Diagnostic Performance of CBCT in Detecting Different Types of Root Fractures with Various Intracanal Post Systems
Abstract
1. Introduction
2. Materials and Methods
2.1. Study Design and Sample Preparation
2.2. Fracture Induction
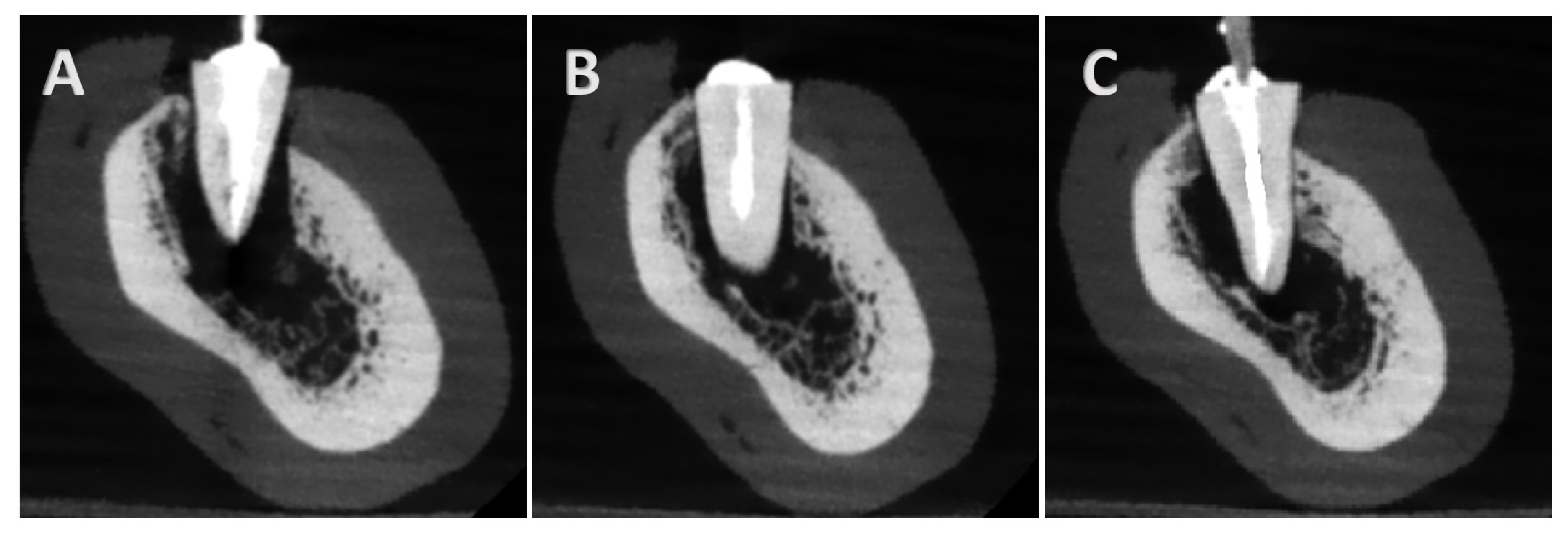
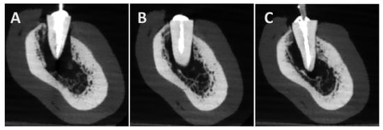
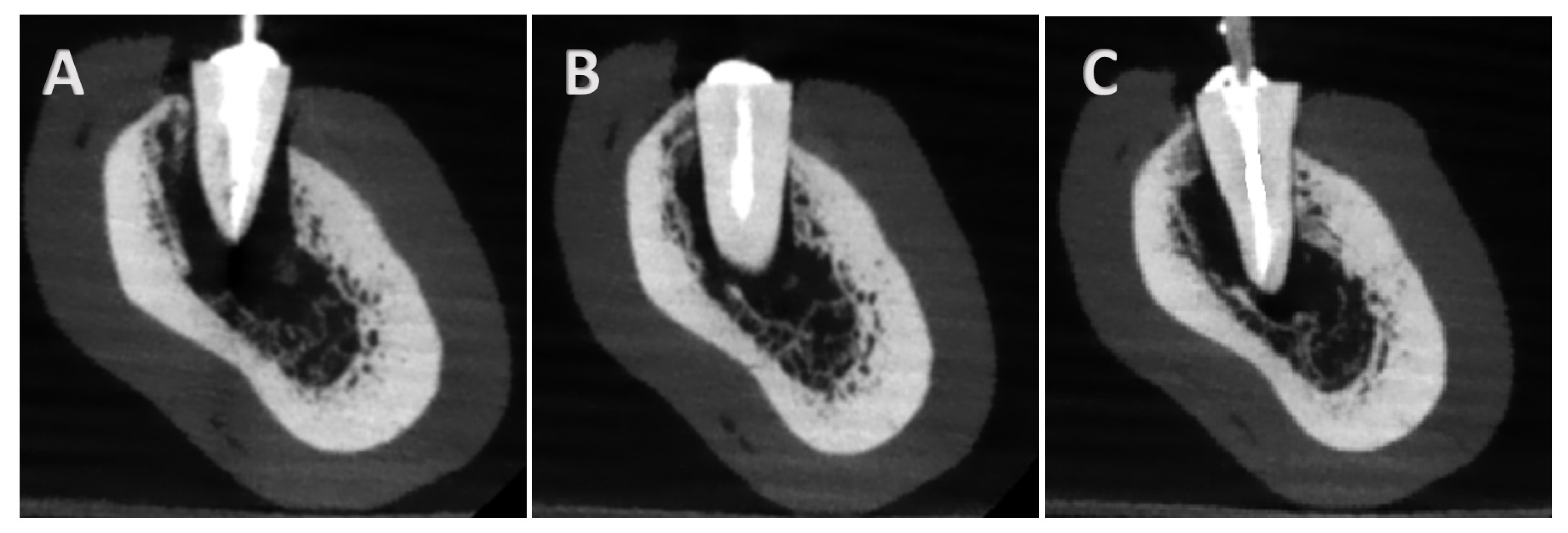
2.3. CBCT Imaging and 3D Radiographic Evaluation
2.4. Statistical Analysis
3. Results
4. Discussion
Regarding Limitations
5. Conclusions
Author Contributions
Funding
Institutional Review Board Statement
Informed Consent Statement
Data Availability Statement
Conflicts of Interest
References
- Durack, C.; Patel, S. Cone beam computed tomography in endodontics. Braz. Dent. J. 2012, 23, 179–191. [Google Scholar] [CrossRef] [PubMed]
- Shokri, A.; Eskandarloo, A.; Zahedi, F.; Karkehabadi, H.; Foroozandeh, M.; Farhadian, M. Effect of different intracanal posts and exposure parameters on detection of vertical root fractures by cone-beam computed tomography. Aust. Endod. J. 2022, 49, 132–145. [Google Scholar] [CrossRef] [PubMed]
- Mikrogeorgis, G.; Eirinaki, E.; Kapralos, V.; Koutroulis, A.; Lyroudia, K.; Pitas, I. Diagnosis of vertical root fractures in endodontically treated teeth utilising Digital Subtraction Radiography: A case series report. Aust. Endod. J. 2017, 44, 286–291. [Google Scholar] [CrossRef]
- Sheikhnezami, M.; Shahmohammadi, R.; Jafarzadeh, H.; Azarpazhooh, A. Long-term outcome of horizontal root fractures in permanent teeth: A retrospective cohort study. J Endod. 2024, 50, 579–589. [Google Scholar] [CrossRef]
- Tsesis, I.; Rosen, E.; Tamse, A.; Taschieri, S.; Kfir, A. Diagnosis of Vertical Root Fractures in Endodontically Treated Teeth Based on Clinical and Radiographic Indices: A Systematic Review. J. Endod. 2010, 36, 1455–1458. [Google Scholar] [CrossRef]
- Habibzadeh, S.; Ghoncheh, Z.; Kabiri, P.; Mosaddad, S.A. Diagnostic efficacy of cone-beam computed tomography for detection of vertical root fractures in endodontically treated teeth: A systematic review. BMC Med Imaging 2023, 23, 68. [Google Scholar] [CrossRef]
- Shaker, I.; Mohamed, N.; Abdelsamad, A. Effect of applying metal artifact reduction algorithm in cone beam computed tomography in detection of vertical root fractures of teeth with metallic post versus digital intraoral radiography. Saudi Endod. J. 2019, 9, 51. [Google Scholar] [CrossRef]
- de Menezes, R.F.; de Araújo, N.C.; Rosa, J.M.C.S.; Carneiro, V.S.M.; Neto, A.P.d.S.; Costa, V.; Moreno, L.M.; Miranda, J.M.; de Albuquerque, D.S.; Albuquerque, M.; et al. Detection of vertical root fractures in endodontically treated teeth in the absence and in the presence of metal post by cone-beam computed tomography. BMC Oral Heal. 2016, 16, 48. [Google Scholar] [CrossRef]
- Vieira, M.L.E.; de Lima, D.E.; Peixoto, L.R.; Pinto, O.M.G.; Melo, S.S.L.; Oliveira, M.L.; Silva, R.K.; Bento, P.M.; de Melo, P.D. Assessment of the influence of different intracanal materials on the detection of root fracture in birooted teeth by cone-beam computed tomography. J. Endod. 2020, 46, 264–270. [Google Scholar] [CrossRef]
- Uchôa, L.C.S.A.; Amaral, B.F.L. Effect of resin cements on the bond strength of three types of glass fiber post systems to intraradicular dentin. Acta Odontol. Latinoam. 2024, 37, 262–269. [Google Scholar] [CrossRef]
- Dos Santos, A.G.N.; Silva-Sousa, Y.T.C.; Alonso, A.L.L.; Souza-Gabriel, A.E.; Silva-Sousa, A.C.; Lopes-Olhê, F.C.; Roperto, R.; Mazzi-Chaves, J.F.; Sousa-Neto, M.D. Evaluation of the push-out bond strength of an adjustable fiberglass post system to an endodontically treated oval root canal. Dent. Mater. J. 2023, 42, 532–541. [Google Scholar] [CrossRef]
- Yanık, D.; Turker, N. Stress distribution of a novel bundle fiber post with curved roots and oval canals. J. Esthet. Restor. Dent. 2021, 34, 550–556. [Google Scholar] [CrossRef] [PubMed]
- Dias-Junior, L.C.d.L.; Corrêa, M.; Teixeira, C.d.S.; de Souza, D.L.; Tay, F.R.; Estrela, C.; Garcia, L.d.F.R.; Bortoluzzi, E.A. Development and validation of a method for creating incomplete vertical root fracture in extracted teeth. Odontology 2023, 111, 750–758. [Google Scholar] [CrossRef] [PubMed]
- Mizuhashi, F.; Ogura, I.; Sugawara, Y.; Oohashi, M.; Mizuhashi, R.; Saegusa, H. Diagnosis of root fractures using cone-beam computed tomography: Difference of vertical and horizontal root fracture. Oral Radiol. 2020, 37, 305–310. [Google Scholar] [CrossRef] [PubMed]
- Mannocci, F.; Bitter, K.; Sauro, S.; Ferrari, P.; Austin, R.; Bhuva, B. Present status and future directions: The restoration of root filled teeth. Int. Endod. J. 2022, 55, 1059–1084. [Google Scholar] [CrossRef]
- Figueiredo, F.E.D.; Martins-Filho, P.R.S.; Faria-E-Silva, A.L. Do Metal Post–retained Restorations Result in More Root Fractures than Fiber Post–retained Restorations? A Systematic Review and Meta-analysis. J. Endod. 2015, 41, 309–316. [Google Scholar]
- Maddalone, M.; Gagliani, M.; Citterio, C.L.; Karanxha, L.; Pellegatta, A.; Del Fabbro, M. Prevalence of vertical root fractures in teeth planned for apical surgery. A retrospective cohort study. Int. Endod. J. 2018, 51, 969–974. [Google Scholar]
- Patel, S.; Brown, J.; Pimentel, T.; Kelly, R.D.; Abella, F.; Durack, C. Cone beam computed tomography in Endodontics—A review of the literature. Int. Endod. J. 2019, 52, 1138–1152. [Google Scholar] [CrossRef]
- Kamburoğlu, K.; Murat, S.; Yüksel, S.P.; Cebeci, A.R.I.; Horasan, S. Detection of vertical root fracture using cone-beam computerized tomography: An in vitro assessment. Oral Surgery, Oral Med. Oral Pathol. Oral Radiol. Endodontology 2010, 109, e74–e81. [Google Scholar] [CrossRef]
- Krishnarayan, P.P.; Gehlot, P.M. Influence of Glass Fiber Post Design and Luting Cements on Ease of Post Removal and Fracture Strength of Endodontically Retreated Teeth. J. Int. Soc. Prev. Community Dent. 2022, 12, 199–209. [Google Scholar] [CrossRef]
- Lopes, L.D.S.; da Silva Pedrosa, M.; Oliveira, L.B.M.; da Silva Costa, S.M.; Lima, L.A.S.N.; do Amaral, F.L.B. Push-out bond strength and failure mode of single adjustable and customized glass fiber posts. Saudi Dent. J. 2021, 33, 917–922. [Google Scholar] [CrossRef]
- Elsaltani, M.H.; Farid, M.M.; Ashmawy, M.S.E. Detection of Simulated Vertical Root Fractures: Which Cone-beam Computed Tomographic System Is the Most Accurate? J. Endod. 2016, 42, 972–977. [Google Scholar] [CrossRef] [PubMed]
- Helvacioglu-Yigit, D.; Seki, U.; Kursun-Cakmak, S.; Kocasarac, H.D.; Singh, M. Comparative Evaluation of Artifacts Originated by Four Different Post Materials Using Different CBCT Settings. Tomography 2022, 8, 2919–2928. [Google Scholar] [CrossRef] [PubMed]
- Gaêta-Araujo, H.; de Souza, G.Q.S.; Freitas, D.Q.; de Oliveira-Santos, C. Optimization of tube current in cone-beam computed tomography for the detection of vertical root fractures with different intracanal materials. J. Endod. 2017, 43, 1668–1673. [Google Scholar] [CrossRef] [PubMed]
- Patel, S.; Bhuva, B.; Bose, R. Present status and future directions: Vertical root fractures in root filled teeth. Int. Endod. J. 2022, 55, 804–826. [Google Scholar] [CrossRef]
- BashizadehFakhar, H.; Bolhari, B.; Shamshiri, A.R.; Amini, S.; Ranji, P. Diagnostic Accuracy of Cone-Beam Computed Tomography at Different Tube Voltages for Vertical Root Fractures in Endodontically Treated Teeth with Metallic Posts. Dent. Hypotheses 2021, 12, 132–138. [Google Scholar] [CrossRef]
- Wanderley, V.A.; Neves, F.S.; Nascimento, M.C.C.; Monteiro, G.Q.d.M.; Lobo, N.S.; Oliveira, M.L.; Neto, J.B.S.N.; Araujo, L.F. Detection of Incomplete Root Fractures in Endodontically Treated Teeth Using Different High-resolution Cone-beam Computed Tomographic Imaging Protocols. J. Endod. 2017, 43, 1720–1724. [Google Scholar] [CrossRef]
- Kamburoğlu, K.; Murat, S.; Yüksel, S.P.; Cebeci, A.R.I.; Horasan, S. Detection of horizontal root fracture using limited field of view cone-beam computed tomography: A comparison with conventional radiography and a reference standard. Dentomaxillofac. Radiol. 2011, 40, 393–398. [Google Scholar]
- Vasconcelos, K.F.; Nicolielo, L.F.P.; Nascimento, M.C.G.; Haiter-Neto, F.; Freitas, D.Q. Artefact expression associated with several cone beam computed tomography machines when imaging different root canal filling materials. Clin. Oral Investig. 2015, 19, 1147–1153. [Google Scholar]
- Yamamoto-Silva, F.P.; Siqueira, C.F.d.O.; Silva, M.A.G.S.; Fonseca, R.B.; Santos, A.A.; Estrela, C.; Silva, B.S.d.F. Influence of voxel size on cone-beam computed tomography-based detection of vertical root fractures in the presence of intracanal metallic posts. Imaging Sci. Dent. 2018, 48, 177–184. [Google Scholar] [CrossRef]
- Cheng, H.C.; Wu, V.W.; Liu, E.S.; Kwong, D.L. Evaluation of Radiation Dose and Image Quality for the Varian Cone Beam Computed Tomography System. Int. J. Radiat. Oncol. 2011, 80, 291–300. [Google Scholar] [CrossRef][Green Version]
- Murphy, M.C.; Gibney, B.; Walsh, J.; Orpen, G.; Kenny, E.; Bolster, F.; MacMahon, P.J. Ultra-low-dose cone-beam CT compared to standard dose in the assessment for acute fractures. Skelet. Radiol. 2021, 51, 153–159. [Google Scholar] [CrossRef]
- CAMOSCI (n.d.) NewTom 7G WIDE.VISION—Adaptive Low Dose CBCT. CAMOSCI Srl. Available online: https://www.camosci.eu/pdf/camosci-newtom-7g-en.pdf (accessed on 1 July 2025).
- Patel, S.; Brady, E.; Wilson, R.; Brown, J.; Mannocci, F. The detection of vertical root fractures in root filled teeth with periapical radiographs and CBCT scans. Int. Endod. J. 2013, 46, 1140–1152. [Google Scholar] [CrossRef]






| Post Systems | CBCT Devices | Professor | Specialist | Post-Graduate Student |
|---|---|---|---|---|
| Reforpost | Newtom 7G | 0.932 | 0.877 | 0.902 |
| Splendor SAP | Newtom 7G | 0.887 | 0.862 | 0.860 |
| Bundle Post | Newtom 7G | 0.904 | 0.886 | 0.894 |
| Reforpost | Newtom Go | 0.935 | 0.880 | 0.905 |
| Splendor SAP | Newtom Go | 0.890 | 0.890 | 0.863 |
| Bundle Post | Newtom Go | 0.807 | 0.880 | 0.897 |
| Post Systems | CBCT Devices | Professor | Specialist | Post-Graduate Student |
|---|---|---|---|---|
| Reforpost | Newtom 7G | 0.875 | 0.874 | 0.872 |
| Splendor SAP | Newtom 7G | 0.871 | 0.868 | 0.870 |
| Bundle Post | Newtom 7G | 0.877 | 0.870 | 0.871 |
| Reforpost | Newtom Go | 0.715 | 0.616 | 0.720 |
| Splendor SAP | Newtom Go | 0.619 | 0.612 | 0.612 |
| Bundle Post | Newtom Go | 0.612 | 0.718 | 0.713 |
| Splendor SAP | Reforpost | Bundle | ||||||||
|---|---|---|---|---|---|---|---|---|---|---|
| Modality | Fracture Type | Sensitivity | Specificity | Accuracy | Sensitivity | Specificity | Accuracy | Sensitivity | Specificity | Accuracy |
| 7G P1 | presence | 90.6 | 100 | 87.5 | 95.8 | 100 | 96.9 | 95.8 | 100 | 96.9 |
| absence | 100 | 95.5 | 90.6 | 100 | 95.8 | 96.9 | 100 | 95.8 | 96.9 | |
| 7G P2 | presence | 90.3 | 96.6 | 92.7 | 91.7 | 100 | 93.8 | 91.7 | 100 | 93.8 |
| absence | 100 | 90.3 | 92.7 | 100 | 91.7 | 93.8 | 100 | 91.7 | 93.8 | |
| 7G P3 | presence | 91.7 | 100 | 93.8 | 93 | 100 | 94.8 | 91.7 | 100 | 93.8 |
| absence | 100 | 91.7 | 93.8 | 100 | 93 | 94.8 | 100 | 91.7 | 93.8 | |
| 7G P4 | presence | 96 | 100 | 96.9 | 95.8 | 100 | 96.9 | 95.8 | 100 | 96.9 |
| absence | 100 | 96 | 96.9 | 100 | 93 | 94.4 | 100 | 95.8 | 96.9 | |
| 7G P5 | presence | 95.5 | 100 | 90.6 | 95.5 | 100 | 90.6 | 95.7 | 100 | 96.9 |
| absence | 100 | 95.5 | 90.6 | 100 | 95.5 | 90.6 | 100 | 95.7 | 96.9 | |
| 7G P6 | presence | 100 | 99 | 99.2 | 100 | 99 | 99.2 | 97.9 | 100 | 98.4 |
| absence | 99 | 100 | 99.2 | 99 | 100 | 99.2 | 100 | 97.9 | 98.4 | |
| 7G P7 | presence | 87.5 | 100 | 90.6 | 95.8 | 100 | 96.9 | 93 | 100 | 94.8 |
| absence | 100 | 87.5 | 90.6 | 100 | 95.8 | 96.9 | 100 | 91.7 | 93.8 | |
| 7G P8 | presence | 95.8 | 100 | 96.9 | 95.8 | 100 | 96.9 | 95.8 | 100 | 96.9 |
| absence | 100 | 95.8 | 96.9 | 100 | 95.8 | 96.9 | 100 | 95.8 | 96.9 | |
| 7G P9 | presence | 87.5 | 100 | 90.6 | 91.7 | 100 | 93.8 | 91.7 | 100 | 93.8 |
| absence | 100 | 87.5 | 90.6 | 100 | 91.7 | 93.8 | 100 | 91.7 | 93.8 | |
| Splendor SAP | Reforpost | Bundle | ||||||||
|---|---|---|---|---|---|---|---|---|---|---|
| Modality | Fracture Type | Sensitivity | Specificity | Accuracy | Sensitivity | Specificity | Accuracy | Sensitivity | Specificity | Accuracy |
| GO P1 | presence | 83.3 | 100 | 87.5 | 88.9 | 100 | 91.6 | 91.7 | 100 | 93.7 |
| absence | 100 | 83.3 | 87.5 | 100 | 88.9 | 91.6 | 100 | 91.7 | 93.7 | |
| GO P2 | presence | 84.7 | 100 | 87.5 | 100 | 87.5 | 90.6 | 91.7 | 100 | 93.7 |
| absence | 100 | 81.8 | 87.5 | 87.5 | 100 | 90.6 | 100 | 91.7 | 93.7 | |
| GO P3 | presence | 89.3 | 100 | 91.7 | 87.5 | 100 | 90.6 | 92.9 | 100 | 94.4 |
| absence | 100 | 89.3 | 91.7 | 100 | 87.5 | 90.6 | 100 | 92.9 | 94.4 | |
| GO P4 | presence | 96.4 | 100 | 97.2 | 85.7 | 100 | 88.9 | 89.3 | 100 | 91.7 |
| absence | 100 | 96.4 | 97.2 | 100 | 85.7 | 88.9 | 100 | 89.3 | 91.7 | |
| GO P5 | presence | 92.9 | 100 | 94.4 | 96.4 | 100 | 97.2 | 92.9 | 100 | 94.4 |
| absence | 100 | 92.9 | 94.4 | 100 | 96.4 | 97.2 | 100 | 92.9 | 94.4 | |
| GO P6 | presence | 93.1 | 100 | 94.4 | 96.4 | 100 | 97.2 | 95.2 | 100 | 96.2 |
| absence | 100 | 93.1 | 94.4 | 100 | 96.4 | 97.2 | 100 | 95.2 | 96.2 | |
| GO P7 | presence | 92.9 | 100 | 94.4 | 88.1 | 100 | 89.8 | 100 | 96.4 | 97.2 |
| absence | 100 | 92.9 | 94.4 | 100 | 88.1 | 89.8 | 96.4 | 100 | 97.2 | |
| GO P8 | presence | 89.3 | 100 | 91.7 | 92.9 | 100 | 94.4 | 92.9 | 100 | 94.4 |
| absence | 100 | 89.3 | 91.7 | 100 | 92.9 | 94.4 | 100 | 92.9 | 94.4 | |
| GO P9 | presence | 89.3 | 100 | 91.7 | 92.9 | 100 | 94.4 | 92.9 | 100 | 94.4 |
| absence | 100 | 89.3 | 91.7 | 100 | 92.9 | 94.4 | 100 | 92.9 | 94.4 | |
| Splendor SAP | Reforpost | Bundle | ||||||||
|---|---|---|---|---|---|---|---|---|---|---|
| Modality | Fracture Type | Sensitivity | Specificity | Accuracy | Sensitivity | Specificity | Accuracy | Sensitivity | Specificity | Accuracy |
| 7G P1 | Horizontal | 87.5 | 100 | 96.9 | 87.5 | 95.8 | 93.8 | 87.5 | 100 | 96.9 |
| Vertical | 87.5 | 95.8 | 93.8 | 87.5 | 100 | 96.9 | 87.5 | 95.8 | 93.8 | |
| Oblique | 87.5 | 91.7 | 90.6 | 87.5 | 91.7 | 90.6 | 100 | 91.7 | 93.8 | |
| 7G P2 | Horizontal | 87.5 | 100 | 96.9 | 87.5 | 100 | 96.9 | 87.5 | 100 | 96.9 |
| Vertical | 87.5 | 95.8 | 93.8 | 87.5 | 100 | 96.9 | 87.5 | 95.8 | 93.8 | |
| Oblique | 88.9 | 91.3 | 90.6 | 100 | 91.7 | 93.8 | 87.5 | 91.7 | 90.6 | |
| 7G P3 | Horizontal | 87.5 | 95.8 | 93.8 | 87.5 | 100 | 96.9 | 87.5 | 95.8 | 93.8 |
| Vertical | 87.5 | 95.8 | 93.8 | 87.5 | 95.8 | 93.8 | 87.5 | 91.7 | 90.6 | |
| Oblique | 87.5 | 95.8 | 93.8 | 87.5 | 91.7 | 90.6 | 87.5 | 100 | 96.9 | |
| 7G P4 | Horizontal | 87.5 | 95.8 | 93.8 | 87.5 | 100 | 96.9 | 87.5 | 100 | 96.9 |
| Vertical | 87.5 | 100 | 96.9 | 87.5 | 95.8 | 93.8 | 87.5 | 100 | 96.9 | |
| Oblique | 87.5 | 91.7 | 90.6 | 87.5 | 91.7 | 90.6 | 87.5 | 95.8 | 93.8 | |
| 7G P5 | Horizontal | 87.5 | 100 | 96.9 | 87.5 | 100 | 96.9 | 87.5 | 100 | 96.9 |
| Vertical | 87.5 | 95.8 | 93.8 | 87.5 | 95.8 | 93.8 | 87.5 | 91.7 | 90.6 | |
| Oblique | 87.5 | 91.7 | 90.6 | 87.5 | 91.7 | 90.6 | 87.5 | 95.8 | 93.8 | |
| 7G P6 | Horizontal | 87.5 | 95.8 | 93.8 | 87.5 | 100 | 96.9 | 87.5 | 95.8 | 93.8 |
| Vertical | 87.5 | 95.8 | 93.8 | 87.5 | 95.8 | 93.8 | 87.5 | 100 | 96.9 | |
| Oblique | 87.5 | 95.8 | 93.8 | 87.5 | 91.7 | 90.6 | 87.5 | 91.7 | 90.6 | |
| 7G P7 | Horizontal | 87.5 | 100 | 96.9 | 87.5 | 100 | 96.9 | 87.5 | 100 | 96.9 |
| Vertical | 87.5 | 91.7 | 90.6 | 87.5 | 95.8 | 93.8 | 87.5 | 95.8 | 93.8 | |
| Oblique | 87.5 | 100 | 96.9 | 87.5 | 95.8 | 93.8 | 87.5 | 95.8 | 93.8 | |
| 7G P8 | Horizontal | 91.6 | 95.8 | 93.8 | 87.5 | 95.8 | 93.8 | 87.5 | 100 | 96.9 |
| Vertical | 87.5 | 100 | 96.9 | 87.5 | 95.8 | 93.8 | 87.5 | 95.8 | 93.8 | |
| Oblique | 87.5 | 95.8 | 93.8 | 87.5 | 100 | 96.9 | 87.5 | 95.8 | 93.8 | |
| 7G P9 | Horizontal | 87.5 | 100 | 96.9 | 87.5 | 100 | 96.9 | 87.5 | 100 | 96.9 |
| Vertical | 87.5 | 95.8 | 93.8 | 87.5 | 95.8 | 93.8 | 87.5 | 95.8 | 93.8 | |
| Oblique | 87.5 | 95.8 | 93.8 | 87.5 | 95.8 | 93.8 | 87.5 | 100 | 96.9 | |
| Splendor SAP | Reforpost | Bundle | ||||||||
|---|---|---|---|---|---|---|---|---|---|---|
| Modality | Fracture Type | Sensitivity | Specificity | Accuracy | Sensitivity | Specificity | Accuracy | Sensitivity | Specificity | Accuracy |
| GO P1 | Horizontal | 87.5 | 95.8 | 93.8 | 87.5 | 100 | 96.9 | 87.5 | 95.8 | 93.8 |
| Vertical | 87.5 | 95.8 | 93.8 | 100 | 95.8 | 96.9 | 87.5 | 100 | 96.9 | |
| Oblique | 87.5 | 95.8 | 93.8 | 87.5 | 95.8 | 93.8 | 100 | 95.8 | 96.9 | |
| GO P2 | Horizontal | 100 | 100 | 100 | 87.5 | 95.8 | 93.8 | 87.5 | 100 | 96.9 |
| Vertical | 87.5 | 95.8 | 93.8 | 87.5 | 100 | 96.9 | 87.5 | 95.8 | 93.8 | |
| Oblique | 88.9 | 91.3 | 90.6 | 87.5 | 91.7 | 90.6 | 87.5 | 91.3 | 90.6 | |
| GO P3 | Horizontal | 100 | 100 | 100 | 87.5 | 100 | 96.9 | 87.5 | 95.8 | 93.8 |
| Vertical | 87.5 | 95.8 | 93.8 | 87.5 | 95.8 | 93.8 | 87.5 | 95.8 | 93.8 | |
| Oblique | 87.5 | 95.8 | 93.8 | 87.5 | 91.7 | 90.6 | 87.5 | 95.8 | 93.8 | |
| GO P4 | Horizontal | 87.5 | 100 | 96.9 | 87.5 | 95.8 | 93.8 | 87.5 | 100 | 96.9 |
| Vertical | 37.5 * | 95.8 | 79.2 * | 50 * | 95.8 | 79.2 * | 50 * | 93.8 | 79.2 * | |
| Oblique | 87.5 | 100 | 96.9 | 87.5 | 100 | 96.9 | 87.5 | 95.8 | 93.8 | |
| GO P5 | Horizontal | 87.5 | 100 | 96.9 | 87.5 | 100 | 96.9 | 87.5 | 100 | 96.9 |
| Vertical | 37.5 * | 95.8 | 79.2 * | 50 * | 95.8 | 79.2 * | 50 * | 93.8 | 79.2 * | |
| Oblique | 88.9 | 91.3 | 90.6 | 87.5 | 91.7 | 90.6 | 87.5 | 95.8 | 93.8 | |
| GO P6 | Horizontal | 87.5 | 100 | 96.9 | 87.5 | 100 | 96.9 | 87.5 | 95.8 | 93.8 |
| Vertical | 25 * | 93.8 | 79.8 * | 37.5 * | 95.8 | 79.2 * | 50 * | 93.8 | 79.2 * | |
| Oblique | 87.5 | 95.8 | 93.8 | 87.5 | 91.7 | 90.6 | 87.5 | 91.7 | 90.6 | |
| GO P7 | Horizontal | 87.5 | 100 | 96.9 | 87.5 | 100 | 96.9 | 87.5 | 100 | 96.9 |
| Vertical | 25 * | 93.8 | 79.8 * | 37.5 * | 95.8 | 79.2 * | 50 * | 93.8 | 79.2 * | |
| Oblique | 87.5 | 100 | 96.9 | 87.5 | 95.8 | 93.8 | 87.5 | 95.8 | 93.8 | |
| GO P8 | Horizontal | 87.5 | 95.8 | 93.8 | 87.5 | 95.8 | 93.8 | 87.5 | 95.8 | 93.8 |
| Vertical | 25 * | 93.8 | 79.8 * | 37.5 * | 95.8 | 79.2 * | 50 * | 93.8 | 79.2 * | |
| Oblique | 87.5 | 95.8 | 93.8 | 87.5 | 100 | 96.9 | 87.5 | 95.8 | 93.8 | |
| GO P9 | Horizontal | 87.5 | 95.8 | 93.8 | 87.5 | 100 | 96.9 | 87.5 | 100 | 96.9 |
| Vertical | 25 * | 93.8 | 79.8 * | 37.5 * | 95.8 | 79.2 * | 50 * | 93.8 | 79.2 * | |
| Oblique | 87.5 | 91.7 | 90.6 | 87.5 | 95.8 | 93.8 | 87.5 | 100 | 96.9 | |
Disclaimer/Publisher’s Note: The statements, opinions and data contained in all publications are solely those of the individual author(s) and contributor(s) and not of MDPI and/or the editor(s). MDPI and/or the editor(s) disclaim responsibility for any injury to people or property resulting from any ideas, methods, instructions or products referred to in the content. |
© 2025 by the authors. Licensee MDPI, Basel, Switzerland. This article is an open access article distributed under the terms and conditions of the Creative Commons Attribution (CC BY) license (https://creativecommons.org/licenses/by/4.0/).
Share and Cite
Efeoglu, S.; Ozgur, E.; Oncu, A.; Tohumcu, A.; Nalcaci, R.; Celikten, B. Diagnostic Performance of CBCT in Detecting Different Types of Root Fractures with Various Intracanal Post Systems. Tomography 2025, 11, 116. https://doi.org/10.3390/tomography11100116
Efeoglu S, Ozgur E, Oncu A, Tohumcu A, Nalcaci R, Celikten B. Diagnostic Performance of CBCT in Detecting Different Types of Root Fractures with Various Intracanal Post Systems. Tomography. 2025; 11(10):116. https://doi.org/10.3390/tomography11100116
Chicago/Turabian StyleEfeoglu, Serhat, Ecem Ozgur, Aysenur Oncu, Ahmet Tohumcu, Rana Nalcaci, and Berkan Celikten. 2025. "Diagnostic Performance of CBCT in Detecting Different Types of Root Fractures with Various Intracanal Post Systems" Tomography 11, no. 10: 116. https://doi.org/10.3390/tomography11100116
APA StyleEfeoglu, S., Ozgur, E., Oncu, A., Tohumcu, A., Nalcaci, R., & Celikten, B. (2025). Diagnostic Performance of CBCT in Detecting Different Types of Root Fractures with Various Intracanal Post Systems. Tomography, 11(10), 116. https://doi.org/10.3390/tomography11100116

