Frequency and Pattern of MRI Diffusion Restrictions after Diagnostic Catheter Neuroangiography
Abstract
1. Introduction
2. Materials and Methods
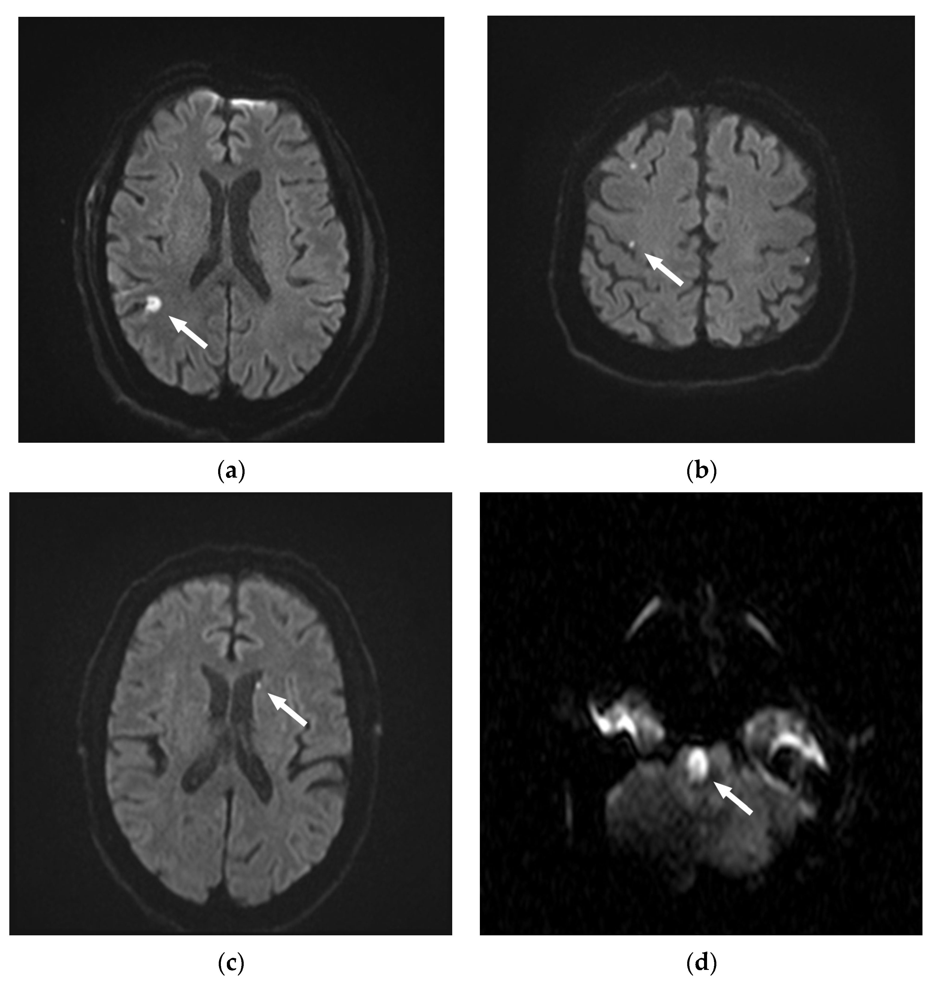
3. Results
4. Discussion
5. Conclusions
Author Contributions
Funding
Institutional Review Board Statement
Informed Consent Statement
Data Availability Statement
Conflicts of Interest
References
- White, P.M.; Teasdale, E.M.; Wardlaw, J.M.; Easton, V. Intracranial Aneurysms: CT Angiography and MR Angiography for Detection—Prospective Blinded Comparison in a Large Patient Cohort. Radiology 2001, 219, 739–749. [Google Scholar] [CrossRef] [PubMed]
- Krings, T.; Willmes, K.; Becker, R.; Meister, I.G.; Hans, F.J.; Reinges, M.H.T.; Mull, M.; Thron, A. Silent microemboli related to diagnostic cerebral angiography: A matter of operator’s experience and patient’s disease. Neuroradiology 2006, 48, 387–393. [Google Scholar] [CrossRef] [PubMed]
- Kato, K.; Tomura, N.; Takahashi, S.; Sakuma, I.; Watarai, J. Ischemic lesions related to cerebral angiography: Evaluation by diffusion weighted MR imaging. Neuroradiology 2003, 45, 39–43. [Google Scholar] [CrossRef]
- Kaufmann, T.J.; Huston, J.; Mandrekar, J.N.; Schleck, C.D.; Thielen, K.R.; Kallmes, D.F. Complications of Diagnostic Cerebral Angiography: Evaluation of 19 826 Consecutive Patients. Radiology 2007, 243, 812–819. [Google Scholar] [CrossRef]
- Leffers, A.M.; Wagner, A. Neurologic complications of cerebral angiography. A retrospective study of complication rate and patient risk factors. Acta Radiol. 2000, 41, 204–210. [Google Scholar] [CrossRef] [PubMed]
- Dawkins, A.A.; Evans, A.L.; Wattam, J.; Romanowski, C.A.J.; Connolly, D.J.A.; Hodgson, T.J.; Coley, S.C. Complications of cerebral angiography: A prospective analysis of 2924 consecutive procedures. Neuroradiology 2007, 49, 753–759. [Google Scholar] [CrossRef] [PubMed]
- Willinsky, R.A.; Taylor, S.M.; Terbrugge, K.; Farb, R.I.; Tomlinson, G.; Montanera, W. Neurologic Complications of Cerebral Angiography: Prospective Analysis of 2899 Procedures and Review of the Literature. Radiology 2003, 227, 522–528. [Google Scholar] [CrossRef]
- Bendszus, M.; Koltzenburg, M.; Burger, R.; Warmuth-Metz, M.; Hofmann, E.; Solymosi, L. Silent embolism in diagnostic cerebral angiography and neurointerventional procedures: A prospective study. Lancet 1999, 354, 1594–1597. [Google Scholar] [CrossRef]
- Bendszus, M.; Koltzenburg, M.; Bartsch, A.J.; Goldbrunner, R.; Günthner-Lengsfeld, T.; Weilbach, F.X.; Roosen, K.; Toyka, K.V.; Solymosi, L. Heparin and air filters reduce embolic events caused by intra-arterial cerebral angiography: A prospective, randomized trial. Circulation 2004, 110, 2210–2215. [Google Scholar] [CrossRef]
- Britt, P.M.; Heiserman, J.E.; Snider, R.M.; Shill, H.A.; Bird, C.R.; Wallace, R.C. Incidence of Postangiographic Abnormalities Revealed by Diffusion-Weighted MR Imaging. Am. J. Neuroradiol. 2000, 21, 55–59. [Google Scholar]
- Chuah, K.C.; Stuckey, S.L.; Berman, I.G. Silent embolism in diagnostic cerebral angiography: Detection with diffusion-weighted imaging. Australas. Radiol. 2004, 48, 133–138. [Google Scholar] [CrossRef] [PubMed]
- Hahnel, S.; Bender, J.; Jansen, O.; Hartmann, M.; Knauth, M.; Büsing, K.; Sartor, K. Clinically silent cerebral embolisms after cerebral catheter angiography. Rofo 2001, 173, 300–305. [Google Scholar] [PubMed]
- Tafelmeier, S.; Kesseler, E.; Iancu, A.-M.; Nikoubashman, O.; Wiesmann, M. Spectrum of Complications and Complication Rates After Diagnostic Catheter Angiography in Neuroradiology. Clin. Neuroradiol. 2023. Online ahead of print. [Google Scholar] [CrossRef] [PubMed]
- Dion, J.; Gates, P.C.; Fox, A.J.; Barnett, H.J.; Blom, R.J. Clinical events following neuroangiography: A prospective study. Stroke 1987, 18, 997–1004. [Google Scholar] [CrossRef] [PubMed]
- Heiserman, J.E.; Dean, B.L.; A Hodak, J.; A Flom, R.; Bird, C.R.; Drayer, B.P.; Fram, E.K. Neurologic complications of cerebral angiography. Am. J. Neuroradiol. 1994, 15, 1401–1407, discussion 1408–1411. [Google Scholar]
- Earnest, F.; Forbes, G.; Sandok, B.; Piepgras, D.; Faust, R.; Ilstrup, D.; Arndt, L. Complications of cerebral angiography: Prospective assessment of risk. Am. J. Roentgenol. 1984, 142, 247–253. [Google Scholar] [CrossRef]
- van Everdingen, K.; van der Grond, J.; Kappelle, L.; Ramos, L.; Mali, W. Diffusion-Weighted Magnetic Resonance Imaging in Acute Stroke. Stroke 1998, 29, 1783–1790. [Google Scholar] [CrossRef]
- Fiebach, J.B.; Schellinger, P.D.; Jansen, O.; Meyer, M.; Wilde, P.; Bender, J.; Schramm, P.; Jüttler, E.; Oehler, J.; Hartmann, M.; et al. CT and diffusion-weighted MR imaging in randomized order: Diffusion-weighted imaging results in higher accuracy and lower interrater variability in the diagnosis of hyperacute ischemic stroke. Stroke 2002, 33, 2206–2210. [Google Scholar] [CrossRef]
- Warach, S.; Gaa, J.; Siewert, B.; Wielopolski, P.; Edelman, R.R. Acute human stroke studied by whole brain echo planar diffusion-weighted magnetic resonance imaging. Ann. Neurol. 1995, 37, 231–241. [Google Scholar] [CrossRef]
- Moseley, M.E.; Kucharczyk, J.; Mintorovitch, J.; Cohen, Y.; Kurhanewicz, J.; Derugin, N.; Asgari, H.; Norman, D. Diffusion-weighted MR imaging of acute stroke: Correlation with T2-weighted and magnetic suscepti-bility-enhanced MR imaging in cats. AJNR Am. J. Neuroradiol. 1990, 11, 423–429. [Google Scholar]
- Bendszus, M.; Stoll, G. Silent cerebral ischaemia: Hidden fingerprints of invasive medical procedures. Lancet Neurol. 2006, 5, 364–372. [Google Scholar] [CrossRef] [PubMed]
- Khan, M.; Schmidt, D.H.; Bajwa, T.; Shalev, Y. Coronary air embolism: Incidence, severity, and suggested approaches to treatment. Catheter. Cardiovasc. Diagn. 1995, 36, 313–318. [Google Scholar] [CrossRef] [PubMed]
- Brockmann, C.; Seker, F.; Weiss, C.; Groden, C.; Scharf, J. Acetylsalicylic Acid Does Not Prevent Digital Subtraction Angiography-Related High Signal Intensity Lesions in Diffusion-Weighted Imaging in Cerebrovascular Patients. Clin. Neuroradiol. 2011, 22, 15–20. [Google Scholar] [CrossRef] [PubMed]
- Ries, T.; Buhk, J.-H.; Kucinski, T.; Goebell, E.; Grzyska, U.; Zeumer, H.; Fiehler, J. Intravenous Administration of Acetylsalicylic Acid During Endovascular Treatment of Cerebral Aneurysms Reduces the Rate of Thromboembolic Events. Stroke 2006, 37, 1816–1821. [Google Scholar] [CrossRef]
- Nikoubashman, O.; Kraitem, A.; Arslanian, R.; Gounis, M.J.; Sichtermann, T.; Wiesmann, M. Preventing Inadvertent Foreign Body Injection in Angiography. Radiology 2021, 299, 460–467. [Google Scholar] [CrossRef]


| Factor | No DWI Lesions [n = 285] | DWI Lesions [n = 59] | p-Value |
|---|---|---|---|
| Demographics: | |||
| Age, years (median, IQR, range) | 55, IQR: 20, 0–84 | 61, IQR: 14, 40–82 | <0.001 * |
| Female sex, n (%) | 162 (56.8%) | 33 (55.9%) | 0.898 |
| Indications: | |||
| Hemorrhage, n (%) | 94 (32.2%) | 24 (40.7%) | 0.257 |
| Vasculitis, n (%) | 9 (3.1%) | 3 (5.1%) | 0.463 |
| Tumor, n (%) | 4 (1.4%) | 0 (0%) | 0.360 |
| Stenosis, n (%) | 34 (11.9%) | 8 (13.6%) | 0.728 |
| Aneurysm, n (%) | 21 (7.3%) | 3 (5.1%) | 0.531 |
| Vascular anomaly, n (%) | 40 (14.0%) | 8 (13.6%) | 0.924 |
| Postoperative control, n (%) | 22 (7.7%) | 3 (5.1%) | 0.478 |
| Progress control, n (%) | 56 (19.6%) | 9 (15.3%) | 0.433 |
| Other, n (%) | 5 (1.7%) | 1 (1.7%) | 0.975 |
| Risk factors: | |||
| Atherosclerosis, n (%) | 17 (6.0%) | 9 (15.3%) | 0.014 * |
| Vasculitis, n (%) | 3 (1.1%) | 1 (1.7%) | 0.675 |
| Diabetes mellitus, n (%) | 31 (10.8%) | 8 (13.6%) | 0.554 |
| Hypertension, n (%) | 143 (50.1%) | 37 (62.7%) | 0.079 |
| Hereditary vascular disease, n (%) | 4 (1.4%) | 1 (1.7%) | 0.865 |
| Pulmonary embolism, n (%) | 10 (3.5%) | 2 (3.4%) | 0.964 |
| Atrial fibrillation, n (%) | 8 (2.8%) | 2 (3.4%) | 0.812 |
| Persistent foramen ovale, n (%) | 3 (1.1%) | 0 (0%) | 0.429 |
| Coagulation abnormalities, n (%) | 8 (2.8%) | 2 (3.4%) | 0.808 |
| Cerebral infarction, n (%) | 32 (11.2%) | 13 (22%) | 0.026 * |
| Heart attack/ | |||
| coronary heart disease (CHD), n (%) | 10 (3.5%) | 6 (10.2%) | 0.027 * |
| Deep vein thrombosis, n (%) | 7 (2.52%) | 1 (1.7%) | 0.724 |
| Peripheral arterial disease, n (%) | 4 (1.4%) | 0 (0%) | 0.360 |
| Factor | No DWI Lesions [n = 285] | DWI Lesions [n = 59] | p-Value |
|---|---|---|---|
| No. of catheters used: | 0.066 | ||
| 1 | 231 (81.1%) | 42 (71.2%) | |
| >1 [max. 7] | 54 (18.9%) | 17 (28.8%) | |
| Angiographic approach: | 0.255 | ||
| Femoral right, n (%) | 257 (90.2%) | 56 (94.9%) | |
| Femoral left, n (%) | 22 (7.7%) | 2 (3.4%) | |
| Femoral both sides, n (%) | 3 (1.1%) | 0 (0%) | |
| Brachial, n (%) | 1 (0.4%) | 0 (0%) | |
| Radial right, n (%) | 1 (0.4%) | 0 (0%) | |
| Radial left, n (%) | 1 (0.4%) | 0 (0%) | |
| Direct carotid, n (%) | 0 (0%) | 1 (1.7%) | |
| No. of probed vessels, median (range) | 5 (1–25) | 5 (1–8) | 0.0980 |
| Probing time [minutes], median (IQR) | 30, IQR: 31.5 | 39, IQR: 36.3 | 0.290 |
| Fluoroscopy time [minutes], median (IQR) | 9.4, IQR: 8.7 | 12, IQR: 9.9 | 0.033 * |
| Radiation exposure [µGym2], median (IQR) | 6054.7, IQR: 6726.5 | 6685, IQR: 6742.5 | 0.266 |
| Contrast material [ml], median (IQR) | 100, IQR: 100 | 150, IQR: 100 | 0.047 * |
| Weekend shift or night shift, n (%) | 45 (15.8%) | 9 (15.3%) | 0.918 |
| 1.5 T, n (%) | 125 (43.9%) | 26 (44.1%) | 0.977 |
| 3 T, n (%) | 160 (56.1%) | 33 (55.9%) | 0.977 |
Disclaimer/Publisher’s Note: The statements, opinions and data contained in all publications are solely those of the individual author(s) and contributor(s) and not of MDPI and/or the editor(s). MDPI and/or the editor(s) disclaim responsibility for any injury to people or property resulting from any ideas, methods, instructions or products referred to in the content. |
© 2023 by the authors. Licensee MDPI, Basel, Switzerland. This article is an open access article distributed under the terms and conditions of the Creative Commons Attribution (CC BY) license (https://creativecommons.org/licenses/by/4.0/).
Share and Cite
Kesseler, E.; Tafelmeier, S.; Nikoubashman, O.; Iancu, A.-M.; Pinho, J.; Wiesmann, M. Frequency and Pattern of MRI Diffusion Restrictions after Diagnostic Catheter Neuroangiography. Tomography 2023, 9, 1010-1018. https://doi.org/10.3390/tomography9030082
Kesseler E, Tafelmeier S, Nikoubashman O, Iancu A-M, Pinho J, Wiesmann M. Frequency and Pattern of MRI Diffusion Restrictions after Diagnostic Catheter Neuroangiography. Tomography. 2023; 9(3):1010-1018. https://doi.org/10.3390/tomography9030082
Chicago/Turabian StyleKesseler, Elisabeth, Svenja Tafelmeier, Omid Nikoubashman, Anca-Maria Iancu, João Pinho, and Martin Wiesmann. 2023. "Frequency and Pattern of MRI Diffusion Restrictions after Diagnostic Catheter Neuroangiography" Tomography 9, no. 3: 1010-1018. https://doi.org/10.3390/tomography9030082
APA StyleKesseler, E., Tafelmeier, S., Nikoubashman, O., Iancu, A.-M., Pinho, J., & Wiesmann, M. (2023). Frequency and Pattern of MRI Diffusion Restrictions after Diagnostic Catheter Neuroangiography. Tomography, 9(3), 1010-1018. https://doi.org/10.3390/tomography9030082

