The Additional Role of F18-FDG PET/CT in Characterizing MRI-Diagnosed Tumor Deposits in Locally Advanced Rectal Cancer
Abstract
1. Introduction
2. Materials and Methods
2.1. Study Setting
2.2. Patients
2.3. Radiologic Assessment
2.3.1. MRI
2.3.2. F18-FDG PET/CT
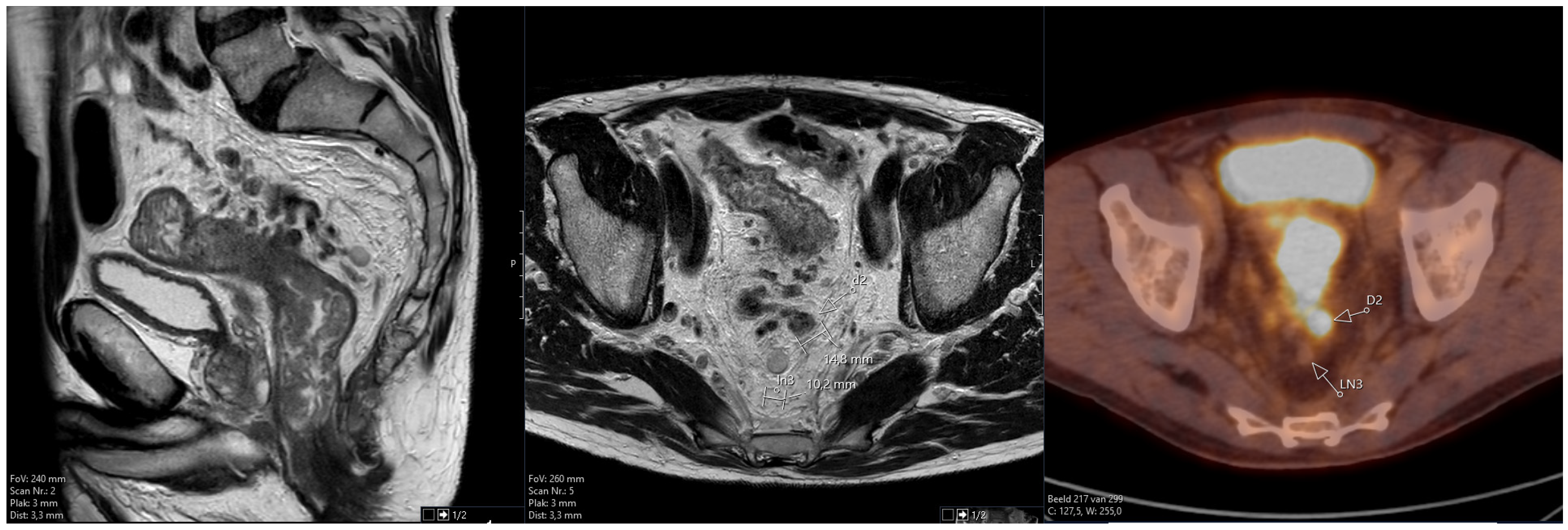
2.3.3. Correlating MRI and F18-FDG PET/CT Images
2.4. Statistical Analysis
3. Results
4. Discussion
4.1. SUV Measurements for Separating TDs from Lymph Node Metastases or Normal Lymph Nodes
4.2. SUV Measurements and Confounding Effects of Partial Volume and Spill-In
4.3. Limitations
5. Conclusions
Author Contributions
Funding
Institutional Review Board Statement
Informed Consent Statement
Data Availability Statement
Acknowledgments
Conflicts of Interest
References
- Lord, A.C.; Knijn, N.; Brown, G.; Nagtegaal, I.D. Pathways of spread in rectal cancer: A reappraisal of the true routes to distant metastatic disease. Eur. J. Cancer 2020, 128, 1–6. [Google Scholar] [CrossRef] [PubMed]
- Schaap, D.P.; Ogura, A.; Nederend, J.; Maas, M.; Cnossen, J.S.; Creemers, G.J.; van Lijnschoten, I.; Nieuwenhuijzen, G.A.; Rutten, H.J.; Kusters, M. Prognostic implications of MRI-detected lateral nodal disease and extramural vascular invasion in rectal cancer. Br. J. Surg. 2018, 105, 1844–1852. [Google Scholar] [CrossRef] [PubMed]
- Ogura, A.; Konishi, T.; Cunningham, C.; Garcia-Aguilar, J.; Iversen, H.; Toda, S.; Lee, I.K.; Lee, H.X.; Uehara, K.; Lee, P.; et al. Neoadjuvant (Chemo)radiotherapy with Total Mesorectal Excision Only Is Not Sufficient to Prevent Lateral Local Recurrence in Enlarged Nodes: Results of the Multicenter Lateral Node Study of Patients with Low cT3/4 Rectal Cancer. J. Clin. Oncol. 2019, 37, 33–43. [Google Scholar] [CrossRef] [PubMed]
- Sauer, R.; Becker, H.; Hohenberger, W.; Rödel, C.; Wittekind, C.; Fietkau, R.; Martus, P.; Tschmelitsch, J.; Hager, E.; Hess, C.F.; et al. Preoperative versus postoperative chemoradiotherapy for rectal cancer. N. Engl. J. Med. 2004, 351, 1731–1740. [Google Scholar] [CrossRef] [PubMed]
- Sauer, R.; Liersch, T.; Merkel, S.; Fietkau, R.; Hohenberger, W.; Hess, C.; Becker, H.; Raab, H.R.; Villanueva, M.T.; Witzigmann, H.; et al. Preoperative versus postoperative chemoradiotherapy for locally advanced rectal cancer: Results of the German CAO/ARO/AIO-94 randomized phase III trial after a median follow-up of 11 years. J. Clin. Oncol. 2012, 30, 1926–1933. [Google Scholar] [CrossRef] [PubMed]
- Cedermark, B.; Dahlberg, M.; Glimelius, B.; Pahlman, L.; Rutqvist, L.E.; Wilking, N. Improved survival with preoperative radiotherapy in resectable rectal cancer. N. Engl. J. Med. 1997, 336, 980–987. [Google Scholar] [CrossRef] [PubMed]
- Fokas, E.; Liersch, T.; Fietkau, R.; Hohenberger, W.; Beissbarth, T.; Hess, C.; Becker, H.; Sauer, R.; Wittekind, C.; Rödel, C. Tumor regression grading after preoperative chemoradiotherapy for locally advanced rectal carcinoma revisited: Updated results of the CAO/ARO/AIO-94 trial. J. Clin. Oncol. 2014, 32, 1554–1562. [Google Scholar] [CrossRef]
- Lord, A.C.; D’Souza, N.; Shaw, A.; Rokan, Z.; Moran, B.; Abulafi, M.; Rasheed, S.; Chandramohan, A.; Corr, A.; Chau, I.; et al. MRI-Diagnosed Tumour Deposits and EMVI Status Have Superior Prognostic Accuracy to Current Clinical TNM Staging in Rectal Cancer. Ann. Surg. 2022, 276, 334–344. [Google Scholar] [CrossRef]
- Siddiqui, M.R.; Simillis, C.; Hunter, C.; Chand, M.; Bhoday, J.; Garant, A.; Vuong, T.; Artho, G.; Rasheed, S.; Tekkis, P.; et al. A meta-analysis comparing the risk of metastases in patients with rectal cancer and MRI-detected extramural vascular invasion (mrEMVI) vs mrEMVI-negative cases. Br. J. Cancer. 2017, 116, 1513–1519. [Google Scholar] [CrossRef] [PubMed]
- Schaap, D.P.; Voogt, E.L.; Burger, J.W.; Cnossen, J.S.; Creemers, G.M.; van Lijnschoten, I.; Nieuwenhuijzen, G.A.; Rutten, H.J.; Daniels-Gooszen, A.W.; Nederend, J.; et al. Prognostic Implications of MRI-Detected EMVI and Tumor Deposits and Their Response to Neoadjuvant Therapy in cT3 and cT4 Rectal Cancer. Int. J. Radiat. Oncol. Biol. Phys. 2021, 111, 816–825. [Google Scholar] [CrossRef]
- Chandramohan, A.; Mittal, R.; D’Souza, R.; Yezzaji, H.; Eapen, A.; Simon, B.; John, R.; Singh, A.; Ram, T.S.; Jesudason, M.R.; et al. Prognostic significance of MR identified EMVI, tumour deposits, mesorectal nodes and pelvic side wall disease in locally advanced rectal cancer. Color. Dis. 2022, 24, 428–438. [Google Scholar] [CrossRef] [PubMed]
- Amintas, S.; Giraud, N.; Fernandez, B.; Dupin, C.; Denost, Q.; Garant, A.; Frulio, N.; Smith, D.; Rullier, A.; Vuong, T.; et al. The crying need for a better response assessment in rectal cancer. Curr. Treat. Options Oncol. 2023, 24, 1507–1523. [Google Scholar] [CrossRef] [PubMed]
- Ziai, P.; Reza Hayeri, M.; Salei, A.; Salavati, A.; Houshmand, S.; Alavi, A.; Teytelboym, O.M. Role of optimal quantification of FDG PET imaging in the clinical practice of radiology. Radiographics 2016, 36, 481–496. [Google Scholar] [CrossRef] [PubMed]
- Soret, M.; Bacharach, S.L.; Buvat, I. Partial-volume effect in PET tumor imaging. J. Nucl. Med. 2007, 48, 932–945. [Google Scholar] [CrossRef] [PubMed]
- Akerele, M.I.; Wadhwa, P.; Silva-Rodriguez, J.; Hallett, W.; Tsoumpas, C. Validation of the physiological background correction method for the suppression of the spill-in effect near highly radioactive regions in positron emission tomography. Physics 2018, 5, 34. [Google Scholar] [CrossRef] [PubMed]
- Bae, S.U.; Won, K.S.; Song, B.-I.; Jeong, W.K.; Baek, S.K.; Kim, H.W. Accuracy of F-18 FDG PET/CT with optimal cut-offs of maximum standardized uptake value according to size for diagnosis of regional lymph node metastasis in patients with rectal cancer. Cancer Imaging 2018, 18, 32. [Google Scholar] [CrossRef] [PubMed]
- Nerad, E.; Lahaye, M.J.; Maas, M.; Nelemans, P.; Bakers, F.C.; Beets, G.L.; Beets-Tan, R.G. Diagnostic accuracy of CT for local staging of colon cancer: A systematic review and meta-analysis. Am. J. Roentgenol. 2016, 207, 984–995. [Google Scholar] [CrossRef]
- Al-Sukhni, E.; Milot, L.; Fruitman, M.; Beyene, J.; Victor, J.C.; Schmocker, S.; Brown, G.; McLeod, R.; Kennedy, E. Diagnostic accuracy of MRI for assessment of T category, lymph node metastases, and circumferential resection margin involvement in patients with rectal cancer: A systematic review and meta-analysis. Ann. Surg. Oncol. 2012, 19, 2212–2223. [Google Scholar] [CrossRef]
- Alcin, G.; Sanli, Y.; Yegen, G.; Saglam, E.K.; Cermik, T.F. The impact of primary tumor and locoregional metastatic lymph node SUVmax on predicting survival in patients with rectal cancer. Mol. Imaging Radionucl. Ther. 2020, 29, 65–71. [Google Scholar] [CrossRef] [PubMed]
- Ishihara, S.; Kawai, K.; Tanaka, T.; Kiyomatsu, T.; Hata, K.; Nozawa, H.; Morikawa, T.; Watanabe, T. Diagnostic value of FDG_PET/CT for lateral pelvic lymph node metastasis in rectal cancer treated with preoperative chemoradiotherapy. Tech. Coloproctol. 2018, 22, 347–354. [Google Scholar] [CrossRef]
- Rogasch, J.M.; Suleiman, S.; Hofheinz, F.; Bluemel, S.; Lukas, M.; Amthauer, H.; Furth, C. Reconstructed spatial resolution and contrast recovery with Bayesian penalized likelihood reconstruction (Q.Clear) for FDG-PET compared to time-of-flight (TOF) with point spread function (PSF). EJNMMI Phys. 2020, 7, 2. [Google Scholar] [CrossRef] [PubMed]
- Kawashima, K.; Kato, K.; Tomabechi, M.; Matsuo, M.; Otsuka, K.; Ishida, K.; Nakamura, R.; Ehara, S. Clinical evaluation of F-fluorodeoxyglucose-positron emission tomography/CT using point spread function reconstruction for nodal staging of colorectal cancer. Br. J. Radiol. 2016, 89, 20150938. [Google Scholar] [CrossRef] [PubMed]
- Hatt, M.; van Stiphout, R.; le Pogam, A.; Lammering, G.; Visvikis, D.; Lambin, P. Early prediction of pathological response in locally advanced rectal cancer based on sequential 18F-FDG PET. Acta Oncol. 2013, 52, 619–626. [Google Scholar] [CrossRef] [PubMed]
- Silva-Rodriguez, J.; Tsoumpas, C.; Dominguez-Prado, I.; Pardo-Montero, J.; Ruibal, A.; Aguiar, P. Impact and correction of the bladder uptake on 18F-FCH PET quantification: A simulation study using the XCAT2 phantom. Phys. Med. Biol. 2016, 61, 758–773. [Google Scholar] [CrossRef]
- Akerele, M.I.; Karakatsanis, N.A.; Deidda, S.; Cal-Gonzalez, J.; Forsythe, R.O.; Dweck, M.R.; Syed, M.; Newby, D.E.; Aykroyd, R.G.; Sourbron, S.; et al. Comparison of correction techniques for the spill-in effect in emission tomography. IEEE Trans. Radiat. Plasma Med. Sci. 2020, 4, 422–432. [Google Scholar] [CrossRef]





| Number of patients | 62 | |
| Location of the primary tumor in the rectum | ||
| Proximal | 39 | |
| Distal | 18 | |
| Both | 5 | |
| T-stage on MRI | ||
| T3 | 36 | |
| T4 | 26 | |
| N-stage on MRI/F18-FDG PET/CT | ||
| N1a/c | 25/23 | |
| N1b/c | 11/10 | |
| N1c | 21 | |
| N1c/2a | 5/8 | |
| EMVI grade on MRI | ||
| Grade 2 | 2 | |
| Grade 3 | 47 | |
| Grade 4 | 13 | |
| Number on MRI (patient-based) | TD | LN |
| 1 | 6 | 22 |
| 2 | 9 | 11 |
| 3 | 18 | 9 |
| 4 | 10 | 4 |
| 5 | 5 | 2 |
| >5 | 14 | 2 |
| Location on MRI (lesion-based) | ||
| Perirectal | 107 | 76 |
| Superior rectal veins area | 106 | 5 |
| Lateral compartments | 0 | 26 |
| TD | LN | p-Value | |
|---|---|---|---|
| Size (mm) | 9.0 (3.7) | 6.6 (2.4) | <0.001 |
| Distance (mm) | 22.5 (16.1) | 24.7 (16.8) | 0.37 |
Disclaimer/Publisher’s Note: The statements, opinions and data contained in all publications are solely those of the individual author(s) and contributor(s) and not of MDPI and/or the editor(s). MDPI and/or the editor(s) disclaim responsibility for any injury to people or property resulting from any ideas, methods, instructions or products referred to in the content. |
© 2024 by the authors. Licensee MDPI, Basel, Switzerland. This article is an open access article distributed under the terms and conditions of the Creative Commons Attribution (CC BY) license (https://creativecommons.org/licenses/by/4.0/).
Share and Cite
Roef, M.J.; van den Berg, K.; Rutten, H.J.T.; Burger, J.; Nederend, J. The Additional Role of F18-FDG PET/CT in Characterizing MRI-Diagnosed Tumor Deposits in Locally Advanced Rectal Cancer. Tomography 2024, 10, 632-642. https://doi.org/10.3390/tomography10040048
Roef MJ, van den Berg K, Rutten HJT, Burger J, Nederend J. The Additional Role of F18-FDG PET/CT in Characterizing MRI-Diagnosed Tumor Deposits in Locally Advanced Rectal Cancer. Tomography. 2024; 10(4):632-642. https://doi.org/10.3390/tomography10040048
Chicago/Turabian StyleRoef, Mark J., Kim van den Berg, Harm J. T. Rutten, Jacobus Burger, and Joost Nederend. 2024. "The Additional Role of F18-FDG PET/CT in Characterizing MRI-Diagnosed Tumor Deposits in Locally Advanced Rectal Cancer" Tomography 10, no. 4: 632-642. https://doi.org/10.3390/tomography10040048
APA StyleRoef, M. J., van den Berg, K., Rutten, H. J. T., Burger, J., & Nederend, J. (2024). The Additional Role of F18-FDG PET/CT in Characterizing MRI-Diagnosed Tumor Deposits in Locally Advanced Rectal Cancer. Tomography, 10(4), 632-642. https://doi.org/10.3390/tomography10040048

