Embolization of Large Internal Iliac Artery Pseudoaneurysm through a Retrograde Trans-Superior Gluteal Arterial Access
Abstract
1. Introduction
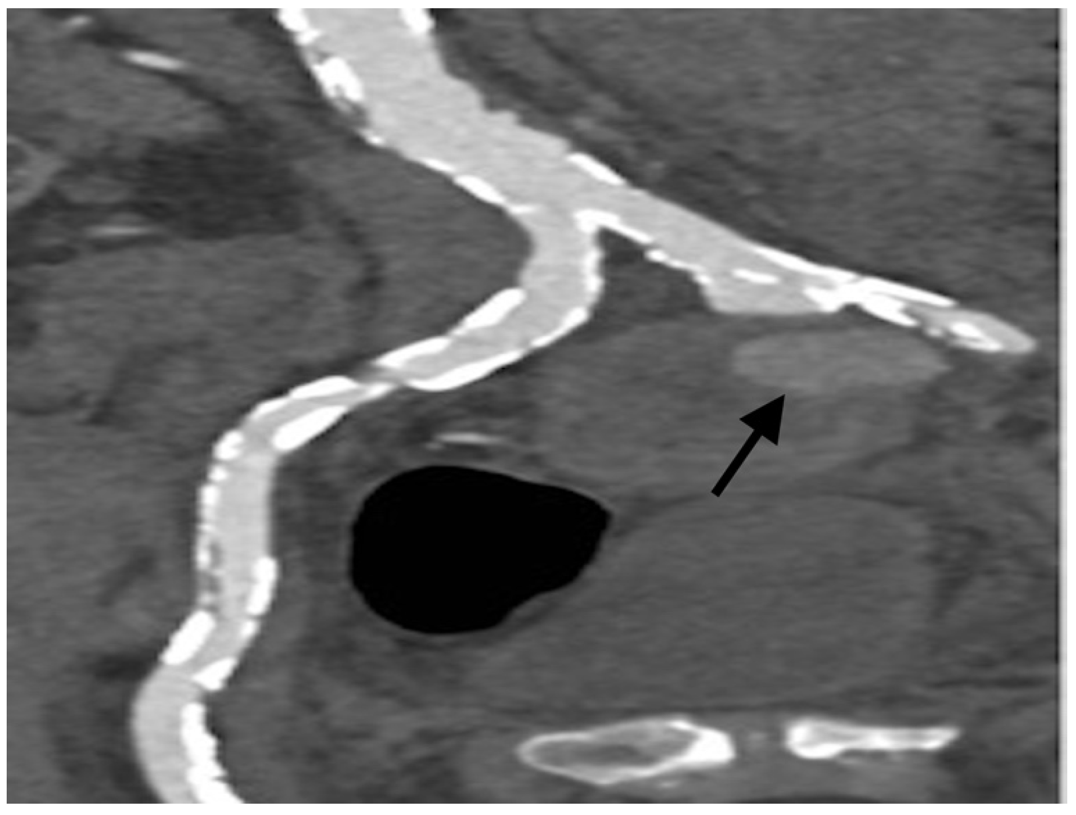
2. Case Presentation
3. Discussion
4. Conclusions
Author Contributions
Funding
Institutional Review Board Statement
Informed Consent Statement
Data Availability Statement
Conflicts of Interest
References
- Herskowitz, M.M.; Walsh, J.; Jacobs, D.T. Direct sonographic-guided superior gluteal artery access for treatment of a previously treated expanding internal iliac artery aneurysm. J. Vasc. Surg. 2014, 59, 235–237. [Google Scholar] [CrossRef] [PubMed]
- Machado, R.M.; Rego, D.N.; de Oliveira, P.; de Almeida, R. Endovascular Treatment of Internal Iliac Artery Aneurysms: Single Center Experience. Braz J. Cardiovasc. Surg. 2016, 31, 127–131. [Google Scholar] [CrossRef] [PubMed][Green Version]
- Richardson, J.W.; Greenfield, L.J. Natural history and management of iliac aneurysms. J. Vasc. Surg. 1988, 8, 165–171. [Google Scholar] [CrossRef]
- Dix, F.P.; Titi, M.; Al-Khaffaf, H. The isolated internal iliac artery aneurysm—A review. Eur. J. Vasc. Endovasc. Surg. 2005, 30, 119–129. [Google Scholar] [CrossRef] [PubMed]
- Magishi, K.; Izumi, Y.; Tanaka, K.; Shimizu, N.; Uchida, D. Surgical access of the gluteal artery to embolize a previously excluded, expanding internal iliac artery aneurysm. J. Vasc. Surg. 2007, 45, 387–390. [Google Scholar] [CrossRef] [PubMed]
- Kabutey, N.K.; Siracuse, J.J.; Gill, H.; Kundi, R.; Meltzer, A.J.; Schneider, D.B. Percutaneous transgluteal coil embolization of bilateral internal iliac artery aneurysms via direct superior gluteal artery access. J. Vasc. Surg. 2014, 60, 226–229. [Google Scholar] [CrossRef] [PubMed]
- Thomas, R.P.; Kocher, M.; Cerna, M.; Utikal, P. Unusual Access for the Treatment of Iliac Artery Aneurysm in Association with Type II Endoleak after Endovascular Repair of an Aortoiliac Aneurysm. Cardiovasc. Intervent. Radiol. 2019, 42, 313–316. [Google Scholar] [CrossRef] [PubMed]
- Maybody, M.; Madoff, D.C.; Thornton, R.H.; Morales, S.A.; Moskowitz, C.S.; Hsu, M.; Brody, L.A.; Brown, K.T.; Covey, A.M. Catheter-directed endovascular application of thrombin: Report of 3 cases and review of the literature. Clin. Imaging 2017, 42, 96–105. [Google Scholar] [CrossRef][Green Version]
- Rynio, P.; Falkowski, A.; Witowski, J.; Kazimierczak, A.; Wojcik, L.; Gutowski, P. Simulation and Training of Needle Puncture Procedure with a Patient-Specific 3D Printed Gluteal Artery Model. J. Clin. Med. 2020, 9, 686. [Google Scholar] [CrossRef]
- Chi, W.K.; Yan, B.P. Direct puncture of superior gluteal artery using a Doppler ultrasound-guided needle to access jailed internal iliac artery aneurysm. J. Vasc. Surg. Cases Innov. Tech. 2019, 5, 12–13. [Google Scholar] [CrossRef] [PubMed]
- Parlani, G.; Simonte, G.; Fiorucci, B.; De Rango, P.; Isernia, G.; Fischer, M.J.; Rebonato, A. Bilateral Staged Computed Tomography-Guided Gluteal Artery Puncture for Internal Iliac Embolization in a Patient with Type II Endoleak. Ann. Vasc. Surg. 2016, 36, e5–e293. [Google Scholar] [CrossRef] [PubMed]
- Werner-Gibbings, K.; Rogan, C.; Robinson, D. Novel Treatment of an Enlarging Internal Iliac Artery Aneurysm in Association with a Type 2 Endoleak via Percutaneous Embolisation of the Superior Gluteal Artery through a Posterior Approach. Case Rep. Vasc. Med. 2013, 2013, 861624. [Google Scholar] [CrossRef] [PubMed]
- Gemmete, J.J.; Arabi, M.; Cwikiel, W.B. Percutaneous transosseous embolization of internal iliac artery aneurysm type II endoleak: Report of two cases. Cardiovasc. Interv. Radiol. 2011, 34 (Suppl. S2), S122–S125. [Google Scholar] [CrossRef] [PubMed]




Publisher’s Note: MDPI stays neutral with regard to jurisdictional claims in published maps and institutional affiliations. |
© 2022 by the authors. Licensee MDPI, Basel, Switzerland. This article is an open access article distributed under the terms and conditions of the Creative Commons Attribution (CC BY) license (https://creativecommons.org/licenses/by/4.0/).
Share and Cite
Ghasemi-Rad, M.; Vadvala, H.V.; Lincoln, C.M.; Irani, Z. Embolization of Large Internal Iliac Artery Pseudoaneurysm through a Retrograde Trans-Superior Gluteal Arterial Access. Tomography 2022, 8, 2107-2112. https://doi.org/10.3390/tomography8050177
Ghasemi-Rad M, Vadvala HV, Lincoln CM, Irani Z. Embolization of Large Internal Iliac Artery Pseudoaneurysm through a Retrograde Trans-Superior Gluteal Arterial Access. Tomography. 2022; 8(5):2107-2112. https://doi.org/10.3390/tomography8050177
Chicago/Turabian StyleGhasemi-Rad, Mohammad, Harshna V. Vadvala, Christie M. Lincoln, and Zubin Irani. 2022. "Embolization of Large Internal Iliac Artery Pseudoaneurysm through a Retrograde Trans-Superior Gluteal Arterial Access" Tomography 8, no. 5: 2107-2112. https://doi.org/10.3390/tomography8050177
APA StyleGhasemi-Rad, M., Vadvala, H. V., Lincoln, C. M., & Irani, Z. (2022). Embolization of Large Internal Iliac Artery Pseudoaneurysm through a Retrograde Trans-Superior Gluteal Arterial Access. Tomography, 8(5), 2107-2112. https://doi.org/10.3390/tomography8050177
