Vascular Complications following Vacuum-Assisted Breast Biopsy (VABB): A Case Report and Review of the Literature
Abstract
1. Introduction
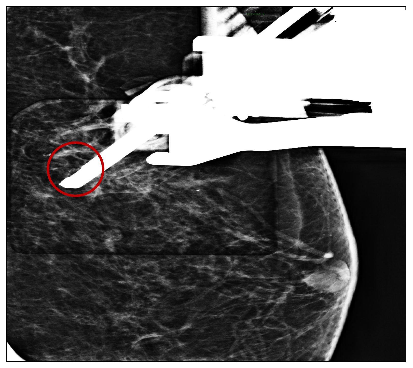
2. Case Report
- ○
- Silent past medical history.
- ○
- Normal blood chemistry (in particular, hemoglobin, fibrinogen, platelets, prothrombin time, partial thromboplastin time)
- ○
- No active pharmacotherapy.
- ○
- No allergies were reported.
3. Discussion
4. Conclusions
- The collection of medical history data and informed consent.
- Check blood chemistry: in particular, hemoglobin, fibrinogen, platelets, prothrombin time, and partial thromboplastin time.
- Check active pharmacotherapy (antiplatelet, anticoagulant).
- Check for any allergies.
- Address peripheral venous catheter positioning.
- Monitor the patient for at least 60 min after VABB.
Author Contributions
Funding
Institutional Review Board Statement
Informed Consent Statement
Data Availability Statement
Conflicts of Interest
References
- Ferlay, J.; Soerjomataram, I.; Dikshit, R.; Eser, S.; Mathers, C.; Rebelo, M.; Parkin, D.M.; Forman, D.; Bray, F. Cancer incidence and mortality worldwide: Sources, methods and major patterns in GLOBOCAN 2012. Int. J. Cancer 2015, 136, E359–E386. [Google Scholar] [CrossRef] [PubMed]
- Harbeck, N.; Gnant, M. Breast cancer. Lancet 2017, 389, 1134–1150. [Google Scholar] [CrossRef]
- Torre, L.A.; Bray, F.; Siegel, R.L.; Ferlay, J.; Lortet-Tieulent, J.; Jemal, A. Global cancer statistics, 2012. CA Cancer J. Clin. 2015, 65, 87–108. [Google Scholar] [CrossRef]
- Fang, M.; Liu, G.; Luo, G.; Wu, T. Feasibility and safety of image-guided vacuum-assisted breast biopsy: A PRISMA-compliant systematic review and meta-analysis of 20,000 population from 36 longitudinal studies. Int. Wound J. 2019, 16, 1506–1512. [Google Scholar] [CrossRef] [PubMed]
- Sung, H.; Ferlay, J.; Siegel, R.L.; Laversanne, M.; Soerjomataram, I.; Jemal, A.; Bray, F. Global cancer statistics 2020: GLOBOCAN estimates of incidence and mortality worldwide for 36 cancers in 185 countries. CA A Cancer J. Clin. 2021, 71, 209–249. [Google Scholar] [CrossRef] [PubMed]
- Ren, W.; Chen, M.; Qiao, Y.; Zhao, F. Global guidelines for breast cancer screening: A systematic review. Breast 2022, 64, 85–99. [Google Scholar] [CrossRef]
- Broeders, M.; Moss, S.; Nyström, L.; Njor, S.; Jonsson, H.; Paap, E.; Massat, N.; Duffy, S.; Lynge, E.; Paci, E. The Impact of Mammographic Screening on Breast Cancer Mortality in Europe: A Review of Observational Studies. J. Med. Screen. 2012, 19 (Suppl. 1), 14–25. [Google Scholar] [CrossRef]
- Molassiotis, A.; Tyrovolas, S.; Giné-Vázquez, I.; Yeo, W.; Aapro, M.; Herrstedt, J. Organized breast cancer screening not only reduces mortality from breast cancer but also significantly decreases disability-adjusted life years: Analysis of the Global Burden of Disease Study and screening programme availability in 130 countries. ESMO Open 2021, 6, 100111. [Google Scholar] [CrossRef]
- Duffy, S.W.; Vulkan, D.; Cuckle, H.; Parmar, D.; Sheikh, S.; Smith, R.A.; Evans, A.; Blyuss, O.; Johns, L.; Ellis, I.O.; et al. Effect of mammographic screening from age 40 years on breast cancer mortality (UK Age trial): Final results of a randomised, controlled trial. Lancet Oncol. 2020, 21, 1165–1172. [Google Scholar] [CrossRef]
- Christiansen, S.R.; Autier, P.; Støvring, H. Change in effectiveness of mammography screening with decreasing breast cancer mortality: A population-based study. Eur. J. Public Health 2022, 32, 630–635. [Google Scholar] [CrossRef]
- Lakoma, A.; Kim, E.S. Minimally invasive surgical management of benign breast lesions. Gland. Surg. 2014, 3, 142–148. [Google Scholar] [PubMed]
- Binh, N.T.; Duc, N.M.; My, T.-T.T.; Dung, L.V.; Luu, D.T.; Linh, L.T. Emergency embolization for breast pseudoaneurysm following vacuum-assisted biopsy: A case report. Pan Afr. Med. J. 2021, 38, 135. [Google Scholar] [CrossRef] [PubMed]
- Park, H.-L.; Hong, J. Vacuum-assisted breast biopsy for breast cancer. Gland. Surg. 2014, 3, 120–127. [Google Scholar] [CrossRef] [PubMed]
- Park, J.H.; Ahn, S.E.; Kim, S.; Kwon, M.J.; Suh, Y.J.; Kim, D. Complete Surgical Excision Is Necessary following Vacuum-Assisted Biopsy for Breast Cancer. Curr. Oncol. 2022, 29, 9357–9364. [Google Scholar] [CrossRef]
- Zhao, J.; Wang, X.; Xu, Y.; Peng, L.; Sun, Q. Reconsidering the therapeutic use for vacuum-assisted breast biopsy in breast cancer patients: A retrospective single-center study. Transl. Cancer Res. 2020, 9, 3879–3888. [Google Scholar] [CrossRef]
- American College of Radiology BI-RADS Committee. ACR BI-RADS® Atlas, Breast Imaging Reporting and Data System; American College of Radiology: Reston, VA, USA, 2013; Available online: https://www.worldcat.org/title/acr-bi-rads-atlas-breast-imaging-reporting-and-data-system/oclc/880399714 (accessed on 22 June 2023).
- Karnofsky, D.A.; Burchenal, J.H. The Clinical evaluation of chemotherapeutic agents in cancer. In Evaluation of Chemotherapeutic Agents; MacLeod, C.M., Ed.; Columbia University Press: New York, NY, USA, 1949; pp. 191–205. [Google Scholar]
- Kettritz, U.; Morack, G.; Decker, T. Stereotactic vacuum-assisted breast biopsies in 500 women with microcalcifications: Radiological and pathological correlations. Eur. J. Radiol. 2005, 55, 270–276. [Google Scholar] [CrossRef]
- Schaefer, F.K.; Order, B.M.; Eckmann-Scholz, C.; Strauss, A.; Hilpert, F.; Kroj, K.; Biernath-Wüpping, J.; Heller, M.; Jonat, W.; Schaefer, P.J. Interventional bleeding, hematoma and scar-formation after vacuumbiopsy under stereotactic guidance: Mammotome-system 11 g/8 g vs. ATEC-system 12 g/9 g. Eur J Radiol. 2012, 81, e739–e745. [Google Scholar] [CrossRef]
- Zheng, J.; Cai, S.; Song, H.; Wang, Y.; Han, X.; Han, G.; Wu, H.; Gao, Z. Prediction of postoperative hematoma occurrence after ultrasound-guided vacuum-assisted breast biopsy in minimally invasive surgery for percutaneous removal of benign breast lesions. Gland Surg. 2020, 9, 1346–1353. [Google Scholar] [CrossRef]
- Simon, J.R.; Kalbhen, C.L.; Cooper, R.A.; Flisak, M.E. Accuracy and complication rates of US-guided vacuum-assisted core breast biopsy: Initial results. Radiology 2000, 215, 694–697. [Google Scholar] [CrossRef]
- Tzeng, Y.-D.T.; Liu, S.-I.; Wang, B.-W.; Chen, Y.-C.; Chang, P.-M.; Chen, I.-S.; Sheu, J.J.-C.; Hsiao, J.-H. The Efficacy of Thrombin-Gelatin Matrix in Hemostasis for Large Breast Tumor after Vacuum-Assisted Breast Biopsy. J. Pers. Med. 2022, 12, 301. [Google Scholar] [CrossRef]
- Halicek, M.; Qian, C.; Raissi, D.; Wang, X.; Chornenkyy, Y.; Bates, W.B.; Winkler, M. Rapid 3D reconstruction guided embolization for catastrophic bleeding following vacuum assisted breast biopsy; A case report and review of the literature. Radiol. Case Rep. 2021, 16, 3593–3596. [Google Scholar] [CrossRef] [PubMed]
- Chetlen, A.L.; Kasales, C.; Mack, J.; Schetter, S.; Zhu, J. Hematoma formation during breast core needle biopsy in women taking antithrombotic therapy. Am. J. Roentgenol. 2013, 201, 215–222. [Google Scholar] [CrossRef] [PubMed]
- Yap, L.P.; Rouse, H.; Cawson, J. An extensive breast hematoma following stereotactic 9 gauge vacuum assisted large-core biopsy. Breast J. 2010, 16, 199–200. [Google Scholar] [CrossRef] [PubMed]
- McMahon, P.; Reichman, M.; Dodelzon, K. Bleeding risk after percutaneous breast needle biopsy in patients on anticoagulation therapy. Clin. Imaging 2021, 70, 114–117. [Google Scholar] [CrossRef]
- Young Lin, L.L.; Gao, Y.; Lewin, A.A.; Toth, H.K.; Heller, S.L.; Moy, L. Overstated harms of breast cancer screening? a large outcomes analysis of complications associated with 9-gauge stereotactic vacuum-assisted breast biopsy. Am. J. Roentgenol. 2019, 212, 925–932. [Google Scholar]
- Ingram, A.D.; Mahoney, M.C. An overview of breast emergencies and guide to management by interventional radiologists. Tech. Vasc. Interv. Radiol. 2014, 17, 55–63. [Google Scholar] [CrossRef]
- Vanni, G.; Pedini, D.; Materazzo, M.; Farinaccio, A.; Perretta, T.; Pistolese, C.A.; Buonomo, O.C. Unusual Presentation of a Post-procedural Breast Hematoma: A Case Report. In Vivo 2021, 35, 2957–2961. [Google Scholar] [CrossRef]
- Fischman, A.M.; Epelboym, Y.; Siegelbaum, R.H.; Weintraub, J.L.; Kim, E.; Nowakowski, F.S. Emergent embolization of arterial bleeding after vacuum-assisted breast biopsy. Cardiovasc. Interv. Radiol. 2012, 35, 194–197. [Google Scholar] [CrossRef]
- Adler, K.; Samreen, N.; Glazebrook, K.N.; Bhatt, A.A. Imaging features and treatment options for breast pseudoaneurysms after biopsy: A case-based pictorial review. J. Ultrasound Med. 2020, 39, 181–190. [Google Scholar] [CrossRef]




Disclaimer/Publisher’s Note: The statements, opinions and data contained in all publications are solely those of the individual author(s) and contributor(s) and not of MDPI and/or the editor(s). MDPI and/or the editor(s) disclaim responsibility for any injury to people or property resulting from any ideas, methods, instructions or products referred to in the content. |
© 2023 by the authors. Licensee MDPI, Basel, Switzerland. This article is an open access article distributed under the terms and conditions of the Creative Commons Attribution (CC BY) license (https://creativecommons.org/licenses/by/4.0/).
Share and Cite
Pansa, E.; Guzzardi, G.; Santocono, S.; Carriero, A. Vascular Complications following Vacuum-Assisted Breast Biopsy (VABB): A Case Report and Review of the Literature. Tomography 2023, 9, 1246-1253. https://doi.org/10.3390/tomography9040099
Pansa E, Guzzardi G, Santocono S, Carriero A. Vascular Complications following Vacuum-Assisted Breast Biopsy (VABB): A Case Report and Review of the Literature. Tomography. 2023; 9(4):1246-1253. https://doi.org/10.3390/tomography9040099
Chicago/Turabian StylePansa, Ernesto, Giuseppe Guzzardi, Silvia Santocono, and Alessandro Carriero. 2023. "Vascular Complications following Vacuum-Assisted Breast Biopsy (VABB): A Case Report and Review of the Literature" Tomography 9, no. 4: 1246-1253. https://doi.org/10.3390/tomography9040099
APA StylePansa, E., Guzzardi, G., Santocono, S., & Carriero, A. (2023). Vascular Complications following Vacuum-Assisted Breast Biopsy (VABB): A Case Report and Review of the Literature. Tomography, 9(4), 1246-1253. https://doi.org/10.3390/tomography9040099
