Performance of Machine Learning and Texture Analysis for Predicting Response to Neoadjuvant Chemoradiotherapy in Locally Advanced Rectal Cancer with 3T MRI
Abstract
1. Introduction
2. Material and Methods
2.1. Study Population
2.2. Protocol Timeline
2.3. MRI Examination Acquisition Technique
2.4. Neoadjuvant Chemoradiotherapy Scheme
2.5. Surgical Technique and Histopathological Assessment
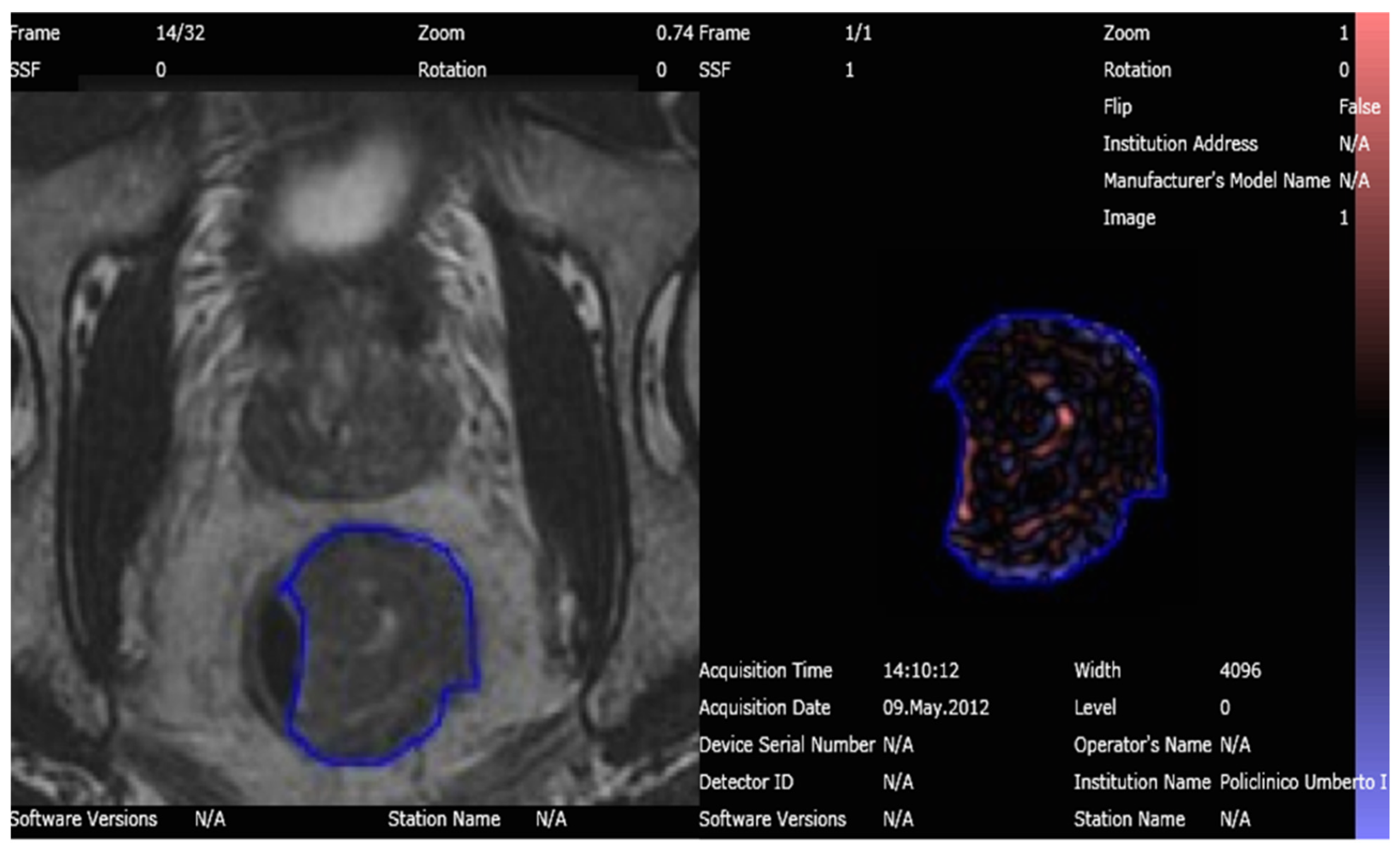
2.6. Texture Analysis
2.7. Artificial Intelligence Analysis
2.8. Statistical Analysis
3. Results
3.1. Study Population
3.2. Texture Analysis Values
4. Discussion
Author Contributions
Funding
Institutional Review Board Statement
Informed Consent Statement
Data Availability Statement
Conflicts of Interest
Abbreviations
| AI | Artificial Intelligence | 
| AUC | Area Under the ROC Curve | 
| CT | Computed Tomography | 
| LARC | Locally Advanced Rectal Cancer | 
| ML | Machine Learning | 
| MPP | Mean of Positive Pixels | 
| MRI | Magnetic Resonance Imaging | 
| nChRT | Neoadjuvant Chemoradiotherapy | 
| pCR | Pathological Complete Response | 
| pNR | Pathological Non-Response | 
| pPR | Pathological Partial Response | 
| ROC | Receiver Operating Characteristic Curve | 
| ROI | Region of Interest | 
| SF | Scale Filter | 
| TA | Texture Analysis | 
| TME | Total Mesorectal Excision | 
| TRG | Tumor Regression Grade | 
References
- Pham, T.T.; Liney, G.; Wong, K.; Rai, R.; Lee, M.; Moses, D.; Henderson, C.; Lin, M.; Shin, J.-S.; Barton, M.B. Study protocol: Multi-parametric magnetic resonance imaging for therapeutic response prediction in rectal cancer. BMC Cancer 2017, 17, 465. [Google Scholar] [CrossRef] [PubMed][Green Version]
 - Maas, M.; Nelemans, P.J.; Valentini, V.; Das, P.; Rodel, C.; Kuo, L.J.; Calvo, F.A.; García-Aguilar, J.; Glynne-Jones, R.; Haustermans, K.; et al. Long-term outcome in patients with a pathological complete response after chemoradiation for rectal cancer: A pooled analysis of individual patient data. Lancet Oncol. 2010, 11, 835–844. [Google Scholar] [CrossRef]
 - Renehan, A.G.; Malcomson, L.; Emsley, R.; Gollins, S.; Maw, A.; Myint, A.S.; Rooney, S.; Susnerwala, S.; Blower, A.; Saunders, M.P.; et al. Watch-and-wait approach versus surgical resection after chemoradiotherapy for patients with rectal cancer (the OnCoRe project): A propensity-score matched cohort analysis. Lancet Oncol. 2016, 17, 174–183. [Google Scholar] [CrossRef]
 - Habr-Gama, A.; Sabbaga, J.; Gama-Rodrigues, J.; Sao Juliao, G.P.; Proscurshim, I.; Bailao Aguilar, P.; Nadalin, W.; Perez, R.O. Watch and wait approach following extended neoadjuvant chemoradiation for distal rectal cancer: Are we getting closer to anal cancer management? Dis. Colon Rectum 2013, 56, 1109–1117. [Google Scholar] [CrossRef]
 - Lim, J.S.; Kim, D.; Baek, S.E.; Myoung, S.; Choi, J.; Shin, S.J.; Kim, M.J.; Kim, N.K.; Suh, J.; Kim, K.W.; et al. Perfusion MRI for the prediction of treatment response after preoperative chemoradiotherapy in locally advanced rectal cancer. Eur. Radiol. 2012, 22, 1693–1700. [Google Scholar] [CrossRef]
 - Monguzzi, L.; Ippolito, D.; Bernasconi, D.P.; Trattenero, C.; Galimberti, S.; Sironi, S. Locally advanced rectal cancer: Value of ADC mapping in prediction of tumor response to radiochemotherapy. Eur. J. Radiol. 2013, 82, 234–240. [Google Scholar] [CrossRef]
 - Gourtsoyianni, S.; Doumou, G.; Prezzi, D.; Taylor, B.; Stirling, J.J.; Taylor, N.J.; Siddique, M.; Cook, G.J.; Glynne-Jones, R.; Goh, V.; et al. Primary Rectal Cancer: Repeatability of Global and Local-Regional MR Imaging Texture Features. Radiology 2017, 284, 552–561. [Google Scholar] [CrossRef] [PubMed]
 - Jalil, O.; Afaq, A.; Ganeshan, B.; Patel, U.B.; Boone, D.; Endozo, R.; Groves, A.; Sizer, B.; Arulampalam, T. Magnetic resonance based texture parameters as potential imaging biomarkers for predicting long-term survival in locally advanced rectal cancer treated by chemoradiotherapy. Colorectal Dis. 2017, 19, 349–362. [Google Scholar] [CrossRef]
 - Li, M.; Fu, S.; Zhu, Y.; Liu, Z.; Chen, S.; Lu, L.; Liang, C. Computed tomography texture analysis to facilitate therapeutic decision making in hepatocellular carcinoma. Oncotarget 2016, 7, 13248–13259. [Google Scholar] [CrossRef]
 - Liu, L.; Liu, Y.; Xu, L.; Li, Z.; Lv, H.; Dong, N.; Li, W.; Yang, Z.; Wang, Z.; Jin, E.; et al. Application of texture analysis based on apparent diffusion coefficient maps in discriminating different stages of rectal cancer. J. Magn. Reson. Imaging 2017, 45, 1798–1808. [Google Scholar] [CrossRef]
 - Garajova, I.; Di Girolamo, S.; de Rosa, F.; Corbelli, J.; Agostini, V.; Biasco, G.; Brandi, G. Neoadjuvant treatment in rectal cancer: Actual status. Chemother. Res. Pract. 2011, 2011, 839742. [Google Scholar] [CrossRef] [PubMed]
 - De Cecco, C.N.; Ciolina, M.; Caruso, D.; Rengo, M.; Ganeshan, B.; Meinel, F.G.; Musio, D.; De Felice, F.; Tombolini, V.; Laghi, A.; et al. Performance of diffusion-weighted imaging, perfusion imaging, and texture analysis in predicting tumoral response to neoadjuvant chemoradiotherapy in rectal cancer patients studied with 3T MR: Initial experience. Abdom. Radiol. 2016, 41, 1728–1735. [Google Scholar] [CrossRef]
 - Heald, R.J.; Ryall, R.D. Recurrence and survival after total mesorectal excision for rectal cancer. Lancet 1986, 1, 1479–1482. [Google Scholar] [CrossRef]
 - Dworak, O.; Keilholz, L.; Hoffmann, A. Pathological features of rectal cancer after preoperative radiochemotherapy. Int. J. Colorectal Dis. 1997, 12, 19–23. [Google Scholar] [CrossRef]
 - Kociołek, M.; Strzelecki, M.; Obuchowicz, R. Does image normalization and intensity resolution impact texture classification? Comput. Med. Imaging Graph. 2020, 81, 101716. [Google Scholar] [CrossRef] [PubMed]
 - Sieren, J.C.; Smith, A.R.; Thiesse, J.; Namati, E.; Hoffman, E.A.; Kline, J.N.; McLennan, G. Exploration of the volumetric composition of human lung cancer nodules in correlated histopathology and computed tomography. Lung Cancer 2011, 74, 61–68. [Google Scholar] [CrossRef] [PubMed]
 - Miles, K.A.; Ganeshan, B.; Hayball, M.P. CT texture analysis using the filtration-histogram method: What do the measurements mean? Cancer Imaging 2013, 13, 400–406. [Google Scholar] [CrossRef] [PubMed]
 - Frank, E.; Hall, M.A.; Witten, I.H. The WEKA Workbench. Online Appendix for Data Mining: Practical Machine Learning Tools and Techniques, 4th ed.; Morgan Kaufmann: Burlington, MA, USA, 2016. [Google Scholar]
 - Avanzo, M.; Pirrone, G.; Vinante, L.; Caroli, A.; Stancanello, J.; Drigo, A.; Massarut, S.; Mileto, M.; Urbani, M.; Trovo, M.; et al. Electron Density and Biologically Effective Dose (BED) Radiomics-Based Machine Learning Models to Predict Late Radiation-Induced Subcutaneous Fibrosis. Front. Oncol. 2020, 10, 490. [Google Scholar] [CrossRef]
 - van Timmeren, J.E.; Cester, D.; Tanadini-Lang, S.; Alkadhi, H.; Baessler, B. Radiomics in medical imaging—“how-to” guide and critical reflection. Insights Imaging 2020, 11, 91. [Google Scholar] [CrossRef]
 - Coppola, F.; Mottola, M.; Lo Monaco, S.; Cattabriga, A.; Cocozza, M.A.; Yuan, J.C.; De Benedittis, C.; Cuicchi, D.; Guido, A.; Rojas Llimpe, F.L.; et al. The Heterogeneity of Skewness in T2W-Based Radiomics Predicts the Response to Neoadjuvant Chemoradiotherapy in Locally Advanced Rectal Cancer. Diagnostics 2021, 11, 795. [Google Scholar] [CrossRef]
 - Ng, F.; Ganeshan, B.; Kozarski, R.; Miles, K.A.; Goh, V. Assessment of primary colorectal cancer heterogeneity by using whole-tumor texture analysis: Contrast-enhanced CT texture as a biomarker of 5-year survival. Radiology 2013, 266, 177–184. [Google Scholar] [CrossRef] [PubMed]
 - De Cecco, C.N.; Ganeshan, B.; Ciolina, M.; Rengo, M.; Meinel, F.G.; Musio, D.; De Felice, F.; Raffetto, N.; Tombolini, V.; Laghi, A.; et al. Texture analysis as imaging biomarker of tumoral response to neoadjuvant chemoradiotherapy in rectal cancer patients studied with 3-T magnetic resonance. Investig. Radiol. 2015, 50, 239–245. [Google Scholar] [CrossRef] [PubMed]
 - Henderson, S.; Purdie, C.; Michie, C.; Evans, A.; Lerski, R.; Johnston, M.; Vinnicombe, S.; Thompson, A.M. Interim heterogeneity changes measured using entropy texture features on T2-weighted MRI at 3.0 T are associated with pathological response to neoadjuvant chemotherapy in primary breast cancer. Eur Radiol. 2017, 27, 4602–4611. [Google Scholar] [CrossRef] [PubMed]
 - Nketiah, G.; Elschot, M.; Kim, E.; Teruel, J.R.; Scheenen, T.W.; Bathen, T.F.; Selnæs, K.M. T2-weighted MRI-derived textural features reflect prostate cancer aggressiveness: Preliminary results. Eur Radiol. 2017, 27, 3050–3059. [Google Scholar] [CrossRef]
 - Davnall, F.; Yip, C.S.; Ljungqvist, G.; Selmi, M.; Ng, F.; Sanghera, B.; Ganeshan, B.; Miles, K.A.; Cook, G.J.; Goh, V.; et al. Assessment of tumor heterogeneity: An emerging imaging tool for clinical practice? Insights Imaging 2012, 3, 573–589. [Google Scholar] [CrossRef]
 








| Characteristic | All Participants (n = 40) | pCR (n = 13) | pPR (n = 22) | pNR (n = 5) | p Value | 
|---|---|---|---|---|---|
| Sex | 0.62 | ||||
| Male | 24 (60%) | 8 (62%) | 14 (64%) | 2 (40%) | |
| Female | 16 (40%) | 5 (38%) | 8 (36%) | 3 (60%) | |
| Age, years * | 64 ± 9 (39–82) | 57 ± 10 (39–74) | 65 ± 11 (43–82) | 64 ± 10 (52–80) | 0.08 | 
| Tumor Grade | 0.18 | ||||
| G1 | 15 (38%) | 8 (62%) | 6 (27%) | 1 (20%) | |
| G2 | 18 (45%) | 4 (31%) | 12 (55%) | 2 (40%) | |
| G3 | 7 (17%) | 1 (7%) | 4 (18%) | 2 (40%) | |
| T—Stage | 0.56 | ||||
| T1 | 11 (28%) | 6 (46%) | 4 (18%) | 1 (20%) | |
| T2 | 13 (33%) | 4 (31%) | 8 (36%) | 1 (20%) | |
| T3 | 9 (22%) | 2 (15%) | 5 (23%) | 2 (40%) | |
| T4 | 7 (18%) | 1 (8%) | 5 (23%) | 1 (20%) | |
| N—Stage | 0.17 | ||||
| N0 | 22 (55%) | 10 (77%) | 11 (50%) | 1 (20%) | |
| N1 | 12 (30%) | 2 (15%) | 8 (36%) | 2 (40%) | |
| N2 | 6 (15%) | 1 (8%) | 3 (14%) | 2 (40%) | |
| TRG | / | ||||
| 0 | 4 (10%) | / | / | 4 (80%) | |
| 1 | 1 (2%) | / | / | 1 (20%) | |
| 2 | 19 (47%) | / | 19 (86%) | / | |
| 3 | 3 (8%) | / | 3 (4%) | / | |
| 4 | 13 (33%) | 13 (100%) | / | / | 
Publisher’s Note: MDPI stays neutral with regard to jurisdictional claims in published maps and institutional affiliations.  | 
© 2022 by the authors. Licensee MDPI, Basel, Switzerland. This article is an open access article distributed under the terms and conditions of the Creative Commons Attribution (CC BY) license (https://creativecommons.org/licenses/by/4.0/).
Share and Cite
Bellini, D.; Carbone, I.; Rengo, M.; Vicini, S.; Panvini, N.; Caruso, D.; Iannicelli, E.; Tombolini, V.; Laghi, A. Performance of Machine Learning and Texture Analysis for Predicting Response to Neoadjuvant Chemoradiotherapy in Locally Advanced Rectal Cancer with 3T MRI. Tomography 2022, 8, 2059-2072. https://doi.org/10.3390/tomography8040173
Bellini D, Carbone I, Rengo M, Vicini S, Panvini N, Caruso D, Iannicelli E, Tombolini V, Laghi A. Performance of Machine Learning and Texture Analysis for Predicting Response to Neoadjuvant Chemoradiotherapy in Locally Advanced Rectal Cancer with 3T MRI. Tomography. 2022; 8(4):2059-2072. https://doi.org/10.3390/tomography8040173
Chicago/Turabian StyleBellini, Davide, Iacopo Carbone, Marco Rengo, Simone Vicini, Nicola Panvini, Damiano Caruso, Elsa Iannicelli, Vincenzo Tombolini, and Andrea Laghi. 2022. "Performance of Machine Learning and Texture Analysis for Predicting Response to Neoadjuvant Chemoradiotherapy in Locally Advanced Rectal Cancer with 3T MRI" Tomography 8, no. 4: 2059-2072. https://doi.org/10.3390/tomography8040173
APA StyleBellini, D., Carbone, I., Rengo, M., Vicini, S., Panvini, N., Caruso, D., Iannicelli, E., Tombolini, V., & Laghi, A. (2022). Performance of Machine Learning and Texture Analysis for Predicting Response to Neoadjuvant Chemoradiotherapy in Locally Advanced Rectal Cancer with 3T MRI. Tomography, 8(4), 2059-2072. https://doi.org/10.3390/tomography8040173
        
                                                
