A Comprehensive Review of Treatment Plans for Marginal Enamel Fractures in Anterior Teeth
Abstract
1. Introduction
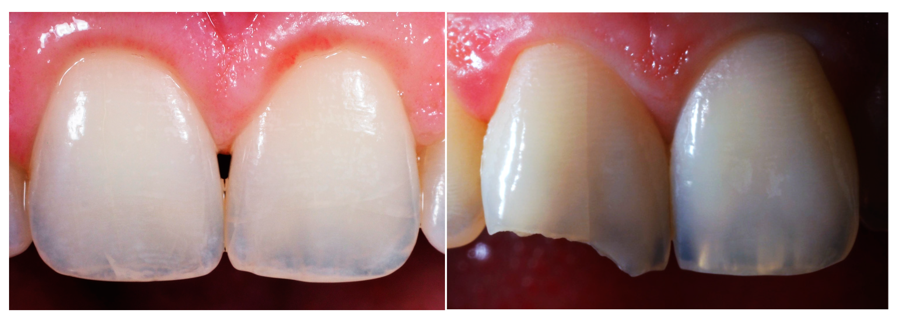
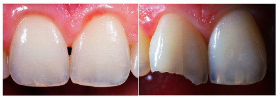
2. Subtractive Technique
3. Additive Technique
3.1. Direct Additive Technique
3.2. Indirect Additive Technique
4. Conclusions
Author Contributions
Funding
Institutional Review Board Statement
Data Availability Statement
Conflicts of Interest
References
- FDI World Dental Federation. Tooth Wear. Int. Dent. J. 2024, 74, 163–164. [Google Scholar] [CrossRef] [PubMed]
- Bartlett, D.W. The Role of Erosion in Tooth Wear: Aetiology, Prevention and Management. Int. Dent. J. 2005, 55, 277–284. [Google Scholar] [CrossRef] [PubMed]
- Puleio, F.; Fiorillo, L.; Gorassini, F.; Iandolo, A.; Meto, A.; D’Amico, C.; Cervino, G.; Pinizzotto, M.; Bruno, G.; Portelli, M.; et al. Systematic Review on White Spot Lesions Treatments. Eur. J. Dent. 2022, 16, 41–48. [Google Scholar] [CrossRef]
- Colonna, A.; Bracci, A.; Ahlberg, J.; Câmara-Souza, M.B.; Bucci, R.; Conti, P.C.R.; Dias, R.; Emodi-Perlmam, A.; Favero, R.; Häggmän-Henrikson, B.; et al. Ecological Momentary Assessment of Awake Bruxism Behaviors: A Scoping Review of Findings from Smartphone-Based Studies in Healthy Young Adults. J. Clin. Med. 2023, 12, 1904. [Google Scholar] [CrossRef]
- Zani, A.; Lobbezoo, F.; Bracci, A.; Djukic, G.; Guarda-Nardini, L.; Favero, R.; Ferrari, M.; Aarab, G.; Manfredini, D. Smartphone-Based Evaluation of Awake Bruxism Behaviours in a Sample of Healthy Young Adults: Findings from Two University Centres. J. Oral. Rehabil. 2021, 48, 989–995. [Google Scholar] [CrossRef]
- Michael, J.A.; Townsend, G.C.; Greenwood, L.F.; Kaidonis, J.A. Abfraction: Separating Fact from Fiction. Aust. Dent. J. 2009, 54, 2–8. [Google Scholar] [CrossRef] [PubMed]
- Brandeburski, S.B.N.; Vidal, M.L.; Collares, K.; Zhang, Y.; Della Bona, A. Edge Chipping Test in Dentistry: A Comprehensive Review. Dent. Mater. 2020, 36, e74–e84. [Google Scholar] [CrossRef]
- Lo Giudice, R.; Lizio, A.; Cervino, G.; Fabiana, N.; Francesco, P.; Ausiello, P.; Cicciù, M. The Horizontal Root Fractures. Diagnosis, Clinical Management and Three-Year Follow-Up. Open Dent. J. 2018, 12, 687–695. [Google Scholar] [CrossRef]
- Dua, R.; Sharma, S. Prevalence, Causes, and Correlates of Traumatic Dental Injuries among Seven-to-Twelve-Year-Old School Children in Dera Bassi. Contemp. Clin. Dent. 2012, 3, 38–41. [Google Scholar] [CrossRef]
- Karamouzos, A.; Athanasiou, A.E.; Papadopoulos, M.A. Clinical Characteristics and Properties of Ceramic Brackets: A Comprehensive Review. Am. J. Orthod. Dentofac. Orthop. 1997, 112, 34–40. [Google Scholar] [CrossRef]
- Makrygiannakis, M.A.; Kaklamanos, E.G.; Milosevic, A.; Athanasiou, A.E. Tooth Wear during Orthodontic Treatment with Fixed Appliances: A Systematic Review. J. Orthod. 2018, 45, 260–268. [Google Scholar] [CrossRef] [PubMed]
- Dumbryte, I.; Jonavicius, T.; Linkeviciene, L.; Linkevicius, T.; Peciuliene, V.; Malinauskas, M. Enamel Cracks Evaluation—A Method to Predict Tooth Surface Damage During the Debonding. Dental. Mater. J. 2015, 34, 828–834. [Google Scholar] [CrossRef] [PubMed]
- Sami, T.; Tareq, A. Iatrogenic Effects of Orthodontic Treatment: Decision-Making in Diagnosis, Treatment and Modalities of Prevention. EC Dent. Sci. 2018, 17, 326–335. [Google Scholar]
- Pontons-Melo, J.C.; Atzeri, G.; Collares, F.M.; Hirata, R. Cosmetic Recontouring for Achieving Anterior Esthetics. Int. J. Esthet. Dent. 2019, 14, 134–146. [Google Scholar] [PubMed]
- Zapata, O.; Barbosa, D.; Carvajal, A.; Ardila, C.M. Finishing Analysis of Dental Outcome (FADO) as a New Guide in Orthodontic Treatment. Cureus 2023, 15, e34808. [Google Scholar] [CrossRef] [PubMed]
- Garoushi, S.K.; Lassila, L.V.J.; Vallittu, P.K. Fatigue Strength of Fragmented Incisal Edges Restored with a Fiber Reinforced Restorative Material. J. Contemp. Dent. Pract. 2007, 8, 9–16. [Google Scholar]
- Ammannato, R.; Rondoni, D.; Ferraris, F. Update on the “Index Technique” in Worn Dentition: A No-Prep Restorative Approach with a Digital Workflow. Int. J. Esthet. Dent. 2018, 13, 516–537. [Google Scholar]
- Ammannato, R.; Ferraris, F.; Allegri, M. The “Index Cutback Technique”: A Three-Dimensional Guided Layering Approach in Direct Class IV Composite Restorations. Int. J. Esthet. Dent. 2017, 12, 450–466. [Google Scholar]
- Ammannato, R.; Ferraris, F.; Marchesi, G. The “Index Technique” in Worn Dentition: A New and Conservative Approach. Int. J. Esthet. Dent. 2015, 10, 68–99. [Google Scholar]
- Kumar, P.P.; Srilatha, K.T.; Nandlal, B.; Dhull, K.S. Evaluation of the Load-Bearing Capacity of Fractured Incisal Edge of Maxillary Permanent Central Incisors Restored with a Glass Fiber-Reinforced Nanocomposite: An In Vitro Study. Int. J. Clin. Pediatr. Dent. 2015, 8, 22–29. [Google Scholar] [CrossRef]
- Bommanagoudar, J.; Chandrashekhar, S.; Sharma, S.; Jain, H. Comparison of Enamel Preparations—Bevel, Chamfer and Stair Step Chamfer on Fracture Resistance of Nano Filled Resin Composites Using Bulk Pack Technique—An In Vitro Study. Open Access Maced. J. Med. Sci. 2019, 7, 4089–4093. [Google Scholar] [CrossRef] [PubMed]
- Dietschi, D. Free-Hand Bonding in the Esthetic Treatment of Anterior Teeth: Creating the Illusion. J. Esthet. Dent. 1997, 9, 156–164. [Google Scholar] [CrossRef] [PubMed]
- Roberto, L.G.; Puleio, F.; Carmine, V.; Marco, M.; Angela, A.; Angelo, L. Bulk vs Wedge Shape Layering Techniques in V Class Cavities: Marginal Infiltration Evaluation. G. Ital. Endod. 2017, 31, 73–77. [Google Scholar] [CrossRef]
- Manauta, J.; Salat, A.; Monterubbianesi, R.; Tosco, V.; Devoto, W.; Orsini, G.; Putignano, A. Advances in Diastema Closure and Tooth Shape Change Using Direct Composite Restorations: The Front Wing Technique. Int. J. Esthet. Dent. 2022, 17, 378–393. [Google Scholar] [PubMed]
- Blunck, U.; Fischer, S.; Hajtó, J.; Frei, S.; Frankenberger, R. Ceramic Laminate Veneers: Effect of Preparation Design and Ceramic Thickness on Fracture Resistance and Marginal Quality In Vitro. Clin. Oral. Investig. 2020, 24, 2745–2754. [Google Scholar] [CrossRef]
- Chun, Y.-H.P.; Raffelt, C.; Pfeiffer, H.; Bizhang, M.; Saul, G.; Blunck, U.; Roulet, J.-F. Restoring Strength of Incisors with Veneers and Full Ceramic Crowns. J. Adhes. Dent. 2010, 12, 45–54. [Google Scholar] [CrossRef]
- Jankar, A.S.; Kale, Y.; Kangane, S.; Ambekar, A.; Sinha, M.; Chaware, S. Comparative Evaluation of Fracture Resistance of Ceramic Veneer with Three Different Incisal Design Preparations—An In-Vitro Study. J. Int. Oral. Health 2014, 6, 48–54. [Google Scholar]
- Mangani, F.; Cerutti, A.; Putignano, A.; Bollero, R.; Madini, L. Clinical Approach to Anterior Adhesive Restorations Using Resin Composite Veneers. Eur. J. Esthet. Dent. 2007, 2, 188–209. [Google Scholar]
- Gresnigt, M.M.; Kalk, W.; Ozcan, M. Randomized Clinical Trial of Indirect Resin Composite and Ceramic Veneers: Up to 3-Year Follow-Up. J. Adhes. Dent. 2013, 15, 181–190. [Google Scholar] [CrossRef]
- Schmidt, K.K.; Chiayabutr, Y.; Phillips, K.M.; Kois, J.C. Influence of Preparation Design and Existing Condition of Tooth Structure on Load to Failure of Ceramic Laminate Veneers. J. Prosthet. Dent. 2011, 105, 374–382. [Google Scholar] [CrossRef]
- Sarabi, N.; Ghavamnasiri, M.; Forooghbakhsh, A. The Influence of Adhesive Luting Systems on Bond Strength and Failure Mode of an Indirect Micro Ceramic Resin-Based Composite Veneer. J. Contemp. Dent. Pract. 2009, 10, 33–40. [Google Scholar] [PubMed]
- Putignano, A.; Tosco, V.; Monterubbianesi, R.; Vitiello, F.; Gatto, M.L.; Furlani, M.; Giuliani, A.; Orsini, G. Comparison of Three Different Bulk-Filling Techniques for Restoring Class II Cavities: μCT, SEM-EDS Combined Analyses for Margins and Internal Fit Assessments. J. Mech. Behav. Biomed. Mater. 2021, 124, 104812. [Google Scholar] [CrossRef] [PubMed]
- Akoğlu, B.; Gemalmaz, D. Fracture Resistance of Ceramic Veneers with Different Preparation Designs. J. Prosthodont. 2011, 20, 380–384. [Google Scholar] [CrossRef] [PubMed]
- Orsini, G.; Orilisi, G.; Notarstefano, V.; Monterubbianesi, R.; Vitiello, F.; Tosco, V.; Belloni, A.; Putignano, A.; Giorgini, E. Vibrational Imaging Techniques for the Characterization of Hard Dental Tissues: From Bench-Top to Chair-Side. Appl. Sci. 2021, 11, 11953. [Google Scholar] [CrossRef]
- Di Spirito, F.; Lo Giudice, R.; Amato, M.; Di Palo, M.P.; D’Ambrosio, F.; Amato, A.; Martina, S. Inflammatory, Reactive, and Hypersensitivity Lesions Potentially Due to Metal Nanoparticles from Dental Implants and Supported Restorations: An Umbrella Review. Appl. Sci. 2022, 12, 11208. [Google Scholar] [CrossRef]
- Frese, C.; Schiller, P.; Staehle, H.J.; Wolff, D. Recontouring Teeth and Closing Diastemas with Direct Composite Buildups: A 5-Year Follow-Up. J. Dent. 2013, 41, 979–985. [Google Scholar] [CrossRef]
- The 5-Year Clinical Performance of Direct Composite Additions to Correct Tooth Form and Position. I. Esthetic Qualities. PubMed. Available online: https://pubmed.ncbi.nlm.nih.gov/9552812/ (accessed on 1 March 2024).
- Batalocco, G.; Lee, H.; Ercoli, C.; Feng, C.; Malmstrom, H. Fracture Resistance of Composite Resin Restorations and Porcelain Veneers in Relation to Residual Tooth Structure in Fractured Incisors. Dent. Traumatol. 2012, 28, 75–80. [Google Scholar] [CrossRef]
- Demarco, F.F.; Baldissera, R.A.; Madruga, F.C.; Simões, R.C.; Lund, R.G.; Correa, M.B.; Cenci, M.S. Anterior Composite Restorations in Clinical Practice: Findings from a Survey with General Dental Practitioners. J. Appl. Oral. Sci. 2013, 21, 497–504. [Google Scholar] [CrossRef]
- Coelho-de-Souza, F.H.; Gonçalves, D.S.; Sales, M.P.; Erhardt, M.C.G.; Corrêa, M.B.; Opdam, N.J.M.; Demarco, F.F. Direct Anterior Composite Veneers in Vital and Non-Vital Teeth: A Retrospective Clinical Evaluation. J. Dent. 2015, 43, 1330–1336. [Google Scholar] [CrossRef]
- Manfredini, D.; Serra-Negra, J.; Carboncini, F.; Lobbezoo, F. Current Concepts of Bruxism. Int. J. Prosthodont. 2017, 30, 437–438. [Google Scholar] [CrossRef]





| Advantages | Disadvantages |
|---|---|
|
|
| Indications | Contraindications |
|---|---|
|
|
| Advantages | Disadvantages |
|---|---|
|
|
| Indications | Contraindications |
|---|---|
|
|
| Advantages | Disadvantages |
|---|---|
|
|
| Indications | Contraindications |
|---|---|
|
|
Disclaimer/Publisher’s Note: The statements, opinions and data contained in all publications are solely those of the individual author(s) and contributor(s) and not of MDPI and/or the editor(s). MDPI and/or the editor(s) disclaim responsibility for any injury to people or property resulting from any ideas, methods, instructions or products referred to in the content. |
© 2024 by the authors. Licensee MDPI, Basel, Switzerland. This article is an open access article distributed under the terms and conditions of the Creative Commons Attribution (CC BY) license (https://creativecommons.org/licenses/by/4.0/).
Share and Cite
Favero, R.; Scattolin, A.; Barone, M.; Drago, G.; Bourgi, R.; Tosco, V.; Monterubbianesi, R.; Putignano, A. A Comprehensive Review of Treatment Plans for Marginal Enamel Fractures in Anterior Teeth. Biomimetics 2024, 9, 770. https://doi.org/10.3390/biomimetics9120770
Favero R, Scattolin A, Barone M, Drago G, Bourgi R, Tosco V, Monterubbianesi R, Putignano A. A Comprehensive Review of Treatment Plans for Marginal Enamel Fractures in Anterior Teeth. Biomimetics. 2024; 9(12):770. https://doi.org/10.3390/biomimetics9120770
Chicago/Turabian StyleFavero, Riccardo, Alessandro Scattolin, Martina Barone, Giampaolo Drago, Rim Bourgi, Vincenzo Tosco, Riccardo Monterubbianesi, and Angelo Putignano. 2024. "A Comprehensive Review of Treatment Plans for Marginal Enamel Fractures in Anterior Teeth" Biomimetics 9, no. 12: 770. https://doi.org/10.3390/biomimetics9120770
APA StyleFavero, R., Scattolin, A., Barone, M., Drago, G., Bourgi, R., Tosco, V., Monterubbianesi, R., & Putignano, A. (2024). A Comprehensive Review of Treatment Plans for Marginal Enamel Fractures in Anterior Teeth. Biomimetics, 9(12), 770. https://doi.org/10.3390/biomimetics9120770

