Assessment of Mandibular Bone Architecture in Patients with Endocrine Disorders Using Fractal Dimension and Histogram Analysis
Abstract
1. Introduction
2. Materials and Methods
2.1. Ethics Approval
2.2. Patient Selection
2.3. Panoramic Radiography Protocol
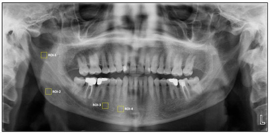
2.4. Fractal Dimension and Pixel Intensity Analysis
2.5. Statistical Analysis
3. Results
3.1. Comparisons of Age and Gender Variables Between the Subgroups
3.2. Fractal Dimension Analysis
3.3. Histogram-Based Pixel Intensity Analysis
3.4. Correlation Between Fractal Dimension and Histogram Analysis Values
4. Discussion
5. Conclusions
Author Contributions
Funding
Institutional Review Board Statement
Informed Consent Statement
Data Availability Statement
Conflicts of Interest
Abbreviations
| T1DM | Type 1 diabetes mellitus |
| T2DM | Type 2 diabetes mellitus |
| FD | Fractal dimension |
| HA | Histogram analysis |
| BMD | Bone mineral density |
| TSH | Thyroid stimulating hormone |
| DXA | Dual-energy X-ray absorptiometry |
| FA | Fractal analysis |
| FD | Fractal dimension |
| PI | Pixel intensity |
| TIFF | Tagged image file format |
| ROI | Region of interest |
| DM | Diabetes mellitus |
| CT | Computed tomography |
| CBCT | Cone beam computed tomography |
| AGE | Advanced glycation end-products |
| GIP | Glucose-dependent insulinotropic peptide |
| GLP-1 | Glucagon-like peptide-1 |
| MCW | Mandibular cortical width |
| PMI | Panoramic mandibular index |
| MCI | Mandibular cortical index |
| MI | Mental index |
| AGI | Antegonial index |
| GI | Gonial index |
References
- Boswell, S.B.; Patel, D.B.; White, E.A.; Gottsegen, C.J.; Forrester, D.M.; Masih, S.; Matcuk, G.R., Jr. Musculoskeletal manifestations of endocrine disorders. Clin. Imaging 2014, 38, 384–396. [Google Scholar] [CrossRef] [PubMed]
- Cianferotti, L.; Cipriani, C.; Corbetta, S.; Corona, G.; Defeudis, G.; Lania, A.G.; Messina, C.; Napoli, N.; Mazziotti, G. Bone quality in endocrine diseases: Determinants and clinical relevance. J. Endocrinol. Investig. 2023, 46, 1283–1304. [Google Scholar] [CrossRef] [PubMed]
- Mirza, F.; Canalis, E. Management of endocrine disease: Secondary osteoporosis: Pathophysiology and management. Eur. J. Endocrinol. 2015, 173, R131–R151. [Google Scholar] [CrossRef] [PubMed] [PubMed Central]
- Palermo, A.; D’Onofrio, L.; Buzzetti, R.; Manfrini, S.; Napoli, N. Pathophysiology of Bone Fragility in Patients with Diabetes. Calcif. Tissue Int. 2017, 100, 122–132. [Google Scholar] [CrossRef] [PubMed]
- American Diabetes Association. Diagnosis and classification of diabetes mellitus. Diabetes Care 2014, 37 (Suppl. 1), S81–S90. [Google Scholar] [CrossRef] [PubMed]
- Vestergaard, P. Discrepancies in bone mineral density and fracture risk in patients with type 1 and type 2 diabetes—A meta-analysis. Osteoporos. Int. 2007, 18, 427–444. [Google Scholar] [CrossRef] [PubMed]
- Tsourdi, E.; Rijntjes, E.; Köhrle, J.; Hofbauer, L.C.; Rauner, M. Hyperthyroidism and Hypothyroidism in Male Mice and Their Effects on Bone Mass, Bone Turnover, and the Wnt Inhibitors Sclerostin and Dickkopf-1. Endocrinology 2015, 156, 3517–3527. [Google Scholar] [CrossRef] [PubMed]
- Vestergaard, P.; Mosekilde, L. Fractures in patients with hyperthyroidism and hypothyroidism: A nationwide follow-up study in 16,249 patients. Thyroid 2002, 12, 411–419. [Google Scholar] [CrossRef] [PubMed]
- Garber, J.R.; Cobin, R.H.; Gharib, H.; Hennessey, J.V.; Klein, I.; Mechanick, J.I.; Pessah-Pollack, R.; Singer, P.A.; Woeber, K.A. American Association of Clinical Endocrinologists and American Thyroid Association Taskforce on Hypothyroidism in Adults. Clinical practice guidelines for hypothyroidism in adults: Cosponsored by the American Association of Clinical Endocrinologists and the American Thyroid Association. Endocr. Pract. 2012, 18, 988–1028, Erratum in Endocr. Pract. 2013, 19, 175. [Google Scholar] [CrossRef] [PubMed]
- Jiang, N.; Xia, W. Assessment of bone quality in patients with diabetes mellitus. Osteoporos. Int. 2018, 29, 1721–1736. [Google Scholar] [CrossRef] [PubMed]
- McCreadie, B.R.; Goldstein, S.A. Biomechanics of fracture: Is bone mineral density sufficient to assess risk? J. Bone Miner. Res. 2000, 15, 2305–2308. [Google Scholar] [CrossRef] [PubMed]
- Fazzalari, N.L.; Parkinson, I.H. Fractal dimension and architecture of trabecular bone. J. Pathol. 1996, 178, 100–105. [Google Scholar] [CrossRef] [PubMed]
- Kato, C.N.; Barra, S.G.; Tavares, N.P.; Amaral, T.M.; Brasileiro, C.B.; Mesquita, R.A.; Abreu, L.G. Use of fractal analysis in dental images: A systematic review. Dentomaxillofac. Radiol. 2020, 49, 20180457. [Google Scholar] [CrossRef] [PubMed] [PubMed Central]
- Sener, E.; Cinarcik, S.; Baksi, B.G. Use of Fractal Analysis for the Discrimination of Trabecular Changes Between Individuals With Healthy Gingiva or Moderate Periodontitis. J. Periodontol. 2015, 86, 1364–1369. [Google Scholar] [CrossRef] [PubMed]
- Chen, S.K.; Oviir, T.; Lin, C.H.; Leu, L.J.; Cho, B.H.; Hollender, L. Digital imaging analysis with mathematical morphology and fractal dimension for evaluation of periapical lesions following endodontic treatment. Oral Surg. Oral Med. Oral Pathol. Oral Radiol. Endodontol. 2005, 100, 467–472. [Google Scholar] [CrossRef] [PubMed]
- Benhamou, C.L.; Poupon, S.; Lespessailles, E.; Loiseau, S.; Jennane, R.; Siroux, V.; Ohley, W.; Pothuaud, L. Fractal analysis of radiographic trabecular bone texture and bone mineral density: Two complementary parameters related to osteoporotic fractures. J. Bone Miner. Res. 2001, 16, 697–704. [Google Scholar] [CrossRef] [PubMed]
- Law, A.N.; Bollen, A.M.; Chen, S.K. Detecting osteoporosis using dental radiographs: A comparison of four methods. J. Am. Dent. Assoc. 1996, 127, 1734–1742. [Google Scholar] [CrossRef] [PubMed]
- Güngör, E.; Yildirim, D.; Çevik, R. Evaluation of osteoporosis in jaw bones using cone beam CT and dual-energy X-ray absorptiometry. J. Oral Sci. 2016, 58, 185–194. [Google Scholar] [CrossRef] [PubMed]
- Kurşun-Çakmak, E.Ş.; Bayrak, S. Comparison of fractal dimension analysis and panoramic-based radiomorphometric indices in the assessment of mandibular bone changes in patients with type 1 and type 2 diabetes mellitus. Oral Surg. Oral Med. Oral Pathol. Oral Radiol. 2018, 126, 184–191. [Google Scholar] [CrossRef] [PubMed]
- Ozturk, E.M.A.; Artas, A. Evaluation of Bone Mineral Changes in Panoramic Radiographs of Hypothyroid and Hyperthyroid Patients Using Fractal Dimension Analysis. J. Clin. Densitom. 2024, 27, 101443. [Google Scholar] [CrossRef] [PubMed]
- Available online: https://imagej.net/ij/download.html (accessed on 12 February 2025).
- White, S.C.; Rudolph, D.J. Alterations of the trabecular pattern of the jaws in patients with osteoporosis. Oral Surg. Oral Med. Oral Pathol. Oral Radiol. Endodontol. 1999, 88, 628–635. [Google Scholar] [CrossRef] [PubMed]
- Mishra, S.; Kumar, M.; Mishra, L.; Mohanty, R.; Nayak, R.; Das, A.C.; Mishra, S.; Panda, S.; Lapinska, B. Fractal dimension as a tool for assessment of dental implant stability—A scoping review. J. Clin. Med. 2022, 11, 4051. [Google Scholar] [CrossRef] [PubMed] [PubMed Central]
- Köse, E.; Ay Ünüvar, Y.; Uzun, M. Assessment of the relationship between fractal analysis of mandibular bone and orthodontic treatment duration: A retrospective study. J. Orofac. Orthop. 2022, 83 (Suppl. 1), 102–110. [Google Scholar] [CrossRef] [PubMed]
- Bayrak, S.; Goller Bulut, D.; Orhan, K.; Sinanoglu, E.A.; Kurşun Çakmak, E.Ş.; Mısırlı, M.; Ankaralı, H. Evaluation of osseous changes in dental panoramic radiography of thalassemia patients using mandibular indexes and fractal size analysis. Oral Radiol. 2020, 36, 18–24. [Google Scholar] [CrossRef] [PubMed]
- Altunok Ünlü, N.; Coşgun, A.; Altan, H. Evaluation of bone changes on dental panoramic radiography using mandibular indexes and fractal dimension analysis in children with familial Mediterranean fever. Oral Radiol. 2023, 39, 312–320. [Google Scholar] [CrossRef] [PubMed]
- Temur, K.T.; Magat, G.; Yılmaz, M.; Ozcan, S. Evaluation of the effect of sickle cell disease on the mandibular bone of children and adolescents by image texture and radiomorphometric analysis. Oral Radiol. 2023, 39, 792–801. [Google Scholar] [CrossRef] [PubMed]
- Apolinário, A.C.; Sindeaux, R.; de Souza Figueiredo, P.T.; Guimarães, A.T.; Acevedo, A.C.; Castro, L.C.; de Paula, A.P.; de Paula, L.M.; de Melo, N.S.; Leite, A.F. Dental panoramic indices and fractal dimension measurements in osteogenesis imperfecta children under pamidronate treatment. Dentomaxillofac. Radiol. 2016, 45, 20150400. [Google Scholar] [CrossRef] [PubMed] [PubMed Central]
- Gumussoy, I.; Miloglu, O.; Cankaya, E.; Bayrakdar, I.S. Fractal properties of the trabecular pattern of the mandible in chronic renal failure. Dentomaxillofac. Radiol. 2016, 45, 20150389. [Google Scholar] [CrossRef] [PubMed] [PubMed Central]
- Ergün, S.; Saraçoglu, A.; Güneri, P.; Ozpinar, B. Application of fractal analysis in hyperparathyroidism. Dentomaxillofac. Radiol. 2009, 38, 281–288. [Google Scholar] [CrossRef] [PubMed]
- Neves, F.S.; Barros, A.S.; Cerqueira, G.A.; Cruz, G.A.; Reis, A.A.; Alves, L.B.; Crusoé-Rebello, I. Assessment of fractal dimension and panoramic radiomorphometric indices in women with celiac disease. Oral Radiol. 2020, 36, 141–147. [Google Scholar] [CrossRef] [PubMed]
- Yavuz, E.; Yardimci, S. Comparison of periapical radiography, panoramic radiography, and CBCT in the evaluation of trabecular bone structure using fractal analysis. Oral Radiol. 2024, 40, 394–400, Erratum in Oral Radiol. 2024, 40, 401. https://doi.org/10.1007/s11282-024-00752-8. [Google Scholar] [CrossRef] [PubMed]
- Dedeoğlu, N.; Eşer, G.; Çelik Özen, D.; Altun, O. Five-year change of panoramic radiomorphometric indices and fractal dimension values in type 2 diabetes patients. Oral Radiol. 2024, 40, 49–57. [Google Scholar] [CrossRef] [PubMed]
- Ay, S.; Gursoy, U.K.; Erselcan, T.; Marakoglu, I. Assessment of mandibular bone mineral density in patients with type 2 diabetes mellitus. Dentomaxillofac. Radiol. 2005, 34, 327–331. [Google Scholar] [CrossRef] [PubMed]
- Jolly, S.J.; Hegde, C.; Shetty, N.S. Assessment of Maxillary and Mandibular Bone Density in Controlled Type II Diabetes: A Computed Tomography Study. J. Oral Implantol. 2015, 41, 400–405. [Google Scholar] [CrossRef] [PubMed]
- Kayipmaz, S.; Akçay, S.; Sezgin, Ö.S. Osteoporotic mandibular changes caused by type 2 diabetes mellitus: A comparative study by cone beam computed tomography imaging. Oral Radiol. 2017, 33, 108–116. [Google Scholar] [CrossRef]
- Pan, H.; Wu, N.; Yang, T.; He, W. Association between bone mineral density and type 1 diabetes mellitus: A meta-analysis of cross-sectional studies. Diabetes Metab. Res. Rev. 2014, 30, 531–542. [Google Scholar] [CrossRef] [PubMed]
- Mosekilde, L.; Melsen, F. Morphometric and dynamic studies of bone changes in hypothyroidism. Acta Pathol. Microbiol. Scand. Sect. A Pathol. 1978, 86A, 56–62. [Google Scholar] [CrossRef] [PubMed]
- Williams, G.R.; Bassett, J.H.D. Thyroid diseases and bone health. J. Endocrinol. Investig. 2018, 41, 99–109. [Google Scholar] [CrossRef] [PubMed] [PubMed Central]
- Grimnes, G.; Emaus, N.; Joakimsen, R.M.; Figenschau, Y.; Jorde, R. The relationship between serum TSH and bone mineral density in men and postmenopausal women: The Tromsø study. Thyroid 2008, 18, 1147–1155. [Google Scholar] [CrossRef] [PubMed]
- Nair, A.; Patil, V.; Bhardwaj, I.; Singhal, D.K.; Smriti, K.; Chhaparwal, Y.; Chhaparwal, S.; Prabhu, D. Radiomorphometric Parameters in Mandibular Panoramic Radiographs of Hypothyroid Patients: A Cross-Sectional Study. Clin. Cosmet. Investig. Dent. 2025, 14, 17, 31–37. [Google Scholar] [CrossRef] [PubMed] [PubMed Central]
- Yilmaz, S.G.; Bayrak, S. Determination of Mandibular Bone Changes in Patients with Primary Hypothyroidism Treated with Levothyroxine Sodium. Acta Endocrinol. 2023, 19, 201–207. [Google Scholar] [CrossRef] [PubMed] [PubMed Central]




| Study Groups | Chi-Square Test | ||||||||||||||
|---|---|---|---|---|---|---|---|---|---|---|---|---|---|---|---|
| Hyperthyroidism | Hypothyroidism | T1DM | T2DM | Controls | Total | ||||||||||
| n | % | n | % | n | % | n | % | n | % | n | % | X2 | p | ||
| Gender | Male | 9 | 22.5 | 6 | 15.0 | 13 | 32.5 | 9 | 22.5 | 9 | 22.5 | 46 | 23 | 3.5 | 0.478 |
| Female | 31 | 77.5 | 34 | 85.0 | 27 | 67.5 | 31 | 77.5 | 31 | 77.5 | 154 | 77 | |||
| Total | 40 | 100 | 40 | 100 | 40 | 100 | 40 | 100 | 40 | 100 | 200 | 100 | |||
| Age | ANOVA | ||||||||||||||
| F | p | ||||||||||||||
| Mean | 50.83 | 50.78 | 50.85 | 50.78 | 50.73 | 50.79 | 0.001 | 1 | |||||||
| Median | 52 | 49 | 52.5 | 51.5 | 49.5 | 51 | |||||||||
| Minimum | 37.0 | 32.0 | 21.0 | 35.0 | 35.0 | 21 | |||||||||
| Maximum | 66.0 | 72.0 | 75.0 | 74.0 | 74.0 | 75 | |||||||||
| Standard Deviation | 8.1 | 8.6 | 13.5 | 9.0 | 9.9 | 9.9 | |||||||||
| Hyperthyroidism | Control | Hypothyroidism | Control | |||
|---|---|---|---|---|---|---|
| ROI | Mean ± SD | Mean ± SD | p | Mean ± SD | Mean ± SD | p |
| ROI1 | 1.406 ± 0.160 | 1.478 ± 0.157 | 0.018 a | 1.453 ± 0.158 | 1.478 ± 0.157 | 0.607 a |
| ROI2 | 1.400 ± 0.152 | 1.461 ± 0.117 | 0.057 a | 1.453 ± 0.135 | 1.461 ± 0.117 | 0.651 a |
| ROI3 | 1.510 ± 0.131 | 1.526 ± 0.105 | 0.969 a | 1.526 ± 0.070 | 1.526 ± 0.105 | 0.416 a |
| ROI4 | 1.547 ± 0.057 | 1.541 ± 0.061 | 0.647 b | 1.554 ± 0.060 | 1.541 ± 0.061 | 0.316 b |
| Type 1 DM | Control | Type 2 DM | Control | |||
| ROI1 | 1.498 ± 0.150 | 1.478 ± 0.157 | 0.408 a | 1.438 ± 0.180 | 1.478 ± 0.157 | 0.277 a |
| ROI2 | 1.454 ± 0.131 | 1.461 ± 0.117 | 0.916 a | 1.453 ± 0.160 | 1.461 ± 0.117 | 0.795 a |
| ROI3 | 1.533 ± 0.087 | 1.526 ± 0.105 | 0.988 a | 1.545 ± 0.062 | 1.526 ± 0.105 | 0.780 a |
| ROI4 | 1.521 ± 0.087 | 1.541 ± 0.061 | 0.253 b | 1.543 ± 0.052 | 1.541 ± 0.061 | 0.765 a |
| Hyperthyroidism | Control | Hypothyroidism | Control | |||
|---|---|---|---|---|---|---|
| ROI | Mean ± SD | Mean ± SD | p | Mean ± SD | Mean ± SD | p |
| ROI1 | 95.988 ± 27.529 | 108.063 ± 32.056 | 0.075 b | 111.134 ± 29.653 | 108.063 ± 32.056 | 0.658 b |
| ROI2 | 76.368 ± 29.770 | 79.843 ± 30.411 | 0.607 b | 86.448 ± 32.121 | 79.843 ± 30.411 | 0.348 b |
| ROI3 | 89.683 ± 18.830 | 86.231 ± 18.349 | 0.409 b | 89.924 ± 16.307 | 86.231 ± 18.349 | 0.344 b |
| ROI4 | 116.103 ± 21.520 | 111.702 ± 18.459 | 0.329 b | 107.222 ± 19.790 | 111.702 ± 18.459 | 0.298 b |
| Type 1 DM | Control | Type 2 DM | Control | |||
| ROI1 | 109.568 ± 28.771 | 108.063 ± 32.056 | 0.826 b | 117.618 ± 29.570 | 108.063 ± 32.056 | 0.170 b |
| ROI2 | 82.291 ± 27.352 | 79.843 ± 30.411 | 0.706 b | 89.150 ± 29.037 | 79.843 ± 30.411 | 0.166 b |
| ROI3 | 91.934 ± 18.693 | 86.231 ± 18.349 | 0.172 b | 93.185 ± 18.584 | 86.231 ± 18.349 | 0.096 b |
| ROI4 | 113.142 ± 24.282 | 111.702 ± 18.459 | 0.766 b | 107.877 ± 21.399 | 111.702 ± 18.459 | 0.395 b |
| Fractal Dimension | Histogram | ||
| ROI1 | Spearman Correlation | 0.286 | |
| p | <0.001 | ||
| N | 200 | ||
| ROI2 | Spearman Correlation | 0.260 | |
| p | <0.001 | ||
| N | 200 | ||
| ROI3 | Spearman Correlation | 0.110 | |
| p | 0.122 | ||
| N | 200 | ||
| ROI4 | Spearman Correlation | 0.117 | |
| p | 0.100 | ||
| N | 200 | ||
Disclaimer/Publisher’s Note: The statements, opinions and data contained in all publications are solely those of the individual author(s) and contributor(s) and not of MDPI and/or the editor(s). MDPI and/or the editor(s) disclaim responsibility for any injury to people or property resulting from any ideas, methods, instructions or products referred to in the content. |
© 2025 by the authors. Licensee MDPI, Basel, Switzerland. This article is an open access article distributed under the terms and conditions of the Creative Commons Attribution (CC BY) license (https://creativecommons.org/licenses/by/4.0/).
Share and Cite
Yıldızer, E.; Sari, S.K.; Peker, F.; Erdogan, A.R.; Sancak, K.; Ertem, S.Y. Assessment of Mandibular Bone Architecture in Patients with Endocrine Disorders Using Fractal Dimension and Histogram Analysis. Tomography 2025, 11, 70. https://doi.org/10.3390/tomography11060070
Yıldızer E, Sari SK, Peker F, Erdogan AR, Sancak K, Ertem SY. Assessment of Mandibular Bone Architecture in Patients with Endocrine Disorders Using Fractal Dimension and Histogram Analysis. Tomography. 2025; 11(6):70. https://doi.org/10.3390/tomography11060070
Chicago/Turabian StyleYıldızer, Elif, Saliha Kubra Sari, Fatih Peker, Ali Riza Erdogan, Kevser Sancak, and Sinan Yasin Ertem. 2025. "Assessment of Mandibular Bone Architecture in Patients with Endocrine Disorders Using Fractal Dimension and Histogram Analysis" Tomography 11, no. 6: 70. https://doi.org/10.3390/tomography11060070
APA StyleYıldızer, E., Sari, S. K., Peker, F., Erdogan, A. R., Sancak, K., & Ertem, S. Y. (2025). Assessment of Mandibular Bone Architecture in Patients with Endocrine Disorders Using Fractal Dimension and Histogram Analysis. Tomography, 11(6), 70. https://doi.org/10.3390/tomography11060070

