Image Quality and Lesion Detectability with Low-Monoenergetic Imaging: A Study of Low-Concentration Iodine Contrast in Hepatic Multiphase CT for Chronic Liver Disease
Abstract
1. Introduction
2. Materials and Methods
2.1. Patient Population
2.2. Image Acquisition and Reconstruction
2.3. Qualitative Image Analysis
2.4. Quantitative Image Analysis
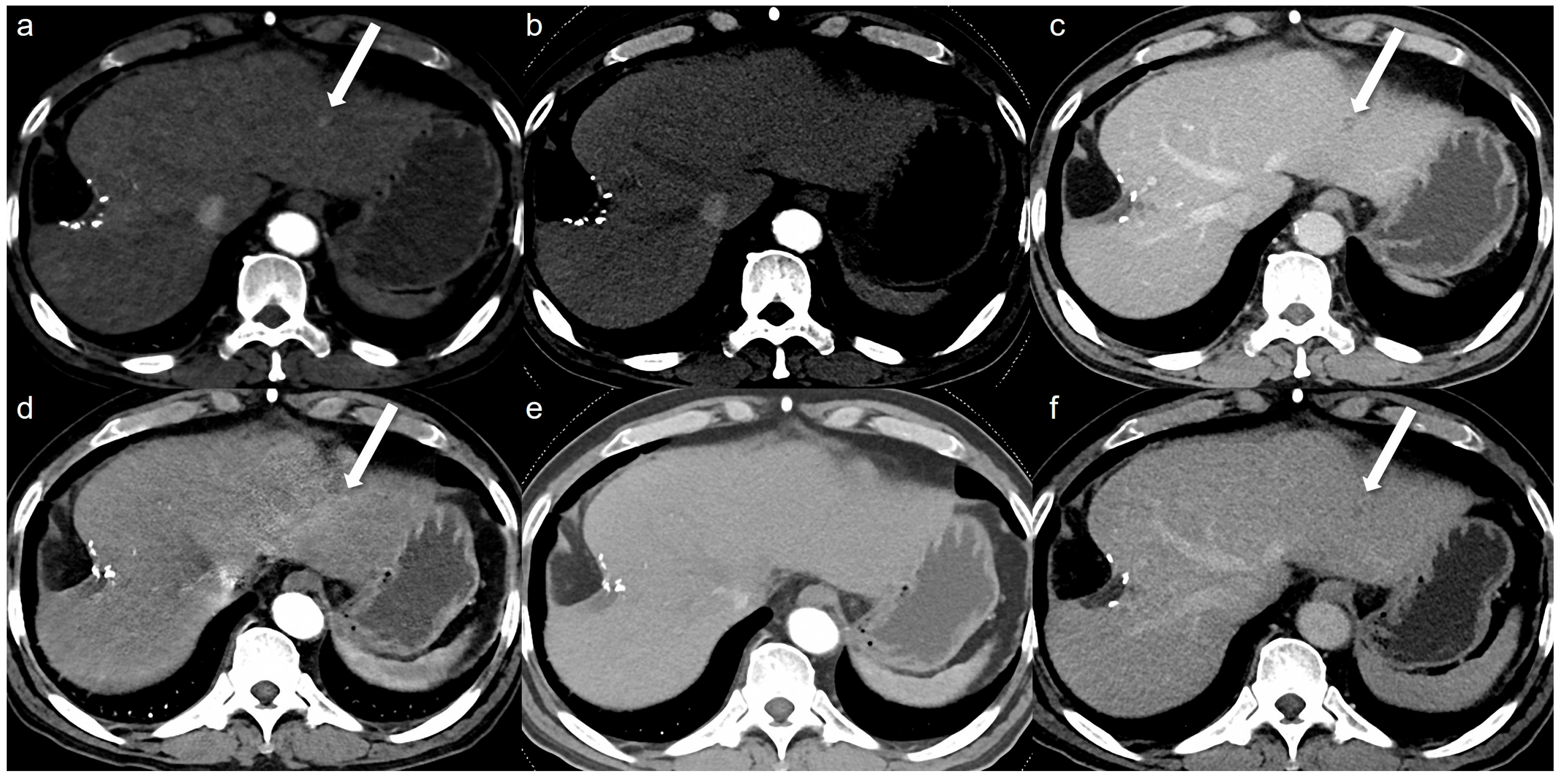
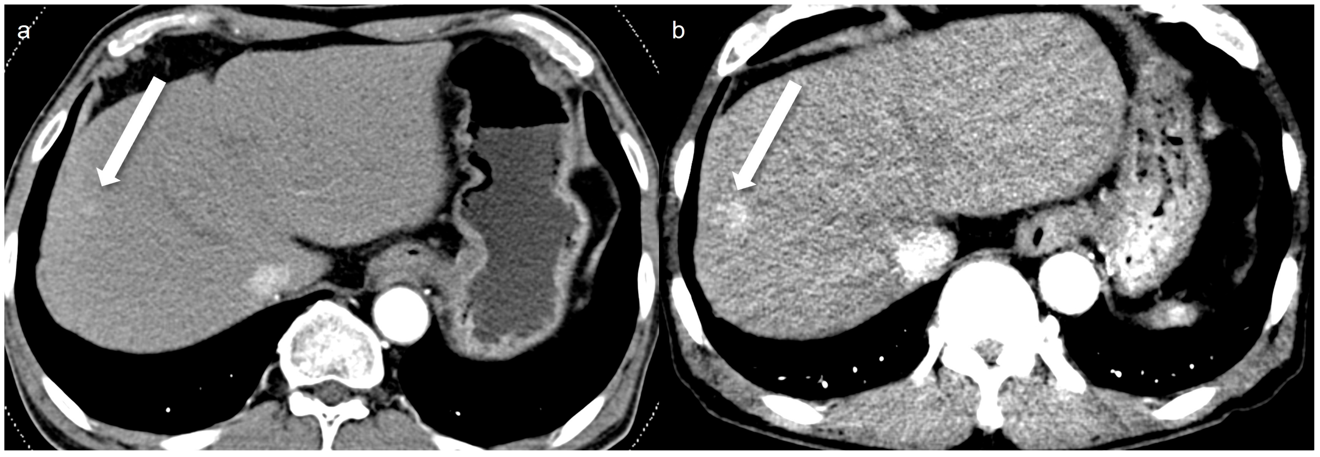
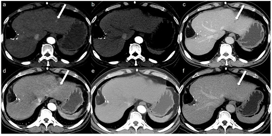
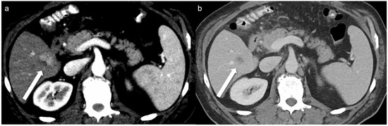
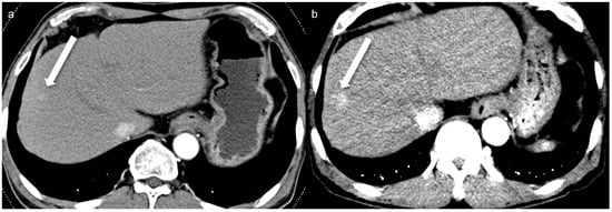
2.5. Focal Liver Lesion Evaluation
2.6. Statistical Analysis
3. Results
4. Discussion
Supplementary Materials
Author Contributions
Funding
Institutional Review Board Statement
Informed Consent Statement
Data Availability Statement
Conflicts of Interest
Abbreviations
| CT | Computed tomography |
| SDCT | Standard-dose computed tomography |
| LCLM CT | Low-concentration iodine contrast-enhanced multiphase low-monoenergetic computed tomography |
| DECT | Dual-energy computed tomography |
| SNR | Signal-to-noise ratio |
| CNR | Contrast-to-noise ratio |
| CI | Confidence interval |
| HCC | Hepatocellular carcinoma |
| ROI | Region of interest |
| FOM | Figures of merit |
Appendix A. Sample Size Confirmation
References
- Ferlay, J.; Colombet, M.; Soerjomataram, I.; Mathers, C.; Parkin, D.M.; Pineros, M.; Znaor, A.; Bray, F. Estimating the global cancer incidence and mortality in 2018: GLOBOCAN sources and methods. Int. J. Cancer 2019, 144, 1941–1953. [Google Scholar] [CrossRef] [PubMed]
- Park, W.; Chung, Y.H.; Kim, J.A.; Jin, Y.J.; Lee, D.; Shim, J.H.; Lee, D.; Kim, K.M.; Lim, Y.S.; Lee, H.C. Recurrences of hepatocellular carcinoma following complete remission by transarterial chemoembolization or radiofrequency therapy: Focused on the recurrence patterns. Hepatol. Res. 2013, 43, 1304–1312. [Google Scholar] [CrossRef] [PubMed]
- Yang, W.; Yan, K.; Goldberg, S.N.; Ahmed, M.; Lee, J.-C.; Wu, W.; Zhang, Z.-Y.; Wang, S.; Chen, M.-H. Ten-year survival of hepatocellular carcinoma patients undergoing radiofrequency ablation as a first-line treatment. World J. Gastroenterol. 2016, 22, 2993. [Google Scholar] [CrossRef] [PubMed]
- Chen, M.-F.; Hwang, T.-L.; Jeng, L.-B.; Wang, C.-S.; Jan, Y.-Y.; Chen, S.-C. Postoperative recurrence of hepatocellular carcinoma: Two hundred five consecutive patients who underwent hepatic resection in 15 years. Arch. Surg. 1994, 129, 738–742. [Google Scholar] [CrossRef]
- Liu, D.; Fong, D.Y.; Chan, A.C.; Poon, R.T.; Khong, P.-L. Hepatocellular carcinoma: Surveillance CT schedule after hepatectomy based on risk stratification. Radiology 2015, 274, 133–140. [Google Scholar] [CrossRef]
- Boas, F.E.; Do, B.; Louie, J.D.; Kothary, N.; Hwang, G.L.; Kuo, W.T.; Hovsepian, D.M.; Kantrowitz, M.; Sze, D.Y. Optimal imaging surveillance schedules after liver-directed therapy for hepatocellular carcinoma. J. Vasc. Interv. Radiol. 2015, 26, 69–73. [Google Scholar] [CrossRef]
- Nam, C.Y.; Chaudhari, V.; Raman, S.S.; Lassman, C.; Tong, M.J.; Busuttil, R.W.; Lu, D.S. CT and MRI improve detection of hepatocellular carcinoma, compared with ultrasound alone, in patients with cirrhosis. Clin. Gastroenterol. Hepatol. 2011, 9, 161–167. [Google Scholar]
- Hanna, R.F.; Miloushev, V.Z.; Tang, A.; Finklestone, L.A.; Brejt, S.Z.; Sandhu, R.S.; Santillan, C.S.; Wolfson, T.; Gamst, A.; Sirlin, C.B. Comparative 13-year meta-analysis of the sensitivity and positive predictive value of ultrasound, CT, and MRI for detecting hepatocellular carcinoma. Abdom. Radiol. 2016, 41, 71–90. [Google Scholar] [CrossRef]
- Galle, P.R.; Forner, A.; Llovet, J.M.; Mazzaferro, V.; Piscaglia, F.; Raoul, J.-L.; Schirmacher, P.; Vilgrain, V. EASL clinical practice guidelines: Management of hepatocellular carcinoma. J. Hepatol. 2018, 69, 182–236. [Google Scholar] [CrossRef]
- Wilson, S.R.; Lyshchik, A.; Piscaglia, F.; Cosgrove, D.; Jang, H.-J.; Sirlin, C.; Dietrich, C.F.; Kim, T.K.; Willmann, J.K.; Kono, Y. CEUS LI-RADS: Algorithm, implementation, and key differences from CT/MRI. Abdom. Radiol. 2018, 43, 127–142. [Google Scholar] [CrossRef]
- Fähling, M.; Seeliger, E.; Patzak, A.; Persson, P.B. Understanding and preventing contrast-induced acute kidney injury. Nat. Rev. Nephrol. 2017, 13, 169–180. [Google Scholar] [CrossRef] [PubMed]
- Noda, Y.; Kanematsu, M.; Goshima, S.; Kondo, H.; Watanabe, H.; Kawada, H.; Kawai, N.; Tanahashi, Y.; Miyoshi, T.R.T.; Bae, K.T. Reducing iodine load in hepatic CT for patients with chronic liver disease with a combination of low-tube-voltage and adaptive statistical iterative reconstruction. Eur. J. Radiol. 2015, 84, 11–18. [Google Scholar] [CrossRef]
- Kang, H.-J.; Lee, J.M.; Ahn, C.; Bae, J.S.; Han, S.; Kim, S.W.; Yoon, J.H.; Han, J.K. Low dose of contrast agent and low radiation liver computed tomography with deep-learning-based contrast boosting model in participants at high-risk for hepatocellular carcinoma: Prospective, randomized, double-blind study. Eur. Radiol. 2023, 33, 3660–3670. [Google Scholar] [CrossRef] [PubMed]
- Paparo, F.; Garello, I.; Bacigalupo, L.; Marziano, A.; Pregliasco, A.G.; Rollandi, L.; Puppo, C.; Mattioli, F.; Puntoni, M.; Rollandi, G.A. CT of the abdomen: Degree and quality of enhancement obtained with two concentrations of the same iodinated contrast medium with fixed iodine delivery rate and total iodine load. Eur. J. Radiol. 2014, 83, 1995–2000. [Google Scholar] [CrossRef]
- Choi, M.H.; Lee, Y.J.; Jung, S.E. The Image Quality and Diagnostic Performance of CT with Low-Concentration Iodine Contrast (240 mg Iodine/mL) for the Abdominal Organs. Diagnostics 2022, 12, 752. [Google Scholar] [CrossRef]
- Bae, K.T. Intravenous contrast medium administration and scan timing at CT: Considerations and approaches. Radiology 2010, 256, 32–61. [Google Scholar] [CrossRef] [PubMed]
- Neuhaus, V.; Abdullayev, N.; Hokamp, N.G.; Pahn, G.; Kabbasch, C.; Mpotsaris, A.; Maintz, D.; Borggrefe, J. Improvement of image quality in unenhanced dual-layer CT of the head using virtual monoenergetic images compared with polyenergetic single-energy CT. Investig. Radiol. 2017, 52, 470–476. [Google Scholar] [CrossRef] [PubMed]
- Zhong, H.; Huang, Q.; Zheng, X.; Wang, Y.; Qian, Y.; Chen, X.; Wang, J.; Duan, S. Generation of virtual monoenergetic images at 40 keV of the upper abdomen and image quality evaluation based on generative adversarial networks. BMC Med. Imaging 2024, 24, 151. [Google Scholar] [CrossRef]
- Woeltjen, M.M.; Niehoff, J.H.; Roggel, R.; Michael, A.E.; Gerdes, B.; Surov, A.; Borggrefe, J.; Kroeger, J.R. Pancreatic cancer in photon-counting CT: Low keV virtual monoenergetic images improve tumor conspicuity. Eur. J. Radiol. 2024, 173, 111374. [Google Scholar] [CrossRef]
- Albrecht, M.H.; Scholtz, J.E.; Hüsers, K.; Beeres, M.; Bucher, A.M.; Kaup, M.; Martin, S.S.; Fischer, S.; Bodelle, B.; Bauer, R.W.; et al. Advanced image-based virtual monoenergetic dual-energy CT angiography of the abdomen: Optimization of kiloelectron volt settings to improve image contrast. Eur. Radiol. 2016, 26, 1863–1870. [Google Scholar] [CrossRef]
- Zhou, Y.; Xu, H.; Hou, P.; Dong, J.Q.; Wang, M.Y.; Gao, J.B. Monochromatic Spectral Computed Tomography with Low Iodine Concentration Contrast Medium in a Rabbit VX2 Liver Model: Investigation of Image Quality and Detection Rate. Acad. Radiol. 2016, 23, 486–495. [Google Scholar] [CrossRef] [PubMed]
- Schöckel, L.; Jost, G.; Seidensticker, P.; Lengsfeld, P.; Palkowitsch, P.; Pietsch, H. Developments in X-Ray Contrast Media and the Potential Impact on Computed Tomography. Investig. Radiol. 2020, 55, 592–597. [Google Scholar] [CrossRef]
- Euler, A.; Obmann, M.M.; Szucs-Farkas, Z.; Mileto, A.; Zaehringer, C.; Falkowski, A.L.; Winkel, D.J.; Marin, D.; Stieltjes, B.; Krauss, B. Comparison of image quality and radiation dose between split-filter dual-energy images and single-energy images in single-source abdominal CT. Eur. Radiol. 2018, 28, 3405–3412. [Google Scholar] [CrossRef]
- Nagayama, Y.; Nakaura, T.; Oda, S.; Utsunomiya, D.; Funama, Y.; Iyama, Y.; Taguchi, N.; Namimoto, T.; Yuki, H.; Kidoh, M. Dual-layer DECT for multiphasic hepatic CT with 50 percent iodine load: A matched-pair comparison with a 120 kVp protocol. Eur. Radiol. 2018, 28, 1719–1730. [Google Scholar] [CrossRef]
- Yoon, J.H.; Chang, W.; Lee, E.S.; Lee, S.M.; Lee, J.M. Double Low-Dose Dual-Energy Liver CT in Patients at High-Risk of HCC: A Prospective, Randomized, Single-Center Study. Investig. Radiol. 2020, 55, 340–348. [Google Scholar] [CrossRef] [PubMed]
- Chernyak, V.; Fowler, K.J.; Kamaya, A.; Kielar, A.Z.; Elsayes, K.M.; Bashir, M.R.; Kono, Y.; Do, R.K.; Mitchell, D.G.; Singal, A.G. Liver Imaging Reporting and Data System (LI-RADS) version 2018: Imaging of hepatocellular carcinoma in at-risk patients. Radiology 2018, 289, 816–830. [Google Scholar] [CrossRef]
- Kataria, B.; Nilsson Althén, J.; Smedby, Ö.; Persson, A.; Sökjer, H.; Sandborg, M. Assessment of image quality in abdominal computed tomography: Effect of model-based iterative reconstruction, multi-planar reconstruction and slice thickness on potential dose reduction. Eur. J. Radiol. 2020, 122, 108703. [Google Scholar] [CrossRef] [PubMed]
- Lee, H.J.; Kim, J.S.; Lee, J.K.; Lee, H.A.; Pak, S. Ultra-low-dose hepatic multiphase CT using deep learning-based image reconstruction algorithm focused on arterial phase in chronic liver disease: A non-inferiority study. Eur. J. Radiol. 2023, 159, 110659. [Google Scholar] [CrossRef]
- Morimoto, L.N.; Kamaya, A.; Boulay-Coletta, I.; Fleischmann, D.; Molvin, L.; Tian, L.; Fisher, G.; Wang, J.; Willmann, J.K. Reduced dose CT with model-based iterative reconstruction compared to standard dose CT of the chest, abdomen, and pelvis in oncology patients: Intra-individual comparison study on image quality and lesion conspicuity. Abdom. Radiol. (NY) 2017, 42, 2279–2288. [Google Scholar] [CrossRef]
- Park, S.; Yoon, J.H.; Joo, I.; Yu, M.H.; Kim, J.H.; Park, J.; Kim, S.W.; Han, S.; Ahn, C.; Kim, J.H. Image quality in liver CT: Low-dose deep learning vs. standard-dose model-based iterative reconstructions. Eur. Radiol. 2022, 32, 2865–2874. [Google Scholar] [CrossRef]
- Wongpakaran, N.; Wongpakaran, T.; Wedding, D.; Gwet, K.L. A comparison of Cohen’s Kappa and Gwet’s AC1 when calculating inter-rater reliability coefficients: A study conducted with personality disorder samples. BMC Med. Res. Methodol. 2013, 13, 61. [Google Scholar] [CrossRef]
- Chakraborty, D.P.; Berbaum, K.S. Observer studies involving detection and localization: Modeling, analysis, and validation. Med. Phys. 2004, 31, 2313–2330. [Google Scholar] [CrossRef] [PubMed]
- Nam, J.G.; Lee, J.M.; Lee, S.M.; Kang, H.-J.; Lee, E.S.; Hur, B.Y.; Yoon, J.H.; Kim, E.; Doneva, M. High acceleration three-dimensional T1-weighted dual echo Dixon hepatobiliary phase imaging using compressed sensing-sensitivity encoding: Comparison of image quality and solid lesion detectability with the standard T1-weighted sequence. Korean J. Radiol. 2019, 20, 438–448. [Google Scholar] [CrossRef] [PubMed]
- Guerrini, S.; Zanoni, M.; Sica, C.; Bagnacci, G.; Mancianti, N.; Galzerano, G.; Garosi, G.; Cacioppa, L.M.; Cellina, M.; Zamboni, G.A.; et al. Dual-Energy CT as a Well-Established CT Modality to Reduce Contrast Media Amount: A Systematic Review from the Computed Tomography Subspecialty Section of the Italian Society of Radiology. J. Clin. Med. 2024, 13, 6345. [Google Scholar] [CrossRef] [PubMed]
- Bae, J.S.; Lee, J.M.; Kim, S.W.; Park, S.; Han, S.; Yoon, J.H.; Joo, I.; Hong, H. Low-contrast-dose liver CT using low monoenergetic images with deep learning–based denoising for assessing hepatocellular carcinoma: A randomized controlled noninferiority trial. Eur. Radiol. 2023, 33, 4344–4354. [Google Scholar] [CrossRef]
- Kim, S.Y.; Cho, J.Y.; Lee, J.; Hwang, S.I.; Moon, M.H.; Lee, E.J.; Hong, S.S.; Kim, C.K.; Kim, K.A.; Park, S.B. Low-tube-voltage CT urography using low-concentration-iodine contrast media and iterative reconstruction: A multi-institutional randomized controlled trial for comparison with conventional CT urography. Korean J. Radiol. 2018, 19, 1119–1129. [Google Scholar] [CrossRef]
- Lim, Y.; Kim, J.S.; Lee, H.J.; Lee, J.K.; Lee, H.A.; Park, C. Image Quality and Lesion Detectability of Low-Concentration Iodine Contrast and Low Radiation Hepatic Multiphase CT Using a Deep-Learning-Based Contrast-Boosting Model in Chronic Liver Disease Patients. Diagnostics 2024, 14, 2308. [Google Scholar] [CrossRef]
- Yoon, J.H.; Park, J.Y.; Lee, S.M.; Lee, E.S.; Kim, J.H.; Lee, J.M. Renal protection CT protocol using low-dose and low-concentration iodine contrast medium in at-risk patients of HCC and with chronic kidney disease: A randomized controlled non-inferiority trial. Cancer Imaging 2023, 23, 100. [Google Scholar] [CrossRef]
- Furuta, A.; Ito, K.; Fujita, T.; Koike, S.; Shimizu, A.; Matsunaga, N. Hepatic enhancement in multiphasic contrast-enhanced MDCT: Comparison of high-and low-iodine-concentration contrast medium in same patients with chronic liver disease. Am. J. Roentgenol. 2004, 183, 157–162. [Google Scholar] [CrossRef]
- Parakh, A.; Lennartz, S.; An, C.; Rajiah, P.; Yeh, B.M.; Simeone, F.J.; Sahani, D.V.; Kambadakone, A.R. Dual-energy CT images: Pearls and pitfalls. Radiographics 2021, 41, 98–119. [Google Scholar] [CrossRef]
- Ahn, S.; Park, S.H.; Lee, K.H. How to demonstrate similarity by using noninferiority and equivalence statistical testing in radiology research. Radiology 2013, 267, 328–338. [Google Scholar] [CrossRef] [PubMed]




| Score | Overall Image Quality | Hepatic Artery Clarity | Contrast of the Liver | Image Noise | Lesion Conspicuity |
|---|---|---|---|---|---|
| 1 | Very poor (non-diagnostic quality and reexamination needed) | Not delineated | Substantial lack of contrast similar to non-contrast CT or the nephrogenic phase | Non-diagnostic images with severe noise | Not detectable |
| 2 | Suboptimal (unsatisfactory quality but reexamination not needed) | Barely distinct | Poor contrast | Moderate noise with diagnostic performance impairment | Barely distinct |
| 3 | Average | Clear common hepatic artery (CHA) and proper hepatic artery (PHA) but blurred HA | Average contrast | Moderate noise but no diagnostic performance impairment | Moderately distinct (blurry margin) |
| 4 | Above average | Bilateral HA is clearly visible, but segmental HA is blurred | Good contrast | Mild noise without effect on the diagnostic quality | Fairly distinct (round but some blurry margin) |
| 5 | Excellent | The entire HA (including segmental branch) is clearly visible | Very strong contrast | No perceivable noise | Definitely distinct (with sharp margin) |
| Characteristics | SDCT | LCLM CT | p-Value |
|---|---|---|---|
| Laboratory findings | |||
| Albumin, g/dL | 4.19 ± 0.65 (2.5–5.0) | 4.29 ± 0.58 (1.9–5.1) | 0.186 |
| Total bilirubin, mg/dL | 1.35 ± 2.27 (0.33–14.69) | 1.02 ± 0.88 (0.23–4.90) | 0.200 |
| Platelet count, ×103/mm3 | 195.49 ± 109.65 (47–650) | 188.81 ± 85.33 (40–416) | 0.480 |
| AFP, ng/mL | 32.83 ± 121.25 (1–663) | 21.32 ± 91.35 (1–634) | 0.295 |
| Body weight, kg | 68.06 ± 12.03 (35–100) | 67.27 ± 12.22 (35–100) | 0.124 |
| Mean body mass index, kg/m2 | 25.01 ± 3.73 (13.50–35.61) | 24.61± 3.49 (13.50–32.92) | 0.020 |
| Iodine dose per kilogram | 621.77 ± 101.96 | 485.16 ± 80.25 | <0.001 |
| DLP, mGycm | 1001.59 ± 367.22 (318–2216) | 880.03 ± 329.90 (329–1837) | <0.001 |
| Effective dose, mSv | 15.02 ± 5.51 (4.77–33.24) | 13.30 ± 4.94 (4.94–27.56) | <0.001 |
| SDCT | LCLM CT | p-Value | Inter-Reader Agreement (Gwet’s AC2) | |
|---|---|---|---|---|
| Overall image quality | 4.94 ± 0.24 [4.10, 5.78] | 4.82 ± 0.46 [4.00, 5.64] | 0.001 | 0.929 [0.893, 0.965] |
| Hepatic artery clarity | 4.83 ± 0.50 [4.01, 5.64] | 4.93 ± 0.32 [4.09, 5.76] | 0.047 | 0.961 [0.932, 0.985] |
| Contrast of the liver | 4.90 ± 0.31 [4.07, 5.72] | 4.97 ± 0.24 [4.13, 5.81] | 0.032 | 0.959 [0.932, 0.985] |
| Image noise | 4.93 ± 0.25 [4.10, 5.77] | 4.83 ± 0.42 [4.01, 5.65] | 0.002 | 0.893 [0.848, 0.937] |
| Quantitative Analysis | SDCT | LCLM CT | p-Value |
|---|---|---|---|
| Noise | 8.80 ± 2.77 | 12.45 ± 1.69 | <0.001 |
| Measured average HU | |||
| Liver | 70.27 ± 11.91 | 97.38 ± 17.62 | <0.001 |
| Aorta | 324.19 ± 106.46 | 835.06 ± 179.22 | <0.001 |
| Focal liver lesion | 147.63 ± 51.78 | 330.90 ± 152.46 | <0.001 |
| SNR of the liver | 8.63 ± 2.55 | 7.97 ± 1.78 | 0.058 |
| CNR of the aorta | 51.69 ± 18.43 | 83.36 ± 18.86 | <0.001 |
| CNR of arterial enhancing focal lesions | 9.27 ± 5.74 † | 17.99 ± 10.68 † | <0.001 |
Disclaimer/Publisher’s Note: The statements, opinions and data contained in all publications are solely those of the individual author(s) and contributor(s) and not of MDPI and/or the editor(s). MDPI and/or the editor(s) disclaim responsibility for any injury to people or property resulting from any ideas, methods, instructions or products referred to in the content. |
© 2025 by the authors. Licensee MDPI, Basel, Switzerland. This article is an open access article distributed under the terms and conditions of the Creative Commons Attribution (CC BY) license (https://creativecommons.org/licenses/by/4.0/).
Share and Cite
Kim, J.E.; Lim, Y.; Kim, J.S.; Lee, H.J.; Lee, J.K.; Lee, H.A. Image Quality and Lesion Detectability with Low-Monoenergetic Imaging: A Study of Low-Concentration Iodine Contrast in Hepatic Multiphase CT for Chronic Liver Disease. Tomography 2025, 11, 66. https://doi.org/10.3390/tomography11060066
Kim JE, Lim Y, Kim JS, Lee HJ, Lee JK, Lee HA. Image Quality and Lesion Detectability with Low-Monoenergetic Imaging: A Study of Low-Concentration Iodine Contrast in Hepatic Multiphase CT for Chronic Liver Disease. Tomography. 2025; 11(6):66. https://doi.org/10.3390/tomography11060066
Chicago/Turabian StyleKim, Jae En, Yewon Lim, Jin Sil Kim, Hyo Jeong Lee, Jeong Kyong Lee, and Hye Ah Lee. 2025. "Image Quality and Lesion Detectability with Low-Monoenergetic Imaging: A Study of Low-Concentration Iodine Contrast in Hepatic Multiphase CT for Chronic Liver Disease" Tomography 11, no. 6: 66. https://doi.org/10.3390/tomography11060066
APA StyleKim, J. E., Lim, Y., Kim, J. S., Lee, H. J., Lee, J. K., & Lee, H. A. (2025). Image Quality and Lesion Detectability with Low-Monoenergetic Imaging: A Study of Low-Concentration Iodine Contrast in Hepatic Multiphase CT for Chronic Liver Disease. Tomography, 11(6), 66. https://doi.org/10.3390/tomography11060066

