Primary Sclerosing Cholangitis: Diagnostic Criteria
Abstract
1. Introduction
2. Biochemical Features
3. Serology
4. The Role of Magnetic Resonance Imaging in PSC Diagnosis
5. Technical Aspects of MRI in PSC
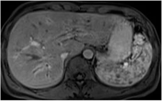
6. Cholangiographic and Liver Parenchymal Changes in PSC
7. Liver Biopsy
8. Conclusions
Author Contributions
Funding
Institutional Review Board Statement
Informed Consent Statement
Conflicts of Interest
References
- Karlsen, T.H.; Folseraas, T.; Thorburn, D.; Vesterhus, M. Primary sclerosing cholangitis—A comprehensive review. J. Hepatol. 2017, 67, 1298–1323. [Google Scholar] [CrossRef]
- Aadland, E.; Schrumpf, E.; Fausa, O.; Elgjo, K.; Heilo, A.; Aakhus, T.; Gjone, E. Primary sclerosing cholangitis: A long-term follow-up study. Scand. J. Gastroenterol. 1987, 22, 655–664. [Google Scholar] [CrossRef] [PubMed]
- Weismüller, T.J.; Trivedi, P.J.; Bergquist, A.; Imam, M.; Lenzen, H.; Ponsioen, C.Y.; Holm, K.; Gotthardt, D.; Färkkilä, M.A.; Marschall, H.-U.; et al. Patient Age, Sex, and Inflammatory Bowel Disease Phenotype Associate with Course of Primary Sclerosing Cholangitis. Gastroenterology 2017, 152, 1975–1984.e8. [Google Scholar] [CrossRef] [PubMed]
- Boonstra, K.; Weersma, R.K.; van Erpecum, K.J.; Rauws, E.A.; Spanier, B.W.M.; Poen, A.C.; van Nieuwkerk, K.M.; Drenth, J.P.; Witteman, B.J.; Tuynman, H.A.; et al. Population-based epidemiology, malignancy risk, and outcome of primary sclerosing cholangitis. Hepatology 2013, 58, 2045–2055. [Google Scholar] [CrossRef] [PubMed]
- Terziroli Beretta-Piccoli, B.; Vergani, D.; Mieli-Vergani, G. Autoimmune sclerosing cholangitis: Evidence and open questions. J. Autoimmun. 2018, 95, 15–25. [Google Scholar] [CrossRef] [PubMed]
- Chazouilleres, O.; Beuers, U.; Bergquist, A.; Karlsen, T.H.; Levy, C.; Samyn, M.; Schramm, C.; Trauner, M. EASL Clinical Practice Guidelines on sclerosing cholangitis. J. Hepatol. 2022, 77, 761–806. [Google Scholar] [CrossRef] [PubMed]
- Bowlus, C.L.; Arrivé, L.; Bergquist, A.; Deneau, M.; Forman, L.; Ilyas, S.I.; Lunsford, K.E.; Martinez, M.; Sapisochin, G.; Shroff, R.; et al. AASLD practice guidance on primary sclerosing cholangitis and cholangiocarcinoma. Hepatology 2022, 77, 659–702. [Google Scholar] [CrossRef]
- Talwalkar, J.A.; Angulo, P.; Johnson, C.D.; Petersen, B.T.; Lindor, K.D. Cost-minimization analysis of MRC versus ERCP for the diagnosis of primary sclerosing cholangitis. Hepatology 2004, 40, 39–45. [Google Scholar] [CrossRef]
- Dave, M.; Elmunzer, B.J.; Dwamena, B.A.; Higgins, P.D.R. Primary sclerosing cholangitis: Meta-analysis of diagnostic performance of MR cholangiopancreatography. Radiology 2010, 256, 387–396. [Google Scholar] [CrossRef]
- Aabakken, L.; Karlsen, T.H.; Albert, J.; Arvanitakis, M.; Chazouilleres, O.; Dumonceau, J.-M.; Färkkilä, M.; Fickert, P.; Hirschfield, G.M.; Laghi, A.; et al. Role of endoscopy in primary sclerosing cholangitis: European Society of Gastrointestinal Endoscopy (ESGE) and European Association for the Study of the Liver (EASL) Clinical Guideline. Endoscopy 2017, 49, 588–608. [Google Scholar] [CrossRef]
- Chapman, M.H.; Thorburn, D.; Hirschfield, G.M.; Webster, G.G.J.; Rushbrook, S.M.; Alexander, G.; Collier, J.; Dyson, J.K.; Jones, D.E.; Patanwala, I.; et al. British Society of Gastroenterology and UK-PSC guidelines for the diagnosis and management of primary sclerosing cholangitis. Gut 2019, 68, 1356–1378. [Google Scholar] [CrossRef] [PubMed]
- Björnsson, E.; Lindqvist-Ottosson, J.; Asztely, M.; Olsson, R. Dominant strictures in patients with primary sclerosing cholangitis. Am. J. Gastroenterol. 2004, 99, 502–508. [Google Scholar] [CrossRef] [PubMed]
- Lunder, A.K.; Hov, J.R.; Borthne, A.; Gleditsch, J.; Johannesen, G.; Tveit, K.; Viktil, E.; Henriksen, M.; Hovde, Ø.; Huppertz-Hauss, G.; et al. Prevalence of Sclerosing Cholangitis Detected by Magnetic Resonance Cholangiography in Patients With Long-term Inflammatory Bowel Disease. Gastroenterology 2016, 151, 660–669.e4. [Google Scholar] [CrossRef] [PubMed]
- Shouval, D.; Eliakim, M.; Levij, I.S. Chronic active hepatitis with cholestatic features. II. A histopathological study. Am. J. Gastroenterol. 1979, 72, 551–555. [Google Scholar]
- Alvarez, F.; Berg, P.A.; Bianchi, F.B.; Bianchi, L.; Burroughs, A.K.; Cancado, E.L.; Chapman, R.W.; Cooksley, W.G.E.; Czaja, A.J.; Desmet, V.J.; et al. International Autoimmune Hepatitis Group Report: Review of criteria for diagnosis of autoimmune hepatitis. J. Hepatol. 1999, 31, 929–938. [Google Scholar] [CrossRef] [PubMed]
- Chapman, R.W.; Arborgh, B.A.; Rhodes, J.M.; Summerfield, J.A.; Dick, R.; Scheuer, P.J.; Sherlock, S. Primary sclerosing cholangitis: A review of its clinical features, cholangiography, and hepatic histology. Gut 1980, 21, 870–877. [Google Scholar] [CrossRef]
- Angulo, P.; Peter, J.B.; Gershwin, M.E.; DeSotel, C.K.; Shoenfeld, Y.; Ahmed, A.E.; Lindor, K.D. Serum autoantibodies in patients with primary sclerosing cholangitis. J. Hepatol. 2000, 32, 182–187. [Google Scholar] [CrossRef]
- Hov, J.-R.; Boberg, K.-M.; Karlsen, T.-H. Autoantibodies in primary sclerosing cholangitis. World J. Gastroenterol. 2008, 14, 3781–3791. [Google Scholar] [CrossRef]
- Granito, A.; Muratori, P.; Tovoli, F.; Muratori, L. Anti-neutrophil cytoplasm antibodies (ANCA) in autoimmune diseases: A matter of laboratory technique and clinical setting. Autoimmun. Rev. 2021, 20, 102787. [Google Scholar] [CrossRef]
- Boberg, K.M.; Chapman, R.W.; Hirschfield, G.M.; Lohse, A.W.; Manns, M.P.; Schrumpf, E.; International Autoimmune Hepatitis Group. Overlap syndromes: The International Autoimmune Hepatitis Group (IAIHG) position statement on a controversial issue. J. Hepatol. 2011, 54, 374–385. [Google Scholar] [CrossRef]
- Schramm, C.; Eaton, J.; Ringe, K.I.; Venkatesh, S.; Yamamura, J.; MRI working group of the IPSCSG. Recommendations on the use of magnetic resonance imaging in PSC-A position statement from the International PSC Study Group. J. Hepatol. 2017, 66, 1675–1688. [Google Scholar] [CrossRef] [PubMed]
- Arrivé, L.; Hodoul, M.; Arbache, A.; Slavikova-Boucher, L.; Menu, Y.; El Mouhadi, S. Magnetic resonance cholangiography: Current and future perspectives. Clin. Res. Hepatol. Gastroenterol. 2015, 39, 659–664. [Google Scholar] [CrossRef] [PubMed]
- Seale, M.K.; Catalano, O.A.; Saini, S.; Hahn, P.F.; Sahani, D.V. Hepatobiliary-specific MR contrast agents: Role in imaging the liver and biliary tree. RadioGraphics 2009, 29, 1725–1748. [Google Scholar] [CrossRef] [PubMed]
- Frydrychowicz, A.; Jedynak, A.R.; Kelcz, F.; Nagle, S.K.; Reeder, S.B. Gadoxetic acid-enhanced T1-weighted MR cholangiography in primary sclerosing cholangitis. J. Magn. Reson. Imaging 2012, 36, 632–640. [Google Scholar] [CrossRef] [PubMed]
- Nolz, R.; Asenbaum, U.; Schoder, M.; Wibmer, A.; Einspieler, H.; Prusa, A.M.; Peck-Radosavljevic, M.; Ba-Ssalamah, A. Diagnostic workup of primary sclerosing cholangitis: The benefit of adding gadoxetic acid-enhanced T1-weighted magnetic resonance cholangiography to conventional T2-weighted magnetic resonance cholangiography. Clin. Radiol. 2014, 69, 499–508. [Google Scholar] [CrossRef]
- Vitellas, K.M.; El-Dieb, A.; Vaswani, K.K.; Bennett, W.F.; Tzalonikou, M.; Mabee, C.; Kirkpatrick, R.; Bova, J.G. MR Cholangiopancreatography in Patients with Primary Sclerosing Cholangitis: Interobserver Variability and Comparison with Endoscopic Retrograde Cholangiopancreatography. Am. J. Roentgenol. 2002, 179, 399–407. [Google Scholar] [CrossRef]
- Husarik, D.B.; Gupta, R.T.; Ringe, K.I.; Boll, D.T.; Merkle, E.M. Contrast Enhanced Liver MRI in Patients with Primary Sclerosing Cholangitis. Acad. Radiol. 2011, 18, 1549–1554. [Google Scholar] [CrossRef]
- Keller, S.; Venkatesh, S.K.; Avanesov, M.; Weinrich, J.M.; Zenouzi, R.; Schramm, C.; Adam, G.; Yamamura, J. Gadolinium-based relative contrast enhancement in primary sclerosing cholangitis: Additional benefit for clinicians? Clin. Radiol. 2018, 73, 677.e1–677.e6. [Google Scholar] [CrossRef]
- Keller, S.; Sedlacik, J.; Schuler, T.; Buchert, R.; Avanesov, M.; Zenouzi, R.; Lohse, A.W.; Kooijman, H.; Fiehler, J.; Schramm, C.; et al. Prospective comparison of diffusion-weighted MRI and dynamic Gd-EOB-DTPA-enhanced MRI for detection and staging of hepatic fibrosis in primary sclerosing cholangitis. Eur. Radiol. 2018, 29, 818–828. [Google Scholar] [CrossRef]
- Norén, B.; Dahlström, N.; Forsgren, M.F.; Dahlqvist Leinhard, O.; Kechagias, S.; Almer, S.; Wirell, S.; Smedby, Ö.; Lundberg, P. Visual assessment of biliary excretion of Gd-EOB-DTPA in patients with suspected diffuse liver disease—A biopsy-verified prospective study. Eur. J. Radiol. Open 2015, 2, 19–25. [Google Scholar] [CrossRef]
- Eaton, J.E.; Dzyubak, B.; Venkatesh, S.K.; Smyrk, T.C.; Gores, G.J.; Ehman, R.L.; LaRusso, N.F.; Gossard, A.A.; Lazaridis, K.N. Performance of magnetic resonance elastography in primary sclerosing cholangitis: MRE in PSC. J. Gastroenterol. Hepatol. 2016, 31, 1184–1190. [Google Scholar] [CrossRef] [PubMed]
- Osman, K.T.; Maselli, D.B.; Idilman, I.S.; Rowan, D.J.; Viehman, J.K.; Harmsen, W.S.; Harnois, D.M.; Carey, E.J.; Gossard, A.A.; LaRusso, N.F.; et al. Liver Stiffness Measured by Either Magnetic Resonance or Transient Elastography Is Associated with Liver Fibrosis and Is an Independent Predictor of Outcomes Among Patients with Primary Biliary Cholangitis. J. Clin. Gastroenterol. 2020, 55, 449–457. [Google Scholar] [CrossRef] [PubMed]
- MacCarty, R.L.; LaRusso, N.F.; Wiesner, R.H.; Ludwig, J. Primary sclerosing cholangitis: Findings on cholangiography and pancreatography. Radiology 1983, 149, 39–44. [Google Scholar] [CrossRef]
- Majoie, C.B.; Reeders, J.W.; Sanders, J.B.; Huibregtse, K.; Jansen, P.L. Primary sclerosing cholangitis: A modified classification of cholangiographic findings. Am. J. Roentgenol. 1991, 157, 495–497. [Google Scholar] [CrossRef] [PubMed]
- Chen, L.Y.; Goldberg, H.I. Sclerosing cholangitis: Broad spectrum of radiographic features. Gastrointest. Radiol. 1984, 9, 39–47. [Google Scholar]
- Ponsioen, C.Y.; Vrouenraets, S.M.E.; Prawirodirdjo, W.; Rajaram, R.; Rauws, E.A.J.; Mulder, C.J.J.; Reitsma, J.B.; Heisterkamp, S.H.; Tytgat, G.N.J. Natural history of primary sclerosing cholangitis and prognostic value of cholangiography in a Dutch population. Gut 2002, 51, 562–566. [Google Scholar] [CrossRef]
- Craig, D.A.; MacCarty, R.L.; Wiesner, R.H.; Grambsch, P.M.; LaRusso, N.F. Primary sclerosing cholangitis: Value of cholangiography in determining the prognosis. AJR Am. J. Roentgenol. 1991, 157, 959–964. [Google Scholar] [CrossRef]
- Vitellas, K.M.; Keogan, M.T.; Freed, K.S.; Enns, R.A.; Spritzer, C.E.; Baillie, J.M.; Nelson, R.C. Radiologic manifestations of sclerosing cholangitis with emphasis on MR cholangiopancreatography. RadioGraphics 2000, 20, 959–975; quiz 1108–1109, 1112. [Google Scholar] [CrossRef]
- Parlak, E.; Dişibeyaz, S.; Ödemiş, B.; Köksal, A.Ş.; Oğuz, D.; Çiçek, B.; Şaşmaz, N.; Şahin, B. Demonstration of retraction of the main papilla toward the biliary system in patients with primary sclerosing cholangitis with magnetic resonance cholangiopancreatography. Dig. Endosc. 2012, 24, 384. [Google Scholar] [CrossRef]
- Parlak, E.; Koksal, A.S.; Disibeyaz, S.; Cicek, B.; Odemis, B.; Sasmaz, N.; Sahin, B. Retraction of the main papilla toward the biliary system in patients with primary sclerosing cholangitis. Turk. J. Gastroenterol. 2015, 25, 203–205. [Google Scholar] [CrossRef]
- Genève, J.; Dubuc, N.; Mathieu, D.; Zafrani, E.S.; Dhumeaux, D.; Métreau, J.M. Cystic dilatation of intrahepatic bile ducts in primary sclerosing cholangitis. J. Hepatol. 1990, 11, 196–199. [Google Scholar] [CrossRef]
- Goldwire, F.-W.; Norris, W.-E.; Koff, J.-M.; Goodman, Z.-D.; Smith, M.-T. An unusual presentation of primary sclerosing cholangitis. World J. Gastroenterol. 2008, 14, 6748–6749. [Google Scholar] [CrossRef] [PubMed]
- Moctezuma-Velázquez, C.; Saúl-Pérez, A.; López-Méndez, E. Primary sclerosing cholangitis presenting as recurrent cholangitis and right hepatic duct outpouching. Gac. Med. Mex. 2012, 148, 476–479. [Google Scholar]
- Parlak, E.; Köksal, A.Ş.; Dışıbeyaz, S.; Ödemış, B.; Şengül, A.; Aydoğ, G.; Şaşmaz, N. Unusual cholangiographic findings in a patient with primary sclerosing cholangitis: Cystic dilatation. Turk. J. Gastroenterol. Off. J. Turk. Soc. Gastroenterol. 2012, 23, 792–794. [Google Scholar] [CrossRef]
- Siegel, E.G.; Fölsch, U.R. Primary sclerosing cholangitis mimicking choledocal cyst type 1 in a young patient. Endoscopy 1999, 31, 200–203. [Google Scholar] [CrossRef]
- Theilmann, L.; Stiehl, A. Detection of large intrahepatic cholangiectases in patients with primary sclerosing cholangitis by endoscopic retrograde cholangiography. Endoscopy 1990, 22, 49–50. [Google Scholar] [CrossRef] [PubMed]
- Nguyen, L.; Cazzagon, N.; Corpechot, C.; El Mouhadi, S.; Lemoinne, S.; Chazouillères, O.; Arrivé, L. Intrahepatic cystic biliary dilatation constitutes a significant prognostic factor in patients with primary sclerosing cholangitis. Eur. Radiol. 2018, 29, 1460–1468. [Google Scholar] [CrossRef]
- Harrison, R.F.; Hubscher, S.G. The spectrum of bile duct lesions in end-stage primary sclerosing cholangitis. Histopathology 1991, 19, 321–327. [Google Scholar] [CrossRef]
- Ernst, O.; Asselah, T.; Sergent, G.; Calvo, M.; Talbodec, N.; Paris, J.C.; L’Herminé, C. MR cholangiography in primary sclerosing cholangitis. Am. J. Roentgenol. 1998, 171, 1027–1030. [Google Scholar] [CrossRef]
- Moff, S.L.; Kamel, I.R.; Eustace, J.; Lawler, L.P.; Kantsevoy, S.; Kalloo, A.N.; Thuluvath, P.J. Diagnosis of primary sclerosing cholangitis: A blinded comparative study using magnetic resonance cholangiography and endoscopic retrograde cholangiography. Gastrointest. Endosc. 2006, 64, 219–223. [Google Scholar] [CrossRef]
- Angulo, P.; Pearce, D.H.; Johnson, C.D.; Henry, J.J.; LaRusso, N.F.; Petersen, B.T.; Lindor, K.D. Magnetic resonance cholangiography in patients with biliary disease: Its role in primary sclerosing cholangitis. J. Hepatol. 2000, 33, 520–527. [Google Scholar] [CrossRef] [PubMed]
- Berstad, A.E.; Aabakken, L.; Smith, H.-J.; Aasen, S.; Boberg, K.M.; Schrumpf, E. Diagnostic accuracy of magnetic resonance and endoscopic retrograde cholangiography in primary sclerosing cholangitis. Clin. Gastroenterol. Hepatol. Off. Clin. Pract. J. Am. Gastroenterol. Assoc. 2006, 4, 514–520. [Google Scholar] [CrossRef] [PubMed]
- Caldwell, S.H.; Hespenheide, E.E.; Harris, D.; De Lange, E.E. Imaging and clinical characteristics of focal atrophy of segments 2 and 3 in primary sclerosing cholangitis. J. Gastroenterol. Hepatol. 2001, 16, 220–224. [Google Scholar] [CrossRef] [PubMed]
- Said, K.; Glaumann, H.; Bergquist, A. Gallbladder disease in patients with primary sclerosing cholangitis. J. Hepatol. 2008, 48, 598–605. [Google Scholar] [CrossRef] [PubMed]
- Brandt, D.J.; MacCarty, R.L.; Charboneau, J.W.; LaRusso, N.F.; Wiesner, R.H.; Ludwig, J. Gallbladder disease in patients with primary sclerosing cholangitis. AJR Am. J. Roentgenol. 1988, 150, 571–574. [Google Scholar] [CrossRef]
- Buckles, D.C.; Lindor, K.D.; Larusso, N.F.; Petrovic, L.M.; Gores, G.J. In primary sclerosing cholangitis, gallbladder polyps are frequently malignant. Am. J. Gastroenterol. 2002, 97, 1138–1142. [Google Scholar] [CrossRef]
- Said, K.; Edsborg, N.; Albiin, N.; Bergquist, A. Gallbladder emptying in patients with primary sclerosing cholangitis. World J. Gastroenterol. 2009, 15, 3498–3503. [Google Scholar] [CrossRef]
- van de Meeberg, P.C.; Portincasa, P.; Wolfhagen, F.H.; van Erpecum, K.J.; VanBerge-Henegouwen, G.P. Increased gall bladder volume in primary sclerosing cholangitis. Gut 1996, 39, 594–599. [Google Scholar] [CrossRef]
- Cazzagon, N.; Gonzalez-Sanchez, E.; El-Mourabit, H.; Wendum, D.; Rainteau, D.; Humbert, L.; Corpechot, C.; Chazouillères, O.; Arrivé, L.; Housset, C.; et al. Protective potential of the gallbladder in primary sclerosing cholangitis. JHEP Rep. Innov. Hepatol. 2023, 5, 100649. [Google Scholar] [CrossRef]
- Ruiz, A.; Lemoinne, S.; Carrat, F.; Corpechot, C.; Chazouillères, O.; Arrivé, L. Radiologic course of primary sclerosing cholangitis: Assessment by three-dimensional magnetic resonance cholangiography and predictive features of progression. Hepatology 2014, 59, 242–250. [Google Scholar] [CrossRef]
- Lemoinne, S.; Cazzagon, N.; El Mouhadi, S.; Trivedi, P.J.; Dohan, A.; Kemgang, A.; Ben Belkacem, K.; Housset, C.; Chretien, Y.; Corpechot, C.; et al. Simple Magnetic Resonance Scores Associate with Outcomes of Patients With Primary Sclerosing Cholangitis. Clin. Gastroenterol. Hepatol. Off. Clin. Pract. J. Am. Gastroenterol. Assoc. 2019, 17, 2785–2792.e3. [Google Scholar] [CrossRef] [PubMed]
- Cazzagon, N.; Lemoinne, S.; El Mouhadi, S.; Trivedi, P.J.; Gaouar, F.; Kemgang, A.; Ben Belkacem, K.; Floreani, A.; Hirschfield, G.; Chretien, Y.; et al. The Complementary Value of Magnetic Resonance Imaging and Vibration-Controlled Transient Elastography for Risk Stratification in Primary Sclerosing Cholangitis. Am. J. Gastroenterol. 2019, 114, 1878–1885. [Google Scholar] [CrossRef] [PubMed]
- Zenouzi, R.; Liwinski, T.; Yamamura, J.; Weiler-Normann, C.; Sebode, M.; Keller, S.; Lohse, A.W.; Schramm, C.; International PSC Study Group (IPSCSG). Follow-up magnetic resonance imaging/3D-magnetic resonance cholangiopancreatography in patients with primary sclerosing cholangitis: Challenging for experts to interpret. Aliment. Pharmacol. Ther. 2018, 48, 169–178. [Google Scholar] [CrossRef] [PubMed]
- Ringe, K.I.; Vo Chieu, V.D.; Wacker, F.; Lenzen, H.; Manns, M.P.; Hundt, C.; Schmidt, B.; Winther, H.B. Fully automated detection of primary sclerosing cholangitis (PSC)-compatible bile duct changes based on 3D magnetic resonance cholangiopancreatography using machine learning. Eur. Radiol. 2021, 31, 2482–2489. [Google Scholar] [CrossRef] [PubMed]
- Ragab, H.; Westhaeusser, F.; Ernst, A.; Yamamura, J.; Fuhlert, P.; Zimmermann, M.; Sauerbeck, J.; Shenas, F.; Özden, C.; Weidmann, A.; et al. DeePSC: A Deep Learning Model for Automated Diagnosis of Primary Sclerosing Cholangitis at Two-dimensional MR Cholangiopancreatography. Radiol. Artif. Intell. 2023, 5, e220160. [Google Scholar] [CrossRef]
- Cazzagon, N.; El Mouhadi, S.; Vanderbecq, Q.; Ferreira, C.; Finnegan, S.; Lemoinne, S.; Corpechot, C.; Chazouillères, O.; Arrivé, L. Quantitative magnetic resonance cholangiopancreatography metrics are associated with disease severity and outcomes in people with primary sclerosing cholangitis. JHEP Rep. Innov. Hepatol. 2022, 4, 100577. [Google Scholar] [CrossRef]
- Cristoferi, L.; Porta, M.; Bernasconi, D.P.; Leonardi, F.; Gerussi, A.; Mulinacci, G.; Palermo, A.; Gallo, C.; Scaravaglio, M.; Stucchi, E.; et al. A quantitative MRCP-derived score for medium-term outcome prediction in primary sclerosing cholangitis. Dig. Liver Dis. Off. J. Ital. Soc. Gastroenterol. Ital. Assoc. Study Liver 2023, 55, 373–380. [Google Scholar] [CrossRef]
- MacCarty, R.L.; LaRusso, N.F.; May, G.R.; Bender, C.E.; Wiesner, R.H.; King, J.E.; Coffey, R.J. Cholangiocarcinoma complicating primary sclerosing cholangitis: Cholangiographic appearances. Radiology 1985, 156, 43–46. [Google Scholar] [CrossRef]
- Saluja, S.S.; Sharma, R.; Pal, S.; Sahni, P.; Chattopadhyay, T.K. Differentiation between benign and malignant hilar obstructions using laboratory and radiological investigations: A prospective study. HPB 2007, 9, 373–382. [Google Scholar] [CrossRef]
- Charatcharoenwitthaya, P.; Enders, F.B.; Halling, K.C.; Lindor, K.D. Utility of serum tumor markers, imaging, and biliary cytology for detecting cholangiocarcinoma in primary sclerosing cholangitis. Hepatology 2008, 48, 1106–1117. [Google Scholar] [CrossRef]
- European Association for the Study of the Liver. EASL Clinical Practice Guidelines: Management of cholestatic liver diseases. J. Hepatol. 2009, 51, 237–267. [Google Scholar] [CrossRef] [PubMed]
- Chapman, R.; Fevery, J.; Kalloo, A.; Nagorney, D.M.; Boberg, K.M.; Shneider, B.; Gores, G.J.; American Association for the Study of Liver Diseases. Diagnosis and management of primary sclerosing cholangitis. Hepatology 2010, 51, 660–678. [Google Scholar] [CrossRef]
- Sarcognato, S.; Sacchi, D.; Grillo, F.; Cazzagon, N.; Fabris, L.; Cadamuro, M.; Cataldo, I.; Covelli, C.; Mangia, A.; Guido, M. Autoimmune biliary diseases: Primary biliary cholangitis and primary sclerosing cholangitis. Pathol.—J. Ital. Soc. Anat. Pathol. Diagn. Cytopathol. 2021, 113, 170–184. [Google Scholar] [CrossRef]
- Ponsioen, C.Y.; Chapman, R.W.; Chazouillères, O.; Hirschfield, G.M.; Karlsen, T.H.; Lohse, A.W.; Pinzani, M.; Schrumpf, E.; Trauner, M.; Gores, G.J. Surrogate endpoints for clinical trials in primary sclerosing cholangitis: Review and results from an International PSC Study Group consensus process. Hepatology 2016, 63, 1357–1367. [Google Scholar] [CrossRef]
- de Vries, E.M.G.; Verheij, J.; Hubscher, S.G.; Leeflang, M.M.G.; Boonstra, K.; Beuers, U.; Ponsioen, C.Y. Applicability and prognostic value of histologic scoring systems in primary sclerosing cholangitis. J. Hepatol. 2015, 63, 1212–1219. [Google Scholar] [CrossRef]
- de Vries, E.M.G.; de Krijger, M.; Färkkilä, M.; Arola, J.; Schirmacher, P.; Gotthardt, D.; Goeppert, B.; Trivedi, P.J.; Hirschfield, G.M.; Ytting, H.; et al. Validation of the prognostic value of histologic scoring systems in primary sclerosing cholangitis: An international cohort study. Hepatology 2017, 65, 907–919. [Google Scholar] [CrossRef] [PubMed]
- Gregorio, G.V.; Portmann, B.; Karani, J.; Harrison, P.; Donaldson, P.T.; Vergani, D.; Mieli-Vergani, G. Autoimmune hepatitis/sclerosing cholangitis overlap syndrome in childhood: A 16-year prospective study. Hepatology 2001, 33, 544–553. [Google Scholar] [CrossRef]
- Katabi, N.; Albores-Saavedra, J. The extrahepatic bile duct lesions in end-stage primary sclerosing cholangitis. Am. J. Surg. Pathol. 2003, 27, 349–355. [Google Scholar] [CrossRef]
- Ludwig, J.; Barham, S.S.; LaRusso, N.F.; Elveback, L.R.; Wiesner, R.H.; McCall, J.T. Morphologic features of chronic hepatitis associated with primary sclerosing cholangitis and chronic ulcerative colitis. Hepatology 1981, 1, 632–640. [Google Scholar] [CrossRef]
- Nakanuma, Y.; Zen, Y.; Harada, K.; Sasaki, M.; Nonomura, A.; Uehara, T.; Sano, K.; Kondo, F.; Fukusato, T.; Tsuneyama, K.; et al. Application of a new histological staging and grading system for primary biliary cirrhosis to liver biopsy specimens: Interobserver agreement. Pathol. Int. 2010, 60, 167–174. [Google Scholar] [CrossRef]
- Harada, K.; Hsu, M.; Ikeda, H.; Zeniya, M.; Nakanuma, Y. Application and Validation of a New Histologic Staging and Grading System for Primary Biliary Cirrhosis. J. Clin. Gastroenterol. 2013, 47, 174–181. [Google Scholar] [CrossRef] [PubMed]








| Causes of Secondary Sclerosing Cholangitis |
|---|
| Cholangiocarcinoma |
| IgG4-related sclerosing cholangitis |
| HIV infection |
| Choledocholithiasis |
| Sarcoidosis |
| Traumatic or ischemic biliary injury |
| Papillary stenosis |
| Ampullary or pancreatic cancer |
| Chronic pancreatitis |
| Hilar lymphadenopathy |
| Congenital |
| Chronic biliary infestation |
| Recurrent pyogenic cholangitis |
| Portal biliopathy |
| ABCB4 deficiency |
| Post-COVID-19 sclerosing cholangitis |
| Type of Duct Involvement/Classification | Cholangiographic Abnormalities |
|---|---|
| Intrahepatic | |
| 0 | No visible abnormalities |
| I | Multiple caliber changes; minimal dilatation |
| II | Multiple strictures, saccular dilatation, decreased arborization |
| III | Only central branches filled despite adequate filling pressure; severe pruning |
| Extrahepatic | |
| 0 | No visible abnormalities |
| I | Slight irregularities of duct contour; no stricture |
| II | Segmental stricture |
| III | Stricture of almost entire length of duct |
| IV | Extremely irregular margin; diverticulum-like outpouchings |
| Characteristic | Classification |
|---|---|
| Bile duct strictures | |
| Grade | 1: 0–25% narrowing of duct 2: >25–50% narrowing of duct 3: >50–75% narrowing of duct 4: >75–100% narrowing of duct |
| Length | Band: 1–2 mm of involvement Segmental: 3–10 mm of involvement Confluent: >10 mm of involvement |
| Extent | Localized: ≤25% of duct involvement Diffuse: >25% of duct involvement |
| Bile duct dilatation | |
| Common bile duct | None: <15 mm Mild: 15–19 mm Marked: ≥20 mm |
| Left main hepatic duct | None: <7 mm Mild: 7–9 mm Marked: ≥10 mm |
| Right main hepatic duct | None: <6 mm Mild: 6–7 mm Marked: ≥8 mm |
| Secondary intrahepatic ducts | None: <4 mm Mild: 4 mm Marked: ≥5 mm |
| Feature | Points |
|---|---|
| CBD stricture | 0 = no stricture; 1 = stricture ≤ 75%; 2 = stricture > 75% |
| CBD stricture length | 0 = absent; 1 = band (stricture < 2 mm); 2 = segmental (stricture 2–10 mm); 3 = confluent (stricture > 10 mm) |
| CBD dilatation | 0 = none (≤10 mm); 1 = mild (11–14 mm); 2 = marked (≥15 mm) |
| CBD enhancement | 0 = absent; 1 = thickness < 2 mm; 2 = thickness 2–6 mm; 3 = thickness > 6 mm |
| RHD stricture | 0 = no stricture; 1 = stricture ≤ 75%; 2 = stricture > 75% |
| RHD stricture length | 0 = absent; 1 = band (stricture < 2 mm); 2 = segmental (stricture 2–10 mm); 3 = confluent (stricture >10 mm) |
| RHD dilatation | 0 = none (≤6 mm); 1 = mild (7–8 mm); 2 = marked (≥9 mm) |
| RHD enhancement | 0 = absent; 1 = thickness < 2 mm; 2 = thickness 2–6 mm; 3 = thickness > 6 mm |
| LHD stricture | 0 = no stricture; 1 = stricture ≤ 75%; 2 = stricture > 75% |
| LHD stricture length | 0 = absent; 1 = band (stricture < 2 mm); 2 = segmental (stricture 2–10 mm); 3 = confluent (stricture > 10 mm) |
| LHD dilatation | 0 = none (≤6 mm); 1 = mild (7–8 mm); 2 = marked (≥9 mm) |
| LHD enhancement | 0 = absent; 1 = thickness < 2 mm; 2 = thickness 2–6 mm; 3 = thickness > 6 mm |
| IHBD stricture | 0 = no stricture; 1 = stricture ≤ 75%; 2 = stricture > 75% |
| IHBD liver involvement | 0 = absent; 1 = localized (≤25% IHBD involved); 2 = diffuse (>25% IHBD involved) |
| IHBD dilatation | 0 = none (≤3 mm); 1 = mild (4 mm); 2 = marked (≥5 mm) |
| IHBD enhancement | 0 = absent; 1 = thickness < 2 mm; 2 = thickness 2–6 mm; 3 = thickness > 6 mm |
| Parenchymal enhancement heterogeneity | 0 = absent; 1 = present |
| Intraductal stones | 0 = absent; 1 = present |
| Dysmorphy | 0 = absent; 1 = present |
| Portal hypertension | 0 = absent; 1 = present |
| ANALI score without gadolinium | 1 × IHBD dilatation + 2 × Dysmorphy + 1 × Portal hypertension |
| ANALI with gadolinium | 1 × Dysmorphy + 1 × Parenchymal enhancement heterogeneity |
| Grading System | |
|---|---|
| Chronic cholangitis activity (CA) | |
| CA 0 (no activity) | No cholangitis, but mild biliary epithelial damage may be present |
| CA 1 (mild activity) | 1 bile duct (BD) with evident chronic cholangitis |
| CA 2 (moderate activity) | ≥2 BDs with evident chronic cholangitis |
| CA 3 (marked activity) | ≥1 bile duct with chronic non-suppurative destructive cholangitis (florid duct lesion) |
| Hepatitic activity (HA) | |
| HA 0 (no activity) | No interface hepatitis (IH) and no or minimal lobular hepatitis (LH) |
| HA 1 (mild activity) | IH affecting ≥ 10 continuous hepatocytes in 1 portal tract (PT) or fibrous septa, and mild-to-moderate LH |
| HA 2 (moderate activity) | IH affecting ≥ 10 continuous hepatocytes in ≥2 PTs or fibrous septa, and mild-to-moderate LH |
| HA 3 (marked activity) | IH affecting ≥ 20 continuous hepatocytes in ≥1/2 PTs, and moderate LH or bridging or zonal necrosis |
| Staging System | |
| Fibrosis | |
| 0 | No portal fibrosis or fibrosis limited to PTs |
| 1 | Portal fibrosis with periportal fibrosis and/or incomplete fibrous septa |
| 2 | Bridging fibrosis with variable lobular disarray |
| 3 | Liver cirrhosis with regenerative nodules and extensive fibrosis |
| Bile duct loss | |
| 0 | No bile duct loss (BDL) |
| 1 | BDL in less than one third of PTs |
| 2 | BDL in one third to two thirds of PTs |
| 3 | BDL in more than 2/3 of PTs |
| Deposition of orcein positive granules | |
| 0 | No deposition of orcein-positive granules (DOG) |
| 1 | DOG in few periportal hepatocytes in less than one-third of PTs |
| 2 | DOG in several periportal hepatocytes in one-third to two-thirds of PTs |
| 3 | DOG in many hepatocytes in more than two-thirds of PTs |
| Stage | 2 criteria (fibrosis and bile duct loss) |
| Stage 1 (no progression) | 0 |
| Stage 2 (mild progression) | 1–2 |
| Stage 3 (moderate progression) | 3–4 |
| Stage 4 (advanced progression) | 5–6 |
| Stage | 3 criteria (fibrosis, bile duct loss and deposition of orcein-positive granules) |
| Stage 1 (no progression) | 0 |
| Stage 2 (mild progression) | 1–3 |
| Stage 3 (moderate progression) | 4–6 |
| Stage 4 (advanced progression) | 7–9 |
Disclaimer/Publisher’s Note: The statements, opinions and data contained in all publications are solely those of the individual author(s) and contributor(s) and not of MDPI and/or the editor(s). MDPI and/or the editor(s) disclaim responsibility for any injury to people or property resulting from any ideas, methods, instructions or products referred to in the content. |
© 2024 by the authors. Licensee MDPI, Basel, Switzerland. This article is an open access article distributed under the terms and conditions of the Creative Commons Attribution (CC BY) license (https://creativecommons.org/licenses/by/4.0/).
Share and Cite
Cazzagon, N.; Sarcognato, S.; Catanzaro, E.; Bonaiuto, E.; Peviani, M.; Pezzato, F.; Motta, R. Primary Sclerosing Cholangitis: Diagnostic Criteria. Tomography 2024, 10, 47-65. https://doi.org/10.3390/tomography10010005
Cazzagon N, Sarcognato S, Catanzaro E, Bonaiuto E, Peviani M, Pezzato F, Motta R. Primary Sclerosing Cholangitis: Diagnostic Criteria. Tomography. 2024; 10(1):47-65. https://doi.org/10.3390/tomography10010005
Chicago/Turabian StyleCazzagon, Nora, Samantha Sarcognato, Elisa Catanzaro, Emanuela Bonaiuto, Matteo Peviani, Francesco Pezzato, and Raffaella Motta. 2024. "Primary Sclerosing Cholangitis: Diagnostic Criteria" Tomography 10, no. 1: 47-65. https://doi.org/10.3390/tomography10010005
APA StyleCazzagon, N., Sarcognato, S., Catanzaro, E., Bonaiuto, E., Peviani, M., Pezzato, F., & Motta, R. (2024). Primary Sclerosing Cholangitis: Diagnostic Criteria. Tomography, 10(1), 47-65. https://doi.org/10.3390/tomography10010005

