Automatically Detecting Pancreatic Cysts in Autosomal Dominant Polycystic Kidney Disease on MRI Using Deep Learning
Abstract
1. Introduction
2. Materials and Methods
2.1. Subjects
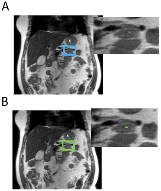
2.2. Annotations
2.3. Agreement Evaluation
2.4. Model Development
2.5. Performance Metrics
2.5.1. Internal and External Validation
2.5.2. Test–Retest Reproducibility
2.6. Outside Radiologist Reports on External Cases
3. Results
3.1. Inter-Observer Variability for Cyst Labeling
3.2. Model Experiments Results: Internal and External Validation
3.2.1. Optimizers
3.2.2. Loss Functions
3.2.3. Datasets with Only Positive Cases and with Positive and Negative Cases
3.2.4. Two-Dimensional vs. Three-Dimensional Configurations
3.3. Test–Retest Reproducibility
3.4. Outside Radiologist Reports on External Cases
4. Discussion
4.1. Segmentation Performance
4.2. Comparison to Prior Studies
4.3. Clinical Impact
4.4. Limitations and Future Work
5. Conclusions
Supplementary Materials
Author Contributions
Funding
Institutional Review Board Statement
Informed Consent Statement
Data Availability Statement
Conflicts of Interest
Abbreviations
| ADPKD | Autosomal dominant polycystic kidney disease |
| PACS | Picture Archiving and Communication System |
| DICOM | Digital Imaging and Communications in Medicine |
| NIfTI | Neuroimaging Informatics Technology Initiative |
| WCM | Weill Cornell Medicine |
| DSC | Dice similarity coefficient |
| CE | Cross-entropy |
| TI | Tversky Index |
References
- Brugge, W.R. Diagnosis and management of cystic lesions of the pancreas. J. Gastrointest. Oncol. 2015, 6, 375. [Google Scholar] [PubMed]
- Karoumpalis, I.; Christodoulou, D.K. Cystic lesions of the pancreas. Ann. Gastroenterol. Q. Publ. Hell. Soc. Gastroenterol. 2016, 29, 155. [Google Scholar] [CrossRef]
- Pereira, S.P.; Oldfield, L.; Ney, A.; Hart, P.A.; Keane, M.G.; Pandol, S.J.; Li, D.; Greenhalf, W.; Jeon, C.Y.; Koay, E.J.; et al. Early detection of pancreatic cancer. Lancet Gastroenterol. Hepatol. 2020, 5, 698–710. [Google Scholar] [CrossRef] [PubMed]
- Kim, J.A.; Blumenfeld, J.D.; Chhabra, S.; Dutruel, S.P.; Thimmappa, N.D.; Bobb, W.O.; Donahue, S.; Rennert, H.E.; Tan, A.Y.; Giambrone, A.E.; et al. Pancreatic cysts in autosomal dominant polycystic kidney disease: Prevalence and association with PKD2 gene mutations. Radiology 2016, 280, 762–770. [Google Scholar] [CrossRef] [PubMed]
- Grantham, J.J.; Torres, V.E.; Chapman, A.B.; Guay-Woodford, L.M.; Bae, K.T.; King Jr, B.F.; Wetzel, L.H.; Baumgarten, D.A.; Kenney, P.J.; Harris, P.C.; et al. Volume progression in polycystic kidney disease. N. Engl. J. Med. 2006, 354, 2122–2130. [Google Scholar] [CrossRef] [PubMed]
- Zhang, W.; Stephens, C.J.; Blumenfeld, J.D.; Behzadi, A.H.; Donahue, S.; Bobb, W.O.; Newhouse, J.H.; Rennert, H.; Zhao, Y.; Prince, M.R. Relationship of seminal megavesicles, prostate median cysts, and genotype in autosomal dominant polycystic kidney disease. J. Magn. Reson. Imaging 2019, 49, 894–903. [Google Scholar] [CrossRef] [PubMed]
- Caroli, A.; Kline, T.L. Abdominal Imaging in ADPKD: Beyond Total Kidney Volume. J. Clin. Med. 2023, 12, 5133. [Google Scholar] [CrossRef] [PubMed]
- Zhou, Y.; Xie, L.; Fishman, E.K.; Yuille, A.L. Deep supervision for pancreatic cyst segmentation in abdominal CT scans. In Proceedings of the International Conference on Medical Image Computing and Computer-Assisted Intervention, Quebec City, QC, Canada, 11–13 September 2017; Springer: Cham, Switzerland, 2017; pp. 222–230. [Google Scholar]
- Oh, S.; Kim, Y.J.; Park, Y.T.; Kim, K.G. Automatic pancreatic cyst lesion segmentation on EUS images using a deep-learning approach. Sensors 2021, 22, 245. [Google Scholar] [CrossRef] [PubMed]
- Abel, L.; Wasserthal, J.; Weikert, T.; Sauter, A.W.; Nesic, I.; Obradovic, M.; Yang, S.; Manneck, S.; Glessgen, C.; Ospel, J.D.; et al. Automated detection of pancreatic cystic lesions on CT using deep learning. Diagnostics 2021, 11, 901. [Google Scholar] [CrossRef] [PubMed]
- Duh, M.M.; Torra-Ferrer, N.; Riera-Marin, M.; Cumelles, D.; Rodriguez-Comas, J.; Garcia Lopez, J.; Fernandez Planas, M.T. Deep Learning to Detect Pancreatic Cystic Lesions on Abdominal Computed Tomography Scans: Development and Validation Study. JMIR AI 2023, 2, e40702. [Google Scholar] [CrossRef] [PubMed]
- Mazor, N.; Dar, G.; Lederman, R.; Lev-Cohain, N.; Sosna, J.; Joskowicz, L. MC3DU-Net: A multisequence cascaded pipeline for the detection and segmentation of pancreatic cysts in MRI. Int. J. Comput. Assist. Radiol. Surg. 2024, 19, 423–432. [Google Scholar] [CrossRef] [PubMed]
- Christ, P.F.; Elshaer, M.E.A.; Ettlinger, F.; Tatavarty, S.; Bickel, M.; Bilic, P.; Rempfler, M.; Armbruster, M.; Hofmann, F.; D’Anastasi, M.; et al. Automatic liver and lesion segmentation in CT using cascaded fully convolutional neural networks and 3D conditional random fields. In Medical Image Computing and Computer-Assisted Intervention–MICCAI 2016: 19th International Conference, Athens, Greece, 17–21 October 2016; Proceedings, Part II 19; Springer: Cham, Switzerland, 2016; pp. 415–423. [Google Scholar]
- Zhang, L.; Yu, S.C.H. Context-aware PolyUNet for liver and lesion segmentation from abdominal CT images. arXiv 2021, arXiv:2106.11330. [Google Scholar]
- Moghadam, M.C.; Aspal, M.; He, X.; Romano, D.J.; Sharbatdaran, A.; Hu, Z.; Teichman, K.; He, H.Y.N.; Sattar, U.; Zhu, C.; et al. Deep learning-based liver cyst segmentation in MRI for autosomal dominant polycystic kidney disease. Radiol. Adv. 2024, 1, umae014. [Google Scholar] [CrossRef]
- Pei, Y.; Obaji, J.; Dupuis, A.; Paterson, A.D.; Magistroni, R.; Dicks, E.; Parfrey, P.; Cramer, B.; Coto, E.; Torra, R.; et al. Unified criteria for ultrasonographic diagnosis of ADPKD. J. Am. Soc. Nephrol. 2009, 20, 205–212. [Google Scholar] [CrossRef] [PubMed]
- Isensee, F.; Jaeger, P.F.; Kohl, S.A.; Petersen, J.; Maier-Hein, K.H. nnU-Net: A self-configuring method for deep learning-based biomedical image segmentation. Nat. Methods 2021, 18, 203–211. [Google Scholar] [CrossRef] [PubMed]



| Positive only Dataset | ||
|---|---|---|
| Model configuration | 2D | 3D |
| Stride size | 1 × 1 (layer 1) | 1 × 1 × 1 (layer 1) |
| 2 × 2 (layers 2–5) | 1 × 2 × 2 (layers 2–3) | |
| 2 × 2 × 2 (layers 3–5) | ||
| Convolution kernel size | 3 × 3 | 1 × 3 × 3 (layers 1–2) |
| 3 × 3 × 3 (layers 3–5) | ||
| Batch size | 32 | 2 |
| Normalization scheme | Z Score | Z Score |
| Patch size | 320 × 320 | 48 × 192 × 192 |
| Positive + negative dataset | ||
| Model configuration | 2D | 3D |
| Stride size | 1 × 1 (layer 1) | 1 × 1 × 1 (layer 1) |
| 2 × 2 (layers 2–5) | 1 × 2 × 2 (layers 2–3) | |
| 2 × 2 × 2 (layers 3–5) | ||
| Convolution kernel size | 3 × 3 | 1 × 3 × 3 (layers 1–2) |
| 3 × 3 × 3 (layers 3–5) | ||
| Batch size | 26 | 2 |
| Normalization scheme | Z Score | Z Score |
| Patch size | 320 × 384 | 48 × 192 × 224 |
| Demographics | Training/Validation | Testing | Total | ||
|---|---|---|---|---|---|
| Internal | External | Test–Retest | |||
| Patients | 146 | 40 | 40 | 23 | 249 |
| Scans | 254 | 80 | 81 | 95 | 510 |
| DICOM images | 15,487 | 5691 | 3331 | 4088 | 28,597 |
| Male/female (%male) | 71:75 (49%) | 19:21 (48%) | 21:19 (52%) | 10:13 (43%) | 121:128 (49%) |
| Age | 49 [39, 63] | 44 [35, 59] | 47 [37, 60] | 53 [40, 74] | 49 [38, 63] |
| eGFR I (mL/min/1.73 m2) | 60 [38, 84] | 63 [41, 88] | 76 [51, 90] | 62 [42, 132] | 61 [39, 85] |
| BMI (kg/m2) | 26 [23, 29] | 26 [23, 29] | 26 [22, 28] | 25 [22, 47] | 26 [23, 29] |
| Ht-TKV (mL/m) | 766 [398, 1403] | 931 [470, 1382] | 590 [336, 1027] | 595 [366, 2967] | 763 [380, 1310] |
| # Number of patients (%) with pancreatic cysts | 63 (43%) | 13 (25%) | 9 (23%) | 15 (61%) | 100 (40%) |
| Total # of pancreatic cysts | 404 | 56 | 39 | 46 | 545 |
| Cyst diameter II (mm) | 4.1 [3.3, 4.9] | 4.2 [3.4, 6.3] | 4.3 [3.7, 5.8] | 5.1 [4.4, 6.4] | 4.2 [3.4, 5.2] |
| Cyst volume II (mm3) | 68 [38, 116] | 76 [39, 245] | 77 [53, 191] | 135 [87, 264] | 76 [40, 142] |
| Mayo imaging class 1A | 15 | 2 | 10 | 5 | 32 |
| Mayo imaging class 1B | 33 | 9 | 10 | 7 | 59 |
| Mayo imaging class 1C | 36 | 14 | 9 | 5 | 64 |
| Mayo imaging class 1D | 20 | 9 | 7 | 3 | 39 |
| Mayo imaging class 1E | 16 | 4 | 2 | 3 | 25 |
| Mayo imaging class NA III | 26 | 2 | 2 | 0 | 30 |
| Genotype PKD1 | 50 | 17 | 10 | 11 | 88 |
| Genotype PKD2 | 11 | 9 | 4 | 2 | 26 |
| Genotype other IV | 4 | 1 | 1 | 1 | 7 |
| Genotype inconclusive | 8 | 3 | 5 | 2 | 15 |
| Genotype unknown | 74 | 11 | 20 | 8 | 113 |
| Cysts Labeled | Training | Internal Test | External Test | ||||||
|---|---|---|---|---|---|---|---|---|---|
| Axial | Coronal | All | Axial | Coronal | All | Axial | Coronal | All | |
| Total Number of Cysts # | 290 | 148 | 438 | 32 | 28 | 60 | 13 | 19 | 32 |
| # (%) by 1 radiologist | 144 (50%) | 65 (44%) | 209 (48%) | 22 (69%) | 18 (64%) | 32 (67%) | 10 (77%) | 14 (74%) | 24 (75%) |
| # (%) by 2 radiologists | 146 (50%) | 83 (56%) | 229 (52%) | 10 (31%) | 10 (36%) | 28 (33%) | 3 (23%) | 5 (26%) | 8 (25%) |
| Loss | Configuration | Dataset * | Internal Validation (n = 40) | External Validation (n = 40) | ||||
|---|---|---|---|---|---|---|---|---|
| DSC | Sensitivity | Specificity | DSC | Sensitivity | Specificity | |||
| L1 | 2D | pos only | 0.6 ± 0.5 | 0.16 | 0.78 | 0.7 ± 0.5 | 0.1 | 0.86 |
| pos + neg | 0.7 ± 0.5 | 0.2 | 0.94 | 0.8 ± 0.4 | 0.24 | 1.00 | ||
| 3D | pos only | 0.6 ± 0.5 | 0.36 | 0.87 | 0.8 ± 0.4 | 0.05 | 0.94 | |
| pos + neg | 0.3 ± 0.5 | 0.56 | 0.43 | 0.6 ± 0.5 | 0.47 | 0.73 | ||
| L2 | 2D | pos only | 0.4 ± 0.5 | 0.64 | 0.52 | 0.5 ± 0.5 | 0.59 | 0.63 |
| pos + neg | 0.6 ± 0.5 | 0.2 | 0.85 | 0.7 ± 0.4 | 0.41 | 0.89 | ||
| 3D | pos only | 0.6 ± 0.5 | 0.6 | 0.72 | 0.3 ± 0.4 | 0.84 | 0.35 | |
| pos + neg | 0.3 ± 0.4 | 0.8 | 0.26 | 0.4 ± 0.5 | 0.71 | 0.44 | ||
| Reproducibility (%) | Model | Expert | Observer | |||||
|---|---|---|---|---|---|---|---|---|
| Mean | 1 | 2 | 3 | 4 * | 5 * | 6 * | ||
| Axial (n = 23) | 87 | 80 | 91 | 70 | 87 | 87 | 74 | 70 |
| Coronal (n = 21) | 91 | 66 | 85 | 65 | 50 | 75 | 75 | 70 |
| All (n = 23) | 83 | 79 | 83 | 70 | 87 | 87 | 74 | 70 |
Disclaimer/Publisher’s Note: The statements, opinions and data contained in all publications are solely those of the individual author(s) and contributor(s) and not of MDPI and/or the editor(s). MDPI and/or the editor(s) disclaim responsibility for any injury to people or property resulting from any ideas, methods, instructions or products referred to in the content. |
© 2024 by the authors. Licensee MDPI, Basel, Switzerland. This article is an open access article distributed under the terms and conditions of the Creative Commons Attribution (CC BY) license (https://creativecommons.org/licenses/by/4.0/).
Share and Cite
Wang, S.J.; Hu, Z.; Li, C.; He, X.; Zhu, C.; Wang, Y.; Sattar, U.; Bazojoo, V.; He, H.Y.N.; Blumenfeld, J.D.; et al. Automatically Detecting Pancreatic Cysts in Autosomal Dominant Polycystic Kidney Disease on MRI Using Deep Learning. Tomography 2024, 10, 1148-1158. https://doi.org/10.3390/tomography10070087
Wang SJ, Hu Z, Li C, He X, Zhu C, Wang Y, Sattar U, Bazojoo V, He HYN, Blumenfeld JD, et al. Automatically Detecting Pancreatic Cysts in Autosomal Dominant Polycystic Kidney Disease on MRI Using Deep Learning. Tomography. 2024; 10(7):1148-1158. https://doi.org/10.3390/tomography10070087
Chicago/Turabian StyleWang, Sophie J., Zhongxiu Hu, Collin Li, Xinzi He, Chenglin Zhu, Yin Wang, Usama Sattar, Vahid Bazojoo, Hui Yi Ng He, Jon D. Blumenfeld, and et al. 2024. "Automatically Detecting Pancreatic Cysts in Autosomal Dominant Polycystic Kidney Disease on MRI Using Deep Learning" Tomography 10, no. 7: 1148-1158. https://doi.org/10.3390/tomography10070087
APA StyleWang, S. J., Hu, Z., Li, C., He, X., Zhu, C., Wang, Y., Sattar, U., Bazojoo, V., He, H. Y. N., Blumenfeld, J. D., & Prince, M. R. (2024). Automatically Detecting Pancreatic Cysts in Autosomal Dominant Polycystic Kidney Disease on MRI Using Deep Learning. Tomography, 10(7), 1148-1158. https://doi.org/10.3390/tomography10070087

