Andica, C.; Nakazawa, M.; Kumamaru, K.K.; Abe, O.; Aoki, S. SyMRI of the Brain: Rapid Quantification of Relaxation Rates and Proton Density, With Synthetic MRI, Automatic Brain Segmentation, and Myelin Measurement. Invest. Radiol. 2017, 52, 647–657. [Google Scholar] [CrossRef]
- Hagiwara, A.; Otsuka, Y.; Hori, M.; Tachibana, Y.; Yokoyama, K.; Fujita, S.; Andica, C.; Kamagata, K.; Irie, R.; Koshino, S.; et al. Improving the Quality of Synthetic FLAIR Images with Deep Learning Using a Conditional Generative Adversarial Network for Pixel-by-Pixel Image Translation. Am. J. Neuroradiol. 2019, 40, 224–230. [Google Scholar] [CrossRef]
- Benoit-Cattin, H.; Collewet, G.; Belaroussi, B.; Saint-Jalmes, H.; Odet, C. The SIMRI project: A versatile and interactive MRI simulator. J. Magn. Reson. 2005, 173, 97–115. [Google Scholar] [CrossRef] [PubMed]
- Stöcker, T.; Vahedipour, K.; Pflugfelder, D.; Shah, N.J. High-performance computing MRI simulations. Magn. Reson. Med. 2010, 64, 186–193. [Google Scholar] [CrossRef] [PubMed]
- Liu, F.; Velikina, J.V.; Block, W.F.; Kijowski, R.; Samsonov, A.A. Fast Realistic MRI Simulations Based on Generalized Multi-Pool Exchange Tissue Model. IEEE Trans. Med. Imaging 2017, 36, 527–537. [Google Scholar] [CrossRef] [PubMed]
- Kwan, R.K.-S.; Evans, A.C.; Pike, G.B. MRI simulation-based evaluation of image-processing and classification methods. IEEE Trans. Med. Imaging 1999, 18, 1085–1097. [Google Scholar] [CrossRef]
- Yoder, D.A.; Zhao, Y.; Paschal, C.B.; Fitzpatrick, J.M. MRI simulator with object-specific field map calculations. Magn. Reson. Imaging 2004, 22, 315–328. [Google Scholar] [CrossRef]
- Klepaczko, A.; Szczypiński, P.; Dwojakowski, G.; Strzelecki, M.; Materka, A. Computer Simulation of Magnetic Resonance Angiography Imaging: Model Description and Validation. PLoS ONE 2014, 9, e93689. [Google Scholar] [CrossRef]
- West, J.; Warntjes, J.B.M.; Lundberg, P. Novel whole brain segmentation and volume estimation using quantitative MRI. Eur. Radiol. 2012, 22, 998–1007. [Google Scholar] [CrossRef]





Disclaimer/Publisher’s Note: The statements, opinions and data contained in all publications are solely those of the individual author(s) and contributor(s) and not of MDPI and/or the editor(s). MDPI and/or the editor(s) disclaim responsibility for any injury to people or property resulting from any ideas, methods, instructions or products referred to in the content. |
© 2023 by the authors. Licensee MDPI, Basel, Switzerland. This article is an open access article distributed under the terms and conditions of the Creative Commons Attribution (CC BY) license (https://creativecommons.org/licenses/by/4.0/).
Share and Cite
Peretti, L.; Donatelli, G.; Cencini, M.; Cecchi, P.; Buonincontri, G.; Cosottini, M.; Tosetti, M.; Costagli, M. Generating Synthetic Radiological Images with PySynthMRI: An Open-Source Cross-Platform Tool. Tomography 2023, 9, 1723-1733. https://doi.org/10.3390/tomography9050137
Peretti L, Donatelli G, Cencini M, Cecchi P, Buonincontri G, Cosottini M, Tosetti M, Costagli M. Generating Synthetic Radiological Images with PySynthMRI: An Open-Source Cross-Platform Tool. Tomography. 2023; 9(5):1723-1733. https://doi.org/10.3390/tomography9050137
Chicago/Turabian StylePeretti, Luca, Graziella Donatelli, Matteo Cencini, Paolo Cecchi, Guido Buonincontri, Mirco Cosottini, Michela Tosetti, and Mauro Costagli. 2023. "Generating Synthetic Radiological Images with PySynthMRI: An Open-Source Cross-Platform Tool" Tomography 9, no. 5: 1723-1733. https://doi.org/10.3390/tomography9050137
APA StylePeretti, L., Donatelli, G., Cencini, M., Cecchi, P., Buonincontri, G., Cosottini, M., Tosetti, M., & Costagli, M. (2023). Generating Synthetic Radiological Images with PySynthMRI: An Open-Source Cross-Platform Tool. Tomography, 9(5), 1723-1733. https://doi.org/10.3390/tomography9050137

