Acute Traumatic Aortic Injury: What the Radiologist Needs to Know
Simple Summary
Abstract
1. Introduction
2. Pathophysiology
3. Imaging Diagnosis
3.1. Chest CT Angiography
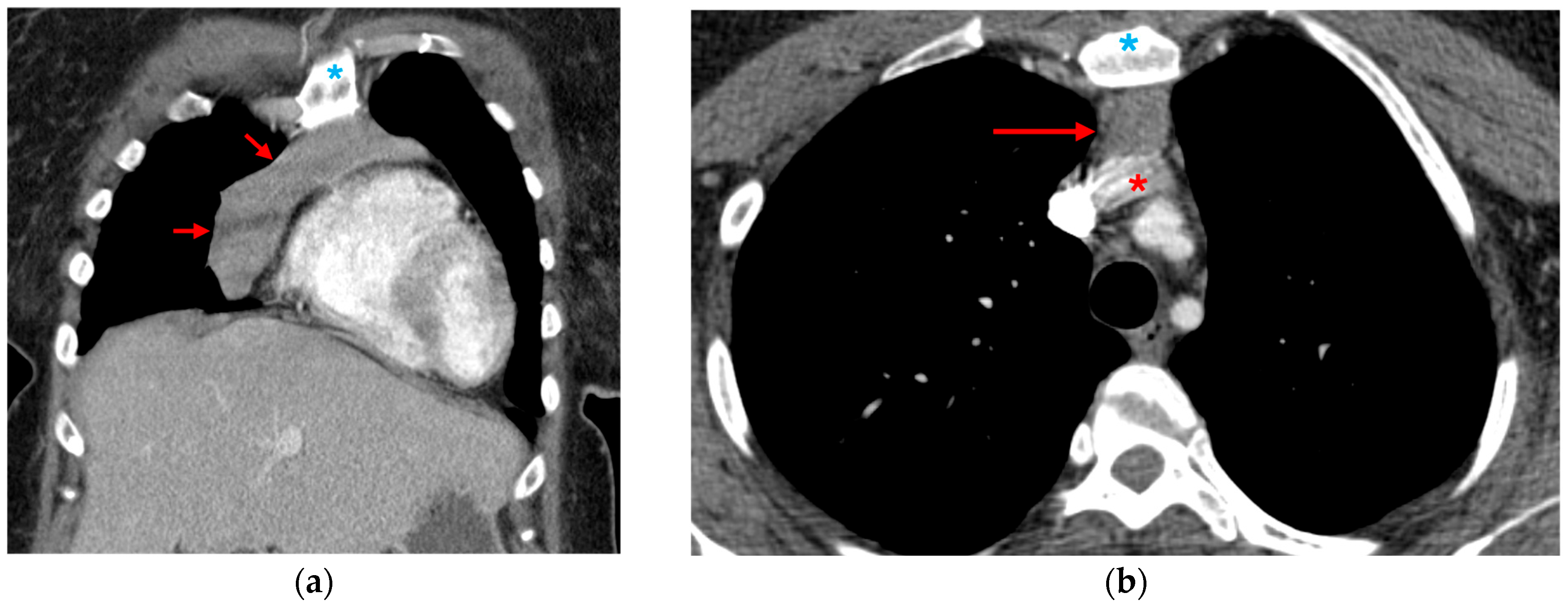
3.1.1. Direct Signs of Aortic Injury
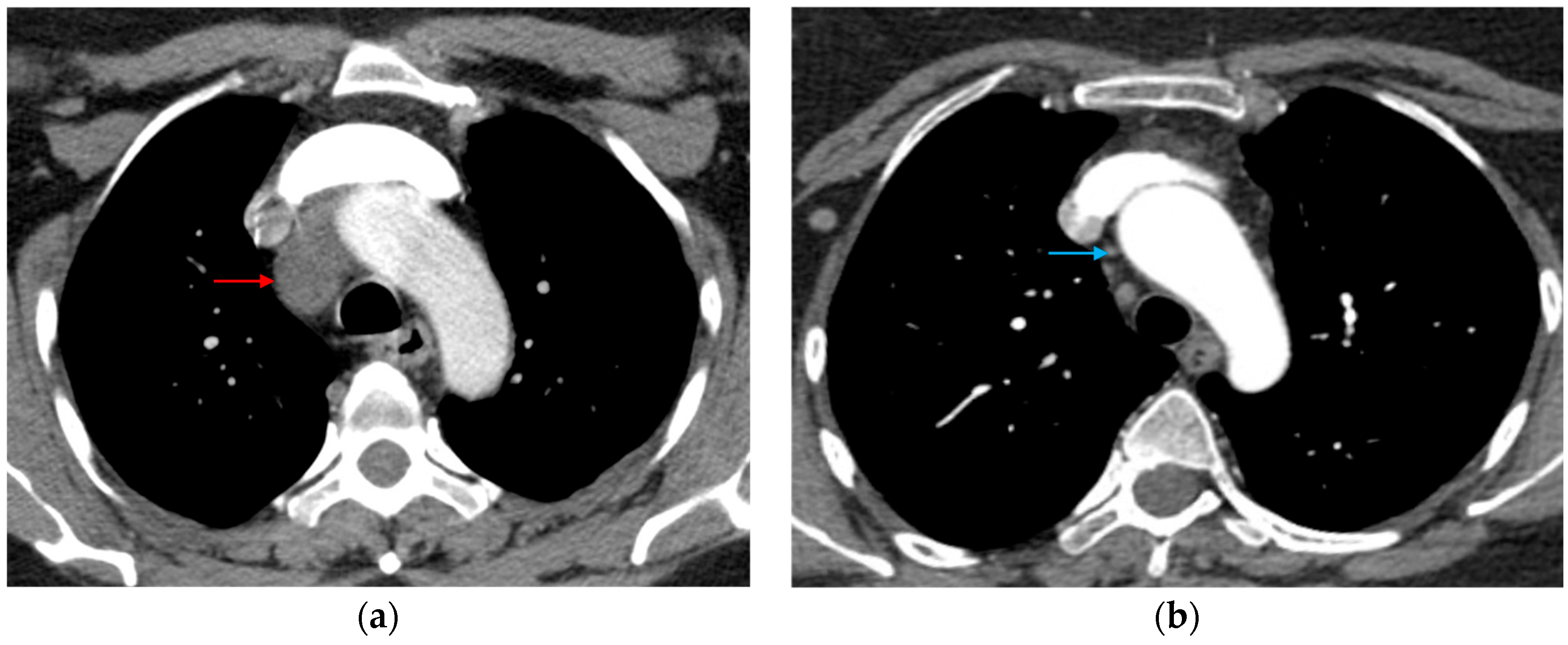
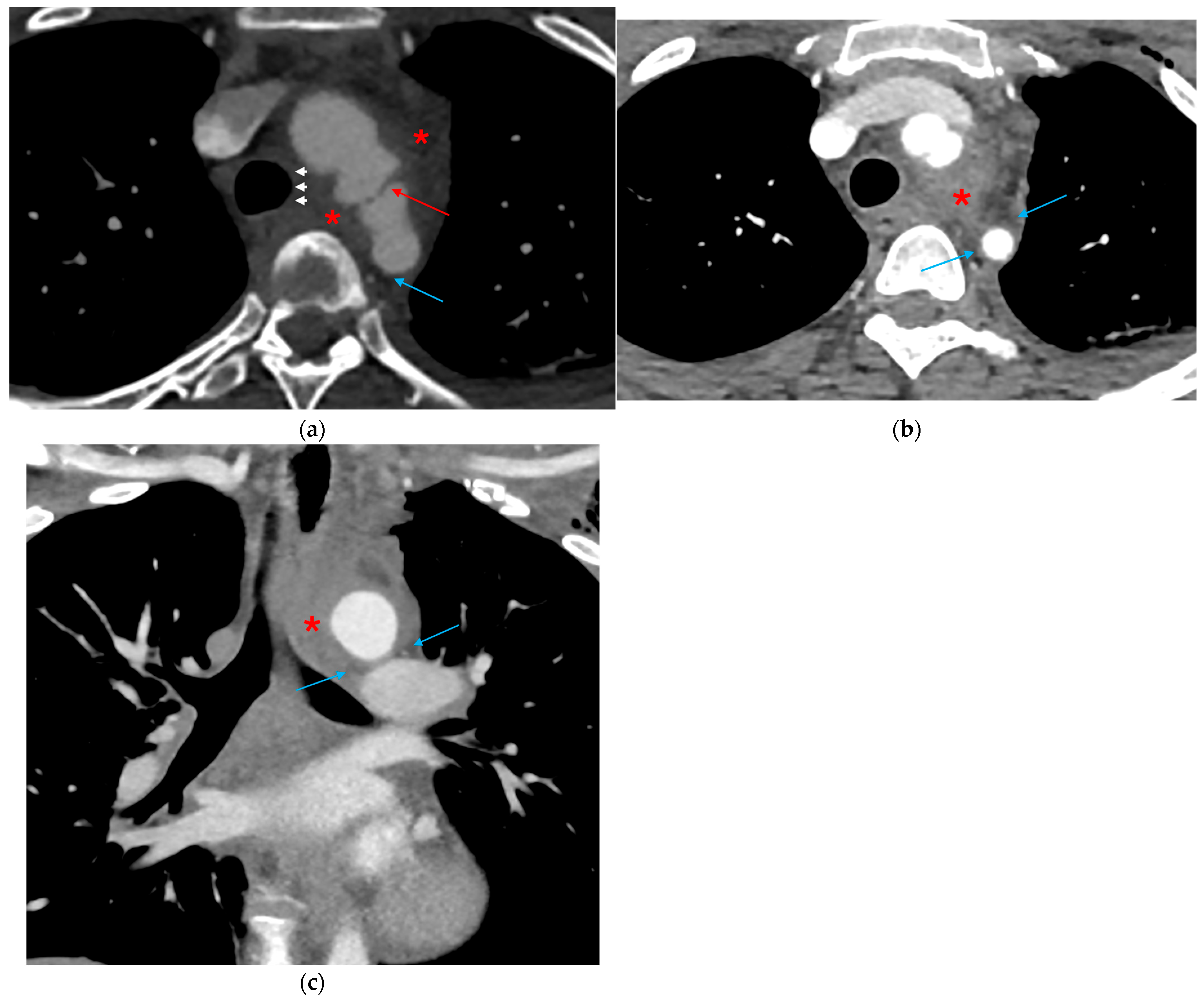
3.1.2. Indirect Signs of Aortic Injury
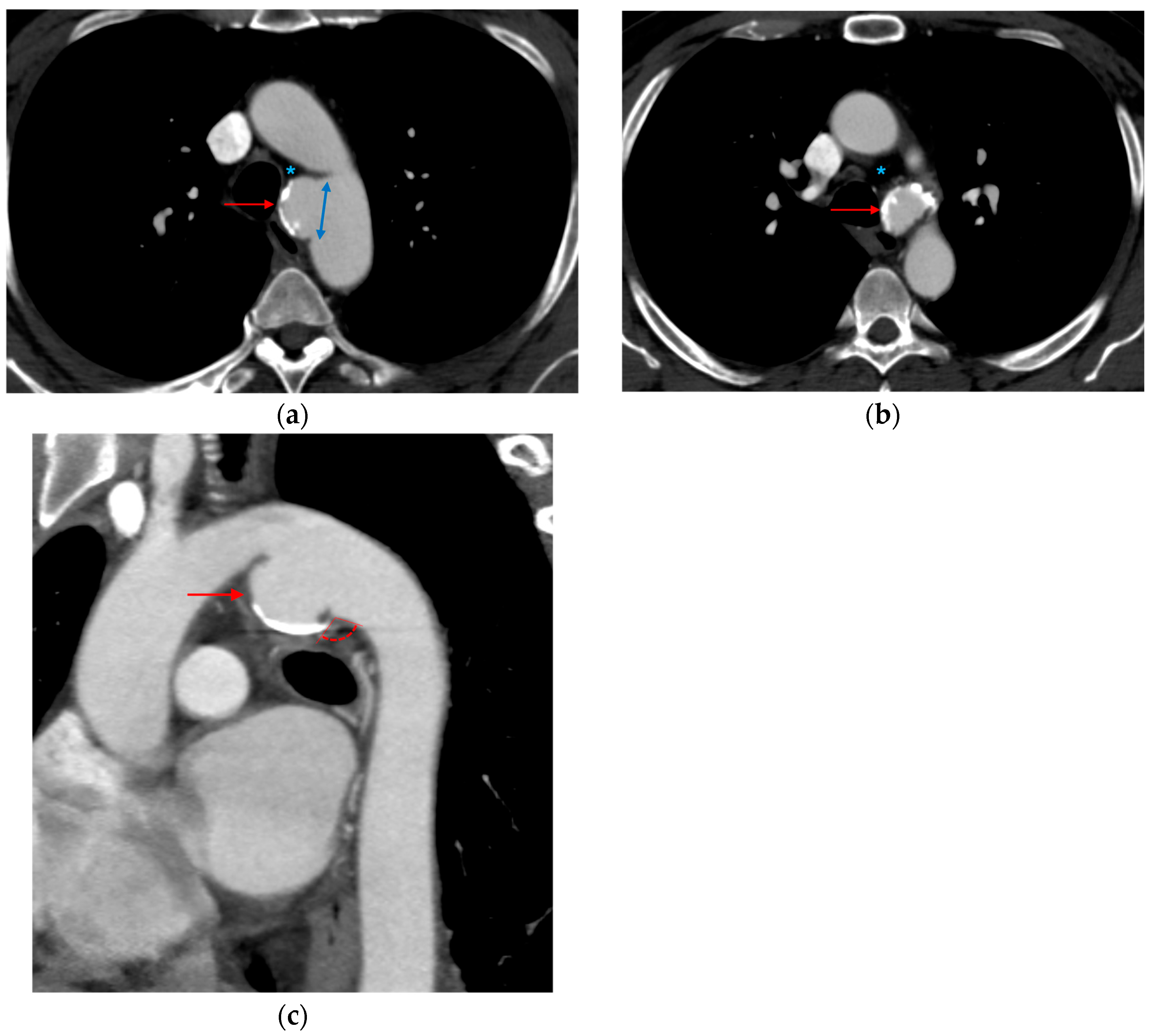
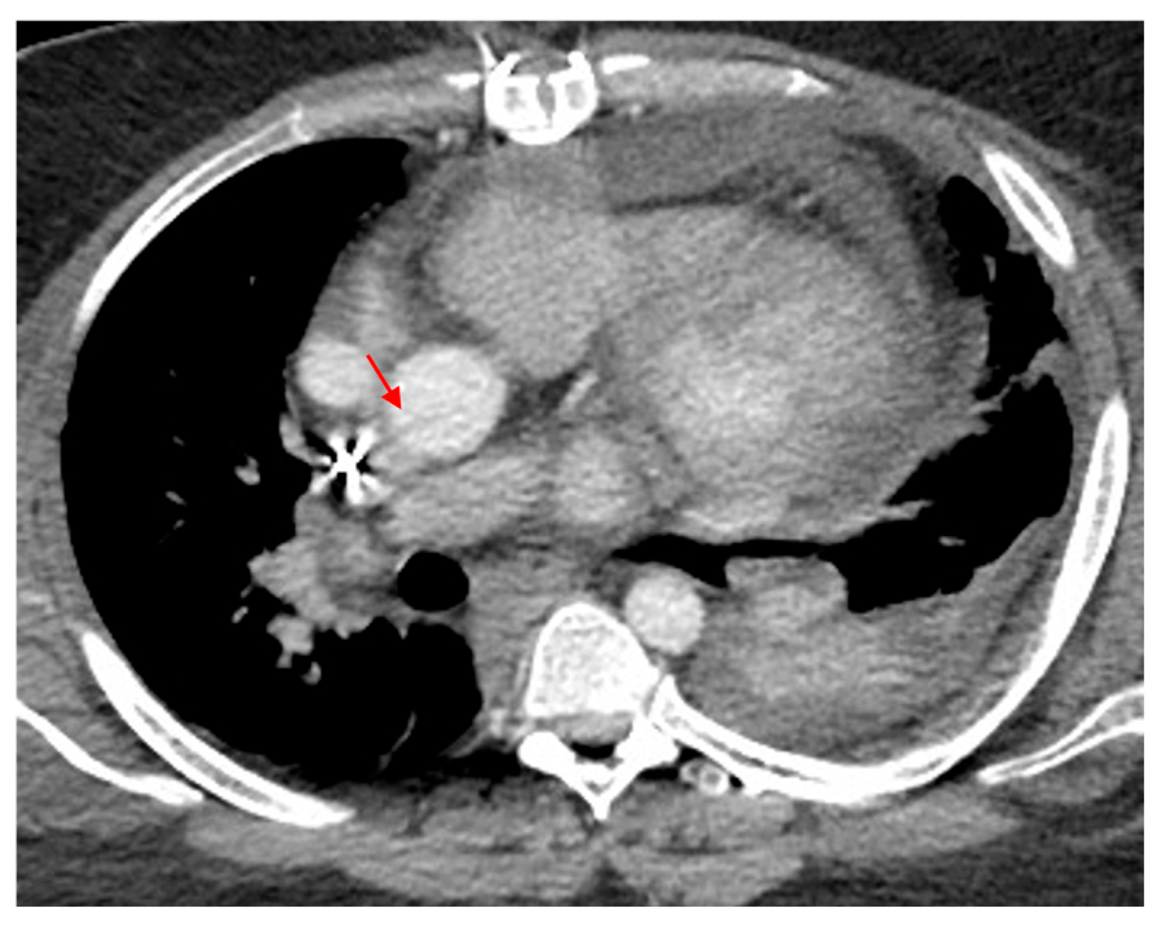
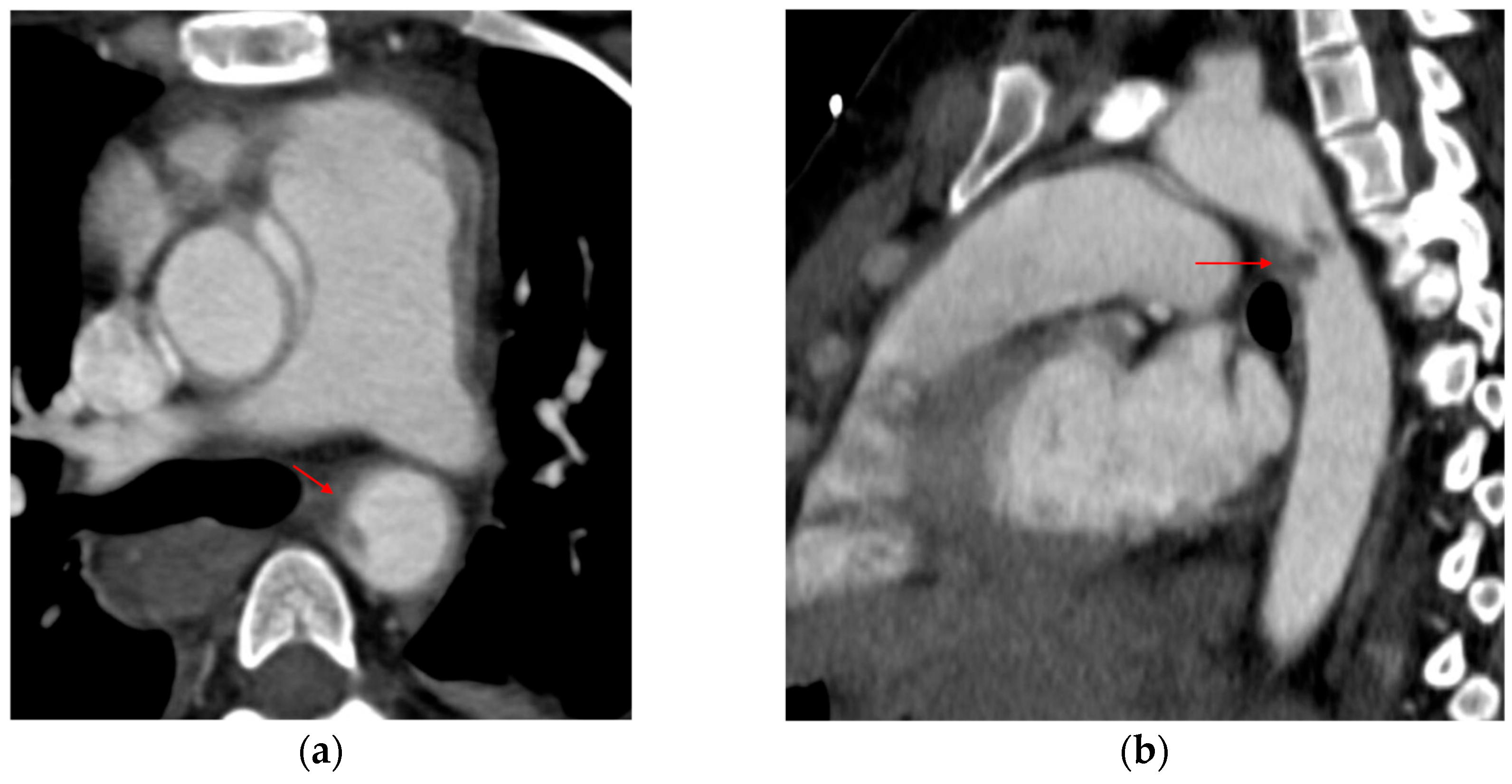
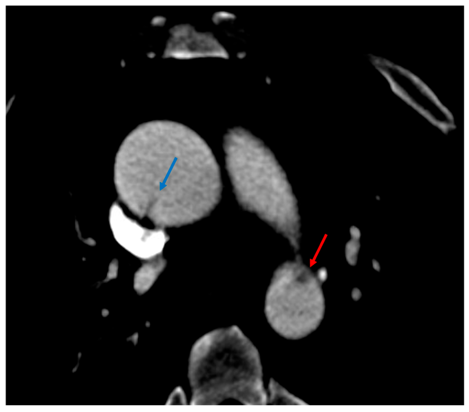
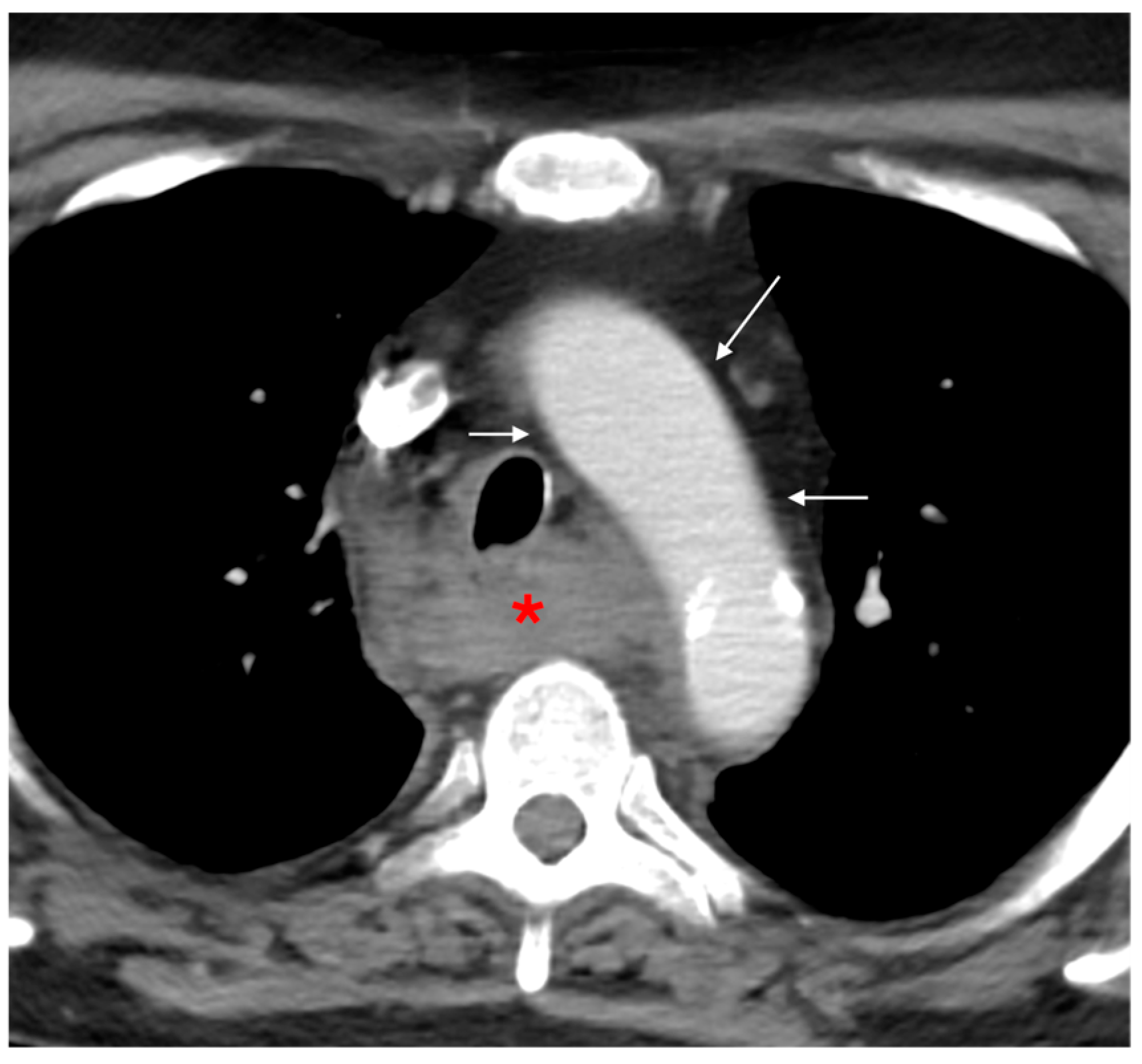
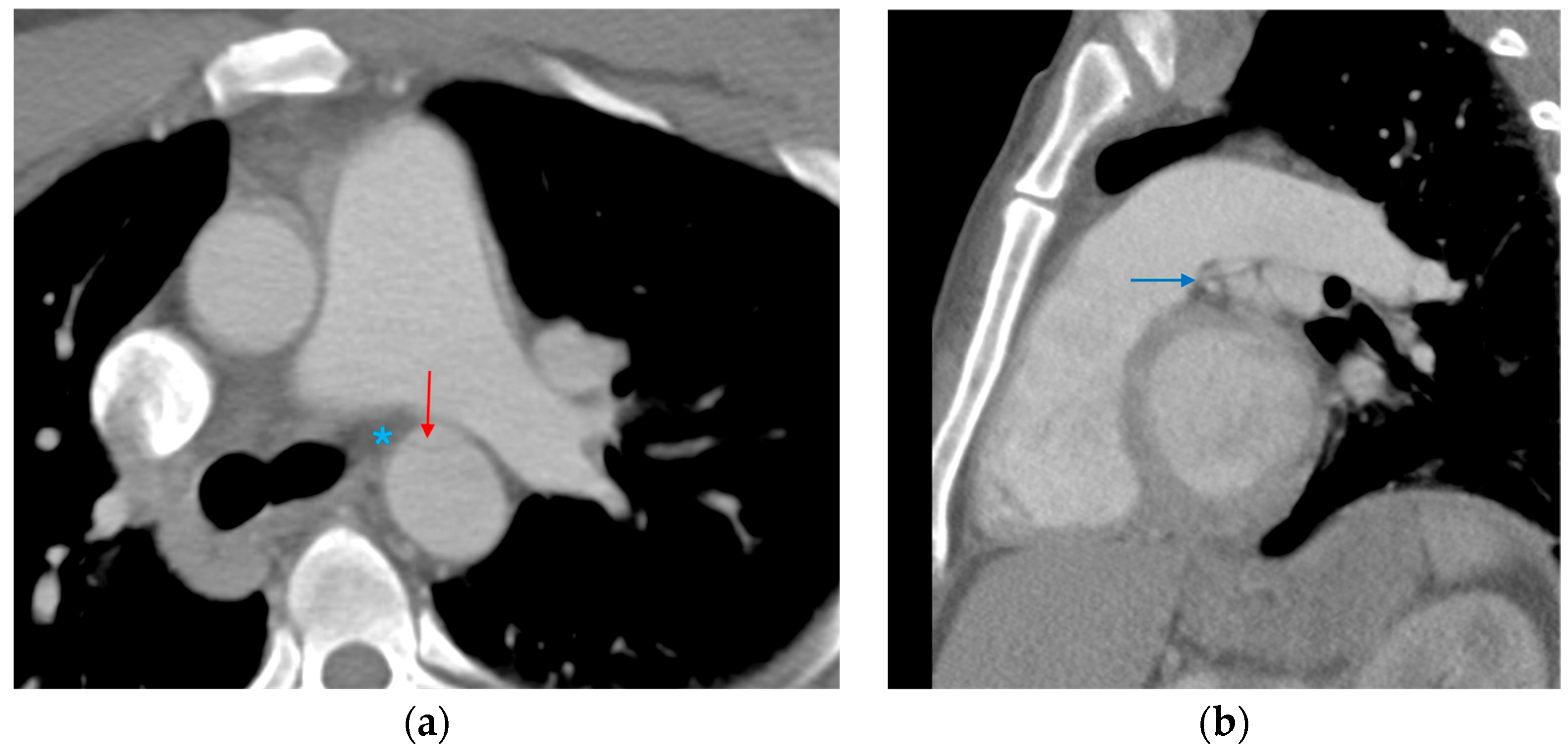
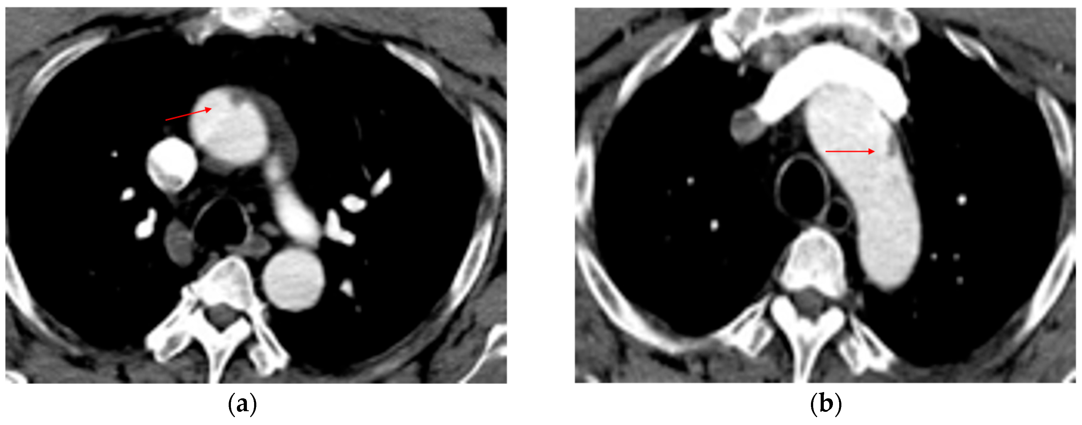
3.1.3. Mimics and Anatomic Variations
3.1.4. Protocol Considerations on CT Angiography for Aortic Injury
3.1.5. CT Angiography Artifacts
3.1.6. ECG-Gated CT Angiography
3.1.7. Emerging CT Technologies
3.2. Chest MR Angiography
4. Classifications
5. Treatment Modalities
6. The Role of Imaging in Management
6.1. Imaging Characteristics Relevant to Management
6.1.1. High-Risk Imaging Features
6.1.2. Role of Imaging in Preoperative Endovascular Planning
7. Post-Treatment Imaging Surveillance and Complications
7.1. Imaging Modality and Surveillance Strategy
7.2. Complications Following Endovascular Repair
7.3. Complications Following Open Surgical Repair
8. Conclusions
Author Contributions
Funding
Institutional Review Board Statement
Informed Consent Statement
Data Availability Statement
Acknowledgments
Conflicts of Interest
Abbreviations
| ACC/AHA | American College of Cardiology/American Heart Association |
| ATAI | Acute Traumatic Aortic Injury |
| CT | Computed Tomography |
| CTA | Computed Tomography Angiography |
| DECT | Dual-energy CT |
| ECG | Electrocardiogram |
| ESVS | European Society for Vascular Surgery |
| IMH | Intramural Hematoma |
| MRA | Magnetic Resonance Angiography |
| MRI | Magnetic Resonance Imaging |
| PCCT | Photon-Counting CT |
| SVS | Society for Vascular Surgery |
| TEVAR | Thoracic Endovascular Aortic Repair |
References
- Neschis, D.G.; Scalea, T.M.; Flinn, W.R.; Griffith, B.P. Blunt Aortic Injury. N. Engl. J. Med. 2008, 359, 1708–1716. [Google Scholar] [CrossRef]
- Isselbacher, E.M.; Preventza, O.; Black, J.H.; Augoustides, J.G.; Beck, A.W.; Bolen, M.A.; Braverman, A.C.; Bray, B.E.; Brown-Zimmerman, M.M.; Chen, E.P.; et al. 2022 ACC/AHA Guideline for the Diagnosis and Management of Aortic Disease: A Report of the American Heart Association/American College of Cardiology Joint Committee on Clinical Practice Guidelines. Circulation 2022, 146, E334–E482. [Google Scholar] [CrossRef] [PubMed]
- Shariff, M.; Kumar, A.; Stulak, J.M. Twenty-Year United States National, Demographic and Regional Mortality Trends from Traumatic Thoracic Aortic Injury, 1999 to 2019. Injury 2024, 55, 111114. [Google Scholar] [CrossRef] [PubMed]
- Demetriades, D.; Velmahos, G.C.; Scalea, T.M.; Jurkovich, G.J.; Karmy-Jones, R.; Teixeira, P.G.; Hemmila, M.R.; O’Connor, J.V.; McKenney, M.O.; Moore, F.O.; et al. Operative Repair or Endovascular Stent Graft in Blunt Traumatic Thoracic Aortic Injuries: Results of an American Association for the Surgery of Trauma Multicenter Study. J. Trauma Inj. Infect. Crit. Care 2008, 64, 561–570. [Google Scholar] [CrossRef] [PubMed]
- Czerny, M.; Grabenwöger, M.; Berger, T.; Aboyans, V.; Della Corte, A.; Chen, E.P.; Desai, N.D.; Dumfarth, J.; Elefteriades, J.A.; Etz, C.D.; et al. EACTS/STS Guidelines for Diagnosing and Treating Acute and Chronic Syndromes of the Aortic Organ. Ann. Thorac. Surg. 2024, 118, 5–115. [Google Scholar] [CrossRef]
- Forman, J.; Stacey, S.; Evans, J.; Kent, R. Posterior Acceleration as a Mechanism of Blunt Traumatic Injury of the Aorta. J. Biomech. 2008, 41, 1359–1364. [Google Scholar] [CrossRef]
- Nathan, D.P.; Xu, C.; Gorman, J.H.; Fairman, R.M.; Bavaria, J.E.; Gorman, R.C.; Chandran, K.B.; Jackson, B.M. Pathogenesis of Acute Aortic Dissection: A Finite Element Stress Analysis. Ann. Thorac. Surg. 2011, 91, 458–463. [Google Scholar] [CrossRef]
- Schicho, A.; Luerken, L.; Stroszczynski, C.; Meier, R.; Schreyer, A.G.; Dendl, L.-M.; Schleder, S. Vascular Geometry as a Risk Factor for Non-Penetrating Traumatic Injuries of the Aortic Arch. PLoS ONE 2017, 12, e0180066. [Google Scholar] [CrossRef]
- Granieri, S.; Frassini, S.; Massaro, M.; Bonomi, A.; Altomare, M.; Cioffi, S.P.B.; Spota, A.; Renzi, F.; Bini, R.; Fugazzola, P.; et al. Defining the Criterion Standard for Detecting Blunt Traumatic Aortic Injuries: A Systematic Review and Meta-Analysis of Diagnostic Test Accuracy. J. Trauma Acute Care Surg. 2025, 99, 279–288. [Google Scholar] [CrossRef]
- Gupta, S.; Kumar, A.; Kaur, T.; Gamanagatti, S.; Kumar, A.; Gupta, A.; Kumar, S. Current Updates in Acute Traumatic Aortic Injury: Radiologic Diagnosis and Management. Clin. Exp. Emerg. Med. 2022, 9, 73–83. [Google Scholar] [CrossRef]
- Raptis, C.A.; Hammer, M.M.; Raman, K.G.; Mellnick, V.M.; Bhalla, S. Acute Traumatic Aortic Injury: Practical Considerations for the Diagnostic Radiologist. J. Thorac. Imaging 2015, 30, 202–213. [Google Scholar] [CrossRef]
- Ho, R.T.; Blackmore, C.C.; Bloch, R.D.; Hoffer, E.K.; Mann, F.A.; Stern, E.J.; Wilson, A.J. Can We Rely on Mediastinal Widening on Chest Radiography to Identify Subjects with Aortic Injury? Emerg. Radiol. 2002, 9, 183–187. [Google Scholar] [CrossRef] [PubMed]
- Ekeh, A.P.; Peterson, W.; Woods, R.J.; Walusimbi, M.; Nwuneli, N.; Saxe, J.M.; McCarthy, M.C. Is Chest X-Ray an Adequate Screening Tool for the Diagnosis of Blunt Thoracic Aortic Injury? J. Trauma Inj. Infect. Crit. Care 2008, 65, 1088–1092. [Google Scholar] [CrossRef] [PubMed]
- D’Oria, M.; Jubouri, M.; Piffaretti, G.; Franchin, M.; Lepidi, S.; Bashir, M. Current Expert-Based Opinions on Endovascular Treatment of Blunt Thoracic Aortic Injury: A State-of-the-Art Narrative Review on Indications, Techniques, Results, and Challenges. Vascular 2025, 33, 481–488. [Google Scholar] [CrossRef]
- Patel, N.R.; Dick, E.; Batrick, N.; Jenkins, M.; Kashef, E. Pearls and Pitfalls in Imaging of Blunt Traumatic Thoracic Aortic Injury: A Pictorial Review. Br. J. Radiol. 2018, 91, 20180130. [Google Scholar] [CrossRef] [PubMed]
- Wahlgren, C.M.; Aylwin, C.; Davenport, R.A.; Davidovic, L.B.; DuBose, J.J.; Gaarder, C.; Heim, C.; Jongkind, V.; Jørgensen, J.; Kakkos, S.K.; et al. Editor’s Choice—European Society for Vascular Surgery (ESVS) 2025 Clinical Practice Guidelines on the Management of Vascular Trauma. Eur. J. Vasc. Endovasc. Surg. 2025, 69, 179–237. [Google Scholar] [CrossRef]
- Sutphin, P.D.; Baliyan, V. Postprocessing Imaging Techniques of the Computed Tomography Angiography in Trauma Patients for Preprocedural Planning. Semin. Interv. Radiol. 2021, 38, 9–17. [Google Scholar] [CrossRef]
- Wu, W.; Budovec, J.; Foley, W.D. Prospective and Retrospective ECG Gating for Thoracic CT Angiography: A Comparative Study. Am. J. Roentgenol. 2009, 193, 955–963. [Google Scholar] [CrossRef]
- Rajput, M.Z.; Raptis, D.A.; Raptis, C.A.; Bhalla, S. Imaging of Acute Traumatic Aortic Injury. Curr. Radiol. Rep. 2018, 6, 19. [Google Scholar] [CrossRef]
- Yahia, D.A.A.; Bouvier, A.; Nedelcu, C.; Urdulashvili, M.; Thouveny, F.; Ridereau, C.; Tanguy, J.Y.; Picquet, J.; Aube, C.; Willoteaux, S. Imaging of Thoracic Aortic Injury. Diagn. Interv. Imaging 2015, 96, 79–88. [Google Scholar] [CrossRef]
- Spanos, K.; Kölbel, T.; Giannoukas, A.D. Current Trends in Aortic Intramural Hematoma Management-a Shift from Conservative to a More Aggressive Treatment. Ann. Cardiothorac. Surg. 2019, 8, 497–499. [Google Scholar] [CrossRef]
- Harris, D.G.; Rabin, J.; Kufera, J.A.; Taylor, B.S.; Sarkar, R.; O’Connor, J.V.; Scalea, T.M.; Crawford, R.S. A New Aortic Injury Score Predicts Early Rupture More Accurately than Clinical Assessment. J. Vasc. Surg. 2015, 61, 332–338. [Google Scholar] [CrossRef] [PubMed]
- Wong, H.; Gotway, M.B.; Sasson, A.D.; Jeffrey, R.B. Periaortic Hematoma at Diaphragmatic Crura at Helical CT: Sign of Blunt Aortic Injury in Patients with Mediastinal Hematoma. Radiology 2004, 231, 185–189. [Google Scholar] [CrossRef] [PubMed]
- Restrepo, C.S.; Eraso, A.; Ocazionez, D.; Lemos, J.; Martinez, S.; Lemos, D.F. The Diaphragmatic Crura and Retrocrural Space: Normal Imaging Appearance, Variants, and Pathologic Conditions. Radiographics 2008, 28, 1289–1305. [Google Scholar] [CrossRef] [PubMed]
- Brown, S.R.; Still, S.A.; Eudailey, K.W.; Beck, A.W.; Gunn, A.J. Acute Traumatic Injury of the Aorta: Presentation, Diagnosis, and Treatment. Ann. Transl. Med. 2021, 9, 1193. [Google Scholar] [CrossRef]
- Fisher, R.G.; Sanchez-Torres, M.; Whigham, C.J.; Thomas, J.W. “Lumps” and “Bumps” That Mimic Acute Aortic and Brachiocephalic Vessel Injury. Radiographics 1997, 17, 825–834. [Google Scholar] [CrossRef]
- Ann, J.H.; Kim, E.Y.; Jeong, Y.M.; Kim, J.H.; Kim, H.S.; Choi, H.Y. Morphologic Evaluation of Ductus Diverticulum Using Multi-Detector Computed Tomography: Comparison with Traumatic Pseudoaneurysm of the Aortic Isthmus. Iran. J. Radiol. 2016, 13, e38016. [Google Scholar] [CrossRef]
- Benedetti, L.D.L.; Amiruddin, R.; Noor, A.M. Heart and Great Vessels. In Trauma Computed Tomography, 1st ed.; Knollmann, F., Ed.; Springer: Cham, Switzerland, 2023; pp. 83–96. [Google Scholar] [CrossRef]
- Seo, J.; Kim, Y.; Jou, S.; Park, C. Pericardial Recess: Computed Tomography Findings of Varying Disorders. J. Korean Soc. Radiol. 2020, 81, 1364–1376. [Google Scholar] [CrossRef]
- Stojanovska, J.; Hurwitz Koweek, L.M.; Chung, J.H.; Ghoshhajra, B.B.; Walker, C.M.; Beache, G.M.; Berry, M.F.; Colletti, P.M.; Davis, A.M.; Hsu, J.Y.; et al. ACR Appropriateness Criteria® Blunt Chest Trauma-Suspected Cardiac Injury. J. Am. Coll. Radiol. 2020, 17, S380–S390. [Google Scholar] [CrossRef]
- Iacobellis, F.; Ierardi, A.M.; Mazzei, M.A.; Biasina, A.M.; Carrafiello, G.; Nicola, R.; Scaglione, M. Dual-Phase CT for the Assessment of Acute Vascular Injuries in High-Energy Blunt Trauma: The Imaging Findings and Management Implications. Br. J. Radiol. 2016, 89, 20150952. [Google Scholar] [CrossRef]
- Nagpal, P.; Agrawal, M.D.; Saboo, S.S.; Hedgire, S.; Priya, S.; Steigner, M.L. Imaging of the Aortic Root on High-Pitch Non-Gated and ECG-Gated CT: Awareness Is the Key! Insights Imaging 2020, 11, 51. [Google Scholar] [CrossRef] [PubMed]
- Papachristodoulou, A.; Ghibes, P.; Pentara, N.V.; Alexandratou, M.; Levitin, A.; Gadani, S.; Partovi, S.; Psoma, E.; Rafailidis, V.; Prassopoulos, P. CT Angiography of Acute Aortic Syndrome in Patients with Chronic Kidney Disease. Int. J. Cardiovasc. Imaging 2025, 41, 681–693. [Google Scholar] [CrossRef] [PubMed]
- Modares, M.; Hanneman, K.; Ouzounian, M.; Chung, J.; Nguyen, E.T. Computed Tomography Angiography Assessment of Acute Aortic Syndromes: Classification, Differentiating Imaging Features, and Imaging Interpretation Pitfalls. Can. Assoc. Radiol. J. 2022, 73, 228–239. [Google Scholar] [CrossRef] [PubMed]
- Kalisz, K.; Buethe, J.; Saboo, S.S.; Abbara, S.; Halliburton, S.; Rajiah, P. Artifacts at Cardiac CT: Physics and Solutions. Radiographics 2016, 36, 2064–2083. [Google Scholar] [CrossRef]
- Chaturvedi, A.; Oppenheimer, D.; Rajiah, P.; Kaproth-Joslin, K.A.; Chaturvedi, A. Contrast Opacification on Thoracic CT Angiography: Challenges and Solutions. Insights Imaging 2016, 8, 127. [Google Scholar] [CrossRef]
- Mortimer, A.M.; Singh, R.K.; Hughes, J.; Greenwood, R.; Hamilton, M.C.K. Use of Expiratory CT Pulmonary Angiography to Reduce Inspiration and Breath-Hold Associated Artefact: Contrast Dynamics and Implications for Scan Protocol. Clin. Radiol. 2011, 66, 1159–1166. [Google Scholar] [CrossRef]
- Takayanagi, T.; Suzuki, S.; Katada, Y.; Ishikawa, T.; Fukui, R.; Yamamoto, Y.; Abe, O. Comparison of Motion Artifacts on CT Images Obtained in the Ultrafast Scan Mode and Conventional Scan Mode for Unconscious Patients in the Emergency Department. AJR Am. J. Roentgenol. 2019, 213, W153–W161. [Google Scholar] [CrossRef]
- Mitsumori, L.M.; Wang, E.; May, J.M.; Lockhart, D.W.; Branch, K.R.; Dubinsky, T.J.; Shuman, W.P. Triphasic Contrast Bolus for Whole-Chest ECG-Gated 64-MDCT of Patients with Nonspecific Chest Pain: Evaluation of Arterial Enhancement and Streak Artifact. AJR Am. J. Roentgenol. 2010, 194, W263–W271. [Google Scholar] [CrossRef]
- Budeanu, R.G.; Broemmer, C.; Budeanu, A.R.; Pop, M. Comparing the Diagnostic Performance of ECG Gated versus Non-Gated CT Angiography in Ascending Aortic Dissection: A GRRAS Study. Tomography 2022, 8, 2426–2434. [Google Scholar] [CrossRef]
- Fazlkhah, B.; Fazel Ghaziyani, M.; Dinparast, L.; Alinejad, V.; Soleymani, Y.; Khezerloo, D. Optimization of Retrospective Gated-ECG Coronary Computed Tomography Angiography by Dose Reduction in Patients with Different Body Mass Indexes. J. Biomed. Phys. Eng. 2025, 15, 281–290. [Google Scholar] [CrossRef]
- Yanagaki, S.; Masuda, A.; Ota, H.; Kojima, M.; Hattori, T.; Mihara, W.; Takase, K.; Ueda, T. Significance of Systolic-Phase Imaging on Full-Phase ECG-Gated CT Angiography to Detect Intimal Tears in Aortic Dissection. Heart Vessel. 2022, 37, 1947–1956. [Google Scholar] [CrossRef] [PubMed]
- Abbara, S.; Blanke, P.; Maroules, C.D.; Cheezum, M.; Choi, A.D.; Han, B.K.; Marwan, M.; Naoum, C.; Norgaard, B.L.; Rubinshtein, R.; et al. SCCT Guidelines for the Performance and Acquisition of Coronary Computed Tomographic Angiography: A Report of the Society of Cardiovascular Computed Tomography Guidelines Committee: Endorsed by the North American Society for Cardiovascular Imaging (NASCI). J. Cardiovasc. Comput. Tomogr. 2016, 10, 435–449. [Google Scholar] [CrossRef] [PubMed]
- Mander, G.T.W.; Dobeli, K.; Steffensen, C.; Munn, Z. Diagnostic Accuracy of Prospectively Gated, 128-slice or Greater CTCA at High Heart Rates: A Systematic Review and Meta-analysis. J. Med. Radiat. Sci. 2021, 68, 435–445. [Google Scholar] [CrossRef] [PubMed]
- Nagpal, P.; Mullan, B.F.; Sen, I.; Sachin, S.S.; Saboo, S.; Khandelwal, A. Advances in Imaging and Management Trends of Traumatic Aortic Injuries. Cardiovasc. Interv. Radiol 2017, 40, 643–654. [Google Scholar] [CrossRef]
- Cullen, E.L.; Lantz, E.J.; Johnson, C.M.; Young, P.M. Traumatic Aortic Injury: CT Findings, Mimics, and Therapeutic Options. Cardiovasc. Diagn. Ther. 2014, 4, 238–244. [Google Scholar] [CrossRef]
- Rowe, S.P.; Johnson, P.T.; Fishman, E.K. MDCT of Ductus Diverticulum: 3D Cinematic Rendering to Enhance Understanding of Anatomic Configuration and Avoid Misinterpretation as Traumatic Aortic Injury. Emerg. Radiol. 2018, 25, 209–213. [Google Scholar] [CrossRef]
- Stański, M.; Michałowska, I.; Lemanowicz, A.; Karmelita-Katulska, K.; Ratajczak, P.; Sławińska, A.; Serafin, Z. Dual-Energy and Photon-Counting Computed Tomography in Vascular Applications-Technical Background and Post-Processing Techniques. Diagnostics 2024, 14, 1223. [Google Scholar] [CrossRef]
- Kazimierczak, W.; Kazimierczak, N.; Lemanowicz, A.; Nowak, E.; Migdalski, A.; Jawien, A.; Jankowski, T.; Serafin, Z. Improved Detection of Endoleaks in Virtual Monoenergetic Images in Dual-Energy CT Angiography Following EVAR. Acad. Radiol. 2023, 30, 2813–2824. [Google Scholar] [CrossRef]
- Martin, S.S.; Wichmann, J.L.; Scholtz, J.E.; Leithner, D.; D’Angelo, T.; Weyer, H.; Booz, C.; Lenga, L.; Vogl, T.J.; Albrecht, M.H. Noise-Optimized Virtual Monoenergetic Dual-Energy CT Improves Diagnostic Accuracy for the Detection of Active Arterial Bleeding of the Abdomen. J. Vasc. Interv. Radiol. 2017, 28, 1257–1266. [Google Scholar] [CrossRef]
- Kazimierczak, W.; Kazimierczak, N.; Serafin, Z. Review of Clinical Applications of Dual-Energy CT in Patients after Endovascular Aortic Repair. J. Clin. Med. 2023, 12, 7766. [Google Scholar] [CrossRef]
- Wildberger, J.E.; Alkadhi, H. New Horizons in Vascular Imaging with Photon-Counting Detector CT. Investig. Radiol. 2023, 58, 499–504. [Google Scholar] [CrossRef]
- Ghazy, T.; Kirstein, B.; Tomala, J.; Kalaja, I.; Herold, J.; Irqsusi, M.; Rastan, A.; Karl Lackner, H.; Weiss, N.; Mahlmann, A. MRI Detects Increased Aortic Stiffening and Myocardial Dysfunction after TEVAR of Blunt Injury in Young Patients. Vasa 2023, 52, 317–324. [Google Scholar] [CrossRef]
- Gil-Sala, D.; Guala, A.; Garcia Reyes, M.E.; Azancot, M.A.; Dux-Santoy, L.; Allegue Allegue, N.; Teixido Turà, G.; Goncalves Martins, G.; Ruiz Muñoz, A.; Constenla García, I.; et al. Geometric, Biomechanic and Haemodynamic Aortic Abnormalities Assessed by 4D Flow Cardiovascular Magnetic Resonance in Patients Treated by TEVAR Following Blunt Traumatic Thoracic Aortic Injury. Eur. J. Vasc. Endovasc. Surg. 2021, 62, 797–807. [Google Scholar] [CrossRef]
- Garg, I.; Grist, T.M.; Nagpal, P. MR Angiography for Aortic Diseases. Cardiol. Clin. 2025, 43, 229–250. [Google Scholar] [CrossRef] [PubMed]
- Azizzadeh, A.; Keyhani, K.; Miller, C.C.; Coogan, S.M.; Safi, H.J.; Estrera, A.L. Blunt Traumatic Aortic Injury: Initial Experience with Endovascular Repair. J. Vasc. Surg. 2009, 49, 1403–1408. [Google Scholar] [CrossRef] [PubMed]
- Starnes, B.W.; Lundgren, R.S.; Gunn, M.; Quade, S.; Hatsukami, T.S.; Tran, N.T.; Mokadam, N.; Aldea, G.; Seattle, W. A New Classification Scheme for Treating Blunt Aortic Injury. J. Vasc. Surg. 2012, 55, 47–54. [Google Scholar] [CrossRef] [PubMed]
- Caffarelli, A.D.; Mallidi, H.R.; Maggio, P.M.; Spain, D.A.; Craig Miller, D.; Mitchell, R.S. Early Outcomes of Deliberate Nonoperative Management for Blunt Thoracic Aortic Injury in Trauma. J. Thorac. Cardiovasc. Surg. 2010, 140, 598–605. [Google Scholar] [CrossRef]
- Lamarche, Y.; Berger, F.H.; Nicolaou, S.; Bilawich, A.M.; Louis, L.; Inacio, J.R.; Janusz, M.T.; Evans, D. Vancouver Simplified Grading System with Computed Tomographic Angiography for Blunt Aortic Injury. J. Thorac. Cardiovasc. Surg. 2012, 144, 347–354.e1. [Google Scholar] [CrossRef]
- Trimarchi, S.; Czerny, M.; Haulon, S.; van Herwaarden, J.A.; de Kort, J.F.; Roselli, E.E.; Schermerhorn, M.L.; Upchurch, G.R.; Wanhainen, A. European Society for Vascular Surgery (ESVS) 2025 Clinical Practice Consensus Statement on Ascending Thoracic Endovascular Aortic Repair. Eur. J. Vasc. Endovasc. Surg. 2025, 70, 10–23. [Google Scholar] [CrossRef]
- Nana, P.; Spanos, K.; Behrendt, C.A.; Brodis, A.; Haulon, S.; Kölbel, T. A Systematic Review on Thoracic Endovascular Repair Outcomes in Blunt Thoracic Aortic Injuries. J. Endovasc. Ther. 2024, 32, 1821–1835. [Google Scholar] [CrossRef]
- Azizzadeh, A.; Ray, H.M.; Dubose, J.J.; Charlton-Ouw, K.M.; Miller, C.C.; Coogan, S.M.; Safi, H.J.; Estrera, A.L. Outcomes of Endovascular Repair for Patients with Blunt Traumatic Aortic Injury. J. Trauma Acute Care Surg. 2014, 76, 510–516. [Google Scholar] [CrossRef]
- Buczkowski, P.; Puslecki, M.; Stefaniak, S.; Juszkat, R.; Kulesza, J.; Perek, B.; Misterski, M.; Urbanowicz, T.; Ligowski, M.; Zabicki, B.; et al. Post-Traumatic Acute Thoracic Aortic Injury (TAI)—A Single Center Experience. J. Thorac. Dis. 2017, 9, 4477–4485. [Google Scholar] [CrossRef]
- De Freitas, S.; Joyce, D.; Yang, Y.; Dunphy, K.; Walsh, S.; Fatima, J. Systematic Review and Meta-Analysis of Nonoperative Management for SVS Grade II Blunt Traumatic Aortic Injury. Ann. Vasc. Surg. 2024, 98, 220–227. [Google Scholar] [CrossRef]
- Wojciechowski, J.; Znaniecki, L.; Bury, K.; Chwojnicki, K.; Rogowski, J. Traumatic Aortic Injury: Does the Anatomy of the Aortic Arch Influence Aortic Trauma Severity? Surg. Today 2017, 47, 328–334. [Google Scholar] [CrossRef] [PubMed][Green Version]
- Ishimaru, S. Endografting of the Aortic Arch. J. Endovasc. Ther. 2004, 11, II62–II71. [Google Scholar] [CrossRef] [PubMed]
- Fillinger, M.F.; Greenberg, R.K.; McKinsey, J.F.; Chaikof, E.L. Reporting Standards for Thoracic Endovascular Aortic Repair (TEVAR). J. Vasc. Surg. 2010, 52, 1022–1033.e5. [Google Scholar] [CrossRef] [PubMed]
- Di Sario, I.; Franceschini, E.; Gatta, E.; Pagliariccio, G. Endovascular Repair of Blunt Aortic Trauma: A Multidisciplinary Approach and a Retrospective Multicenter Study. J. Clin. Med. 2025, 15, 68. [Google Scholar] [CrossRef] [PubMed]
- Bae, M.; Jeon, C.H. Optimal Sizing of Aortic Stent Graft for Blunt Thoracic Aortic Injury Considering Hypotension-Related Decrease in Aortic Diameter. J. Endovasc. Ther. 2024, 31, 651–657. [Google Scholar] [CrossRef]
- Kim, J.T.; Kim, Y.S.; Yoon, Y.H.; Kang, C.W.; Baek, W.K.; Kim, D.H. Aortic Isthmus Narrowing after Endovascular Repair of Acute Traumatic Aortic Transection. Vasc. Spec. Int. 2018, 34, 77–81. [Google Scholar] [CrossRef]
- Zierler, R.E.; Jordan, W.D.; Lal, B.K.; Mussa, F.; Leers, S.; Fulton, J.; Pevec, W.; Hill, A.; Murad, M.H. The Society for Vascular Surgery Practice Guidelines on Follow-up after Vascular Surgery Arterial Procedures. J. Vasc. Surg. 2018, 68, 256–284. [Google Scholar] [CrossRef]
- Hughes, G.C. Stent Graft–Induced New Entry Tear (SINE): Intentional and NOT. J. Thorac. Cardiovasc. Surg. 2019, 157, 101–106.e3. [Google Scholar] [CrossRef]
- Jonker, F.H.W.; Schlosser, F.J.V.; Geirsson, A.; Sumpio, B.E.; Moll, F.L.; Muhs, B.E. Endograft Collapse After Thoracic Endovascular Aortic Repair. J. Endovasc. Ther. 2010, 17, 725–734. [Google Scholar] [CrossRef]


















| Artifact | How to Recognize | How to Avoid |
|---|---|---|
| Pulsation/cardiac motion | Curvilinear pseudoflap, stair-step artifact, blurring, ghosting, dark bands; greatest in the ascending aorta | ECG-gated CTA; high-pitch acquisition; shorter acquisition time; motion correction algorithms |
| Breath-hold/respiratory motion | Misregistration, double contours, blurring of the aortic wall or pulmonary vasculature, rib or sternal motion | Proper breath holding when feasible; shorter acquisition time; repeat acquisition if needed |
| Contrast beam hardening | Bright dark streaks extending from dense contrast in the SVC, brachiocephalic vein, or right atrium. | Saline flush; biphasic/triphasic injection; right-arm injection when feasible; higher-energy acquisition; reconstruction correction |
| Suboptimal contrast timing | Inadequate or heterogeneous aortic opacification, layering, poor target vessel enhancement, failed triggering | Correct ROI placement; test bolus when needed; adequate intravenous access and injection rate |
| Metal | Bright and dark streaks adjacent to metallic material | If single-energy scan: Higher tube potential; If dual-energy scan: virtual high-monoenergetic reconstructions |
| Image noise (quantum mottle) | Irregular grainy appearance obscuring subtle aortic wall findings. | Increase tube current or voltage; thicker reconstructions; iterative reconstruction; patient repositioning |
| ACC/AHA Feature [2] | ESVS Feature [16] | Comment |
|---|---|---|
| Posterior mediastinal hematoma > 10 mm | Large mediastinal hematoma | Same concept; ESVS does not specify posterior or size. |
| Mediastinal hematoma causing mass effect | Overlaps with slightly broader ESVS description. | |
| Large left hemothorax | Left hemothorax | Both highlight left-sided hemothorax as high risk. |
| Pseudocoarctation of the aorta | Aortic coarctation | Same pathophysiologic risk; slightly different terminology. |
| Lesion-to-normal aortic diameter ratio > 1.4 | Large pseudoaneurysm | Lesion can represent a pseudoaneurysm; imaging-based criterion. |
| Ascending aortic, aortic arch, or great vessel involvement | — | Unique to AHA; highlights proximal aortic involvement. |
| Aortic arch hematoma | — | Unique to AHA; specific to arch involvement. |
| Treatment Type | ESVS 2025 [16] | ACC/AHA 2022 [2] | SVS 2018 [71] |
|---|---|---|---|
| Open surgical repair |
|
|
|
| Endovascular repair (TEVAR) |
|
|
|
| No repair |
|
| No specific recommendation |
Disclaimer/Publisher’s Note: The statements, opinions and data contained in all publications are solely those of the individual author(s) and contributor(s) and not of MDPI and/or the editor(s). MDPI and/or the editor(s) disclaim responsibility for any injury to people or property resulting from any ideas, methods, instructions or products referred to in the content. |
© 2026 by the authors. Licensee MDPI, Basel, Switzerland. This article is an open access article distributed under the terms and conditions of the Creative Commons Attribution (CC BY) license.
Share and Cite
Ramirez-Garcia, K.; Jaramillo, C.; Ferguson, E.; Au, J.; Odisio, E.; Oderich, G.S.; Ocazionez, D.; Duran, C.; Macedo, T. Acute Traumatic Aortic Injury: What the Radiologist Needs to Know. Tomography 2026, 12, 57. https://doi.org/10.3390/tomography12040057
Ramirez-Garcia K, Jaramillo C, Ferguson E, Au J, Odisio E, Oderich GS, Ocazionez D, Duran C, Macedo T. Acute Traumatic Aortic Injury: What the Radiologist Needs to Know. Tomography. 2026; 12(4):57. https://doi.org/10.3390/tomography12040057
Chicago/Turabian StyleRamirez-Garcia, Kristina, Catalina Jaramillo, Emma Ferguson, Jason Au, Erika Odisio, Gustavo S. Oderich, Daniel Ocazionez, Cihan Duran, and Thanila Macedo. 2026. "Acute Traumatic Aortic Injury: What the Radiologist Needs to Know" Tomography 12, no. 4: 57. https://doi.org/10.3390/tomography12040057
APA StyleRamirez-Garcia, K., Jaramillo, C., Ferguson, E., Au, J., Odisio, E., Oderich, G. S., Ocazionez, D., Duran, C., & Macedo, T. (2026). Acute Traumatic Aortic Injury: What the Radiologist Needs to Know. Tomography, 12(4), 57. https://doi.org/10.3390/tomography12040057

