Are Transperineal Ultrasound Parameters Useful to Predict Incontinence in Patients with Single-Incision Mini-Slings?
Abstract
1. Introduction
2. Materials and Methods
2.1. Subjects
2.2. Data Collection
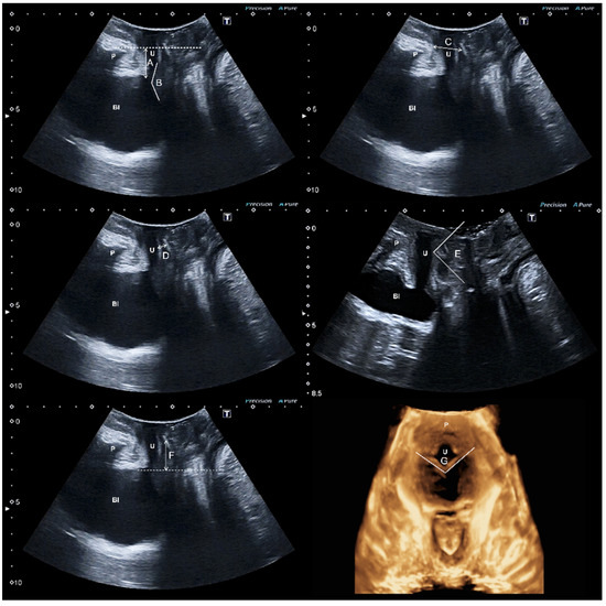
2.3. Ultrasound Assessment
2.4. Statistical Analysis
3. Results
4. Discussion
5. Conclusions
Author Contributions
Funding
Institutional Review Board Statement
Informed Consent Statement
Data Availability Statement
Conflicts of Interest
References
- Thüroff, J.W.; Abrams, P.; Andersson, K.E.; Artibani, W.; Chapple, C.R.; Drake, M.J.; Hample, C.; Nesius, A.; Schorder, A.; Tubaro, A. EAU guidelines on urinary incontinence. Euro. Urol. 2011, 59, 387–400. [Google Scholar] [CrossRef]
- Lo, T.; Tan, Y.L.; Wu, P.; Feliz, E.; Cortes, M.; Boi, L.; Alkharabsheh, A. Ultrasonography and clinical outcomes following surgical anti-incontinence procedures (Monarc vs Miniarc). Eur. J. Obstet. Gynecol. Reprod. Biol. 2014, 182, 91–97. [Google Scholar] [CrossRef] [PubMed]
- Kociszewski, J.; Kolben, S.; Barski, D.; Viereck, V.; Barcz, E. Complications following Tension-Free Vaginal Tapes: Accurate Diagnosis and Complications Management. Biomed Res. Int. 2015, 2015, 538391. [Google Scholar] [CrossRef] [PubMed]
- Kociszewski, J.; Rautenberg, O.; Perucchini, D.; Eberhard, J.; Geissbűhler, V.; Hilgers, R.; Viereck, V. Tape functionality: Sonographic tape characteristics and outcome after TVT incontinence surgery. Neurourol. Urodyn. 2008, 27, 485–490. [Google Scholar] [CrossRef]
- Hegde, A.; Nogueiras, M.; Aguilar, V.C.; Davila, G.W. Dynamic assessment of sling function on transperineal ultrasound: Does it correlate with outcomes 1 year following surgery? Int. Urogynecol. J. 2017, 28, 857–864. [Google Scholar] [CrossRef] [PubMed]
- Chantarasorn, V.; Shek, K.L.; Dietz, H.P. Sonographic appearance of transobturator slings: Implications for function and dysfunction. Int. Urogynecol. J. 2011, 22, 493–498. [Google Scholar] [CrossRef]
- Chene, G.; Cotte, B.; Tardieu, A.S.; Savary, D. Mansoor A. Clinical and ultrasonographic correlations following three surgical anti-incontinence procedures (TOT, TVT and TVT-O). Int. Urogynecol. J. 2008, 19, 1125–1131. [Google Scholar] [CrossRef]
- Dietz, H.P.; Mouritsen, L.; Ellis, G.; Wilson, P.D. Does the tension-free vaginal tape stay where you put it? Am. J. Obstet. Gynecol. 2003, 188, 950–953. [Google Scholar] [CrossRef] [PubMed]
- Dietz, H.P.; Wilson, P.D. The “iris effect”: How two-dimensional and three-dimensional ultrasound can help us understand anti-incontinence procedures. Ultrasound Obstet. Gynecol. 2004, 23, 267–271. [Google Scholar] [CrossRef]
- Dietz, H.P.; Mouritsen, L.; Ellis, G.; Wilson, P.D. How important is TVT location? Acta Obstet. Gynecol. Scand. 2004, 83, 904–908. [Google Scholar] [CrossRef]
- Virtanen, H.S.; Kiilholma, P. Urogynecologic ultrasound is a useful aid in the assessment of female stress urinary incontinence-A prospective study with TVT procedure. Int. Urogynecol. J. 2002, 13, 218–223. [Google Scholar] [CrossRef] [PubMed]
- Flock, F.; Kohorst, F.; Kreienberg, R.; Reich, A. Ultrasound Assessment of Tension-Free Vaginal Tape (TVT). Ultraschall Med. 2011, 32, 35–40. [Google Scholar] [CrossRef]
- Bump, R.C.; Mattiasson, A.; Bø, K.; Brubaker, L.P.; DeLancey, J.O.; Klarskov, P.; Shull, B.L.; Smith, A.R.B. The standardization of terminology of female pelvic organ prolapse and pelvic floor dysfunction. Am. J. Obstet. Gynecol. 1996, 175, 10–17. [Google Scholar] [CrossRef]
- García-Mejido, J.A.; Bonomi-Barby, M.J.; Armijo-Sanchez, A.; Borrero-Fernández, C.; Castro-Portillo, L.; Vargas-Broquetas, M.; Sainz, J.A. Metodología para el estudio ecográfico transperineal del suelo pélvico. Clin. Invest. Ginecol. Obstet. 2021, 48, 190–195. [Google Scholar] [CrossRef]
- Orejuela, F.; Shek, K.L.; Dietz, H.P. The time factor in the as-Sessment of prolapse and levator ballooning. Int. Urogynecol. J. 2012, 23, 175–178. [Google Scholar] [CrossRef]
- Dietz, H. Ultrasound imaging of the pelvic floor: Part I: Two-dimensional aspects. Ultrasound Obstet. Gynecol. 2004, 23, 80–92. [Google Scholar] [CrossRef]
- Sendag, F.; Vidinli, H.; Kazandi, M.; Itil, I.M.; Askar, N.; Vidinli, B.; Pourbagher, A. Role of perineal sonography in the evaluation of patients with stress urinary incontinence. Aust. N. Z. J. Obstet. Gynaecol. 2003, 43, 54–57. [Google Scholar] [CrossRef]
- Yang, J.M.; Yang, S.H.; Huang, W.C.; Tzeng, C.R. Correlation of tape location and tension with surgical outcome after transobturator suburethral tape procedures. Ultrasound Obstet. Gynecol. 2012, 39, 458–465. [Google Scholar] [CrossRef]
- Pędraszewski, P.; Wlaźlak, E.; Wlaźlak, W.; Krzycka, M.; Pająk, P.; Surkont, G. The role of TVT position in relation to the pubic symphysis in eliminating the symptoms of stress urinary incontinence and urethral funneling. J. Ultrason. 2019, 19, 207–211. [Google Scholar] [CrossRef]
- Tan, Y.H.; Frazer, M.I.; Hughes, I.; Wong, V. Correlation between translabial ultrasound parameters and outcomes in retropubic mid-urethral slings: Can we predict success? World J. Urol. 2021, 39, 163–168. [Google Scholar] [CrossRef]
- Huang, W.C.; Yang, J.M.; Chen, H.F. Five-year clinical and imaging outcomes of primary transobturator midurethral sling procedures for uncomplicated urodynamic stress incontinence. Maturitas. 2020, 138, 42–50. [Google Scholar] [CrossRef]
- Spelzini, F.; Cesana, M.C.; Verri, D.; Polizzi, S.; Frigerio, M.; Milani, R. Three-dimensional ultrasound assessment and middle term efficacy of a single-incision sling. Int. Urogynecol. J. Pel. Floor Dysfunc. 2013, 24, 1391–1397. [Google Scholar] [CrossRef] [PubMed]
- Pawlaczyk, A.; Wąż, P.; Matuszewski, M. Introital ultrasound in the diagnosis of lower urinary tract symptoms following anti-incontinence surgery using a synthetic midurethral tape. Int. Urogynecol. J. 2019, 30, 1503–1508. [Google Scholar] [CrossRef] [PubMed]
- Kociszewski, J.; Fabian, G.; Grothey, S.; Kuszka, A.; Zwierzchowska, A.; Majkusiak, W.; Barcz, E. Are complications of stress urinary incontinence surgery procedures associated with the position of the sling? Int. J. Urol. 2017, 24, 145–150. [Google Scholar] [CrossRef] [PubMed]
- Tamma, A.; Bjelic-Radisic, V.; Hlbfer, S.; Trutnovsky, G.; Tamussino, K.; Aigmuűller, T.; Ulrich, D. Sonographic sling position and cure rate 10-years after TVT-O. Procedure. 2019, 14, 1–14. [Google Scholar] [CrossRef] [PubMed]
- Rodrigues, C.A.; Bianchi-Ferraro, A.M.H.; Zucchi, E.V.M.; Sartori, M.G.F.; Girão, M.J.B.C.; Jarmy-Di Bella, Z.I.K. Pelvic Floor 3D Ultrasound of Women with a TVT, TVT-O, or TVT-S for Stress Urinary Incontinence at the Three-year Follow-up. Rev. Bras. Ginecol. Obstet. 2017, 39, 471–479. [Google Scholar] [CrossRef]
- Ong, H.L.; Jiang, Y.H.; Kuo, H.C. Repeat retropubic suburethral sling procedure is effective for recurrent female stress urinary incontinence. Low. Urin. Tract. Symptoms 2019, 11, 89–92. [Google Scholar] [CrossRef]
- Tunitsky-Bitton, E.; Unger, C.A.; Barber, M.D.; Goldman, H.B.; Walters, M.D. Ultrasound Evaluation of Midurethral Sling Position and Correlation to Physical Examination and Patient Symptoms. Female Pelvic. Med. Reconstr. Surg. 2015, 21, 263–268. [Google Scholar] [CrossRef]
- Dietz, H.P.; Bernardo, M.J.; Kirby, A.; Shek, K.L. Minimal criteria for the diagnosis of avulsion of the puborectalis muscle by tomographic ultrasound. Int. Urogynecol. J. 2011, 22, 699–704. [Google Scholar] [CrossRef]
- Dietz, H.P.; Pattillo, G.A.; Guzmán, R.R. Is it necessary to diagnose levator avulsion on pelvic floor muscle contraction? Ultrasound Obstet. Gynecol. 2017, 49, 252–256. [Google Scholar] [CrossRef]
- Dietz, H.P.; Garnham, A.P.; Rojas, R.G. Is the levator-urethra gap helpful for diagnosing avulsion? Int. Urogynecol. J. 2016, 27, 909–913. [Google Scholar] [CrossRef] [PubMed]

| Post-Surgical Clinical Diagnosis | p | IC 95% | ||
|---|---|---|---|---|
| Asymptomatic (n: 63) | Symptomatic (n: 29) | |||
| Age (years) | 57.4 ± 8.8 | 58.2 ± 11.4 | 0.950 | −5.0; 5.0 |
| BMI | 28.4 ± 4.4 | 30.7 ± 3.5 | 0.015 | −4.1; −0.5 |
| Deliveries | 2.2 ± 0.9 | 2.3 ± 1.1 | 0.291 | −1.0; 0 |
| Menopause | 38/59 (64.4%) | 19/29 (65.5%) | 1 | −22.9%; 20.7% |
| Age at menopause (years) | 49.5 ± 4.4 | 49.1 ± 3.8 | 0.919 | −3.0; 3.0 |
| Histerectomizada | 3/63 (4.8%) | 2/29 (6.9%) | 0.649 | −12.3%; 8.1% |
| Cystocele | 4/63 (6.3%) | 4/29 (13.8%) | 0.436 | −22.0%; 7.1% |
| Hysterocele | 0/63 (0%) | 1/29 (3.4%) | 0.315 | −10.5%; 3.6% |
| Rectocele | 0/63 (0%) | 1/29 (3.4%) | 0.315 | −10.5%; 3.6% |
| Enterocele | 0/63 (0%) | 0/29 (0%) | ---- | ---- |
| Elongation cervical | 0/63 (0%) | 0/29 (0%) | ---- | ---- |
| Pre-surgical clinical diagnosis | ||||
| SUI | 55/63 (87.3%) | 20/29 (69.0%) | 0.046 | 0.01%; 37.0% |
| UUI | 0/63 (0%) | 0/29 (0%) | ---- | |
| MUI | 8/63 (12.7%) | 9/29 (31.0%) | −37.0%; −0.01% | |
| Presurgical Urodynamics | ||||
| Asymptomatic | 4/52 (7.7%) | 2/29 (6.9%) | 0.543 | −10.9%; 12.5% |
| SUI | 44/52 (84.6%) | 22/29 (75.9%) | −9.7%; 27.1% | |
| UUI | 1/52 (1.9%) | 1/29 (3.4%) | −9.1%; 6.1% | |
| MUI | 3/52 (5.8%) | 4/29 (13.8%) | −7.4%; 11.4% | |
| Unrealized | 11/63 (17.5%) | 0/29 (0%) | 8.1%; 26.9% | |
| Post-Surgical Clinical Diagnosis | p | IC 95% | ||
|---|---|---|---|---|
| Asymptomatic (n: 63) | Symptomatic (n: 29) | |||
| Bladder neck–symphyseal distance (rest) | 23.8 ± 4.9 | 23.5 ± 6.9 | 0.846 | −2.6; 3.2 |
| Bladder neck–symphyseal distance (Valsalva) | 15.8 ± 7.4 | 14.5 ± 7.9 | 0.444 | −2.1; 4.7 |
| Posterior urethro–vesical angle (rest) | 118.5 ± 17.7 | 114.3 ± 13.9 | 0.509 | −4.0; 9.5 |
| Posterior urethro–vesical angle (Valsalva) | 132.2 ± 25.0 | 130.5 ± 19.9 | 0.940 | −12.0; 10.5 |
| Gap between the symphysis pubis–tape (rest) | 14.1 ± 4.3 | 14.2 ± 3.0 | 0.635 | −1.8; 1.2 |
| Gap between the symphysis pubis–tape (Valsalva) | 12.8 ± 3.2 | 12.8 ± 3.4 | 0.656 | −1.5; 1.0 |
| Tape–urethral–lumen distance (rest) | 3.1 ± 0.8 | 3.2 ± 1.1 | 0.778 | −0.5; 0.4 |
| Tape–urethral–lumen distance (Valsalva) | 2.6 ± 0.9 | 2.8 ± 1.1 | 0.391 | −0.6; 0.2 |
| Sagital Tape angle (rest) | 132.5 ± 35.7 | 154.9 ± 25.6 | 0.002 | −31.6; −6.1 |
| Sagital Tape angle (Valsalva) | 126.9 ± 40.9 | 139.2 ± 30.3 | 0.288 | −24.5; 6.2 |
| Tape position (reposo) | 55.1 ± 13.4 | 58.7 ± 12.8 | 0.236 | −9.5; 2.4 |
| Tape position (Valsalva) | 51.3 ± 14.5 | 48.6 ± 15.3 | 0.410 | −3.8; 9.3 |
| Movement concordant between the tape and the urethra | ||||
| Concordant | 53/63(84.1%) | 21/29 (72.4%) | 0.302 | |
| Discordant | 10/63 (15.9%) | 8/29 (27.6%) | −30.3; 6.9 | |
| Axial Tape angle (Rest) | 139.3 ± 19.0 | 129.8 ± 18.9 | 0.029 | 1.0; 17.9 |
| Axial Tape angle (Valsalva) | 145.1 ± 20.2 | 140.8 ± 22.0 | 0.485 | −5.8; 15.4 |
| LAM avulsión | 13/63 (20.6%) | 3/29 (10.3%) | 0.361 | −5.1; 25.7 |
| Levator hiatus area (rest) | 17.0 ± 2.9 | 17.5 ± 3.0 | 0.520 | −1.8; 0.9 |
| Levator hiatus area (Valsalva) | 20.8 ± 6.4 | 21.3 ± 5.0 | 0.480 | −3.0; 1.2 |
| Post–Surgical Clinical Diagnosis | p1 | p2 | p3 | ||||
|---|---|---|---|---|---|---|---|
| Asymptomatic (n: 63) | SUI (n: 8) | UUI (n: 12) | MUI (n: 9) | ||||
| Bladder neck–symphyseal distance (rest) | 23.8 ± 4.9 | 26.5 ± 3.5 | 21.1 ± 6.6 | 24.1 ± 9.1 | 0.481 | 0.332 | 0.998 |
| Bladder neck–symphyseal distance (Valsalva) | 15.8 ± 7.4 | 14.3 ± 12.1 | 14.3 ± 4.9 | 15.1 ± 7.5 | 0.932 | 0.882 | 0.989 |
| Posterior urethro–vesical angle (rest) | 118.5 ± 17.7 | 117.2 ± 6.2 | 114.7 ± 19.4 | 111.1 ± 10.6 | 0.995 | 0.845 | 0.515 |
| Posterior urethro–vesical angle (Valsalva) | 132.2 ± 25.0 | 146.2 ± 16.5 | 122.9 ± 17.4 | 126.7 ± 19.7 | 0.293 | 0.493 | 0.875 |
| Gap between the symphysis pubis–tape (rest) | 14.1 ± 4.3 | 13.4 ± 1.3 | 15.5 ± 4.0 | 13.1 ± 2.2 | 0.945 | 0.636 | 0.831 |
| Gap between the symphysis pubis–tape (Valsalva) | 12.8 ± 3.2 | 11.4 ± 1.4 | 13.7 ± 2.7 | 12.9 ± 2.2 | 0.523 | 0.712 | 1 |
| Tape–urethral–lumen distance (rest) | 3.1 ± 0.8 | 2.9 ± 0.6 | 3.8 ± 1.2 | 2.6 ± 1.0 | 0.931 | 0.061 | 0.346 |
| Tape–urethral–lumen distance (Valsalva) | 2.6 ± 0.9 | 2.8 ± 0.4 | 3.3 ± 1.5 | 2.3 ± 0.9 | 0.908 | 0.062 | 0.814 |
| Sagital Tape angle (rest) | 132.5 ± 35.7 | 168.9 ± 10.9 | 143.3 ± 29.8 | 157.8 ± 23.6 | 0.375 | 0.001 | 0.025 |
| Sagital Tape angle (Valsalva) | 126.9 ± 40.9 | 136.7 ± 9.1 | 138.8 ± 37.6 | 141.9 ± 34.6 | 0.869 | 0.694 | 0.616 |
| Tape position (reposo) | 55.1 ± 13.4 | 63.5 ± 10.8 | 59.1 ± 13.4 | 53.8 ± 13.3 | 0.258 | 0.704 | 0.989 |
| Tape position (Valsalva) | 51.3 ± 14.5 | 61.3 ± 9.9 | 48.1 ± 10.3 | 37.9 ± 17.3 | 0.173 | 0.847 | 0.026 |
| Movement concordant between the tape and the urethra | |||||||
| Concordant | 53/63 (84.1%) | 2/8 (25.0%) | 12/12 (100%) | 7/9 (77.8%) | 0.001 | 0.349 | 0.639 |
| Discordant | 10/63 (15.9%) | 6/8 (75.0%) | 0/12 (0%) | 2/9 (22.2%) | |||
| Axial Tape angle (Rest) | 139.3 ± 19.0 | 118.3 ± 15.4 | 133.4 ± 22.7 | 135.5 ± 12.4 | 0.003 | 0.283 | 0.678 |
| Axial Tape angle (Valsalva) | 145.1 ± 20.2 | 159.1 ± 9.0 | 133.8 ± 27.3 | 133.7 ± 11.6 | 0.034 | 0.134 | 0.102 |
| LAM avulsión | 13/63 (20.6%) | 0/8 (0%) | 2/12 (16.7%) | 1/9 (11.1%) | 0.336 | 1 | 0.679 |
| Levator hiatus area (rest) | 17.0 ± 2.9 | 17.3 ± 0.6 | 18.8 ± 3.0 | 15.9 ± 3.8 | 0.996 | 0.159 | 0.631 |
| Levator hiatus area (Valsalva) | 20.8 ± 6.4 | 23.1 ± 6.7 | 21.3 ± 2.3 | 19.7 ± 5.7 | 0.675 | 0.989 | 0.936 |
Publisher’s Note: MDPI stays neutral with regard to jurisdictional claims in published maps and institutional affiliations. |
© 2022 by the authors. Licensee MDPI, Basel, Switzerland. This article is an open access article distributed under the terms and conditions of the Creative Commons Attribution (CC BY) license (https://creativecommons.org/licenses/by/4.0/).
Share and Cite
García-Mejido, J.A.; Blasco-Hernandez, P.; Fernandez-Conde, C.; García-Pombo, S.; Fernández-Palacín, A.; Borrero, C.; Sainz-Bueno, J.A. Are Transperineal Ultrasound Parameters Useful to Predict Incontinence in Patients with Single-Incision Mini-Slings? Tomography 2022, 8, 2556-2564. https://doi.org/10.3390/tomography8050213
García-Mejido JA, Blasco-Hernandez P, Fernandez-Conde C, García-Pombo S, Fernández-Palacín A, Borrero C, Sainz-Bueno JA. Are Transperineal Ultrasound Parameters Useful to Predict Incontinence in Patients with Single-Incision Mini-Slings? Tomography. 2022; 8(5):2556-2564. https://doi.org/10.3390/tomography8050213
Chicago/Turabian StyleGarcía-Mejido, José Antonio, Pedro Blasco-Hernandez, Cristina Fernandez-Conde, Sara García-Pombo, Ana Fernández-Palacín, Carlota Borrero, and José Antonio Sainz-Bueno. 2022. "Are Transperineal Ultrasound Parameters Useful to Predict Incontinence in Patients with Single-Incision Mini-Slings?" Tomography 8, no. 5: 2556-2564. https://doi.org/10.3390/tomography8050213
APA StyleGarcía-Mejido, J. A., Blasco-Hernandez, P., Fernandez-Conde, C., García-Pombo, S., Fernández-Palacín, A., Borrero, C., & Sainz-Bueno, J. A. (2022). Are Transperineal Ultrasound Parameters Useful to Predict Incontinence in Patients with Single-Incision Mini-Slings? Tomography, 8(5), 2556-2564. https://doi.org/10.3390/tomography8050213

