A New Detergent for the Effective Decellularization of Bovine and Porcine Pericardia
Abstract
1. Introduction
2. Materials and Methods
2.1. Pericardia Preparation, Decellularization, and Sterilization
2.2. DNA Quantification
2.3. FTIR-ATR Analysis
2.4. Biochemical Assay
2.5. Histological Analysis
2.6. Immunofluorescence Staining
2.7. Two-Photon Microscopy
2.8. Biomechanical Characterization
2.9. Sterility Test
2.10. In Vitro Cytotoxicity Evaluation
3. Results
3.1. DNA Quantification
3.2. FTIR Analysis
3.3. ECM Biochemical Assessment
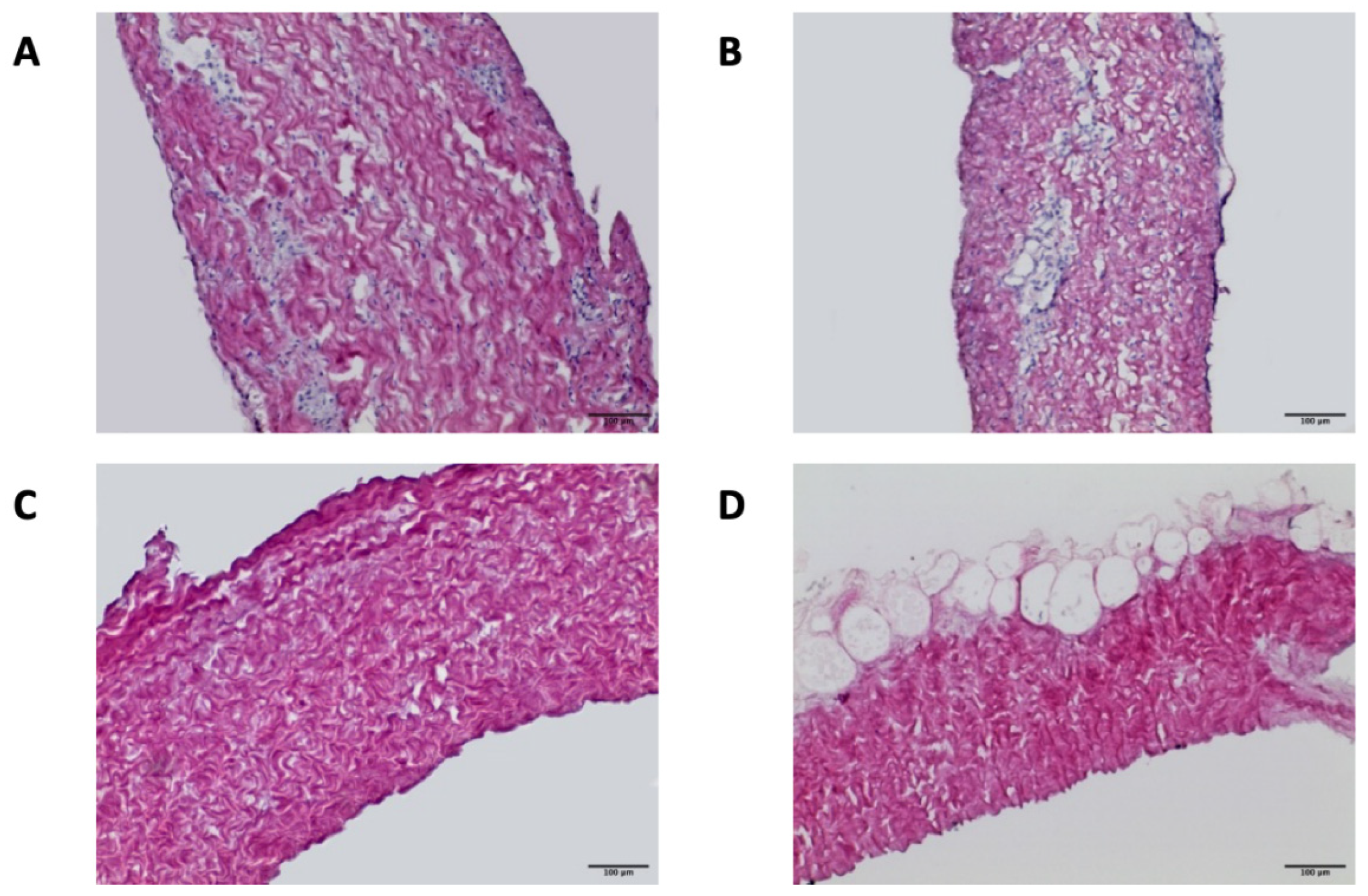
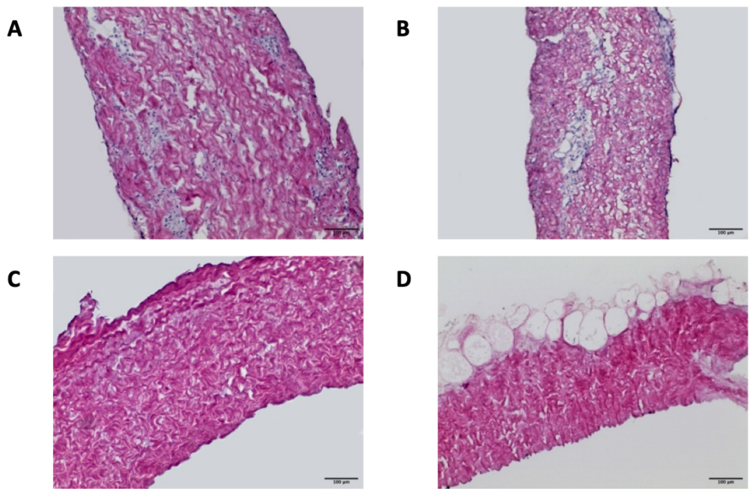
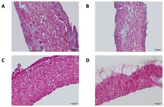
3.4. Histological and Immunofluorescence Analysis
3.5. ECM Structural Assessment—Two-Photon Microscopy
3.6. Mechanical Characterization
3.7. Sterility Test
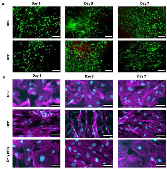
3.8. Cytocompatibility
4. Discussion
5. Conclusions
Author Contributions
Funding
Institutional Review Board Statement
Informed Consent Statement
Data Availability Statement
Acknowledgments
Conflicts of Interest
References
- Chvapil, M.; Gibeault, D.; Wang, T.-F. Use of chemically purified and cross-linked bovine pericardium as a ligament substitute. J. Biomed. Mater. Res. 1987, 21, 1383–1393. [Google Scholar] [CrossRef]
- Testini, M.; Gurrado, A.; Portincasa, P.; Scacco, S.; Marzullo, A.; Piccinni, G.; Lissidini, G.; Greco, L.; De Salvia, M.A.; Bonfrate, L.; et al. Bovine pericardium patch wrapping intestinal anastomosis improves healing process and prevents leakage in a pig model. PLoS ONE 2014, 9, e86627. [Google Scholar] [CrossRef][Green Version]
- Yazdanbakhsh, A.P.; van Rijssen, L.B.; Koolbergen, D.R.; König, A.; De Mol, B.A.J.M.; Hazekamp, M.G. Long-term follow-up of tracheoplasty using autologous pericardial patch and strips of costal cartilage. Eur. J. Cardio-Thorac. Surg. 2015, 47, 146–152. [Google Scholar] [CrossRef]
- Jansen, P.; van Oeveren, W.; Capel, A.; Carpentier, A. In vitro haemocompatibility of a novel bioprosthetic total artificial heart. Eur. J. Cardio-Thorac. Surg. 2012, 41, e166–e172. [Google Scholar] [CrossRef][Green Version]
- Mirsadraee, S.; Wilcox, H.E.; Korossis, S.A.; Kearney, J.N.; Watterson, K.G.; Fisher, J.; Ingham, E. Development and characterization of an acellular human pericardial matrix for tissue engineering. Tissue Eng. 2006, 12, 763–773. [Google Scholar] [CrossRef]
- Aguiari, P.; Fiorese, M.; Iop, L.; Gerosa, G.; Bagno, A. Mechanical testing of pericardium for manufacturing prosthetic heart valves. Interact. Cardiovasc. Thorac. Surg. 2016, 22, 72–84. [Google Scholar] [CrossRef] [PubMed]
- Elassal, A.A.; AL-Radi, O.O.; Zaher, Z.F.; Dohain, A.M.; Abdelmohsen, G.A.; Mohamed, R.S.; Fatani, M.A.; Abdelmotaleb, M.E.; Noaman, N.A.; Elmeligy, M.A.; et al. Equine pericardium: A versatile alternative reconstructive material in congenital cardiac surgery. J. Cardio-Thorac. Surg. 2021, 16, 110. [Google Scholar] [CrossRef]
- Ota, T.; Okada, K.; Asano, M.; Nakagiri, K.; Okita, Y. Isolated pulmonary stenosis in an elderly person: Report of a case. Surg. Today 2008, 38, 1117–1119. [Google Scholar] [CrossRef] [PubMed]
- Roshanali, F.; Vedadian, A.; Shoar, S.; Sandoughdaran, S.; Naderan, M.; Mandegar, M.H. The viable mitral annular dynamics and left ventricular function after mitral valve repair by biological rings. Int. Cardiovasc. Res. J. 2012, 6, 118–123. [Google Scholar]
- Keschenau, P.R.; Gombert, A.; Barbati, M.E.; Jalaie, H.; Kalder, J.; Jacobs, M.J.; Kotelis, D. Xenogeneic materials for the surgical treatment of aortic infections. J. Thorac. Dis. 2021, 13, 3021–3032. [Google Scholar] [CrossRef]
- David, T.E.; Feindel, C.M.; Ropchan, G.V. Reconstruction of the left ventricle with autologous pericardium. J. Thorac. Cardiovasc. Surg. 1987, 94, 710–714. [Google Scholar] [CrossRef]
- De Martino, A.; Milano, A.D.; Bortolotti, U. Use of pericardium for cardiac reconstruction procedures in acquired heart diseases—A comprehensive review. Thorac. Cardiovasc. Surg. 2021, 69, 083–091. [Google Scholar] [CrossRef] [PubMed]
- Shomura, Y.; Okada, Y.; Nasu, M.; Koyama, T.; Yuzaki, M.; Murashita, T.; Fukunaga, N.; Konishi, Y. Late results of mitral valve repair with glutaraldehyde-treated autologous pericardium. Ann. Thorac. Surg. 2013, 95, 2000–2005. [Google Scholar] [CrossRef]
- Lejay, A.; Vento, V.; Kuntz, S.; Steinmetz, L.; Georg, Y.; Thaveau, F.; Heim, F.; Chakfé, N. Current Status on Vascular Substitutes. J. Cardiovasc. Surg. 2020, 61, 538–543. [Google Scholar] [CrossRef] [PubMed]
- D’Andrilli, A.; Maurizi, G.; Ciccone, A.M.; Andreetti, C.; Ibrahim, M.; Menna, C.; Vanni, C.; Venuta, F.; Rendina, E.A. Long-segment Pulmonary artery resection to avoid pneumonectomy: Long-term results after prosthetic replacement. Eur. J. Cardio-Thorac. Surg. 2018, 53, 331–335. [Google Scholar] [CrossRef] [PubMed]
- Convelbo, C.; El Hafci, H.; Petite, H.; Zegdi, R. Traumatic leaflet injury: Comparison of porcine leaflet self-expandable and bovine leaflet balloon-expandable prostheses. Eur. J. Cardio-Thorac. Surg. 2018, 53, 1062–1067. [Google Scholar] [CrossRef] [PubMed]
- Nimni, M.E.; Cheung, D.; Strates, B.; Kodama, M.; Sheikh, K. Chemically modified collagen: A natural biomaterial for tissue replacement. J. Biomed. Mater. Res. 1987, 21, 741–771. [Google Scholar] [CrossRef] [PubMed]
- Courtman, D.W.; Pereira, C.A.; Kashef, V.; McComb, D.; Lee, J.M.; Wilson, G.J. Development of a pericardial acellular matrix biomaterial: Biochemical and mechanical effects of cell extraction. J. Biomed. Mater. Res. 1994, 28, 655–666. [Google Scholar] [CrossRef] [PubMed]
- Crofts, C.E.; Trowbridge, E.A. The tensile strength of natural and chemically modified bovine pericardium. J. Biomed. Mater. Res. 1988, 22, 89–98. [Google Scholar] [CrossRef] [PubMed]
- Golomb, G.; Schoen, F.J.; Smith, M.S.; Linden, J.; Dixon, M.; Levy, R.J. The role of glutaraldehyde-induced cross-links in calcification of bovine pericardium used in cardiac valve bioprostheses. Am. J. Pathol. 1987, 127, 122–130. [Google Scholar] [PubMed]
- Umashankar, P.R.; Mohanan, P.V.; Kumari, T.V. Glutaraldehyde treatment elicits toxic response compared to decellularization in bovine pericardium. Toxicol. Int. 2012, 19, 51–58. [Google Scholar] [CrossRef] [PubMed]
- Páez, J.M.G.; Jorge-Herrero, E. Assessment of Pericardium in cardiac bioprostheses: A review. J. Biomater. Appl. 1999, 13, 351–388. [Google Scholar] [CrossRef] [PubMed]
- Yacoub, M.; Rasmi, N.R.H.; Sundt, T.M.; Lund, O.; Boyland, E.; Radley-Smith, R.; Khaghani, A.; Mitchell, A. Fourteen-year experience with homovital homografts for aortic valve replacement. J. Thorac. Cardiovasc. Surg. 1995, 110, 186–194. [Google Scholar] [CrossRef]
- Bloomfield, P.; Wheatley, D.J.; Prescott, R.J.; Miller, H.C. Twelve-year comparison of a bjork–shiley mechanical heart valve with porcine bioprostheses. N. Engl. J. Med. 1991, 324, 573–579. [Google Scholar] [CrossRef] [PubMed]
- Schoen, F.J.; Levy, R.J. Calcification of tissue heart valve substitutes: Progress toward understanding and prevention. Ann. Thorac. Surg. 2005, 79, 1072–1080. [Google Scholar] [CrossRef] [PubMed]
- Grunkemeier, G.L.; Jamieson, W.R.E.; Miller, D.C.; Starr, A. Actuarial versus actual risk of porcine structural valve deterioration. J. Thorac. Cardiovasc. Surg. 1994, 108, 709–718. [Google Scholar] [CrossRef]
- Helder, M.R.K.; Stoyles, N.J.; Tefft, B.J.; Hennessy, R.S.; Hennessy, R.R.C.; Dyer, R.; Witt, T.; Simari, R.D.; Lerman, A. Xenoantigenicity of porcine decellularized valves. J. Cardio-Thorac. Surg. 2017, 12, 56. [Google Scholar] [CrossRef]
- Bornstein, P.; Sage, E.H. Matricellular proteins: Extracellular modulators of cell function. Curr. Opin. Cell Biol. 2002, 14, 608–616. [Google Scholar] [CrossRef]
- Crapo, P.M.; Gilbert, T.W.; Badylak, S.F. An overview of tissue and whole organ decellularization processes. Biomaterials 2011, 32, 3233–3243. [Google Scholar] [CrossRef]
- Badylak, S.; Freytes, D.; Gilbert, T. Extracellular matrix as a biological scaffold material: Structure and function. Acta Biomater. 2009, 5, 1–13. [Google Scholar] [CrossRef]
- Zouhair, S.; Dal Sasso, E.; Tuladhar, S.R.; Fidalgo, C.; Vedovelli, L.; Filippi, A.; Borile, G.; Bagno, A.; Marchesan, M.; De Rossi, G.; et al. A comprehensive comparison of bovine and porcine decellularized pericardia: New insights for surgical applications. Biomolecules 2020, 10, 371. [Google Scholar] [CrossRef] [PubMed]
- Todesco, M.; Zardin, C.; Iop, L.; Palmosi, T.; Capaldo, P.; Romanato, F.; Gerosa, G.; Bagno, A. Hybrid membranes for the production of blood contacting surfaces: Physicochemical, structural and biomechanical characterization. Biomater. Res. 2021, 25, 26. [Google Scholar] [CrossRef]
- Todros, S.; Todesco, M.; Bagno, A. Biomaterials and Their biomedical applications: From replacement to regeneration. Processes 2021, 9, 1949. [Google Scholar] [CrossRef]
- Zouhair, S.; Aguiari, P.; Iop, L.; Vásquez-Rivera, A.; Filippi, A.; Romanato, F.; Korossis, S.; Wolkers, W.F.; Gerosa, G. Preservation strategies for decellularized pericardial scaffolds for off-the-shelf availability. Acta Biomater. 2019, 84, 208–221. [Google Scholar] [CrossRef]
- Fidalgo, C.; Iop, L.; Sciro, M.; Harder, M.; Mavrilas, D.; Korossis, S.; Bagno, A.; Palù, G.; Aguiari, P.; Gerosa, G. A sterilization method for decellularized xenogeneic cardiovascular scaffolds. Acta Biomater. 2018, 67, 282–294. [Google Scholar] [CrossRef]
- European Chemical Agency. Inclusion of Substances of Very High Concerns in the Candidate List 2021. Available online: https://echa.europa.eu/it/candidate-list-tablec (accessed on 21 February 2022).
- Aguiari, P.; Iop, L.; Favaretto, F.; Fidalgo, C.M.L.; Naso, F.; Milan, G.; Vindigni, V.; Spina, M.; Bassetto, F.; Bagno, A.; et al. In vitro comparative assessment of decellularized bovine pericardial patches and commercial bioprosthetic heart valves. Biomed. Mater. 2017, 12, 015021. [Google Scholar] [CrossRef] [PubMed]
- Bagno, A.; Aguiari, P.; Fiorese, M.; Iop, l.; Spina, M.; Gerosa, G. Native bovine and porcine pericardia respond to load with additive recruitment of collagen fibers. Artif. Organs 2018, 42, 540–548. [Google Scholar] [CrossRef]
- Spina, M.; Ortolani, F.; Messlemani, A.E.; Gandaglia, A.; Bujan, J.; Garcia-Honduvilla, N.; Vesely, I.; Gerosa, G.; Casarotto, D.; Petrelli, L.; et al. Isolation of intact aortic valve scaffolds for heart-valve bioprostheses: Extracellular matrix structure, prevention from calcification, and cell repopulation features. J. Biomed. Mater. Res. A 2003, 67, 1338–1350. [Google Scholar] [CrossRef] [PubMed]
- Casarin, M.; Fortunato, T.M.; Imran, S.; Todesco, M.; Sandrin, D.; Borile, G.; Toniolo, I.; Marchesan, M.; Gerosa, G.; Bagno, A.; et al. Porcine Small Intestinal Submucosa (SIS) as a Suitable scaffold for the creation of a tissue-engineered urinary conduit: Decellularization, biomechanical and biocompatibility characterization using new approaches. Int. J. Mol. Sci. 2022, 23, 2826. [Google Scholar] [CrossRef] [PubMed]
- Faggioli, M.; Moro, A.; Butt, S.; Todesco, M.; Sandrin, D.; Borile, G.; Bagno, A.; Fabozzo, A.; Romanato, F.; Marchesan, M.; et al. A new decellularization protocol of porcine aortic valves using tergitol to characterize the scaffold with the biocompatibility profile using human bone marrow mesenchymal stem cells. Polymers 2022, 14, 1226. [Google Scholar] [CrossRef]
- Brauner, J.W.; Flach, C.R.; Mendelsohn, R. A quantitative reconstruction of the amide i contour in the ir spectra of globular proteins: From structure to spectrum. J. Am. Chem. Soc. 2005, 127, 100–109. [Google Scholar] [CrossRef] [PubMed]
- Oldenburg, K. MATLAB Cent. File Exch. 2021. Available online: https://www.mathworks.com/matlabcentral/fileexchange/57904-loadspectra (accessed on 23 May 2022).
- Filippi, A.; Dal Sasso, E.; Iop, L.; Armani, A.; Gintoli, M.; Sandri, M.; Gerosa, G.; Romanato, F.; Borile, G. Multimodal label-free ex vivo imaging using a dual-wavelength microscope with axial chromatic aberration compensation. J. Biomed. Opt. 2018, 23, 091403. [Google Scholar] [CrossRef]
- Schindelin, J.; Arganda-Carreras, I.; Frise, E.; Kaynig, V.; Longair, M.; Pietzsch, T.; Preibisch, S.; Rueden, C.; Saalfeld, S.; Schmid, B.; et al. Fiji: An open-source platform for biological-image analysis. Nat. Methods 2012, 9, 676–682. [Google Scholar] [CrossRef]
- Rezakhaniha, R.; Agianniotis, A.; Schrauwen, J.T.C.; Sage, D.; Bouten, C.V.C.; van de Vosse, F.N.; Unser, M.; Stergiopulos, N. Experimental investigation of collagen waviness and orientation in the arterial adventitia using confocal laser scanning microscopy. Biomech. Model. Mechanobiol. 2012, 11, 461–473. [Google Scholar] [CrossRef]
- Wu, S.; Li, H.; Yang, H.; Zhang, X.; Li, Z.; Xu, S. Quantitative analysis on collagen morphology in aging skin based on multiphoton microscopy. J. Biomed. Opt. 2011, 16, 40502. [Google Scholar] [CrossRef]
- Anonymous. Imaris Viewer Software. n.d. Available online: https://imaris.oxinst.com/microscopy-imaging-software-free-trial (accessed on 11 April 2022).
- E.P. Commission Council of Europe. 2.6.1. European Pharmacopeia 5.0, 2.6—Biological Tests; 2.6.1 Sterility. Eur. Pharm. 2005, 5, 145–149. [Google Scholar]
- ISO 10993-5; Biological Evaluation of Medical Devices—Part 5: Tests for In-Vitro Cytotoxicity. 2009. Available online: https://www.iso.org/standard/36406.html (accessed on 18 March 2022).
- Belbachir, K.; Noreen, R.; Gouspillou, G.; Petibois, C. Collagen types analysis and differentiation by FTIR spectroscopy. Anal. Bioanal. Chem. 2009, 395, 829–837. [Google Scholar] [CrossRef]
- de Campos Vidal, B.; Mello, M.L.S. Collagen Type I amide I band infrared spectroscopy. Micron 2011, 42, 283–289. [Google Scholar] [CrossRef]
- Huang, C.-C.; Chen, Y.-J.; Liu, H.-W. Characterization of Composite Nano-Bioscaffolds Based on Collagen and Supercritical Fluids-Assisted Decellularized Fibrous Extracellular Matrix. Polymers 2021, 13, 4326. [Google Scholar] [CrossRef]
- Huang, C.-C. Characteristics and Preparation of Designed Alginate-Based Composite Scaffold Membranes with Decellularized Fibrous Micro-Scaffold Structures from Porcine Skin. Polymers 2021, 13, 3464. [Google Scholar] [CrossRef]
- Payne, K.J.; Veis, A. Fourier transform IR spectroscopy of collagen and gelatin solutions: Deconvolution of the amide i band for conformational studies. Biopolymers 1988, 27, 1749–1760. [Google Scholar] [CrossRef]
- Twardowski, J.; Anzenbacher, P.; Masson, M.R. Raman and IR Spectroscopy in Biology and Biochemistry. In Ellis Horwood Series in Analytical Chemistry; Horwood, E., Ed.; Polish Scientific Publishers: New York, NY, USA; Warsaw, Poland, 1994. [Google Scholar]
- Jastrzebska, M.; Zalewska-Rejdak, J.; Mróz, I.; Barwinski, B.; Wrzalik, R.; Kocot, A.; Nozynski, J. Atomic Force Microscopy and FT-IR spectroscopy investigations of human heart valves. Gen. Physiol. Biophys. 2006, 25, 231–244. [Google Scholar] [PubMed]
- Gauvin, R.; Marinov, G.; Mehri, Y.; Klein, J.; Li, B.; Larouche, D.; Guzman, R.; Zhang, Z.; Germain, L.; Guidoin, R. A comparative study of bovine and porcine pericardium to highlight their potential advantages to manufacture percutaneous cardiovascular implants. J. Biomater. Appl. 2013, 28, 552–565. [Google Scholar] [CrossRef]
- Texakalidis, P.; Giannopoulos, S.; Charisis, N.; Giannopoulos, S.; Karasavvidis, T.; Koullias, G.; Jabbour, P. A meta-analysis of randomized trials comparing bovine pericardium and other patch materials for carotid endarterectomy. J. Vasc. Surg. 2018, 68, 1241–1256.e1. [Google Scholar] [CrossRef] [PubMed]
- Lutz, B.; Reeps, C.; Biro, G.; Knappich, C.; Zimmermann, A.; Eckstein, H.-H. Bovine pericardium as new technical option for in situ reconstruction of aortic graft infection. Ann. Vasc. Surg. 2017, 41, 118–126. [Google Scholar] [CrossRef]
- Liao, K.; Seifter, E.; Hoffman, D.; Yellin, E.L.; Frater, R.W.M. Bovine pericardium versus porcine aortic valve: Comparison of tissue biological properties as prosthetic valves. Artif. Organs 2008, 16, 361–365. [Google Scholar] [CrossRef] [PubMed]
- Schlachtenberger, G.; Doerr, F.; Brezina, A.; Menghesha, H.; Heldwein, M.B.; Bennink, G.; Menger, M.D.; Moussavian, M.; Hekmat, K.; Wahlers, T. Perigraft reaction and incorporation of porcine and bovine pericardial patches. Interact. Cardiovasc. Thorac. Surg. 2021, 32, 638–647. [Google Scholar] [CrossRef] [PubMed]
- Schoen, F.J.; Levy, R.J.; Piehler, H.R. Pathological considerations in replacement cardiac valves. Cardiovasc. Pathol. 1992, 1, 29–52. [Google Scholar] [CrossRef]
- Rastogi, V.K.; Singh, C.; Jain, V.; Palafox, M.A. FTIR and FT-Raman spectra of 5-methyluracil (Thymine). J. Raman Spectrosc. 2000, 31, 1005–1012. [Google Scholar] [CrossRef]
- Xing, Q.; Parvizi, M.; Lopera Higuita, M.; Griffiths, L.C. Basement membrane proteins modulate cell migration on bovine pericardium extracellular matrix scaffold. Sci. Rep. 2021, 11, 4607. [Google Scholar] [CrossRef]
- Gendler, E.; Gendler, S.; Nimni, M.E. Toxic reactions evoked by glutaraldehyde-fixed pericardium and cardiac valve tissue bioprosthesis. J. Biomed. Mater. Res. 1984, 18, 727–736. [Google Scholar] [CrossRef] [PubMed]
- Ghibaudo, M.; Saez, A.; Trichet, L.; Xayaphoummine, A.; Browaeys, J.; Silberzan, P.; Buguinb, A.; Ladoux, B. Traction forces and rigidity sensing regulate cell functions. Soft Matter 2008, 4, 1836. [Google Scholar] [CrossRef]
- Prager-Khoutorsky, M.; Lichtenstein, A.; Krishnan, R.; Rajendran, K.; Mayo, A.; Kam, Z.; Geiger, B.; Bershadsky, A.D. Fibroblast polarization is a matrix-rigidity-dependent process controlled by focal adhesion mechanosensing. Nat. Cell Biol. 2011, 13, 1457–1465. [Google Scholar] [CrossRef] [PubMed]
- Rens, E.G.; Merks, R.M.H. Cell shape and durotaxis explained from cell-extracellular matrix forces and focal adhesion dynamics. iScience 2020, 23, 101488. [Google Scholar] [CrossRef] [PubMed]








| DNA Amount (ng/mg) | ||
|---|---|---|
| Nanodrop | Qubit | |
| NBPs | 498.1 ± 232.6 | 174.5 ± 125.9 |
| DBPs | 35.8 ± 13.9 | 5.4 ± 1.9 |
| NPPs | 1307 ± 231.2 | 512.4 ± 222.1 |
| DPPs | 35.5 ± 8.03 | 6.9 ± 3.2 |
| Elastin (μg/mg) | Hyp (μg/mg) | |
|---|---|---|
| NBPs | 117.6 ± 69.58 | 100.5 ± 43.82 |
| DBPs | 104.8 ± 17.84 | 121.9 ± 50.85 |
| NPPs | 190.6 ± 46.39 | 116.6 ± 40.31 |
| DPPs | 166 ± 42.49 | 113.9 ± 49.5 |
| Thickness (mm) | E (MPa) | FS (%) | UTS (MPa) | I (MPa) | |
|---|---|---|---|---|---|
| NBPs | 0.29 ± 0.04 | 8.54 ± 3.33 | 108.61 ± 20.79 | 31.64 ± 6.93 | 17.08 ± 6.22 |
| DBPs | 0.28 ± 0.06 | 8.72 ± 4.49 | 103.056 ± 19.82 | 26.11 ± 8.76 | 13.85 ± 5.58 |
| NPPs | 0.14 ± 0.03 | 15.23 ± 9.06 | 82.34 ± 37.65 | 15.61 ± 6.1 | 7.66 ± 4.35 |
| DPPs | 0.13 ± 0.02 | 12.71 ± 3.51 | 98.29 ± 20.52 | 19.21 ± 5.17 | 10.23 ± 4.35 |
Publisher’s Note: MDPI stays neutral with regard to jurisdictional claims in published maps and institutional affiliations. |
© 2022 by the authors. Licensee MDPI, Basel, Switzerland. This article is an open access article distributed under the terms and conditions of the Creative Commons Attribution (CC BY) license (https://creativecommons.org/licenses/by/4.0/).
Share and Cite
Todesco, M.; Imran, S.J.; Fortunato, T.M.; Sandrin, D.; Borile, G.; Romanato, F.; Casarin, M.; Giuggioli, G.; Conte, F.; Marchesan, M.; et al. A New Detergent for the Effective Decellularization of Bovine and Porcine Pericardia. Biomimetics 2022, 7, 104. https://doi.org/10.3390/biomimetics7030104
Todesco M, Imran SJ, Fortunato TM, Sandrin D, Borile G, Romanato F, Casarin M, Giuggioli G, Conte F, Marchesan M, et al. A New Detergent for the Effective Decellularization of Bovine and Porcine Pericardia. Biomimetics. 2022; 7(3):104. https://doi.org/10.3390/biomimetics7030104
Chicago/Turabian StyleTodesco, Martina, Saima Jalil Imran, Tiago Moderno Fortunato, Deborah Sandrin, Giulia Borile, Filippo Romanato, Martina Casarin, Germana Giuggioli, Fabio Conte, Massimo Marchesan, and et al. 2022. "A New Detergent for the Effective Decellularization of Bovine and Porcine Pericardia" Biomimetics 7, no. 3: 104. https://doi.org/10.3390/biomimetics7030104
APA StyleTodesco, M., Imran, S. J., Fortunato, T. M., Sandrin, D., Borile, G., Romanato, F., Casarin, M., Giuggioli, G., Conte, F., Marchesan, M., Gerosa, G., & Bagno, A. (2022). A New Detergent for the Effective Decellularization of Bovine and Porcine Pericardia. Biomimetics, 7(3), 104. https://doi.org/10.3390/biomimetics7030104

