Biomimetics in Botanical Gardens—Educational Trails and Guided Tours
Abstract
1. Botanical Gardens through the Ages
1.1. The Botanical Garden—A Paradise on Earth
1.2. First Botanical Gardens in Europe
1.3. Botanical Gardens—Places of Learning, Research, and Relaxation
2. Botanical Gardens—A Treasure Trove of Biomimetics
3. Lifelong Learning in Botanical Gardens
4. Educational Trail about Biomimetics
4.1. Biomimetics—What Is It All about?
4.1.1. Learning from Living Nature
4.1.2. How to Perform Biomimetics?
4.1.3. Contributions to Sustainable Development
4.2. Lotus-Effect®—As Clean as a Lotus Leaf
4.2.1. Plant Model: Lotus Leaf
4.2.2. Biomimetic Product: Self-Cleaning Surfaces
4.2.3. Frequently Asked Question: Lotus—What Is It?
4.2.4. Contributions to Sustainable Development
4.3. Barbed Wire–Defensive Like Plants
4.3.1. Plant Model: Osage Orange
4.3.2. Biomimetic Product: Barbed Wire
4.3.3. Frequently Asked Question: Where Does the Name Osage Orange Come from?
4.3.4. Contributions to Sustainable Development
- The invention of barbed wire had both positive and negative social effects.
- Cattle ranchers and farmers used barbed wire to protect their pastures and fields [38].
- Barbed wire was an inexpensive way to control the movement of cattle, making many cowboys redundant and keeping them out of work [38].
- The—sometimes illegal—fencing of large areas of land with barbed wire deprived small ranchers and Native Americans of their land [38].
- Barbed wire is a symbol of oppression and has been used in wars [37].
4.4. Velcro®—Bonding without Adhesives
4.4.1. Plant Models: Burr and Animal Fur
4.4.2. Biomimetic Product: Hook-and-Loop Fastener (Velcro®)
4.4.3. Frequently Asked Question: Where Do the Hooks Come from?
4.4.4. Contributions to Sustainable Development
- The reversible adhesion mechanism contributes to resource conservation by allowing repeated use and by extending the lifetime of artificial products.
- Bonding without adhesives helps to protect the environment by avoiding environmentally harmful substances.
- Understanding the propagation mechanisms of plants is a source of ideas for further technical solutions [43].
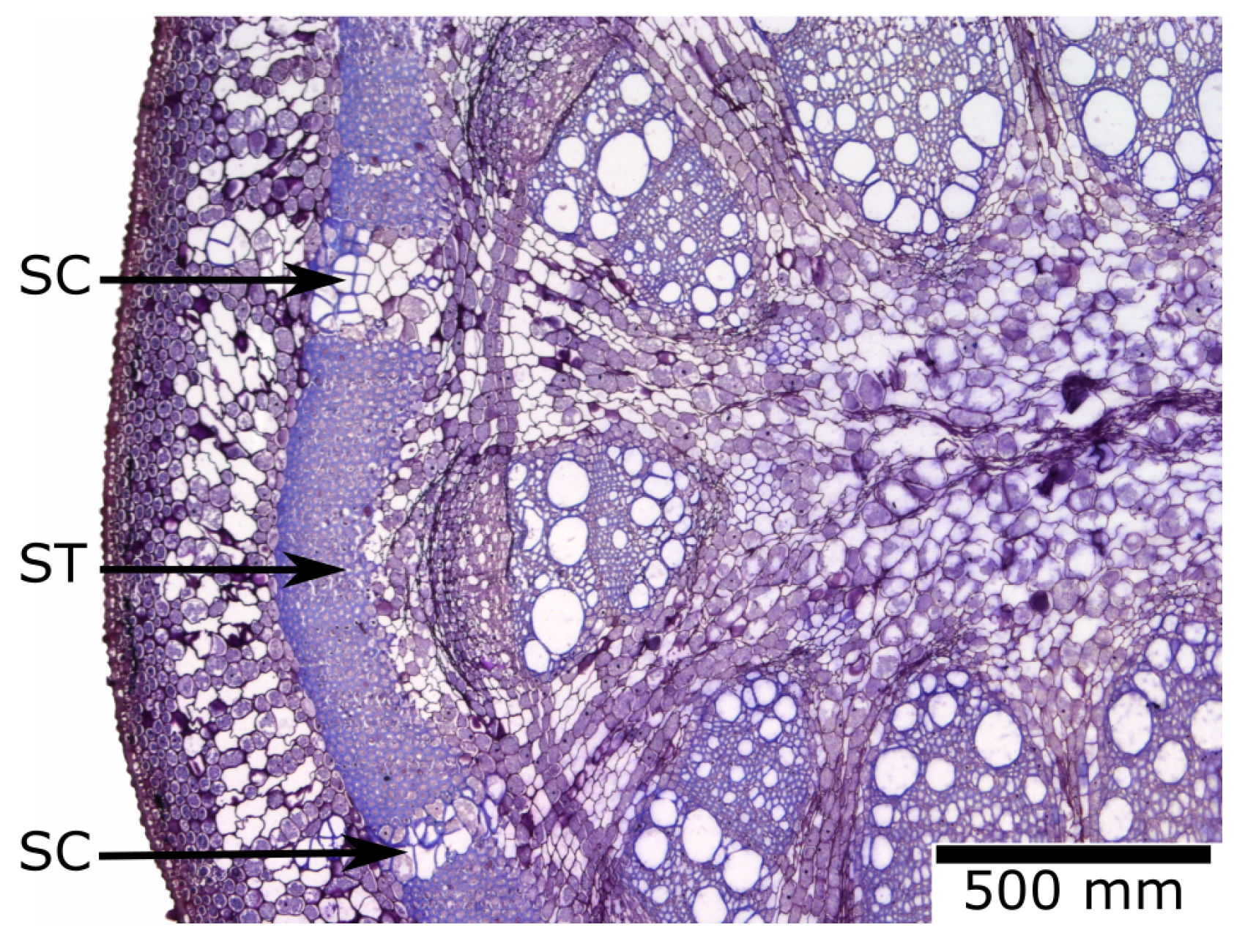
4.5. Technical Plant Stem—Stable and Lightweight
4.5.1. Plant Models: Giant Reed, Bamboo, and Horsetail
4.5.2. Biomimetic Product: The “Technical Plant Stem”
4.5.3. Frequently Asked Question: Why Is the Giant Reed Also Called the Clarinet Reed?
4.5.4. Contributions to Sustainable Development
- Its lightweight construction conserves resources.
- The technical plant stem is fully recyclable when made from natural fibers in a matrix of natural materials.
- Damage-resistant components have a longer service life, contributing to sustainability through reduced waste generation [47].
4.6. Self-Repair—Not a Privilege of Nature
4.6.1. Plant Model: Dutchman’s Pipe
4.6.2. Biomimetic Product: Self-Sealing Foam Coating
4.6.3. Frequently Asked Question: Are There More Self-Repairing Materials Inspired by Plants?
4.6.4. Contributions to Sustainable Development
4.7. Flectofin®—Deformable without Joints
4.7.1. Plant Model: The Bird-of-Paradise Flower
4.7.2. Biomimetic Product: Facade Shading System Flectofin®
4.7.3. Frequently Asked Question: How to Recognize Bird-Pollinated Plants?
4.7.4. Contributions to Sustainable Development
- Hinge-less components contribute to reduced waste generation as they are less susceptible to damage from deformation.
- The high aesthetics and functionality of the movement increase the appreciation of the biological models.
4.8. Flectofold—Curvilinear Folding
4.8.1. Plant Model: The Waterwheel Plant
4.8.2. Biomimetic Product: The Facade Shading System Flectofold
4.8.3. Frequently Asked Question: What Is a Carnivorous Plant?
4.8.4. Contributions to Sustainable Development
- Hinge-less components contribute to reduced waste generation because they are less susceptible to damage from deformation.
- The high aesthetics and functionality of the movement increase the appreciation of the biological models.
4.9. Further Possible Stations
- Flying seeds and gliders—lightweight and auto-stable:The self-stabilizing gliding flight of the Zanonia seed (Alsomitra macrocarpa) was the inspiration for the development of the manned flying wing glider by the aircraft designers I. Etrich and F. X. Wels [40]. Recent work on dandelion fruits has opened the way for novel plant-inspired micro-parachutes [62].
- Shape-optimized components—growing like trees:Physicist Claus Mattheck and his colleagues (Karlsruhe Institute of Technology, Germany) have developed a computer program called Computer Aided Optimization (CAO), which applies the principle of tree growth in order to optimize the shape of technical components [63].
- Dragon tree and columnar cactus—branched lightweight constructions:
- Pomelo and coconut—damping and protecting:Some fruits, such as pomelo and coconut, can withstand being dropped from over ten meters without damage because of their excellent shock-absorbing and puncture-resistant material structures. Inspired by the structure of their fruit walls, fiber-reinforced metal and polymer foams with puncture-resistant top layers have been developed for use in car shock absorbers and protective helmets [67,68,69].
5. Guided Tours about Biomimetics
5.1. Experiments Demonstrating the Self-Cleaning Function
5.2. Experiments Demonstrating the Deformation Principle of the Flectofin®
5.3. Experiments Demonstrating the Deformation Principle of the Flectofold
6. Discussion and Future Prospects
7. Conclusions
Author Contributions
Funding
Institutional Review Board Statement
Informed Consent Statement
Data Availability Statement
Acknowledgments
Conflicts of Interest
References
- Vogellehner, D. Botanischer Garten der Universität Freiburg 1620–1995: Entwicklungen, Zusammenhänge, Dokumente; Universitätsbibliothek: Freiburg, Germany, 1996; Volume 22. (In German) [Google Scholar]
- Evyasaf, R.S. Gardens at a crossroads: The influence of Persian and Egyptian gardens on the Hellenistic royal gardens of Judea. Bollet Archeol. 2010, 1, 27–37. Available online: https://www.researchgate.net/profile/Rona-Evyasaf-2/publication/337888195_Gardens_at_a_Crossroads_The_Influence_of_Persian_and_Egyptian_Gardens_on_the_Hellenistic_Royal_Gardens_of_Judea/links/5df0a03a4585159aa4740bfd/Gardens-at-a-Crossroads-The-Influence-of-Persian-and-Egyptian-Gardens-on-the-Hellenistic-Royal-Gardens-of-Judea.pdf (accessed on 21 March 2023).
- Garbari, F. From the garden of simples to the botanical garden of Pisa University: History, roles and perspectives. Atti Della Soc. Toscana Sci. Nat. Mem. Ser. B 2006, 113, 91–93. Available online: http://www.stsn.it/images/pdf/serB113/16.pdf (accessed on 21 March 2023).
- Rhodes, D.E. The botanical garden of Padua: The first hundred years. J. Gard. Hist. 1984, 4, 327–331. [Google Scholar] [CrossRef]
- University of Padova. Architecture 1545. 2014. Available online: https://www.ortobotanicopd.it/en/university-padua-botanical-garden (accessed on 21 March 2023).
- Speck, O.; Speck, T. Bionik und Bildung im Botanischen Garten Freiburg (Informationsschrift 11). 2019. Available online: https://www.botanischer-garten.uni-freiburg.de/dateien/pdf/Informationsschriften (accessed on 27 May 2023). (In German).
- Speck, T. Botanischer Garten. In Lexikon der Biologie; Spektrum Akademischer: Heidelberg, Germany, 2000; Volume 3, p. 142. (In German) [Google Scholar]
- Verband der Botanischen Gärten e.V. Leitbild. Available online: https://www.verband-botanischer-gaerten.de/userfiles/documents/Der_Verband/Aufgaben_und_Ziele/Leitbild_des_Verbandes_Botanischer_Gaerten_e-V.pdf (accessed on 3 March 2023). (In German).
- ISO:18458; Biomimetics—Terminology, Concepts and Methodology. International Organization for Standardization, Beuth: Berlin, Germany, 2015.
- Speck, T.; Speck, O. Process sequences in biomimetic research. In Design and Nature IV; WIT Transactions on Ecology and the Environment; Brebbia, C.A., Ed.; WIT Press: Southampton, UK, 2008; Volume 114, pp. 3–11. [Google Scholar]
- Speck, O.; Speck, T. Biomimetics and education in Europe: Challenges, opportunities, and variety. Biomimetics 2021, 6, 49. [Google Scholar] [CrossRef]
- Jacobs, S.; Eggermont, M.; Helms, M.; Wanieck, K. The education pipeline of biomimetics and its challenges. Biomimetics 2022, 7, 93. [Google Scholar] [CrossRef]
- Nagel, J.K.; Pittman, P.; Pidaparti, R.; Rose, C.; Beverly, C. Teaching bioinspired design using C–K theory. Bioinspired Biomim. Nanobiomater. 2016, 6, 77–86. [Google Scholar] [CrossRef]
- Linder, B.; Huang, J. Beyond structure-function: Getting at sustainability within biomimicry pedagogy. Biomimetics 2022, 7, 90. [Google Scholar] [CrossRef] [PubMed]
- Verband Botanischer Gärten e.V. Homepage. Available online: https://www.verband-botanischer-gaerten.de/ (accessed on 7 March 2023). (In German).
- Krühler, J. Bionik-Lehrpfad Eröffnet. Available online: https://trikon-online.w-hs.de/dialog/artikelansicht/bionik-lehrpfad-eroeffnet-1 (accessed on 15 May 2023). (In German).
- Cambridge University Botanic Garden, United Kingdom. Plants Inspiring Design and Technology Trail. Available online: https://www.botanic.cam.ac.uk/learning/trails/design-technology/ (accessed on 7 March 2023).
- Botanical Garden of the Technical University of Darmstadt, Germany. Bionik im Grünen Klassenzimmer. Available online: https://www.bio.tu-darmstadt.de/botanischergarten/gruenes_klassenzimmer/infos_angebot/index.de.jsp (accessed on 7 March 2023). (In German).
- Botanical Garden of the Technical University of Dresden, Germany. Standorte des Bionik-Lehrpfads. Available online: https://tu-dresden.de/bg/standorte/dresden/transl/bionik/standorte-bionik-lehrpfad (accessed on 7 March 2023). (In German).
- Botanic Garden of the University of Freiburg, Germany. Bionik-Lehrpfad. Available online: https://www.botanischer-garten.uni-freiburg.de/bildung/bioniklehrpfad (accessed on 7 March 2023). (In German).
- Botanical Garden of the University of Konstanz, Germany. Der Natur Abgeschaut—BIONIK. Available online: https://www.biologie.uni-konstanz.de/botanischer-garten/besucherinformationen/fuehrungen-angebote/angebote/bionik/ (accessed on 7 March 2023). (In German).
- Royal Botanic Gardens Victoria, Melbourne, Australia. Biomimicry with the Royal Botanic Gardens Victoria. Available online: https://www.rbg.vic.gov.au/learn/biomimicry/ (accessed on 7 March 2023).
- Botanical Garden at Oranim College, Israel. Biomimetic Path. Available online: http://en.oranim.ac.il/about/botanical-garden/ (accessed on 7 March 2023).
- ICD/ITKE University of Stuttgart, Germany. livMatS Pavilion 2020-21. Available online: https://www.icd.uni-stuttgart.de/projects/livMatS-Pavilion/ (accessed on 3 April 2023).
- Speck, T.; Schulz, M.E.; Fischer, A.; Rühe, J. Cluster of Excellence Living, Adaptive and Energy-Autonomous Materials Systems (livMatS). In Proceedings of the Future Automotive Production Conference 2022; Springer: Wiesbaden, Germany, 2023; pp. 239–252. [Google Scholar] [CrossRef]
- Speck, O.; Speck, D.; Horn, R.; Gantner, J.; Sedlbauer, K.P. Biomimetic bio-inspired biomorph sustainable? An attempt to classify and clarify biology-derived technical developments. Bioinspir. Biomim. 2017, 12, 011004. [Google Scholar] [CrossRef]
- Barthlott, W.; Mail, M.; Neinhuis, C. Superhydrophobic hierarchically structured surfaces in biology: Evolution, structural principles and biomimetic applications. Philos. Trans. R. Soc. A Math. Phys. Eng. Sci. 2016, 374, 20160191. [Google Scholar] [CrossRef]
- Barthlott, W.; Rafiqpoor, M.D.; Erdelen, W.R. Bionics and biodiversity—Bio-inspired technical innovation for a sustainable future. In Biomimetic Research for Architecture and Building Construction: Biological Design and Integrative Structures; Springer: Berlin/Heidelberg, Germany, 2016; pp. 11–55. [Google Scholar]
- Wanieck, K. Sustainability and Future of Biomimetics. In Biomimetics for Technical Products and Innovation: An Overview for Applications; Springer: Berlin/Heidelberg, Germany, 2022; pp. 33–35. [Google Scholar]
- MacKinnon, R.B.; Oomen, J.; Pedersen Zari, M. Promises and presuppositions of biomimicry. Biomimetics 2020, 5, 33. [Google Scholar] [CrossRef] [PubMed]
- Barthlott, W.; Neinhuis, C. Purity of the sacred lotus, or escape from contamination in biological surfaces. Planta 1997, 202, 1–8. [Google Scholar] [CrossRef]
- VDI:6221; Biomimetics—Biomimetic Surfaces. Verein Deutscher Ingenieure Beuth: Berlin, Germany, 2013.
- Neinhuis, C.; Groß, F.; Elfenthal, L.; Blöß, S.; Grau, R.; Fleisch, M.; Bahnemann, D. Reinigen mit Licht und Regen: Photokatalyse und selbstreinigende Beschichtungen. Chem. Unserer Zeit 2014, 48, 92–100. (In German) [Google Scholar] [CrossRef]
- Antony, F.; Grießhammer, R.; Speck, T.; Speck, O. The cleaner, the greener? Product sustainability assessment of the biomimetic façade paint Lotusan® in comparison to the conventional façade paint Jumbosil®. Beilstein J. Nanotechnol. 2016, 7, 2100–2115. [Google Scholar] [CrossRef]
- Earle, A.S.; Reveal, J.L. Lewis and Clark’s Green World: The Expedition and Its Plants; Farcountry Press: Helena, MT, USA, 2003. [Google Scholar]
- US Supreme Court. The Barbed Wire Patent. 1892. Available online: https://supreme.justia.com/cases/federal/us/143/275/ (accessed on 5 April 2023).
- Krell, A. The Devil’s Rope: A Cultural History of Barbed Wire; Reaktion Books: London, UK, 2002. [Google Scholar]
- Netz, R. Barbed Wire: An Ecology of Modernity; Wesleyan University Press: Middletown, CT, USA, 2004. [Google Scholar]
- Schwarcz, J. Dr. Joe & What You Didn’t Know: 177 Fascinating Questions & Answers about the Chemistry of Everyday Life; Ecw Press: Toronto, ON, Canada, 2003. [Google Scholar]
- Pandolfi, C.; Izzo, D. Biomimetics on seed dispersal: Survey and insights for space exploration. Bioinspir. Biomim. 2013, 8, 025003. [Google Scholar] [CrossRef] [PubMed]
- Oelrich, C. Der Siegeszug des Klettverschlusses. Available online: https://www.badische-zeitung.de/der-siegeszug-des-klettverschlusses--204279227.html (accessed on 6 April 2023). (In German).
- World Intellectual Property Organisation. Hooked on Innovation. Available online: https://www.wipo.int/ipadvantage/en/details.jsp?id=2658 (accessed on 6 April 2023).
- Gorb, E.; Popov, V.; Gorb, S. Natural hook-and-loop fasteners: Anatomy, mechanical properties, and attachment force of the jointed hooks of the Galium aparine fruit. In WIT Transactions on Ecology and the Environment; WIT Press: Southampton, UK, 2002; Volume 57. [Google Scholar] [CrossRef]
- Speck, T.; Speck, O.; Emanns, A.; Spatz, H.C. Biomechanics and functional anatomy of hollow stemmed sphenopsids: III. Equisetum hyemale. Bot. Acta 1998, 111, 366–376. [Google Scholar] [CrossRef]
- Milwich, M.; Speck, T.; Speck, O.; Stegmaier, T.; Planck, H. Biomimetics and technical textiles: Solving engineering problems with the help of nature’s wisdom. Am. J. Bot. 2006, 93, 1455–1465. [Google Scholar] [CrossRef]
- Weidenfeller, B.; Lambri, O.A.; Bonifacich, F.G.; Arlic, U.; Gargicevich, D. Damping of the woodwind instrument reed material Arundo donax L. Mater. Res. 2018, 21. [Google Scholar] [CrossRef]
- Mylo, M.D.; Speck, O. Longevity of System Functions in Biology and Biomimetics: A Matter of Robustness and Resilience. Biomimetics 2023, 8, 173. [Google Scholar] [CrossRef]
- Busch, S.; Seidel, R.; Speck, O.; Speck, T. Morphological aspects of self-repair of lesions caused by internal growth stresses in stems of Aristolochia macrophylla and Aristolochia ringens. Proc. R. Soc. B Biol. Sci. 2010, 277, 2113–2120. [Google Scholar] [CrossRef]
- Rampf, M.; Speck, O.; Speck, T.; Luchsinger, R.H. Self-repairing membranes for inflatable structures inspired by a rapid wound sealing process of climbing plants. J. Bionic Eng. 2011, 8, 242–250. [Google Scholar] [CrossRef]
- Rampf, M.; Speck, O.; Speck, T.; Luchsinger, R.H. Investigation of a fast mechanical self-repair mechanism for inflatable structures. Int. J. Eng. Sci. 2013, 63, 61–70. [Google Scholar] [CrossRef]
- Becker, J.; Speck, O.; Göppert, T.; Speck, T.; Müller, C. Learning from self-sealing deformations of plant leaves: The biomimetic multilayer actuator. Adv. Intell. Syst. 2022, 4, 2200215. [Google Scholar] [CrossRef]
- Yang, Y.; Davydovich, D.; Hornat, C.C.; Liu, X.; Urban, M.W. Leaf-inspired self-healing polymers. Chem 2018, 4, 1928–1936. [Google Scholar] [CrossRef]
- Speck, O.; Langer, M.; Mylo, M.D. Plant-inspired damage control—An inspiration for sustainable solutions in the Anthropocene. Anthr. Rev. 2022, 9, 220–236. [Google Scholar] [CrossRef]
- Schleicher, S.; Lienhard, J.; Poppinga, S.; Speck, T.; Knippers, J. A methodology for transferring principles of plant movements to elastic systems in architecture. Comput.-Aided Des. 2015, 60, 105–117. [Google Scholar] [CrossRef]
- Lienhard, J.; Schleicher, S.; Poppinga, S.; Masselter, T.; Milwich, M.; Speck, T.; Knippers, J. Flectofin: A hingeless flapping mechanism inspired by nature. Bioinspir. Biomim. 2011, 6, 045001. [Google Scholar] [CrossRef]
- Mader, A.; Langer, M.; Knippers, J.; Speck, O. Learning from plant movements triggered by bulliform cells: The biomimetic cellular actuator. J. R. Soc. Interface 2020, 17, 20200358. [Google Scholar] [CrossRef] [PubMed]
- Speck, T.; Poppinga, S.; Speck, O.; Tauber, F. Bio-inspired life-like motile materials systems: Changing the boundaries between living and technical systems in the Anthropocene. Anthr. Rev. 2022, 9, 237–256. [Google Scholar] [CrossRef]
- Westermeier, A.S.; Sachse, R.; Poppinga, S.; Vögele, P.; Adamec, L.; Speck, T.; Bischoff, M. How the carnivorous waterwheel plant (Aldrovanda vesiculosa) snaps. Proc. R. Soc. B Biol. Sci. 2018, 285, 20180012. [Google Scholar] [CrossRef]
- Schenck, P. Papierbasierte Funktionsmodelle Hygroskopischer Pflanzenbewegungen—Eine Wissenschaftlich-Didaktische Aufarbeitung; University of Freiburg: Freiburg im Breisgau, Germany, 2018; Unpublished Staatsexamensarbeit. (In German) [Google Scholar]
- Körner, A.; Born, L.; Mader, A.; Sachse, R.; Saffarian, S.; Westermeier, A.; Poppinga, S.; Bischoff, M.; Gresser, G.; Milwich, M.; et al. Flectofold—A biomimetic compliant shading device for complex free form facades. Smart Mater. Struct. 2017, 27, 017001. [Google Scholar] [CrossRef]
- Saffarian, S.; Born, L.; Körner, A.; Mader, A.; Westermeier, A.S.; Poppinga, S.; Milwich, M.; Gresser, G.T.; Speck, T.; Knippers, J. From pure research to biomimetic products: The Flectofold facade shading device. In Biomimetics for Architecture; Birkhäuser: Basel, Switzerland, 2019; pp. 42–51. [Google Scholar]
- Cummins, C.; Seale, M.; Macente, A.; Certini, D.; Mastropaolo, E.; Viola, I.M.; Nakayama, N. A separated vortex ring underlies the flight of the dandelion. Nature 2018, 562, 414–418. [Google Scholar] [CrossRef] [PubMed]
- Mattheck, C. Teacher tree: The evolution of notch shape optimization from complex to simple. Eng. Fract. Mech. 2006, 73, 1732–1742. [Google Scholar] [CrossRef]
- Schwager, H.; Masselter, T.; Speck, T.; Neinhuis, C. Functional morphology and biomechanics of branch–stem junctions in columnar cacti. Proc. R. Soc. B Biol. Sci. 2013, 280, 20132244. [Google Scholar] [CrossRef] [PubMed]
- Hesse, L.; Masselter, T.; Leupold, J.; Spengler, N.; Speck, T.; Korvink, J.G. Magnetic resonance imaging reveals functional anatomy and biomechanics of a living dragon tree. Sci. Rep. 2016, 6, 32685. [Google Scholar] [CrossRef]
- Masselter, T.; Hesse, L.; Böhm, H.; Gruhl, A.; Schwager, H.; Leupold, J.; Gude, M.; Milwich, M.; Neinhuis, C.; Speck, T. Biomimetic optimisation of branched fiber-reinforced composites in engineering by detailed analyses of biological concept generators. Bioinspir. Biomim. 2016, 11, 055005. [Google Scholar] [CrossRef]
- Thielen, M.; Speck, T.; Seidel, R. Viscoelasticity and compaction behaviour of the foam-like pomelo (Citrus maxima) peel. J. Mater. Sci. 2013, 48, 3469–3478. [Google Scholar] [CrossRef]
- Schmier, S.; Hosoda, N.; Speck, T. Hierarchical structure of the Cocos nucifera (coconut) endocarp: Functional morphology and its influence on fracture toughness. Molecules 2020, 25, 223. [Google Scholar] [CrossRef]
- Bührig-Polaczek, A.; Fleck, C.; Speck, T.; Schüler, P.; Fischer, S.; Caliaro, M.; Thielen, M. Biomimetic cellular metals—using hierarchical structuring for energy absorption. Bioinspir. Biomim. 2016, 11, 045002. [Google Scholar] [CrossRef]
- Poppinga, S.; Metzger, A.; Speck, O.; Masselter, T.; Speck, T. Fallenbewegungen fleischfressender Pflanzen: Schnappen, schleudern, saugen. Biol. Unserer Zeit 2013, 43, 352–361. (In German) [Google Scholar] [CrossRef]
- Poppinga, S.; Schenck, P.; Speck, O.; Speck, T.; Bruchmann, B.; Masselter, T. Self-actuated paper and wood models: Low-cost handcrafted biomimetic compliant systems for research and teaching. Biomimetics 2021, 6, 42. [Google Scholar] [CrossRef]
- Poppinga, S.; Lienhard, J.; Schleicher, S.; Speck, O.; Knippers, J.; Speck, T.; Masselter, T. Paradiesvogelblume trifft Architektur—Bionische Innovation für gelenkfreie technische Anwendungen. Prax. Nat. Biol. 2012, 61, 31–35. (In German) [Google Scholar]
- Bakker, F.T.; Antonelli, A.; Clarke, J.A.; Cook, J.A.; Edwards, S.V.; Ericson, P.G.; Faurby, S.; Ferrand, N.; Gelang, M.; Gillespie, R.G.; et al. The Global Museum: Natural history collections and the future of evolutionary science and public education. PeerJ 2020, 8, e8225. [Google Scholar] [CrossRef] [PubMed]
- Green, D.W.; Watson, J.A.; Jung, H.S.; Watson, G.S. Natural history collections as inspiration for technology. BioEssays 2019, 41, 1700238. [Google Scholar] [CrossRef] [PubMed]
- Neinhuis, C. Naturwissenschaftliche Sammlungen—Orte der Biodiversität. In Bionik—Faszinierende Lösungen der Natur für die Technik der Zukunft; Speck, T., Speck, O., Neinhuis, C., Bargel, H., Eds.; Lavori: Freiburg, Germany, 2012; pp. 122–123. (In German) [Google Scholar]
- Perricone, V.; Grun, T.; Raia, P.; Langella, C. Paleomimetics: A conceptual framework for a biomimetic design inspired by fossils and evolutionary processes. Biomimetics 2022, 7, 89. [Google Scholar] [CrossRef]
- Mora, C.; Tittensor, D.P.; Adl, S.; Simpson, A.G.; Worm, B. How many species are there on Earth and in the ocean? PLoS Biol. 2011, 9, e1001127. [Google Scholar] [CrossRef]
- Streit, B. Biozahl 2006–2 Millionen-Grenze erreicht. Nat. Und Mus. 2006, 136, 131–134. (In German) [Google Scholar]
- Speck, T. Naturwissenschaftliche Sammlungen—Schatztruhen für die Bionik. In Bionik—Faszinierende Lösungen der Natur für die Technik der Zukunft; Speck, T., Speck, O., Neinhuis, C., Bargel, H., Eds.; Lavori: Freiburg, Germany, 2012; pp. 124–125. (In German) [Google Scholar]























| City, Country | Botanical Garden and Other Places | Portfolio | Reference |
|---|---|---|---|
| Bocholt, Germany | Campus Bocholt of the Westfälische Hochschule | Educational trail, guided tours | [16] |
| Cambridge, United Kingdom | Cambridge University Botanic Garden | Educational trail, publications | [17] |
| Darmstadt, Germany | Botanical Garden of the Technical University of Darmstadt | Educational modules | [18] |
| Dresden, Germany | Botanical Garden of the Technical University Dresden | Educational trail, guided tours, lectures, publications, teaching modules | [19] |
| Freiburg, Germany | Botanic Garden of the University of Freiburg | Educational trail, guided tours, lectures, publications, teaching modules | [20] |
| Konstanz, Germany | Botanical Garden of the University of Konstanz | Teaching material | [21] |
| Melbourne, Australia | Royal Botanic Gardens Victoria | Education and training program | [22] |
| Tivon, Israel | Botanical Garden at Oranim College | Biomimetic path | [23] |
Disclaimer/Publisher’s Note: The statements, opinions and data contained in all publications are solely those of the individual author(s) and contributor(s) and not of MDPI and/or the editor(s). MDPI and/or the editor(s) disclaim responsibility for any injury to people or property resulting from any ideas, methods, instructions or products referred to in the content. |
© 2023 by the authors. Licensee MDPI, Basel, Switzerland. This article is an open access article distributed under the terms and conditions of the Creative Commons Attribution (CC BY) license (https://creativecommons.org/licenses/by/4.0/).
Share and Cite
Speck, O.; Speck, T. Biomimetics in Botanical Gardens—Educational Trails and Guided Tours. Biomimetics 2023, 8, 303. https://doi.org/10.3390/biomimetics8030303
Speck O, Speck T. Biomimetics in Botanical Gardens—Educational Trails and Guided Tours. Biomimetics. 2023; 8(3):303. https://doi.org/10.3390/biomimetics8030303
Chicago/Turabian StyleSpeck, Olga, and Thomas Speck. 2023. "Biomimetics in Botanical Gardens—Educational Trails and Guided Tours" Biomimetics 8, no. 3: 303. https://doi.org/10.3390/biomimetics8030303
APA StyleSpeck, O., & Speck, T. (2023). Biomimetics in Botanical Gardens—Educational Trails and Guided Tours. Biomimetics, 8(3), 303. https://doi.org/10.3390/biomimetics8030303

